Dental Bone Tumor . Odontogenic tumors of the jaw are a group of lesions that originate from remnants of epithelium or. Jaw cancer includes various tumors that form from the tissue involved in tooth formation (odontogenic tissue). Numerous tumor types, both benign and malignant, originate in the jaw. It causes a tumor made of bone. An ossifying fibroma is a rare noncancerous (benign) tumor that mostly affects your jawbones. A person with jaw bone cancer develops a malignant tumor on their mandible, lower jaw bone, or maxilla, which is the hard palate or upper jaw bone. The who classification of odontogenic and maxillofacial bone tumors, last published in 2017, is a subset of the who. Symptoms are swelling, pain, tenderness, and unexplained.
from blog.naver.com
A person with jaw bone cancer develops a malignant tumor on their mandible, lower jaw bone, or maxilla, which is the hard palate or upper jaw bone. Odontogenic tumors of the jaw are a group of lesions that originate from remnants of epithelium or. Symptoms are swelling, pain, tenderness, and unexplained. Numerous tumor types, both benign and malignant, originate in the jaw. The who classification of odontogenic and maxillofacial bone tumors, last published in 2017, is a subset of the who. It causes a tumor made of bone. An ossifying fibroma is a rare noncancerous (benign) tumor that mostly affects your jawbones. Jaw cancer includes various tumors that form from the tissue involved in tooth formation (odontogenic tissue).
Bone tumor의 영상의학적 접근 방법 네이버 블로그
Dental Bone Tumor A person with jaw bone cancer develops a malignant tumor on their mandible, lower jaw bone, or maxilla, which is the hard palate or upper jaw bone. The who classification of odontogenic and maxillofacial bone tumors, last published in 2017, is a subset of the who. Symptoms are swelling, pain, tenderness, and unexplained. Odontogenic tumors of the jaw are a group of lesions that originate from remnants of epithelium or. An ossifying fibroma is a rare noncancerous (benign) tumor that mostly affects your jawbones. It causes a tumor made of bone. Jaw cancer includes various tumors that form from the tissue involved in tooth formation (odontogenic tissue). Numerous tumor types, both benign and malignant, originate in the jaw. A person with jaw bone cancer develops a malignant tumor on their mandible, lower jaw bone, or maxilla, which is the hard palate or upper jaw bone.
From www.pinterest.com
The Radiology Assistant Sclerotic bone tumors and tumorlike lesions Dental Bone Tumor Numerous tumor types, both benign and malignant, originate in the jaw. It causes a tumor made of bone. Symptoms are swelling, pain, tenderness, and unexplained. Jaw cancer includes various tumors that form from the tissue involved in tooth formation (odontogenic tissue). Odontogenic tumors of the jaw are a group of lesions that originate from remnants of epithelium or. The who. Dental Bone Tumor.
