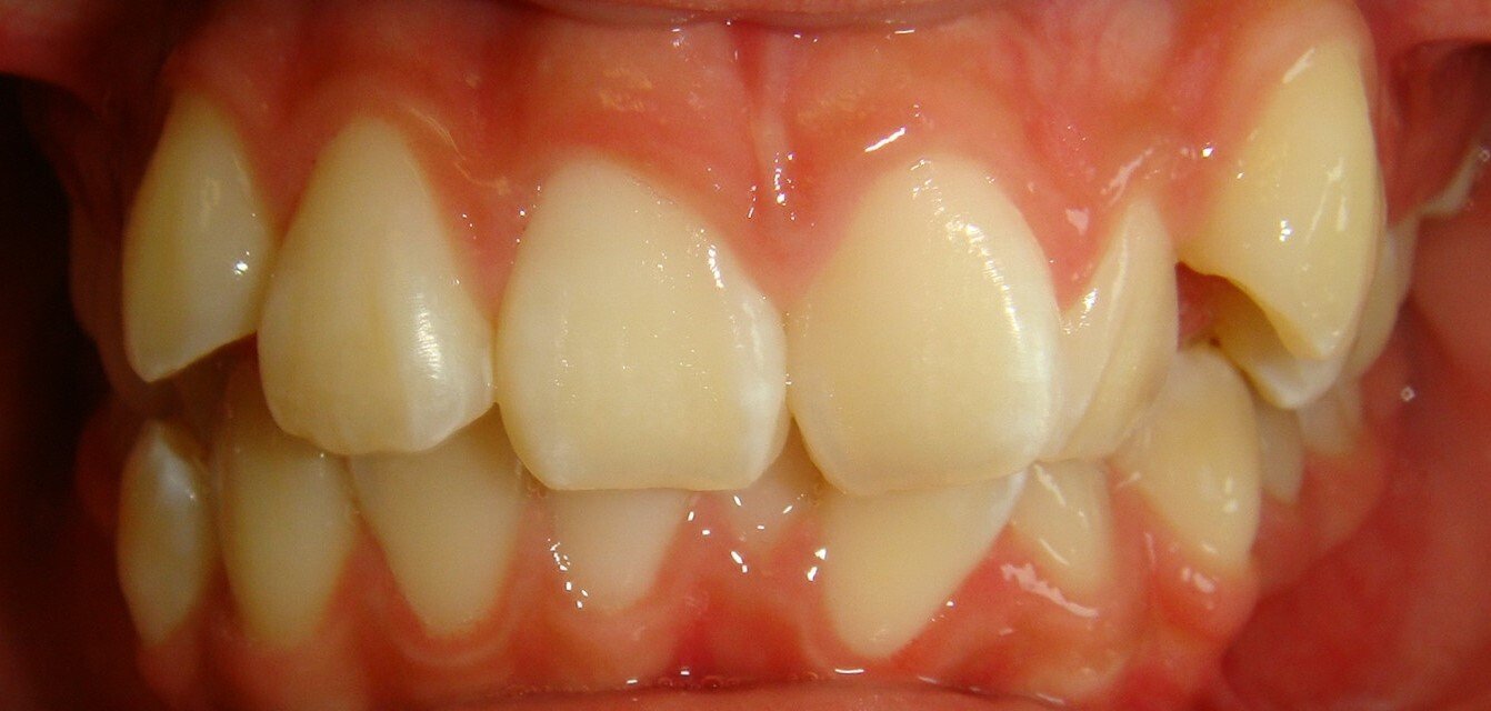
What Causes Dental Crowding . Numerous factors contribute to dental crowding, ranging from genetic predispositions to habits. In this article, we will explore the causes behind teeth crowding, the symptoms to watch for, and its potential effects on your dental health. Dental crowding, also known as dental malposition, occurs when there is insufficient space for the permanent teeth to grow, causing the teeth to be misaligned. Dental crowding happens when teeth don't have enough space in the mouth. This causes teeth to grow in twisted and not straight. This can affect oral health as well as appearance, so dentists may. Normally, teeth should have enough room to grow without. This can lead to oral health complications if left untreated. Crowded teeth can occur at any age, resulting in teeth which are misaligned to some degree. Malocclusion of the teeth is when your teeth are misaligned.
