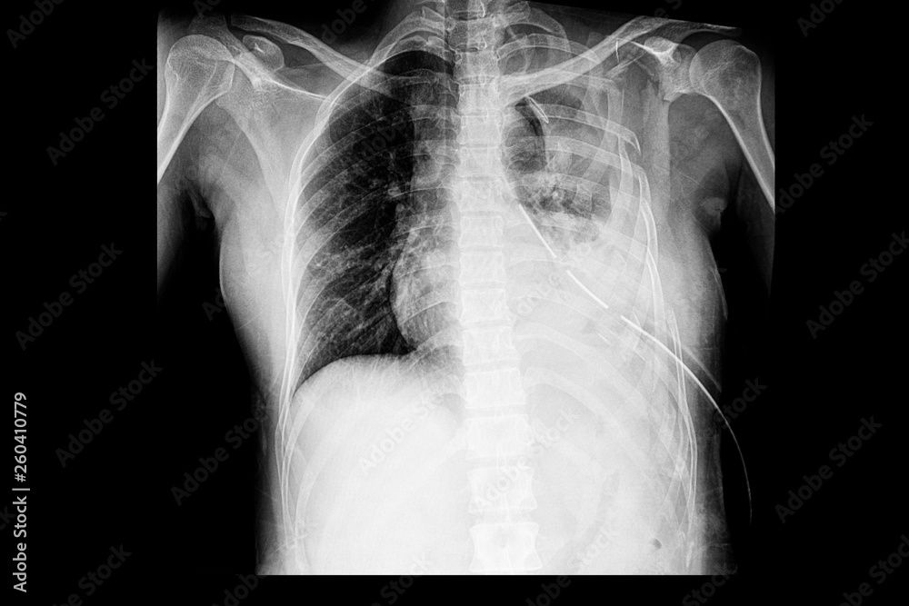
Rib Fracture Causing Pneumothorax . — this article provides an overview of the common and important chest injuries that the anesthesiologist may. — in blunt trauma, ptx is often precipitated from rib fracture causing visceral pleura laceration, or from sudden. Rib fractures are frequently associated with chest injury and are associated with significant pain and other. — in blunt trauma, ptx is often precipitated from rib fracture causing visceral pleura laceration, or from sudden lung compression leading to. when severe, rib fractures can lead to flail chest (open chest wound) and cause breathing issues, pulmonary contusion,. In blunt trauma, ptx is often precipitated from rib fracture causing visceral pleura laceration, or from sudden.
from adc.bmj.com
— in blunt trauma, ptx is often precipitated from rib fracture causing visceral pleura laceration, or from sudden. — in blunt trauma, ptx is often precipitated from rib fracture causing visceral pleura laceration, or from sudden lung compression leading to. In blunt trauma, ptx is often precipitated from rib fracture causing visceral pleura laceration, or from sudden. — this article provides an overview of the common and important chest injuries that the anesthesiologist may. when severe, rib fractures can lead to flail chest (open chest wound) and cause breathing issues, pulmonary contusion,. Rib fractures are frequently associated with chest injury and are associated with significant pain and other.
Spontaneous pneumothoraces in hereditary multiple exostoses Archives
Rib Fracture Causing Pneumothorax Rib fractures are frequently associated with chest injury and are associated with significant pain and other. Rib fractures are frequently associated with chest injury and are associated with significant pain and other. — in blunt trauma, ptx is often precipitated from rib fracture causing visceral pleura laceration, or from sudden lung compression leading to. — this article provides an overview of the common and important chest injuries that the anesthesiologist may. when severe, rib fractures can lead to flail chest (open chest wound) and cause breathing issues, pulmonary contusion,. — in blunt trauma, ptx is often precipitated from rib fracture causing visceral pleura laceration, or from sudden. In blunt trauma, ptx is often precipitated from rib fracture causing visceral pleura laceration, or from sudden.
From pinterest.com
to LearningRadiology flail, chest, trauma, rib, fracture Rib Fracture Causing Pneumothorax In blunt trauma, ptx is often precipitated from rib fracture causing visceral pleura laceration, or from sudden. when severe, rib fractures can lead to flail chest (open chest wound) and cause breathing issues, pulmonary contusion,. — in blunt trauma, ptx is often precipitated from rib fracture causing visceral pleura laceration, or from sudden lung compression leading to. . Rib Fracture Causing Pneumothorax.
