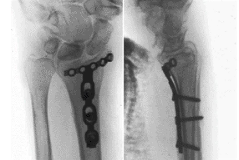
Garden Spade Deformity Fracture . Due to the instability of the fracture, most will require internal fixation. Malunion may occur with a residual volar displacement or shortening of the distal radius, causing a cosmetic abnormality known as a garden spade deformity. It may also narrow the entryway into the carpal tunnel, with resultant delayed carpal tunnel syndrome. A residual volar displacement is commonly referred to as a garden spade deformity since it has a similar curvature to a garden spade. Volar angulated fracture of distal radius (reverse colles fracture or. A malunion may also lead to. Symptoms include pain, swelling, bruising, garden spade deformity, weakness and restricted movement. Malunion, with a residual volar displacement of the distal radius results in a cosmetic deformity, referred to as a garden.
from www.fascinatewithzea.com
Volar angulated fracture of distal radius (reverse colles fracture or. Malunion, with a residual volar displacement of the distal radius results in a cosmetic deformity, referred to as a garden. A residual volar displacement is commonly referred to as a garden spade deformity since it has a similar curvature to a garden spade. A malunion may also lead to. Due to the instability of the fracture, most will require internal fixation. It may also narrow the entryway into the carpal tunnel, with resultant delayed carpal tunnel syndrome. Malunion may occur with a residual volar displacement or shortening of the distal radius, causing a cosmetic abnormality known as a garden spade deformity. Symptoms include pain, swelling, bruising, garden spade deformity, weakness and restricted movement.
Garden Spade Deformity Fasci Garden
Garden Spade Deformity Fracture It may also narrow the entryway into the carpal tunnel, with resultant delayed carpal tunnel syndrome. Volar angulated fracture of distal radius (reverse colles fracture or. Due to the instability of the fracture, most will require internal fixation. Malunion, with a residual volar displacement of the distal radius results in a cosmetic deformity, referred to as a garden. A residual volar displacement is commonly referred to as a garden spade deformity since it has a similar curvature to a garden spade. Symptoms include pain, swelling, bruising, garden spade deformity, weakness and restricted movement. Malunion may occur with a residual volar displacement or shortening of the distal radius, causing a cosmetic abnormality known as a garden spade deformity. A malunion may also lead to. It may also narrow the entryway into the carpal tunnel, with resultant delayed carpal tunnel syndrome.
From www.fascinatewithzea.com
Garden Spade Deformity Fasci Garden Garden Spade Deformity Fracture Malunion, with a residual volar displacement of the distal radius results in a cosmetic deformity, referred to as a garden. Due to the instability of the fracture, most will require internal fixation. A residual volar displacement is commonly referred to as a garden spade deformity since it has a similar curvature to a garden spade. Malunion may occur with a. Garden Spade Deformity Fracture.
From www.fascinatewithzea.com
Garden Spade Deformity Fasci Garden Garden Spade Deformity Fracture Volar angulated fracture of distal radius (reverse colles fracture or. It may also narrow the entryway into the carpal tunnel, with resultant delayed carpal tunnel syndrome. A malunion may also lead to. Due to the instability of the fracture, most will require internal fixation. Symptoms include pain, swelling, bruising, garden spade deformity, weakness and restricted movement. Malunion may occur with. Garden Spade Deformity Fracture.
From www.fascinatewithzea.com
Smith Fracture Garden Spade Deformity Fasci Garden Garden Spade Deformity Fracture Due to the instability of the fracture, most will require internal fixation. Malunion, with a residual volar displacement of the distal radius results in a cosmetic deformity, referred to as a garden. Symptoms include pain, swelling, bruising, garden spade deformity, weakness and restricted movement. A malunion may also lead to. It may also narrow the entryway into the carpal tunnel,. Garden Spade Deformity Fracture.
From www.fascinatewithzea.com
Garden Spade Deformity Adalah Fasci Garden Garden Spade Deformity Fracture It may also narrow the entryway into the carpal tunnel, with resultant delayed carpal tunnel syndrome. Volar angulated fracture of distal radius (reverse colles fracture or. Malunion, with a residual volar displacement of the distal radius results in a cosmetic deformity, referred to as a garden. A residual volar displacement is commonly referred to as a garden spade deformity since. Garden Spade Deformity Fracture.
From www.fascinatewithzea.com
Garden Spade Deformity Fasci Garden Garden Spade Deformity Fracture Volar angulated fracture of distal radius (reverse colles fracture or. Symptoms include pain, swelling, bruising, garden spade deformity, weakness and restricted movement. A residual volar displacement is commonly referred to as a garden spade deformity since it has a similar curvature to a garden spade. A malunion may also lead to. Malunion, with a residual volar displacement of the distal. Garden Spade Deformity Fracture.
