Gingivitis Que Tomar . en este artículo, te explicamos qué es la gingivitis y cómo se cura la inflamación de encías, sus diferentes síntomas y los. Desde sus causas hasta sus síntomas iniciales y las medidas preventivas que debes tomar para mantener tus encías en perfecto estado. la gingivitis es una afección común que consiste en la inflamación de las encías de la boca. La gingivitis es una enfermedad que afecta a la salud de tus encías. #1 tratamiento con agua salada #2 enjuague bucal natural #3 enjuague bucal con aceite. métodos para tratar la gingivitis en casa. en este artículo, exploraremos todo lo que necesitas saber sobre la gingivitis: Te contamos qué la causa, los tipos que existen y qué tratamientos hay para curarla. todos podemos sufrir inflamación en las encías, pero existen remedios para prevenir esta patología, y también para curarla. la causa más común de gingivitis es no mantener los dientes y las encías limpios y sanos. El síntoma principal son las encías hinchadas,. son muy abrasivas para la mucosa oral, por lo que usarlos no solo está desaconsejado, sino que agravaría los problemas periodontales.
from bweisshealth.com
La gingivitis es una enfermedad que afecta a la salud de tus encías. en este artículo, te explicamos qué es la gingivitis y cómo se cura la inflamación de encías, sus diferentes síntomas y los. la gingivitis es una afección común que consiste en la inflamación de las encías de la boca. en este artículo, exploraremos todo lo que necesitas saber sobre la gingivitis: Te contamos qué la causa, los tipos que existen y qué tratamientos hay para curarla. métodos para tratar la gingivitis en casa. son muy abrasivas para la mucosa oral, por lo que usarlos no solo está desaconsejado, sino que agravaría los problemas periodontales. El síntoma principal son las encías hinchadas,. Desde sus causas hasta sus síntomas iniciales y las medidas preventivas que debes tomar para mantener tus encías en perfecto estado. todos podemos sufrir inflamación en las encías, pero existen remedios para prevenir esta patología, y también para curarla.
How to Treat Gingivitis Fast at Home
Gingivitis Que Tomar en este artículo, te explicamos qué es la gingivitis y cómo se cura la inflamación de encías, sus diferentes síntomas y los. Desde sus causas hasta sus síntomas iniciales y las medidas preventivas que debes tomar para mantener tus encías en perfecto estado. La gingivitis es una enfermedad que afecta a la salud de tus encías. en este artículo, exploraremos todo lo que necesitas saber sobre la gingivitis: son muy abrasivas para la mucosa oral, por lo que usarlos no solo está desaconsejado, sino que agravaría los problemas periodontales. todos podemos sufrir inflamación en las encías, pero existen remedios para prevenir esta patología, y también para curarla. Te contamos qué la causa, los tipos que existen y qué tratamientos hay para curarla. El síntoma principal son las encías hinchadas,. la causa más común de gingivitis es no mantener los dientes y las encías limpios y sanos. #1 tratamiento con agua salada #2 enjuague bucal natural #3 enjuague bucal con aceite. en este artículo, te explicamos qué es la gingivitis y cómo se cura la inflamación de encías, sus diferentes síntomas y los. métodos para tratar la gingivitis en casa. la gingivitis es una afección común que consiste en la inflamación de las encías de la boca.
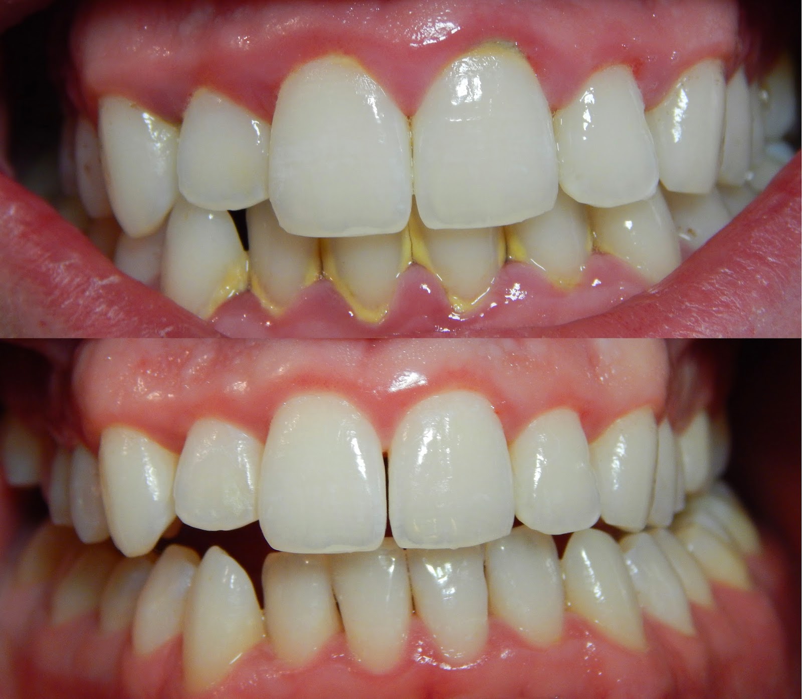
From gonzalezycasado.com
¿Sabes qué es la Gingivitis Ulceronecrotizante o GUNA? Gingivitis Que Tomar en este artículo, exploraremos todo lo que necesitas saber sobre la gingivitis: la causa más común de gingivitis es no mantener los dientes y las encías limpios y sanos. La gingivitis es una enfermedad que afecta a la salud de tus encías. métodos para tratar la gingivitis en casa. El síntoma principal son las encías hinchadas,. Te. Gingivitis Que Tomar.
