What Causes A Spiral Fracture Of The Femur . The break has a line that encircles the shaft like the stripes on a barber pole or candy cane. what causes a broken femur? The break spirals around your femur. For a femur to break, excessive force needs to be applied to it. The most common cause of femoral shaft fracture is a motor. In this type of fracture, the bone is in at least two. The break goes across your femur at an angle. A spiral fracture is a complete break in a bone that is caused by a twisting motion or force. This can happen during a. a spiral fracture is a bone fracture that occurs when a long bone is broken by a twisting force.
from www.ctisus.com
The most common cause of femoral shaft fracture is a motor. In this type of fracture, the bone is in at least two. a spiral fracture is a bone fracture that occurs when a long bone is broken by a twisting force. The break has a line that encircles the shaft like the stripes on a barber pole or candy cane. what causes a broken femur? A spiral fracture is a complete break in a bone that is caused by a twisting motion or force. This can happen during a. The break spirals around your femur. For a femur to break, excessive force needs to be applied to it. The break goes across your femur at an angle.
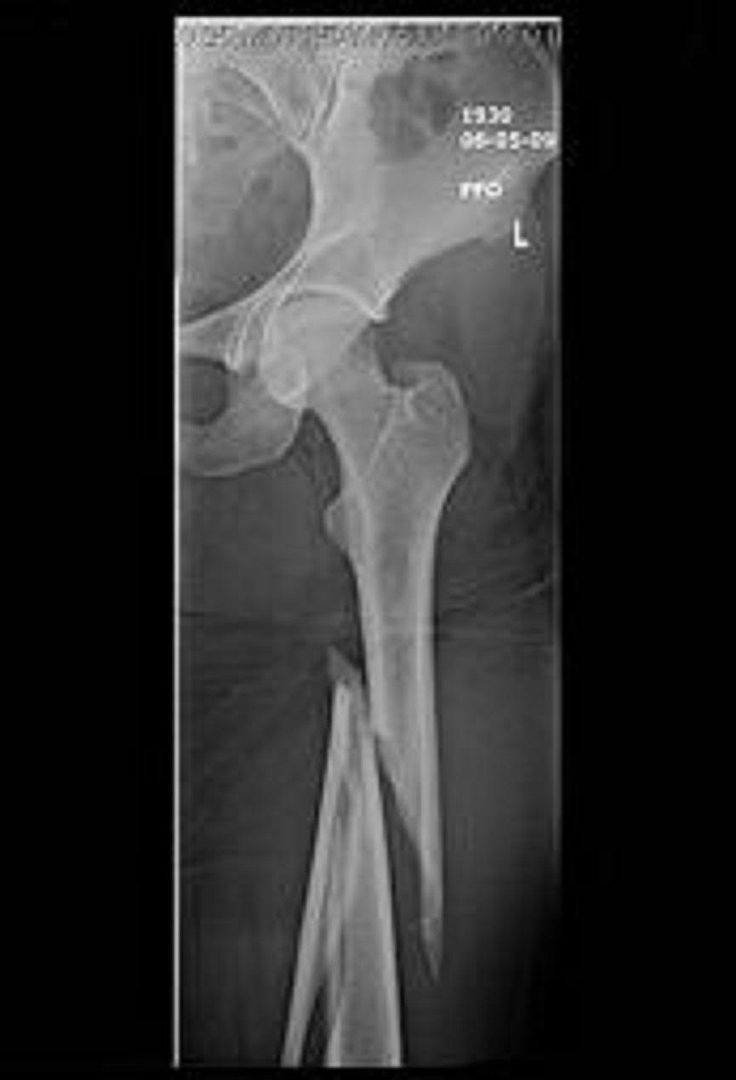
Spiral Fracture of the Femur Musculoskeletal Case Studies CTisus CT
What Causes A Spiral Fracture Of The Femur The most common cause of femoral shaft fracture is a motor. The break goes across your femur at an angle. A spiral fracture is a complete break in a bone that is caused by a twisting motion or force. The most common cause of femoral shaft fracture is a motor. The break spirals around your femur. The break has a line that encircles the shaft like the stripes on a barber pole or candy cane. a spiral fracture is a bone fracture that occurs when a long bone is broken by a twisting force. This can happen during a. In this type of fracture, the bone is in at least two. For a femur to break, excessive force needs to be applied to it. what causes a broken femur?
