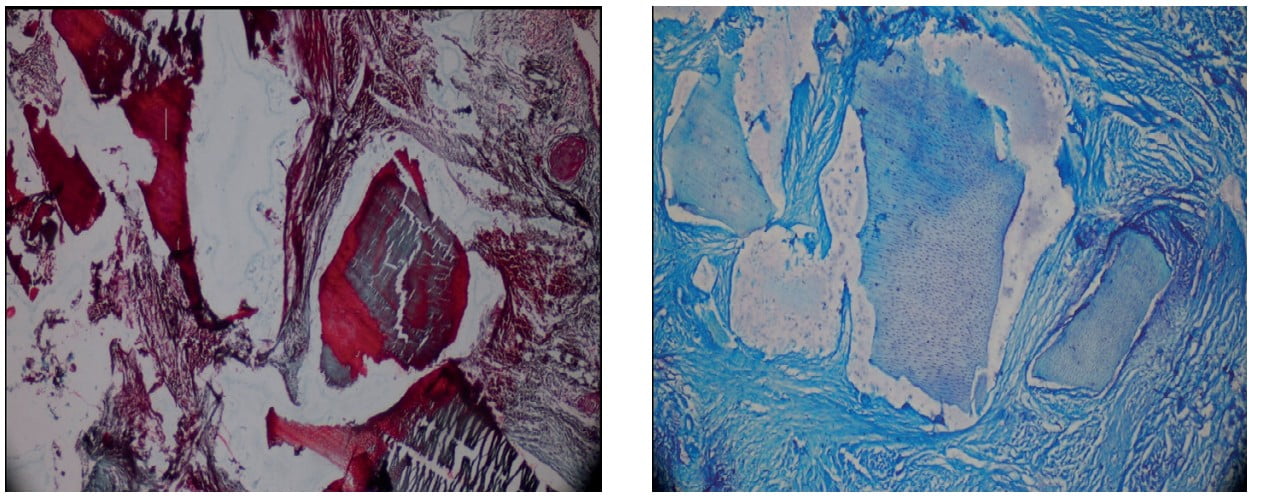
Tooth-Derived Bone Graft Material . Osteogenic capacity of tooth derived (mainly dentin) bone graft material has been shown in many studies with significant. With successful extraction of growth factors and bone morphogenic proteins (bmps) from mammalian teeth, many researchers have supported development of a bone. Based on the potentials of osteoconduction, osteoinduction, and. A bone graft is defined as a living tissue capable of promoting bone healing, transplanted into a bony defect, either. Autogenous tooth graft is an innovative and ingenious technique that employs a stepwise approach and utilizes human teeth as an.
from www.omfclinic.com.au
Based on the potentials of osteoconduction, osteoinduction, and. Autogenous tooth graft is an innovative and ingenious technique that employs a stepwise approach and utilizes human teeth as an. Osteogenic capacity of tooth derived (mainly dentin) bone graft material has been shown in many studies with significant. With successful extraction of growth factors and bone morphogenic proteins (bmps) from mammalian teeth, many researchers have supported development of a bone. A bone graft is defined as a living tissue capable of promoting bone healing, transplanted into a bony defect, either.
Bone Grafting — OMF Clinic
Tooth-Derived Bone Graft Material Osteogenic capacity of tooth derived (mainly dentin) bone graft material has been shown in many studies with significant. Autogenous tooth graft is an innovative and ingenious technique that employs a stepwise approach and utilizes human teeth as an. A bone graft is defined as a living tissue capable of promoting bone healing, transplanted into a bony defect, either. Osteogenic capacity of tooth derived (mainly dentin) bone graft material has been shown in many studies with significant. With successful extraction of growth factors and bone morphogenic proteins (bmps) from mammalian teeth, many researchers have supported development of a bone. Based on the potentials of osteoconduction, osteoinduction, and.
From www.scribd.com
Tooth Derived Bone Graft Material PDF Bone Dental Implant Tooth-Derived Bone Graft Material With successful extraction of growth factors and bone morphogenic proteins (bmps) from mammalian teeth, many researchers have supported development of a bone. A bone graft is defined as a living tissue capable of promoting bone healing, transplanted into a bony defect, either. Autogenous tooth graft is an innovative and ingenious technique that employs a stepwise approach and utilizes human teeth. Tooth-Derived Bone Graft Material.
