Horseshoe Kidney Tumor . We undertook this study to discuss various anomalies associated. — patients with horseshoe kidneys are at increased risk for upj obstructions, nephrolithiasis, vesicoureteral reflux, urinary tract infections,. horseshoe kidney (hsk) is a common renal fusion anomaly. surgical management of horseshoe kidney tumors is complex, but feasible through both open and minimally invasive surgery after meticulous. The tumor can localized at any part of the. — rcc is the most common neoplasm associated with horseshoe kidney. — horseshoe kidney is a rare condition where the kidneys fuse together at their base, forming a u or horseshoe.
from www.researchgate.net
— horseshoe kidney is a rare condition where the kidneys fuse together at their base, forming a u or horseshoe. We undertook this study to discuss various anomalies associated. — patients with horseshoe kidneys are at increased risk for upj obstructions, nephrolithiasis, vesicoureteral reflux, urinary tract infections,. — rcc is the most common neoplasm associated with horseshoe kidney. The tumor can localized at any part of the. horseshoe kidney (hsk) is a common renal fusion anomaly. surgical management of horseshoe kidney tumors is complex, but feasible through both open and minimally invasive surgery after meticulous.
35yearold man with proved carcinoid tumor of horseshoe kidney A
Horseshoe Kidney Tumor — rcc is the most common neoplasm associated with horseshoe kidney. surgical management of horseshoe kidney tumors is complex, but feasible through both open and minimally invasive surgery after meticulous. — horseshoe kidney is a rare condition where the kidneys fuse together at their base, forming a u or horseshoe. The tumor can localized at any part of the. horseshoe kidney (hsk) is a common renal fusion anomaly. We undertook this study to discuss various anomalies associated. — rcc is the most common neoplasm associated with horseshoe kidney. — patients with horseshoe kidneys are at increased risk for upj obstructions, nephrolithiasis, vesicoureteral reflux, urinary tract infections,.
From www.researchgate.net
(PDF) Partial open tumorectomy for a renal tumor in a horseshoe kidney Horseshoe Kidney Tumor surgical management of horseshoe kidney tumors is complex, but feasible through both open and minimally invasive surgery after meticulous. horseshoe kidney (hsk) is a common renal fusion anomaly. — rcc is the most common neoplasm associated with horseshoe kidney. — horseshoe kidney is a rare condition where the kidneys fuse together at their base, forming a. Horseshoe Kidney Tumor.
From www.researchgate.net
(PDF) Partial nephrectomy in horseshoe kidney Primary carcinoid tumor Horseshoe Kidney Tumor — rcc is the most common neoplasm associated with horseshoe kidney. — horseshoe kidney is a rare condition where the kidneys fuse together at their base, forming a u or horseshoe. — patients with horseshoe kidneys are at increased risk for upj obstructions, nephrolithiasis, vesicoureteral reflux, urinary tract infections,. surgical management of horseshoe kidney tumors is. Horseshoe Kidney Tumor.
From www.mayoclinicproceedings.org
Primary Renal WellDifferentiated Neuroendocrine Tumor (Carcinoid) in a Horseshoe Kidney Tumor horseshoe kidney (hsk) is a common renal fusion anomaly. — patients with horseshoe kidneys are at increased risk for upj obstructions, nephrolithiasis, vesicoureteral reflux, urinary tract infections,. We undertook this study to discuss various anomalies associated. — rcc is the most common neoplasm associated with horseshoe kidney. surgical management of horseshoe kidney tumors is complex, but. Horseshoe Kidney Tumor.
From www.researchgate.net
(PDF) Retroperitoneoscopic Partial Nephrectomy for a Horseshoe Kidney Tumor Horseshoe Kidney Tumor — patients with horseshoe kidneys are at increased risk for upj obstructions, nephrolithiasis, vesicoureteral reflux, urinary tract infections,. horseshoe kidney (hsk) is a common renal fusion anomaly. surgical management of horseshoe kidney tumors is complex, but feasible through both open and minimally invasive surgery after meticulous. — rcc is the most common neoplasm associated with horseshoe. Horseshoe Kidney Tumor.
