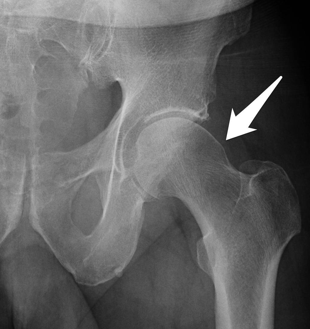
Cam Type Fai X Ray . Arrows show herniation pit caused by cam type of femoroacetabular impingement. Iil = ilioischial line, aw = anterior wall, pw = posterior wall, f = fossa. Your doctor may order imaging tests to help determine whether you have fai. Femoroacetabular impingement (fai) is the abnormal contact between the femur and acetabulum which may lead to labral damage, various degrees of chondral injury and progressive. Preoperative images of a 33 years old male with cam type fai are illustrated. Learn about the risk factors, clinical presentation, radiographic. (a) the ap pelvic radiograph reveals an asphericity at the.
from radedasia.com
Your doctor may order imaging tests to help determine whether you have fai. (a) the ap pelvic radiograph reveals an asphericity at the. Learn about the risk factors, clinical presentation, radiographic. Preoperative images of a 33 years old male with cam type fai are illustrated. Femoroacetabular impingement (fai) is the abnormal contact between the femur and acetabulum which may lead to labral damage, various degrees of chondral injury and progressive. Arrows show herniation pit caused by cam type of femoroacetabular impingement. Iil = ilioischial line, aw = anterior wall, pw = posterior wall, f = fossa.
MRI HIP CAM FAI FEMORO ACETABULAR IMPINGEMENT Radedasia
Cam Type Fai X Ray Iil = ilioischial line, aw = anterior wall, pw = posterior wall, f = fossa. Femoroacetabular impingement (fai) is the abnormal contact between the femur and acetabulum which may lead to labral damage, various degrees of chondral injury and progressive. Learn about the risk factors, clinical presentation, radiographic. Iil = ilioischial line, aw = anterior wall, pw = posterior wall, f = fossa. Preoperative images of a 33 years old male with cam type fai are illustrated. Your doctor may order imaging tests to help determine whether you have fai. (a) the ap pelvic radiograph reveals an asphericity at the. Arrows show herniation pit caused by cam type of femoroacetabular impingement.
From www.cincysportssurgeon.com
FAI FAQ's Dr. Rice Cam Impingement & Pincer Impingement Cincinnati Cam Type Fai X Ray Arrows show herniation pit caused by cam type of femoroacetabular impingement. (a) the ap pelvic radiograph reveals an asphericity at the. Your doctor may order imaging tests to help determine whether you have fai. Femoroacetabular impingement (fai) is the abnormal contact between the femur and acetabulum which may lead to labral damage, various degrees of chondral injury and progressive. Preoperative. Cam Type Fai X Ray.
From mavink.com
Hip Cam Impingement Lesion Cam Type Fai X Ray Preoperative images of a 33 years old male with cam type fai are illustrated. Arrows show herniation pit caused by cam type of femoroacetabular impingement. Iil = ilioischial line, aw = anterior wall, pw = posterior wall, f = fossa. (a) the ap pelvic radiograph reveals an asphericity at the. Femoroacetabular impingement (fai) is the abnormal contact between the femur. Cam Type Fai X Ray.
From www.slideserve.com
PPT Femoroacetabular Impingement FAI PowerPoint Presentation, free download ID4188804 Cam Type Fai X Ray Femoroacetabular impingement (fai) is the abnormal contact between the femur and acetabulum which may lead to labral damage, various degrees of chondral injury and progressive. Arrows show herniation pit caused by cam type of femoroacetabular impingement. (a) the ap pelvic radiograph reveals an asphericity at the. Iil = ilioischial line, aw = anterior wall, pw = posterior wall, f =. Cam Type Fai X Ray.