From www.artstation.com
ArtStation Spiral Fracture skeleton labelled femur 3D model Resources What Causes A Spiral Fracture Of The Femur a spiral fracture is a bone fracture that occurs when a long bone is broken by a twisting force. A spiral fracture is a complete break in a bone that is caused by a twisting motion or force. This can happen during a. The break spirals around your femur. In this type of fracture, the bone is in at. What Causes A Spiral Fracture Of The Femur.
From orthoinfo.aaos.org
Femur Shaft Fractures (Broken Thighbone) OrthoInfo AAOS What Causes A Spiral Fracture Of The Femur A spiral fracture is a complete break in a bone that is caused by a twisting motion or force. The break spirals around your femur. This can happen during a. In this type of fracture, the bone is in at least two. The most common cause of femoral shaft fracture is a motor. For a femur to break, excessive force. What Causes A Spiral Fracture Of The Femur.
From www.msdmanuals.com
Image Spiral Fracture of the Distal Femur MSD Manual Professional What Causes A Spiral Fracture Of The Femur a spiral fracture is a bone fracture that occurs when a long bone is broken by a twisting force. The break spirals around your femur. The break has a line that encircles the shaft like the stripes on a barber pole or candy cane. In this type of fracture, the bone is in at least two. A spiral fracture. What Causes A Spiral Fracture Of The Femur.
From www.osteosynthesis.org
Femoral diaphyseal spiral fracture in 22 month old What Causes A Spiral Fracture Of The Femur For a femur to break, excessive force needs to be applied to it. a spiral fracture is a bone fracture that occurs when a long bone is broken by a twisting force. A spiral fracture is a complete break in a bone that is caused by a twisting motion or force. what causes a broken femur? The break. What Causes A Spiral Fracture Of The Femur.
From healthjade.net
Spiral fracture definition, causes, symptoms, treatment & recovery time What Causes A Spiral Fracture Of The Femur The break spirals around your femur. The break has a line that encircles the shaft like the stripes on a barber pole or candy cane. what causes a broken femur? In this type of fracture, the bone is in at least two. For a femur to break, excessive force needs to be applied to it. The most common cause. What Causes A Spiral Fracture Of The Femur.
From www.ctisus.com
Spiral Fracture of the Femur Musculoskeletal Case Studies CTisus CT What Causes A Spiral Fracture Of The Femur The break spirals around your femur. The most common cause of femoral shaft fracture is a motor. what causes a broken femur? This can happen during a. A spiral fracture is a complete break in a bone that is caused by a twisting motion or force. The break goes across your femur at an angle. For a femur to. What Causes A Spiral Fracture Of The Femur.
From s251.photobucket.com
Spiral Fracture Femur Photo by jrade3138 Photobucket What Causes A Spiral Fracture Of The Femur This can happen during a. For a femur to break, excessive force needs to be applied to it. what causes a broken femur? The most common cause of femoral shaft fracture is a motor. In this type of fracture, the bone is in at least two. A spiral fracture is a complete break in a bone that is caused. What Causes A Spiral Fracture Of The Femur.
From www.healthline.com
Spiral Fracture Healing Time, Tibia, and Fibula What Causes A Spiral Fracture Of The Femur a spiral fracture is a bone fracture that occurs when a long bone is broken by a twisting force. The break goes across your femur at an angle. what causes a broken femur? This can happen during a. The most common cause of femoral shaft fracture is a motor. The break has a line that encircles the shaft. What Causes A Spiral Fracture Of The Femur.
