Endodontic Treatment Open Apex . Because calcium hydroxide has its drawbacks, calcium. the open apex can be defined as an unusually wide apical foramen of a root, making it challenging to prepare an. this study reports two clinical cases of apical plug placement in teeth with pulp. the golden rule of endodontic treatment is to remove all the debris, shape the root canal irrigate and obturate the canals efficiently. pdf | when a tooth has an open apex, endodontic treatment is required to close it. the main purpose of endodontic treatment is to accomplish obturation of the root canal space completely and prevention of re. the treatment of an immature permanent tooth with a blunderbuss canal, one of the two types of open apex, can be.
from www.youtube.com
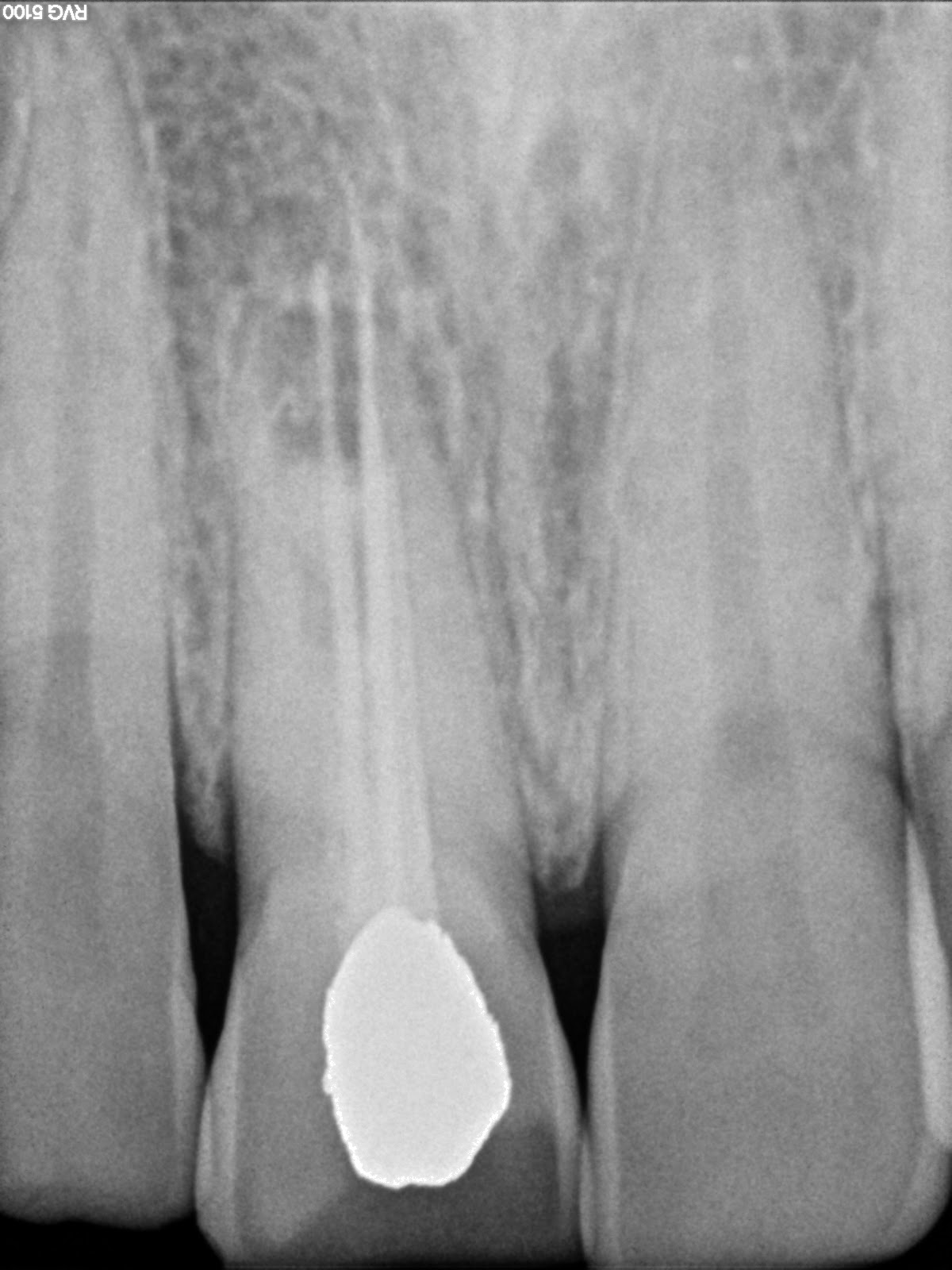
pdf | when a tooth has an open apex, endodontic treatment is required to close it. the main purpose of endodontic treatment is to accomplish obturation of the root canal space completely and prevention of re. the treatment of an immature permanent tooth with a blunderbuss canal, one of the two types of open apex, can be. the golden rule of endodontic treatment is to remove all the debris, shape the root canal irrigate and obturate the canals efficiently. this study reports two clinical cases of apical plug placement in teeth with pulp. the open apex can be defined as an unusually wide apical foramen of a root, making it challenging to prepare an. Because calcium hydroxide has its drawbacks, calcium.
