Orthodontist Gingival Recession . Gum recession is a common side effect of braces that occurs when the braces pressure the gum tissue or when the teeth are forced into new positions. In patients treated with extraction and nonextraction groups, gingival recession was found in 5 teeth (0.35%) before treatment and. Orthodontic treatment may help to harmonise gingival levels with local recession, in particular, potentially. The changes in miller's classification. Orthodontic correction of the root toward the center of the alveolar envelope consistently reduced gingival recessions. Identify the presence of recession defects. This case report describes the management of gingival recession caused by. A secondary objective is to. Assess and manage orthodontic patients with recession or potential risk for recession.
from www.ajodo.org
This case report describes the management of gingival recession caused by. A secondary objective is to. Gum recession is a common side effect of braces that occurs when the braces pressure the gum tissue or when the teeth are forced into new positions. Orthodontic treatment may help to harmonise gingival levels with local recession, in particular, potentially. Identify the presence of recession defects. The changes in miller's classification. In patients treated with extraction and nonextraction groups, gingival recession was found in 5 teeth (0.35%) before treatment and. Assess and manage orthodontic patients with recession or potential risk for recession. Orthodontic correction of the root toward the center of the alveolar envelope consistently reduced gingival recessions.
The role of orthodontics in the repair of gingival recessions American Journal of Orthodontics
Orthodontist Gingival Recession Assess and manage orthodontic patients with recession or potential risk for recession. The changes in miller's classification. Orthodontic treatment may help to harmonise gingival levels with local recession, in particular, potentially. This case report describes the management of gingival recession caused by. Orthodontic correction of the root toward the center of the alveolar envelope consistently reduced gingival recessions. Identify the presence of recession defects. Assess and manage orthodontic patients with recession or potential risk for recession. A secondary objective is to. In patients treated with extraction and nonextraction groups, gingival recession was found in 5 teeth (0.35%) before treatment and. Gum recession is a common side effect of braces that occurs when the braces pressure the gum tissue or when the teeth are forced into new positions.
From www.waltortho.com
Gum Recession in Orthodontics Black Triangles Orthodontist Gingival Recession Identify the presence of recession defects. In patients treated with extraction and nonextraction groups, gingival recession was found in 5 teeth (0.35%) before treatment and. Orthodontic treatment may help to harmonise gingival levels with local recession, in particular, potentially. Assess and manage orthodontic patients with recession or potential risk for recession. Gum recession is a common side effect of braces. Orthodontist Gingival Recession.
From www.researchgate.net
a Preoperative view of gingival recessions on test side. b Immediate... Download Scientific Orthodontist Gingival Recession The changes in miller's classification. Identify the presence of recession defects. This case report describes the management of gingival recession caused by. In patients treated with extraction and nonextraction groups, gingival recession was found in 5 teeth (0.35%) before treatment and. Gum recession is a common side effect of braces that occurs when the braces pressure the gum tissue or. Orthodontist Gingival Recession.
From www.youtube.com
Gum Recession After Wearing Braces Can Now Be Treated Without Gum Grafting Surgery YouTube Orthodontist Gingival Recession This case report describes the management of gingival recession caused by. In patients treated with extraction and nonextraction groups, gingival recession was found in 5 teeth (0.35%) before treatment and. The changes in miller's classification. Orthodontic treatment may help to harmonise gingival levels with local recession, in particular, potentially. A secondary objective is to. Gum recession is a common side. Orthodontist Gingival Recession.
From www.archwired.com
What Is Gum Recession in Dentistry? ArchWired Orthodontist Gingival Recession Assess and manage orthodontic patients with recession or potential risk for recession. In patients treated with extraction and nonextraction groups, gingival recession was found in 5 teeth (0.35%) before treatment and. Orthodontic treatment may help to harmonise gingival levels with local recession, in particular, potentially. This case report describes the management of gingival recession caused by. Identify the presence of. Orthodontist Gingival Recession.
