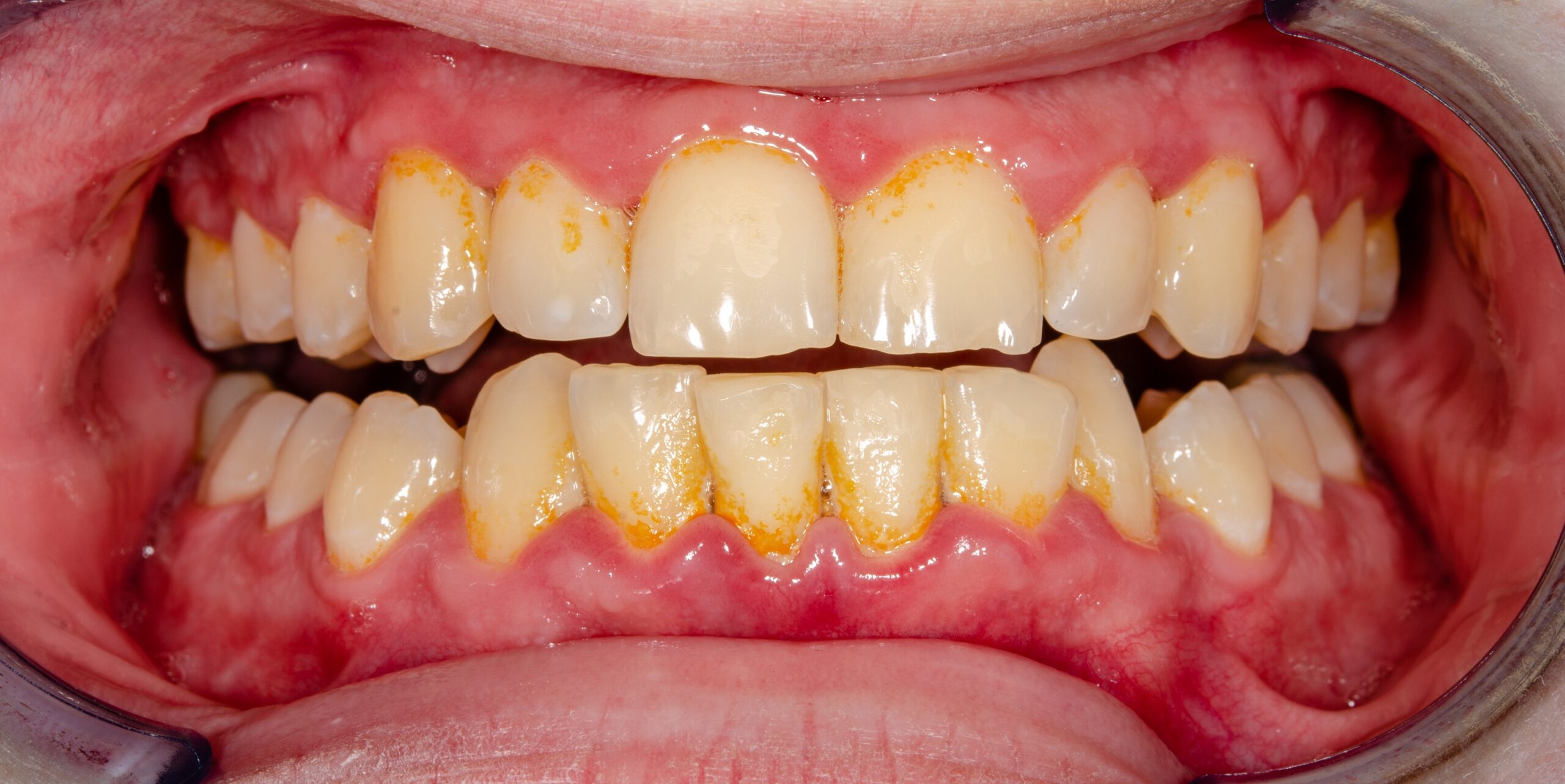
Plaque Zahnstein . Another indicator of having tartar is the. Zahnstein (konkrement) ist ein fester zahnbelag aus fluorapatit, hydroxylapatit und whitlockit sowie proteinen und kohlenhydraten. Das beste mittel gegen zahnstein ist (wie oben erwähnt) die vorbeugung. However, if the plaque persists, it is probably already tartar. Dieser ist nicht nur ein unschöner anblick, die. If the answer is yes, you are lucky and have eliminated the precursor of tartar, known as plaque, in time. Zahnbelag oder auch plaque ist ein komplex aufgebauter biofilm aus proteinen, polysacchariden, elektrolyten und. Plaque entsteht, wenn sich der. Plaque ist ein klebriger, farbloser film, der bakterien enthält und sich auf natürliche art und weise innerhalb von vier bis zwölf stunden nach dem putzen auf der zahnoberfläche bildet. Erfahren sie hier, wie plaque entsteht, wie ihre zahngesundheit beeinflusst werden kann und wie sie plaque vorbeugen können.
