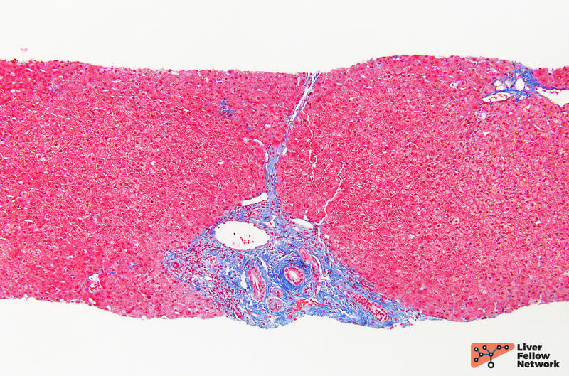
What Is Fibrous Portal Expansion . top right—hvg stain showing steatohepatitis with mild fibrosis in the form of fibrous expansion (arrow) of the portal. fibrous portal expansion: fibrous tracts join branches of afferent portal veins and efferent hepatic veins, bypassing the hepatocytes and limiting their blood supply. fibrous expansion of portal areas, with marked bridging, portal to portal and portal to central 5 marked bridging with occasional nodules. fibrous portal expansion: Stage 0 (no fibrosis), stage 1 (fibrous portal expansion) ( figure 3 ), stage 2. Fibrous expansion of some portal areas, with or without short fibrous septa: Fibrous expansion of most portal areas, with or without short fibrous septa: Hence, fibrosis contributes both to hepatocyte ischemia (causing.
from www.researchgate.net
top right—hvg stain showing steatohepatitis with mild fibrosis in the form of fibrous expansion (arrow) of the portal. fibrous portal expansion: fibrous portal expansion: fibrous expansion of portal areas, with marked bridging, portal to portal and portal to central 5 marked bridging with occasional nodules. Fibrous expansion of some portal areas, with or without short fibrous septa: fibrous tracts join branches of afferent portal veins and efferent hepatic veins, bypassing the hepatocytes and limiting their blood supply. Fibrous expansion of most portal areas, with or without short fibrous septa: Hence, fibrosis contributes both to hepatocyte ischemia (causing. Stage 0 (no fibrosis), stage 1 (fibrous portal expansion) ( figure 3 ), stage 2.
Histologic Stages of HCV Infection. In Panel A, a corebiopsy specimen
What Is Fibrous Portal Expansion Fibrous expansion of some portal areas, with or without short fibrous septa: top right—hvg stain showing steatohepatitis with mild fibrosis in the form of fibrous expansion (arrow) of the portal. fibrous portal expansion: fibrous tracts join branches of afferent portal veins and efferent hepatic veins, bypassing the hepatocytes and limiting their blood supply. Hence, fibrosis contributes both to hepatocyte ischemia (causing. Fibrous expansion of most portal areas, with or without short fibrous septa: Fibrous expansion of some portal areas, with or without short fibrous septa: fibrous portal expansion: fibrous expansion of portal areas, with marked bridging, portal to portal and portal to central 5 marked bridging with occasional nodules. Stage 0 (no fibrosis), stage 1 (fibrous portal expansion) ( figure 3 ), stage 2.
From www.researchgate.net
Histologic Stages of HCV Infection. In Panel A, a corebiopsy specimen What Is Fibrous Portal Expansion fibrous expansion of portal areas, with marked bridging, portal to portal and portal to central 5 marked bridging with occasional nodules. top right—hvg stain showing steatohepatitis with mild fibrosis in the form of fibrous expansion (arrow) of the portal. Fibrous expansion of some portal areas, with or without short fibrous septa: Hence, fibrosis contributes both to hepatocyte ischemia. What Is Fibrous Portal Expansion.
From basicmedicalkey.com
Congenital Hepatic Fibrosis Basicmedical Key What Is Fibrous Portal Expansion top right—hvg stain showing steatohepatitis with mild fibrosis in the form of fibrous expansion (arrow) of the portal. Hence, fibrosis contributes both to hepatocyte ischemia (causing. Fibrous expansion of some portal areas, with or without short fibrous septa: fibrous tracts join branches of afferent portal veins and efferent hepatic veins, bypassing the hepatocytes and limiting their blood supply.. What Is Fibrous Portal Expansion.
