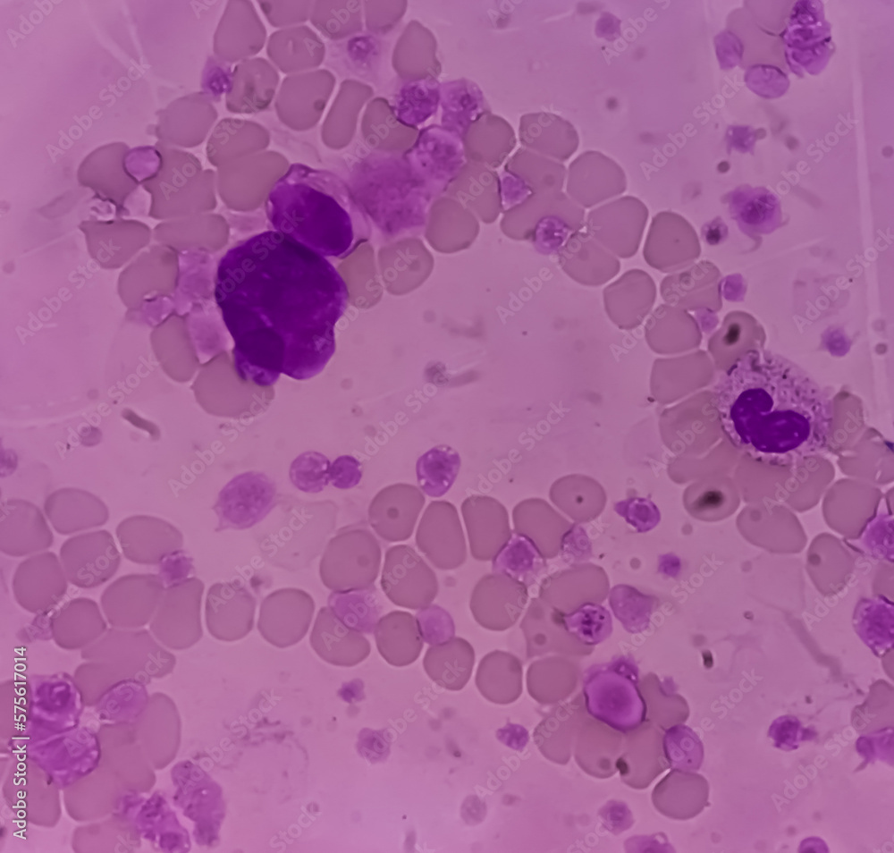
Labeled Cml Blood Smear . Also known as chronic myelocytic, chronic myelogenous, or chronic.  in cml, the peripheral smear frequently shows immature granulocytes as well as absolute eosinophilia and basophilia.   in this set of images, you can see myeloid precursors presence in peripheral blood smear of a patient diagnosed with chronic.   chronic myelogenous leukemia.  the most common sign of cml is an abnormal white blood cell count often found during blood tests for an unrelated health problem or during a routine checkup.  the most common sign of cml is an abnormal white blood cell count often found during blood tests for an unrelated health problem or during a routine checkup.  in a blood smear, some of your blood is put on a slide to see how the cells look under the microscope. Most people with cml have.   the workup for chronic myelogenous leukemia (cml) consists of a complete blood count with differential, peripheral blood smear, and bone marrow.   chronic myeloid leukemia (cml;
        
         
         
        from ilovepathology.com 
     
        
          in this set of images, you can see myeloid precursors presence in peripheral blood smear of a patient diagnosed with chronic.  in a blood smear, some of your blood is put on a slide to see how the cells look under the microscope.  the most common sign of cml is an abnormal white blood cell count often found during blood tests for an unrelated health problem or during a routine checkup.  in cml, the peripheral smear frequently shows immature granulocytes as well as absolute eosinophilia and basophilia. Most people with cml have. Also known as chronic myelocytic, chronic myelogenous, or chronic.  the most common sign of cml is an abnormal white blood cell count often found during blood tests for an unrelated health problem or during a routine checkup.   the workup for chronic myelogenous leukemia (cml) consists of a complete blood count with differential, peripheral blood smear, and bone marrow.   chronic myelogenous leukemia.   chronic myeloid leukemia (cml;
    
    	
            
	
		 
	 
         