From www.fascinatewithzea.com
Garden Spade Deformity Fasci Garden Garden Spade Deformity Fracture Malunion, with a residual volar displacement of the distal radius results in a cosmetic deformity, referred to as a garden. Volar angulated fracture of distal radius (reverse colles fracture or. A residual volar displacement is commonly referred to as a garden spade deformity since it has a similar curvature to a garden spade. Malunion may occur with a residual volar. Garden Spade Deformity Fracture.
From www.fascinatewithzea.com
Garden Spade Deformity Fasci Garden Garden Spade Deformity Fracture Malunion, with a residual volar displacement of the distal radius results in a cosmetic deformity, referred to as a garden. A residual volar displacement is commonly referred to as a garden spade deformity since it has a similar curvature to a garden spade. A malunion may also lead to. Symptoms include pain, swelling, bruising, garden spade deformity, weakness and restricted. Garden Spade Deformity Fracture.
From www.fascinatewithzea.com
Dinner Fork Vs Garden Spade Deformity Fasci Garden Garden Spade Deformity Fracture A residual volar displacement is commonly referred to as a garden spade deformity since it has a similar curvature to a garden spade. Malunion may occur with a residual volar displacement or shortening of the distal radius, causing a cosmetic abnormality known as a garden spade deformity. It may also narrow the entryway into the carpal tunnel, with resultant delayed. Garden Spade Deformity Fracture.
From www.fascinatewithzea.com
Garden Spade Deformity Picture Fasci Garden Garden Spade Deformity Fracture Volar angulated fracture of distal radius (reverse colles fracture or. A residual volar displacement is commonly referred to as a garden spade deformity since it has a similar curvature to a garden spade. Due to the instability of the fracture, most will require internal fixation. Malunion, with a residual volar displacement of the distal radius results in a cosmetic deformity,. Garden Spade Deformity Fracture.
From www.fascinatewithzea.com
Dinner Fork Vs Garden Spade Deformity Fasci Garden Garden Spade Deformity Fracture A malunion may also lead to. Volar angulated fracture of distal radius (reverse colles fracture or. Due to the instability of the fracture, most will require internal fixation. It may also narrow the entryway into the carpal tunnel, with resultant delayed carpal tunnel syndrome. A residual volar displacement is commonly referred to as a garden spade deformity since it has. Garden Spade Deformity Fracture.
From ar.inspiredpencil.com
Smith Fracture Garden Spade Garden Spade Deformity Fracture Malunion may occur with a residual volar displacement or shortening of the distal radius, causing a cosmetic abnormality known as a garden spade deformity. A malunion may also lead to. Volar angulated fracture of distal radius (reverse colles fracture or. It may also narrow the entryway into the carpal tunnel, with resultant delayed carpal tunnel syndrome. Symptoms include pain, swelling,. Garden Spade Deformity Fracture.
From chiriru-cheryl.blogspot.com
Ideas 15 of Garden Spade Deformity Fracture chirirucheryl Garden Spade Deformity Fracture Volar angulated fracture of distal radius (reverse colles fracture or. Malunion, with a residual volar displacement of the distal radius results in a cosmetic deformity, referred to as a garden. Due to the instability of the fracture, most will require internal fixation. Symptoms include pain, swelling, bruising, garden spade deformity, weakness and restricted movement. Malunion may occur with a residual. Garden Spade Deformity Fracture.
From ar.inspiredpencil.com
Smith Fracture Garden Spade Garden Spade Deformity Fracture Due to the instability of the fracture, most will require internal fixation. A residual volar displacement is commonly referred to as a garden spade deformity since it has a similar curvature to a garden spade. Symptoms include pain, swelling, bruising, garden spade deformity, weakness and restricted movement. Malunion may occur with a residual volar displacement or shortening of the distal. Garden Spade Deformity Fracture.
From mavink.com
Closed Reduction Distal Radius Fracture Garden Spade Deformity Fracture It may also narrow the entryway into the carpal tunnel, with resultant delayed carpal tunnel syndrome. Volar angulated fracture of distal radius (reverse colles fracture or. Symptoms include pain, swelling, bruising, garden spade deformity, weakness and restricted movement. A malunion may also lead to. Due to the instability of the fracture, most will require internal fixation. Malunion, with a residual. Garden Spade Deformity Fracture.
From alquilercastilloshinchables.info
7 Pics Garden Spade Deformity And View Alqu Blog Garden Spade Deformity Fracture It may also narrow the entryway into the carpal tunnel, with resultant delayed carpal tunnel syndrome. Symptoms include pain, swelling, bruising, garden spade deformity, weakness and restricted movement. A malunion may also lead to. Malunion may occur with a residual volar displacement or shortening of the distal radius, causing a cosmetic abnormality known as a garden spade deformity. Malunion, with. Garden Spade Deformity Fracture.