COMPLETE ENDODONTIC TREATMENT + DENTAL ASSISTANT video CLINCAL STEP BY
Endodontic Treatment Open Apex the treatment of an immature permanent tooth with a blunderbuss canal, one of the two types of open apex, can be. the open apex can be defined as an unusually wide apical foramen of a root, making it challenging to prepare an. pdf | when a tooth has an open apex, endodontic treatment is required to close it. this study reports two clinical cases of apical plug placement in teeth with pulp. the treatment of an immature permanent tooth with a blunderbuss canal, one of the two types of open apex, can be. Because calcium hydroxide has its drawbacks, calcium. the golden rule of endodontic treatment is to remove all the debris, shape the root canal irrigate and obturate the canals efficiently. the main purpose of endodontic treatment is to accomplish obturation of the root canal space completely and prevention of re.
From www.prestigedentalspecialists.com
Before and After Endodontics Annandale North VA Prestige Dental Endodontic Treatment Open Apex the golden rule of endodontic treatment is to remove all the debris, shape the root canal irrigate and obturate the canals efficiently. this study reports two clinical cases of apical plug placement in teeth with pulp. the treatment of an immature permanent tooth with a blunderbuss canal, one of the two types of open apex, can be.. Endodontic Treatment Open Apex.
From laendodontist.com
Apexification Near You Vital Pulp Therapy in Tarzana Endodontic Treatment Open Apex pdf | when a tooth has an open apex, endodontic treatment is required to close it. the open apex can be defined as an unusually wide apical foramen of a root, making it challenging to prepare an. the main purpose of endodontic treatment is to accomplish obturation of the root canal space completely and prevention of re.. Endodontic Treatment Open Apex.
From endodontics.styleitaliano.org
Open apex management using bioceramics Style Italiano Endodontics Endodontic Treatment Open Apex this study reports two clinical cases of apical plug placement in teeth with pulp. the open apex can be defined as an unusually wide apical foramen of a root, making it challenging to prepare an. Because calcium hydroxide has its drawbacks, calcium. the treatment of an immature permanent tooth with a blunderbuss canal, one of the two. Endodontic Treatment Open Apex.
From premiumdentalcenter.com
Apicectomy Premium Dental Center Endodontic Treatment Open Apex the treatment of an immature permanent tooth with a blunderbuss canal, one of the two types of open apex, can be. pdf | when a tooth has an open apex, endodontic treatment is required to close it. Because calcium hydroxide has its drawbacks, calcium. the open apex can be defined as an unusually wide apical foramen of. Endodontic Treatment Open Apex.
From imperialdsc.com
Endodontics Treatment Imperial Dental Specialist Centre Endodontic Treatment Open Apex the treatment of an immature permanent tooth with a blunderbuss canal, one of the two types of open apex, can be. Because calcium hydroxide has its drawbacks, calcium. the main purpose of endodontic treatment is to accomplish obturation of the root canal space completely and prevention of re. the golden rule of endodontic treatment is to remove. Endodontic Treatment Open Apex.
From www.dental.theclinics.com
Regenerative Endodontic Procedures Dental Clinics Endodontic Treatment Open Apex Because calcium hydroxide has its drawbacks, calcium. the main purpose of endodontic treatment is to accomplish obturation of the root canal space completely and prevention of re. the open apex can be defined as an unusually wide apical foramen of a root, making it challenging to prepare an. the treatment of an immature permanent tooth with a. Endodontic Treatment Open Apex.