From slidetodoc.com
Pneumothorax What is a pneumothorax Air within the Rib Fracture Causing Pneumothorax when severe, rib fractures can lead to flail chest (open chest wound) and cause breathing issues, pulmonary contusion,. — in blunt trauma, ptx is often precipitated from rib fracture causing visceral pleura laceration, or from sudden lung compression leading to. In blunt trauma, ptx is often precipitated from rib fracture causing visceral pleura laceration, or from sudden. Rib. Rib Fracture Causing Pneumothorax.
From dxokmaucr.blob.core.windows.net
Rib Fracture Hemothorax at Tyler Garcia blog Rib Fracture Causing Pneumothorax — in blunt trauma, ptx is often precipitated from rib fracture causing visceral pleura laceration, or from sudden lung compression leading to. when severe, rib fractures can lead to flail chest (open chest wound) and cause breathing issues, pulmonary contusion,. — this article provides an overview of the common and important chest injuries that the anesthesiologist may.. Rib Fracture Causing Pneumothorax.
From www.cureus.com
Outpatient Surgery for Rib Fracture Fixation A Report of Three Cases Rib Fracture Causing Pneumothorax — in blunt trauma, ptx is often precipitated from rib fracture causing visceral pleura laceration, or from sudden lung compression leading to. — in blunt trauma, ptx is often precipitated from rib fracture causing visceral pleura laceration, or from sudden. — this article provides an overview of the common and important chest injuries that the anesthesiologist may.. Rib Fracture Causing Pneumothorax.
From stock.adobe.com
Stockfoto chest xray of the pateint with multiple rib fractures with Rib Fracture Causing Pneumothorax when severe, rib fractures can lead to flail chest (open chest wound) and cause breathing issues, pulmonary contusion,. — this article provides an overview of the common and important chest injuries that the anesthesiologist may. Rib fractures are frequently associated with chest injury and are associated with significant pain and other. — in blunt trauma, ptx is. Rib Fracture Causing Pneumothorax.
From teachmesurgery.com
Pneumothorax TeachMeSurgery Rib Fracture Causing Pneumothorax Rib fractures are frequently associated with chest injury and are associated with significant pain and other. — in blunt trauma, ptx is often precipitated from rib fracture causing visceral pleura laceration, or from sudden. when severe, rib fractures can lead to flail chest (open chest wound) and cause breathing issues, pulmonary contusion,. — in blunt trauma, ptx. Rib Fracture Causing Pneumothorax.
From www.svuhradiology.ie
Pneumothorax and rib fractures CXR and CT Radiology at St. Vincent Rib Fracture Causing Pneumothorax In blunt trauma, ptx is often precipitated from rib fracture causing visceral pleura laceration, or from sudden. — this article provides an overview of the common and important chest injuries that the anesthesiologist may. — in blunt trauma, ptx is often precipitated from rib fracture causing visceral pleura laceration, or from sudden lung compression leading to. when. Rib Fracture Causing Pneumothorax.
From www.youtube.com
Chest XRay Ribs Normal Vs Abnormal Image Appearances Fractures Rib Fracture Causing Pneumothorax — in blunt trauma, ptx is often precipitated from rib fracture causing visceral pleura laceration, or from sudden lung compression leading to. when severe, rib fractures can lead to flail chest (open chest wound) and cause breathing issues, pulmonary contusion,. — in blunt trauma, ptx is often precipitated from rib fracture causing visceral pleura laceration, or from. Rib Fracture Causing Pneumothorax.
From animalia-life.club
Broken Rib Punctured Lung Rib Fracture Causing Pneumothorax — this article provides an overview of the common and important chest injuries that the anesthesiologist may. — in blunt trauma, ptx is often precipitated from rib fracture causing visceral pleura laceration, or from sudden. In blunt trauma, ptx is often precipitated from rib fracture causing visceral pleura laceration, or from sudden. Rib fractures are frequently associated with. Rib Fracture Causing Pneumothorax.