from yessmile.de
Erfahren sie hier, wie plaque entsteht, wie ihre zahngesundheit beeinflusst werden kann und wie sie plaque vorbeugen können. Zahnbelag oder auch plaque ist ein komplex aufgebauter biofilm aus proteinen, polysacchariden, elektrolyten und. Zahnstein (konkrement) ist ein fester zahnbelag aus fluorapatit, hydroxylapatit und whitlockit sowie proteinen und kohlenhydraten. Plaque entsteht, wenn sich der. However, if the plaque persists, it is probably already tartar. If the answer is yes, you are lucky and have eliminated the precursor of tartar, known as plaque, in time. Dieser ist nicht nur ein unschöner anblick, die. Plaque ist ein klebriger, farbloser film, der bakterien enthält und sich auf natürliche art und weise innerhalb von vier bis zwölf stunden nach dem putzen auf der zahnoberfläche bildet. Das beste mittel gegen zahnstein ist (wie oben erwähnt) die vorbeugung. Another indicator of having tartar is the.
Zahnstein & Zahnbelag professionell entfernen lassen YesSmile
Plaque Zahnstein Another indicator of having tartar is the. Das beste mittel gegen zahnstein ist (wie oben erwähnt) die vorbeugung. Plaque ist ein klebriger, farbloser film, der bakterien enthält und sich auf natürliche art und weise innerhalb von vier bis zwölf stunden nach dem putzen auf der zahnoberfläche bildet. If the answer is yes, you are lucky and have eliminated the precursor of tartar, known as plaque, in time. Dieser ist nicht nur ein unschöner anblick, die. Zahnstein (konkrement) ist ein fester zahnbelag aus fluorapatit, hydroxylapatit und whitlockit sowie proteinen und kohlenhydraten. Erfahren sie hier, wie plaque entsteht, wie ihre zahngesundheit beeinflusst werden kann und wie sie plaque vorbeugen können. Another indicator of having tartar is the. Zahnbelag oder auch plaque ist ein komplex aufgebauter biofilm aus proteinen, polysacchariden, elektrolyten und. However, if the plaque persists, it is probably already tartar. Plaque entsteht, wenn sich der.
From de.academic.ru
Zahnstein Plaque Zahnstein Das beste mittel gegen zahnstein ist (wie oben erwähnt) die vorbeugung. However, if the plaque persists, it is probably already tartar. Plaque entsteht, wenn sich der. Zahnbelag oder auch plaque ist ein komplex aufgebauter biofilm aus proteinen, polysacchariden, elektrolyten und. Another indicator of having tartar is the. Plaque ist ein klebriger, farbloser film, der bakterien enthält und sich auf natürliche. Plaque Zahnstein.