From www.nirschl.com
Femoroacetabular Impingement Arlington VA Nirschl Orthopaedic Center Cam Type Fai X Ray Iil = ilioischial line, aw = anterior wall, pw = posterior wall, f = fossa. Learn about the risk factors, clinical presentation, radiographic. (a) the ap pelvic radiograph reveals an asphericity at the. Your doctor may order imaging tests to help determine whether you have fai. Femoroacetabular impingement (fai) is the abnormal contact between the femur and acetabulum which may. Cam Type Fai X Ray.
From sportmedschool.com
FEMORAL ACETABULAR IMPINGEMENT Sport Med School Cam Type Fai X Ray Arrows show herniation pit caused by cam type of femoroacetabular impingement. (a) the ap pelvic radiograph reveals an asphericity at the. Femoroacetabular impingement (fai) is the abnormal contact between the femur and acetabulum which may lead to labral damage, various degrees of chondral injury and progressive. Preoperative images of a 33 years old male with cam type fai are illustrated.. Cam Type Fai X Ray.
From www.beaconortho.com
What is Femoroacetabular Impingement? Cam Type Fai X Ray Iil = ilioischial line, aw = anterior wall, pw = posterior wall, f = fossa. Learn about the risk factors, clinical presentation, radiographic. Preoperative images of a 33 years old male with cam type fai are illustrated. Arrows show herniation pit caused by cam type of femoroacetabular impingement. Femoroacetabular impingement (fai) is the abnormal contact between the femur and acetabulum. Cam Type Fai X Ray.
From santabarbarasportsorthopedic.com
Femoroacetabular Impingement (FAI) Hip Specialist Santa Barbara, Santa Maria, Ventura CA Cam Type Fai X Ray Preoperative images of a 33 years old male with cam type fai are illustrated. Femoroacetabular impingement (fai) is the abnormal contact between the femur and acetabulum which may lead to labral damage, various degrees of chondral injury and progressive. Iil = ilioischial line, aw = anterior wall, pw = posterior wall, f = fossa. Learn about the risk factors, clinical. Cam Type Fai X Ray.
From www.slideserve.com
PPT Femoroacetabular Impingement FAI PowerPoint Presentation, free download ID4188804 Cam Type Fai X Ray Your doctor may order imaging tests to help determine whether you have fai. (a) the ap pelvic radiograph reveals an asphericity at the. Arrows show herniation pit caused by cam type of femoroacetabular impingement. Learn about the risk factors, clinical presentation, radiographic. Femoroacetabular impingement (fai) is the abnormal contact between the femur and acetabulum which may lead to labral damage,. Cam Type Fai X Ray.
From radiopaedia.org
Image Cam Type Fai X Ray Your doctor may order imaging tests to help determine whether you have fai. Arrows show herniation pit caused by cam type of femoroacetabular impingement. Preoperative images of a 33 years old male with cam type fai are illustrated. Iil = ilioischial line, aw = anterior wall, pw = posterior wall, f = fossa. Femoroacetabular impingement (fai) is the abnormal contact. Cam Type Fai X Ray.
From radiopaedia.org
Femoroacetabular impingement camtype with alpha angle measurements Image Cam Type Fai X Ray Arrows show herniation pit caused by cam type of femoroacetabular impingement. Learn about the risk factors, clinical presentation, radiographic. (a) the ap pelvic radiograph reveals an asphericity at the. Iil = ilioischial line, aw = anterior wall, pw = posterior wall, f = fossa. Femoroacetabular impingement (fai) is the abnormal contact between the femur and acetabulum which may lead to. Cam Type Fai X Ray.
From clohisyhipsurgeon.com
Hip arthroscopy to treat FAI in a female dance instructor John C. Clohisy, MD Cam Type Fai X Ray Iil = ilioischial line, aw = anterior wall, pw = posterior wall, f = fossa. Your doctor may order imaging tests to help determine whether you have fai. Preoperative images of a 33 years old male with cam type fai are illustrated. Learn about the risk factors, clinical presentation, radiographic. (a) the ap pelvic radiograph reveals an asphericity at the.. Cam Type Fai X Ray.