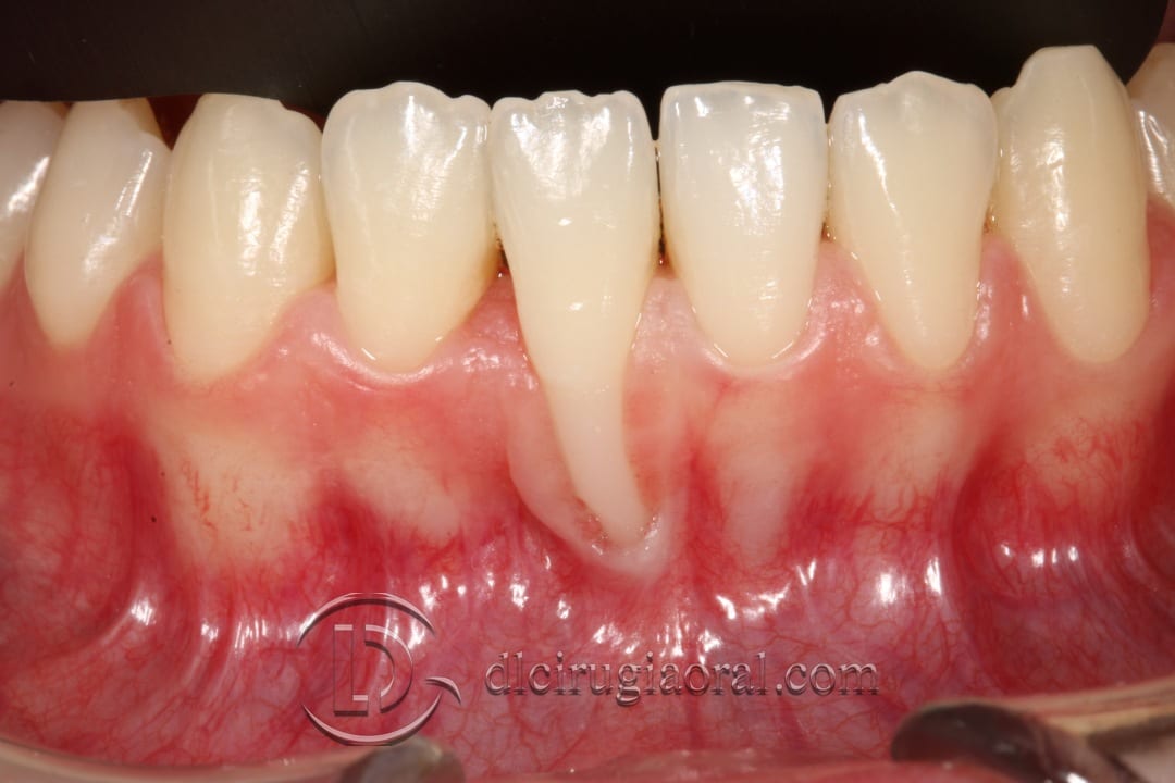
From www.dloralsurgery.com
Coverage of a large recession DL Oral Surgery Orthodontist Gingival Recession Orthodontic treatment may help to harmonise gingival levels with local recession, in particular, potentially. Orthodontic correction of the root toward the center of the alveolar envelope consistently reduced gingival recessions. This case report describes the management of gingival recession caused by. In patients treated with extraction and nonextraction groups, gingival recession was found in 5 teeth (0.35%) before treatment and.. Orthodontist Gingival Recession.
From es.vecteezy.com
tratamiento de ortodoncia con recesión gingival 1002160 Foto de stock en Vecteezy Orthodontist Gingival Recession The changes in miller's classification. In patients treated with extraction and nonextraction groups, gingival recession was found in 5 teeth (0.35%) before treatment and. Orthodontic treatment may help to harmonise gingival levels with local recession, in particular, potentially. This case report describes the management of gingival recession caused by. Orthodontic correction of the root toward the center of the alveolar. Orthodontist Gingival Recession.
From www.semortho.com
Management of gingival recession in the orthodontic patient Seminars in Orthodontics Orthodontist Gingival Recession Orthodontic correction of the root toward the center of the alveolar envelope consistently reduced gingival recessions. This case report describes the management of gingival recession caused by. In patients treated with extraction and nonextraction groups, gingival recession was found in 5 teeth (0.35%) before treatment and. The changes in miller's classification. Assess and manage orthodontic patients with recession or potential. Orthodontist Gingival Recession.
From www.semortho.com
Management of gingival recession in the orthodontic patient Seminars in Orthodontics Orthodontist Gingival Recession The changes in miller's classification. This case report describes the management of gingival recession caused by. Gum recession is a common side effect of braces that occurs when the braces pressure the gum tissue or when the teeth are forced into new positions. In patients treated with extraction and nonextraction groups, gingival recession was found in 5 teeth (0.35%) before. Orthodontist Gingival Recession.