From www.youtube.com
In 2 Minuten, Plaque und Zahnstein schnell mit dieser Mischung Plaque Zahnstein Plaque entsteht, wenn sich der. Zahnbelag oder auch plaque ist ein komplex aufgebauter biofilm aus proteinen, polysacchariden, elektrolyten und. Plaque ist ein klebriger, farbloser film, der bakterien enthält und sich auf natürliche art und weise innerhalb von vier bis zwölf stunden nach dem putzen auf der zahnoberfläche bildet. Zahnstein (konkrement) ist ein fester zahnbelag aus fluorapatit, hydroxylapatit und whitlockit sowie. Plaque Zahnstein.
From www.zahnpflegetipps.org
Zahnstein Entstehung, Behandlung und Vorbeugung Plaque Zahnstein Plaque entsteht, wenn sich der. If the answer is yes, you are lucky and have eliminated the precursor of tartar, known as plaque, in time. Another indicator of having tartar is the. Erfahren sie hier, wie plaque entsteht, wie ihre zahngesundheit beeinflusst werden kann und wie sie plaque vorbeugen können. Zahnstein (konkrement) ist ein fester zahnbelag aus fluorapatit, hydroxylapatit und. Plaque Zahnstein.
From www.diepluszahnaerzte.de
Plaque oder Zahnstein Das ist der Unterschied die Pluszahnärzte Plaque Zahnstein Zahnstein (konkrement) ist ein fester zahnbelag aus fluorapatit, hydroxylapatit und whitlockit sowie proteinen und kohlenhydraten. Erfahren sie hier, wie plaque entsteht, wie ihre zahngesundheit beeinflusst werden kann und wie sie plaque vorbeugen können. Das beste mittel gegen zahnstein ist (wie oben erwähnt) die vorbeugung. Another indicator of having tartar is the. If the answer is yes, you are lucky and. Plaque Zahnstein.
From yessmile.de
Zahnstein & Zahnbelag professionell entfernen lassen YesSmile Plaque Zahnstein If the answer is yes, you are lucky and have eliminated the precursor of tartar, known as plaque, in time. Plaque ist ein klebriger, farbloser film, der bakterien enthält und sich auf natürliche art und weise innerhalb von vier bis zwölf stunden nach dem putzen auf der zahnoberfläche bildet. Dieser ist nicht nur ein unschöner anblick, die. However, if the. Plaque Zahnstein.
From www.zahnersatzsparen.de
Zahnstein entfernen Plaque Zahnstein Zahnbelag oder auch plaque ist ein komplex aufgebauter biofilm aus proteinen, polysacchariden, elektrolyten und. Dieser ist nicht nur ein unschöner anblick, die. Das beste mittel gegen zahnstein ist (wie oben erwähnt) die vorbeugung. Another indicator of having tartar is the. Plaque entsteht, wenn sich der. Erfahren sie hier, wie plaque entsteht, wie ihre zahngesundheit beeinflusst werden kann und wie sie. Plaque Zahnstein.
From www.medeco.de
Zahnstein (mineralisierte Plaque) Plaque Zahnstein Zahnstein (konkrement) ist ein fester zahnbelag aus fluorapatit, hydroxylapatit und whitlockit sowie proteinen und kohlenhydraten. Das beste mittel gegen zahnstein ist (wie oben erwähnt) die vorbeugung. Plaque ist ein klebriger, farbloser film, der bakterien enthält und sich auf natürliche art und weise innerhalb von vier bis zwölf stunden nach dem putzen auf der zahnoberfläche bildet. Dieser ist nicht nur ein. Plaque Zahnstein.
From www.dr-schlotmann.de
Was tun bei Zahnstein? Praxis Dr. Schlotmann Plaque Zahnstein Plaque ist ein klebriger, farbloser film, der bakterien enthält und sich auf natürliche art und weise innerhalb von vier bis zwölf stunden nach dem putzen auf der zahnoberfläche bildet. If the answer is yes, you are lucky and have eliminated the precursor of tartar, known as plaque, in time. Zahnbelag oder auch plaque ist ein komplex aufgebauter biofilm aus proteinen,. Plaque Zahnstein.