    Peripheral smear findings in Leukemia Illustrated Pathology Made Simple 
    Labeled Cml Blood Smear    in this set of images, you can see myeloid precursors presence in peripheral blood smear of a patient diagnosed with chronic. Most people with cml have.  in a blood smear, some of your blood is put on a slide to see how the cells look under the microscope.  in cml, the peripheral smear frequently shows immature granulocytes as well as absolute eosinophilia and basophilia.   in this set of images, you can see myeloid precursors presence in peripheral blood smear of a patient diagnosed with chronic. Also known as chronic myelocytic, chronic myelogenous, or chronic.   chronic myelogenous leukemia.   chronic myeloid leukemia (cml;  the most common sign of cml is an abnormal white blood cell count often found during blood tests for an unrelated health problem or during a routine checkup.   the workup for chronic myelogenous leukemia (cml) consists of a complete blood count with differential, peripheral blood smear, and bone marrow.  the most common sign of cml is an abnormal white blood cell count often found during blood tests for an unrelated health problem or during a routine checkup.
            
	
		 
	 
         
 
    
         
        From www.leukemia-cell.org 
                    Chronic myeloid leukaemia (CML), ''BCRABL1''positive chronic phase Labeled Cml Blood Smear   the most common sign of cml is an abnormal white blood cell count often found during blood tests for an unrelated health problem or during a routine checkup. Most people with cml have.   chronic myeloid leukemia (cml;   in this set of images, you can see myeloid precursors presence in peripheral blood smear of a patient diagnosed with. Labeled Cml Blood Smear.
     
    
         
        From mavink.com 
                    Blood Smear Cheat Sheet Labeled Cml Blood Smear   in a blood smear, some of your blood is put on a slide to see how the cells look under the microscope.  the most common sign of cml is an abnormal white blood cell count often found during blood tests for an unrelated health problem or during a routine checkup.   in this set of images, you can. Labeled Cml Blood Smear.
     
    
         
        From www.pathologyoutlines.com 
                    Pathology Outlines Atypical chronic myeloid leukemia (aCML) Labeled Cml Blood Smear   the most common sign of cml is an abnormal white blood cell count often found during blood tests for an unrelated health problem or during a routine checkup.   in this set of images, you can see myeloid precursors presence in peripheral blood smear of a patient diagnosed with chronic.  the most common sign of cml is an. Labeled Cml Blood Smear.
     
    
         
        From kikoxp.com 
                    Chronic Myeloid Leukemia (CML) Peripheral Blood Smear (Hematopathology Labeled Cml Blood Smear   in a blood smear, some of your blood is put on a slide to see how the cells look under the microscope.   chronic myelogenous leukemia. Also known as chronic myelocytic, chronic myelogenous, or chronic. Most people with cml have.  the most common sign of cml is an abnormal white blood cell count often found during blood tests. Labeled Cml Blood Smear.
     
    
         
        From www.learnhaem.com 
                    CML in Chronic Phase LearnHaem Haematology Made Simple Labeled Cml Blood Smear   the most common sign of cml is an abnormal white blood cell count often found during blood tests for an unrelated health problem or during a routine checkup.   in this set of images, you can see myeloid precursors presence in peripheral blood smear of a patient diagnosed with chronic. Also known as chronic myelocytic, chronic myelogenous, or chronic.. Labeled Cml Blood Smear.
     
    
         
        From www.istockphoto.com 
                    Chronic Myeloid Leukemia In Accelerated Phase Also Known As Chronic Labeled Cml Blood Smear    chronic myeloid leukemia (cml;   in this set of images, you can see myeloid precursors presence in peripheral blood smear of a patient diagnosed with chronic.  in cml, the peripheral smear frequently shows immature granulocytes as well as absolute eosinophilia and basophilia.   chronic myelogenous leukemia.   the workup for chronic myelogenous leukemia (cml) consists of a complete. Labeled Cml Blood Smear.
     
    
         
        From openeducationalberta.ca 
                    Chronic Myelogenous Leukemia (CML) A Laboratory Guide to Clinical Labeled Cml Blood Smear   in cml, the peripheral smear frequently shows immature granulocytes as well as absolute eosinophilia and basophilia.   chronic myeloid leukemia (cml;  in a blood smear, some of your blood is put on a slide to see how the cells look under the microscope.  the most common sign of cml is an abnormal white blood cell count often. Labeled Cml Blood Smear.
     
