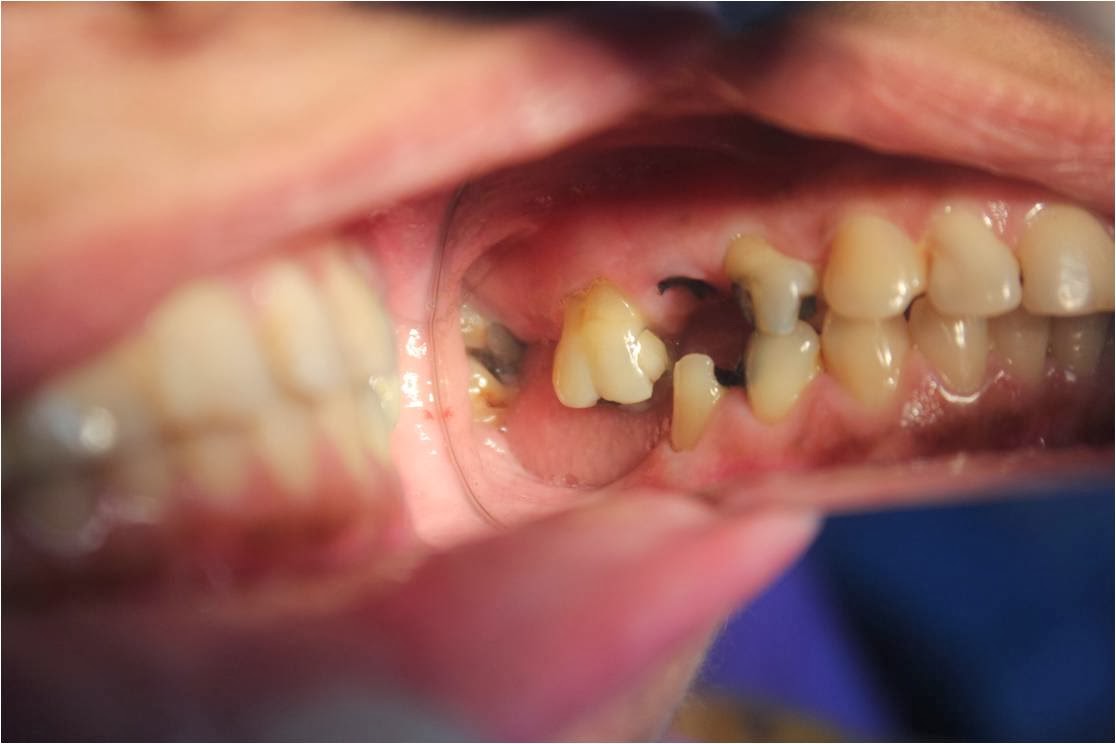
Do I Need To Replace A Missing Molar . Has anyone has a molar removed and not had it replaced with an implant/bridge/etc? How did it turn out? lower molar implants. yes, you can choose to live without replacing a missing tooth, especially if you have sufficient teeth remaining to function. whether or not a second molar should be replaced after its removal is debatable. A more advanced procedure is to have an implant, bone graft and extraction on the same day. ideally if you're able to replace your extracted second molar you should do it but it isn't absolutely necessary. if you're missing a first molar and it's impacting your ability to chew effectively, tooth replacement may be a sensible option. As with any surgical procedure,. This particular patient is missing a second molar on the bottom jaw. However, if you have too many missing teeth, you. To assess the evidence and discuss the pros. most people consider that it is not required to replace the missing tooth as back molars are not visible but according to. Please keep in mind that not all molars need a socket bone graft and then the implant a few months later.
from www.progressivedentistry.co.uk
whether or not a second molar should be replaced after its removal is debatable. if you're missing a first molar and it's impacting your ability to chew effectively, tooth replacement may be a sensible option. This particular patient is missing a second molar on the bottom jaw. As with any surgical procedure,. most people consider that it is not required to replace the missing tooth as back molars are not visible but according to. How did it turn out? Please keep in mind that not all molars need a socket bone graft and then the implant a few months later. A more advanced procedure is to have an implant, bone graft and extraction on the same day. Has anyone has a molar removed and not had it replaced with an implant/bridge/etc? lower molar implants.