From ceznnbbe.blob.core.windows.net
Spiral Fracture Femur X Ray at Irene Newby blog What Causes A Spiral Fracture Of The Femur The most common cause of femoral shaft fracture is a motor. For a femur to break, excessive force needs to be applied to it. what causes a broken femur? The break goes across your femur at an angle. In this type of fracture, the bone is in at least two. The break has a line that encircles the shaft. What Causes A Spiral Fracture Of The Femur.
From www.ctisus.com
Spiral Fracture of the Femur Musculoskeletal Case Studies CTisus CT What Causes A Spiral Fracture Of The Femur The break spirals around your femur. The break goes across your femur at an angle. For a femur to break, excessive force needs to be applied to it. This can happen during a. A spiral fracture is a complete break in a bone that is caused by a twisting motion or force. The most common cause of femoral shaft fracture. What Causes A Spiral Fracture Of The Femur.
From mavink.com
Pertrochanteric Femur Fracture What Causes A Spiral Fracture Of The Femur The most common cause of femoral shaft fracture is a motor. The break has a line that encircles the shaft like the stripes on a barber pole or candy cane. what causes a broken femur? a spiral fracture is a bone fracture that occurs when a long bone is broken by a twisting force. The break goes across. What Causes A Spiral Fracture Of The Femur.
From healthjade.net
Spiral fracture definition, causes, symptoms, treatment & recovery time What Causes A Spiral Fracture Of The Femur For a femur to break, excessive force needs to be applied to it. a spiral fracture is a bone fracture that occurs when a long bone is broken by a twisting force. A spiral fracture is a complete break in a bone that is caused by a twisting motion or force. The most common cause of femoral shaft fracture. What Causes A Spiral Fracture Of The Femur.
From healthjade.net
Spiral fracture definition, causes, symptoms, treatment & recovery time What Causes A Spiral Fracture Of The Femur The break goes across your femur at an angle. a spiral fracture is a bone fracture that occurs when a long bone is broken by a twisting force. In this type of fracture, the bone is in at least two. A spiral fracture is a complete break in a bone that is caused by a twisting motion or force.. What Causes A Spiral Fracture Of The Femur.
From healthjade.net
Broken femur types, causes, treatment, recovery time & complications What Causes A Spiral Fracture Of The Femur The break spirals around your femur. what causes a broken femur? The break has a line that encircles the shaft like the stripes on a barber pole or candy cane. In this type of fracture, the bone is in at least two. The break goes across your femur at an angle. The most common cause of femoral shaft fracture. What Causes A Spiral Fracture Of The Femur.
From mindthegraph.com
Spiral femur fracture What Causes A Spiral Fracture Of The Femur The break spirals around your femur. A spiral fracture is a complete break in a bone that is caused by a twisting motion or force. This can happen during a. a spiral fracture is a bone fracture that occurs when a long bone is broken by a twisting force. The most common cause of femoral shaft fracture is a. What Causes A Spiral Fracture Of The Femur.
From nursing-home-neglect.com
Patient's Falls Result in Hip and Femur Fractures and Surgery;Northern What Causes A Spiral Fracture Of The Femur what causes a broken femur? The break spirals around your femur. The most common cause of femoral shaft fracture is a motor. For a femur to break, excessive force needs to be applied to it. This can happen during a. A spiral fracture is a complete break in a bone that is caused by a twisting motion or force.. What Causes A Spiral Fracture Of The Femur.
From healthjade.net
Spiral fracture definition, causes, symptoms, treatment & recovery time What Causes A Spiral Fracture Of The Femur A spiral fracture is a complete break in a bone that is caused by a twisting motion or force. The break has a line that encircles the shaft like the stripes on a barber pole or candy cane. In this type of fracture, the bone is in at least two. The most common cause of femoral shaft fracture is a. What Causes A Spiral Fracture Of The Femur.