From www.researchgate.net
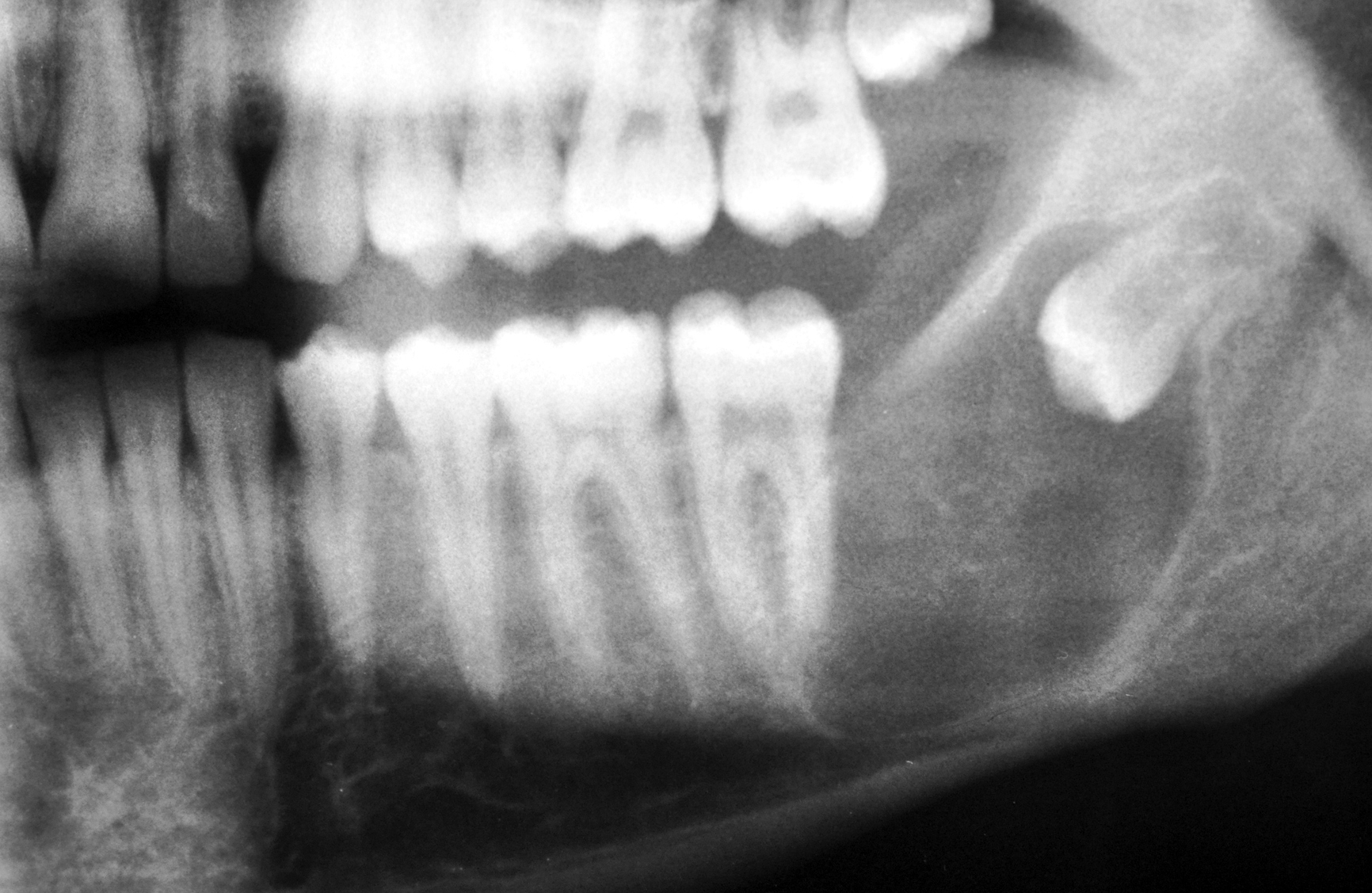
Primordial odontogenic tumor (a) Cropped panoramic radiograph Dental Bone Tumor A person with jaw bone cancer develops a malignant tumor on their mandible, lower jaw bone, or maxilla, which is the hard palate or upper jaw bone. Jaw cancer includes various tumors that form from the tissue involved in tooth formation (odontogenic tissue). An ossifying fibroma is a rare noncancerous (benign) tumor that mostly affects your jawbones. Symptoms are swelling,. Dental Bone Tumor.
From cancerinfoupdate.blogspot.com
Ewing (Bone Cancer) Update Cancer Information Blog Dental Bone Tumor The who classification of odontogenic and maxillofacial bone tumors, last published in 2017, is a subset of the who. A person with jaw bone cancer develops a malignant tumor on their mandible, lower jaw bone, or maxilla, which is the hard palate or upper jaw bone. Numerous tumor types, both benign and malignant, originate in the jaw. It causes a. Dental Bone Tumor.
