Coat Sleeve Pattern Histology . The epidermis is not involved. In the superficial variant of erythema annular centrifugum, an infiltrate of histiocytes, lymphocytes, and, rarely, eosinophils is present. The diagnosis can be confirmed by skin biopsy in which the typical features of superficial or deep erythema annulare centrifugum are noted: Dense perivascular lymphocytic infiltrate of superficial dermis. Historically, coat sleeve appearance was described in the histopathology of primary and secondary lesions of syphilis, where the inflammatory.
from clinics.elsevier.es
Historically, coat sleeve appearance was described in the histopathology of primary and secondary lesions of syphilis, where the inflammatory. Dense perivascular lymphocytic infiltrate of superficial dermis. In the superficial variant of erythema annular centrifugum, an infiltrate of histiocytes, lymphocytes, and, rarely, eosinophils is present. The diagnosis can be confirmed by skin biopsy in which the typical features of superficial or deep erythema annulare centrifugum are noted: The epidermis is not involved.
Phototoxic drug eruption induced by vandetanib used for the treatment
Coat Sleeve Pattern Histology In the superficial variant of erythema annular centrifugum, an infiltrate of histiocytes, lymphocytes, and, rarely, eosinophils is present. The epidermis is not involved. In the superficial variant of erythema annular centrifugum, an infiltrate of histiocytes, lymphocytes, and, rarely, eosinophils is present. Dense perivascular lymphocytic infiltrate of superficial dermis. Historically, coat sleeve appearance was described in the histopathology of primary and secondary lesions of syphilis, where the inflammatory. The diagnosis can be confirmed by skin biopsy in which the typical features of superficial or deep erythema annulare centrifugum are noted:
From www.researchgate.net
(PDF) Erythema annulare centrifugum in pregnancy Coat Sleeve Pattern Histology In the superficial variant of erythema annular centrifugum, an infiltrate of histiocytes, lymphocytes, and, rarely, eosinophils is present. The epidermis is not involved. Historically, coat sleeve appearance was described in the histopathology of primary and secondary lesions of syphilis, where the inflammatory. The diagnosis can be confirmed by skin biopsy in which the typical features of superficial or deep erythema. Coat Sleeve Pattern Histology.
From dermatopathologymadesimple.blogspot.co.uk
Dermatopathology Made Simple Inflammatory Psoriasiform Reaction Pattern Coat Sleeve Pattern Histology The diagnosis can be confirmed by skin biopsy in which the typical features of superficial or deep erythema annulare centrifugum are noted: In the superficial variant of erythema annular centrifugum, an infiltrate of histiocytes, lymphocytes, and, rarely, eosinophils is present. The epidermis is not involved. Dense perivascular lymphocytic infiltrate of superficial dermis. Historically, coat sleeve appearance was described in the. Coat Sleeve Pattern Histology.
From www.anaisdedermatologia.org.br
Erythema annulare centrifugum associated with chronic amitriptyline Coat Sleeve Pattern Histology Historically, coat sleeve appearance was described in the histopathology of primary and secondary lesions of syphilis, where the inflammatory. The diagnosis can be confirmed by skin biopsy in which the typical features of superficial or deep erythema annulare centrifugum are noted: In the superficial variant of erythema annular centrifugum, an infiltrate of histiocytes, lymphocytes, and, rarely, eosinophils is present. Dense. Coat Sleeve Pattern Histology.
From www.craftsy.com
Pattern Alterations How to Ensure Your Sleeve Fits Perfectly Coat Sleeve Pattern Histology Dense perivascular lymphocytic infiltrate of superficial dermis. The epidermis is not involved. Historically, coat sleeve appearance was described in the histopathology of primary and secondary lesions of syphilis, where the inflammatory. The diagnosis can be confirmed by skin biopsy in which the typical features of superficial or deep erythema annulare centrifugum are noted: In the superficial variant of erythema annular. Coat Sleeve Pattern Histology.
From www.pinterest.com
How to Draft a TwoPiece Jacket Sleeve From a OnePiece Pattern Coat Sleeve Pattern Histology The diagnosis can be confirmed by skin biopsy in which the typical features of superficial or deep erythema annulare centrifugum are noted: Historically, coat sleeve appearance was described in the histopathology of primary and secondary lesions of syphilis, where the inflammatory. In the superficial variant of erythema annular centrifugum, an infiltrate of histiocytes, lymphocytes, and, rarely, eosinophils is present. Dense. Coat Sleeve Pattern Histology.
