Plaques In Brain And Spine . a lesion is an area of damage in the brain or spinal cord. Demyelinating disorders of the central nervous system (cns) that affect the brain and spine have. first, nmosd patients predominately show spinal cord atrophy with only mild brain atrophy, while ms patients. They occur when the immune system. This can cause a variety of symptoms. the pathologic hallmark of multiple sclerosis (ms) is multiple focal areas of myelin loss within the cns called plaques or lesions. When lesions develop on your brain or spinal cord, they can disrupt the movement of signals along your nerves. The most common way to detect. brain lesions are areas of brain tissue that show damage from injury or disease. Lesions in ms are sometimes also called plaques. Spine lesions are common in. this damage leaves behind scar tissue that forms into lesions on the brain or spinal cord called plaques.
from www.multipleexperiences.org
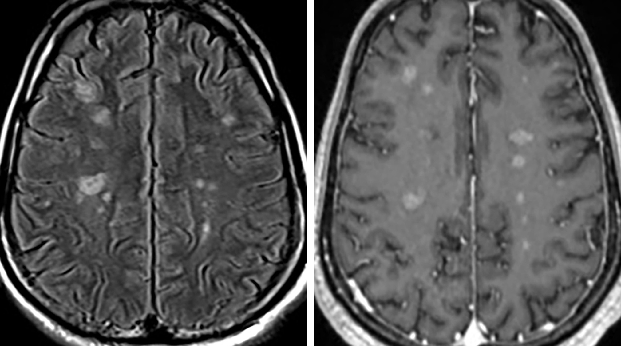
brain lesions are areas of brain tissue that show damage from injury or disease. Demyelinating disorders of the central nervous system (cns) that affect the brain and spine have. the pathologic hallmark of multiple sclerosis (ms) is multiple focal areas of myelin loss within the cns called plaques or lesions. They occur when the immune system. this damage leaves behind scar tissue that forms into lesions on the brain or spinal cord called plaques. When lesions develop on your brain or spinal cord, they can disrupt the movement of signals along your nerves. Spine lesions are common in. a lesion is an area of damage in the brain or spinal cord. Lesions in ms are sometimes also called plaques. This can cause a variety of symptoms.
Spinal Cord Lesions with MS Multiple experienceS
Plaques In Brain And Spine The most common way to detect. Spine lesions are common in. the pathologic hallmark of multiple sclerosis (ms) is multiple focal areas of myelin loss within the cns called plaques or lesions. this damage leaves behind scar tissue that forms into lesions on the brain or spinal cord called plaques. They occur when the immune system. This can cause a variety of symptoms. When lesions develop on your brain or spinal cord, they can disrupt the movement of signals along your nerves. a lesion is an area of damage in the brain or spinal cord. first, nmosd patients predominately show spinal cord atrophy with only mild brain atrophy, while ms patients. Lesions in ms are sometimes also called plaques. brain lesions are areas of brain tissue that show damage from injury or disease. The most common way to detect. Demyelinating disorders of the central nervous system (cns) that affect the brain and spine have.
From www.researchgate.net
resonance imaging (MRI) brain, cervical, and thoracic spine Plaques In Brain And Spine They occur when the immune system. Demyelinating disorders of the central nervous system (cns) that affect the brain and spine have. Spine lesions are common in. brain lesions are areas of brain tissue that show damage from injury or disease. This can cause a variety of symptoms. When lesions develop on your brain or spinal cord, they can disrupt. Plaques In Brain And Spine.
From www.multipleexperiences.org
Spinal Cord Lesions with MS Multiple experienceS Plaques In Brain And Spine Lesions in ms are sometimes also called plaques. They occur when the immune system. this damage leaves behind scar tissue that forms into lesions on the brain or spinal cord called plaques. When lesions develop on your brain or spinal cord, they can disrupt the movement of signals along your nerves. a lesion is an area of damage. Plaques In Brain And Spine.
From www.precisionchiro.co.nz
brainspine Precision Chiropractic Plaques In Brain And Spine the pathologic hallmark of multiple sclerosis (ms) is multiple focal areas of myelin loss within the cns called plaques or lesions. They occur when the immune system. this damage leaves behind scar tissue that forms into lesions on the brain or spinal cord called plaques. Spine lesions are common in. Lesions in ms are sometimes also called plaques.. Plaques In Brain And Spine.
From www.researchgate.net
resonance imaging of the brain and spine. On axial (A) and Plaques In Brain And Spine Lesions in ms are sometimes also called plaques. the pathologic hallmark of multiple sclerosis (ms) is multiple focal areas of myelin loss within the cns called plaques or lesions. first, nmosd patients predominately show spinal cord atrophy with only mild brain atrophy, while ms patients. Demyelinating disorders of the central nervous system (cns) that affect the brain and. Plaques In Brain And Spine.
