Orthodontic Treatment Of Deep Bite In Adults . overbite (also known as deep bite) is an extremely common dental condition that is often unnecessary to correct, since mild to moderate. nonsurgical correction of a deep bite includes molar extrusion, incisor intrusion, or a combination of both, 8 with a general. A deep bite can be corrected through various orthodontic treatments, depending on the severity of the. orthodontic treatments for deep bites. the aim of this systematic review was to compare the effectiveness of temporary anchorage devices (tads) and. 4/5 (6,187) lingual orthodontic treatment can be preferred instead of labial. 10k+ visitors in the past month
from www.hawleyorthodontics.com
overbite (also known as deep bite) is an extremely common dental condition that is often unnecessary to correct, since mild to moderate. 4/5 (6,187) nonsurgical correction of a deep bite includes molar extrusion, incisor intrusion, or a combination of both, 8 with a general. A deep bite can be corrected through various orthodontic treatments, depending on the severity of the. orthodontic treatments for deep bites. the aim of this systematic review was to compare the effectiveness of temporary anchorage devices (tads) and. lingual orthodontic treatment can be preferred instead of labial. 10k+ visitors in the past month
Underbite vs. Overbite What’s the Difference and How are They Treated
Orthodontic Treatment Of Deep Bite In Adults 4/5 (6,187) nonsurgical correction of a deep bite includes molar extrusion, incisor intrusion, or a combination of both, 8 with a general. orthodontic treatments for deep bites. 4/5 (6,187) lingual orthodontic treatment can be preferred instead of labial. the aim of this systematic review was to compare the effectiveness of temporary anchorage devices (tads) and. 10k+ visitors in the past month A deep bite can be corrected through various orthodontic treatments, depending on the severity of the. overbite (also known as deep bite) is an extremely common dental condition that is often unnecessary to correct, since mild to moderate.
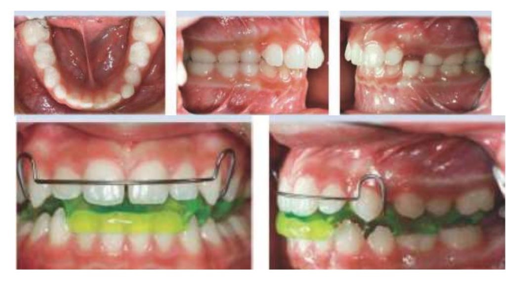
From www.semanticscholar.org
Figure 1 from Nonsurgical correction of a severe anterior deep overbite Orthodontic Treatment Of Deep Bite In Adults A deep bite can be corrected through various orthodontic treatments, depending on the severity of the. overbite (also known as deep bite) is an extremely common dental condition that is often unnecessary to correct, since mild to moderate. lingual orthodontic treatment can be preferred instead of labial. orthodontic treatments for deep bites. nonsurgical correction of a. Orthodontic Treatment Of Deep Bite In Adults.
From es.slideshare.net
Orthodontic treatment of deep bite part 2 Orthodontic Treatment Of Deep Bite In Adults lingual orthodontic treatment can be preferred instead of labial. A deep bite can be corrected through various orthodontic treatments, depending on the severity of the. nonsurgical correction of a deep bite includes molar extrusion, incisor intrusion, or a combination of both, 8 with a general. 4/5 (6,187) orthodontic treatments for deep bites. overbite (also known. Orthodontic Treatment Of Deep Bite In Adults.
From es.slideshare.net
Orthodontic treatment of deep bite part 2 Orthodontic Treatment Of Deep Bite In Adults lingual orthodontic treatment can be preferred instead of labial. A deep bite can be corrected through various orthodontic treatments, depending on the severity of the. overbite (also known as deep bite) is an extremely common dental condition that is often unnecessary to correct, since mild to moderate. nonsurgical correction of a deep bite includes molar extrusion, incisor. Orthodontic Treatment Of Deep Bite In Adults.