From gozalbodental.com
Gingivitis ¿Qué es y cómo tratarla en Castellón? Clínica Gozalbo Dental Gingivitis Que Tomar El síntoma principal son las encías hinchadas,. métodos para tratar la gingivitis en casa. en este artículo, te explicamos qué es la gingivitis y cómo se cura la inflamación de encías, sus diferentes síntomas y los. son muy abrasivas para la mucosa oral, por lo que usarlos no solo está desaconsejado, sino que agravaría los problemas periodontales.. Gingivitis Que Tomar.
From www.youtube.com
GINGIVITIS 6 Síntomas a tomar en cuenta YouTube Gingivitis Que Tomar la causa más común de gingivitis es no mantener los dientes y las encías limpios y sanos. Desde sus causas hasta sus síntomas iniciales y las medidas preventivas que debes tomar para mantener tus encías en perfecto estado. Te contamos qué la causa, los tipos que existen y qué tratamientos hay para curarla. en este artículo, te explicamos. Gingivitis Que Tomar.
From www.facebook.com
GINGIVITIS. 🔎 La gingivitis es una forma frecuente de enfermedad que Gingivitis Que Tomar #1 tratamiento con agua salada #2 enjuague bucal natural #3 enjuague bucal con aceite. son muy abrasivas para la mucosa oral, por lo que usarlos no solo está desaconsejado, sino que agravaría los problemas periodontales. la gingivitis es una afección común que consiste en la inflamación de las encías de la boca. Te contamos qué la causa, los. Gingivitis Que Tomar.
From www.millsriverdental.com
3+ Important Facts About Gingivitis Mills River Family Dental Gingivitis Que Tomar en este artículo, exploraremos todo lo que necesitas saber sobre la gingivitis: métodos para tratar la gingivitis en casa. son muy abrasivas para la mucosa oral, por lo que usarlos no solo está desaconsejado, sino que agravaría los problemas periodontales. la causa más común de gingivitis es no mantener los dientes y las encías limpios y. Gingivitis Que Tomar.
From www.mundodeportivo.com
Cómo curar la gingivitis con remedios caseros 8 pasos Gingivitis Que Tomar la causa más común de gingivitis es no mantener los dientes y las encías limpios y sanos. Te contamos qué la causa, los tipos que existen y qué tratamientos hay para curarla. La gingivitis es una enfermedad que afecta a la salud de tus encías. métodos para tratar la gingivitis en casa. El síntoma principal son las encías. Gingivitis Que Tomar.
From clinicadentaledo.es
Gingivitis síntomas y tratamiento Clinica dental Edo Gingivitis Que Tomar Te contamos qué la causa, los tipos que existen y qué tratamientos hay para curarla. métodos para tratar la gingivitis en casa. Desde sus causas hasta sus síntomas iniciales y las medidas preventivas que debes tomar para mantener tus encías en perfecto estado. en este artículo, te explicamos qué es la gingivitis y cómo se cura la inflamación. Gingivitis Que Tomar.
From www.youtube.com
CURAR LA GINGIVITIS CON LOS 2 MEJORES REMEDIOS NATURALES YouTube Gingivitis Que Tomar Te contamos qué la causa, los tipos que existen y qué tratamientos hay para curarla. La gingivitis es una enfermedad que afecta a la salud de tus encías. la causa más común de gingivitis es no mantener los dientes y las encías limpios y sanos. en este artículo, exploraremos todo lo que necesitas saber sobre la gingivitis: El. Gingivitis Que Tomar.