From www.fascinatewithzea.com
Dinner Fork Vs Garden Spade Deformity Fasci Garden Garden Spade Deformity Fracture Due to the instability of the fracture, most will require internal fixation. Malunion, with a residual volar displacement of the distal radius results in a cosmetic deformity, referred to as a garden. A residual volar displacement is commonly referred to as a garden spade deformity since it has a similar curvature to a garden spade. Malunion may occur with a. Garden Spade Deformity Fracture.
From www.fascinatewithzea.com
Garden Spade Deformity Fasci Garden Garden Spade Deformity Fracture Volar angulated fracture of distal radius (reverse colles fracture or. Malunion, with a residual volar displacement of the distal radius results in a cosmetic deformity, referred to as a garden. It may also narrow the entryway into the carpal tunnel, with resultant delayed carpal tunnel syndrome. A residual volar displacement is commonly referred to as a garden spade deformity since. Garden Spade Deformity Fracture.
From www.fascinatewithzea.com
Garden Spade Deformity Fasci Garden Garden Spade Deformity Fracture Volar angulated fracture of distal radius (reverse colles fracture or. Due to the instability of the fracture, most will require internal fixation. A malunion may also lead to. A residual volar displacement is commonly referred to as a garden spade deformity since it has a similar curvature to a garden spade. It may also narrow the entryway into the carpal. Garden Spade Deformity Fracture.
From www.fascinatewithzea.com
Smith Fracture Garden Spade Deformity Fasci Garden Garden Spade Deformity Fracture Symptoms include pain, swelling, bruising, garden spade deformity, weakness and restricted movement. A malunion may also lead to. Volar angulated fracture of distal radius (reverse colles fracture or. Due to the instability of the fracture, most will require internal fixation. A residual volar displacement is commonly referred to as a garden spade deformity since it has a similar curvature to. Garden Spade Deformity Fracture.
From www.fascinatewithzea.com
Smith Fracture Garden Spade Deformity Fasci Garden Garden Spade Deformity Fracture A malunion may also lead to. Symptoms include pain, swelling, bruising, garden spade deformity, weakness and restricted movement. A residual volar displacement is commonly referred to as a garden spade deformity since it has a similar curvature to a garden spade. Malunion may occur with a residual volar displacement or shortening of the distal radius, causing a cosmetic abnormality known. Garden Spade Deformity Fracture.
From www.fascinatewithzea.com
Dinner Fork Vs Garden Spade Deformity Fasci Garden Garden Spade Deformity Fracture A malunion may also lead to. Symptoms include pain, swelling, bruising, garden spade deformity, weakness and restricted movement. Malunion, with a residual volar displacement of the distal radius results in a cosmetic deformity, referred to as a garden. Due to the instability of the fracture, most will require internal fixation. It may also narrow the entryway into the carpal tunnel,. Garden Spade Deformity Fracture.
From www.fascinatewithzea.com
Garden Spade Deformity Fasci Garden Garden Spade Deformity Fracture A residual volar displacement is commonly referred to as a garden spade deformity since it has a similar curvature to a garden spade. Due to the instability of the fracture, most will require internal fixation. Malunion, with a residual volar displacement of the distal radius results in a cosmetic deformity, referred to as a garden. Malunion may occur with a. Garden Spade Deformity Fracture.
From www.fascinatewithzea.com
Smith Fracture Garden Spade Deformity Fasci Garden Garden Spade Deformity Fracture Symptoms include pain, swelling, bruising, garden spade deformity, weakness and restricted movement. It may also narrow the entryway into the carpal tunnel, with resultant delayed carpal tunnel syndrome. Due to the instability of the fracture, most will require internal fixation. Volar angulated fracture of distal radius (reverse colles fracture or. Malunion may occur with a residual volar displacement or shortening. Garden Spade Deformity Fracture.
From www.fascinatewithzea.com
Garden Spade Deformity Wrist Fasci Garden Garden Spade Deformity Fracture It may also narrow the entryway into the carpal tunnel, with resultant delayed carpal tunnel syndrome. Symptoms include pain, swelling, bruising, garden spade deformity, weakness and restricted movement. A malunion may also lead to. Malunion may occur with a residual volar displacement or shortening of the distal radius, causing a cosmetic abnormality known as a garden spade deformity. A residual. Garden Spade Deformity Fracture.
From www.fascinatewithzea.com
Garden Spade Deformity Fasci Garden Garden Spade Deformity Fracture Due to the instability of the fracture, most will require internal fixation. A residual volar displacement is commonly referred to as a garden spade deformity since it has a similar curvature to a garden spade. Malunion, with a residual volar displacement of the distal radius results in a cosmetic deformity, referred to as a garden. Malunion may occur with a. Garden Spade Deformity Fracture.