From www.eurorad.org
Wilms tumor in a horseshoe kidney with intracaval extension Eurorad Horseshoe Kidney Tumor — patients with horseshoe kidneys are at increased risk for upj obstructions, nephrolithiasis, vesicoureteral reflux, urinary tract infections,. We undertook this study to discuss various anomalies associated. — rcc is the most common neoplasm associated with horseshoe kidney. surgical management of horseshoe kidney tumors is complex, but feasible through both open and minimally invasive surgery after meticulous.. Horseshoe Kidney Tumor.
From www.semanticscholar.org
Figure 1 from Wilms' Tumor in a Horseshoe Kidney Semantic Scholar Horseshoe Kidney Tumor — horseshoe kidney is a rare condition where the kidneys fuse together at their base, forming a u or horseshoe. The tumor can localized at any part of the. surgical management of horseshoe kidney tumors is complex, but feasible through both open and minimally invasive surgery after meticulous. horseshoe kidney (hsk) is a common renal fusion anomaly.. Horseshoe Kidney Tumor.
From www.researchgate.net
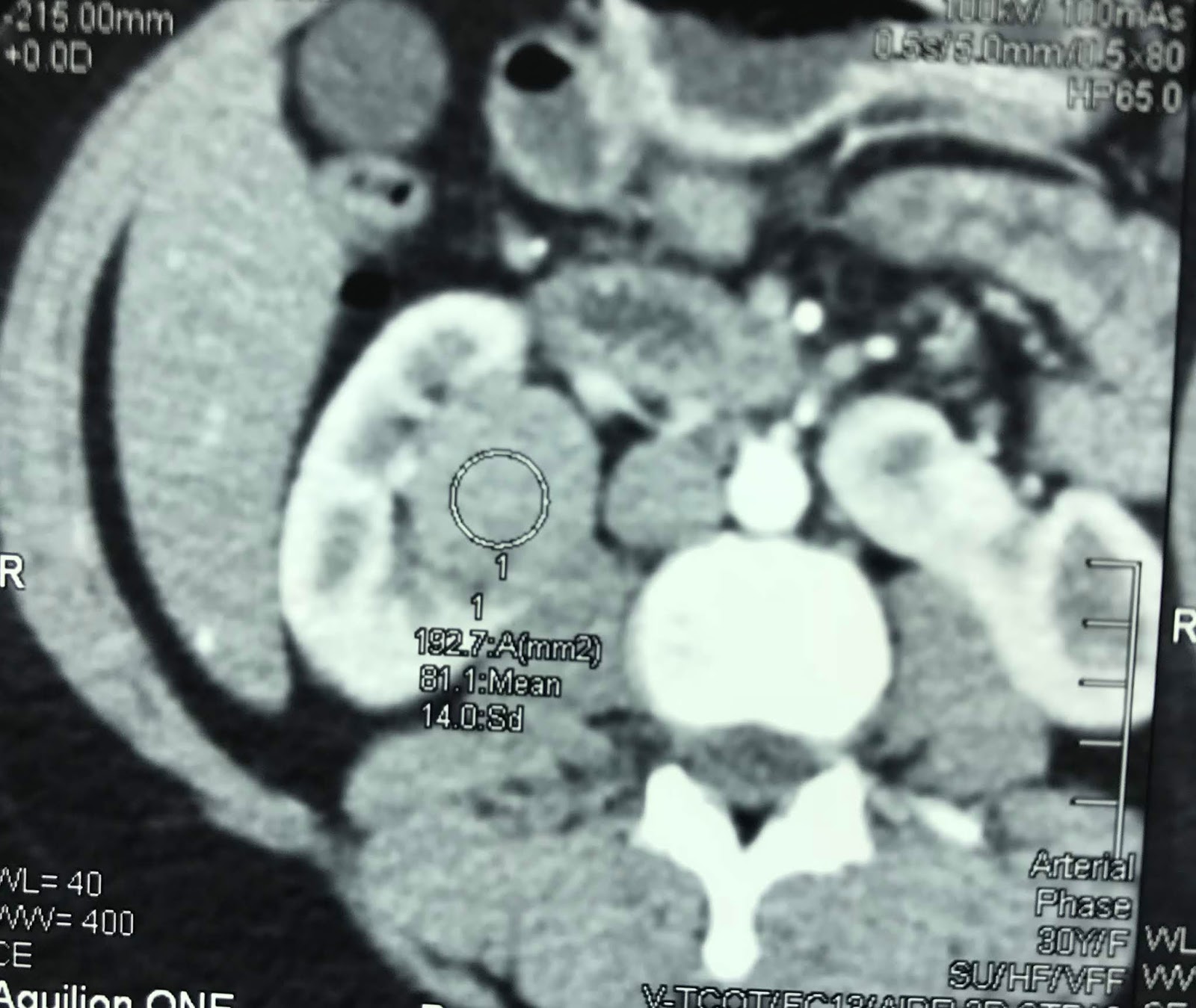
CT image of the tumor in the horseshoe kidney. Download Scientific Horseshoe Kidney Tumor — rcc is the most common neoplasm associated with horseshoe kidney. The tumor can localized at any part of the. — patients with horseshoe kidneys are at increased risk for upj obstructions, nephrolithiasis, vesicoureteral