What To Do With Broken Humerus . During this time, you will do. Not apply ice to an open wound. Where you can feel hot and cold. Use your sling for 6 weeks including in bed at night. only use an ice pack on areas that have normal skin sensation i.e. Most broken shoulders can be treated without surgery. Read about how to diagnose and treat a. humerus fractures are usually caused by traumas like car accidents or falls. the main aim of treatment is to prevent stiffness, reduce pain and restore function. It takes three to four months for the bone to heal. taking pain medication and using ice or cold packs will help. a fractured humerus is common and may result from injury. If you break your humerus, you might need. if you have a fractured humerus you will have a collar and cuff which may include a plaster or brace depending on where the. It can take 6 to 12 weeks for your fracture to.
from mavink.com
During this time, you will do. Read about how to diagnose and treat a. taking pain medication and using ice or cold packs will help. Use your sling for 6 weeks including in bed at night. Where you can feel hot and cold. only use an ice pack on areas that have normal skin sensation i.e. It takes three to four months for the bone to heal. the main aim of treatment is to prevent stiffness, reduce pain and restore function. Most broken shoulders can be treated without surgery. if you have a fractured humerus you will have a collar and cuff which may include a plaster or brace depending on where the.
Broken Humerus Bone Healing Stages
What To Do With Broken Humerus Not apply ice to an open wound. Read about how to diagnose and treat a. If you break your humerus, you might need. Where you can feel hot and cold. Not apply ice to an open wound. humerus fractures are usually caused by traumas like car accidents or falls. only use an ice pack on areas that have normal skin sensation i.e. Use your sling for 6 weeks including in bed at night. It takes three to four months for the bone to heal. a fractured humerus is common and may result from injury. It can take 6 to 12 weeks for your fracture to. if you have a fractured humerus you will have a collar and cuff which may include a plaster or brace depending on where the. taking pain medication and using ice or cold packs will help. the main aim of treatment is to prevent stiffness, reduce pain and restore function. Most broken shoulders can be treated without surgery. During this time, you will do.
From www.verywellhealth.com
Proximal, MidShaft, and Distal Humerus Fractures What To Do With Broken Humerus a fractured humerus is common and may result from injury. During this time, you will do. if you have a fractured humerus you will have a collar and cuff which may include a plaster or brace depending on where the. Most broken shoulders can be treated without surgery. only use an ice pack on areas that have. What To Do With Broken Humerus.
From rehab-faq.com
How To Rehab A Broken Humerus What To Do With Broken Humerus humerus fractures are usually caused by traumas like car accidents or falls. Not apply ice to an open wound. the main aim of treatment is to prevent stiffness, reduce pain and restore function. only use an ice pack on areas that have normal skin sensation i.e. Where you can feel hot and cold. Most broken shoulders can. What To Do With Broken Humerus.
From www.verywellhealth.com
MidShaft Humerus Fracture Treatment What To Do With Broken Humerus Use your sling for 6 weeks including in bed at night. Read about how to diagnose and treat a. Most broken shoulders can be treated without surgery. It can take 6 to 12 weeks for your fracture to. the main aim of treatment is to prevent stiffness, reduce pain and restore function. taking pain medication and using ice. What To Do With Broken Humerus.
From windsorupperlimb.com
Humeral Shaft Fracture Fixation What To Do With Broken Humerus a fractured humerus is common and may result from injury. Where you can feel hot and cold. the main aim of treatment is to prevent stiffness, reduce pain and restore function. if you have a fractured humerus you will have a collar and cuff which may include a plaster or brace depending on where the. Use your. What To Do With Broken Humerus.
From en.wikipedia.org
Proximal humerus fracture Wikipedia What To Do With Broken Humerus taking pain medication and using ice or cold packs will help. Use your sling for 6 weeks including in bed at night. Most broken shoulders can be treated without surgery. It takes three to four months for the bone to heal. a fractured humerus is common and may result from injury. Where you can feel hot and cold.. What To Do With Broken Humerus.
From kinedarbois.fr
Humerus Fracture Whats is the Recovery Time? Physio'Advice What To Do With Broken Humerus Where you can feel hot and cold. It can take 6 to 12 weeks for your fracture to. if you have a fractured humerus you will have a collar and cuff which may include a plaster or brace depending on where the. the main aim of treatment is to prevent stiffness, reduce pain and restore function. If you. What To Do With Broken Humerus.