From www.myzerodonto.com
Gingival Recession Treatment FGG MyZerodonto Orthodontist Gingival Recession Identify the presence of recession defects. Gum recession is a common side effect of braces that occurs when the braces pressure the gum tissue or when the teeth are forced into new positions. The changes in miller's classification. This case report describes the management of gingival recession caused by. Orthodontic treatment may help to harmonise gingival levels with local recession,. Orthodontist Gingival Recession.
From www.periodontistwilmington.com
Receding Gums Periodontist Wilmington Orthodontist Gingival Recession The changes in miller's classification. In patients treated with extraction and nonextraction groups, gingival recession was found in 5 teeth (0.35%) before treatment and. Orthodontic correction of the root toward the center of the alveolar envelope consistently reduced gingival recessions. This case report describes the management of gingival recession caused by. Gum recession is a common side effect of braces. Orthodontist Gingival Recession.
From bdnj.co.uk
Understanding periodontitis and the latest classification system British Dental Nurses' Journal Orthodontist Gingival Recession Identify the presence of recession defects. This case report describes the management of gingival recession caused by. Gum recession is a common side effect of braces that occurs when the braces pressure the gum tissue or when the teeth are forced into new positions. Assess and manage orthodontic patients with recession or potential risk for recession. Orthodontic correction of the. Orthodontist Gingival Recession.
From zabolekar-ralev.com
Gingival recession (Receding gums) Ralev Dental Clinic Orthodontist Gingival Recession Gum recession is a common side effect of braces that occurs when the braces pressure the gum tissue or when the teeth are forced into new positions. In patients treated with extraction and nonextraction groups, gingival recession was found in 5 teeth (0.35%) before treatment and. Assess and manage orthodontic patients with recession or potential risk for recession. Orthodontic treatment. Orthodontist Gingival Recession.
From expertdental.in
A Detailed Note on Gum Recession Expert Dental Care Orthodontist Gingival Recession Assess and manage orthodontic patients with recession or potential risk for recession. The changes in miller's classification. In patients treated with extraction and nonextraction groups, gingival recession was found in 5 teeth (0.35%) before treatment and. This case report describes the management of gingival recession caused by. A secondary objective is to. Orthodontic correction of the root toward the center. Orthodontist Gingival Recession.
From www.splashorthodontics.co.uk
Braces & Gum Recession Splash Orthodontics Orthodontist Gingival Recession Orthodontic correction of the root toward the center of the alveolar envelope consistently reduced gingival recessions. The changes in miller's classification. Identify the presence of recession defects. Gum recession is a common side effect of braces that occurs when the braces pressure the gum tissue or when the teeth are forced into new positions. In patients treated with extraction and. Orthodontist Gingival Recession.
From www.youtube.com
Treatment of Gum Recession after Orthodontic YouTube Orthodontist Gingival Recession A secondary objective is to. The changes in miller's classification. Assess and manage orthodontic patients with recession or potential risk for recession. In patients treated with extraction and nonextraction groups, gingival recession was found in 5 teeth (0.35%) before treatment and. Orthodontic correction of the root toward the center of the alveolar envelope consistently reduced gingival recessions. This case report. Orthodontist Gingival Recession.
From www.gildentalclinic.com
What is the gingival recession and how to treat it? Gil Dental Clinic Orthodontist Gingival Recession The changes in miller's classification. Gum recession is a common side effect of braces that occurs when the braces pressure the gum tissue or when the teeth are forced into new positions. This case report describes the management of gingival recession caused by. A secondary objective is to. In patients treated with extraction and nonextraction groups, gingival recession was found. Orthodontist Gingival Recession.
From www.dentistry33.com
Gingival recessions after orthodontic treatment do we have any predictor? Dentistry33 Orthodontist Gingival Recession This case report describes the management of gingival recession caused by. Orthodontic treatment may help to harmonise gingival levels with local recession, in particular, potentially. A secondary objective is to. Orthodontic correction of the root toward the center of the alveolar envelope consistently reduced gingival recessions. Identify the presence of recession defects. The changes in miller's classification. Assess and manage. Orthodontist Gingival Recession.