From www.ctisus.com
Spiral Femur Fracture Musculoskeletal Case Studies CTisus CT Scanning What Causes A Spiral Fracture Of The Femur For a femur to break, excessive force needs to be applied to it. A spiral fracture is a complete break in a bone that is caused by a twisting motion or force. The most common cause of femoral shaft fracture is a motor. The break has a line that encircles the shaft like the stripes on a barber pole or. What Causes A Spiral Fracture Of The Femur.
From www.ctisus.com
Spiral Femur Fracture Following Fall Trauma Case Studies CTisus CT What Causes A Spiral Fracture Of The Femur a spiral fracture is a bone fracture that occurs when a long bone is broken by a twisting force. what causes a broken femur? This can happen during a. The break goes across your femur at an angle. A spiral fracture is a complete break in a bone that is caused by a twisting motion or force. The. What Causes A Spiral Fracture Of The Femur.
From healthjade.net
Spiral fracture definition, causes, symptoms, treatment & recovery time What Causes A Spiral Fracture Of The Femur what causes a broken femur? The break has a line that encircles the shaft like the stripes on a barber pole or candy cane. In this type of fracture, the bone is in at least two. This can happen during a. The break spirals around your femur. a spiral fracture is a bone fracture that occurs when a. What Causes A Spiral Fracture Of The Femur.
From my.clevelandclinic.org
Spiral Fracture Symptoms, Causes & Treatment What Causes A Spiral Fracture Of The Femur The most common cause of femoral shaft fracture is a motor. The break goes across your femur at an angle. In this type of fracture, the bone is in at least two. what causes a broken femur? The break has a line that encircles the shaft like the stripes on a barber pole or candy cane. For a femur. What Causes A Spiral Fracture Of The Femur.
From healthjade.net
Spiral fracture definition, causes, symptoms, treatment & recovery time What Causes A Spiral Fracture Of The Femur a spiral fracture is a bone fracture that occurs when a long bone is broken by a twisting force. The break has a line that encircles the shaft like the stripes on a barber pole or candy cane. The break spirals around your femur. For a femur to break, excessive force needs to be applied to it. what. What Causes A Spiral Fracture Of The Femur.
From www.researchgate.net
Different morphologic types of femoral shaft fractures A. A simple What Causes A Spiral Fracture Of The Femur The break spirals around your femur. In this type of fracture, the bone is in at least two. A spiral fracture is a complete break in a bone that is caused by a twisting motion or force. For a femur to break, excessive force needs to be applied to it. The break goes across your femur at an angle. The. What Causes A Spiral Fracture Of The Femur.
From pch.health.wa.gov.au
Fractures Femur What Causes A Spiral Fracture Of The Femur The break goes across your femur at an angle. In this type of fracture, the bone is in at least two. A spiral fracture is a complete break in a bone that is caused by a twisting motion or force. This can happen during a. what causes a broken femur? For a femur to break, excessive force needs to. What Causes A Spiral Fracture Of The Femur.
From teachmeanatomy.info
The Femur Proximal Distal Shaft TeachMeAnatomy What Causes A Spiral Fracture Of The Femur For a femur to break, excessive force needs to be applied to it. The break has a line that encircles the shaft like the stripes on a barber pole or candy cane. a spiral fracture is a bone fracture that occurs when a long bone is broken by a twisting force. In this type of fracture, the bone is. What Causes A Spiral Fracture Of The Femur.
From www.artstation.com
ArtStation Spiral Fracture skeleton labelled femur 3D model Resources What Causes A Spiral Fracture Of The Femur A spiral fracture is a complete break in a bone that is caused by a twisting motion or force. In this type of fracture, the bone is in at least two. The break spirals around your femur. The break has a line that encircles the shaft like the stripes on a barber pole or candy cane. The most common cause. What Causes A Spiral Fracture Of The Femur.