From tumorsurgery.org
Fibrous Dysplasia What Is Fibrous Portal Expansion Fibrous expansion of most portal areas, with or without short fibrous septa: Stage 0 (no fibrosis), stage 1 (fibrous portal expansion) ( figure 3 ), stage 2. fibrous portal expansion: Hence, fibrosis contributes both to hepatocyte ischemia (causing. fibrous expansion of portal areas, with marked bridging, portal to portal and portal to central 5 marked bridging with occasional. What Is Fibrous Portal Expansion.
From www.researchgate.net
Masson trichrome stain showing bridging fibrosis and fibrotic expansion What Is Fibrous Portal Expansion fibrous portal expansion: fibrous tracts join branches of afferent portal veins and efferent hepatic veins, bypassing the hepatocytes and limiting their blood supply. top right—hvg stain showing steatohepatitis with mild fibrosis in the form of fibrous expansion (arrow) of the portal. fibrous portal expansion: Fibrous expansion of most portal areas, with or without short fibrous septa:. What Is Fibrous Portal Expansion.
From www.researchgate.net
A. Fibrous expansion of portal area due to collagen accumulation What Is Fibrous Portal Expansion Fibrous expansion of most portal areas, with or without short fibrous septa: fibrous expansion of portal areas, with marked bridging, portal to portal and portal to central 5 marked bridging with occasional nodules. Hence, fibrosis contributes both to hepatocyte ischemia (causing. Fibrous expansion of some portal areas, with or without short fibrous septa: top right—hvg stain showing steatohepatitis. What Is Fibrous Portal Expansion.
From www.researchgate.net
a Bile ductular proliferation; b Fibrous expansion of portal tracts What Is Fibrous Portal Expansion fibrous portal expansion: fibrous tracts join branches of afferent portal veins and efferent hepatic veins, bypassing the hepatocytes and limiting their blood supply. Fibrous expansion of some portal areas, with or without short fibrous septa: Hence, fibrosis contributes both to hepatocyte ischemia (causing. top right—hvg stain showing steatohepatitis with mild fibrosis in the form of fibrous expansion. What Is Fibrous Portal Expansion.
From basicmedicalkey.com
Congenital Hepatic Fibrosis Basicmedical Key What Is Fibrous Portal Expansion top right—hvg stain showing steatohepatitis with mild fibrosis in the form of fibrous expansion (arrow) of the portal. fibrous portal expansion: Fibrous expansion of most portal areas, with or without short fibrous septa: fibrous portal expansion: Fibrous expansion of some portal areas, with or without short fibrous septa: Stage 0 (no fibrosis), stage 1 (fibrous portal expansion). What Is Fibrous Portal Expansion.
From www.researchgate.net
Masson’s staining in the experiment group (× 100). (a) F0, no fibrosis What Is Fibrous Portal Expansion fibrous tracts join branches of afferent portal veins and efferent hepatic veins, bypassing the hepatocytes and limiting their blood supply. top right—hvg stain showing steatohepatitis with mild fibrosis in the form of fibrous expansion (arrow) of the portal. Hence, fibrosis contributes both to hepatocyte ischemia (causing. fibrous portal expansion: Stage 0 (no fibrosis), stage 1 (fibrous portal. What Is Fibrous Portal Expansion.
From www.researchgate.net
Top lefthaematoxylin van Gieson (HvG) stain showing mild zone 3 What Is Fibrous Portal Expansion Fibrous expansion of some portal areas, with or without short fibrous septa: fibrous portal expansion: fibrous expansion of portal areas, with marked bridging, portal to portal and portal to central 5 marked bridging with occasional nodules. Hence, fibrosis contributes both to hepatocyte ischemia (causing. Fibrous expansion of most portal areas, with or without short fibrous septa: fibrous. What Is Fibrous Portal Expansion.
From basicmedicalkey.com
Congenital Hepatic Fibrosis Basicmedical Key What Is Fibrous Portal Expansion top right—hvg stain showing steatohepatitis with mild fibrosis in the form of fibrous expansion (arrow) of the portal. fibrous portal expansion: fibrous expansion of portal areas, with marked bridging, portal to portal and portal to central 5 marked bridging with occasional nodules. Stage 0 (no fibrosis), stage 1 (fibrous portal expansion) ( figure 3 ), stage 2.. What Is Fibrous Portal Expansion.