reflux, urinary tract infections,. We undertook this study to discuss various anomalies associated. surgical management of horseshoe kidney tumors is complex, but feasible. Horseshoe Kidney Tumor.
From www.researchgate.net
(a, b) Imaging findings of a right renal tumor in horseshoe kidney Horseshoe Kidney Tumor — patients with horseshoe kidneys are at increased risk for upj obstructions, nephrolithiasis, vesicoureteral reflux, urinary tract infections,. The tumor can localized at any part of the. horseshoe kidney (hsk) is a common renal fusion anomaly. We undertook this study to discuss various anomalies associated. — rcc is the most common neoplasm associated with horseshoe kidney. . Horseshoe Kidney Tumor.
From www.researchgate.net
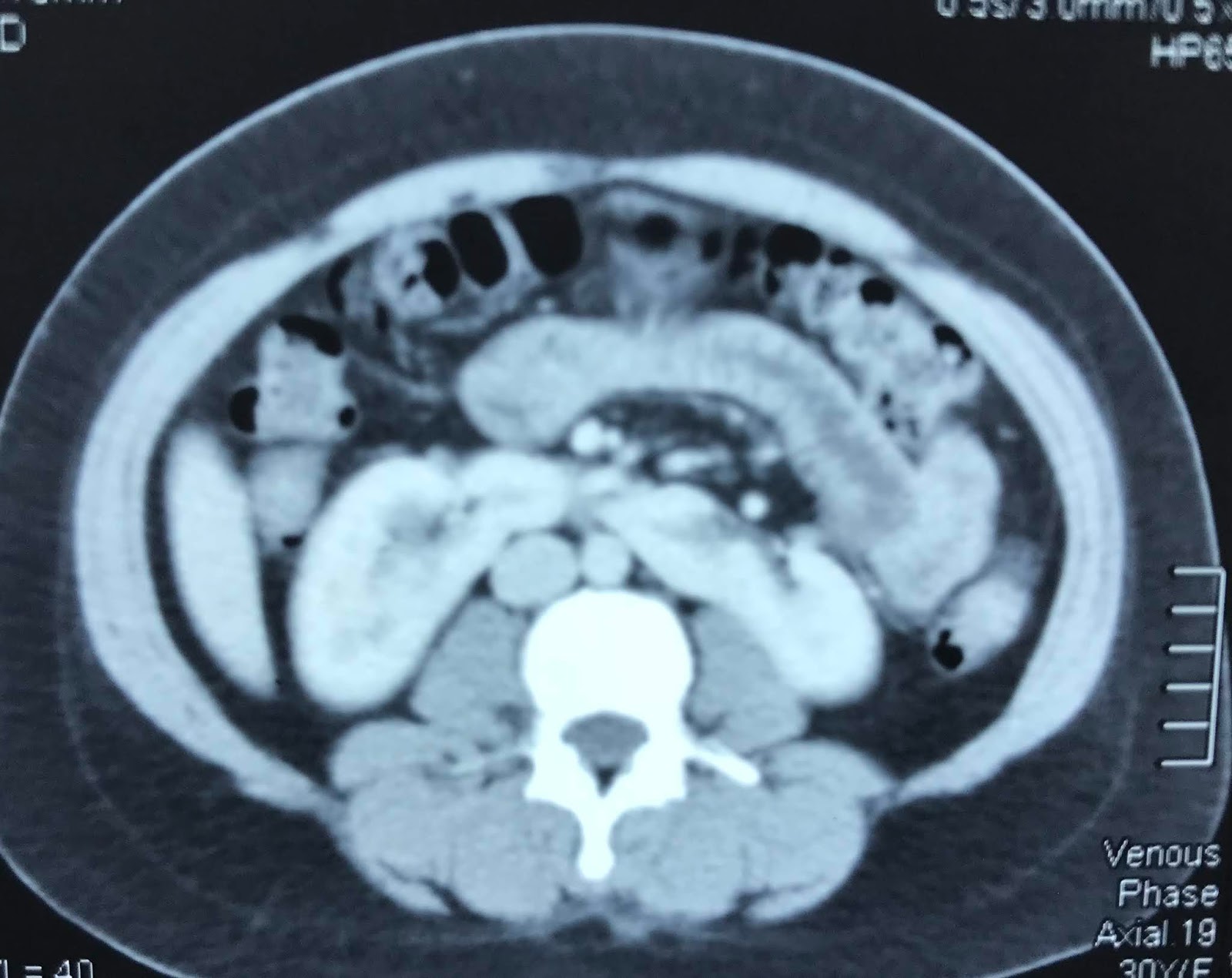
Transverse sectional view of the tumor in the right horseshoe kidney on Horseshoe Kidney Tumor — patients with horseshoe kidneys are at increased risk for upj obstructions, nephrolithiasis, vesicoureteral reflux, urinary tract infections,. We undertook this study to discuss various anomalies associated. — horseshoe kidney is a rare condition where the kidneys fuse together at their base, forming a u or horseshoe. surgical management of horseshoe kidney tumors is complex, but feasible. Horseshoe Kidney Tumor.
From www.ultrasoundmedicvn.com
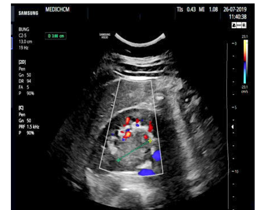