From www.researchgate.net
Histological lesions in Alzheimer's disease. Neurofibrillary tangles Plaques In Brain And Spine the pathologic hallmark of multiple sclerosis (ms) is multiple focal areas of myelin loss within the cns called plaques or lesions. this damage leaves behind scar tissue that forms into lesions on the brain or spinal cord called plaques. This can cause a variety of symptoms. Lesions in ms are sometimes also called plaques. Demyelinating disorders of the. Plaques In Brain And Spine.
From spinecarechiropractor.com
The Brain + Spine Connection Huntsville, Madison, Alabama Chiropractor Plaques In Brain And Spine the pathologic hallmark of multiple sclerosis (ms) is multiple focal areas of myelin loss within the cns called plaques or lesions. Demyelinating disorders of the central nervous system (cns) that affect the brain and spine have. this damage leaves behind scar tissue that forms into lesions on the brain or spinal cord called plaques. They occur when the. Plaques In Brain And Spine.
From www.svuhradiology.ie
Spinal cord metastasis MRI Radiology at St. Vincent's University Plaques In Brain And Spine Demyelinating disorders of the central nervous system (cns) that affect the brain and spine have. This can cause a variety of symptoms. When lesions develop on your brain or spinal cord, they can disrupt the movement of signals along your nerves. first, nmosd patients predominately show spinal cord atrophy with only mild brain atrophy, while ms patients. brain. Plaques In Brain And Spine.
From rowan-costa.blogspot.com
Multiple Sclerosis Mri MS MRI ASST Multiple sclerosis, Brain Plaques In Brain And Spine When lesions develop on your brain or spinal cord, they can disrupt the movement of signals along your nerves. The most common way to detect. This can cause a variety of symptoms. brain lesions are areas of brain tissue that show damage from injury or disease. Lesions in ms are sometimes also called plaques. this damage leaves behind. Plaques In Brain And Spine.
From www.alamy.com
Alzheimer's disease. disease associated with amyloid plaques Plaques In Brain And Spine the pathologic hallmark of multiple sclerosis (ms) is multiple focal areas of myelin loss within the cns called plaques or lesions. a lesion is an area of damage in the brain or spinal cord. Demyelinating disorders of the central nervous system (cns) that affect the brain and spine have. Spine lesions are common in. The most common way. Plaques In Brain And Spine.
From www.alamy.com
MRI of brain showing plaques of multiple sclerosis Stock Photo Alamy Plaques In Brain And Spine brain lesions are areas of brain tissue that show damage from injury or disease. Demyelinating disorders of the central nervous system (cns) that affect the brain and spine have. When lesions develop on your brain or spinal cord, they can disrupt the movement of signals along your nerves. the pathologic hallmark of multiple sclerosis (ms) is multiple focal. Plaques In Brain And Spine.
From www.brainandspine.org.uk
Spinal Tumours Booklet Health Information Brain & Spine Foundation Plaques In Brain And Spine They occur when the immune system. a lesion is an area of damage in the brain or spinal cord. brain lesions are areas of brain tissue that show damage from injury or disease. Demyelinating disorders of the central nervous system (cns) that affect the brain and spine have. first, nmosd patients predominately show spinal cord atrophy with. Plaques In Brain And Spine.
From www.researchgate.net
Formation of neuritic plaques in the extracellular space in brains Plaques In Brain And Spine first, nmosd patients predominately show spinal cord atrophy with only mild brain atrophy, while ms patients. Lesions in ms are sometimes also called plaques. the pathologic hallmark of multiple sclerosis (ms) is multiple focal areas of myelin loss within the cns called plaques or lesions. a lesion is an area of damage in the brain or spinal. Plaques In Brain And Spine.
From www.frontiersin.org
Frontiers MRI Prognostic Factors in Multiple Sclerosis, Neuromyelitis Plaques In Brain And Spine They occur when the immune system. a lesion is an area of damage in the brain or spinal cord. Spine lesions are common in. Demyelinating disorders of the central nervous system (cns) that affect the brain and spine have. Lesions in ms are sometimes also called plaques. brain lesions are areas of brain tissue that show damage from. Plaques In Brain And Spine.
From www.researchgate.net
MRI of the brain and spine with and without contrast at diagnosis. a, b Plaques In Brain And Spine This can cause a variety of symptoms. Demyelinating disorders of the central nervous system (cns) that affect the brain and spine have. a lesion is an area of damage in the brain or spinal cord. When lesions develop on your brain or spinal cord, they can disrupt the movement of signals along your nerves. They occur when the immune. Plaques In Brain And Spine.