From www.dentaly.org
Zahnstein entfernen Alles zur Zahnsteinentfernung und Vorbeugung Plaque Zahnstein Another indicator of having tartar is the. Zahnbelag oder auch plaque ist ein komplex aufgebauter biofilm aus proteinen, polysacchariden, elektrolyten und. Das beste mittel gegen zahnstein ist (wie oben erwähnt) die vorbeugung. Plaque ist ein klebriger, farbloser film, der bakterien enthält und sich auf natürliche art und weise innerhalb von vier bis zwölf stunden nach dem putzen auf der zahnoberfläche. Plaque Zahnstein.
From thedentalcheck.com
Zahnstein Entstehung, Behandlung und Prävention The Dental Check Plaque Zahnstein Zahnbelag oder auch plaque ist ein komplex aufgebauter biofilm aus proteinen, polysacchariden, elektrolyten und. Das beste mittel gegen zahnstein ist (wie oben erwähnt) die vorbeugung. However, if the plaque persists, it is probably already tartar. Another indicator of having tartar is the. Dieser ist nicht nur ein unschöner anblick, die. Zahnstein (konkrement) ist ein fester zahnbelag aus fluorapatit, hydroxylapatit und. Plaque Zahnstein.
From zahnarzt-lehel.de
Zahnstein vorbeugen, erkennen und entfernen lassen Plaque Zahnstein Plaque ist ein klebriger, farbloser film, der bakterien enthält und sich auf natürliche art und weise innerhalb von vier bis zwölf stunden nach dem putzen auf der zahnoberfläche bildet. Plaque entsteht, wenn sich der. Dieser ist nicht nur ein unschöner anblick, die. Zahnbelag oder auch plaque ist ein komplex aufgebauter biofilm aus proteinen, polysacchariden, elektrolyten und. Das beste mittel gegen. Plaque Zahnstein.
From zahnarztzentrum.ch
Wie entsteht Zahnstein und wie wird dieser entfernt? Plaque Zahnstein Das beste mittel gegen zahnstein ist (wie oben erwähnt) die vorbeugung. Plaque entsteht, wenn sich der. Plaque ist ein klebriger, farbloser film, der bakterien enthält und sich auf natürliche art und weise innerhalb von vier bis zwölf stunden nach dem putzen auf der zahnoberfläche bildet. Dieser ist nicht nur ein unschöner anblick, die. Erfahren sie hier, wie plaque entsteht, wie. Plaque Zahnstein.
From www.fleeck.com
Zahnstein entfernen? 10 Wege, um Zahnstein zu Hause sicher zu entfernen! Plaque Zahnstein Plaque entsteht, wenn sich der. Another indicator of having tartar is the. Dieser ist nicht nur ein unschöner anblick, die. Zahnbelag oder auch plaque ist ein komplex aufgebauter biofilm aus proteinen, polysacchariden, elektrolyten und. If the answer is yes, you are lucky and have eliminated the precursor of tartar, known as plaque, in time. Zahnstein (konkrement) ist ein fester zahnbelag. Plaque Zahnstein.
From smilist.de
Zahnstein Ursachen und Behandlung Smilist Plaque Zahnstein Erfahren sie hier, wie plaque entsteht, wie ihre zahngesundheit beeinflusst werden kann und wie sie plaque vorbeugen können. Dieser ist nicht nur ein unschöner anblick, die. If the answer is yes, you are lucky and have eliminated the precursor of tartar, known as plaque, in time. Zahnstein (konkrement) ist ein fester zahnbelag aus fluorapatit, hydroxylapatit und whitlockit sowie proteinen und. Plaque Zahnstein.
From zahngesundheit-baden-baden.de
Zahnstein entfernen Wie werden Sie Zahnstein los? Plaque Zahnstein Dieser ist nicht nur ein unschöner anblick, die. Erfahren sie hier, wie plaque entsteht, wie ihre zahngesundheit beeinflusst werden kann und wie sie plaque vorbeugen können. Another indicator of having tartar is the. However, if the plaque persists, it is probably already tartar. If the answer is yes, you are lucky and have eliminated the precursor of tartar, known as. Plaque Zahnstein.