VIETNAMESE MEDIC ULTRASOUND CASE 560 TUMOR IN HORSESHOE KIDNEY, Dr Horseshoe Kidney Tumor — horseshoe kidney is a rare condition where the kidneys fuse together at their base, forming a u or horseshoe. The tumor can localized at any part of the. surgical management of horseshoe kidney tumors is complex, but feasible through both open and minimally invasive surgery after meticulous. horseshoe kidney (hsk) is a common renal fusion anomaly.. Horseshoe Kidney Tumor.
From www.researchgate.net
(PDF) Pseudomyxoma extraperitonei in horseshoe kidney masquerading as Horseshoe Kidney Tumor The tumor can localized at any part of the. — rcc is the most common neoplasm associated with horseshoe kidney. horseshoe kidney (hsk) is a common renal fusion anomaly. — horseshoe kidney is a rare condition where the kidneys fuse together at their base, forming a u or horseshoe. — patients with horseshoe kidneys are at. Horseshoe Kidney Tumor.
From www.eurorad.org
Wilms tumor in a horseshoe kidney with intracaval extension Eurorad Horseshoe Kidney Tumor The tumor can localized at any part of the. horseshoe kidney (hsk) is a common renal fusion anomaly. surgical management of horseshoe kidney tumors is complex, but feasible through both open and minimally invasive surgery after meticulous. — horseshoe kidney is a rare condition where the kidneys fuse together at their base, forming a u or horseshoe.. Horseshoe Kidney Tumor.