from www.sarasotadentistry.com
Crowded teeth can occur at any age, resulting in teeth which are misaligned to some degree. Malocclusion of the teeth is when your teeth are misaligned. This causes teeth to grow in twisted and not straight. This can lead to oral health complications if left untreated. This can affect oral health as well as appearance, so dentists may. Numerous factors contribute to dental crowding, ranging from genetic predispositions to habits. In this article, we will explore the causes behind teeth crowding, the symptoms to watch for, and its potential effects on your dental health. Dental crowding happens when teeth don't have enough space in the mouth. Dental crowding, also known as dental malposition, occurs when there is insufficient space for the permanent teeth to grow, causing the teeth to be misaligned. Normally, teeth should have enough room to grow without.
What Causes Crowded Teeth and How to Fix Them Sarasota Dentistry
What Causes Dental Crowding Dental crowding, also known as dental malposition, occurs when there is insufficient space for the permanent teeth to grow, causing the teeth to be misaligned. This can lead to oral health complications if left untreated. Malocclusion of the teeth is when your teeth are misaligned. Numerous factors contribute to dental crowding, ranging from genetic predispositions to habits. Normally, teeth should have enough room to grow without. Dental crowding happens when teeth don't have enough space in the mouth. In this article, we will explore the causes behind teeth crowding, the symptoms to watch for, and its potential effects on your dental health. Dental crowding, also known as dental malposition, occurs when there is insufficient space for the permanent teeth to grow, causing the teeth to be misaligned. This causes teeth to grow in twisted and not straight. Crowded teeth can occur at any age, resulting in teeth which are misaligned to some degree. This can affect oral health as well as appearance, so dentists may.
From www.clonmelorthodontist.ie
What is dental (orthodontic) crowding? Clonmel Orthodontics What Causes Dental Crowding Dental crowding happens when teeth don't have enough space in the mouth. In this article, we will explore the causes behind teeth crowding, the symptoms to watch for, and its potential effects on your dental health. This can affect oral health as well as appearance, so dentists may. This can lead to oral health complications if left untreated. Crowded teeth. What Causes Dental Crowding.
From www.woodhilldentalspecialties.com
Ways We Can Help With Teeth Crowding • Woodhill Dental Specialties What Causes Dental Crowding Dental crowding, also known as dental malposition, occurs when there is insufficient space for the permanent teeth to grow, causing the teeth to be misaligned. Normally, teeth should have enough room to grow without. This can affect oral health as well as appearance, so dentists may. In this article, we will explore the causes behind teeth crowding, the symptoms to. What Causes Dental Crowding.
From woodlawnortho.ca
Understanding Dental Crowding Causes, Consequences, and Solutions What Causes Dental Crowding In this article, we will explore the causes behind teeth crowding, the symptoms to watch for, and its potential effects on your dental health. Dental crowding, also known as dental malposition, occurs when there is insufficient space for the permanent teeth to grow, causing the teeth to be misaligned. This causes teeth to grow in twisted and not straight. Numerous. What Causes Dental Crowding.
From guibihatforth.weebly.com
causes crowded teeth What Causes Dental Crowding This can affect oral health as well as appearance, so dentists may. Dental crowding happens when teeth don't have enough space in the mouth. Crowded teeth can occur at any age, resulting in teeth which are misaligned to some degree. This can lead to oral health complications if left untreated. Malocclusion of the teeth is when your teeth are misaligned.. What Causes Dental Crowding.
From lasrydentalclinic.com
Your Overcrowded Teeth Causes, Symptoms, and Solutions What Causes Dental Crowding Crowded teeth can occur at any age, resulting in teeth which are misaligned to some degree. Malocclusion of the teeth is when your teeth are misaligned. This can lead to oral health complications if left untreated. This causes teeth to grow in twisted and not straight. Dental crowding, also known as dental malposition, occurs when there is insufficient space for. What Causes Dental Crowding.
From lasrydentalclinic.com
Your Overcrowded Teeth Causes, Symptoms, and Solutions What Causes Dental Crowding Normally, teeth should have enough room to grow without. In this article, we will explore the causes behind teeth crowding, the symptoms to watch for, and its potential effects on your dental health. Dental crowding, also known as dental malposition, occurs when there is insufficient space for the permanent teeth to grow, causing the teeth to be misaligned. This causes. What Causes Dental Crowding.