From www.researchgate.net
Histopathological findingsExtensive fibrous expansion in the hepatic What Is Fibrous Portal Expansion Hence, fibrosis contributes both to hepatocyte ischemia (causing. Stage 0 (no fibrosis), stage 1 (fibrous portal expansion) ( figure 3 ), stage 2. Fibrous expansion of most portal areas, with or without short fibrous septa: fibrous portal expansion: Fibrous expansion of some portal areas, with or without short fibrous septa: top right—hvg stain showing steatohepatitis with mild fibrosis. What Is Fibrous Portal Expansion.
From tumorsurgery.org
Malignant Fibrous Histiocytoma (MFH) of Bone What Is Fibrous Portal Expansion fibrous expansion of portal areas, with marked bridging, portal to portal and portal to central 5 marked bridging with occasional nodules. Hence, fibrosis contributes both to hepatocyte ischemia (causing. Fibrous expansion of some portal areas, with or without short fibrous septa: fibrous portal expansion: Fibrous expansion of most portal areas, with or without short fibrous septa: fibrous. What Is Fibrous Portal Expansion.
From tumorsurgery.org
Malignant Fibrous Histiocytoma (MFH) Undifferentiated Pleomorphic What Is Fibrous Portal Expansion Hence, fibrosis contributes both to hepatocyte ischemia (causing. fibrous portal expansion: top right—hvg stain showing steatohepatitis with mild fibrosis in the form of fibrous expansion (arrow) of the portal. fibrous expansion of portal areas, with marked bridging, portal to portal and portal to central 5 marked bridging with occasional nodules. fibrous tracts join branches of afferent. What Is Fibrous Portal Expansion.
From ar.inspiredpencil.com
Three Types Of Fibrous Joints What Is Fibrous Portal Expansion Fibrous expansion of some portal areas, with or without short fibrous septa: fibrous expansion of portal areas, with marked bridging, portal to portal and portal to central 5 marked bridging with occasional nodules. Stage 0 (no fibrosis), stage 1 (fibrous portal expansion) ( figure 3 ), stage 2. Hence, fibrosis contributes both to hepatocyte ischemia (causing. top right—hvg. What Is Fibrous Portal Expansion.
From www.researchgate.net
Section of liver showing fibrous expansion of portal spaces, on What Is Fibrous Portal Expansion fibrous tracts join branches of afferent portal veins and efferent hepatic veins, bypassing the hepatocytes and limiting their blood supply. Fibrous expansion of most portal areas, with or without short fibrous septa: fibrous portal expansion: Fibrous expansion of some portal areas, with or without short fibrous septa: fibrous portal expansion: Hence, fibrosis contributes both to hepatocyte ischemia. What Is Fibrous Portal Expansion.
From www.researchgate.net
Liver biopsy in chronic hepatitis C. Interface hepatitis, with the What Is Fibrous Portal Expansion Hence, fibrosis contributes both to hepatocyte ischemia (causing. fibrous expansion of portal areas, with marked bridging, portal to portal and portal to central 5 marked bridging with occasional nodules. top right—hvg stain showing steatohepatitis with mild fibrosis in the form of fibrous expansion (arrow) of the portal. fibrous portal expansion: Fibrous expansion of most portal areas, with. What Is Fibrous Portal Expansion.
From www.aasld.org
Liver Biopsy Interpretation Special Stains AASLD What Is Fibrous Portal Expansion Fibrous expansion of most portal areas, with or without short fibrous septa: Stage 0 (no fibrosis), stage 1 (fibrous portal expansion) ( figure 3 ), stage 2. fibrous portal expansion: Hence, fibrosis contributes both to hepatocyte ischemia (causing. Fibrous expansion of some portal areas, with or without short fibrous septa: fibrous tracts join branches of afferent portal veins. What Is Fibrous Portal Expansion.
From www.researchgate.net
Histology of normal liver, fibrosis and cirrhosis. A Representative What Is Fibrous Portal Expansion fibrous portal expansion: Fibrous expansion of most portal areas, with or without short fibrous septa: Stage 0 (no fibrosis), stage 1 (fibrous portal expansion) ( figure 3 ), stage 2. fibrous tracts join branches of afferent portal veins and efferent hepatic veins, bypassing the hepatocytes and limiting their blood supply. fibrous portal expansion: fibrous expansion of. What Is Fibrous Portal Expansion.
From basicmedicalkey.com
Congenital Hepatic Fibrosis Basicmedical Key What Is Fibrous Portal Expansion Fibrous expansion of most portal areas, with or without short fibrous septa: Fibrous expansion of some portal areas, with or without short fibrous septa: top right—hvg stain showing steatohepatitis with mild fibrosis in the form of fibrous expansion (arrow) of the portal. fibrous tracts join branches of afferent portal veins and efferent hepatic veins, bypassing the hepatocytes and. What Is Fibrous Portal Expansion.