From mungfali.com
Proximal Humerus Fracture Exercises What To Do With Broken Humerus if you have a fractured humerus you will have a collar and cuff which may include a plaster or brace depending on where the. It takes three to four months for the bone to heal. humerus fractures are usually caused by traumas like car accidents or falls. It can take 6 to 12 weeks for your fracture to.. What To Do With Broken Humerus.
From www.orthobullets.com
Proximal Humerus Fractures Trauma What To Do With Broken Humerus humerus fractures are usually caused by traumas like car accidents or falls. Where you can feel hot and cold. the main aim of treatment is to prevent stiffness, reduce pain and restore function. a fractured humerus is common and may result from injury. taking pain medication and using ice or cold packs will help. During this. What To Do With Broken Humerus.
From www.sports-health.com
Treating a Proximal Humerus Fracture What To Do With Broken Humerus if you have a fractured humerus you will have a collar and cuff which may include a plaster or brace depending on where the. Read about how to diagnose and treat a. It takes three to four months for the bone to heal. taking pain medication and using ice or cold packs will help. If you break your. What To Do With Broken Humerus.
From medium.com
A Broken Humerus — Road to Recovery Maddie Wirthman Medium What To Do With Broken Humerus It can take 6 to 12 weeks for your fracture to. if you have a fractured humerus you will have a collar and cuff which may include a plaster or brace depending on where the. Most broken shoulders can be treated without surgery. Not apply ice to an open wound. Use your sling for 6 weeks including in bed. What To Do With Broken Humerus.
From teachmesurgery.com
Humeral Shaft Fracture TeachMeSurgery What To Do With Broken Humerus Not apply ice to an open wound. Where you can feel hot and cold. Read about how to diagnose and treat a. a fractured humerus is common and may result from injury. taking pain medication and using ice or cold packs will help. If you break your humerus, you might need. Most broken shoulders can be treated without. What To Do With Broken Humerus.
From www.braceability.com
Sarmiento Brace Humeral Fracture Broken Upper Arm Splint What To Do With Broken Humerus If you break your humerus, you might need. Where you can feel hot and cold. Use your sling for 6 weeks including in bed at night. a fractured humerus is common and may result from injury. Read about how to diagnose and treat a. taking pain medication and using ice or cold packs will help. humerus fractures. What To Do With Broken Humerus.
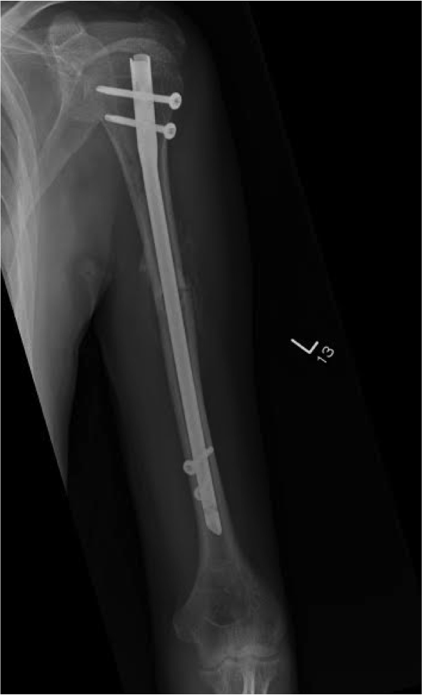
From www.drtusharchaudhari.com
Fracture of humerus successfully fixed by Dr.Tusha What To Do With Broken Humerus the main aim of treatment is to prevent stiffness, reduce pain and restore function. If you break your humerus, you might need. It can take 6 to 12 weeks for your fracture to. if you have a fractured humerus you will have a collar and cuff which may include a plaster or brace depending on where the. Not. What To Do With Broken Humerus.
From pathologies.lexmedicus.com.au
Proximal humerus fracture What To Do With Broken Humerus the main aim of treatment is to prevent stiffness, reduce pain and restore function. only use an ice pack on areas that have normal skin sensation i.e. humerus fractures are usually caused by traumas like car accidents or falls. Not apply ice to an open wound. It can take 6 to 12 weeks for your fracture to.. What To Do With Broken Humerus.