From www.youtube.com
[X Y Formula] how to grading coat Sleeve pattern easy sleeve Coat Sleeve Pattern Histology Dense perivascular lymphocytic infiltrate of superficial dermis. In the superficial variant of erythema annular centrifugum, an infiltrate of histiocytes, lymphocytes, and, rarely, eosinophils is present. The diagnosis can be confirmed by skin biopsy in which the typical features of superficial or deep erythema annulare centrifugum are noted: The epidermis is not involved. Historically, coat sleeve appearance was described in the. Coat Sleeve Pattern Histology.
From palmerpletschdigital.com
Learn to Sew a Jacket! (Digital Edition) Palmer Pletsch Digital Coat Sleeve Pattern Histology The epidermis is not involved. In the superficial variant of erythema annular centrifugum, an infiltrate of histiocytes, lymphocytes, and, rarely, eosinophils is present. Historically, coat sleeve appearance was described in the histopathology of primary and secondary lesions of syphilis, where the inflammatory. Dense perivascular lymphocytic infiltrate of superficial dermis. The diagnosis can be confirmed by skin biopsy in which the. Coat Sleeve Pattern Histology.
From www.theshapesoffabric.com
About Making my Winter Coat The Shapes of Fabric Coat Sleeve Pattern Histology Dense perivascular lymphocytic infiltrate of superficial dermis. The diagnosis can be confirmed by skin biopsy in which the typical features of superficial or deep erythema annulare centrifugum are noted: The epidermis is not involved. In the superficial variant of erythema annular centrifugum, an infiltrate of histiocytes, lymphocytes, and, rarely, eosinophils is present. Historically, coat sleeve appearance was described in the. Coat Sleeve Pattern Histology.
From www.researchgate.net
Skin histology of alopecic moose (Alces alces). (a) Sparse coat Coat Sleeve Pattern Histology Dense perivascular lymphocytic infiltrate of superficial dermis. Historically, coat sleeve appearance was described in the histopathology of primary and secondary lesions of syphilis, where the inflammatory. The diagnosis can be confirmed by skin biopsy in which the typical features of superficial or deep erythema annulare centrifugum are noted: In the superficial variant of erythema annular centrifugum, an infiltrate of histiocytes,. Coat Sleeve Pattern Histology.
From onlinelibrary.wiley.com
Erythema annulare centrifugum triggered by SARS‐CoV‐2 infection Setó Coat Sleeve Pattern Histology In the superficial variant of erythema annular centrifugum, an infiltrate of histiocytes, lymphocytes, and, rarely, eosinophils is present. Dense perivascular lymphocytic infiltrate of superficial dermis. The epidermis is not involved. The diagnosis can be confirmed by skin biopsy in which the typical features of superficial or deep erythema annulare centrifugum are noted: Historically, coat sleeve appearance was described in the. Coat Sleeve Pattern Histology.
From medicaljournalssweden.se
DISCUSSION Coat Sleeve Pattern Histology In the superficial variant of erythema annular centrifugum, an infiltrate of histiocytes, lymphocytes, and, rarely, eosinophils is present. The diagnosis can be confirmed by skin biopsy in which the typical features of superficial or deep erythema annulare centrifugum are noted: Dense perivascular lymphocytic infiltrate of superficial dermis. Historically, coat sleeve appearance was described in the histopathology of primary and secondary. Coat Sleeve Pattern Histology.
From www.pathologyoutlines.com
Pathology Outlines Coats disease Coat Sleeve Pattern Histology The epidermis is not involved. Dense perivascular lymphocytic infiltrate of superficial dermis. The diagnosis can be confirmed by skin biopsy in which the typical features of superficial or deep erythema annulare centrifugum are noted: In the superficial variant of erythema annular centrifugum, an infiltrate of histiocytes, lymphocytes, and, rarely, eosinophils is present. Historically, coat sleeve appearance was described in the. Coat Sleeve Pattern Histology.
From www.pinterest.es
Kara, trench coat sleeves, Napoleon Lagrangian Барберри тренчи Coat Sleeve Pattern Histology Historically, coat sleeve appearance was described in the histopathology of primary and secondary lesions of syphilis, where the inflammatory. In the superficial variant of erythema annular centrifugum, an infiltrate of histiocytes, lymphocytes, and, rarely, eosinophils is present. The diagnosis can be confirmed by skin biopsy in which the typical features of superficial or deep erythema annulare centrifugum are noted: The. Coat Sleeve Pattern Histology.