Dental Implants Do I Need to Replace A Missing Molar Tooth?
Do I Need To Replace A Missing Molar lower molar implants. lower molar implants. whether or not a second molar should be replaced after its removal is debatable. However, if you have too many missing teeth, you. As with any surgical procedure,. if you're missing a first molar and it's impacting your ability to chew effectively, tooth replacement may be a sensible option. yes, you can choose to live without replacing a missing tooth, especially if you have sufficient teeth remaining to function. This particular patient is missing a second molar on the bottom jaw. most people consider that it is not required to replace the missing tooth as back molars are not visible but according to. To assess the evidence and discuss the pros. Has anyone has a molar removed and not had it replaced with an implant/bridge/etc? A more advanced procedure is to have an implant, bone graft and extraction on the same day. ideally if you're able to replace your extracted second molar you should do it but it isn't absolutely necessary. How did it turn out? Please keep in mind that not all molars need a socket bone graft and then the implant a few months later.
From www.vrogue.co
Replacing Missing Teeth vrogue.co Do I Need To Replace A Missing Molar This particular patient is missing a second molar on the bottom jaw. A more advanced procedure is to have an implant, bone graft and extraction on the same day. However, if you have too many missing teeth, you. How did it turn out? As with any surgical procedure,. yes, you can choose to live without replacing a missing tooth,. Do I Need To Replace A Missing Molar.
From medshun.com
Replacing A Molar Is A Wisdom Tooth A Viable Option? MedShun Do I Need To Replace A Missing Molar This particular patient is missing a second molar on the bottom jaw. lower molar implants. As with any surgical procedure,. Please keep in mind that not all molars need a socket bone graft and then the implant a few months later. whether or not a second molar should be replaced after its removal is debatable. However, if you. Do I Need To Replace A Missing Molar.
From sandiegoinvisaligndentist.org
Is a dental implant the best fix for a lost molar Dental News Network Do I Need To Replace A Missing Molar ideally if you're able to replace your extracted second molar you should do it but it isn't absolutely necessary. lower molar implants. yes, you can choose to live without replacing a missing tooth, especially if you have sufficient teeth remaining to function. most people consider that it is not required to replace the missing tooth as. Do I Need To Replace A Missing Molar.
From www.odontologiavirtual.com
What Happens When You Have To Extract and Replace a Molar? Do I Need To Replace A Missing Molar To assess the evidence and discuss the pros. most people consider that it is not required to replace the missing tooth as back molars are not visible but according to. if you're missing a first molar and it's impacting your ability to chew effectively, tooth replacement may be a sensible option. ideally if you're able to replace. Do I Need To Replace A Missing Molar.
From www.vollersmiles.com
Dental Crown in Kittanning Replacing Dental Crowns Voller Dentistry Do I Need To Replace A Missing Molar To assess the evidence and discuss the pros. lower molar implants. ideally if you're able to replace your extracted second molar you should do it but it isn't absolutely necessary. Has anyone has a molar removed and not had it replaced with an implant/bridge/etc? This particular patient is missing a second molar on the bottom jaw. most. Do I Need To Replace A Missing Molar.
From www.mvalleyoralsurgery.com
Why Replace A Back Molar Marietta Tooth Replacement Muskingum Do I Need To Replace A Missing Molar However, if you have too many missing teeth, you. Please keep in mind that not all molars need a socket bone graft and then the implant a few months later. As with any surgical procedure,. ideally if you're able to replace your extracted second molar you should do it but it isn't absolutely necessary. if you're missing a. Do I Need To Replace A Missing Molar.
From www.youtube.com
Consequences of not replacing missing teeth © YouTube Do I Need To Replace A Missing Molar most people consider that it is not required to replace the missing tooth as back molars are not visible but according to. This particular patient is missing a second molar on the bottom jaw. if you're missing a first molar and it's impacting your ability to chew effectively, tooth replacement may be a sensible option. lower molar. Do I Need To Replace A Missing Molar.