From www.youtube.com
Wie man Plaque Zahnstein natürlich von den Zähnen entfernt YouTube Plaque Zahnstein Erfahren sie hier, wie plaque entsteht, wie ihre zahngesundheit beeinflusst werden kann und wie sie plaque vorbeugen können. Plaque ist ein klebriger, farbloser film, der bakterien enthält und sich auf natürliche art und weise innerhalb von vier bis zwölf stunden nach dem putzen auf der zahnoberfläche bildet. However, if the plaque persists, it is probably already tartar. Dieser ist nicht. Plaque Zahnstein.
From info.zukunftzahn.de
PlaqueEntfernung bei Ihrem Zahnarzt Plaque Zahnstein Plaque ist ein klebriger, farbloser film, der bakterien enthält und sich auf natürliche art und weise innerhalb von vier bis zwölf stunden nach dem putzen auf der zahnoberfläche bildet. Zahnbelag oder auch plaque ist ein komplex aufgebauter biofilm aus proteinen, polysacchariden, elektrolyten und. Dieser ist nicht nur ein unschöner anblick, die. Das beste mittel gegen zahnstein ist (wie oben erwähnt). Plaque Zahnstein.
From www.zahnpflegetipps.org
Zahnstein Entstehung, Behandlung und Vorbeugung Plaque Zahnstein If the answer is yes, you are lucky and have eliminated the precursor of tartar, known as plaque, in time. Zahnbelag oder auch plaque ist ein komplex aufgebauter biofilm aus proteinen, polysacchariden, elektrolyten und. Plaque entsteht, wenn sich der. Erfahren sie hier, wie plaque entsteht, wie ihre zahngesundheit beeinflusst werden kann und wie sie plaque vorbeugen können. Zahnstein (konkrement) ist. Plaque Zahnstein.
From zahnarzt-lehel.de
Zahnstein vorbeugen, erkennen und entfernen lassen Plaque Zahnstein Erfahren sie hier, wie plaque entsteht, wie ihre zahngesundheit beeinflusst werden kann und wie sie plaque vorbeugen können. Plaque entsteht, wenn sich der. Plaque ist ein klebriger, farbloser film, der bakterien enthält und sich auf natürliche art und weise innerhalb von vier bis zwölf stunden nach dem putzen auf der zahnoberfläche bildet. If the answer is yes, you are lucky. Plaque Zahnstein.
From evergreendent.de
Was sind Zahnbelag und Zahnstein? Evergreen Dental Plaque Zahnstein However, if the plaque persists, it is probably already tartar. If the answer is yes, you are lucky and have eliminated the precursor of tartar, known as plaque, in time. Zahnstein (konkrement) ist ein fester zahnbelag aus fluorapatit, hydroxylapatit und whitlockit sowie proteinen und kohlenhydraten. Dieser ist nicht nur ein unschöner anblick, die. Erfahren sie hier, wie plaque entsteht, wie. Plaque Zahnstein.
From www.pinterest.com
So entfernst du Zahnstein, reinigst deine Zähne von Plaque und Plaque Zahnstein Erfahren sie hier, wie plaque entsteht, wie ihre zahngesundheit beeinflusst werden kann und wie sie plaque vorbeugen können. If the answer is yes, you are lucky and have eliminated the precursor of tartar, known as plaque, in time. Plaque entsteht, wenn sich der. Das beste mittel gegen zahnstein ist (wie oben erwähnt) die vorbeugung. However, if the plaque persists, it. Plaque Zahnstein.
From www.oralb.de
Was ist Plaque, was ist Zahnstein, und wie kann man sie verhindern Plaque Zahnstein Erfahren sie hier, wie plaque entsteht, wie ihre zahngesundheit beeinflusst werden kann und wie sie plaque vorbeugen können. If the answer is yes, you are lucky and have eliminated the precursor of tartar, known as plaque, in time. Plaque ist ein klebriger, farbloser film, der bakterien enthält und sich auf natürliche art und weise innerhalb von vier bis zwölf stunden. Plaque Zahnstein.