From www.mdpi.com
Anatomia Free FullText Radiological Diagnosis and Imaging of What Causes A Spiral Fracture Of The Femur For a femur to break, excessive force needs to be applied to it. The break has a line that encircles the shaft like the stripes on a barber pole or candy cane. The most common cause of femoral shaft fracture is a motor. The break spirals around your femur. A spiral fracture is a complete break in a bone that. What Causes A Spiral Fracture Of The Femur.
From orthoimplantsindia.com
Femoral Shaft Fractures Types, Causes and Treatment Zealmax What Causes A Spiral Fracture Of The Femur This can happen during a. A spiral fracture is a complete break in a bone that is caused by a twisting motion or force. In this type of fracture, the bone is in at least two. a spiral fracture is a bone fracture that occurs when a long bone is broken by a twisting force. The break has a. What Causes A Spiral Fracture Of The Femur.
From www.ctisus.com
Spiral Femur Fracture Trauma Case Studies CTisus CT Scanning What Causes A Spiral Fracture Of The Femur The break spirals around your femur. The break goes across your femur at an angle. The break has a line that encircles the shaft like the stripes on a barber pole or candy cane. This can happen during a. what causes a broken femur? a spiral fracture is a bone fracture that occurs when a long bone is. What Causes A Spiral Fracture Of The Femur.
From orthoinfo.aaos.org
Femur Shaft Fractures (Broken Thighbone) OrthoInfo AAOS What Causes A Spiral Fracture Of The Femur This can happen during a. For a femur to break, excessive force needs to be applied to it. In this type of fracture, the bone is in at least two. The most common cause of femoral shaft fracture is a motor. what causes a broken femur? a spiral fracture is a bone fracture that occurs when a long. What Causes A Spiral Fracture Of The Femur.
From www.researchgate.net
A long spiral fracture of the distal femur fixed with a 15hole plate What Causes A Spiral Fracture Of The Femur This can happen during a. For a femur to break, excessive force needs to be applied to it. a spiral fracture is a bone fracture that occurs when a long bone is broken by a twisting force. In this type of fracture, the bone is in at least two. The break spirals around your femur. The most common cause. What Causes A Spiral Fracture Of The Femur.
From www.ctisus.com
Spiral Fracture of the Femur Musculoskeletal Case Studies CTisus CT What Causes A Spiral Fracture Of The Femur In this type of fracture, the bone is in at least two. The break spirals around your femur. For a femur to break, excessive force needs to be applied to it. what causes a broken femur? The break has a line that encircles the shaft like the stripes on a barber pole or candy cane. The most common cause. What Causes A Spiral Fracture Of The Femur.
From mumuthoughts.weebly.com
Spiral fracture causes mumuthoughts What Causes A Spiral Fracture Of The Femur In this type of fracture, the bone is in at least two. The break spirals around your femur. The break has a line that encircles the shaft like the stripes on a barber pole or candy cane. For a femur to break, excessive force needs to be applied to it. what causes a broken femur? a spiral fracture. What Causes A Spiral Fracture Of The Femur.
From www.pinterest.com
Spiral Femur Fracture / Diagnostic imaging, Case study What Causes A Spiral Fracture Of The Femur a spiral fracture is a bone fracture that occurs when a long bone is broken by a twisting force. The break has a line that encircles the shaft like the stripes on a barber pole or candy cane. For a femur to break, excessive force needs to be applied to it. what causes a broken femur? The break. What Causes A Spiral Fracture Of The Femur.
From ceznnbbe.blob.core.windows.net
Spiral Fracture Femur X Ray at Irene Newby blog What Causes A Spiral Fracture Of The Femur The break has a line that encircles the shaft like the stripes on a barber pole or candy cane. For a femur to break, excessive force needs to be applied to it. In this type of fracture, the bone is in at least two. a spiral fracture is a bone fracture that occurs when a long bone is broken. What Causes A Spiral Fracture Of The Femur.