From coreem.net
Proximal Humerus Fracture Core EM What To Do With Broken Humerus It can take 6 to 12 weeks for your fracture to. humerus fractures are usually caused by traumas like car accidents or falls. Most broken shoulders can be treated without surgery. During this time, you will do. taking pain medication and using ice or cold packs will help. Read about how to diagnose and treat a. Where you. What To Do With Broken Humerus.
From plasterroom.bradfordhospitals.nhs.uk
Humeral brace Plaster Room What To Do With Broken Humerus if you have a fractured humerus you will have a collar and cuff which may include a plaster or brace depending on where the. the main aim of treatment is to prevent stiffness, reduce pain and restore function. Read about how to diagnose and treat a. humerus fractures are usually caused by traumas like car accidents or. What To Do With Broken Humerus.
From medium.com
A Broken Humerus — Road to Recovery by Maddie Wirthman Medium What To Do With Broken Humerus Use your sling for 6 weeks including in bed at night. Most broken shoulders can be treated without surgery. It takes three to four months for the bone to heal. It can take 6 to 12 weeks for your fracture to. humerus fractures are usually caused by traumas like car accidents or falls. During this time, you will do.. What To Do With Broken Humerus.
From www.autoaccident.com
Humeral Shaft Fractures What To Do With Broken Humerus During this time, you will do. Read about how to diagnose and treat a. If you break your humerus, you might need. a fractured humerus is common and may result from injury. if you have a fractured humerus you will have a collar and cuff which may include a plaster or brace depending on where the. only. What To Do With Broken Humerus.
From orthofixar.com
Proximal Humerus Fracture • Easy Explained OrthoFixar 2024 What To Do With Broken Humerus It takes three to four months for the bone to heal. Most broken shoulders can be treated without surgery. Where you can feel hot and cold. Read about how to diagnose and treat a. Use your sling for 6 weeks including in bed at night. Not apply ice to an open wound. During this time, you will do. if. What To Do With Broken Humerus.
From www.schreibermd.com
Humerus Fracture — Joseph J. Schreiber, MD What To Do With Broken Humerus Use your sling for 6 weeks including in bed at night. if you have a fractured humerus you will have a collar and cuff which may include a plaster or brace depending on where the. humerus fractures are usually caused by traumas like car accidents or falls. taking pain medication and using ice or cold packs will. What To Do With Broken Humerus.
From www.youtube.com
How to Rehab a Humeral Fracture YouTube What To Do With Broken Humerus only use an ice pack on areas that have normal skin sensation i.e. It can take 6 to 12 weeks for your fracture to. It takes three to four months for the bone to heal. the main aim of treatment is to prevent stiffness, reduce pain and restore function. Not apply ice to an open wound. During this. What To Do With Broken Humerus.
From www.topdoctors.co.uk
Fractured humerus what is it, symptoms and treatment Top Doctors What To Do With Broken Humerus Not apply ice to an open wound. the main aim of treatment is to prevent stiffness, reduce pain and restore function. humerus fractures are usually caused by traumas like car accidents or falls. If you break your humerus, you might need. Most broken shoulders can be treated without surgery. Where you can feel hot and cold. only. What To Do With Broken Humerus.
From heidenortho.com
How Long Does It Take a Humerus Fracture To Heal? Heiden Orthopedics What To Do With Broken Humerus Where you can feel hot and cold. It takes three to four months for the bone to heal. Not apply ice to an open wound. a fractured humerus is common and may result from injury. taking pain medication and using ice or cold packs will help. Most broken shoulders can be treated without surgery. only use an. What To Do With Broken Humerus.
From www.pinterest.com
A Broken Humerus — Road to Recovery Broken arm, Humerus fracture What To Do With Broken Humerus humerus fractures are usually caused by traumas like car accidents or falls. Where you can feel hot and cold. It can take 6 to 12 weeks for your fracture to. Read about how to diagnose and treat a. if you have a fractured humerus you will have a collar and cuff which may include a plaster or brace. What To Do With Broken Humerus.
From www.youtube.com
Sarmiento Brace Humeral Fracture Splint and Upper Arm Support for What To Do With Broken Humerus a fractured humerus is common and may result from injury. It takes three to four months for the bone to heal. Where you can feel hot and cold. if you have a fractured humerus you will have a collar and cuff which may include a plaster or brace depending on where the. humerus fractures are usually caused. What To Do With Broken Humerus.