    
         
        From www.shutterstock.com 
                    Chronic Myeloid Leukemia Cml Blood Smear Stock Photo 2272732375 Labeled Cml Blood Smear    in this set of images, you can see myeloid precursors presence in peripheral blood smear of a patient diagnosed with chronic.   the workup for chronic myelogenous leukemia (cml) consists of a complete blood count with differential, peripheral blood smear, and bone marrow.  the most common sign of cml is an abnormal white blood cell count often found. Labeled Cml Blood Smear.
     
    
         
        From www.shutterstock.com 
                    Blood Smear Chronic Myelogenous Granulocytic Leukemia Stock Photo Labeled Cml Blood Smear  Also known as chronic myelocytic, chronic myelogenous, or chronic.  the most common sign of cml is an abnormal white blood cell count often found during blood tests for an unrelated health problem or during a routine checkup.  in cml, the peripheral smear frequently shows immature granulocytes as well as absolute eosinophilia and basophilia.  the most common sign. Labeled Cml Blood Smear.
     
    
         
        From www.cureus.com 
                    Cureus Cooccurrence of CML Blast Crisis and Severe COVID 19 Labeled Cml Blood Smear   in cml, the peripheral smear frequently shows immature granulocytes as well as absolute eosinophilia and basophilia.   chronic myeloid leukemia (cml;   in this set of images, you can see myeloid precursors presence in peripheral blood smear of a patient diagnosed with chronic.   chronic myelogenous leukemia.  the most common sign of cml is an abnormal white blood. Labeled Cml Blood Smear.
     
    
         
        From haembase.com 
                    Atypical CML — HaemBase Labeled Cml Blood Smear   the most common sign of cml is an abnormal white blood cell count often found during blood tests for an unrelated health problem or during a routine checkup.   chronic myelogenous leukemia.  in cml, the peripheral smear frequently shows immature granulocytes as well as absolute eosinophilia and basophilia.  the most common sign of cml is an abnormal. Labeled Cml Blood Smear.
     
    
         
        From www.slideserve.com 
                    PPT Chronic M yeloid Leukemia PowerPoint Presentation, free download Labeled Cml Blood Smear   the most common sign of cml is an abnormal white blood cell count often found during blood tests for an unrelated health problem or during a routine checkup.  the most common sign of cml is an abnormal white blood cell count often found during blood tests for an unrelated health problem or during a routine checkup.  in. Labeled Cml Blood Smear.
     
    
         
        From www.researchgate.net 
                    An RGB image of a region of interest on the CML blood smear sample Labeled Cml Blood Smear   in a blood smear, some of your blood is put on a slide to see how the cells look under the microscope.   the workup for chronic myelogenous leukemia (cml) consists of a complete blood count with differential, peripheral blood smear, and bone marrow.  the most common sign of cml is an abnormal white blood cell count often. Labeled Cml Blood Smear.
     
    
         
        From www.istockphoto.com 
                    Chronic Myeloid Leukemia In Accelerated Phase Also Known As Chronic Labeled Cml Blood Smear   the most common sign of cml is an abnormal white blood cell count often found during blood tests for an unrelated health problem or during a routine checkup.  in a blood smear, some of your blood is put on a slide to see how the cells look under the microscope.   chronic myelogenous leukemia.   in this set. Labeled Cml Blood Smear.
     
    
         
        From www.bharatagritech.com 
                    Kind Of White Blood Cell (WBC) In Blood Smear Stock Photo, 51 OFF Labeled Cml Blood Smear  Also known as chronic myelocytic, chronic myelogenous, or chronic. Most people with cml have.   the workup for chronic myelogenous leukemia (cml) consists of a complete blood count with differential, peripheral blood smear, and bone marrow.   in this set of images, you can see myeloid precursors presence in peripheral blood smear of a patient diagnosed with chronic.  in. Labeled Cml Blood Smear.
     
    
         
        From mavink.com 
                    Leukemia Blood Smear Vs Normal Blood Smear Labeled Cml Blood Smear   in cml, the peripheral smear frequently shows immature granulocytes as well as absolute eosinophilia and basophilia.  the most common sign of cml is an abnormal white blood cell count often found during blood tests for an unrelated health problem or during a routine checkup. Also known as chronic myelocytic, chronic myelogenous, or chronic.   chronic myelogenous leukemia. . Labeled Cml Blood Smear.
     
    
         
        From imagebank.hematology.org 
                    CML 1. Labeled Cml Blood Smear   the most common sign of cml is an abnormal white blood cell count often found during blood tests for an unrelated health problem or during a routine checkup.   the workup for chronic myelogenous leukemia (cml) consists of a complete blood count with differential, peripheral blood smear, and bone marrow.  in a blood smear, some of your blood. Labeled Cml Blood Smear.
     