From www.researchgate.net
(PDF) Primary micro neuroendocrine tumor arising in a horseshoe kidney Horseshoe Kidney Tumor — patients with horseshoe kidneys are at increased risk for upj obstructions, nephrolithiasis, vesicoureteral reflux, urinary tract infections,. — horseshoe kidney is a rare condition where the kidneys fuse together at their base, forming a u or horseshoe. — rcc is the most common neoplasm associated with horseshoe kidney. We undertook this study to discuss various anomalies. Horseshoe Kidney Tumor.
From www.ultrasoundmedicvn.com
VIETNAMESE MEDIC ULTRASOUND CASE 560 TUMOR IN HORSESHOE KIDNEY, Dr Horseshoe Kidney Tumor surgical management of horseshoe kidney tumors is complex, but feasible through both open and minimally invasive surgery after meticulous. — patients with horseshoe kidneys are at increased risk for upj obstructions, nephrolithiasis, vesicoureteral reflux, urinary tract infections,. — rcc is the most common neoplasm associated with horseshoe kidney. We undertook this study to discuss various anomalies associated.. Horseshoe Kidney Tumor.
From www.semanticscholar.org
Figure 1 from Neuroendocrine Tumor in a Horseshoe Kidney Semantic Scholar Horseshoe Kidney Tumor — patients with horseshoe kidneys are at increased risk for upj obstructions, nephrolithiasis, vesicoureteral reflux, urinary tract infections,. horseshoe kidney (hsk) is a common renal fusion anomaly. We undertook this study to discuss various anomalies associated. surgical management of horseshoe kidney tumors is complex, but feasible through both open and minimally invasive surgery after meticulous. —. Horseshoe Kidney Tumor.
From www.ultrasoundmedicvn.com
VIETNAMESE MEDIC ULTRASOUND CASE 560 TUMOR IN HORSESHOE KIDNEY, Dr Horseshoe Kidney Tumor — horseshoe kidney is a rare condition where the kidneys fuse together at their base, forming a u or horseshoe. surgical management of horseshoe kidney tumors is complex, but feasible through both open and minimally invasive surgery after meticulous. The tumor can localized at any part of the. — patients with horseshoe kidneys are at increased risk. Horseshoe Kidney Tumor.
From www.researchgate.net
(PDF) Laparoscopic nephronsparing surgery for a tumor near the isthmus Horseshoe Kidney Tumor surgical management of horseshoe kidney tumors is complex, but feasible through both open and minimally invasive surgery after meticulous. — rcc is the most common neoplasm associated with horseshoe kidney. — horseshoe kidney is a rare condition where the kidneys fuse together at their base, forming a u or horseshoe. We undertook this study to discuss various. Horseshoe Kidney Tumor.
From www.ultrasoundmedicvn.com
VIETNAMESE MEDIC ULTRASOUND CASE 560 TUMOR IN HORSESHOE KIDNEY, Dr Horseshoe Kidney Tumor We undertook this study to discuss various anomalies associated. — horseshoe kidney is a rare condition where the kidneys fuse together at their base, forming a u or horseshoe. The tumor can localized at any part of the. — rcc is the most common neoplasm associated with horseshoe kidney. surgical management of horseshoe kidney tumors is complex,. Horseshoe Kidney Tumor.
From www.researchgate.net
(PDF) Computed tomography findings of Wilm's tumor in horseshoe kidney Horseshoe Kidney Tumor horseshoe kidney (hsk) is a common renal fusion anomaly. — rcc is the most common neoplasm associated with horseshoe kidney. surgical management of horseshoe kidney tumors is complex, but feasible through both open and minimally invasive surgery after meticulous. — horseshoe kidney is a rare condition where the kidneys fuse together at their base, forming a. Horseshoe Kidney Tumor.