From singlearticles.com
Causes of dental crowding Single Articles What Causes Dental Crowding Crowded teeth can occur at any age, resulting in teeth which are misaligned to some degree. In this article, we will explore the causes behind teeth crowding, the symptoms to watch for, and its potential effects on your dental health. Dental crowding happens when teeth don't have enough space in the mouth. Malocclusion of the teeth is when your teeth. What Causes Dental Crowding.
From www.woodhilldentalspecialties.com
Ways We Can Help With Teeth Crowding • Woodhill Dental Specialties What Causes Dental Crowding This can lead to oral health complications if left untreated. Normally, teeth should have enough room to grow without. Malocclusion of the teeth is when your teeth are misaligned. This causes teeth to grow in twisted and not straight. Dental crowding, also known as dental malposition, occurs when there is insufficient space for the permanent teeth to grow, causing the. What Causes Dental Crowding.
From aloradentalclinic.com
Overbite vs. Underbite Causes, Differences & Solutions What Causes Dental Crowding This can lead to oral health complications if left untreated. This causes teeth to grow in twisted and not straight. In this article, we will explore the causes behind teeth crowding, the symptoms to watch for, and its potential effects on your dental health. Dental crowding, also known as dental malposition, occurs when there is insufficient space for the permanent. What Causes Dental Crowding.
From loveablesmiles.com
Crowded Teeth and Your Overall Health Loveable Smiles Dentistry What Causes Dental Crowding Malocclusion of the teeth is when your teeth are misaligned. Crowded teeth can occur at any age, resulting in teeth which are misaligned to some degree. Dental crowding happens when teeth don't have enough space in the mouth. This can lead to oral health complications if left untreated. This can affect oral health as well as appearance, so dentists may.. What Causes Dental Crowding.
From ar.inspiredpencil.com
Moderate Crowding Teeth What Causes Dental Crowding This causes teeth to grow in twisted and not straight. This can lead to oral health complications if left untreated. Dental crowding happens when teeth don't have enough space in the mouth. This can affect oral health as well as appearance, so dentists may. Numerous factors contribute to dental crowding, ranging from genetic predispositions to habits. In this article, we. What Causes Dental Crowding.
From lasrydentalclinic.com
Your Overcrowded Teeth Causes, Symptoms, and Solutions What Causes Dental Crowding This can affect oral health as well as appearance, so dentists may. Crowded teeth can occur at any age, resulting in teeth which are misaligned to some degree. Numerous factors contribute to dental crowding, ranging from genetic predispositions to habits. This can lead to oral health complications if left untreated. Normally, teeth should have enough room to grow without. Dental. What Causes Dental Crowding.
From www.nwph.net
Causes of Crowded Teeth and How You Can Straighten Them What Causes Dental Crowding This causes teeth to grow in twisted and not straight. Dental crowding happens when teeth don't have enough space in the mouth. Crowded teeth can occur at any age, resulting in teeth which are misaligned to some degree. Malocclusion of the teeth is when your teeth are misaligned. This can lead to oral health complications if left untreated. Normally, teeth. What Causes Dental Crowding.
From www.jrosenortho.com
Dental Crowding Causes and Treatment What Causes Dental Crowding This causes teeth to grow in twisted and not straight. Crowded teeth can occur at any age, resulting in teeth which are misaligned to some degree. This can affect oral health as well as appearance, so dentists may. Dental crowding happens when teeth don't have enough space in the mouth. Malocclusion of the teeth is when your teeth are misaligned.. What Causes Dental Crowding.
From www.sunnysidedental.ca
Help! My Teeth Are Crowding with Age Sunnyside Dental What Causes Dental Crowding Dental crowding happens when teeth don't have enough space in the mouth. Numerous factors contribute to dental crowding, ranging from genetic predispositions to habits. This causes teeth to grow in twisted and not straight. Dental crowding, also known as dental malposition, occurs when there is insufficient space for the permanent teeth to grow, causing the teeth to be misaligned. This. What Causes Dental Crowding.
From www.drmashouf.com
Do wisdom teeth cause your teeth to crowded? — Mashouf Orthodontics What Causes Dental Crowding Crowded teeth can occur at any age, resulting in teeth which are misaligned to some degree. This causes teeth to grow in twisted and not straight. Normally, teeth should have enough room to grow without. In this article, we will explore the causes behind teeth crowding, the symptoms to watch for, and its potential effects on your dental health. Dental. What Causes Dental Crowding.