From www.specialistimplantclinic.com
Molar Tooth Implant Specialist Implant Clinic Do I Need To Replace A Missing Molar yes, you can choose to live without replacing a missing tooth, especially if you have sufficient teeth remaining to function. As with any surgical procedure,. However, if you have too many missing teeth, you. A more advanced procedure is to have an implant, bone graft and extraction on the same day. most people consider that it is not. Do I Need To Replace A Missing Molar.
From scihub.world
Do I Need To Replace Second Molar Do I Need To Replace A Missing Molar yes, you can choose to live without replacing a missing tooth, especially if you have sufficient teeth remaining to function. whether or not a second molar should be replaced after its removal is debatable. However, if you have too many missing teeth, you. As with any surgical procedure,. This particular patient is missing a second molar on the. Do I Need To Replace A Missing Molar.
From parrockdental.co.uk
Missing back teeth before and after pictures Do I Need To Replace A Missing Molar lower molar implants. Please keep in mind that not all molars need a socket bone graft and then the implant a few months later. However, if you have too many missing teeth, you. most people consider that it is not required to replace the missing tooth as back molars are not visible but according to. To assess the. Do I Need To Replace A Missing Molar.
From wamhoffroegner-99.blogspot.com
do i need to replace second molar wamhoffroegner99 Do I Need To Replace A Missing Molar lower molar implants. This particular patient is missing a second molar on the bottom jaw. How did it turn out? A more advanced procedure is to have an implant, bone graft and extraction on the same day. whether or not a second molar should be replaced after its removal is debatable. Has anyone has a molar removed and. Do I Need To Replace A Missing Molar.
From www.progressivedentistry.co.uk
Dental Implants Do I Need to Replace A Missing Molar Tooth? Do I Need To Replace A Missing Molar How did it turn out? most people consider that it is not required to replace the missing tooth as back molars are not visible but according to. Has anyone has a molar removed and not had it replaced with an implant/bridge/etc? This particular patient is missing a second molar on the bottom jaw. To assess the evidence and discuss. Do I Need To Replace A Missing Molar.
From www.pinterest.co.uk
Replacing missing molar tooth with dental implant and zirconia crown Do I Need To Replace A Missing Molar most people consider that it is not required to replace the missing tooth as back molars are not visible but according to. Please keep in mind that not all molars need a socket bone graft and then the implant a few months later. However, if you have too many missing teeth, you. lower molar implants. A more advanced. Do I Need To Replace A Missing Molar.
From www.pinterest.com
Dentaltown Two Dental Implants placed to replace two missing molars Do I Need To Replace A Missing Molar To assess the evidence and discuss the pros. if you're missing a first molar and it's impacting your ability to chew effectively, tooth replacement may be a sensible option. Please keep in mind that not all molars need a socket bone graft and then the implant a few months later. ideally if you're able to replace your extracted. Do I Need To Replace A Missing Molar.
From www.acrdentistry.com
Dental Implant Alpharetta GA Smile Gallery Missing Molar Do I Need To Replace A Missing Molar if you're missing a first molar and it's impacting your ability to chew effectively, tooth replacement may be a sensible option. Has anyone has a molar removed and not had it replaced with an implant/bridge/etc? To assess the evidence and discuss the pros. most people consider that it is not required to replace the missing tooth as back. Do I Need To Replace A Missing Molar.
From www.youtube.com
BEFORE & AFTER DENTAL IMPLANT Missing Lower Molar Milton, Oakville Do I Need To Replace A Missing Molar lower molar implants. whether or not a second molar should be replaced after its removal is debatable. yes, you can choose to live without replacing a missing tooth, especially if you have sufficient teeth remaining to function. A more advanced procedure is to have an implant, bone graft and extraction on the same day. As with any. Do I Need To Replace A Missing Molar.