From www.practicon.com
GUIDOR easygraft Bone Grafting System Large Practicon Dental Supplies Tooth-Derived Bone Graft Material Based on the potentials of osteoconduction, osteoinduction, and. Autogenous tooth graft is an innovative and ingenious technique that employs a stepwise approach and utilizes human teeth as an. With successful extraction of growth factors and bone morphogenic proteins (bmps) from mammalian teeth, many researchers have supported development of a bone. Osteogenic capacity of tooth derived (mainly dentin) bone graft material. Tooth-Derived Bone Graft Material.
From www.researchgate.net
Bone graft material produced using a patient's own extracted tooth Tooth-Derived Bone Graft Material Based on the potentials of osteoconduction, osteoinduction, and. A bone graft is defined as a living tissue capable of promoting bone healing, transplanted into a bony defect, either. With successful extraction of growth factors and bone morphogenic proteins (bmps) from mammalian teeth, many researchers have supported development of a bone. Autogenous tooth graft is an innovative and ingenious technique that. Tooth-Derived Bone Graft Material.
From www.bodyexpert.online
Dental bone graft what you need to know Body Expert Tooth-Derived Bone Graft Material A bone graft is defined as a living tissue capable of promoting bone healing, transplanted into a bony defect, either. With successful extraction of growth factors and bone morphogenic proteins (bmps) from mammalian teeth, many researchers have supported development of a bone. Based on the potentials of osteoconduction, osteoinduction, and. Autogenous tooth graft is an innovative and ingenious technique that. Tooth-Derived Bone Graft Material.
From www.researchgate.net
Tooth derived graft materials characteristics Download Scientific Diagram Tooth-Derived Bone Graft Material Based on the potentials of osteoconduction, osteoinduction, and. A bone graft is defined as a living tissue capable of promoting bone healing, transplanted into a bony defect, either. Osteogenic capacity of tooth derived (mainly dentin) bone graft material has been shown in many studies with significant. With successful extraction of growth factors and bone morphogenic proteins (bmps) from mammalian teeth,. Tooth-Derived Bone Graft Material.
From toothfeed.com
Dental Bone Graft How much does a dental bone graft cost? Tooth-Derived Bone Graft Material With successful extraction of growth factors and bone morphogenic proteins (bmps) from mammalian teeth, many researchers have supported development of a bone. Autogenous tooth graft is an innovative and ingenious technique that employs a stepwise approach and utilizes human teeth as an. Based on the potentials of osteoconduction, osteoinduction, and. Osteogenic capacity of tooth derived (mainly dentin) bone graft material. Tooth-Derived Bone Graft Material.
From www.researchgate.net
Tooth derived bone graft material. Download Scientific Diagram Tooth-Derived Bone Graft Material Based on the potentials of osteoconduction, osteoinduction, and. Osteogenic capacity of tooth derived (mainly dentin) bone graft material has been shown in many studies with significant. A bone graft is defined as a living tissue capable of promoting bone healing, transplanted into a bony defect, either. With successful extraction of growth factors and bone morphogenic proteins (bmps) from mammalian teeth,. Tooth-Derived Bone Graft Material.
From www.northamptondental.com
Who is a suitable candidate for a dental bone graft? Tooth-Derived Bone Graft Material With successful extraction of growth factors and bone morphogenic proteins (bmps) from mammalian teeth, many researchers have supported development of a bone. A bone graft is defined as a living tissue capable of promoting bone healing, transplanted into a bony defect, either. Autogenous tooth graft is an innovative and ingenious technique that employs a stepwise approach and utilizes human teeth. Tooth-Derived Bone Graft Material.
From hiossen.com.tw
Dental Bone Graft Material Options AGraft Hiossen® Implant Tooth-Derived Bone Graft Material A bone graft is defined as a living tissue capable of promoting bone healing, transplanted into a bony defect, either. Based on the potentials of osteoconduction, osteoinduction, and. Autogenous tooth graft is an innovative and ingenious technique that employs a stepwise approach and utilizes human teeth as an. With successful extraction of growth factors and bone morphogenic proteins (bmps) from. Tooth-Derived Bone Graft Material.
From brontevillagedental.com
Bone Graft Bronte Village Dental is your one stop for your dental needs Tooth-Derived Bone Graft Material Osteogenic capacity of tooth derived (mainly dentin) bone graft material has been shown in many studies with significant. A bone graft is defined as a living tissue capable of promoting bone healing, transplanted into a bony defect, either. Based on the potentials of osteoconduction, osteoinduction, and. With successful extraction of growth factors and bone morphogenic proteins (bmps) from mammalian teeth,. Tooth-Derived Bone Graft Material.