From shineorthodontics.com.au
Shine Orthodontics Crowding What Causes Dental Crowding Crowded teeth can occur at any age, resulting in teeth which are misaligned to some degree. Dental crowding happens when teeth don't have enough space in the mouth. Normally, teeth should have enough room to grow without. This causes teeth to grow in twisted and not straight. Dental crowding, also known as dental malposition, occurs when there is insufficient space. What Causes Dental Crowding.
From www.semanticscholar.org
Figure 14 from Origins of dental crowding and malocclusions an What Causes Dental Crowding Dental crowding, also known as dental malposition, occurs when there is insufficient space for the permanent teeth to grow, causing the teeth to be misaligned. Normally, teeth should have enough room to grow without. Numerous factors contribute to dental crowding, ranging from genetic predispositions to habits. This can affect oral health as well as appearance, so dentists may. In this. What Causes Dental Crowding.
From www.animalia-life.club
Crowded Teeth What Causes Dental Crowding This causes teeth to grow in twisted and not straight. Dental crowding happens when teeth don't have enough space in the mouth. Dental crowding, also known as dental malposition, occurs when there is insufficient space for the permanent teeth to grow, causing the teeth to be misaligned. Numerous factors contribute to dental crowding, ranging from genetic predispositions to habits. In. What Causes Dental Crowding.
From www.youtube.com
What Causes Dental Crowding? YouTube What Causes Dental Crowding Numerous factors contribute to dental crowding, ranging from genetic predispositions to habits. Dental crowding, also known as dental malposition, occurs when there is insufficient space for the permanent teeth to grow, causing the teeth to be misaligned. This can affect oral health as well as appearance, so dentists may. In this article, we will explore the causes behind teeth crowding,. What Causes Dental Crowding.
From www.newmouth.com
Crowded Teeth What Causes Them and How to Fix Them What Causes Dental Crowding Dental crowding, also known as dental malposition, occurs when there is insufficient space for the permanent teeth to grow, causing the teeth to be misaligned. Malocclusion of the teeth is when your teeth are misaligned. Normally, teeth should have enough room to grow without. This can affect oral health as well as appearance, so dentists may. In this article, we. What Causes Dental Crowding.
From diamonddentalservice.com
Crowding & Spacing Correction Lake Zurich, IL Diamond Dental Service What Causes Dental Crowding Crowded teeth can occur at any age, resulting in teeth which are misaligned to some degree. Malocclusion of the teeth is when your teeth are misaligned. In this article, we will explore the causes behind teeth crowding, the symptoms to watch for, and its potential effects on your dental health. Numerous factors contribute to dental crowding, ranging from genetic predispositions. What Causes Dental Crowding.
From www.woodhilldentalspecialties.com
Ways We Can Help With Teeth Crowding • Woodhill Dental Specialties What Causes Dental Crowding In this article, we will explore the causes behind teeth crowding, the symptoms to watch for, and its potential effects on your dental health. This causes teeth to grow in twisted and not straight. Dental crowding, also known as dental malposition, occurs when there is insufficient space for the permanent teeth to grow, causing the teeth to be misaligned. This. What Causes Dental Crowding.
From vossdental.com
What are Crowded Teeth? Causes & Treatment Options What Causes Dental Crowding This causes teeth to grow in twisted and not straight. This can lead to oral health complications if left untreated. Crowded teeth can occur at any age, resulting in teeth which are misaligned to some degree. Normally, teeth should have enough room to grow without. Dental crowding, also known as dental malposition, occurs when there is insufficient space for the. What Causes Dental Crowding.
From www.nwph.net
Causes of Crowded Teeth and How You Can Straighten Them What Causes Dental Crowding Dental crowding happens when teeth don't have enough space in the mouth. Crowded teeth can occur at any age, resulting in teeth which are misaligned to some degree. This can affect oral health as well as appearance, so dentists may. Normally, teeth should have enough room to grow without. In this article, we will explore the causes behind teeth crowding,. What Causes Dental Crowding.