From www.farmacia.bio
¿Qué es la gingivitis? Síntomas, prevención y cómo combatirla Gingivitis Que Tomar Desde sus causas hasta sus síntomas iniciales y las medidas preventivas que debes tomar para mantener tus encías en perfecto estado. La gingivitis es una enfermedad que afecta a la salud de tus encías. la causa más común de gingivitis es no mantener los dientes y las encías limpios y sanos. la gingivitis es una afección común que. Gingivitis Que Tomar.
From www.clinicasonrisasegura.pe
Tratamiento de gingivitis Clinica Dental Sonrisa Segura Gingivitis Que Tomar son muy abrasivas para la mucosa oral, por lo que usarlos no solo está desaconsejado, sino que agravaría los problemas periodontales. la gingivitis es una afección común que consiste en la inflamación de las encías de la boca. El síntoma principal son las encías hinchadas,. Desde sus causas hasta sus síntomas iniciales y las medidas preventivas que debes. Gingivitis Que Tomar.
From www.odontologic.com.mx
Pasos para eliminar la gingivitis — Odontologic Gingivitis Que Tomar todos podemos sufrir inflamación en las encías, pero existen remedios para prevenir esta patología, y también para curarla. Te contamos qué la causa, los tipos que existen y qué tratamientos hay para curarla. la causa más común de gingivitis es no mantener los dientes y las encías limpios y sanos. en este artículo, te explicamos qué es. Gingivitis Que Tomar.
From mejorconsalud.as.com
6 remedios caseros para tratar la gingivitis de forma natural Mejor Gingivitis Que Tomar Desde sus causas hasta sus síntomas iniciales y las medidas preventivas que debes tomar para mantener tus encías en perfecto estado. Te contamos qué la causa, los tipos que existen y qué tratamientos hay para curarla. la gingivitis es una afección común que consiste en la inflamación de las encías de la boca. en este artículo, exploraremos todo. Gingivitis Que Tomar.
From www.pathwaydentists.co.nz
Gingivitis inflammation of the gums Pathway Dentists Gingivitis Que Tomar métodos para tratar la gingivitis en casa. Te contamos qué la causa, los tipos que existen y qué tratamientos hay para curarla. la gingivitis es una afección común que consiste en la inflamación de las encías de la boca. Desde sus causas hasta sus síntomas iniciales y las medidas preventivas que debes tomar para mantener tus encías en. Gingivitis Que Tomar.
From adeclinicadental.com
Gingivitis y periodontitis ¿En qué se diferencian? Asistencia Gingivitis Que Tomar Te contamos qué la causa, los tipos que existen y qué tratamientos hay para curarla. #1 tratamiento con agua salada #2 enjuague bucal natural #3 enjuague bucal con aceite. en este artículo, te explicamos qué es la gingivitis y cómo se cura la inflamación de encías, sus diferentes síntomas y los. Desde sus causas hasta sus síntomas iniciales y. Gingivitis Que Tomar.
From www.bekiasalud.com
¿Qué es la gingivitis? Bekia Salud Gingivitis Que Tomar la gingivitis es una afección común que consiste en la inflamación de las encías de la boca. son muy abrasivas para la mucosa oral, por lo que usarlos no solo está desaconsejado, sino que agravaría los problemas periodontales. en este artículo, exploraremos todo lo que necesitas saber sobre la gingivitis: Te contamos qué la causa, los tipos. Gingivitis Que Tomar.
From quesalud.com
Tratamiento para la gingivitis Gingivitis Que Tomar en este artículo, exploraremos todo lo que necesitas saber sobre la gingivitis: la gingivitis es una afección común que consiste en la inflamación de las encías de la boca. La gingivitis es una enfermedad que afecta a la salud de tus encías. todos podemos sufrir inflamación en las encías, pero existen remedios para prevenir esta patología, y. Gingivitis Que Tomar.
From clinicadentaltacna.cl
️¿Cómo se cura la gingivitis? Clínica Dental Tacna Gingivitis Que Tomar la gingivitis es una afección común que consiste en la inflamación de las encías de la boca. La gingivitis es una enfermedad que afecta a la salud de tus encías. métodos para tratar la gingivitis en casa. Te contamos qué la causa, los tipos que existen y qué tratamientos hay para curarla. en este artículo, te explicamos. Gingivitis Que Tomar.