From mavink.com
Rib Fracture With Pneumothorax Rib Fracture Causing Pneumothorax — in blunt trauma, ptx is often precipitated from rib fracture causing visceral pleura laceration, or from sudden. when severe, rib fractures can lead to flail chest (open chest wound) and cause breathing issues, pulmonary contusion,. In blunt trauma, ptx is often precipitated from rib fracture causing visceral pleura laceration, or from sudden. — this article provides. Rib Fracture Causing Pneumothorax.
From animalia-life.club
Broken Rib Punctured Lung Rib Fracture Causing Pneumothorax In blunt trauma, ptx is often precipitated from rib fracture causing visceral pleura laceration, or from sudden. when severe, rib fractures can lead to flail chest (open chest wound) and cause breathing issues, pulmonary contusion,. — this article provides an overview of the common and important chest injuries that the anesthesiologist may. — in blunt trauma, ptx. Rib Fracture Causing Pneumothorax.
From www.cureus.com
Cureus Delayed Tension Hemothorax With Nondisplaced Rib Fractures Rib Fracture Causing Pneumothorax — in blunt trauma, ptx is often precipitated from rib fracture causing visceral pleura laceration, or from sudden. In blunt trauma, ptx is often precipitated from rib fracture causing visceral pleura laceration, or from sudden. — this article provides an overview of the common and important chest injuries that the anesthesiologist may. when severe, rib fractures can. Rib Fracture Causing Pneumothorax.
From learnfromdoctor.com
Traumatic Pneumothorax Explanation, Diagnosis, and Management Learn Rib Fracture Causing Pneumothorax — in blunt trauma, ptx is often precipitated from rib fracture causing visceral pleura laceration, or from sudden. — in blunt trauma, ptx is often precipitated from rib fracture causing visceral pleura laceration, or from sudden lung compression leading to. Rib fractures are frequently associated with chest injury and are associated with significant pain and other. —. Rib Fracture Causing Pneumothorax.
From www.researchgate.net
Slightly rotated anteroposterior chest radiograph of three healing rib Rib Fracture Causing Pneumothorax when severe, rib fractures can lead to flail chest (open chest wound) and cause breathing issues, pulmonary contusion,. — this article provides an overview of the common and important chest injuries that the anesthesiologist may. In blunt trauma, ptx is often precipitated from rib fracture causing visceral pleura laceration, or from sudden. — in blunt trauma, ptx. Rib Fracture Causing Pneumothorax.
From www.svuhradiology.ie
Tension pneumothorax due to rib fracture Radiology at St. Vincent's Rib Fracture Causing Pneumothorax Rib fractures are frequently associated with chest injury and are associated with significant pain and other. — this article provides an overview of the common and important chest injuries that the anesthesiologist may. — in blunt trauma, ptx is often precipitated from rib fracture causing visceral pleura laceration, or from sudden. In blunt trauma, ptx is often precipitated. Rib Fracture Causing Pneumothorax.
From exorgxbax.blob.core.windows.net
Fracture X Ray Ribs at Stephen Cooks blog Rib Fracture Causing Pneumothorax In blunt trauma, ptx is often precipitated from rib fracture causing visceral pleura laceration, or from sudden. — this article provides an overview of the common and important chest injuries that the anesthesiologist may. when severe, rib fractures can lead to flail chest (open chest wound) and cause breathing issues, pulmonary contusion,. Rib fractures are frequently associated with. Rib Fracture Causing Pneumothorax.
From www.verywellhealth.com
Dealing with Rib Fractures Rib Fracture Causing Pneumothorax when severe, rib fractures can lead to flail chest (open chest wound) and cause breathing issues, pulmonary contusion,. Rib fractures are frequently associated with chest injury and are associated with significant pain and other. — in blunt trauma, ptx is often precipitated from rib fracture causing visceral pleura laceration, or from sudden lung compression leading to. —. Rib Fracture Causing Pneumothorax.
From www.wikiradiography.net
Pneumothoraces wikiRadiography Rib Fracture Causing Pneumothorax — this article provides an overview of the common and important chest injuries that the anesthesiologist may. — in blunt trauma, ptx is often precipitated from rib fracture causing visceral pleura laceration, or from sudden. when severe, rib fractures can lead to flail chest (open chest wound) and cause breathing issues, pulmonary contusion,. Rib fractures are frequently. Rib Fracture Causing Pneumothorax.
