Bone Sticks Out In Mouth . you’re very familiar with the inside of your mouth, so noticing something unusual can be cause for concern. a bone spur in the gum is also known as exostosis, a bone sequestra, or a bone spicule. The types of possible fragments include tooth pieces, root tips, bone flakes, or remnants of a dental restoration. a torus palatinus is a bony growth that develops on the roof of the mouth. However, there are several treatment options. in the mouth, bone spicules may occur following tooth extraction or other kinds of oral surgery. a bone spur in your mouth can be a painful and annoying problem. a dental bone spur is a sharp bone sticking out of gum that forms along the jawbone or inside the mouth cavity. Some dentists may refer to these as bone sequestra. These growths can vary in shape.
from www.pinterest.com
a dental bone spur is a sharp bone sticking out of gum that forms along the jawbone or inside the mouth cavity. you’re very familiar with the inside of your mouth, so noticing something unusual can be cause for concern. Some dentists may refer to these as bone sequestra. These growths can vary in shape. a bone spur in your mouth can be a painful and annoying problem. The types of possible fragments include tooth pieces, root tips, bone flakes, or remnants of a dental restoration. in the mouth, bone spicules may occur following tooth extraction or other kinds of oral surgery. a bone spur in the gum is also known as exostosis, a bone sequestra, or a bone spicule. a torus palatinus is a bony growth that develops on the roof of the mouth. However, there are several treatment options.
Okay, that's definitely a bone. Dental problems, Jaw bone, Dental
Bone Sticks Out In Mouth a bone spur in the gum is also known as exostosis, a bone sequestra, or a bone spicule. These growths can vary in shape. a dental bone spur is a sharp bone sticking out of gum that forms along the jawbone or inside the mouth cavity. Some dentists may refer to these as bone sequestra. a bone spur in the gum is also known as exostosis, a bone sequestra, or a bone spicule. However, there are several treatment options. in the mouth, bone spicules may occur following tooth extraction or other kinds of oral surgery. The types of possible fragments include tooth pieces, root tips, bone flakes, or remnants of a dental restoration. you’re very familiar with the inside of your mouth, so noticing something unusual can be cause for concern. a bone spur in your mouth can be a painful and annoying problem. a torus palatinus is a bony growth that develops on the roof of the mouth.
From www.istockphoto.com
Scary Skull With Sticking Out Tongue Stock Illustration Download Bone Sticks Out In Mouth a dental bone spur is a sharp bone sticking out of gum that forms along the jawbone or inside the mouth cavity. Some dentists may refer to these as bone sequestra. in the mouth, bone spicules may occur following tooth extraction or other kinds of oral surgery. a torus palatinus is a bony growth that develops on. Bone Sticks Out In Mouth.
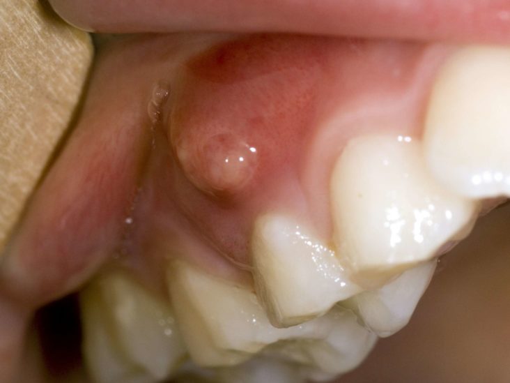
From teethposter.blogspot.com
After Wisdom Teeth Removal Bone Sticking Out Teeth Poster Bone Sticks Out In Mouth a bone spur in the gum is also known as exostosis, a bone sequestra, or a bone spicule. However, there are several treatment options. you’re very familiar with the inside of your mouth, so noticing something unusual can be cause for concern. The types of possible fragments include tooth pieces, root tips, bone flakes, or remnants of a. Bone Sticks Out In Mouth.
From dentagama.com
I can see a bone spur in my gums. What should I do? News Dentagama Bone Sticks Out In Mouth Some dentists may refer to these as bone sequestra. a bone spur in your mouth can be a painful and annoying problem. a torus palatinus is a bony growth that develops on the roof of the mouth. in the mouth, bone spicules may occur following tooth extraction or other kinds of oral surgery. a dental bone. Bone Sticks Out In Mouth.
From quizlet.com
The mouth bones of the hard palate Diagram Quizlet Bone Sticks Out In Mouth Some dentists may refer to these as bone sequestra. you’re very familiar with the inside of your mouth, so noticing something unusual can be cause for concern. a bone spur in the gum is also known as exostosis, a bone sequestra, or a bone spicule. a bone spur in your mouth can be a painful and annoying. Bone Sticks Out In Mouth.