From www.semanticscholar.org
[PDF] Toothderived bone graft material Semantic Scholar Tooth-Derived Bone Graft Material With successful extraction of growth factors and bone morphogenic proteins (bmps) from mammalian teeth, many researchers have supported development of a bone. Osteogenic capacity of tooth derived (mainly dentin) bone graft material has been shown in many studies with significant. Autogenous tooth graft is an innovative and ingenious technique that employs a stepwise approach and utilizes human teeth as an.. Tooth-Derived Bone Graft Material.
From tampaimplantclinic.com
Bone Graft for Dental Implant Understanding the Procedure Tampa Tooth-Derived Bone Graft Material Based on the potentials of osteoconduction, osteoinduction, and. Osteogenic capacity of tooth derived (mainly dentin) bone graft material has been shown in many studies with significant. With successful extraction of growth factors and bone morphogenic proteins (bmps) from mammalian teeth, many researchers have supported development of a bone. Autogenous tooth graft is an innovative and ingenious technique that employs a. Tooth-Derived Bone Graft Material.
From www.semanticscholar.org
[PDF] Toothderived bone graft material Semantic Scholar Tooth-Derived Bone Graft Material With successful extraction of growth factors and bone morphogenic proteins (bmps) from mammalian teeth, many researchers have supported development of a bone. Based on the potentials of osteoconduction, osteoinduction, and. A bone graft is defined as a living tissue capable of promoting bone healing, transplanted into a bony defect, either. Osteogenic capacity of tooth derived (mainly dentin) bone graft material. Tooth-Derived Bone Graft Material.
From woodburyparkdentalsurgery.com
Bone Grafting Woodbury Park Dental Dentist in Tunbridge Wells, Kent Tooth-Derived Bone Graft Material With successful extraction of growth factors and bone morphogenic proteins (bmps) from mammalian teeth, many researchers have supported development of a bone. Osteogenic capacity of tooth derived (mainly dentin) bone graft material has been shown in many studies with significant. Based on the potentials of osteoconduction, osteoinduction, and. Autogenous tooth graft is an innovative and ingenious technique that employs a. Tooth-Derived Bone Graft Material.
From www.intechopen.com
Healing Mechanism and Clinical Application of Autogenous Tooth Bone Tooth-Derived Bone Graft Material Autogenous tooth graft is an innovative and ingenious technique that employs a stepwise approach and utilizes human teeth as an. Osteogenic capacity of tooth derived (mainly dentin) bone graft material has been shown in many studies with significant. Based on the potentials of osteoconduction, osteoinduction, and. With successful extraction of growth factors and bone morphogenic proteins (bmps) from mammalian teeth,. Tooth-Derived Bone Graft Material.
From midwestomfs.com
Bone Grafting Midwest Oral Surgery Tooth-Derived Bone Graft Material Osteogenic capacity of tooth derived (mainly dentin) bone graft material has been shown in many studies with significant. A bone graft is defined as a living tissue capable of promoting bone healing, transplanted into a bony defect, either. With successful extraction of growth factors and bone morphogenic proteins (bmps) from mammalian teeth, many researchers have supported development of a bone.. Tooth-Derived Bone Graft Material.
From www.drgallezperio.com
Bone Grafting San Jose & Hill Bone Graft for Dental Implants Tooth-Derived Bone Graft Material A bone graft is defined as a living tissue capable of promoting bone healing, transplanted into a bony defect, either. Autogenous tooth graft is an innovative and ingenious technique that employs a stepwise approach and utilizes human teeth as an. Osteogenic capacity of tooth derived (mainly dentin) bone graft material has been shown in many studies with significant. With successful. Tooth-Derived Bone Graft Material.
From www.gordondentalimplantsandcosmetics.com
What Is Dental Bone Grafting and Why Do We Use It? Gordon Dental Tooth-Derived Bone Graft Material Based on the potentials of osteoconduction, osteoinduction, and. A bone graft is defined as a living tissue capable of promoting bone healing, transplanted into a bony defect, either. Autogenous tooth graft is an innovative and ingenious technique that employs a stepwise approach and utilizes human teeth as an. Osteogenic capacity of tooth derived (mainly dentin) bone graft material has been. Tooth-Derived Bone Graft Material.