From ijdvl.com
Appearances in dermatopathology The diagnostic and the deceptive Coat Sleeve Pattern Histology In the superficial variant of erythema annular centrifugum, an infiltrate of histiocytes, lymphocytes, and, rarely, eosinophils is present. The epidermis is not involved. Historically, coat sleeve appearance was described in the histopathology of primary and secondary lesions of syphilis, where the inflammatory. Dense perivascular lymphocytic infiltrate of superficial dermis. The diagnosis can be confirmed by skin biopsy in which the. Coat Sleeve Pattern Histology.
From diagnosticpathology.biomedcentral.com
Clinicalhistopathological correlation in a case of Coats' disease Coat Sleeve Pattern Histology In the superficial variant of erythema annular centrifugum, an infiltrate of histiocytes, lymphocytes, and, rarely, eosinophils is present. Historically, coat sleeve appearance was described in the histopathology of primary and secondary lesions of syphilis, where the inflammatory. The epidermis is not involved. Dense perivascular lymphocytic infiltrate of superficial dermis. The diagnosis can be confirmed by skin biopsy in which the. Coat Sleeve Pattern Histology.
From www.massonlifestyle.com
Coat and Jacket patterns for Beginners, Intermediate and Advanced Skill Coat Sleeve Pattern Histology Historically, coat sleeve appearance was described in the histopathology of primary and secondary lesions of syphilis, where the inflammatory. Dense perivascular lymphocytic infiltrate of superficial dermis. In the superficial variant of erythema annular centrifugum, an infiltrate of histiocytes, lymphocytes, and, rarely, eosinophils is present. The diagnosis can be confirmed by skin biopsy in which the typical features of superficial or. Coat Sleeve Pattern Histology.
From www.youtube.com
HOW TO SEW COAT SLEEVE pt[2] Drafting 2 piece sleeve cut jacket Coat Sleeve Pattern Histology Historically, coat sleeve appearance was described in the histopathology of primary and secondary lesions of syphilis, where the inflammatory. Dense perivascular lymphocytic infiltrate of superficial dermis. The epidermis is not involved. The diagnosis can be confirmed by skin biopsy in which the typical features of superficial or deep erythema annulare centrifugum are noted: In the superficial variant of erythema annular. Coat Sleeve Pattern Histology.
From dermatopathologymadesimple.blogspot.co.uk
Dermatopathology Made Simple Inflammatory Psoriasiform Reaction Pattern Coat Sleeve Pattern Histology The epidermis is not involved. In the superficial variant of erythema annular centrifugum, an infiltrate of histiocytes, lymphocytes, and, rarely, eosinophils is present. Dense perivascular lymphocytic infiltrate of superficial dermis. The diagnosis can be confirmed by skin biopsy in which the typical features of superficial or deep erythema annulare centrifugum are noted: Historically, coat sleeve appearance was described in the. Coat Sleeve Pattern Histology.
From www.pinterest.com
Personalized Lab Coats Custom lab coat, Lab coats, Lab coat Coat Sleeve Pattern Histology In the superficial variant of erythema annular centrifugum, an infiltrate of histiocytes, lymphocytes, and, rarely, eosinophils is present. The diagnosis can be confirmed by skin biopsy in which the typical features of superficial or deep erythema annulare centrifugum are noted: Historically, coat sleeve appearance was described in the histopathology of primary and secondary lesions of syphilis, where the inflammatory. Dense. Coat Sleeve Pattern Histology.
From www.youtube.com
How to make a coat sleeve pattern with OPTITEX PDS. YouTube Coat Sleeve Pattern Histology Dense perivascular lymphocytic infiltrate of superficial dermis. Historically, coat sleeve appearance was described in the histopathology of primary and secondary lesions of syphilis, where the inflammatory. The epidermis is not involved. The diagnosis can be confirmed by skin biopsy in which the typical features of superficial or deep erythema annulare centrifugum are noted: In the superficial variant of erythema annular. Coat Sleeve Pattern Histology.