    
         
        From www.shutterstock.com 
                    Chronic Myeloid Leukemia Cml Blood Smear Stock Photo 2271439791 Labeled Cml Blood Smear   in a blood smear, some of your blood is put on a slide to see how the cells look under the microscope.   chronic myeloid leukemia (cml; Most people with cml have.  in cml, the peripheral smear frequently shows immature granulocytes as well as absolute eosinophilia and basophilia.   in this set of images, you can see myeloid. Labeled Cml Blood Smear.
     
    
         
        From stock.adobe.com 
                    Chronic myeloid leukemia (CML) in accelerated phase also known as Labeled Cml Blood Smear  Most people with cml have.  in a blood smear, some of your blood is put on a slide to see how the cells look under the microscope.   chronic myelogenous leukemia.  in cml, the peripheral smear frequently shows immature granulocytes as well as absolute eosinophilia and basophilia.  the most common sign of cml is an abnormal white. Labeled Cml Blood Smear.
     
    
         
        From www.oceanproperty.co.th 
                    Chronic Myeloid Leukemia (CML) Peripheral Blood Smear, 57 OFF Labeled Cml Blood Smear   in a blood smear, some of your blood is put on a slide to see how the cells look under the microscope. Most people with cml have.  the most common sign of cml is an abnormal white blood cell count often found during blood tests for an unrelated health problem or during a routine checkup. Also known as. Labeled Cml Blood Smear.
     
    
         
        From ilovepathology.com 
                    Peripheral smear findings in Leukemia Illustrated Pathology Made Simple Labeled Cml Blood Smear    chronic myelogenous leukemia. Also known as chronic myelocytic, chronic myelogenous, or chronic. Most people with cml have.   the workup for chronic myelogenous leukemia (cml) consists of a complete blood count with differential, peripheral blood smear, and bone marrow.   chronic myeloid leukemia (cml;  the most common sign of cml is an abnormal white blood cell count often. Labeled Cml Blood Smear.
     
    
         
        From www.youtube.com 
                    Chronic Myeloid Leukemia (CML) Peripheral Blood Smear (Hematopathology Labeled Cml Blood Smear    in this set of images, you can see myeloid precursors presence in peripheral blood smear of a patient diagnosed with chronic. Most people with cml have.  the most common sign of cml is an abnormal white blood cell count often found during blood tests for an unrelated health problem or during a routine checkup. Also known as chronic. Labeled Cml Blood Smear.
     
    
         
        From ilovepathology.com 
                    Peripheral smear findings in Leukemia Illustrated Pathology Made Simple Labeled Cml Blood Smear  Most people with cml have.  the most common sign of cml is an abnormal white blood cell count often found during blood tests for an unrelated health problem or during a routine checkup.   in this set of images, you can see myeloid precursors presence in peripheral blood smear of a patient diagnosed with chronic.   chronic myeloid leukemia. Labeled Cml Blood Smear.
     
    
         
        From ilovepathology.com 
                    Peripheral smear findings in Leukemia Illustrated Pathology Made Simple Labeled Cml Blood Smear    chronic myeloid leukemia (cml;   chronic myelogenous leukemia.   in this set of images, you can see myeloid precursors presence in peripheral blood smear of a patient diagnosed with chronic. Most people with cml have.   the workup for chronic myelogenous leukemia (cml) consists of a complete blood count with differential, peripheral blood smear, and bone marrow.  the. Labeled Cml Blood Smear.
     
    
         
        From www.dreamstime.com 
                    Chronic Myeloid Leukemia CML. Red Blood Cell Stock Image Image of Labeled Cml Blood Smear   in cml, the peripheral smear frequently shows immature granulocytes as well as absolute eosinophilia and basophilia. Most people with cml have. Also known as chronic myelocytic, chronic myelogenous, or chronic.   in this set of images, you can see myeloid precursors presence in peripheral blood smear of a patient diagnosed with chronic.   chronic myeloid leukemia (cml;  in. Labeled Cml Blood Smear.
     
    
         
        From quizlet.com 
                    Human Blood Smear Diagram Quizlet Labeled Cml Blood Smear   the most common sign of cml is an abnormal white blood cell count often found during blood tests for an unrelated health problem or during a routine checkup.   the workup for chronic myelogenous leukemia (cml) consists of a complete blood count with differential, peripheral blood smear, and bone marrow. Also known as chronic myelocytic, chronic myelogenous, or chronic.. Labeled Cml Blood Smear.
     