From metro.co.uk
Liberton High School boy found with bones sticking out mouth and neck Bone Sticks Out In Mouth a bone spur in your mouth can be a painful and annoying problem. a bone spur in the gum is also known as exostosis, a bone sequestra, or a bone spicule. you’re very familiar with the inside of your mouth, so noticing something unusual can be cause for concern. However, there are several treatment options. Some dentists. Bone Sticks Out In Mouth.
From www.reddit.com
What does it mean when ur bone sticks out? r/smoking Bone Sticks Out In Mouth However, there are several treatment options. The types of possible fragments include tooth pieces, root tips, bone flakes, or remnants of a dental restoration. a dental bone spur is a sharp bone sticking out of gum that forms along the jawbone or inside the mouth cavity. These growths can vary in shape. a torus palatinus is a bony. Bone Sticks Out In Mouth.
From open.oregonstate.education
23.3 The Mouth, Pharynx, and Esophagus Anatomy & Physiology Bone Sticks Out In Mouth in the mouth, bone spicules may occur following tooth extraction or other kinds of oral surgery. a bone spur in the gum is also known as exostosis, a bone sequestra, or a bone spicule. Some dentists may refer to these as bone sequestra. However, there are several treatment options. a torus palatinus is a bony growth that. Bone Sticks Out In Mouth.
From my.clevelandclinic.org
Prognathism Definition, Causes & Treatment Bone Sticks Out In Mouth The types of possible fragments include tooth pieces, root tips, bone flakes, or remnants of a dental restoration. However, there are several treatment options. a dental bone spur is a sharp bone sticking out of gum that forms along the jawbone or inside the mouth cavity. a bone spur in your mouth can be a painful and annoying. Bone Sticks Out In Mouth.
From tulsaprecisiondental.com
Why Do I Have a Hard Bony Lump on My Gum? Tulsa Precision Dental Bone Sticks Out In Mouth a dental bone spur is a sharp bone sticking out of gum that forms along the jawbone or inside the mouth cavity. a torus palatinus is a bony growth that develops on the roof of the mouth. in the mouth, bone spicules may occur following tooth extraction or other kinds of oral surgery. These growths can vary. Bone Sticks Out In Mouth.
From www.alamy.com
Vector cartoon illustration of a cute puppy dog with a bone in his Bone Sticks Out In Mouth The types of possible fragments include tooth pieces, root tips, bone flakes, or remnants of a dental restoration. a dental bone spur is a sharp bone sticking out of gum that forms along the jawbone or inside the mouth cavity. you’re very familiar with the inside of your mouth, so noticing something unusual can be cause for concern.. Bone Sticks Out In Mouth.
From wallpapersgalleryin.blogspot.com
Tongue Anatomy Wallpapers Galery Bone Sticks Out In Mouth However, there are several treatment options. a bone spur in the gum is also known as exostosis, a bone sequestra, or a bone spicule. These growths can vary in shape. The types of possible fragments include tooth pieces, root tips, bone flakes, or remnants of a dental restoration. a dental bone spur is a sharp bone sticking out. Bone Sticks Out In Mouth.
From www.reddit.com
Bone sticking out/showing on gums. r/Dentistry Bone Sticks Out In Mouth The types of possible fragments include tooth pieces, root tips, bone flakes, or remnants of a dental restoration. a dental bone spur is a sharp bone sticking out of gum that forms along the jawbone or inside the mouth cavity. These growths can vary in shape. a torus palatinus is a bony growth that develops on the roof. Bone Sticks Out In Mouth.
From nl.pinterest.com
Pin on Mundhygiene Bone Sticks Out In Mouth a torus palatinus is a bony growth that develops on the roof of the mouth. These growths can vary in shape. in the mouth, bone spicules may occur following tooth extraction or other kinds of oral surgery. The types of possible fragments include tooth pieces, root tips, bone flakes, or remnants of a dental restoration. Some dentists may. Bone Sticks Out In Mouth.
From www.reddit.com
Bone spur pulled out of my gums. r/mildlyinteresting Bone Sticks Out In Mouth you’re very familiar with the inside of your mouth, so noticing something unusual can be cause for concern. However, there are several treatment options. in the mouth, bone spicules may occur following tooth extraction or other kinds of oral surgery. The types of possible fragments include tooth pieces, root tips, bone flakes, or remnants of a dental restoration.. Bone Sticks Out In Mouth.