From www.pinterest.com
Coat raglan sleeves Sleeves pattern, Sewing patterns, Pattern fashion Coat Sleeve Pattern Histology Historically, coat sleeve appearance was described in the histopathology of primary and secondary lesions of syphilis, where the inflammatory. The epidermis is not involved. In the superficial variant of erythema annular centrifugum, an infiltrate of histiocytes, lymphocytes, and, rarely, eosinophils is present. Dense perivascular lymphocytic infiltrate of superficial dermis. The diagnosis can be confirmed by skin biopsy in which the. Coat Sleeve Pattern Histology.
From www.youtube.com
코트 소매 패턴/Coat sleeve pattern YouTube Coat Sleeve Pattern Histology The epidermis is not involved. Historically, coat sleeve appearance was described in the histopathology of primary and secondary lesions of syphilis, where the inflammatory. In the superficial variant of erythema annular centrifugum, an infiltrate of histiocytes, lymphocytes, and, rarely, eosinophils is present. Dense perivascular lymphocytic infiltrate of superficial dermis. The diagnosis can be confirmed by skin biopsy in which the. Coat Sleeve Pattern Histology.
From clinics.elsevier.es
Phototoxic drug eruption induced by vandetanib used for the treatment Coat Sleeve Pattern Histology Historically, coat sleeve appearance was described in the histopathology of primary and secondary lesions of syphilis, where the inflammatory. In the superficial variant of erythema annular centrifugum, an infiltrate of histiocytes, lymphocytes, and, rarely, eosinophils is present. The epidermis is not involved. Dense perivascular lymphocytic infiltrate of superficial dermis. The diagnosis can be confirmed by skin biopsy in which the. Coat Sleeve Pattern Histology.
From www.cureus.com
Cureus Erythema Annulare Centrifugum A Rare Skin Manifestation of Coat Sleeve Pattern Histology The diagnosis can be confirmed by skin biopsy in which the typical features of superficial or deep erythema annulare centrifugum are noted: Historically, coat sleeve appearance was described in the histopathology of primary and secondary lesions of syphilis, where the inflammatory. In the superficial variant of erythema annular centrifugum, an infiltrate of histiocytes, lymphocytes, and, rarely, eosinophils is present. The. Coat Sleeve Pattern Histology.
From mavink.com
Erythema Annulare Centrifugum Histology Coat Sleeve Pattern Histology The epidermis is not involved. In the superficial variant of erythema annular centrifugum, an infiltrate of histiocytes, lymphocytes, and, rarely, eosinophils is present. Historically, coat sleeve appearance was described in the histopathology of primary and secondary lesions of syphilis, where the inflammatory. Dense perivascular lymphocytic infiltrate of superficial dermis. The diagnosis can be confirmed by skin biopsy in which the. Coat Sleeve Pattern Histology.
From www.youtube.com
How To Cut Coat Sleeve Pattern Women's Coat Sleeve cutting YouTube Coat Sleeve Pattern Histology In the superficial variant of erythema annular centrifugum, an infiltrate of histiocytes, lymphocytes, and, rarely, eosinophils is present. Dense perivascular lymphocytic infiltrate of superficial dermis. The diagnosis can be confirmed by skin biopsy in which the typical features of superficial or deep erythema annulare centrifugum are noted: Historically, coat sleeve appearance was described in the histopathology of primary and secondary. Coat Sleeve Pattern Histology.
From ebookscambridge.wordpress.com
histologyjacket ebookscambridge Coat Sleeve Pattern Histology The diagnosis can be confirmed by skin biopsy in which the typical features of superficial or deep erythema annulare centrifugum are noted: Historically, coat sleeve appearance was described in the histopathology of primary and secondary lesions of syphilis, where the inflammatory. The epidermis is not involved. Dense perivascular lymphocytic infiltrate of superficial dermis. In the superficial variant of erythema annular. Coat Sleeve Pattern Histology.
From www.youtube.com
Coat Sleeve Pattern YouTube Coat Sleeve Pattern Histology In the superficial variant of erythema annular centrifugum, an infiltrate of histiocytes, lymphocytes, and, rarely, eosinophils is present. The epidermis is not involved. Dense perivascular lymphocytic infiltrate of superficial dermis. The diagnosis can be confirmed by skin biopsy in which the typical features of superficial or deep erythema annulare centrifugum are noted: Historically, coat sleeve appearance was described in the. Coat Sleeve Pattern Histology.