From www.smileworksdental.co.uk
Crowded Teeth Causes and Treatments Smile Works Dental What Causes Dental Crowding This causes teeth to grow in twisted and not straight. In this article, we will explore the causes behind teeth crowding, the symptoms to watch for, and its potential effects on your dental health. Crowded teeth can occur at any age, resulting in teeth which are misaligned to some degree. Dental crowding happens when teeth don't have enough space in. What Causes Dental Crowding.
From smilelogicortho.com
Crowded top teeth made straighter with braces · Smile Logic What Causes Dental Crowding Dental crowding happens when teeth don't have enough space in the mouth. This can lead to oral health complications if left untreated. Normally, teeth should have enough room to grow without. Crowded teeth can occur at any age, resulting in teeth which are misaligned to some degree. Malocclusion of the teeth is when your teeth are misaligned. In this article,. What Causes Dental Crowding.
From www.clinicadentalgrossdentistas.com
Dental crowding Causes, different types and treatments What Causes Dental Crowding Crowded teeth can occur at any age, resulting in teeth which are misaligned to some degree. This causes teeth to grow in twisted and not straight. Normally, teeth should have enough room to grow without. Dental crowding, also known as dental malposition, occurs when there is insufficient space for the permanent teeth to grow, causing the teeth to be misaligned.. What Causes Dental Crowding.
From www.allsmilesdental.sg
7 Types of Malocclusion AllSmiles Dental Care What Causes Dental Crowding This can lead to oral health complications if left untreated. Malocclusion of the teeth is when your teeth are misaligned. Dental crowding, also known as dental malposition, occurs when there is insufficient space for the permanent teeth to grow, causing the teeth to be misaligned. This causes teeth to grow in twisted and not straight. Crowded teeth can occur at. What Causes Dental Crowding.
From oralhealthline.com
Crowding Teeth Causes, Side Effects, and Treatment Options Oral What Causes Dental Crowding Dental crowding, also known as dental malposition, occurs when there is insufficient space for the permanent teeth to grow, causing the teeth to be misaligned. This causes teeth to grow in twisted and not straight. Crowded teeth can occur at any age, resulting in teeth which are misaligned to some degree. Malocclusion of the teeth is when your teeth are. What Causes Dental Crowding.
From www.sarasotadentistry.com
What Causes Crowded Teeth and How to Fix Them Sarasota Dentistry What Causes Dental Crowding This causes teeth to grow in twisted and not straight. This can lead to oral health complications if left untreated. Malocclusion of the teeth is when your teeth are misaligned. Crowded teeth can occur at any age, resulting in teeth which are misaligned to some degree. In this article, we will explore the causes behind teeth crowding, the symptoms to. What Causes Dental Crowding.
From www.orthodonticexprts.com
Crowding Addressing Teeth Misalignment Effectively What Causes Dental Crowding Numerous factors contribute to dental crowding, ranging from genetic predispositions to habits. Crowded teeth can occur at any age, resulting in teeth which are misaligned to some degree. This can lead to oral health complications if left untreated. Malocclusion of the teeth is when your teeth are misaligned. In this article, we will explore the causes behind teeth crowding, the. What Causes Dental Crowding.
From www.woodhilldentalspecialties.com
Ways We Can Help With Teeth Crowding • Woodhill Dental Specialties What Causes Dental Crowding This causes teeth to grow in twisted and not straight. Normally, teeth should have enough room to grow without. In this article, we will explore the causes behind teeth crowding, the symptoms to watch for, and its potential effects on your dental health. Crowded teeth can occur at any age, resulting in teeth which are misaligned to some degree. This. What Causes Dental Crowding.
From www.smilelogicortho.com
Crowding ages 714 years · Smile Logic Orthodontics · South Brunswick NJ What Causes Dental Crowding Malocclusion of the teeth is when your teeth are misaligned. This can lead to oral health complications if left untreated. Crowded teeth can occur at any age, resulting in teeth which are misaligned to some degree. Dental crowding happens when teeth don't have enough space in the mouth. This can affect oral health as well as appearance, so dentists may.. What Causes Dental Crowding.
From outstandingortho.com
Crowding Teeth Why It Happens & What to Do About It What Causes Dental Crowding This causes teeth to grow in twisted and not straight. Crowded teeth can occur at any age, resulting in teeth which are misaligned to some degree. This can affect oral health as well as appearance, so dentists may. Numerous factors contribute to dental crowding, ranging from genetic predispositions to habits. In this article, we will explore the causes behind teeth. What Causes Dental Crowding.