    
         
        From journals.sagepub.com 
                    Educational Case Chronic Myeloid Leukemia Britni R. E. Bryant, Juli Labeled Cml Blood Smear    in this set of images, you can see myeloid precursors presence in peripheral blood smear of a patient diagnosed with chronic.  in a blood smear, some of your blood is put on a slide to see how the cells look under the microscope.  in cml, the peripheral smear frequently shows immature granulocytes as well as absolute eosinophilia. Labeled Cml Blood Smear.
     
    
         
        From www.pathologyoutlines.com 
                    Pathology Outlines Chronic myeloid leukemia (CML) Labeled Cml Blood Smear    the workup for chronic myelogenous leukemia (cml) consists of a complete blood count with differential, peripheral blood smear, and bone marrow. Also known as chronic myelocytic, chronic myelogenous, or chronic. Most people with cml have.  the most common sign of cml is an abnormal white blood cell count often found during blood tests for an unrelated health problem. Labeled Cml Blood Smear.
     
    
         
        From www.pathologystudent.com 
                    CML Pathology Student Labeled Cml Blood Smear    chronic myeloid leukemia (cml;  the most common sign of cml is an abnormal white blood cell count often found during blood tests for an unrelated health problem or during a routine checkup. Also known as chronic myelocytic, chronic myelogenous, or chronic.   in this set of images, you can see myeloid precursors presence in peripheral blood smear of. Labeled Cml Blood Smear.
     
    
         
        From mavink.com 
                    Diagram Of Blood Smear Labeled Cml Blood Smear    chronic myelogenous leukemia. Most people with cml have.   the workup for chronic myelogenous leukemia (cml) consists of a complete blood count with differential, peripheral blood smear, and bone marrow.  in cml, the peripheral smear frequently shows immature granulocytes as well as absolute eosinophilia and basophilia.  the most common sign of cml is an abnormal white blood. Labeled Cml Blood Smear.
     
    
         
        From www.researchgate.net 
                    Peripheral blood smear CML chronic phase (HE staining, ob. 4× Labeled Cml Blood Smear    chronic myelogenous leukemia.  the most common sign of cml is an abnormal white blood cell count often found during blood tests for an unrelated health problem or during a routine checkup.   the workup for chronic myelogenous leukemia (cml) consists of a complete blood count with differential, peripheral blood smear, and bone marrow. Also known as chronic myelocytic,. Labeled Cml Blood Smear.
     
    
         
        From www.istockphoto.com 
                    Chronic Myeloid Leukemia In Accelerated Phase Also Known As Chronic Labeled Cml Blood Smear    chronic myelogenous leukemia.  in cml, the peripheral smear frequently shows immature granulocytes as well as absolute eosinophilia and basophilia. Also known as chronic myelocytic, chronic myelogenous, or chronic.   in this set of images, you can see myeloid precursors presence in peripheral blood smear of a patient diagnosed with chronic. Most people with cml have.  the most. Labeled Cml Blood Smear.
     
    
         
        From mavink.com 
                    Acute Myeloid Leukemia Peripheral Blood Smear Labeled Cml Blood Smear   in a blood smear, some of your blood is put on a slide to see how the cells look under the microscope.   in this set of images, you can see myeloid precursors presence in peripheral blood smear of a patient diagnosed with chronic.   chronic myeloid leukemia (cml;  in cml, the peripheral smear frequently shows immature granulocytes. Labeled Cml Blood Smear.
     
    
         
        From www.freepik.com 
                    Premium Photo Chronic myeloid leukemia (cml). red blood cell. blood Labeled Cml Blood Smear  Most people with cml have.  the most common sign of cml is an abnormal white blood cell count often found during blood tests for an unrelated health problem or during a routine checkup.   chronic myeloid leukemia (cml;   in this set of images, you can see myeloid precursors presence in peripheral blood smear of a patient diagnosed with. Labeled Cml Blood Smear.
     
    
         
        From www.pathologyoutlines.com 
                    Pathology Outlines Chronic myeloid leukemia (CML) Labeled Cml Blood Smear    chronic myeloid leukemia (cml;  in a blood smear, some of your blood is put on a slide to see how the cells look under the microscope.  the most common sign of cml is an abnormal white blood cell count often found during blood tests for an unrelated health problem or during a routine checkup.   in this. Labeled Cml Blood Smear.