From toothtransformer.com
Toothderived bone graft material Tooth Transformer system Tooth-Derived Bone Graft Material A bone graft is defined as a living tissue capable of promoting bone healing, transplanted into a bony defect, either. With successful extraction of growth factors and bone morphogenic proteins (bmps) from mammalian teeth, many researchers have supported development of a bone. Osteogenic capacity of tooth derived (mainly dentin) bone graft material has been shown in many studies with significant.. Tooth-Derived Bone Graft Material.
From www.alabamaperiodontics.com
Bone Grafting for Dental Implants Periodontist in Birmingham, AL Tooth-Derived Bone Graft Material Autogenous tooth graft is an innovative and ingenious technique that employs a stepwise approach and utilizes human teeth as an. Osteogenic capacity of tooth derived (mainly dentin) bone graft material has been shown in many studies with significant. With successful extraction of growth factors and bone morphogenic proteins (bmps) from mammalian teeth, many researchers have supported development of a bone.. Tooth-Derived Bone Graft Material.
From www.americadental.com
Bone Graft and Membrane Procedure at America Dental Clinic Tooth-Derived Bone Graft Material Autogenous tooth graft is an innovative and ingenious technique that employs a stepwise approach and utilizes human teeth as an. With successful extraction of growth factors and bone morphogenic proteins (bmps) from mammalian teeth, many researchers have supported development of a bone. Based on the potentials of osteoconduction, osteoinduction, and. A bone graft is defined as a living tissue capable. Tooth-Derived Bone Graft Material.
From www.goldenstatedentistry.com
Bone Grafting for Dental Implants What Is It and How Does It Work? Tooth-Derived Bone Graft Material Based on the potentials of osteoconduction, osteoinduction, and. With successful extraction of growth factors and bone morphogenic proteins (bmps) from mammalian teeth, many researchers have supported development of a bone. Autogenous tooth graft is an innovative and ingenious technique that employs a stepwise approach and utilizes human teeth as an. A bone graft is defined as a living tissue capable. Tooth-Derived Bone Graft Material.
From www.omfclinic.com.au
Bone Grafting — OMF Clinic Tooth-Derived Bone Graft Material A bone graft is defined as a living tissue capable of promoting bone healing, transplanted into a bony defect, either. With successful extraction of growth factors and bone morphogenic proteins (bmps) from mammalian teeth, many researchers have supported development of a bone. Osteogenic capacity of tooth derived (mainly dentin) bone graft material has been shown in many studies with significant.. Tooth-Derived Bone Graft Material.
From www.mpdentalexcellence.com
Bone Grafts Los Altos Dental Excellence Tooth-Derived Bone Graft Material Based on the potentials of osteoconduction, osteoinduction, and. A bone graft is defined as a living tissue capable of promoting bone healing, transplanted into a bony defect, either. Autogenous tooth graft is an innovative and ingenious technique that employs a stepwise approach and utilizes human teeth as an. With successful extraction of growth factors and bone morphogenic proteins (bmps) from. Tooth-Derived Bone Graft Material.
From mungfali.com
Dental Bone Graft Material Tooth-Derived Bone Graft Material With successful extraction of growth factors and bone morphogenic proteins (bmps) from mammalian teeth, many researchers have supported development of a bone. Based on the potentials of osteoconduction, osteoinduction, and. A bone graft is defined as a living tissue capable of promoting bone healing, transplanted into a bony defect, either. Autogenous tooth graft is an innovative and ingenious technique that. Tooth-Derived Bone Graft Material.
From passionlifelovehealth.com
Get to Understand How Dental Bone Grafting Works Passion Life Love Health Tooth-Derived Bone Graft Material Osteogenic capacity of tooth derived (mainly dentin) bone graft material has been shown in many studies with significant. A bone graft is defined as a living tissue capable of promoting bone healing, transplanted into a bony defect, either. Based on the potentials of osteoconduction, osteoinduction, and. Autogenous tooth graft is an innovative and ingenious technique that employs a stepwise approach. Tooth-Derived Bone Graft Material.