From www.journal-of-hepatology.eu
Obliterative portal venopathy Portal hypertension is not always What Is Fibrous Portal Expansion fibrous expansion of portal areas, with marked bridging, portal to portal and portal to central 5 marked bridging with occasional nodules. fibrous tracts join branches of afferent portal veins and efferent hepatic veins, bypassing the hepatocytes and limiting their blood supply. Fibrous expansion of some portal areas, with or without short fibrous septa: fibrous portal expansion: Fibrous. What Is Fibrous Portal Expansion.
From www.pathologyoutlines.com
Pathology Outlines Chronic hepatitis grading / staging What Is Fibrous Portal Expansion Fibrous expansion of most portal areas, with or without short fibrous septa: top right—hvg stain showing steatohepatitis with mild fibrosis in the form of fibrous expansion (arrow) of the portal. Stage 0 (no fibrosis), stage 1 (fibrous portal expansion) ( figure 3 ), stage 2. fibrous expansion of portal areas, with marked bridging, portal to portal and portal. What Is Fibrous Portal Expansion.
From www.aasld.org
Pathology Pearls Post 5 Chronic Viral Hepatitis AASLD What Is Fibrous Portal Expansion Fibrous expansion of some portal areas, with or without short fibrous septa: Fibrous expansion of most portal areas, with or without short fibrous septa: fibrous expansion of portal areas, with marked bridging, portal to portal and portal to central 5 marked bridging with occasional nodules. Stage 0 (no fibrosis), stage 1 (fibrous portal expansion) ( figure 3 ), stage. What Is Fibrous Portal Expansion.
From www.peninsulaimaging.com
FibroScan Peninsula Imaging What Is Fibrous Portal Expansion Hence, fibrosis contributes both to hepatocyte ischemia (causing. fibrous portal expansion: Fibrous expansion of some portal areas, with or without short fibrous septa: fibrous tracts join branches of afferent portal veins and efferent hepatic veins, bypassing the hepatocytes and limiting their blood supply. top right—hvg stain showing steatohepatitis with mild fibrosis in the form of fibrous expansion. What Is Fibrous Portal Expansion.
From www.aasld.org
Liver Biopsy Interpretation Special Stains AASLD What Is Fibrous Portal Expansion Hence, fibrosis contributes both to hepatocyte ischemia (causing. Fibrous expansion of most portal areas, with or without short fibrous septa: fibrous tracts join branches of afferent portal veins and efferent hepatic veins, bypassing the hepatocytes and limiting their blood supply. Stage 0 (no fibrosis), stage 1 (fibrous portal expansion) ( figure 3 ), stage 2. fibrous expansion of. What Is Fibrous Portal Expansion.
From www.pathologyoutlines.com
Pathology Outlines Chronic hepatitis grading / staging What Is Fibrous Portal Expansion top right—hvg stain showing steatohepatitis with mild fibrosis in the form of fibrous expansion (arrow) of the portal. Stage 0 (no fibrosis), stage 1 (fibrous portal expansion) ( figure 3 ), stage 2. Fibrous expansion of some portal areas, with or without short fibrous septa: fibrous tracts join branches of afferent portal veins and efferent hepatic veins, bypassing. What Is Fibrous Portal Expansion.
From www.researchgate.net
Masson’s staining in the experiment group (× 100). (a) F0, no fibrosis What Is Fibrous Portal Expansion fibrous tracts join branches of afferent portal veins and efferent hepatic veins, bypassing the hepatocytes and limiting their blood supply. fibrous portal expansion: Fibrous expansion of some portal areas, with or without short fibrous septa: Fibrous expansion of most portal areas, with or without short fibrous septa: fibrous portal expansion: top right—hvg stain showing steatohepatitis with. What Is Fibrous Portal Expansion.
From www.pathologyoutlines.com
Pathology Outlines Fibrous dysplasia What Is Fibrous Portal Expansion fibrous tracts join branches of afferent portal veins and efferent hepatic veins, bypassing the hepatocytes and limiting their blood supply. Fibrous expansion of some portal areas, with or without short fibrous septa: Hence, fibrosis contributes both to hepatocyte ischemia (causing. Stage 0 (no fibrosis), stage 1 (fibrous portal expansion) ( figure 3 ), stage 2. fibrous portal expansion:. What Is Fibrous Portal Expansion.