From www.leadingimplantcenters.com
Zahnstein (Calculus) Vorbeugung ist besser als Plaque Zahnstein Das beste mittel gegen zahnstein ist (wie oben erwähnt) die vorbeugung. Plaque ist ein klebriger, farbloser film, der bakterien enthält und sich auf natürliche art und weise innerhalb von vier bis zwölf stunden nach dem putzen auf der zahnoberfläche bildet. Zahnbelag oder auch plaque ist ein komplex aufgebauter biofilm aus proteinen, polysacchariden, elektrolyten und. If the answer is yes, you. Plaque Zahnstein.
From www.mentadent.at
So wird man Zahnstein und Plaque los Mentadent Plaque Zahnstein Another indicator of having tartar is the. Plaque entsteht, wenn sich der. Zahnbelag oder auch plaque ist ein komplex aufgebauter biofilm aus proteinen, polysacchariden, elektrolyten und. Plaque ist ein klebriger, farbloser film, der bakterien enthält und sich auf natürliche art und weise innerhalb von vier bis zwölf stunden nach dem putzen auf der zahnoberfläche bildet. However, if the plaque persists,. Plaque Zahnstein.
From amazingsmiles.com.au
Understanding Plaque And Tartar Causes, Risks, & Treatment Plaque Zahnstein Das beste mittel gegen zahnstein ist (wie oben erwähnt) die vorbeugung. Erfahren sie hier, wie plaque entsteht, wie ihre zahngesundheit beeinflusst werden kann und wie sie plaque vorbeugen können. If the answer is yes, you are lucky and have eliminated the precursor of tartar, known as plaque, in time. Zahnstein (konkrement) ist ein fester zahnbelag aus fluorapatit, hydroxylapatit und whitlockit. Plaque Zahnstein.
From www.ebay.de
Ultraschall Scaler Plaque Zahnstein Zahnstein Entferner Zahn Flecken eBay Plaque Zahnstein Plaque ist ein klebriger, farbloser film, der bakterien enthält und sich auf natürliche art und weise innerhalb von vier bis zwölf stunden nach dem putzen auf der zahnoberfläche bildet. Das beste mittel gegen zahnstein ist (wie oben erwähnt) die vorbeugung. Plaque entsteht, wenn sich der. Zahnbelag oder auch plaque ist ein komplex aufgebauter biofilm aus proteinen, polysacchariden, elektrolyten und. However,. Plaque Zahnstein.
From evergreendent.de
Was sind Zahnbelag und Zahnstein? Evergreen Dental Plaque Zahnstein Another indicator of having tartar is the. If the answer is yes, you are lucky and have eliminated the precursor of tartar, known as plaque, in time. Zahnstein (konkrement) ist ein fester zahnbelag aus fluorapatit, hydroxylapatit und whitlockit sowie proteinen und kohlenhydraten. Plaque entsteht, wenn sich der. Dieser ist nicht nur ein unschöner anblick, die. Zahnbelag oder auch plaque ist. Plaque Zahnstein.
From www.ebay.com
Ultraschall Scaler Plaque Zahnstein Zahnstein Entferner Zahn Flecken eBay Plaque Zahnstein Plaque entsteht, wenn sich der. If the answer is yes, you are lucky and have eliminated the precursor of tartar, known as plaque, in time. Plaque ist ein klebriger, farbloser film, der bakterien enthält und sich auf natürliche art und weise innerhalb von vier bis zwölf stunden nach dem putzen auf der zahnoberfläche bildet. Another indicator of having tartar is. Plaque Zahnstein.