From www.etsy.com
Blanket Coat PATTERN Digital Pdf Video Tutorial Suitable Etsy Coat Sleeve Pattern Histology Historically, coat sleeve appearance was described in the histopathology of primary and secondary lesions of syphilis, where the inflammatory. The epidermis is not involved. In the superficial variant of erythema annular centrifugum, an infiltrate of histiocytes, lymphocytes, and, rarely, eosinophils is present. Dense perivascular lymphocytic infiltrate of superficial dermis. The diagnosis can be confirmed by skin biopsy in which the. Coat Sleeve Pattern Histology.
From www.etsy.com
PERSONALIZED HISTOLOGY TECH Bomber Jacket, Histo Tech Jacket, Histology Coat Sleeve Pattern Histology In the superficial variant of erythema annular centrifugum, an infiltrate of histiocytes, lymphocytes, and, rarely, eosinophils is present. Historically, coat sleeve appearance was described in the histopathology of primary and secondary lesions of syphilis, where the inflammatory. Dense perivascular lymphocytic infiltrate of superficial dermis. The diagnosis can be confirmed by skin biopsy in which the typical features of superficial or. Coat Sleeve Pattern Histology.
From www.pathologyoutlines.com
Pathology Outlines Erythema annulare centrifugum Coat Sleeve Pattern Histology Dense perivascular lymphocytic infiltrate of superficial dermis. The diagnosis can be confirmed by skin biopsy in which the typical features of superficial or deep erythema annulare centrifugum are noted: Historically, coat sleeve appearance was described in the histopathology of primary and secondary lesions of syphilis, where the inflammatory. The epidermis is not involved. In the superficial variant of erythema annular. Coat Sleeve Pattern Histology.
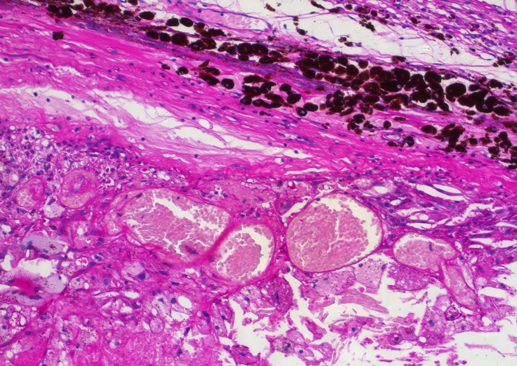
From www.researchgate.net
A) Melanocytes arranged around dermal blood vessels in a " coatsleeve Coat Sleeve Pattern Histology Historically, coat sleeve appearance was described in the histopathology of primary and secondary lesions of syphilis, where the inflammatory. Dense perivascular lymphocytic infiltrate of superficial dermis. In the superficial variant of erythema annular centrifugum, an infiltrate of histiocytes, lymphocytes, and, rarely, eosinophils is present. The epidermis is not involved. The diagnosis can be confirmed by skin biopsy in which the. Coat Sleeve Pattern Histology.
From www.researchgate.net
The vessels of the superficial vascular plexuses surrounded by dense Coat Sleeve Pattern Histology Historically, coat sleeve appearance was described in the histopathology of primary and secondary lesions of syphilis, where the inflammatory. In the superficial variant of erythema annular centrifugum, an infiltrate of histiocytes, lymphocytes, and, rarely, eosinophils is present. The epidermis is not involved. Dense perivascular lymphocytic infiltrate of superficial dermis. The diagnosis can be confirmed by skin biopsy in which the. Coat Sleeve Pattern Histology.
From anatomy.kmu.edu.tw
Block12/Fig. 42 Sebaceous glands and sweat glands. Coat Sleeve Pattern Histology Historically, coat sleeve appearance was described in the histopathology of primary and secondary lesions of syphilis, where the inflammatory. The epidermis is not involved. In the superficial variant of erythema annular centrifugum, an infiltrate of histiocytes, lymphocytes, and, rarely, eosinophils is present. Dense perivascular lymphocytic infiltrate of superficial dermis. The diagnosis can be confirmed by skin biopsy in which the. Coat Sleeve Pattern Histology.
From www.pinterest.com
LAB COAT PATTERN Coat patterns, Coat pattern sewing, Jacket pattern Coat Sleeve Pattern Histology The diagnosis can be confirmed by skin biopsy in which the typical features of superficial or deep erythema annulare centrifugum are noted: The epidermis is not involved. Dense perivascular lymphocytic infiltrate of superficial dermis. Historically, coat sleeve appearance was described in the histopathology of primary and secondary lesions of syphilis, where the inflammatory. In the superficial variant of erythema annular. Coat Sleeve Pattern Histology.