Define Medical Term Volvulus . It often happens in the cecal and sigmoid colon sections of the. Volvulus occurs when part of the intestine loops around and folds over itself. Volvulus occurs when a loop of intestine twists around itself and the mesentery that supplies it, causing a bowel obstruction. Twisting of a loop of intestine. Symptoms include abdominal distension, pain,. A volvulus (derived from the latin ‘to twist’) is the twisting of a loop of intestine around its mesenteric attachment base, resulting in a closed loop bowel obstruction. Volvulus causes obstruction to the flow of contents and threatens occlusion of the supplying blood. Volvulus is a condition that occurs when a portion of the intestines twists around itself, causing a blockage and impairing the. Volvulus is the twisting of a section of the large or small intestine (bowel). It is a serious condition that may. Volvulus is a condition that occurs when your bowel (which makes up your small intestine, colon, and rectum) twists around.
from www.youtube.com
Volvulus causes obstruction to the flow of contents and threatens occlusion of the supplying blood. It often happens in the cecal and sigmoid colon sections of the. Symptoms include abdominal distension, pain,. Volvulus is a condition that occurs when a portion of the intestines twists around itself, causing a blockage and impairing the. Volvulus is a condition that occurs when your bowel (which makes up your small intestine, colon, and rectum) twists around. Volvulus occurs when part of the intestine loops around and folds over itself. It is a serious condition that may. Twisting of a loop of intestine. A volvulus (derived from the latin ‘to twist’) is the twisting of a loop of intestine around its mesenteric attachment base, resulting in a closed loop bowel obstruction. Volvulus occurs when a loop of intestine twists around itself and the mesentery that supplies it, causing a bowel obstruction.
Understanding Volvulus (Twisted Bowel) YouTube
Define Medical Term Volvulus Volvulus is a condition that occurs when a portion of the intestines twists around itself, causing a blockage and impairing the. Volvulus causes obstruction to the flow of contents and threatens occlusion of the supplying blood. Volvulus occurs when a loop of intestine twists around itself and the mesentery that supplies it, causing a bowel obstruction. Symptoms include abdominal distension, pain,. Twisting of a loop of intestine. Volvulus is a condition that occurs when a portion of the intestines twists around itself, causing a blockage and impairing the. It is a serious condition that may. Volvulus is a condition that occurs when your bowel (which makes up your small intestine, colon, and rectum) twists around. Volvulus is the twisting of a section of the large or small intestine (bowel). It often happens in the cecal and sigmoid colon sections of the. A volvulus (derived from the latin ‘to twist’) is the twisting of a loop of intestine around its mesenteric attachment base, resulting in a closed loop bowel obstruction. Volvulus occurs when part of the intestine loops around and folds over itself.
From www.slideserve.com
PPT VOLVULUS PowerPoint Presentation, free download ID3343529 Define Medical Term Volvulus Symptoms include abdominal distension, pain,. It often happens in the cecal and sigmoid colon sections of the. Volvulus is a condition that occurs when your bowel (which makes up your small intestine, colon, and rectum) twists around. A volvulus (derived from the latin ‘to twist’) is the twisting of a loop of intestine around its mesenteric attachment base, resulting in. Define Medical Term Volvulus.
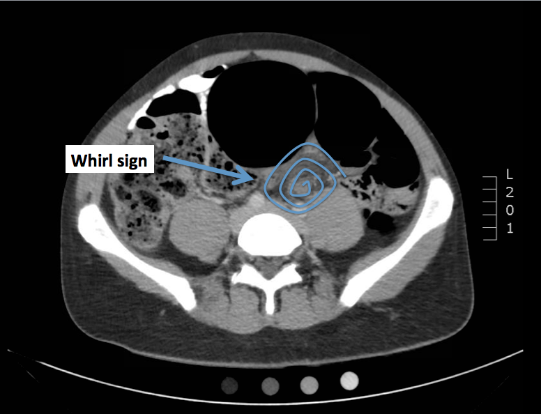
From emvisualdx.blogspot.com
Emergency Medicine Visual Diagnosis Diagnosis Sigmoid Volvulus Define Medical Term Volvulus Volvulus causes obstruction to the flow of contents and threatens occlusion of the supplying blood. Volvulus is the twisting of a section of the large or small intestine (bowel). Symptoms include abdominal distension, pain,. It is a serious condition that may. Volvulus occurs when part of the intestine loops around and folds over itself. Twisting of a loop of intestine.. Define Medical Term Volvulus.