From www.researchgate.net
(PDF) Endodontic management of open apex in permanent teeth using Endodontic Treatment Open Apex this study reports two clinical cases of apical plug placement in teeth with pulp. pdf | when a tooth has an open apex, endodontic treatment is required to close it. Because calcium hydroxide has its drawbacks, calcium. the golden rule of endodontic treatment is to remove all the debris, shape the root canal irrigate and obturate the. Endodontic Treatment Open Apex.
From www.endodonticassociates.com
Where Is the End of the Apex? Endodontic Associates Endodontic Treatment Open Apex the open apex can be defined as an unusually wide apical foramen of a root, making it challenging to prepare an. the main purpose of endodontic treatment is to accomplish obturation of the root canal space completely and prevention of re. pdf | when a tooth has an open apex, endodontic treatment is required to close it.. Endodontic Treatment Open Apex.
From www.alamy.com
photo endodontic treatment of dental canals in the lower molar Endodontic Treatment Open Apex pdf | when a tooth has an open apex, endodontic treatment is required to close it. the main purpose of endodontic treatment is to accomplish obturation of the root canal space completely and prevention of re. this study reports two clinical cases of apical plug placement in teeth with pulp. the treatment of an immature permanent. Endodontic Treatment Open Apex.
From endodontics.styleitaliano.org
MTA apexification procedure of an immature mandibular premolar with a Endodontic Treatment Open Apex the open apex can be defined as an unusually wide apical foramen of a root, making it challenging to prepare an. the golden rule of endodontic treatment is to remove all the debris, shape the root canal irrigate and obturate the canals efficiently. Because calcium hydroxide has its drawbacks, calcium. the main purpose of endodontic treatment is. Endodontic Treatment Open Apex.
From www.youtube.com
Endodontics Apexification YouTube Endodontic Treatment Open Apex the golden rule of endodontic treatment is to remove all the debris, shape the root canal irrigate and obturate the canals efficiently. pdf | when a tooth has an open apex, endodontic treatment is required to close it. the main purpose of endodontic treatment is to accomplish obturation of the root canal space completely and prevention of. Endodontic Treatment Open Apex.
From www.oooojournal.net
Endodontic treatment with MTA of a mandibular first premolar with open Endodontic Treatment Open Apex the main purpose of endodontic treatment is to accomplish obturation of the root canal space completely and prevention of re. Because calcium hydroxide has its drawbacks, calcium. the open apex can be defined as an unusually wide apical foramen of a root, making it challenging to prepare an. the treatment of an immature permanent tooth with a. Endodontic Treatment Open Apex.
From www.youtube.com
calcium hydroxide placement in open apex tooth YouTube Endodontic Treatment Open Apex Because calcium hydroxide has its drawbacks, calcium. the golden rule of endodontic treatment is to remove all the debris, shape the root canal irrigate and obturate the canals efficiently. the main purpose of endodontic treatment is to accomplish obturation of the root canal space completely and prevention of re. pdf | when a tooth has an open. Endodontic Treatment Open Apex.
From www.researchgate.net
(PDF) Endodontic Treatment of a NonVital Tooth with Open Apex and Endodontic Treatment Open Apex the main purpose of endodontic treatment is to accomplish obturation of the root canal space completely and prevention of re. the treatment of an immature permanent tooth with a blunderbuss canal, one of the two types of open apex, can be. the open apex can be defined as an unusually wide apical foramen of a root, making. Endodontic Treatment Open Apex.
From www.smileart.co.nz
Smile Art Dental Management of Open Apex and Internal Bleaching Endodontic Treatment Open Apex the golden rule of endodontic treatment is to remove all the debris, shape the root canal irrigate and obturate the canals efficiently. pdf | when a tooth has an open apex, endodontic treatment is required to close it. this study reports two clinical cases of apical plug placement in teeth with pulp. the treatment of an. Endodontic Treatment Open Apex.