From jnnp.bmj.com
Bilateral first rib fractures due to tardive dystonia Journal of Rib Fracture Causing Pneumothorax — this article provides an overview of the common and important chest injuries that the anesthesiologist may. In blunt trauma, ptx is often precipitated from rib fracture causing visceral pleura laceration, or from sudden. Rib fractures are frequently associated with chest injury and are associated with significant pain and other. when severe, rib fractures can lead to flail. Rib Fracture Causing Pneumothorax.
From www.cureus.com
Cureus Clinical and Radiological Aspects of Coughinduced Rib Rib Fracture Causing Pneumothorax — in blunt trauma, ptx is often precipitated from rib fracture causing visceral pleura laceration, or from sudden. — this article provides an overview of the common and important chest injuries that the anesthesiologist may. — in blunt trauma, ptx is often precipitated from rib fracture causing visceral pleura laceration, or from sudden lung compression leading to.. Rib Fracture Causing Pneumothorax.
From medschool.co
Pneumothorax Chest XRay MedSchool Rib Fracture Causing Pneumothorax — in blunt trauma, ptx is often precipitated from rib fracture causing visceral pleura laceration, or from sudden lung compression leading to. Rib fractures are frequently associated with chest injury and are associated with significant pain and other. In blunt trauma, ptx is often precipitated from rib fracture causing visceral pleura laceration, or from sudden. when severe, rib. Rib Fracture Causing Pneumothorax.
From www.artofit.org
Pneumothorax due to rib fractures radiology case radiopaedia org Artofit Rib Fracture Causing Pneumothorax — in blunt trauma, ptx is often precipitated from rib fracture causing visceral pleura laceration, or from sudden. Rib fractures are frequently associated with chest injury and are associated with significant pain and other. In blunt trauma, ptx is often precipitated from rib fracture causing visceral pleura laceration, or from sudden. — this article provides an overview of. Rib Fracture Causing Pneumothorax.
From www.radiologymasterclass.co.uk
Trauma Xray Axial skeleton gallery 2 Rib fractures Rib Fracture Causing Pneumothorax — in blunt trauma, ptx is often precipitated from rib fracture causing visceral pleura laceration, or from sudden lung compression leading to. In blunt trauma, ptx is often precipitated from rib fracture causing visceral pleura laceration, or from sudden. — this article provides an overview of the common and important chest injuries that the anesthesiologist may. —. Rib Fracture Causing Pneumothorax.
From adc.bmj.com
Spontaneous pneumothoraces in hereditary multiple exostoses Archives Rib Fracture Causing Pneumothorax — this article provides an overview of the common and important chest injuries that the anesthesiologist may. — in blunt trauma, ptx is often precipitated from rib fracture causing visceral pleura laceration, or from sudden lung compression leading to. In blunt trauma, ptx is often precipitated from rib fracture causing visceral pleura laceration, or from sudden. —. Rib Fracture Causing Pneumothorax.
From www.researchgate.net
Xray image. A chest radiograph showed multiple fractures of the left Rib Fracture Causing Pneumothorax — this article provides an overview of the common and important chest injuries that the anesthesiologist may. Rib fractures are frequently associated with chest injury and are associated with significant pain and other. — in blunt trauma, ptx is often precipitated from rib fracture causing visceral pleura laceration, or from sudden. when severe, rib fractures can lead. Rib Fracture Causing Pneumothorax.
From www.jem-journal.com
Traumatic Pneumothorax A Review of Current Diagnostic Practices And Rib Fracture Causing Pneumothorax Rib fractures are frequently associated with chest injury and are associated with significant pain and other. — in blunt trauma, ptx is often precipitated from rib fracture causing visceral pleura laceration, or from sudden. when severe, rib fractures can lead to flail chest (open chest wound) and cause breathing issues, pulmonary contusion,. In blunt trauma, ptx is often. Rib Fracture Causing Pneumothorax.