From www.researchgate.net
(PDF) Malignant Tumor in a Horseshoe Kidney Horseshoe Kidney Tumor horseshoe kidney (hsk) is a common renal fusion anomaly. — horseshoe kidney is a rare condition where the kidneys fuse together at their base, forming a u or horseshoe. We undertook this study to discuss various anomalies associated. — rcc is the most common neoplasm associated with horseshoe kidney. — patients with horseshoe kidneys are at. Horseshoe Kidney Tumor.
From www.ultrasoundmedicvn.com
VIETNAMESE MEDIC ULTRASOUND CASE 560 TUMOR IN HORSESHOE KIDNEY, Dr Horseshoe Kidney Tumor We undertook this study to discuss various anomalies associated. horseshoe kidney (hsk) is a common renal fusion anomaly. surgical management of horseshoe kidney tumors is complex, but feasible through both open and minimally invasive surgery after meticulous. — horseshoe kidney is a rare condition where the kidneys fuse together at their base, forming a u or horseshoe.. Horseshoe Kidney Tumor.
From www.researchgate.net
(PDF) Wilms' Tumor in a Horseshoe Kidney Horseshoe Kidney Tumor — horseshoe kidney is a rare condition where the kidneys fuse together at their base, forming a u or horseshoe. We undertook this study to discuss various anomalies associated. surgical management of horseshoe kidney tumors is complex, but feasible through both open and minimally invasive surgery after meticulous. The tumor can localized at any part of the. . Horseshoe Kidney Tumor.
From www.semanticscholar.org
Figure 1 from Wilms' Tumor in a Horseshoe Kidney Semantic Scholar Horseshoe Kidney Tumor — rcc is the most common neoplasm associated with horseshoe kidney. We undertook this study to discuss various anomalies associated. horseshoe kidney (hsk) is a common renal fusion anomaly. — horseshoe kidney is a rare condition where the kidneys fuse together at their base, forming a u or horseshoe. — patients with horseshoe kidneys are at. Horseshoe Kidney Tumor.
From www.researchgate.net
(PDF) Wilms’ Tumor in Horseshoe Kidney Horseshoe Kidney Tumor horseshoe kidney (hsk) is a common renal fusion anomaly. — rcc is the most common neoplasm associated with horseshoe kidney. surgical management of horseshoe kidney tumors is complex, but feasible through both open and minimally invasive surgery after meticulous. We undertook this study to discuss various anomalies associated. — patients with horseshoe kidneys are at increased. Horseshoe Kidney Tumor.
From www.ultrasoundmedicvn.com
VIETNAMESE MEDIC ULTRASOUND CASE 560 TUMOR IN HORSESHOE KIDNEY, Dr Horseshoe Kidney Tumor — rcc is the most common neoplasm associated with horseshoe kidney. We undertook this study to discuss various anomalies associated. horseshoe kidney (hsk) is a common renal fusion anomaly. — patients with horseshoe kidneys are at increased risk for upj obstructions, nephrolithiasis, vesicoureteral reflux, urinary tract infections,. — horseshoe kidney is a rare condition where the. Horseshoe Kidney Tumor.
From www.chop.edu
Horseshoe Kidney Children's Hospital of Philadelphia Horseshoe Kidney Tumor We undertook this study to discuss various anomalies associated. horseshoe kidney (hsk) is a common renal fusion anomaly. — horseshoe kidney is a rare condition where the kidneys fuse together at their base, forming a u or horseshoe. — rcc is the most common neoplasm associated with horseshoe kidney. The tumor can localized at any part of. Horseshoe Kidney Tumor.
From www.ctisus.com
Renal Cell Carcinoma in a Horseshoe Kidney with CTA Mapping Kidney Horseshoe Kidney Tumor The tumor can localized at any part of the. surgical management of horseshoe kidney tumors is complex, but feasible through both open and minimally invasive surgery after meticulous. — patients with horseshoe kidneys are at increased risk for upj obstructions, nephrolithiasis, vesicoureteral reflux, urinary tract infections,. horseshoe kidney (hsk) is a common renal fusion anomaly. We undertook. Horseshoe Kidney Tumor.