From www.researchgate.net
(PDF) Orthodonticassociated localized gingival recession of lower incisors who should treat it? Orthodontist Gingival Recession Gum recession is a common side effect of braces that occurs when the braces pressure the gum tissue or when the teeth are forced into new positions. This case report describes the management of gingival recession caused by. In patients treated with extraction and nonextraction groups, gingival recession was found in 5 teeth (0.35%) before treatment and. Assess and manage. Orthodontist Gingival Recession.
From www.istockphoto.com
Orthodontic Treatment With Gingival Recesion Stock Photo Download Image Now Dental Braces Orthodontist Gingival Recession Orthodontic treatment may help to harmonise gingival levels with local recession, in particular, potentially. The changes in miller's classification. A secondary objective is to. Assess and manage orthodontic patients with recession or potential risk for recession. Gum recession is a common side effect of braces that occurs when the braces pressure the gum tissue or when the teeth are forced. Orthodontist Gingival Recession.
From www.researchgate.net
(PDF) Treatment of Gingival Recession in the Anterior Mandible Using the Tunnel Technique and a Orthodontist Gingival Recession Orthodontic correction of the root toward the center of the alveolar envelope consistently reduced gingival recessions. Identify the presence of recession defects. Orthodontic treatment may help to harmonise gingival levels with local recession, in particular, potentially. The changes in miller's classification. Gum recession is a common side effect of braces that occurs when the braces pressure the gum tissue or. Orthodontist Gingival Recession.
From dramyortho.com
Do Braces Cause Gum Recession? Orthodontist Parkersburg Ripley WV Invisalign Braces Smith Orthodontist Gingival Recession Orthodontic correction of the root toward the center of the alveolar envelope consistently reduced gingival recessions. Assess and manage orthodontic patients with recession or potential risk for recession. This case report describes the management of gingival recession caused by. The changes in miller's classification. Orthodontic treatment may help to harmonise gingival levels with local recession, in particular, potentially. In patients. Orthodontist Gingival Recession.
From www.youtube.com
Receding Gums New Jersey Dentist Shows How Braces May Cause Recession YouTube Orthodontist Gingival Recession A secondary objective is to. Orthodontic treatment may help to harmonise gingival levels with local recession, in particular, potentially. Identify the presence of recession defects. This case report describes the management of gingival recession caused by. Orthodontic correction of the root toward the center of the alveolar envelope consistently reduced gingival recessions. Gum recession is a common side effect of. Orthodontist Gingival Recession.
From www.youtube.com
Gum (Gingival) Recession Surgery Treated with Gum Graft. YouTube Orthodontist Gingival Recession Orthodontic treatment may help to harmonise gingival levels with local recession, in particular, potentially. Orthodontic correction of the root toward the center of the alveolar envelope consistently reduced gingival recessions. This case report describes the management of gingival recession caused by. Identify the presence of recession defects. A secondary objective is to. In patients treated with extraction and nonextraction groups,. Orthodontist Gingival Recession.
From gumdiseaseguide.org
Gum Recession and Braces Orthodontist Gingival Recession The changes in miller's classification. A secondary objective is to. Orthodontic treatment may help to harmonise gingival levels with local recession, in particular, potentially. Orthodontic correction of the root toward the center of the alveolar envelope consistently reduced gingival recessions. This case report describes the management of gingival recession caused by. Assess and manage orthodontic patients with recession or potential. Orthodontist Gingival Recession.
From www.myzerodonto.com
Gingival Recession Treatment FGG MyZerodonto Orthodontist Gingival Recession In patients treated with extraction and nonextraction groups, gingival recession was found in 5 teeth (0.35%) before treatment and. A secondary objective is to. Gum recession is a common side effect of braces that occurs when the braces pressure the gum tissue or when the teeth are forced into new positions. The changes in miller's classification. Identify the presence of. Orthodontist Gingival Recession.
From www.ajodo.org
The role of orthodontics in the repair of gingival recessions American Journal of Orthodontics Orthodontist Gingival Recession In patients treated with extraction and nonextraction groups, gingival recession was found in 5 teeth (0.35%) before treatment and. The changes in miller's classification. A secondary objective is to. Orthodontic treatment may help to harmonise gingival levels with local recession, in particular, potentially. Assess and manage orthodontic patients with recession or potential risk for recession. Orthodontic correction of the root. Orthodontist Gingival Recession.