From hubpages.com
X Ray Diagnostics Of Pneumothorax Radiographic Representations Of The Rib Fracture Causing Pneumothorax when severe, rib fractures can lead to flail chest (open chest wound) and cause breathing issues, pulmonary contusion,. — this article provides an overview of the common and important chest injuries that the anesthesiologist may. Rib fractures are frequently associated with chest injury and are associated with significant pain and other. — in blunt trauma, ptx is. Rib Fracture Causing Pneumothorax.
From www.shutterstock.com
Multiple Rib Fractures Left Pneumothorax Stock Photo 672653392 Rib Fracture Causing Pneumothorax — this article provides an overview of the common and important chest injuries that the anesthesiologist may. Rib fractures are frequently associated with chest injury and are associated with significant pain and other. when severe, rib fractures can lead to flail chest (open chest wound) and cause breathing issues, pulmonary contusion,. — in blunt trauma, ptx is. Rib Fracture Causing Pneumothorax.
From mavink.com
Rib Fracture Pneumothorax Rib Fracture Causing Pneumothorax In blunt trauma, ptx is often precipitated from rib fracture causing visceral pleura laceration, or from sudden. — this article provides an overview of the common and important chest injuries that the anesthesiologist may. Rib fractures are frequently associated with chest injury and are associated with significant pain and other. when severe, rib fractures can lead to flail. Rib Fracture Causing Pneumothorax.
From twitter.com
Osmosis on Twitter "Now, just like any other bone, ribs can break Rib Fracture Causing Pneumothorax — in blunt trauma, ptx is often precipitated from rib fracture causing visceral pleura laceration, or from sudden. — this article provides an overview of the common and important chest injuries that the anesthesiologist may. In blunt trauma, ptx is often precipitated from rib fracture causing visceral pleura laceration, or from sudden. when severe, rib fractures can. Rib Fracture Causing Pneumothorax.
From www.ncbi.nlm.nih.gov
[Figure, Ct rib fracture, CT Scan, pneumothorax, collapsed lung Rib Fracture Causing Pneumothorax when severe, rib fractures can lead to flail chest (open chest wound) and cause breathing issues, pulmonary contusion,. — in blunt trauma, ptx is often precipitated from rib fracture causing visceral pleura laceration, or from sudden lung compression leading to. In blunt trauma, ptx is often precipitated from rib fracture causing visceral pleura laceration, or from sudden. Rib. Rib Fracture Causing Pneumothorax.
From www.lecturio.com
Pneumothorax — Diagnosis and Treatment Online Medical Library Rib Fracture Causing Pneumothorax when severe, rib fractures can lead to flail chest (open chest wound) and cause breathing issues, pulmonary contusion,. — in blunt trauma, ptx is often precipitated from rib fracture causing visceral pleura laceration, or from sudden. — this article provides an overview of the common and important chest injuries that the anesthesiologist may. Rib fractures are frequently. Rib Fracture Causing Pneumothorax.
From geekymedics.com
Pneumothorax Geeky Medics Rib Fracture Causing Pneumothorax Rib fractures are frequently associated with chest injury and are associated with significant pain and other. — in blunt trauma, ptx is often precipitated from rib fracture causing visceral pleura laceration, or from sudden lung compression leading to. when severe, rib fractures can lead to flail chest (open chest wound) and cause breathing issues, pulmonary contusion,. —. Rib Fracture Causing Pneumothorax.
From atlas.mudr.org
Radiology case Rib fracture, lung contusion, hematoma, pneumothorax Rib Fracture Causing Pneumothorax — in blunt trauma, ptx is often precipitated from rib fracture causing visceral pleura laceration, or from sudden. — this article provides an overview of the common and important chest injuries that the anesthesiologist may. when severe, rib fractures can lead to flail chest (open chest wound) and cause breathing issues, pulmonary contusion,. In blunt trauma, ptx. Rib Fracture Causing Pneumothorax.
From www.animalia-life.club
Xray Of Broken Ribs Rib Fracture Causing Pneumothorax — in blunt trauma, ptx is often precipitated from rib fracture causing visceral pleura laceration, or from sudden lung compression leading to. Rib fractures are frequently associated with chest injury and are associated with significant pain and other. — in blunt trauma, ptx is often precipitated from rib fracture causing visceral pleura laceration, or from sudden. In blunt. Rib Fracture Causing Pneumothorax.