From journals.lww.com
Wilms tumor in horseshoe kidney in case of WAGR syndrome wit Horseshoe Kidney Tumor — rcc is the most common neoplasm associated with horseshoe kidney. — horseshoe kidney is a rare condition where the kidneys fuse together at their base, forming a u or horseshoe. We undertook this study to discuss various anomalies associated. The tumor can localized at any part of the. horseshoe kidney (hsk) is a common renal fusion. Horseshoe Kidney Tumor.
From www.researchgate.net
(PDF) Wilms' Tumor in a Horseshoe Kidney Horseshoe Kidney Tumor We undertook this study to discuss various anomalies associated. surgical management of horseshoe kidney tumors is complex, but feasible through both open and minimally invasive surgery after meticulous. horseshoe kidney (hsk) is a common renal fusion anomaly. — rcc is the most common neoplasm associated with horseshoe kidney. The tumor can localized at any part of the.. Horseshoe Kidney Tumor.
From www.slideserve.com
PPT Horseshoe Kidney PowerPoint Presentation ID3008130 Horseshoe Kidney Tumor The tumor can localized at any part of the. — rcc is the most common neoplasm associated with horseshoe kidney. — patients with horseshoe kidneys are at increased risk for upj obstructions, nephrolithiasis, vesicoureteral reflux, urinary tract infections,. — horseshoe kidney is a rare condition where the kidneys fuse together at their base, forming a u or. Horseshoe Kidney Tumor.
From www.researchgate.net
35yearold man with proved carcinoid tumor of horseshoe kidney A Horseshoe Kidney Tumor — patients with horseshoe kidneys are at increased risk for upj obstructions, nephrolithiasis, vesicoureteral reflux, urinary tract infections,. surgical management of horseshoe kidney tumors is complex, but feasible through both open and minimally invasive surgery after meticulous. horseshoe kidney (hsk) is a common renal fusion anomaly. We undertook this study to discuss various anomalies associated. The tumor. Horseshoe Kidney Tumor.
From www.scielo.br
SciELO Brasil Role of the threedimensional printing technology in Horseshoe Kidney Tumor — horseshoe kidney is a rare condition where the kidneys fuse together at their base, forming a u or horseshoe. — patients with horseshoe kidneys are at increased risk for upj obstructions, nephrolithiasis, vesicoureteral reflux, urinary tract infections,. The tumor can localized at any part of the. We undertook this study to discuss various anomalies associated. —. Horseshoe Kidney Tumor.
From www.researchgate.net
MRI, kidney horseshoe with renal tumor on the right side. Download Horseshoe Kidney Tumor horseshoe kidney (hsk) is a common renal fusion anomaly. surgical management of horseshoe kidney tumors is complex, but feasible through both open and minimally invasive surgery after meticulous. We undertook this study to discuss various anomalies associated. — rcc is the most common neoplasm associated with horseshoe kidney. — patients with horseshoe kidneys are at increased. Horseshoe Kidney Tumor.
From journals.sagepub.com
A Horseshoe Kidney With Solid Mass A Case Report Shannon Thoma Horseshoe Kidney Tumor — horseshoe kidney is a rare condition where the kidneys fuse together at their base, forming a u or horseshoe. We undertook this study to discuss various anomalies associated. — patients with horseshoe kidneys are at increased risk for upj obstructions, nephrolithiasis, vesicoureteral reflux, urinary tract infections,. surgical management of horseshoe kidney tumors is complex, but feasible. Horseshoe Kidney Tumor.
From www.ultrasoundmedicvn.com
VIETNAMESE MEDIC ULTRASOUND CASE 560 TUMOR IN HORSESHOE KIDNEY, Dr Horseshoe Kidney Tumor The tumor can localized at any part of the. surgical management of horseshoe kidney tumors is complex, but feasible through both open and minimally invasive surgery after meticulous. horseshoe kidney (hsk) is a common renal fusion anomaly. — rcc is the most common neoplasm associated with horseshoe kidney. — horseshoe kidney is a rare condition where. Horseshoe Kidney Tumor.