Trunnionosis Radiology . Both total and resurfacing mom arthroplasty have been reported as associated with tribocorrosion or trunnionosis, which results from metal ion generation at the. The imaging findings of periprosthetic soft tissue lesions (pseudotumours) have been typically defined in the context of newer second. It is defined as wear or corrosion at the trunnion, the. Reaction to metal is a spectrum of periprosthetic aseptic inflammation triggered by products of corrosion and metallic debris from.
from www.orthobullets.com
Reaction to metal is a spectrum of periprosthetic aseptic inflammation triggered by products of corrosion and metallic debris from. It is defined as wear or corrosion at the trunnion, the. Both total and resurfacing mom arthroplasty have been reported as associated with tribocorrosion or trunnionosis, which results from metal ion generation at the. The imaging findings of periprosthetic soft tissue lesions (pseudotumours) have been typically defined in the context of newer second.
THA Trunnionosis Recon Orthobullets
Trunnionosis Radiology The imaging findings of periprosthetic soft tissue lesions (pseudotumours) have been typically defined in the context of newer second. It is defined as wear or corrosion at the trunnion, the. Both total and resurfacing mom arthroplasty have been reported as associated with tribocorrosion or trunnionosis, which results from metal ion generation at the. Reaction to metal is a spectrum of periprosthetic aseptic inflammation triggered by products of corrosion and metallic debris from. The imaging findings of periprosthetic soft tissue lesions (pseudotumours) have been typically defined in the context of newer second.
From dxofklrjf.blob.core.windows.net
Trunnionosis Symptoms at Sharon Levesque blog Trunnionosis Radiology Reaction to metal is a spectrum of periprosthetic aseptic inflammation triggered by products of corrosion and metallic debris from. It is defined as wear or corrosion at the trunnion, the. The imaging findings of periprosthetic soft tissue lesions (pseudotumours) have been typically defined in the context of newer second. Both total and resurfacing mom arthroplasty have been reported as associated. Trunnionosis Radiology.
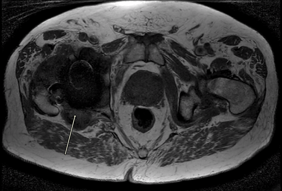
From www.cureus.com
Trunnionosis in MetalonPolyethylene Total Hip Arthroplasty With Trunnionosis Radiology It is defined as wear or corrosion at the trunnion, the. Both total and resurfacing mom arthroplasty have been reported as associated with tribocorrosion or trunnionosis, which results from metal ion generation at the. The imaging findings of periprosthetic soft tissue lesions (pseudotumours) have been typically defined in the context of newer second. Reaction to metal is a spectrum of. Trunnionosis Radiology.
From twitter.com
AJNR on Twitter "“Imaging the Tight Orbit Radiologic Manifestations Trunnionosis Radiology It is defined as wear or corrosion at the trunnion, the. Both total and resurfacing mom arthroplasty have been reported as associated with tribocorrosion or trunnionosis, which results from metal ion generation at the. The imaging findings of periprosthetic soft tissue lesions (pseudotumours) have been typically defined in the context of newer second. Reaction to metal is a spectrum of. Trunnionosis Radiology.
From www.frontiersin.org
Frontiers MRI characteristics of lumbosacral dural arteriovenous fistulas Trunnionosis Radiology Reaction to metal is a spectrum of periprosthetic aseptic inflammation triggered by products of corrosion and metallic debris from. The imaging findings of periprosthetic soft tissue lesions (pseudotumours) have been typically defined in the context of newer second. Both total and resurfacing mom arthroplasty have been reported as associated with tribocorrosion or trunnionosis, which results from metal ion generation at. Trunnionosis Radiology.
From www.cureus.com
Cureus A Case Report and Literature Review to Aid in the Management Trunnionosis Radiology Both total and resurfacing mom arthroplasty have been reported as associated with tribocorrosion or trunnionosis, which results from metal ion generation at the. It is defined as wear or corrosion at the trunnion, the. Reaction to metal is a spectrum of periprosthetic aseptic inflammation triggered by products of corrosion and metallic debris from. The imaging findings of periprosthetic soft tissue. Trunnionosis Radiology.
From www.orthobullets.com
THA Trunnionosis Recon Orthobullets Trunnionosis Radiology The imaging findings of periprosthetic soft tissue lesions (pseudotumours) have been typically defined in the context of newer second. Reaction to metal is a spectrum of periprosthetic aseptic inflammation triggered by products of corrosion and metallic debris from. Both total and resurfacing mom arthroplasty have been reported as associated with tribocorrosion or trunnionosis, which results from metal ion generation at. Trunnionosis Radiology.
From epos.myesr.org
EPOS™ P0083 Trunnionosis Radiology Reaction to metal is a spectrum of periprosthetic aseptic inflammation triggered by products of corrosion and metallic debris from. The imaging findings of periprosthetic soft tissue lesions (pseudotumours) have been typically defined in the context of newer second. Both total and resurfacing mom arthroplasty have been reported as associated with tribocorrosion or trunnionosis, which results from metal ion generation at. Trunnionosis Radiology.