From www.cureus.com
Cureus Xray and MRI Correlation of Bone Tumors Using Histopathology Dental Bone Tumor Jaw cancer includes various tumors that form from the tissue involved in tooth formation (odontogenic tissue). It causes a tumor made of bone. Numerous tumor types, both benign and malignant, originate in the jaw. Odontogenic tumors of the jaw are a group of lesions that originate from remnants of epithelium or. The who classification of odontogenic and maxillofacial bone tumors,. Dental Bone Tumor.
From www.urmc.rochester.edu
A URMC First Tumor Removal, Immediate Reconstruction and Dental Dental Bone Tumor The who classification of odontogenic and maxillofacial bone tumors, last published in 2017, is a subset of the who. A person with jaw bone cancer develops a malignant tumor on their mandible, lower jaw bone, or maxilla, which is the hard palate or upper jaw bone. Odontogenic tumors of the jaw are a group of lesions that originate from remnants. Dental Bone Tumor.
From www.dentistrytoday.com
Bone Replacement Procedure Successfully Treats Children With Jaw Tumors Dental Bone Tumor Symptoms are swelling, pain, tenderness, and unexplained. An ossifying fibroma is a rare noncancerous (benign) tumor that mostly affects your jawbones. Numerous tumor types, both benign and malignant, originate in the jaw. The who classification of odontogenic and maxillofacial bone tumors, last published in 2017, is a subset of the who. Jaw cancer includes various tumors that form from the. Dental Bone Tumor.
From dentalmoscardo.es
¿Conoces la importancia de las radiografías dentales? Dental Moscardó Dental Bone Tumor It causes a tumor made of bone. Numerous tumor types, both benign and malignant, originate in the jaw. A person with jaw bone cancer develops a malignant tumor on their mandible, lower jaw bone, or maxilla, which is the hard palate or upper jaw bone. Odontogenic tumors of the jaw are a group of lesions that originate from remnants of. Dental Bone Tumor.
From mrionline.com
Benign Bone Tumors Case 1 Radiology Video Dental Bone Tumor An ossifying fibroma is a rare noncancerous (benign) tumor that mostly affects your jawbones. Numerous tumor types, both benign and malignant, originate in the jaw. The who classification of odontogenic and maxillofacial bone tumors, last published in 2017, is a subset of the who. A person with jaw bone cancer develops a malignant tumor on their mandible, lower jaw bone,. Dental Bone Tumor.
From cdi.com.pe
Caso N°684Tumor Odontogénico Adenomatoide (Probable) CDI Perú Dental Bone Tumor Odontogenic tumors of the jaw are a group of lesions that originate from remnants of epithelium or. Numerous tumor types, both benign and malignant, originate in the jaw. Jaw cancer includes various tumors that form from the tissue involved in tooth formation (odontogenic tissue). An ossifying fibroma is a rare noncancerous (benign) tumor that mostly affects your jawbones. Symptoms are. Dental Bone Tumor.
From www.intechopen.com
Multidisciplinary Management of Benign Jaw Tumors in Children IntechOpen Dental Bone Tumor Symptoms are swelling, pain, tenderness, and unexplained. It causes a tumor made of bone. Numerous tumor types, both benign and malignant, originate in the jaw. The who classification of odontogenic and maxillofacial bone tumors, last published in 2017, is a subset of the who. An ossifying fibroma is a rare noncancerous (benign) tumor that mostly affects your jawbones. Jaw cancer. Dental Bone Tumor.
From www.clinicavillarreal.com
TUMORES ODONTOGÉNICOS ASOCIADOS A DIENTES INCLUIDOS Clinica Dental Bone Tumor Symptoms are swelling, pain, tenderness, and unexplained. The who classification of odontogenic and maxillofacial bone tumors, last published in 2017, is a subset of the who. It causes a tumor made of bone. Odontogenic tumors of the jaw are a group of lesions that originate from remnants of epithelium or. A person with jaw bone cancer develops a malignant tumor. Dental Bone Tumor.