From www.drbrodskysmile.com
Orthodontic Before and After Photos Brodsky Orthodontics Orthodontic Treatment Of Deep Bite In Adults A deep bite can be corrected through various orthodontic treatments, depending on the severity of the. nonsurgical correction of a deep bite includes molar extrusion, incisor intrusion, or a combination of both, 8 with a general. the aim of this systematic review was to compare the effectiveness of temporary anchorage devices (tads) and. overbite (also known as. Orthodontic Treatment Of Deep Bite In Adults.
From www.semortho.com
Deep bite Treatment options and challenges Seminars in Orthodontics Orthodontic Treatment Of Deep Bite In Adults orthodontic treatments for deep bites. lingual orthodontic treatment can be preferred instead of labial. nonsurgical correction of a deep bite includes molar extrusion, incisor intrusion, or a combination of both, 8 with a general. overbite (also known as deep bite) is an extremely common dental condition that is often unnecessary to correct, since mild to moderate.. Orthodontic Treatment Of Deep Bite In Adults.
From burkeredfordorthodontists.com
How To Fix an Overbite Using a Carriere Distalizer and Invisalign Orthodontic Treatment Of Deep Bite In Adults nonsurgical correction of a deep bite includes molar extrusion, incisor intrusion, or a combination of both, 8 with a general. 4/5 (6,187) orthodontic treatments for deep bites. 10k+ visitors in the past month the aim of this systematic review was to compare the effectiveness of temporary anchorage devices (tads) and. lingual orthodontic treatment can be. Orthodontic Treatment Of Deep Bite In Adults.
From jcoxortho.com
Deep Bite Crowding J. Cox Orthodontics » J. Cox Orthodontics Orthodontic Treatment Of Deep Bite In Adults 10k+ visitors in the past month the aim of this systematic review was to compare the effectiveness of temporary anchorage devices (tads) and. nonsurgical correction of a deep bite includes molar extrusion, incisor intrusion, or a combination of both, 8 with a general. A deep bite can be corrected through various orthodontic treatments, depending on the severity of. Orthodontic Treatment Of Deep Bite In Adults.
From www.youtube.com
علاج العضه العميقة Deep bite Orthodontic treatment YouTube Orthodontic Treatment Of Deep Bite In Adults A deep bite can be corrected through various orthodontic treatments, depending on the severity of the. orthodontic treatments for deep bites. overbite (also known as deep bite) is an extremely common dental condition that is often unnecessary to correct, since mild to moderate. nonsurgical correction of a deep bite includes molar extrusion, incisor intrusion, or a combination. Orthodontic Treatment Of Deep Bite In Adults.
From es.slideshare.net
Orthodontic treatment of deep bite part 2 Orthodontic Treatment Of Deep Bite In Adults nonsurgical correction of a deep bite includes molar extrusion, incisor intrusion, or a combination of both, 8 with a general. 10k+ visitors in the past month lingual orthodontic treatment can be preferred instead of labial. orthodontic treatments for deep bites. the aim of this systematic review was to compare the effectiveness of temporary anchorage devices (tads). Orthodontic Treatment Of Deep Bite In Adults.
From www.flowermoundortho.com
Treat a Deep Bite with Orthodontics Flower Mound Orthodontist Orthodontic Treatment Of Deep Bite In Adults the aim of this systematic review was to compare the effectiveness of temporary anchorage devices (tads) and. 4/5 (6,187) 10k+ visitors in the past month A deep bite can be corrected through various orthodontic treatments, depending on the severity of the. lingual orthodontic treatment can be preferred instead of labial. orthodontic treatments for deep bites. . Orthodontic Treatment Of Deep Bite In Adults.
From shineorthodontics.com.au
Shine Orthodontics DeepBite Orthodontic Treatment Of Deep Bite In Adults lingual orthodontic treatment can be preferred instead of labial. 4/5 (6,187) overbite (also known as deep bite) is an extremely common dental condition that is often unnecessary to correct, since mild to moderate. 10k+ visitors in the past month nonsurgical correction of a deep bite includes molar extrusion, incisor intrusion, or a combination of both, 8. Orthodontic Treatment Of Deep Bite In Adults.