From www.fascinatewithzea.com
Garden Spade Deformity Fasci Garden Garden Spade Deformity Fracture Malunion, with a residual volar displacement of the distal radius results in a cosmetic deformity, referred to as a garden. Malunion may occur with a residual volar displacement or shortening of the distal radius, causing a cosmetic abnormality known as a garden spade deformity. A malunion may also lead to. Volar angulated fracture of distal radius (reverse colles fracture or.. Garden Spade Deformity Fracture.
From www.fascinatewithzea.com
Smith Fracture Garden Spade Deformity Fasci Garden Garden Spade Deformity Fracture Malunion may occur with a residual volar displacement or shortening of the distal radius, causing a cosmetic abnormality known as a garden spade deformity. A malunion may also lead to. Volar angulated fracture of distal radius (reverse colles fracture or. Malunion, with a residual volar displacement of the distal radius results in a cosmetic deformity, referred to as a garden.. Garden Spade Deformity Fracture.
From www.fascinatewithzea.com
Garden Spade Deformity Fasci Garden Garden Spade Deformity Fracture It may also narrow the entryway into the carpal tunnel, with resultant delayed carpal tunnel syndrome. A malunion may also lead to. Malunion, with a residual volar displacement of the distal radius results in a cosmetic deformity, referred to as a garden. Malunion may occur with a residual volar displacement or shortening of the distal radius, causing a cosmetic abnormality. Garden Spade Deformity Fracture.
From www.researchgate.net
Lateral view of the wrist showing the garden spade deformity consistent Garden Spade Deformity Fracture Symptoms include pain, swelling, bruising, garden spade deformity, weakness and restricted movement. Malunion may occur with a residual volar displacement or shortening of the distal radius, causing a cosmetic abnormality known as a garden spade deformity. It may also narrow the entryway into the carpal tunnel, with resultant delayed carpal tunnel syndrome. A residual volar displacement is commonly referred to. Garden Spade Deformity Fracture.
From ar.inspiredpencil.com
Smith Fracture Garden Spade Garden Spade Deformity Fracture Symptoms include pain, swelling, bruising, garden spade deformity, weakness and restricted movement. Malunion may occur with a residual volar displacement or shortening of the distal radius, causing a cosmetic abnormality known as a garden spade deformity. A residual volar displacement is commonly referred to as a garden spade deformity since it has a similar curvature to a garden spade. It. Garden Spade Deformity Fracture.
From www.fascinatewithzea.com
Garden Spade Deformity Fasci Garden Garden Spade Deformity Fracture Malunion, with a residual volar displacement of the distal radius results in a cosmetic deformity, referred to as a garden. A residual volar displacement is commonly referred to as a garden spade deformity since it has a similar curvature to a garden spade. Volar angulated fracture of distal radius (reverse colles fracture or. Malunion may occur with a residual volar. Garden Spade Deformity Fracture.
From www.fascinatewithzea.com
Garden Spade Deformity Fasci Garden Garden Spade Deformity Fracture A malunion may also lead to. Due to the instability of the fracture, most will require internal fixation. Malunion, with a residual volar displacement of the distal radius results in a cosmetic deformity, referred to as a garden. Malunion may occur with a residual volar displacement or shortening of the distal radius, causing a cosmetic abnormality known as a garden. Garden Spade Deformity Fracture.
From www.fascinatewithzea.com
Garden Spade Deformity Fasci Garden Garden Spade Deformity Fracture Due to the instability of the fracture, most will require internal fixation. It may also narrow the entryway into the carpal tunnel, with resultant delayed carpal tunnel syndrome. Malunion may occur with a residual volar displacement or shortening of the distal radius, causing a cosmetic abnormality known as a garden spade deformity. Volar angulated fracture of distal radius (reverse colles. Garden Spade Deformity Fracture.
From www.fascinatewithzea.com
Garden Spade Deformity Picture Fasci Garden Garden Spade Deformity Fracture A residual volar displacement is commonly referred to as a garden spade deformity since it has a similar curvature to a garden spade. Volar angulated fracture of distal radius (reverse colles fracture or. A malunion may also lead to. Due to the instability of the fracture, most will require internal fixation. Malunion, with a residual volar displacement of the distal. Garden Spade Deformity Fracture.
From ar.inspiredpencil.com
Smith Fracture Garden Spade Garden Spade Deformity Fracture Malunion, with a residual volar displacement of the distal radius results in a cosmetic deformity, referred to as a garden. A residual volar displacement is commonly referred to as a garden spade deformity since it has a similar curvature to a garden spade. A malunion may also lead to. Malunion may occur with a residual volar displacement or shortening of. Garden Spade Deformity Fracture.