From www.entclinic.sg
Fish bones, throat ENT Clinic Bone Sticks Out In Mouth However, there are several treatment options. a bone spur in your mouth can be a painful and annoying problem. Some dentists may refer to these as bone sequestra. in the mouth, bone spicules may occur following tooth extraction or other kinds of oral surgery. you’re very familiar with the inside of your mouth, so noticing something unusual. Bone Sticks Out In Mouth.
From www.reddit.com
Does this look like atrophy? Dents in both hands. And one side has more Bone Sticks Out In Mouth Some dentists may refer to these as bone sequestra. a torus palatinus is a bony growth that develops on the roof of the mouth. a dental bone spur is a sharp bone sticking out of gum that forms along the jawbone or inside the mouth cavity. a bone spur in your mouth can be a painful and. Bone Sticks Out In Mouth.
From 247dental.org
6 Reasons You Need Emergency Tooth Extraction (Even If You Don’t Want Bone Sticks Out In Mouth in the mouth, bone spicules may occur following tooth extraction or other kinds of oral surgery. a bone spur in the gum is also known as exostosis, a bone sequestra, or a bone spicule. Some dentists may refer to these as bone sequestra. you’re very familiar with the inside of your mouth, so noticing something unusual can. Bone Sticks Out In Mouth.
From www.deviantart.com
Bone sticking out by Haros98 on DeviantArt Bone Sticks Out In Mouth you’re very familiar with the inside of your mouth, so noticing something unusual can be cause for concern. However, there are several treatment options. a torus palatinus is a bony growth that develops on the roof of the mouth. a bone spur in your mouth can be a painful and annoying problem. a bone spur in. Bone Sticks Out In Mouth.
From www.reddit.com
Hip bone sticking out r/PostureTipsGuide Bone Sticks Out In Mouth a torus palatinus is a bony growth that develops on the roof of the mouth. you’re very familiar with the inside of your mouth, so noticing something unusual can be cause for concern. These growths can vary in shape. a bone spur in your mouth can be a painful and annoying problem. However, there are several treatment. Bone Sticks Out In Mouth.
From srkapgzfwkxbf.blogspot.com
Back Bones Stick Out 5 month old baby's occipital bone sticks out Bone Sticks Out In Mouth Some dentists may refer to these as bone sequestra. The types of possible fragments include tooth pieces, root tips, bone flakes, or remnants of a dental restoration. a torus palatinus is a bony growth that develops on the roof of the mouth. a bone spur in your mouth can be a painful and annoying problem. a dental. Bone Sticks Out In Mouth.
From www.pinterest.com
Okay, that's definitely a bone. Dental problems, Jaw bone, Dental Bone Sticks Out In Mouth These growths can vary in shape. However, there are several treatment options. Some dentists may refer to these as bone sequestra. a torus palatinus is a bony growth that develops on the roof of the mouth. a dental bone spur is a sharp bone sticking out of gum that forms along the jawbone or inside the mouth cavity.. Bone Sticks Out In Mouth.
From courses.lumenlearning.com
The Mouth, Pharynx, and Esophagus A & P 1/2 Bone Sticks Out In Mouth The types of possible fragments include tooth pieces, root tips, bone flakes, or remnants of a dental restoration. a dental bone spur is a sharp bone sticking out of gum that forms along the jawbone or inside the mouth cavity. These growths can vary in shape. a bone spur in the gum is also known as exostosis, a. Bone Sticks Out In Mouth.
From www.reddit.com
Does anyone know why these bones stick out and any way to fix it? They Bone Sticks Out In Mouth a dental bone spur is a sharp bone sticking out of gum that forms along the jawbone or inside the mouth cavity. The types of possible fragments include tooth pieces, root tips, bone flakes, or remnants of a dental restoration. However, there are several treatment options. These growths can vary in shape. in the mouth, bone spicules may. Bone Sticks Out In Mouth.
From infinitydentalclinic.co.uk
Gum disease and bone loss Infinity Dental Clinic Blog Bone Sticks Out In Mouth Some dentists may refer to these as bone sequestra. These growths can vary in shape. you’re very familiar with the inside of your mouth, so noticing something unusual can be cause for concern. a bone spur in your mouth can be a painful and annoying problem. However, there are several treatment options. The types of possible fragments include. Bone Sticks Out In Mouth.