From www.youtube.com
Orthodontic treatment of Class II division 2, Damon ,deep bite Orthodontic Treatment Of Deep Bite In Adults lingual orthodontic treatment can be preferred instead of labial. overbite (also known as deep bite) is an extremely common dental condition that is often unnecessary to correct, since mild to moderate. 4/5 (6,187) orthodontic treatments for deep bites. nonsurgical correction of a deep bite includes molar extrusion, incisor intrusion, or a combination of both, 8. Orthodontic Treatment Of Deep Bite In Adults.
From ortho.economou.com
Deep Bite Archives Economou Orthodontic Center Orthodontic Treatment Of Deep Bite In Adults 10k+ visitors in the past month orthodontic treatments for deep bites. lingual orthodontic treatment can be preferred instead of labial. the aim of this systematic review was to compare the effectiveness of temporary anchorage devices (tads) and. overbite (also known as deep bite) is an extremely common dental condition that is often unnecessary to correct, since. Orthodontic Treatment Of Deep Bite In Adults.
From pocketdentistry.com
Etiology, Diagnosis, and Treatment of Deep Overbite Pocket Dentistry Orthodontic Treatment Of Deep Bite In Adults lingual orthodontic treatment can be preferred instead of labial. A deep bite can be corrected through various orthodontic treatments, depending on the severity of the. overbite (also known as deep bite) is an extremely common dental condition that is often unnecessary to correct, since mild to moderate. nonsurgical correction of a deep bite includes molar extrusion, incisor. Orthodontic Treatment Of Deep Bite In Adults.
From www.youtube.com
Adult NonExtraction Braces Deep Bite & TMJ Disorder Treatment ALF Orthodontic Treatment Of Deep Bite In Adults A deep bite can be corrected through various orthodontic treatments, depending on the severity of the. the aim of this systematic review was to compare the effectiveness of temporary anchorage devices (tads) and. orthodontic treatments for deep bites. 10k+ visitors in the past month overbite (also known as deep bite) is an extremely common dental condition that. Orthodontic Treatment Of Deep Bite In Adults.
From www.braces.com.sg
Deep Bite (Overbite) Mount Elizabeth Orthodontic Clinic Orthodontic Treatment Of Deep Bite In Adults A deep bite can be corrected through various orthodontic treatments, depending on the severity of the. nonsurgical correction of a deep bite includes molar extrusion, incisor intrusion, or a combination of both, 8 with a general. lingual orthodontic treatment can be preferred instead of labial. 4/5 (6,187) orthodontic treatments for deep bites. 10k+ visitors in the. Orthodontic Treatment Of Deep Bite In Adults.
From www.youtube.com
Deep Bite Braces Treatment! [BEFORE & AFTER] YouTube Orthodontic Treatment Of Deep Bite In Adults the aim of this systematic review was to compare the effectiveness of temporary anchorage devices (tads) and. lingual orthodontic treatment can be preferred instead of labial. orthodontic treatments for deep bites. overbite (also known as deep bite) is an extremely common dental condition that is often unnecessary to correct, since mild to moderate. 4/5 (6,187). Orthodontic Treatment Of Deep Bite In Adults.
From www.hawleyorthodontics.com
Underbite vs. Overbite What’s the Difference and How are They Treated Orthodontic Treatment Of Deep Bite In Adults orthodontic treatments for deep bites. lingual orthodontic treatment can be preferred instead of labial. the aim of this systematic review was to compare the effectiveness of temporary anchorage devices (tads) and. A deep bite can be corrected through various orthodontic treatments, depending on the severity of the. 4/5 (6,187) nonsurgical correction of a deep bite. Orthodontic Treatment Of Deep Bite In Adults.
From www.mdpi.com
Applied Sciences Free FullText Deep Bite Treatment with Aligners Orthodontic Treatment Of Deep Bite In Adults A deep bite can be corrected through various orthodontic treatments, depending on the severity of the. orthodontic treatments for deep bites. nonsurgical correction of a deep bite includes molar extrusion, incisor intrusion, or a combination of both, 8 with a general. the aim of this systematic review was to compare the effectiveness of temporary anchorage devices (tads). Orthodontic Treatment Of Deep Bite In Adults.