From www.completehealthdentistryofnepa.com
How to Replace a Missing Tooth The Top Options to Consider Do I Need To Replace A Missing Molar A more advanced procedure is to have an implant, bone graft and extraction on the same day. However, if you have too many missing teeth, you. most people consider that it is not required to replace the missing tooth as back molars are not visible but according to. if you're missing a first molar and it's impacting your. Do I Need To Replace A Missing Molar.
From www.drrishisdental.com
A MISSING MOLAR TOOTH can severely affect the chewing ability of an Do I Need To Replace A Missing Molar ideally if you're able to replace your extracted second molar you should do it but it isn't absolutely necessary. How did it turn out? if you're missing a first molar and it's impacting your ability to chew effectively, tooth replacement may be a sensible option. To assess the evidence and discuss the pros. Has anyone has a molar. Do I Need To Replace A Missing Molar.
From golnickpediatricdentistry.com
Missing Teeth Do I Need to Replace My Back Molar? Blog Do I Need To Replace A Missing Molar How did it turn out? To assess the evidence and discuss the pros. whether or not a second molar should be replaced after its removal is debatable. As with any surgical procedure,. yes, you can choose to live without replacing a missing tooth, especially if you have sufficient teeth remaining to function. A more advanced procedure is to. Do I Need To Replace A Missing Molar.
From www.sweettoothdentalcenter.com
Restoring a Missing Tooth Thousand Oaks, CA Do I Need To Replace A Missing Molar How did it turn out? However, if you have too many missing teeth, you. Please keep in mind that not all molars need a socket bone graft and then the implant a few months later. As with any surgical procedure,. if you're missing a first molar and it's impacting your ability to chew effectively, tooth replacement may be a. Do I Need To Replace A Missing Molar.
From www.facialart.com
Implant to Replace a Molar Implant to Replace a Molar Kazemi Oral Do I Need To Replace A Missing Molar This particular patient is missing a second molar on the bottom jaw. most people consider that it is not required to replace the missing tooth as back molars are not visible but according to. As with any surgical procedure,. A more advanced procedure is to have an implant, bone graft and extraction on the same day. Please keep in. Do I Need To Replace A Missing Molar.
From leithiserlilia.blogspot.com
how to replace missing back teeth leithiserlilia Do I Need To Replace A Missing Molar To assess the evidence and discuss the pros. Please keep in mind that not all molars need a socket bone graft and then the implant a few months later. As with any surgical procedure,. most people consider that it is not required to replace the missing tooth as back molars are not visible but according to. lower molar. Do I Need To Replace A Missing Molar.
From www.smilefitnessdentalcenter.com
Dentist Explains Reasons For Extractions and the Importance of Do I Need To Replace A Missing Molar whether or not a second molar should be replaced after its removal is debatable. lower molar implants. yes, you can choose to live without replacing a missing tooth, especially if you have sufficient teeth remaining to function. To assess the evidence and discuss the pros. This particular patient is missing a second molar on the bottom jaw.. Do I Need To Replace A Missing Molar.
From www.voylesfamilydental.com
What You Need to Know About Partial Dentures • Dr. James Voyles Family Do I Need To Replace A Missing Molar lower molar implants. if you're missing a first molar and it's impacting your ability to chew effectively, tooth replacement may be a sensible option. Please keep in mind that not all molars need a socket bone graft and then the implant a few months later. To assess the evidence and discuss the pros. As with any surgical procedure,.. Do I Need To Replace A Missing Molar.
From pashadental.com
Need To Replace Your Teeth? See What Options Are Available Inside Do I Need To Replace A Missing Molar How did it turn out? However, if you have too many missing teeth, you. To assess the evidence and discuss the pros. As with any surgical procedure,. whether or not a second molar should be replaced after its removal is debatable. if you're missing a first molar and it's impacting your ability to chew effectively, tooth replacement may. Do I Need To Replace A Missing Molar.
From www.youtube.com
Missing upper first molar replaced with dental implant. YouTube Do I Need To Replace A Missing Molar Has anyone has a molar removed and not had it replaced with an implant/bridge/etc? Please keep in mind that not all molars need a socket bone graft and then the implant a few months later. most people consider that it is not required to replace the missing tooth as back molars are not visible but according to. This particular. Do I Need To Replace A Missing Molar.