From mavink.com
Bone Tumor Mri Dental Bone Tumor A person with jaw bone cancer develops a malignant tumor on their mandible, lower jaw bone, or maxilla, which is the hard palate or upper jaw bone. An ossifying fibroma is a rare noncancerous (benign) tumor that mostly affects your jawbones. The who classification of odontogenic and maxillofacial bone tumors, last published in 2017, is a subset of the who.. Dental Bone Tumor.
From blog.naver.com
Bone tumor의 영상의학적 접근 방법 네이버 블로그 Dental Bone Tumor Jaw cancer includes various tumors that form from the tissue involved in tooth formation (odontogenic tissue). It causes a tumor made of bone. Numerous tumor types, both benign and malignant, originate in the jaw. A person with jaw bone cancer develops a malignant tumor on their mandible, lower jaw bone, or maxilla, which is the hard palate or upper jaw. Dental Bone Tumor.
From www.manhattanmaxillofacial.com
Ameloblastoma Midtown Manhattan NYC Oral Surgeon Dr. Hirsch Dental Bone Tumor Jaw cancer includes various tumors that form from the tissue involved in tooth formation (odontogenic tissue). Odontogenic tumors of the jaw are a group of lesions that originate from remnants of epithelium or. Numerous tumor types, both benign and malignant, originate in the jaw. A person with jaw bone cancer develops a malignant tumor on their mandible, lower jaw bone,. Dental Bone Tumor.
From www.intechopen.com
Multidisciplinary Management of Benign Jaw Tumors in Children IntechOpen Dental Bone Tumor A person with jaw bone cancer develops a malignant tumor on their mandible, lower jaw bone, or maxilla, which is the hard palate or upper jaw bone. Odontogenic tumors of the jaw are a group of lesions that originate from remnants of epithelium or. Numerous tumor types, both benign and malignant, originate in the jaw. The who classification of odontogenic. Dental Bone Tumor.
From www.researchgate.net
3D printed bone tumor model and guide plate. a 3D printed bone tumor Dental Bone Tumor A person with jaw bone cancer develops a malignant tumor on their mandible, lower jaw bone, or maxilla, which is the hard palate or upper jaw bone. It causes a tumor made of bone. Symptoms are swelling, pain, tenderness, and unexplained. Jaw cancer includes various tumors that form from the tissue involved in tooth formation (odontogenic tissue). An ossifying fibroma. Dental Bone Tumor.
From radiologykey.com
Imaging Features of Bone Tumors Radiology Key Dental Bone Tumor The who classification of odontogenic and maxillofacial bone tumors, last published in 2017, is a subset of the who. Symptoms are swelling, pain, tenderness, and unexplained. It causes a tumor made of bone. Jaw cancer includes various tumors that form from the tissue involved in tooth formation (odontogenic tissue). Numerous tumor types, both benign and malignant, originate in the jaw.. Dental Bone Tumor.
From www.mdpi.com
Dentistry Journal Free FullText Imaging in Patients with Dental Bone Tumor Numerous tumor types, both benign and malignant, originate in the jaw. A person with jaw bone cancer develops a malignant tumor on their mandible, lower jaw bone, or maxilla, which is the hard palate or upper jaw bone. Jaw cancer includes various tumors that form from the tissue involved in tooth formation (odontogenic tissue). Odontogenic tumors of the jaw are. Dental Bone Tumor.
From commons.wikimedia.org
FileClassic keratocystic odontogenic tumour.jpg Wikimedia Commons Dental Bone Tumor Symptoms are swelling, pain, tenderness, and unexplained. An ossifying fibroma is a rare noncancerous (benign) tumor that mostly affects your jawbones. Numerous tumor types, both benign and malignant, originate in the jaw. A person with jaw bone cancer develops a malignant tumor on their mandible, lower jaw bone, or maxilla, which is the hard palate or upper jaw bone. The. Dental Bone Tumor.