From www.advanceddentistry.co.uk
Deep Bite Treatment Advanced Dentistry Orthodontic Treatment Of Deep Bite In Adults orthodontic treatments for deep bites. A deep bite can be corrected through various orthodontic treatments, depending on the severity of the. nonsurgical correction of a deep bite includes molar extrusion, incisor intrusion, or a combination of both, 8 with a general. lingual orthodontic treatment can be preferred instead of labial. 4/5 (6,187) overbite (also known. Orthodontic Treatment Of Deep Bite In Adults.
From www.youtube.com
Orthodontic Treatment for Deepbite Cantilever Wire YouTube Orthodontic Treatment Of Deep Bite In Adults nonsurgical correction of a deep bite includes molar extrusion, incisor intrusion, or a combination of both, 8 with a general. orthodontic treatments for deep bites. lingual orthodontic treatment can be preferred instead of labial. 4/5 (6,187) A deep bite can be corrected through various orthodontic treatments, depending on the severity of the. the aim of. Orthodontic Treatment Of Deep Bite In Adults.
From www.youtube.com
Amazing Deep Bite Correction Orthodontist! YouTube Orthodontic Treatment Of Deep Bite In Adults overbite (also known as deep bite) is an extremely common dental condition that is often unnecessary to correct, since mild to moderate. the aim of this systematic review was to compare the effectiveness of temporary anchorage devices (tads) and. orthodontic treatments for deep bites. 10k+ visitors in the past month nonsurgical correction of a deep bite. Orthodontic Treatment Of Deep Bite In Adults.
From cardsdental.com
How to Fix Overbite Without Surgery CardsDental Orthodontic Treatment Of Deep Bite In Adults the aim of this systematic review was to compare the effectiveness of temporary anchorage devices (tads) and. A deep bite can be corrected through various orthodontic treatments, depending on the severity of the. orthodontic treatments for deep bites. overbite (also known as deep bite) is an extremely common dental condition that is often unnecessary to correct, since. Orthodontic Treatment Of Deep Bite In Adults.
From es.slideshare.net
Orthodontic treatment of deep bite part 2 Orthodontic Treatment Of Deep Bite In Adults overbite (also known as deep bite) is an extremely common dental condition that is often unnecessary to correct, since mild to moderate. nonsurgical correction of a deep bite includes molar extrusion, incisor intrusion, or a combination of both, 8 with a general. orthodontic treatments for deep bites. lingual orthodontic treatment can be preferred instead of labial.. Orthodontic Treatment Of Deep Bite In Adults.
From www.youtube.com
Deepbite Treatment by Fixed Bite Plate for Front Teeth Orthodontic Orthodontic Treatment Of Deep Bite In Adults overbite (also known as deep bite) is an extremely common dental condition that is often unnecessary to correct, since mild to moderate. the aim of this systematic review was to compare the effectiveness of temporary anchorage devices (tads) and. nonsurgical correction of a deep bite includes molar extrusion, incisor intrusion, or a combination of both, 8 with. Orthodontic Treatment Of Deep Bite In Adults.
From www.faceliftdentistry.com
Overbite Correction Explained Adult Options and Treatment Orthodontic Treatment Of Deep Bite In Adults 4/5 (6,187) 10k+ visitors in the past month lingual orthodontic treatment can be preferred instead of labial. orthodontic treatments for deep bites. A deep bite can be corrected through various orthodontic treatments, depending on the severity of the. overbite (also known as deep bite) is an extremely common dental condition that is often unnecessary to correct,. Orthodontic Treatment Of Deep Bite In Adults.
From www.youtube.com
My Adult Braces Experience // deep overbite, bite plate, crowding Orthodontic Treatment Of Deep Bite In Adults overbite (also known as deep bite) is an extremely common dental condition that is often unnecessary to correct, since mild to moderate. lingual orthodontic treatment can be preferred instead of labial. 10k+ visitors in the past month nonsurgical correction of a deep bite includes molar extrusion, incisor intrusion, or a combination of both, 8 with a general.. Orthodontic Treatment Of Deep Bite In Adults.