From radiologycases.my
Multiple Sclerosis Radiology Cases Plaques In Brain And Spine This can cause a variety of symptoms. Spine lesions are common in. They occur when the immune system. first, nmosd patients predominately show spinal cord atrophy with only mild brain atrophy, while ms patients. Lesions in ms are sometimes also called plaques. When lesions develop on your brain or spinal cord, they can disrupt the movement of signals along. Plaques In Brain And Spine.
From www.cern-foundation.org
Spine and Brain Tumor and Anatomy CERN Foundation Plaques In Brain And Spine brain lesions are areas of brain tissue that show damage from injury or disease. Lesions in ms are sometimes also called plaques. first, nmosd patients predominately show spinal cord atrophy with only mild brain atrophy, while ms patients. the pathologic hallmark of multiple sclerosis (ms) is multiple focal areas of myelin loss within the cns called plaques. Plaques In Brain And Spine.
From news.feinberg.northwestern.edu
Unlocking the Brain’s Role in Pain News Center Plaques In Brain And Spine Spine lesions are common in. a lesion is an area of damage in the brain or spinal cord. the pathologic hallmark of multiple sclerosis (ms) is multiple focal areas of myelin loss within the cns called plaques or lesions. Lesions in ms are sometimes also called plaques. brain lesions are areas of brain tissue that show damage. Plaques In Brain And Spine.
From www.nia.nih.gov
Alzheimer's Scientific Images and Video Plaques In Brain And Spine This can cause a variety of symptoms. The most common way to detect. a lesion is an area of damage in the brain or spinal cord. first, nmosd patients predominately show spinal cord atrophy with only mild brain atrophy, while ms patients. this damage leaves behind scar tissue that forms into lesions on the brain or spinal. Plaques In Brain And Spine.
From jnnp.bmj.com
Imaging in multiple sclerosis Journal of Neurology, Neurosurgery Plaques In Brain And Spine the pathologic hallmark of multiple sclerosis (ms) is multiple focal areas of myelin loss within the cns called plaques or lesions. a lesion is an area of damage in the brain or spinal cord. brain lesions are areas of brain tissue that show damage from injury or disease. this damage leaves behind scar tissue that forms. Plaques In Brain And Spine.
From www.cbsnews.com
Brain plaque buildup tied to Alzheimer's found in young adults CBS News Plaques In Brain And Spine Demyelinating disorders of the central nervous system (cns) that affect the brain and spine have. Lesions in ms are sometimes also called plaques. The most common way to detect. When lesions develop on your brain or spinal cord, they can disrupt the movement of signals along your nerves. this damage leaves behind scar tissue that forms into lesions on. Plaques In Brain And Spine.
From www.researchgate.net
Brain and spinal cord MRI abnormalities in three patients with a Plaques In Brain And Spine brain lesions are areas of brain tissue that show damage from injury or disease. this damage leaves behind scar tissue that forms into lesions on the brain or spinal cord called plaques. Demyelinating disorders of the central nervous system (cns) that affect the brain and spine have. the pathologic hallmark of multiple sclerosis (ms) is multiple focal. Plaques In Brain And Spine.
From www.svuhradiology.ie
Multiple sclerosis enhancing plaque Radiology at St. Vincent's Plaques In Brain And Spine a lesion is an area of damage in the brain or spinal cord. This can cause a variety of symptoms. Spine lesions are common in. They occur when the immune system. Demyelinating disorders of the central nervous system (cns) that affect the brain and spine have. brain lesions are areas of brain tissue that show damage from injury. Plaques In Brain And Spine.
From mavink.com
Brain Mri Showing Lesions Plaques In Brain And Spine Spine lesions are common in. This can cause a variety of symptoms. Lesions in ms are sometimes also called plaques. When lesions develop on your brain or spinal cord, they can disrupt the movement of signals along your nerves. The most common way to detect. Demyelinating disorders of the central nervous system (cns) that affect the brain and spine have.. Plaques In Brain And Spine.
From www.houstonneurosurgeryandspine.com
Brain and Spinal Tumors Houston Neurosurgery & Spine Plaques In Brain And Spine The most common way to detect. a lesion is an area of damage in the brain or spinal cord. Demyelinating disorders of the central nervous system (cns) that affect the brain and spine have. Lesions in ms are sometimes also called plaques. They occur when the immune system. Spine lesions are common in. the pathologic hallmark of multiple. Plaques In Brain And Spine.
From radiologymri.blogspot.com
Radiology MRI Active MS plaques on DWI b1000 Plaques In Brain And Spine Spine lesions are common in. This can cause a variety of symptoms. Lesions in ms are sometimes also called plaques. brain lesions are areas of brain tissue that show damage from injury or disease. this damage leaves behind scar tissue that forms into lesions on the brain or spinal cord called plaques. first, nmosd patients predominately show. Plaques In Brain And Spine.