From wamhoffroegner-99.blogspot.com
do i need to replace second molar wamhoffroegner99 Do I Need To Replace A Missing Molar To assess the evidence and discuss the pros. whether or not a second molar should be replaced after its removal is debatable. yes, you can choose to live without replacing a missing tooth, especially if you have sufficient teeth remaining to function. This particular patient is missing a second molar on the bottom jaw. A more advanced procedure. Do I Need To Replace A Missing Molar.
From wamhoffroegner-99.blogspot.com
do i need to replace second molar wamhoffroegner99 Do I Need To Replace A Missing Molar How did it turn out? Has anyone has a molar removed and not had it replaced with an implant/bridge/etc? This particular patient is missing a second molar on the bottom jaw. whether or not a second molar should be replaced after its removal is debatable. most people consider that it is not required to replace the missing tooth. Do I Need To Replace A Missing Molar.
From www.bytesdental.com.au
A dental bridge to replace a molar Do I Need To Replace A Missing Molar whether or not a second molar should be replaced after its removal is debatable. Has anyone has a molar removed and not had it replaced with an implant/bridge/etc? A more advanced procedure is to have an implant, bone graft and extraction on the same day. How did it turn out? Please keep in mind that not all molars need. Do I Need To Replace A Missing Molar.
From bestlaserdentalclinic.blogspot.com
Upper and lower molars replacement optionsWithout sinus lift in the Do I Need To Replace A Missing Molar To assess the evidence and discuss the pros. Please keep in mind that not all molars need a socket bone graft and then the implant a few months later. As with any surgical procedure,. However, if you have too many missing teeth, you. most people consider that it is not required to replace the missing tooth as back molars. Do I Need To Replace A Missing Molar.
From www.pinterest.com
Replacing a single missing molar tooth with a dental implant and Do I Need To Replace A Missing Molar To assess the evidence and discuss the pros. However, if you have too many missing teeth, you. whether or not a second molar should be replaced after its removal is debatable. As with any surgical procedure,. if you're missing a first molar and it's impacting your ability to chew effectively, tooth replacement may be a sensible option. . Do I Need To Replace A Missing Molar.
From www.acrdentistry.com
Dental Implant Alpharetta GA Smile Gallery Missing Molar Do I Need To Replace A Missing Molar most people consider that it is not required to replace the missing tooth as back molars are not visible but according to. Has anyone has a molar removed and not had it replaced with an implant/bridge/etc? yes, you can choose to live without replacing a missing tooth, especially if you have sufficient teeth remaining to function. To assess. Do I Need To Replace A Missing Molar.
From www.progressivedentistry.co.uk
Dental Implants Do I Need to Replace A Missing Molar Tooth? Do I Need To Replace A Missing Molar whether or not a second molar should be replaced after its removal is debatable. To assess the evidence and discuss the pros. ideally if you're able to replace your extracted second molar you should do it but it isn't absolutely necessary. However, if you have too many missing teeth, you. Please keep in mind that not all molars. Do I Need To Replace A Missing Molar.
From www.youtube.com
Dental Implant Procedure To Replace A Single Missing Tooth on a Back Do I Need To Replace A Missing Molar ideally if you're able to replace your extracted second molar you should do it but it isn't absolutely necessary. if you're missing a first molar and it's impacting your ability to chew effectively, tooth replacement may be a sensible option. whether or not a second molar should be replaced after its removal is debatable. yes, you. Do I Need To Replace A Missing Molar.
From pocketdentistry.com
Molar Protraction Orthodontic Substitution of Missing Posterior Teeth Do I Need To Replace A Missing Molar This particular patient is missing a second molar on the bottom jaw. Has anyone has a molar removed and not had it replaced with an implant/bridge/etc? Please keep in mind that not all molars need a socket bone graft and then the implant a few months later. whether or not a second molar should be replaced after its removal. Do I Need To Replace A Missing Molar.