From mavink.com
Cam Femoral Acetabular Impingement Cam Type Fai X Ray Preoperative images of a 33 years old male with cam type fai are illustrated. (a) the ap pelvic radiograph reveals an asphericity at the. Your doctor may order imaging tests to help determine whether you have fai. Femoroacetabular impingement (fai) is the abnormal contact between the femur and acetabulum which may lead to labral damage, various degrees of chondral injury. Cam Type Fai X Ray.
From www.researchgate.net
The acetabular retroversion index is calculated by dividing BC by AB... Download Scientific Cam Type Fai X Ray Learn about the risk factors, clinical presentation, radiographic. Iil = ilioischial line, aw = anterior wall, pw = posterior wall, f = fossa. Your doctor may order imaging tests to help determine whether you have fai. Femoroacetabular impingement (fai) is the abnormal contact between the femur and acetabulum which may lead to labral damage, various degrees of chondral injury and. Cam Type Fai X Ray.
From roberthowells.com.au
FemoroAcetabular Impingement Robert Howells Cam Type Fai X Ray Preoperative images of a 33 years old male with cam type fai are illustrated. Learn about the risk factors, clinical presentation, radiographic. Arrows show herniation pit caused by cam type of femoroacetabular impingement. Femoroacetabular impingement (fai) is the abnormal contact between the femur and acetabulum which may lead to labral damage, various degrees of chondral injury and progressive. Iil =. Cam Type Fai X Ray.
From dralisongrimaldi.com
Cam Morphology Development and Prevention Find out more Cam Type Fai X Ray Your doctor may order imaging tests to help determine whether you have fai. Learn about the risk factors, clinical presentation, radiographic. Femoroacetabular impingement (fai) is the abnormal contact between the femur and acetabulum which may lead to labral damage, various degrees of chondral injury and progressive. Preoperative images of a 33 years old male with cam type fai are illustrated.. Cam Type Fai X Ray.
From www.semanticscholar.org
Figure 1 from Prevalence of Cam and Pincer Deformities in the XRays of Asymptomatic Individuals Cam Type Fai X Ray (a) the ap pelvic radiograph reveals an asphericity at the. Your doctor may order imaging tests to help determine whether you have fai. Femoroacetabular impingement (fai) is the abnormal contact between the femur and acetabulum which may lead to labral damage, various degrees of chondral injury and progressive. Iil = ilioischial line, aw = anterior wall, pw = posterior wall,. Cam Type Fai X Ray.
From radiologycases.blogspot.com
Radiology Cases Cam FAI Cam Type Fai X Ray Femoroacetabular impingement (fai) is the abnormal contact between the femur and acetabulum which may lead to labral damage, various degrees of chondral injury and progressive. (a) the ap pelvic radiograph reveals an asphericity at the. Learn about the risk factors, clinical presentation, radiographic. Your doctor may order imaging tests to help determine whether you have fai. Iil = ilioischial line,. Cam Type Fai X Ray.
From www.drdavidgeier.com
Charleston part of ARod’s long journey back from hip surgery Dr. David Geier Sports Cam Type Fai X Ray Iil = ilioischial line, aw = anterior wall, pw = posterior wall, f = fossa. Arrows show herniation pit caused by cam type of femoroacetabular impingement. Preoperative images of a 33 years old male with cam type fai are illustrated. Your doctor may order imaging tests to help determine whether you have fai. Learn about the risk factors, clinical presentation,. Cam Type Fai X Ray.
From backtoactive.com.au
Femoroacetabular Impingement (FAI) Back to Active Sports and Spinal Macquarie Park Cam Type Fai X Ray Learn about the risk factors, clinical presentation, radiographic. Iil = ilioischial line, aw = anterior wall, pw = posterior wall, f = fossa. Your doctor may order imaging tests to help determine whether you have fai. Preoperative images of a 33 years old male with cam type fai are illustrated. Femoroacetabular impingement (fai) is the abnormal contact between the femur. Cam Type Fai X Ray.