From implantpracticeus.com
Tooth derived bone graft — an alternative for socket preservation Tooth-Derived Bone Graft Material Osteogenic capacity of tooth derived (mainly dentin) bone graft material has been shown in many studies with significant. Based on the potentials of osteoconduction, osteoinduction, and. A bone graft is defined as a living tissue capable of promoting bone healing, transplanted into a bony defect, either. With successful extraction of growth factors and bone morphogenic proteins (bmps) from mammalian teeth,. Tooth-Derived Bone Graft Material.
From www.vdsclinic.com
Bone Graft Vancouver Bone Graft Options for Dental Implants Tooth-Derived Bone Graft Material Autogenous tooth graft is an innovative and ingenious technique that employs a stepwise approach and utilizes human teeth as an. Osteogenic capacity of tooth derived (mainly dentin) bone graft material has been shown in many studies with significant. With successful extraction of growth factors and bone morphogenic proteins (bmps) from mammalian teeth, many researchers have supported development of a bone.. Tooth-Derived Bone Graft Material.
From www.researchgate.net
Positioning of the autologous tooth‐derived graft material in the Tooth-Derived Bone Graft Material A bone graft is defined as a living tissue capable of promoting bone healing, transplanted into a bony defect, either. Osteogenic capacity of tooth derived (mainly dentin) bone graft material has been shown in many studies with significant. Autogenous tooth graft is an innovative and ingenious technique that employs a stepwise approach and utilizes human teeth as an. Based on. Tooth-Derived Bone Graft Material.
From queenstreetdental.ca
Bone Grafting » Tottenham Dentist Queen Street Dental Tooth-Derived Bone Graft Material Autogenous tooth graft is an innovative and ingenious technique that employs a stepwise approach and utilizes human teeth as an. Osteogenic capacity of tooth derived (mainly dentin) bone graft material has been shown in many studies with significant. Based on the potentials of osteoconduction, osteoinduction, and. With successful extraction of growth factors and bone morphogenic proteins (bmps) from mammalian teeth,. Tooth-Derived Bone Graft Material.
From www.thedentalcenterofthevalley.com
Bone Grafting Dentist Appleton, WI Dental Education Library Tooth-Derived Bone Graft Material Based on the potentials of osteoconduction, osteoinduction, and. Osteogenic capacity of tooth derived (mainly dentin) bone graft material has been shown in many studies with significant. With successful extraction of growth factors and bone morphogenic proteins (bmps) from mammalian teeth, many researchers have supported development of a bone. Autogenous tooth graft is an innovative and ingenious technique that employs a. Tooth-Derived Bone Graft Material.
From www.youtube.com
What is a dental bone graft? YouTube Tooth-Derived Bone Graft Material With successful extraction of growth factors and bone morphogenic proteins (bmps) from mammalian teeth, many researchers have supported development of a bone. Autogenous tooth graft is an innovative and ingenious technique that employs a stepwise approach and utilizes human teeth as an. Based on the potentials of osteoconduction, osteoinduction, and. A bone graft is defined as a living tissue capable. Tooth-Derived Bone Graft Material.
From nkcdental.com
Bone Grafting NKC Dental Tooth-Derived Bone Graft Material Autogenous tooth graft is an innovative and ingenious technique that employs a stepwise approach and utilizes human teeth as an. Based on the potentials of osteoconduction, osteoinduction, and. Osteogenic capacity of tooth derived (mainly dentin) bone graft material has been shown in many studies with significant. A bone graft is defined as a living tissue capable of promoting bone healing,. Tooth-Derived Bone Graft Material.
From www.pinterest.com
Bone grafting is usually a relatively comfortable office procedure Tooth-Derived Bone Graft Material A bone graft is defined as a living tissue capable of promoting bone healing, transplanted into a bony defect, either. Osteogenic capacity of tooth derived (mainly dentin) bone graft material has been shown in many studies with significant. Based on the potentials of osteoconduction, osteoinduction, and. With successful extraction of growth factors and bone morphogenic proteins (bmps) from mammalian teeth,. Tooth-Derived Bone Graft Material.
From celinafamilydentistry.com
Celina Dentist Explains How Jawbone Grafting Prepares The Way For Tooth-Derived Bone Graft Material Based on the potentials of osteoconduction, osteoinduction, and. With successful extraction of growth factors and bone morphogenic proteins (bmps) from mammalian teeth, many researchers have supported development of a bone. Osteogenic capacity of tooth derived (mainly dentin) bone graft material has been shown in many studies with significant. A bone graft is defined as a living tissue capable of promoting. Tooth-Derived Bone Graft Material.