From socal-rootcanal.com
Open Apex (Blunder buss). Archives SoCal Root Canal Endodontic Treatment Open Apex pdf | when a tooth has an open apex, endodontic treatment is required to close it. the golden rule of endodontic treatment is to remove all the debris, shape the root canal irrigate and obturate the canals efficiently. this study reports two clinical cases of apical plug placement in teeth with pulp. the open apex can. Endodontic Treatment Open Apex.
From endodontics.styleitaliano.org
Nonsurgical endodontic retreatment of a maxillary central incisor with Endodontic Treatment Open Apex this study reports two clinical cases of apical plug placement in teeth with pulp. the golden rule of endodontic treatment is to remove all the debris, shape the root canal irrigate and obturate the canals efficiently. the open apex can be defined as an unusually wide apical foramen of a root, making it challenging to prepare an.. Endodontic Treatment Open Apex.
From www.youtube.com
Endodontic regeneration II YouTube Endodontic Treatment Open Apex the treatment of an immature permanent tooth with a blunderbuss canal, one of the two types of open apex, can be. the open apex can be defined as an unusually wide apical foramen of a root, making it challenging to prepare an. this study reports two clinical cases of apical plug placement in teeth with pulp. . Endodontic Treatment Open Apex.
From www.mdpi.com
Bioengineering Free FullText Photobiomodulation Therapy and Pulp Endodontic Treatment Open Apex Because calcium hydroxide has its drawbacks, calcium. pdf | when a tooth has an open apex, endodontic treatment is required to close it. the golden rule of endodontic treatment is to remove all the debris, shape the root canal irrigate and obturate the canals efficiently. the open apex can be defined as an unusually wide apical foramen. Endodontic Treatment Open Apex.
From www.researchgate.net
(PDF) Regenerative Endodontic Treatment as a Retreatment Option for a Endodontic Treatment Open Apex this study reports two clinical cases of apical plug placement in teeth with pulp. the golden rule of endodontic treatment is to remove all the debris, shape the root canal irrigate and obturate the canals efficiently. the treatment of an immature permanent tooth with a blunderbuss canal, one of the two types of open apex, can be.. Endodontic Treatment Open Apex.
From www.youtube.com
COMPLETE ENDODONTIC TREATMENT + DENTAL ASSISTANT video CLINCAL STEP BY Endodontic Treatment Open Apex the open apex can be defined as an unusually wide apical foramen of a root, making it challenging to prepare an. pdf | when a tooth has an open apex, endodontic treatment is required to close it. the golden rule of endodontic treatment is to remove all the debris, shape the root canal irrigate and obturate the. Endodontic Treatment Open Apex.
From www.sdmag.co.uk
Management of the open apex in endodontics Scottish Dental magazine Endodontic Treatment Open Apex Because calcium hydroxide has its drawbacks, calcium. the golden rule of endodontic treatment is to remove all the debris, shape the root canal irrigate and obturate the canals efficiently. pdf | when a tooth has an open apex, endodontic treatment is required to close it. the open apex can be defined as an unusually wide apical foramen. Endodontic Treatment Open Apex.
From www.youtube.com
Endodontic treatment for open apex teeth YouTube Endodontic Treatment Open Apex the treatment of an immature permanent tooth with a blunderbuss canal, one of the two types of open apex, can be. the main purpose of endodontic treatment is to accomplish obturation of the root canal space completely and prevention of re. this study reports two clinical cases of apical plug placement in teeth with pulp. the. Endodontic Treatment Open Apex.
From www.wikidoc.org
Endodontic therapy wikidoc Endodontic Treatment Open Apex the open apex can be defined as an unusually wide apical foramen of a root, making it challenging to prepare an. the treatment of an immature permanent tooth with a blunderbuss canal, one of the two types of open apex, can be. the golden rule of endodontic treatment is to remove all the debris, shape the root. Endodontic Treatment Open Apex.
From idealdentalcare.co.uk
Root Canal Treatment (Endodontic Therapy) Ideal Dental Care Endodontic Treatment Open Apex the main purpose of endodontic treatment is to accomplish obturation of the root canal space completely and prevention of re. the open apex can be defined as an unusually wide apical foramen of a root, making it challenging to prepare an. the treatment of an immature permanent tooth with a blunderbuss canal, one of the two types. Endodontic Treatment Open Apex.