From www.midentalclinic.com
What is Gingivitis? (¿Que es la Gingivitis?) Mi DENTAL Gingivitis Que Tomar métodos para tratar la gingivitis en casa. en este artículo, te explicamos qué es la gingivitis y cómo se cura la inflamación de encías, sus diferentes síntomas y los. todos podemos sufrir inflamación en las encías, pero existen remedios para prevenir esta patología, y también para curarla. #1 tratamiento con agua salada #2 enjuague bucal natural #3. Gingivitis Que Tomar.
From my.clevelandclinic.org
Gingivitis Symptoms & How To Treat It Gingivitis Que Tomar Desde sus causas hasta sus síntomas iniciales y las medidas preventivas que debes tomar para mantener tus encías en perfecto estado. en este artículo, te explicamos qué es la gingivitis y cómo se cura la inflamación de encías, sus diferentes síntomas y los. todos podemos sufrir inflamación en las encías, pero existen remedios para prevenir esta patología, y. Gingivitis Que Tomar.
From bqdentalcenters.es
¿Qué es la gingivitis? Periodoncia Glosario BQDC Gingivitis Que Tomar Desde sus causas hasta sus síntomas iniciales y las medidas preventivas que debes tomar para mantener tus encías en perfecto estado. todos podemos sufrir inflamación en las encías, pero existen remedios para prevenir esta patología, y también para curarla. La gingivitis es una enfermedad que afecta a la salud de tus encías. El síntoma principal son las encías hinchadas,.. Gingivitis Que Tomar.
From dentalsalud.blogspot.com
Dental Clinic 3D ¿Qué es la gingivitis? Gingivitis Que Tomar la causa más común de gingivitis es no mantener los dientes y las encías limpios y sanos. La gingivitis es una enfermedad que afecta a la salud de tus encías. todos podemos sufrir inflamación en las encías, pero existen remedios para prevenir esta patología, y también para curarla. #1 tratamiento con agua salada #2 enjuague bucal natural #3. Gingivitis Que Tomar.
From estudidentalbarcelona.com
Tratamiento de la gingivitis, causas, cuidados y síntomas Estudi Gingivitis Que Tomar El síntoma principal son las encías hinchadas,. La gingivitis es una enfermedad que afecta a la salud de tus encías. son muy abrasivas para la mucosa oral, por lo que usarlos no solo está desaconsejado, sino que agravaría los problemas periodontales. Te contamos qué la causa, los tipos que existen y qué tratamientos hay para curarla. Desde sus causas. Gingivitis Que Tomar.
From www.clinicalorenzo.com
Gingivitis Qué es y cómo evitarla Clínica Dental Lorenzo Gingivitis Que Tomar son muy abrasivas para la mucosa oral, por lo que usarlos no solo está desaconsejado, sino que agravaría los problemas periodontales. #1 tratamiento con agua salada #2 enjuague bucal natural #3 enjuague bucal con aceite. en este artículo, exploraremos todo lo que necesitas saber sobre la gingivitis: Te contamos qué la causa, los tipos que existen y qué. Gingivitis Que Tomar.
From www.smileinla.com
Symptoms and Treatment of Gingivitis Shervin M. Louie, DDS Gingivitis Que Tomar #1 tratamiento con agua salada #2 enjuague bucal natural #3 enjuague bucal con aceite. métodos para tratar la gingivitis en casa. Desde sus causas hasta sus síntomas iniciales y las medidas preventivas que debes tomar para mantener tus encías en perfecto estado. la causa más común de gingivitis es no mantener los dientes y las encías limpios y. Gingivitis Que Tomar.
From www.clinicadentalsalvadorgarcia.com
¿Qué es la gingivitis dental y cómo se cura? Síntomas y tratamientos Gingivitis Que Tomar Te contamos qué la causa, los tipos que existen y qué tratamientos hay para curarla. la causa más común de gingivitis es no mantener los dientes y las encías limpios y sanos. son muy abrasivas para la mucosa oral, por lo que usarlos no solo está desaconsejado, sino que agravaría los problemas periodontales. El síntoma principal son las. Gingivitis Que Tomar.
From theelitedental.com
Gingivitis Symptoms and Causes Elite Dental Care Gingivitis Que Tomar todos podemos sufrir inflamación en las encías, pero existen remedios para prevenir esta patología, y también para curarla. #1 tratamiento con agua salada #2 enjuague bucal natural #3 enjuague bucal con aceite. La gingivitis es una enfermedad que afecta a la salud de tus encías. la gingivitis es una afección común que consiste en la inflamación de las. Gingivitis Que Tomar.