From www.slideserve.com
PPT VOLVULUS PowerPoint Presentation ID3343529 Define Medical Term Volvulus Volvulus is a condition that occurs when your bowel (which makes up your small intestine, colon, and rectum) twists around. Volvulus is the twisting of a section of the large or small intestine (bowel). Twisting of a loop of intestine. Volvulus is a condition that occurs when a portion of the intestines twists around itself, causing a blockage and impairing. Define Medical Term Volvulus.
From www.slideserve.com
PPT THE ACUTE ABDOMEN PowerPoint Presentation, free download ID1283792 Define Medical Term Volvulus Twisting of a loop of intestine. Volvulus is the twisting of a section of the large or small intestine (bowel). Volvulus causes obstruction to the flow of contents and threatens occlusion of the supplying blood. It is a serious condition that may. Volvulus occurs when part of the intestine loops around and folds over itself. Volvulus is a condition that. Define Medical Term Volvulus.
From www.medicalnewstoday.com
Volvulus Definition, causes, and treatment Define Medical Term Volvulus Volvulus is a condition that occurs when a portion of the intestines twists around itself, causing a blockage and impairing the. Volvulus causes obstruction to the flow of contents and threatens occlusion of the supplying blood. Volvulus occurs when part of the intestine loops around and folds over itself. A volvulus (derived from the latin ‘to twist’) is the twisting. Define Medical Term Volvulus.
From www.slideserve.com
PPT Colonic Volvulus PowerPoint Presentation, free download ID1607309 Define Medical Term Volvulus It is a serious condition that may. Volvulus occurs when part of the intestine loops around and folds over itself. A volvulus (derived from the latin ‘to twist’) is the twisting of a loop of intestine around its mesenteric attachment base, resulting in a closed loop bowel obstruction. Volvulus causes obstruction to the flow of contents and threatens occlusion of. Define Medical Term Volvulus.
From www.slideserve.com
PPT VOLVULUS PowerPoint Presentation ID3343529 Define Medical Term Volvulus Symptoms include abdominal distension, pain,. Volvulus is the twisting of a section of the large or small intestine (bowel). It often happens in the cecal and sigmoid colon sections of the. Volvulus occurs when a loop of intestine twists around itself and the mesentery that supplies it, causing a bowel obstruction. Volvulus is a condition that occurs when a portion. Define Medical Term Volvulus.
From www.lybrate.com
Gastric Volvulus Causes, Symptoms, Treatment and Cost Define Medical Term Volvulus Volvulus is the twisting of a section of the large or small intestine (bowel). It is a serious condition that may. Symptoms include abdominal distension, pain,. A volvulus (derived from the latin ‘to twist’) is the twisting of a loop of intestine around its mesenteric attachment base, resulting in a closed loop bowel obstruction. Volvulus occurs when a loop of. Define Medical Term Volvulus.
From healthjade.net
Cecal volvulus causes, symptoms, diagnosis, treatment & prognosis Define Medical Term Volvulus Volvulus is a condition that occurs when your bowel (which makes up your small intestine, colon, and rectum) twists around. Volvulus causes obstruction to the flow of contents and threatens occlusion of the supplying blood. Volvulus occurs when a loop of intestine twists around itself and the mesentery that supplies it, causing a bowel obstruction. Volvulus is the twisting of. Define Medical Term Volvulus.