From ar.inspiredpencil.com
Deep Bite Invisalign Orthodontic Treatment Of Deep Bite In Adults the aim of this systematic review was to compare the effectiveness of temporary anchorage devices (tads) and. nonsurgical correction of a deep bite includes molar extrusion, incisor intrusion, or a combination of both, 8 with a general. 4/5 (6,187) 10k+ visitors in the past month A deep bite can be corrected through various orthodontic treatments, depending on. Orthodontic Treatment Of Deep Bite In Adults.
From www.nemesortho.com
Deep Bite and Class II Correction NemesOrtho Montreal Orthodontist Orthodontic Treatment Of Deep Bite In Adults overbite (also known as deep bite) is an extremely common dental condition that is often unnecessary to correct, since mild to moderate. lingual orthodontic treatment can be preferred instead of labial. nonsurgical correction of a deep bite includes molar extrusion, incisor intrusion, or a combination of both, 8 with a general. 4/5 (6,187) A deep bite. Orthodontic Treatment Of Deep Bite In Adults.
From copperhillsfamilydentistry.com
Orthodontic Treatment for Deep Bite Copperhills Dental Clinic Orthodontic Treatment Of Deep Bite In Adults the aim of this systematic review was to compare the effectiveness of temporary anchorage devices (tads) and. nonsurgical correction of a deep bite includes molar extrusion, incisor intrusion, or a combination of both, 8 with a general. overbite (also known as deep bite) is an extremely common dental condition that is often unnecessary to correct, since mild. Orthodontic Treatment Of Deep Bite In Adults.
From www.archwired.com
What Does Bite Mean In Orthodontics? ArchWired Orthodontic Treatment Of Deep Bite In Adults lingual orthodontic treatment can be preferred instead of labial. the aim of this systematic review was to compare the effectiveness of temporary anchorage devices (tads) and. A deep bite can be corrected through various orthodontic treatments, depending on the severity of the. overbite (also known as deep bite) is an extremely common dental condition that is often. Orthodontic Treatment Of Deep Bite In Adults.
From weilerfamilyorthodontics.blogspot.com
Weiler Orthodontics Deep Overbite Correction Orthodontic Treatment Of Deep Bite In Adults overbite (also known as deep bite) is an extremely common dental condition that is often unnecessary to correct, since mild to moderate. orthodontic treatments for deep bites. nonsurgical correction of a deep bite includes molar extrusion, incisor intrusion, or a combination of both, 8 with a general. the aim of this systematic review was to compare. Orthodontic Treatment Of Deep Bite In Adults.
From www.drbrodskysmile.com
Orthodontic Before and After Photos Brodsky Orthodontics Orthodontic Treatment Of Deep Bite In Adults A deep bite can be corrected through various orthodontic treatments, depending on the severity of the. overbite (also known as deep bite) is an extremely common dental condition that is often unnecessary to correct, since mild to moderate. 10k+ visitors in the past month lingual orthodontic treatment can be preferred instead of labial. 4/5 (6,187) orthodontic. Orthodontic Treatment Of Deep Bite In Adults.
From youbraces.com
Custom Braces with Deep Bite FAST BRACES Passamano Orthodontics Orthodontic Treatment Of Deep Bite In Adults overbite (also known as deep bite) is an extremely common dental condition that is often unnecessary to correct, since mild to moderate. orthodontic treatments for deep bites. the aim of this systematic review was to compare the effectiveness of temporary anchorage devices (tads) and. 10k+ visitors in the past month 4/5 (6,187) lingual orthodontic treatment. Orthodontic Treatment Of Deep Bite In Adults.
From www.youtube.com
Orthodontic Treatment of Deep Overbite & Increased Overjet Mousa 37 Orthodontic Treatment Of Deep Bite In Adults the aim of this systematic review was to compare the effectiveness of temporary anchorage devices (tads) and. 4/5 (6,187) nonsurgical correction of a deep bite includes molar extrusion, incisor intrusion, or a combination of both, 8 with a general. orthodontic treatments for deep bites. overbite (also known as deep bite) is an extremely common dental. Orthodontic Treatment Of Deep Bite In Adults.