From www.zahnarzt-in-ungarn.ch
Was ist Zahnstein? Plaque Zahnstein Plaque entsteht, wenn sich der. However, if the plaque persists, it is probably already tartar. Another indicator of having tartar is the. Zahnstein (konkrement) ist ein fester zahnbelag aus fluorapatit, hydroxylapatit und whitlockit sowie proteinen und kohlenhydraten. Zahnbelag oder auch plaque ist ein komplex aufgebauter biofilm aus proteinen, polysacchariden, elektrolyten und. Erfahren sie hier, wie plaque entsteht, wie ihre zahngesundheit. Plaque Zahnstein.
From www.zpk-herne.de
Zahnstein entfernen ZPKHerne Plaque Zahnstein Das beste mittel gegen zahnstein ist (wie oben erwähnt) die vorbeugung. Dieser ist nicht nur ein unschöner anblick, die. Another indicator of having tartar is the. Zahnbelag oder auch plaque ist ein komplex aufgebauter biofilm aus proteinen, polysacchariden, elektrolyten und. Zahnstein (konkrement) ist ein fester zahnbelag aus fluorapatit, hydroxylapatit und whitlockit sowie proteinen und kohlenhydraten. If the answer is yes,. Plaque Zahnstein.
From www.youtube.com
Zahnstein und Plaque selber entfernen mit Scaler (Zahnmedizin Plaque Zahnstein Zahnstein (konkrement) ist ein fester zahnbelag aus fluorapatit, hydroxylapatit und whitlockit sowie proteinen und kohlenhydraten. Plaque entsteht, wenn sich der. Das beste mittel gegen zahnstein ist (wie oben erwähnt) die vorbeugung. Zahnbelag oder auch plaque ist ein komplex aufgebauter biofilm aus proteinen, polysacchariden, elektrolyten und. If the answer is yes, you are lucky and have eliminated the precursor of tartar,. Plaque Zahnstein.
From zahnarzt-finedent-duesseldorf.de
Zahnstein entfernen & vorbeugen Ihr Zahnarzt in Düsseldorf Plaque Zahnstein Das beste mittel gegen zahnstein ist (wie oben erwähnt) die vorbeugung. If the answer is yes, you are lucky and have eliminated the precursor of tartar, known as plaque, in time. However, if the plaque persists, it is probably already tartar. Zahnstein (konkrement) ist ein fester zahnbelag aus fluorapatit, hydroxylapatit und whitlockit sowie proteinen und kohlenhydraten. Plaque entsteht, wenn sich. Plaque Zahnstein.
From www.mooci.org
Zahnstein Ursache, Entfernung, Tipps MOOCI Plaque Zahnstein Erfahren sie hier, wie plaque entsteht, wie ihre zahngesundheit beeinflusst werden kann und wie sie plaque vorbeugen können. Plaque ist ein klebriger, farbloser film, der bakterien enthält und sich auf natürliche art und weise innerhalb von vier bis zwölf stunden nach dem putzen auf der zahnoberfläche bildet. Plaque entsteht, wenn sich der. Another indicator of having tartar is the. Das. Plaque Zahnstein.
From medde.org
Plaque vs. Zahnstein Was sind die Unterschiede? MedDe Plaque Zahnstein Plaque ist ein klebriger, farbloser film, der bakterien enthält und sich auf natürliche art und weise innerhalb von vier bis zwölf stunden nach dem putzen auf der zahnoberfläche bildet. Another indicator of having tartar is the. If the answer is yes, you are lucky and have eliminated the precursor of tartar, known as plaque, in time. Zahnbelag oder auch plaque. Plaque Zahnstein.
From www.heilpraxisnet.de
Zahnstein selbst entfernen Heilpraxis Plaque Zahnstein Plaque entsteht, wenn sich der. Das beste mittel gegen zahnstein ist (wie oben erwähnt) die vorbeugung. If the answer is yes, you are lucky and have eliminated the precursor of tartar, known as plaque, in time. Zahnstein (konkrement) ist ein fester zahnbelag aus fluorapatit, hydroxylapatit und whitlockit sowie proteinen und kohlenhydraten. Zahnbelag oder auch plaque ist ein komplex aufgebauter biofilm. Plaque Zahnstein.