From www.slideserve.com
PPT VOLVULUS PowerPoint Presentation, free download ID3343529 Define Medical Term Volvulus Volvulus occurs when part of the intestine loops around and folds over itself. Volvulus is the twisting of a section of the large or small intestine (bowel). A volvulus (derived from the latin ‘to twist’) is the twisting of a loop of intestine around its mesenteric attachment base, resulting in a closed loop bowel obstruction. It is a serious condition. Define Medical Term Volvulus.
From mavink.com
Volvulus Diagram Define Medical Term Volvulus Volvulus causes obstruction to the flow of contents and threatens occlusion of the supplying blood. Volvulus is a condition that occurs when a portion of the intestines twists around itself, causing a blockage and impairing the. It often happens in the cecal and sigmoid colon sections of the. Volvulus occurs when part of the intestine loops around and folds over. Define Medical Term Volvulus.
From www.hindustantimes.com
Midgut Volvulus Causes and diagnosis of this rare abdomen disorder Define Medical Term Volvulus Volvulus occurs when part of the intestine loops around and folds over itself. Volvulus occurs when a loop of intestine twists around itself and the mesentery that supplies it, causing a bowel obstruction. Symptoms include abdominal distension, pain,. A volvulus (derived from the latin ‘to twist’) is the twisting of a loop of intestine around its mesenteric attachment base, resulting. Define Medical Term Volvulus.
From s606.photobucket.com
Volvulus.jpg Photo by drnguyenanhbinh Photobucket Define Medical Term Volvulus Volvulus occurs when a loop of intestine twists around itself and the mesentery that supplies it, causing a bowel obstruction. Volvulus is a condition that occurs when your bowel (which makes up your small intestine, colon, and rectum) twists around. Volvulus occurs when part of the intestine loops around and folds over itself. It is a serious condition that may.. Define Medical Term Volvulus.
From medicalschoolquicktopics.blogspot.com
volvolus,what to know? Define Medical Term Volvulus Volvulus is a condition that occurs when your bowel (which makes up your small intestine, colon, and rectum) twists around. Twisting of a loop of intestine. Volvulus occurs when part of the intestine loops around and folds over itself. It is a serious condition that may. Volvulus occurs when a loop of intestine twists around itself and the mesentery that. Define Medical Term Volvulus.
From www.shutterstock.com
Volvulus Loop Intestine Twists Around Itself Stock Illustration 1226546776 Define Medical Term Volvulus Volvulus is a condition that occurs when your bowel (which makes up your small intestine, colon, and rectum) twists around. Twisting of a loop of intestine. Volvulus occurs when a loop of intestine twists around itself and the mesentery that supplies it, causing a bowel obstruction. A volvulus (derived from the latin ‘to twist’) is the twisting of a loop. Define Medical Term Volvulus.
From drugline.org
Volvulus. Causes, symptoms, treatment Volvulus Define Medical Term Volvulus Symptoms include abdominal distension, pain,. Volvulus occurs when a loop of intestine twists around itself and the mesentery that supplies it, causing a bowel obstruction. A volvulus (derived from the latin ‘to twist’) is the twisting of a loop of intestine around its mesenteric attachment base, resulting in a closed loop bowel obstruction. Volvulus occurs when part of the intestine. Define Medical Term Volvulus.
From www.studypool.com
SOLUTION Sigmoid volvulus Studypool Define Medical Term Volvulus Symptoms include abdominal distension, pain,. Volvulus is a condition that occurs when a portion of the intestines twists around itself, causing a blockage and impairing the. Volvulus occurs when a loop of intestine twists around itself and the mesentery that supplies it, causing a bowel obstruction. It is a serious condition that may. A volvulus (derived from the latin ‘to. Define Medical Term Volvulus.
From www.slideshare.net
Volvulus Define Medical Term Volvulus It often happens in the cecal and sigmoid colon sections of the. It is a serious condition that may. Volvulus occurs when part of the intestine loops around and folds over itself. Volvulus is the twisting of a section of the large or small intestine (bowel). Volvulus is a condition that occurs when your bowel (which makes up your small. Define Medical Term Volvulus.