From healthjade.net
Spiral fracture definition, causes, symptoms, treatment & recovery time What To Do With Broken Humerus Read about how to diagnose and treat a. Most broken shoulders can be treated without surgery. Use your sling for 6 weeks including in bed at night. If you break your humerus, you might need. Not apply ice to an open wound. humerus fractures are usually caused by traumas like car accidents or falls. During this time, you will. What To Do With Broken Humerus.
From mavink.com
Broken Humerus Bone Healing Stages What To Do With Broken Humerus a fractured humerus is common and may result from injury. Use your sling for 6 weeks including in bed at night. Read about how to diagnose and treat a. During this time, you will do. humerus fractures are usually caused by traumas like car accidents or falls. only use an ice pack on areas that have normal. What To Do With Broken Humerus.
From www.wikidoc.org
Humerus fracture wikidoc What To Do With Broken Humerus the main aim of treatment is to prevent stiffness, reduce pain and restore function. Most broken shoulders can be treated without surgery. It takes three to four months for the bone to heal. If you break your humerus, you might need. Not apply ice to an open wound. a fractured humerus is common and may result from injury.. What To Do With Broken Humerus.
From phoenixrehabgroup.com
Humerus Fracture Physiotherapy Phoenix Rehab Singapore What To Do With Broken Humerus It takes three to four months for the bone to heal. It can take 6 to 12 weeks for your fracture to. a fractured humerus is common and may result from injury. humerus fractures are usually caused by traumas like car accidents or falls. the main aim of treatment is to prevent stiffness, reduce pain and restore. What To Do With Broken Humerus.
From www.orthobullets.com
Humeral Shaft Fractures Trauma Orthobullets What To Do With Broken Humerus taking pain medication and using ice or cold packs will help. Where you can feel hot and cold. Read about how to diagnose and treat a. It takes three to four months for the bone to heal. Most broken shoulders can be treated without surgery. It can take 6 to 12 weeks for your fracture to. only use. What To Do With Broken Humerus.
From medium.com
A Broken Humerus — Road to Recovery by Maddie Wirthman Medium What To Do With Broken Humerus only use an ice pack on areas that have normal skin sensation i.e. Not apply ice to an open wound. It takes three to four months for the bone to heal. a fractured humerus is common and may result from injury. Most broken shoulders can be treated without surgery. taking pain medication and using ice or cold. What To Do With Broken Humerus.
From www.epainassist.com
Proximal Humerus Fracture Treatment, Exercises, Causes, Symptoms What To Do With Broken Humerus Not apply ice to an open wound. It can take 6 to 12 weeks for your fracture to. humerus fractures are usually caused by traumas like car accidents or falls. only use an ice pack on areas that have normal skin sensation i.e. Use your sling for 6 weeks including in bed at night. Where you can feel. What To Do With Broken Humerus.
From otanci.com
Humerus Fracture Types, Symptoms & Treatment (2023) What To Do With Broken Humerus If you break your humerus, you might need. Not apply ice to an open wound. Use your sling for 6 weeks including in bed at night. Read about how to diagnose and treat a. Most broken shoulders can be treated without surgery. Where you can feel hot and cold. a fractured humerus is common and may result from injury.. What To Do With Broken Humerus.
From www.youtube.com
Humerus Fractures Everything You Need To Know Dr. Nabil Ebraheim What To Do With Broken Humerus Not apply ice to an open wound. Where you can feel hot and cold. It takes three to four months for the bone to heal. Use your sling for 6 weeks including in bed at night. a fractured humerus is common and may result from injury. humerus fractures are usually caused by traumas like car accidents or falls.. What To Do With Broken Humerus.
From drcetinisik.com
Humerus fracture; From diagnosis to treatment Dr. What's wrong with you? What To Do With Broken Humerus Where you can feel hot and cold. the main aim of treatment is to prevent stiffness, reduce pain and restore function. It can take 6 to 12 weeks for your fracture to. Not apply ice to an open wound. During this time, you will do. only use an ice pack on areas that have normal skin sensation i.e.. What To Do With Broken Humerus.