From www.researchgate.net
(PDF) Gingival recession Its causes and types, and the importance of orthodontic treatment Orthodontist Gingival Recession Identify the presence of recession defects. Orthodontic correction of the root toward the center of the alveolar envelope consistently reduced gingival recessions. In patients treated with extraction and nonextraction groups, gingival recession was found in 5 teeth (0.35%) before treatment and. Assess and manage orthodontic patients with recession or potential risk for recession. This case report describes the management of. Orthodontist Gingival Recession.
From gumdiseaseguide.org
Gum recession Causes, Treatment, Prevention and More Orthodontist Gingival Recession Assess and manage orthodontic patients with recession or potential risk for recession. This case report describes the management of gingival recession caused by. In patients treated with extraction and nonextraction groups, gingival recession was found in 5 teeth (0.35%) before treatment and. Orthodontic treatment may help to harmonise gingival levels with local recession, in particular, potentially. The changes in miller's. Orthodontist Gingival Recession.
From www.pinterest.jp
Gingival recessions and the change of inclination of mandibular Gum disease treatment, Gum Orthodontist Gingival Recession Orthodontic treatment may help to harmonise gingival levels with local recession, in particular, potentially. Gum recession is a common side effect of braces that occurs when the braces pressure the gum tissue or when the teeth are forced into new positions. In patients treated with extraction and nonextraction groups, gingival recession was found in 5 teeth (0.35%) before treatment and.. Orthodontist Gingival Recession.
From www.directorioodontologico.info
GINGIVAL RECESSION its causes and types, and the importance of orthodontic treatment Orthodontist Gingival Recession In patients treated with extraction and nonextraction groups, gingival recession was found in 5 teeth (0.35%) before treatment and. A secondary objective is to. This case report describes the management of gingival recession caused by. Identify the presence of recession defects. Orthodontic correction of the root toward the center of the alveolar envelope consistently reduced gingival recessions. Orthodontic treatment may. Orthodontist Gingival Recession.
From www.youtube.com
Gum Recession & Orthodontics They're Connected! YouTube Orthodontist Gingival Recession Identify the presence of recession defects. A secondary objective is to. Orthodontic treatment may help to harmonise gingival levels with local recession, in particular, potentially. Gum recession is a common side effect of braces that occurs when the braces pressure the gum tissue or when the teeth are forced into new positions. This case report describes the management of gingival. Orthodontist Gingival Recession.
From www.mdpi.com
Applied Sciences Free FullText The Impact of Orthodontic Treatment on PreExisting Gingival Orthodontist Gingival Recession This case report describes the management of gingival recession caused by. Orthodontic treatment may help to harmonise gingival levels with local recession, in particular, potentially. In patients treated with extraction and nonextraction groups, gingival recession was found in 5 teeth (0.35%) before treatment and. A secondary objective is to. Assess and manage orthodontic patients with recession or potential risk for. Orthodontist Gingival Recession.
From implant-stom.blogspot.com
The etiology and prevalence of gingival recession Perio and Implant dentistry overview Orthodontist Gingival Recession Orthodontic treatment may help to harmonise gingival levels with local recession, in particular, potentially. Gum recession is a common side effect of braces that occurs when the braces pressure the gum tissue or when the teeth are forced into new positions. Identify the presence of recession defects. In patients treated with extraction and nonextraction groups, gingival recession was found in. Orthodontist Gingival Recession.
From jcda.ca
Unexpected Soft Tissue Changes in Response to Root Coverage Using an Acellular Dermal Matrix Orthodontist Gingival Recession In patients treated with extraction and nonextraction groups, gingival recession was found in 5 teeth (0.35%) before treatment and. Assess and manage orthodontic patients with recession or potential risk for recession. The changes in miller's classification. Identify the presence of recession defects. Orthodontic correction of the root toward the center of the alveolar envelope consistently reduced gingival recessions. A secondary. Orthodontist Gingival Recession.
From www.myzerodonto.com
Gingival Recession Treatment FGG MyZerodonto Orthodontist Gingival Recession Orthodontic treatment may help to harmonise gingival levels with local recession, in particular, potentially. A secondary objective is to. Identify the presence of recession defects. Orthodontic correction of the root toward the center of the alveolar envelope consistently reduced gingival recessions. Gum recession is a common side effect of braces that occurs when the braces pressure the gum tissue or. Orthodontist Gingival Recession.