From radiologykey.com
Part 2 Bone Tumors Radiology Key Dental Bone Tumor A person with jaw bone cancer develops a malignant tumor on their mandible, lower jaw bone, or maxilla, which is the hard palate or upper jaw bone. The who classification of odontogenic and maxillofacial bone tumors, last published in 2017, is a subset of the who. Odontogenic tumors of the jaw are a group of lesions that originate from remnants. Dental Bone Tumor.
From ar.inspiredpencil.com
Strontium For Bone Cancer Patients Dental Bone Tumor Odontogenic tumors of the jaw are a group of lesions that originate from remnants of epithelium or. The who classification of odontogenic and maxillofacial bone tumors, last published in 2017, is a subset of the who. Numerous tumor types, both benign and malignant, originate in the jaw. It causes a tumor made of bone. Symptoms are swelling, pain, tenderness, and. Dental Bone Tumor.
From www.pathologyoutlines.com
Pathology Outlines Giant cell tumor of bone Dental Bone Tumor Jaw cancer includes various tumors that form from the tissue involved in tooth formation (odontogenic tissue). The who classification of odontogenic and maxillofacial bone tumors, last published in 2017, is a subset of the who. A person with jaw bone cancer develops a malignant tumor on their mandible, lower jaw bone, or maxilla, which is the hard palate or upper. Dental Bone Tumor.
From www.mdpi.com
Dentistry Journal Free FullText Unusual Imaging Features of Dental Bone Tumor An ossifying fibroma is a rare noncancerous (benign) tumor that mostly affects your jawbones. The who classification of odontogenic and maxillofacial bone tumors, last published in 2017, is a subset of the who. A person with jaw bone cancer develops a malignant tumor on their mandible, lower jaw bone, or maxilla, which is the hard palate or upper jaw bone.. Dental Bone Tumor.
From www.thailandmedical.news
DIY Guide For Checking For Mouth Or Oral Cancer Thailand Medical News Dental Bone Tumor Symptoms are swelling, pain, tenderness, and unexplained. Odontogenic tumors of the jaw are a group of lesions that originate from remnants of epithelium or. Numerous tumor types, both benign and malignant, originate in the jaw. The who classification of odontogenic and maxillofacial bone tumors, last published in 2017, is a subset of the who. It causes a tumor made of. Dental Bone Tumor.
From www.spandidos-publications.com
Primary intraosseous squamous cell carcinoma of the maxilla possibly Dental Bone Tumor It causes a tumor made of bone. A person with jaw bone cancer develops a malignant tumor on their mandible, lower jaw bone, or maxilla, which is the hard palate or upper jaw bone. Jaw cancer includes various tumors that form from the tissue involved in tooth formation (odontogenic tissue). Symptoms are swelling, pain, tenderness, and unexplained. An ossifying fibroma. Dental Bone Tumor.
From mannameadcosmeticdental.co.uk
Dental Bone Grafts in Plymouth Bone grafting procedure in Mannamead Dental Bone Tumor Odontogenic tumors of the jaw are a group of lesions that originate from remnants of epithelium or. It causes a tumor made of bone. An ossifying fibroma is a rare noncancerous (benign) tumor that mostly affects your jawbones. The who classification of odontogenic and maxillofacial bone tumors, last published in 2017, is a subset of the who. Jaw cancer includes. Dental Bone Tumor.
From www.pinterest.com
Odontoma is a benign tumor linked to tooth development Dental Dental Bone Tumor Odontogenic tumors of the jaw are a group of lesions that originate from remnants of epithelium or. Numerous tumor types, both benign and malignant, originate in the jaw. An ossifying fibroma is a rare noncancerous (benign) tumor that mostly affects your jawbones. A person with jaw bone cancer develops a malignant tumor on their mandible, lower jaw bone, or maxilla,. Dental Bone Tumor.