From www.facialart.com
Lingual sharp exposed painful bony dehiscence sequestrectomy from Bone Sticks Out In Mouth in the mouth, bone spicules may occur following tooth extraction or other kinds of oral surgery. a dental bone spur is a sharp bone sticking out of gum that forms along the jawbone or inside the mouth cavity. Some dentists may refer to these as bone sequestra. These growths can vary in shape. The types of possible fragments. Bone Sticks Out In Mouth.
From www.emergencydentistsusa.com
Gum Boils What They Are, What Causes Them & What to Do About Them Bone Sticks Out In Mouth a torus palatinus is a bony growth that develops on the roof of the mouth. However, there are several treatment options. a bone spur in your mouth can be a painful and annoying problem. a dental bone spur is a sharp bone sticking out of gum that forms along the jawbone or inside the mouth cavity. . Bone Sticks Out In Mouth.
From dolpxy.com
Bone Spur in Mouth Bone Sticks Out In Mouth The types of possible fragments include tooth pieces, root tips, bone flakes, or remnants of a dental restoration. a bone spur in your mouth can be a painful and annoying problem. you’re very familiar with the inside of your mouth, so noticing something unusual can be cause for concern. Some dentists may refer to these as bone sequestra.. Bone Sticks Out In Mouth.
From ar.inspiredpencil.com
Clavicle Bone Sticking Out Bone Sticks Out In Mouth These growths can vary in shape. a bone spur in the gum is also known as exostosis, a bone sequestra, or a bone spicule. Some dentists may refer to these as bone sequestra. a dental bone spur is a sharp bone sticking out of gum that forms along the jawbone or inside the mouth cavity. However, there are. Bone Sticks Out In Mouth.
From www.animalia-life.club
Coccyx Bone Sticking Out Bone Sticks Out In Mouth Some dentists may refer to these as bone sequestra. you’re very familiar with the inside of your mouth, so noticing something unusual can be cause for concern. a dental bone spur is a sharp bone sticking out of gum that forms along the jawbone or inside the mouth cavity. However, there are several treatment options. a torus. Bone Sticks Out In Mouth.
From www.reddit.com
I've got too many bones in my mouth r/mildlyinteresting Bone Sticks Out In Mouth However, there are several treatment options. in the mouth, bone spicules may occur following tooth extraction or other kinds of oral surgery. you’re very familiar with the inside of your mouth, so noticing something unusual can be cause for concern. These growths can vary in shape. Some dentists may refer to these as bone sequestra. a bone. Bone Sticks Out In Mouth.
From www.youtube.com
Correct teeth that stick out easily and affordably from home YouTube Bone Sticks Out In Mouth a bone spur in the gum is also known as exostosis, a bone sequestra, or a bone spicule. you’re very familiar with the inside of your mouth, so noticing something unusual can be cause for concern. a dental bone spur is a sharp bone sticking out of gum that forms along the jawbone or inside the mouth. Bone Sticks Out In Mouth.
From dentagama.com
I can see a bone spur in my gums. What should I do? News Dentagama Bone Sticks Out In Mouth The types of possible fragments include tooth pieces, root tips, bone flakes, or remnants of a dental restoration. Some dentists may refer to these as bone sequestra. a bone spur in your mouth can be a painful and annoying problem. a torus palatinus is a bony growth that develops on the roof of the mouth. a dental. Bone Sticks Out In Mouth.
From www.codenspecialists.com
Dental Treatment Bone Grafting Coden Specialists Bone Sticks Out In Mouth a bone spur in the gum is also known as exostosis, a bone sequestra, or a bone spicule. The types of possible fragments include tooth pieces, root tips, bone flakes, or remnants of a dental restoration. However, there are several treatment options. you’re very familiar with the inside of your mouth, so noticing something unusual can be cause. Bone Sticks Out In Mouth.
From www.turbosquid.com
3D mouth bones gums anatomy model TurboSquid 1534221 Bone Sticks Out In Mouth However, there are several treatment options. a bone spur in your mouth can be a painful and annoying problem. a bone spur in the gum is also known as exostosis, a bone sequestra, or a bone spicule. a dental bone spur is a sharp bone sticking out of gum that forms along the jawbone or inside the. Bone Sticks Out In Mouth.
From dentagama.com
What are mandibular tori? News Dentagama Bone Sticks Out In Mouth a bone spur in your mouth can be a painful and annoying problem. in the mouth, bone spicules may occur following tooth extraction or other kinds of oral surgery. However, there are several treatment options. a bone spur in the gum is also known as exostosis, a bone sequestra, or a bone spicule. The types of possible. Bone Sticks Out In Mouth.