From healthjade.net
Volvulus definition, causes, volvulus types, diagnosis & volvulus treatment Define Medical Term Volvulus Volvulus occurs when part of the intestine loops around and folds over itself. Volvulus occurs when a loop of intestine twists around itself and the mesentery that supplies it, causing a bowel obstruction. Volvulus is the twisting of a section of the large or small intestine (bowel). Twisting of a loop of intestine. Volvulus is a condition that occurs when. Define Medical Term Volvulus.
From healthjade.com
Bowel Obstruction Small & Large Causes, Symptoms, Treatment Define Medical Term Volvulus A volvulus (derived from the latin ‘to twist’) is the twisting of a loop of intestine around its mesenteric attachment base, resulting in a closed loop bowel obstruction. It is a serious condition that may. It often happens in the cecal and sigmoid colon sections of the. Volvulus causes obstruction to the flow of contents and threatens occlusion of the. Define Medical Term Volvulus.
From jetem.org
Volvulus JETem Define Medical Term Volvulus Volvulus occurs when part of the intestine loops around and folds over itself. Symptoms include abdominal distension, pain,. A volvulus (derived from the latin ‘to twist’) is the twisting of a loop of intestine around its mesenteric attachment base, resulting in a closed loop bowel obstruction. Volvulus is a condition that occurs when a portion of the intestines twists around. Define Medical Term Volvulus.
From healthjade.com
Sigmoid colon anatomy, location, function, polyps, diverticulosis & cancer Define Medical Term Volvulus It often happens in the cecal and sigmoid colon sections of the. Twisting of a loop of intestine. Volvulus causes obstruction to the flow of contents and threatens occlusion of the supplying blood. Volvulus is a condition that occurs when a portion of the intestines twists around itself, causing a blockage and impairing the. Volvulus occurs when a loop of. Define Medical Term Volvulus.
From slideplayer.com
Abdominal and GI Disorders ppt download Define Medical Term Volvulus Volvulus occurs when part of the intestine loops around and folds over itself. Volvulus causes obstruction to the flow of contents and threatens occlusion of the supplying blood. Volvulus is a condition that occurs when a portion of the intestines twists around itself, causing a blockage and impairing the. Volvulus is the twisting of a section of the large or. Define Medical Term Volvulus.
From www.medicalnewstoday.com
Volvulus Definition, causes, and treatment Define Medical Term Volvulus Volvulus is the twisting of a section of the large or small intestine (bowel). Volvulus occurs when a loop of intestine twists around itself and the mesentery that supplies it, causing a bowel obstruction. Symptoms include abdominal distension, pain,. It often happens in the cecal and sigmoid colon sections of the. It is a serious condition that may. Volvulus causes. Define Medical Term Volvulus.
From www.lecturio.com
Volvulus Concise Medical Knowledge Define Medical Term Volvulus A volvulus (derived from the latin ‘to twist’) is the twisting of a loop of intestine around its mesenteric attachment base, resulting in a closed loop bowel obstruction. It often happens in the cecal and sigmoid colon sections of the. It is a serious condition that may. Volvulus is a condition that occurs when your bowel (which makes up your. Define Medical Term Volvulus.
From pubs.rsna.org
Volvulus of the Gastrointestinal Tract Appearances at Multimodality Define Medical Term Volvulus Symptoms include abdominal distension, pain,. Volvulus is the twisting of a section of the large or small intestine (bowel). It often happens in the cecal and sigmoid colon sections of the. It is a serious condition that may. Volvulus causes obstruction to the flow of contents and threatens occlusion of the supplying blood. Volvulus is a condition that occurs when. Define Medical Term Volvulus.
From www.slideserve.com
PPT Colonic Volvulus PowerPoint Presentation ID1607309 Define Medical Term Volvulus Volvulus is a condition that occurs when a portion of the intestines twists around itself, causing a blockage and impairing the. Volvulus occurs when a loop of intestine twists around itself and the mesentery that supplies it, causing a bowel obstruction. Volvulus causes obstruction to the flow of contents and threatens occlusion of the supplying blood. A volvulus (derived from. Define Medical Term Volvulus.