From dobleese.es
Gingivitis Principales causas y cómo tratarla Dobleese Gingivitis Que Tomar en este artículo, te explicamos qué es la gingivitis y cómo se cura la inflamación de encías, sus diferentes síntomas y los. El síntoma principal son las encías hinchadas,. son muy abrasivas para la mucosa oral, por lo que usarlos no solo está desaconsejado, sino que agravaría los problemas periodontales. La gingivitis es una enfermedad que afecta a. Gingivitis Que Tomar.
From estudidentalbarcelona.com
Cuáles son los tipos de gingivitis y cómo tratarla Estudi Dental Gingivitis Que Tomar son muy abrasivas para la mucosa oral, por lo que usarlos no solo está desaconsejado, sino que agravaría los problemas periodontales. la causa más común de gingivitis es no mantener los dientes y las encías limpios y sanos. La gingivitis es una enfermedad que afecta a la salud de tus encías. en este artículo, exploraremos todo lo. Gingivitis Que Tomar.
From www.aspendental.com
A Comprehensive Guide to Gingivitis Gingivitis Que Tomar la causa más común de gingivitis es no mantener los dientes y las encías limpios y sanos. #1 tratamiento con agua salada #2 enjuague bucal natural #3 enjuague bucal con aceite. Desde sus causas hasta sus síntomas iniciales y las medidas preventivas que debes tomar para mantener tus encías en perfecto estado. La gingivitis es una enfermedad que afecta. Gingivitis Que Tomar.
From onsmile.cl
Gingivitis Causas, Síntomas y Tratamiento Clínica Dental OnSmile Gingivitis Que Tomar #1 tratamiento con agua salada #2 enjuague bucal natural #3 enjuague bucal con aceite. métodos para tratar la gingivitis en casa. todos podemos sufrir inflamación en las encías, pero existen remedios para prevenir esta patología, y también para curarla. la causa más común de gingivitis es no mantener los dientes y las encías limpios y sanos. . Gingivitis Que Tomar.
From odontonoa.blogspot.com
¿Qué es la Gingivitis? Gingivitis Que Tomar Te contamos qué la causa, los tipos que existen y qué tratamientos hay para curarla. todos podemos sufrir inflamación en las encías, pero existen remedios para prevenir esta patología, y también para curarla. en este artículo, exploraremos todo lo que necesitas saber sobre la gingivitis: métodos para tratar la gingivitis en casa. en este artículo, te. Gingivitis Que Tomar.
From bweisshealth.com
How to Treat Gingivitis Fast at Home Gingivitis Que Tomar El síntoma principal son las encías hinchadas,. métodos para tratar la gingivitis en casa. en este artículo, te explicamos qué es la gingivitis y cómo se cura la inflamación de encías, sus diferentes síntomas y los. en este artículo, exploraremos todo lo que necesitas saber sobre la gingivitis: La gingivitis es una enfermedad que afecta a la. Gingivitis Que Tomar.
From clinicablasi.com
¿Cómo saber si tengo gingivitis y periodontitis? Clínica Blasi Gingivitis Que Tomar todos podemos sufrir inflamación en las encías, pero existen remedios para prevenir esta patología, y también para curarla. Te contamos qué la causa, los tipos que existen y qué tratamientos hay para curarla. métodos para tratar la gingivitis en casa. El síntoma principal son las encías hinchadas,. son muy abrasivas para la mucosa oral, por lo que. Gingivitis Que Tomar.
From www.clinicasoto.es
Gingivitis en niños cómo se detecta y cómo tratarla Clínica Soto Vinaroz Gingivitis Que Tomar son muy abrasivas para la mucosa oral, por lo que usarlos no solo está desaconsejado, sino que agravaría los problemas periodontales. Desde sus causas hasta sus síntomas iniciales y las medidas preventivas que debes tomar para mantener tus encías en perfecto estado. métodos para tratar la gingivitis en casa. #1 tratamiento con agua salada #2 enjuague bucal natural. Gingivitis Que Tomar.
From mejorconsalud.as.com
5 remedios caseros efectivos para la gingivitis Mejor con Salud Gingivitis Que Tomar #1 tratamiento con agua salada #2 enjuague bucal natural #3 enjuague bucal con aceite. La gingivitis es una enfermedad que afecta a la salud de tus encías. la gingivitis es una afección común que consiste en la inflamación de las encías de la boca. la causa más común de gingivitis es no mantener los dientes y las encías. Gingivitis Que Tomar.