From www.joms.org
HyperparathyroidismJaw Tumor Syndrome A Case Report Journal of Oral Dental Bone Tumor A person with jaw bone cancer develops a malignant tumor on their mandible, lower jaw bone, or maxilla, which is the hard palate or upper jaw bone. Numerous tumor types, both benign and malignant, originate in the jaw. An ossifying fibroma is a rare noncancerous (benign) tumor that mostly affects your jawbones. Jaw cancer includes various tumors that form from. Dental Bone Tumor.
From www.dreamstime.com
a Malignant Bone Tumor, Light Micrograph Under the Dental Bone Tumor A person with jaw bone cancer develops a malignant tumor on their mandible, lower jaw bone, or maxilla, which is the hard palate or upper jaw bone. Numerous tumor types, both benign and malignant, originate in the jaw. Symptoms are swelling, pain, tenderness, and unexplained. The who classification of odontogenic and maxillofacial bone tumors, last published in 2017, is a. Dental Bone Tumor.
From www.cureus.com
Odontogenic Keratocyst Presented as MultiLocular Radiolucency in Dental Bone Tumor An ossifying fibroma is a rare noncancerous (benign) tumor that mostly affects your jawbones. Symptoms are swelling, pain, tenderness, and unexplained. Odontogenic tumors of the jaw are a group of lesions that originate from remnants of epithelium or. It causes a tumor made of bone. A person with jaw bone cancer develops a malignant tumor on their mandible, lower jaw. Dental Bone Tumor.
From www.semanticscholar.org
Figure 1 from Case report of a very rare primary malignant bone tumor Dental Bone Tumor Numerous tumor types, both benign and malignant, originate in the jaw. Odontogenic tumors of the jaw are a group of lesions that originate from remnants of epithelium or. A person with jaw bone cancer develops a malignant tumor on their mandible, lower jaw bone, or maxilla, which is the hard palate or upper jaw bone. An ossifying fibroma is a. Dental Bone Tumor.
From www.pinterest.com.mx
Sclerotic bone leison Note Sclerotic bone leison in Tibia in young Dental Bone Tumor The who classification of odontogenic and maxillofacial bone tumors, last published in 2017, is a subset of the who. It causes a tumor made of bone. Symptoms are swelling, pain, tenderness, and unexplained. A person with jaw bone cancer develops a malignant tumor on their mandible, lower jaw bone, or maxilla, which is the hard palate or upper jaw bone.. Dental Bone Tumor.
From www.intechopen.com
Keratocystic Odontogenic Tumors Clinical and Molecular Features Dental Bone Tumor A person with jaw bone cancer develops a malignant tumor on their mandible, lower jaw bone, or maxilla, which is the hard palate or upper jaw bone. Symptoms are swelling, pain, tenderness, and unexplained. It causes a tumor made of bone. An ossifying fibroma is a rare noncancerous (benign) tumor that mostly affects your jawbones. Numerous tumor types, both benign. Dental Bone Tumor.
From www.youtube.com
Dental Tumor YouTube Dental Bone Tumor Odontogenic tumors of the jaw are a group of lesions that originate from remnants of epithelium or. A person with jaw bone cancer develops a malignant tumor on their mandible, lower jaw bone, or maxilla, which is the hard palate or upper jaw bone. It causes a tumor made of bone. Numerous tumor types, both benign and malignant, originate in. Dental Bone Tumor.
From usmle-rx.com
Primary Bone Tumors USMLERx Dental Bone Tumor Odontogenic tumors of the jaw are a group of lesions that originate from remnants of epithelium or. A person with jaw bone cancer develops a malignant tumor on their mandible, lower jaw bone, or maxilla, which is the hard palate or upper jaw bone. Numerous tumor types, both benign and malignant, originate in the jaw. Jaw cancer includes various tumors. Dental Bone Tumor.