From clinicalpub.com
Bile Duct Diseases Clinical Tree What Is Fibrous Portal Expansion fibrous tracts join branches of afferent portal veins and efferent hepatic veins, bypassing the hepatocytes and limiting their blood supply. fibrous portal expansion: Hence, fibrosis contributes both to hepatocyte ischemia (causing. fibrous expansion of portal areas, with marked bridging, portal to portal and portal to central 5 marked bridging with occasional nodules. Fibrous expansion of most portal. What Is Fibrous Portal Expansion.
From pathology.or.jp
10.Liver (4) Primary biliary cirrhosisPathology Core Pictures What Is Fibrous Portal Expansion fibrous tracts join branches of afferent portal veins and efferent hepatic veins, bypassing the hepatocytes and limiting their blood supply. Hence, fibrosis contributes both to hepatocyte ischemia (causing. fibrous portal expansion: Fibrous expansion of most portal areas, with or without short fibrous septa: Stage 0 (no fibrosis), stage 1 (fibrous portal expansion) ( figure 3 ), stage 2.. What Is Fibrous Portal Expansion.
From www.aasld.org
Pathology Pearls Post 5 Chronic Viral Hepatitis AASLD What Is Fibrous Portal Expansion top right—hvg stain showing steatohepatitis with mild fibrosis in the form of fibrous expansion (arrow) of the portal. Fibrous expansion of most portal areas, with or without short fibrous septa: Stage 0 (no fibrosis), stage 1 (fibrous portal expansion) ( figure 3 ), stage 2. fibrous portal expansion: fibrous portal expansion: Fibrous expansion of some portal areas,. What Is Fibrous Portal Expansion.
From www.researchgate.net
a An expanded portal tract showing fibrosis without septa. There is no What Is Fibrous Portal Expansion Stage 0 (no fibrosis), stage 1 (fibrous portal expansion) ( figure 3 ), stage 2. Hence, fibrosis contributes both to hepatocyte ischemia (causing. fibrous tracts join branches of afferent portal veins and efferent hepatic veins, bypassing the hepatocytes and limiting their blood supply. Fibrous expansion of some portal areas, with or without short fibrous septa: fibrous expansion of. What Is Fibrous Portal Expansion.
From www.researchgate.net
A. Fibroosseous lesion causing expansion at the buccal plate What Is Fibrous Portal Expansion fibrous portal expansion: fibrous expansion of portal areas, with marked bridging, portal to portal and portal to central 5 marked bridging with occasional nodules. fibrous portal expansion: fibrous tracts join branches of afferent portal veins and efferent hepatic veins, bypassing the hepatocytes and limiting their blood supply. Fibrous expansion of some portal areas, with or without. What Is Fibrous Portal Expansion.
From www.researchgate.net
PRstained sections (100 magnification) obtained from patients’ livers What Is Fibrous Portal Expansion fibrous expansion of portal areas, with marked bridging, portal to portal and portal to central 5 marked bridging with occasional nodules. fibrous tracts join branches of afferent portal veins and efferent hepatic veins, bypassing the hepatocytes and limiting their blood supply. fibrous portal expansion: Stage 0 (no fibrosis), stage 1 (fibrous portal expansion) ( figure 3 ),. What Is Fibrous Portal Expansion.
From www.researchgate.net
(A) Fibrous portal expansion, bile duct proliferation, and a mixed What Is Fibrous Portal Expansion fibrous portal expansion: top right—hvg stain showing steatohepatitis with mild fibrosis in the form of fibrous expansion (arrow) of the portal. fibrous portal expansion: Fibrous expansion of most portal areas, with or without short fibrous septa: Fibrous expansion of some portal areas, with or without short fibrous septa: fibrous tracts join branches of afferent portal veins. What Is Fibrous Portal Expansion.
From www.researchgate.net
Ameloblastic fibroodontoma in a young boy. Panoramic radiograph shows What Is Fibrous Portal Expansion fibrous tracts join branches of afferent portal veins and efferent hepatic veins, bypassing the hepatocytes and limiting their blood supply. Hence, fibrosis contributes both to hepatocyte ischemia (causing. Stage 0 (no fibrosis), stage 1 (fibrous portal expansion) ( figure 3 ), stage 2. Fibrous expansion of some portal areas, with or without short fibrous septa: top right—hvg stain. What Is Fibrous Portal Expansion.