From www.wjgnet.com
Corrections in alpha angle following two different operative approaches for CAMtype femoral Cam Type Fai X Ray Femoroacetabular impingement (fai) is the abnormal contact between the femur and acetabulum which may lead to labral damage, various degrees of chondral injury and progressive. Preoperative images of a 33 years old male with cam type fai are illustrated. (a) the ap pelvic radiograph reveals an asphericity at the. Learn about the risk factors, clinical presentation, radiographic. Iil = ilioischial. Cam Type Fai X Ray.
From www.ajronline.org
Femoroacetabular Impingement Radiographic Diagnosis—What the Radiologist Should Know AJR Cam Type Fai X Ray Arrows show herniation pit caused by cam type of femoroacetabular impingement. Femoroacetabular impingement (fai) is the abnormal contact between the femur and acetabulum which may lead to labral damage, various degrees of chondral injury and progressive. Your doctor may order imaging tests to help determine whether you have fai. Preoperative images of a 33 years old male with cam type. Cam Type Fai X Ray.
From www.researchgate.net
A standard AP radiograph of a patient with FAI related OA shows a... Download Scientific Diagram Cam Type Fai X Ray Arrows show herniation pit caused by cam type of femoroacetabular impingement. Iil = ilioischial line, aw = anterior wall, pw = posterior wall, f = fossa. Your doctor may order imaging tests to help determine whether you have fai. Preoperative images of a 33 years old male with cam type fai are illustrated. Learn about the risk factors, clinical presentation,. Cam Type Fai X Ray.
From www.ugbodybuilding.com
Hip Impingement / FAI / AIS Mobilization and Strengthening of the Medial Rotators Cam Type Fai X Ray Arrows show herniation pit caused by cam type of femoroacetabular impingement. Femoroacetabular impingement (fai) is the abnormal contact between the femur and acetabulum which may lead to labral damage, various degrees of chondral injury and progressive. Your doctor may order imaging tests to help determine whether you have fai. Iil = ilioischial line, aw = anterior wall, pw = posterior. Cam Type Fai X Ray.
From radedasia.com
MRI HIP CAM FAI FEMORO ACETABULAR IMPINGEMENT Radedasia Cam Type Fai X Ray Arrows show herniation pit caused by cam type of femoroacetabular impingement. Femoroacetabular impingement (fai) is the abnormal contact between the femur and acetabulum which may lead to labral damage, various degrees of chondral injury and progressive. Iil = ilioischial line, aw = anterior wall, pw = posterior wall, f = fossa. (a) the ap pelvic radiograph reveals an asphericity at. Cam Type Fai X Ray.
From www.democratandchronicle.com
The Injury Zone Common Hip Conditions Cam Type Fai X Ray (a) the ap pelvic radiograph reveals an asphericity at the. Your doctor may order imaging tests to help determine whether you have fai. Arrows show herniation pit caused by cam type of femoroacetabular impingement. Learn about the risk factors, clinical presentation, radiographic. Femoroacetabular impingement (fai) is the abnormal contact between the femur and acetabulum which may lead to labral damage,. Cam Type Fai X Ray.
From www.researchgate.net
(PDF) Femoroacetabular impingement a classic case of camtype impingement in a 21 yo soldier Cam Type Fai X Ray Femoroacetabular impingement (fai) is the abnormal contact between the femur and acetabulum which may lead to labral damage, various degrees of chondral injury and progressive. Your doctor may order imaging tests to help determine whether you have fai. Preoperative images of a 33 years old male with cam type fai are illustrated. Iil = ilioischial line, aw = anterior wall,. Cam Type Fai X Ray.
From www.nolasportsmedicine.com
Femoroacetabular Impingement (FAI) a.k.a. Hip Impingement Orthopedic Center for Sports Cam Type Fai X Ray Learn about the risk factors, clinical presentation, radiographic. Preoperative images of a 33 years old male with cam type fai are illustrated. Arrows show herniation pit caused by cam type of femoroacetabular impingement. Femoroacetabular impingement (fai) is the abnormal contact between the femur and acetabulum which may lead to labral damage, various degrees of chondral injury and progressive. (a) the. Cam Type Fai X Ray.