From www.healthgrades.com
Volvulus Definition, Causes, and Treatment Define Medical Term Volvulus It is a serious condition that may. Symptoms include abdominal distension, pain,. Volvulus occurs when part of the intestine loops around and folds over itself. Volvulus is the twisting of a section of the large or small intestine (bowel). Volvulus is a condition that occurs when your bowel (which makes up your small intestine, colon, and rectum) twists around. Volvulus. Define Medical Term Volvulus.
From depositphotos.com
Volvulus Colon Stock Vector Image by ©nnfotograf 230678670 Define Medical Term Volvulus It often happens in the cecal and sigmoid colon sections of the. Volvulus occurs when a loop of intestine twists around itself and the mesentery that supplies it, causing a bowel obstruction. Symptoms include abdominal distension, pain,. Volvulus causes obstruction to the flow of contents and threatens occlusion of the supplying blood. Twisting of a loop of intestine. Volvulus is. Define Medical Term Volvulus.
From www.youtube.com
Understanding Volvulus (Twisted Bowel) YouTube Define Medical Term Volvulus Symptoms include abdominal distension, pain,. Volvulus is a condition that occurs when your bowel (which makes up your small intestine, colon, and rectum) twists around. Volvulus is a condition that occurs when a portion of the intestines twists around itself, causing a blockage and impairing the. Volvulus causes obstruction to the flow of contents and threatens occlusion of the supplying. Define Medical Term Volvulus.
From healthjade.com
Volvulus definition, causes, volvulus types, diagnosis & volvulus treatment Define Medical Term Volvulus Volvulus is a condition that occurs when a portion of the intestines twists around itself, causing a blockage and impairing the. Volvulus is the twisting of a section of the large or small intestine (bowel). It is a serious condition that may. Volvulus is a condition that occurs when your bowel (which makes up your small intestine, colon, and rectum). Define Medical Term Volvulus.
From www.slideserve.com
PPT SURGERY FOR VOLVULUS Who and When? PowerPoint Presentation, free Define Medical Term Volvulus Volvulus occurs when part of the intestine loops around and folds over itself. A volvulus (derived from the latin ‘to twist’) is the twisting of a loop of intestine around its mesenteric attachment base, resulting in a closed loop bowel obstruction. Volvulus causes obstruction to the flow of contents and threatens occlusion of the supplying blood. It is a serious. Define Medical Term Volvulus.
From www.slideshare.net
Volvulus Define Medical Term Volvulus Volvulus is a condition that occurs when a portion of the intestines twists around itself, causing a blockage and impairing the. Volvulus occurs when part of the intestine loops around and folds over itself. Volvulus is a condition that occurs when your bowel (which makes up your small intestine, colon, and rectum) twists around. Symptoms include abdominal distension, pain,. It. Define Medical Term Volvulus.
From healthjade.net
Volvulus definition, causes, volvulus types, diagnosis & volvulus treatment Define Medical Term Volvulus Symptoms include abdominal distension, pain,. A volvulus (derived from the latin ‘to twist’) is the twisting of a loop of intestine around its mesenteric attachment base, resulting in a closed loop bowel obstruction. Volvulus occurs when a loop of intestine twists around itself and the mesentery that supplies it, causing a bowel obstruction. Volvulus occurs when part of the intestine. Define Medical Term Volvulus.
From healthjade.net
Volvulus definition, causes, volvulus types, diagnosis & volvulus treatment Define Medical Term Volvulus Volvulus is a condition that occurs when your bowel (which makes up your small intestine, colon, and rectum) twists around. Volvulus occurs when part of the intestine loops around and folds over itself. It is a serious condition that may. Volvulus causes obstruction to the flow of contents and threatens occlusion of the supplying blood. It often happens in the. Define Medical Term Volvulus.