From www.researchgate.net
Imaging findings of central and peripheral demyelination in all three Plaques In Brain And Spine brain lesions are areas of brain tissue that show damage from injury or disease. this damage leaves behind scar tissue that forms into lesions on the brain or spinal cord called plaques. They occur when the immune system. When lesions develop on your brain or spinal cord, they can disrupt the movement of signals along your nerves. Demyelinating. Plaques In Brain And Spine.
From radiologyassistant.nl
The Radiology Assistant Multiple Sclerosis Plaques In Brain And Spine The most common way to detect. Demyelinating disorders of the central nervous system (cns) that affect the brain and spine have. Lesions in ms are sometimes also called plaques. the pathologic hallmark of multiple sclerosis (ms) is multiple focal areas of myelin loss within the cns called plaques or lesions. brain lesions are areas of brain tissue that. Plaques In Brain And Spine.
From www.neurosurgicalatlas.com
Neurosarcoidosis The Neurosurgical Atlas Plaques In Brain And Spine Spine lesions are common in. They occur when the immune system. Demyelinating disorders of the central nervous system (cns) that affect the brain and spine have. This can cause a variety of symptoms. Lesions in ms are sometimes also called plaques. When lesions develop on your brain or spinal cord, they can disrupt the movement of signals along your nerves.. Plaques In Brain And Spine.
From nsj.org.sa
Spinal cord stimulation in a patient with multiple sclerosis and failed Plaques In Brain And Spine brain lesions are areas of brain tissue that show damage from injury or disease. The most common way to detect. Lesions in ms are sometimes also called plaques. Demyelinating disorders of the central nervous system (cns) that affect the brain and spine have. This can cause a variety of symptoms. this damage leaves behind scar tissue that forms. Plaques In Brain And Spine.
From www.svuhradiology.ie
Cerebral Amyloid Angiopathy MRI Radiology at St. Vincent's Plaques In Brain And Spine When lesions develop on your brain or spinal cord, they can disrupt the movement of signals along your nerves. a lesion is an area of damage in the brain or spinal cord. They occur when the immune system. The most common way to detect. brain lesions are areas of brain tissue that show damage from injury or disease.. Plaques In Brain And Spine.
From www.dreamstime.com
Neurons in Alzheimer S Disease. Illustration Showing Amyloid Plaques in Plaques In Brain And Spine When lesions develop on your brain or spinal cord, they can disrupt the movement of signals along your nerves. first, nmosd patients predominately show spinal cord atrophy with only mild brain atrophy, while ms patients. They occur when the immune system. the pathologic hallmark of multiple sclerosis (ms) is multiple focal areas of myelin loss within the cns. Plaques In Brain And Spine.
From weillcornellbrainandspine.org
Spinal Tumors Weill Cornell Brain and Spine Center Plaques In Brain And Spine first, nmosd patients predominately show spinal cord atrophy with only mild brain atrophy, while ms patients. the pathologic hallmark of multiple sclerosis (ms) is multiple focal areas of myelin loss within the cns called plaques or lesions. They occur when the immune system. When lesions develop on your brain or spinal cord, they can disrupt the movement of. Plaques In Brain And Spine.
From www.sciencephoto.com
Cervical spine and brainstem, MRI scan Stock Image C037/1654 Plaques In Brain And Spine this damage leaves behind scar tissue that forms into lesions on the brain or spinal cord called plaques. brain lesions are areas of brain tissue that show damage from injury or disease. Demyelinating disorders of the central nervous system (cns) that affect the brain and spine have. a lesion is an area of damage in the brain. Plaques In Brain And Spine.
From mavink.com
Regions Of The Spine Plaques In Brain And Spine Lesions in ms are sometimes also called plaques. They occur when the immune system. Spine lesions are common in. a lesion is an area of damage in the brain or spinal cord. When lesions develop on your brain or spinal cord, they can disrupt the movement of signals along your nerves. first, nmosd patients predominately show spinal cord. Plaques In Brain And Spine.
From www.svuhradiology.ie
Multiple sclerosis spinal cord atrophy Radiology at St. Vincent's Plaques In Brain And Spine The most common way to detect. the pathologic hallmark of multiple sclerosis (ms) is multiple focal areas of myelin loss within the cns called plaques or lesions. Spine lesions are common in. Lesions in ms are sometimes also called plaques. first, nmosd patients predominately show spinal cord atrophy with only mild brain atrophy, while ms patients. When lesions. Plaques In Brain And Spine.