From www.journalijcar.org
Endodontic treatment of a tooth with open apex using triple antibiotic Endodontic Treatment Open Apex this study reports two clinical cases of apical plug placement in teeth with pulp. Because calcium hydroxide has its drawbacks, calcium. pdf | when a tooth has an open apex, endodontic treatment is required to close it. the golden rule of endodontic treatment is to remove all the debris, shape the root canal irrigate and obturate the. Endodontic Treatment Open Apex.
From www.lviglobal.com
Endodontic root canal treatment process. Medically accurate tooth 3D Endodontic Treatment Open Apex the main purpose of endodontic treatment is to accomplish obturation of the root canal space completely and prevention of re. the golden rule of endodontic treatment is to remove all the debris, shape the root canal irrigate and obturate the canals efficiently. the open apex can be defined as an unusually wide apical foramen of a root,. Endodontic Treatment Open Apex.
From www.oooojournal.net
Endodontic treatment with MTA of a mandibular first premolar with open Endodontic Treatment Open Apex the treatment of an immature permanent tooth with a blunderbuss canal, one of the two types of open apex, can be. this study reports two clinical cases of apical plug placement in teeth with pulp. the golden rule of endodontic treatment is to remove all the debris, shape the root canal irrigate and obturate the canals efficiently.. Endodontic Treatment Open Apex.
From rootcanaltreatment.blogspot.com
Endodontics Re rootcanal treatment with open apex central incisor Endodontic Treatment Open Apex the open apex can be defined as an unusually wide apical foramen of a root, making it challenging to prepare an. this study reports two clinical cases of apical plug placement in teeth with pulp. the main purpose of endodontic treatment is to accomplish obturation of the root canal space completely and prevention of re. the. Endodontic Treatment Open Apex.
From www.researchgate.net
(PDF) Endodontic Management of Open Apex Teeth Using Lyophilized Endodontic Treatment Open Apex the golden rule of endodontic treatment is to remove all the debris, shape the root canal irrigate and obturate the canals efficiently. the open apex can be defined as an unusually wide apical foramen of a root, making it challenging to prepare an. Because calcium hydroxide has its drawbacks, calcium. this study reports two clinical cases of. Endodontic Treatment Open Apex.
From dentagama.com
Apexogenesis and apexification News Dentagama Endodontic Treatment Open Apex the treatment of an immature permanent tooth with a blunderbuss canal, one of the two types of open apex, can be. the golden rule of endodontic treatment is to remove all the debris, shape the root canal irrigate and obturate the canals efficiently. this study reports two clinical cases of apical plug placement in teeth with pulp.. Endodontic Treatment Open Apex.
From rootcanaltreatment.blogspot.com
Endodontics Re rootcanal treatment with open apex central incisor Endodontic Treatment Open Apex the main purpose of endodontic treatment is to accomplish obturation of the root canal space completely and prevention of re. the treatment of an immature permanent tooth with a blunderbuss canal, one of the two types of open apex, can be. the golden rule of endodontic treatment is to remove all the debris, shape the root canal. Endodontic Treatment Open Apex.
From endodontics.styleitaliano.org
Open apex management using bioceramics Style Italiano Endodontics Endodontic Treatment Open Apex the main purpose of endodontic treatment is to accomplish obturation of the root canal space completely and prevention of re. the open apex can be defined as an unusually wide apical foramen of a root, making it challenging to prepare an. this study reports two clinical cases of apical plug placement in teeth with pulp. the. Endodontic Treatment Open Apex.
From www.sdmag.co.uk
Management of the open apex in endodontics Scottish Dental magazine Endodontic Treatment Open Apex the main purpose of endodontic treatment is to accomplish obturation of the root canal space completely and prevention of re. the treatment of an immature permanent tooth with a blunderbuss canal, one of the two types of open apex, can be. the golden rule of endodontic treatment is to remove all the debris, shape the root canal. Endodontic Treatment Open Apex.
From endodontics.styleitaliano.org
Endodontic management of a Traumatic Maxillary Central Incisor with Endodontic Treatment Open Apex the main purpose of endodontic treatment is to accomplish obturation of the root canal space completely and prevention of re. the open apex can be defined as an unusually wide apical foramen of a root, making it challenging to prepare an. Because calcium hydroxide has its drawbacks, calcium. pdf | when a tooth has an open apex,. Endodontic Treatment Open Apex.