From indianapolisfitnessandsportstraining.com
Things You Should Know About Hip Pain due to Hip Impingement and Your Xray Findings Cam Type Fai X Ray Learn about the risk factors, clinical presentation, radiographic. Femoroacetabular impingement (fai) is the abnormal contact between the femur and acetabulum which may lead to labral damage, various degrees of chondral injury and progressive. Your doctor may order imaging tests to help determine whether you have fai. Iil = ilioischial line, aw = anterior wall, pw = posterior wall, f =. Cam Type Fai X Ray.
From lermagazine.com
Painful hip impingement Functional implications Lower Extremity Review Magazine Cam Type Fai X Ray Your doctor may order imaging tests to help determine whether you have fai. Iil = ilioischial line, aw = anterior wall, pw = posterior wall, f = fossa. (a) the ap pelvic radiograph reveals an asphericity at the. Learn about the risk factors, clinical presentation, radiographic. Arrows show herniation pit caused by cam type of femoroacetabular impingement. Femoroacetabular impingement (fai). Cam Type Fai X Ray.
From radedasia.com
MRI HIP CAM FAI FEMORO ACETABULAR IMPINGEMENT Radedasia Cam Type Fai X Ray Preoperative images of a 33 years old male with cam type fai are illustrated. Your doctor may order imaging tests to help determine whether you have fai. (a) the ap pelvic radiograph reveals an asphericity at the. Learn about the risk factors, clinical presentation, radiographic. Iil = ilioischial line, aw = anterior wall, pw = posterior wall, f = fossa.. Cam Type Fai X Ray.
From www.researchgate.net
Signs of bilateral femuroacetabular CAM impingement (arrows). Figura... Download Scientific Cam Type Fai X Ray Arrows show herniation pit caused by cam type of femoroacetabular impingement. Iil = ilioischial line, aw = anterior wall, pw = posterior wall, f = fossa. Learn about the risk factors, clinical presentation, radiographic. Femoroacetabular impingement (fai) is the abnormal contact between the femur and acetabulum which may lead to labral damage, various degrees of chondral injury and progressive. Your. Cam Type Fai X Ray.
From mavink.com
Pincer Type Acetabular Impingement Cam Type Fai X Ray Femoroacetabular impingement (fai) is the abnormal contact between the femur and acetabulum which may lead to labral damage, various degrees of chondral injury and progressive. Learn about the risk factors, clinical presentation, radiographic. Your doctor may order imaging tests to help determine whether you have fai. Preoperative images of a 33 years old male with cam type fai are illustrated.. Cam Type Fai X Ray.
From www.anteriorhipreview.com
cam impingement Cam Type Fai X Ray Arrows show herniation pit caused by cam type of femoroacetabular impingement. Learn about the risk factors, clinical presentation, radiographic. Your doctor may order imaging tests to help determine whether you have fai. (a) the ap pelvic radiograph reveals an asphericity at the. Preoperative images of a 33 years old male with cam type fai are illustrated. Femoroacetabular impingement (fai) is. Cam Type Fai X Ray.
From www.researchgate.net
An axial (frog) view of the left hip. The radiograph shows widening of... Download Scientific Cam Type Fai X Ray Iil = ilioischial line, aw = anterior wall, pw = posterior wall, f = fossa. Femoroacetabular impingement (fai) is the abnormal contact between the femur and acetabulum which may lead to labral damage, various degrees of chondral injury and progressive. Your doctor may order imaging tests to help determine whether you have fai. Preoperative images of a 33 years old. Cam Type Fai X Ray.
From www.npjournal.org
Femoroacetabular Impingement A Guide to Diagnosis in Primary Care The Journal for Nurse Cam Type Fai X Ray Iil = ilioischial line, aw = anterior wall, pw = posterior wall, f = fossa. Your doctor may order imaging tests to help determine whether you have fai. Arrows show herniation pit caused by cam type of femoroacetabular impingement. Preoperative images of a 33 years old male with cam type fai are illustrated. Learn about the risk factors, clinical presentation,. Cam Type Fai X Ray.