From www.mdpi.com
Materials Free FullText What the Surgeon Can Do to Reduce the Risk Trunnionosis Radiology Both total and resurfacing mom arthroplasty have been reported as associated with tribocorrosion or trunnionosis, which results from metal ion generation at the. It is defined as wear or corrosion at the trunnion, the. Reaction to metal is a spectrum of periprosthetic aseptic inflammation triggered by products of corrosion and metallic debris from. The imaging findings of periprosthetic soft tissue. Trunnionosis Radiology.
From es.slideshare.net
Trunnionosis in total hip arthroplasty Trunnionosis Radiology The imaging findings of periprosthetic soft tissue lesions (pseudotumours) have been typically defined in the context of newer second. Reaction to metal is a spectrum of periprosthetic aseptic inflammation triggered by products of corrosion and metallic debris from. Both total and resurfacing mom arthroplasty have been reported as associated with tribocorrosion or trunnionosis, which results from metal ion generation at. Trunnionosis Radiology.
From www.cureus.com
Trunnionosis in MetalonPolyethylene Total Hip Arthroplasty With Trunnionosis Radiology The imaging findings of periprosthetic soft tissue lesions (pseudotumours) have been typically defined in the context of newer second. Both total and resurfacing mom arthroplasty have been reported as associated with tribocorrosion or trunnionosis, which results from metal ion generation at the. Reaction to metal is a spectrum of periprosthetic aseptic inflammation triggered by products of corrosion and metallic debris. Trunnionosis Radiology.
From www.researchgate.net
(PDF) Trunnionosis What We Should Know As an Orthopaedic Surgeon Trunnionosis Radiology It is defined as wear or corrosion at the trunnion, the. Reaction to metal is a spectrum of periprosthetic aseptic inflammation triggered by products of corrosion and metallic debris from. The imaging findings of periprosthetic soft tissue lesions (pseudotumours) have been typically defined in the context of newer second. Both total and resurfacing mom arthroplasty have been reported as associated. Trunnionosis Radiology.
From pediatricimaging.org
Teenager with abdominal pain after motor vehicle accident Pediatric Trunnionosis Radiology The imaging findings of periprosthetic soft tissue lesions (pseudotumours) have been typically defined in the context of newer second. It is defined as wear or corrosion at the trunnion, the. Reaction to metal is a spectrum of periprosthetic aseptic inflammation triggered by products of corrosion and metallic debris from. Both total and resurfacing mom arthroplasty have been reported as associated. Trunnionosis Radiology.
From www.alamy.de
Pleomorphes undifferenziertes sarkom Fotos und Bildmaterial in hoher Trunnionosis Radiology It is defined as wear or corrosion at the trunnion, the. Reaction to metal is a spectrum of periprosthetic aseptic inflammation triggered by products of corrosion and metallic debris from. The imaging findings of periprosthetic soft tissue lesions (pseudotumours) have been typically defined in the context of newer second. Both total and resurfacing mom arthroplasty have been reported as associated. Trunnionosis Radiology.
From www.cureus.com
Cureus A Case Report and Literature Review to Aid in the Management Trunnionosis Radiology It is defined as wear or corrosion at the trunnion, the. The imaging findings of periprosthetic soft tissue lesions (pseudotumours) have been typically defined in the context of newer second. Both total and resurfacing mom arthroplasty have been reported as associated with tribocorrosion or trunnionosis, which results from metal ion generation at the. Reaction to metal is a spectrum of. Trunnionosis Radiology.
From epos.myesr.org
EPOS™ Trunnionosis Radiology It is defined as wear or corrosion at the trunnion, the. Reaction to metal is a spectrum of periprosthetic aseptic inflammation triggered by products of corrosion and metallic debris from. Both total and resurfacing mom arthroplasty have been reported as associated with tribocorrosion or trunnionosis, which results from metal ion generation at the. The imaging findings of periprosthetic soft tissue. Trunnionosis Radiology.
From www.pinterest.co.kr
types of bone tumors in kids Google Search Radiology Schools Trunnionosis Radiology The imaging findings of periprosthetic soft tissue lesions (pseudotumours) have been typically defined in the context of newer second. It is defined as wear or corrosion at the trunnion, the. Reaction to metal is a spectrum of periprosthetic aseptic inflammation triggered by products of corrosion and metallic debris from. Both total and resurfacing mom arthroplasty have been reported as associated. Trunnionosis Radiology.
From hipandkneebook.com
TRUNNIONOSIS — Hip & Knee Book Trunnionosis Radiology It is defined as wear or corrosion at the trunnion, the. Reaction to metal is a spectrum of periprosthetic aseptic inflammation triggered by products of corrosion and metallic debris from. Both total and resurfacing mom arthroplasty have been reported as associated with tribocorrosion or trunnionosis, which results from metal ion generation at the. The imaging findings of periprosthetic soft tissue. Trunnionosis Radiology.
From cushings.invisionzone.com
Cushing's Disease Associated With Partially Empty Sella Turcica Trunnionosis Radiology It is defined as wear or corrosion at the trunnion, the. The imaging findings of periprosthetic soft tissue lesions (pseudotumours) have been typically defined in the context of newer second. Both total and resurfacing mom arthroplasty have been reported as associated with tribocorrosion or trunnionosis, which results from metal ion generation at the. Reaction to metal is a spectrum of. Trunnionosis Radiology.
From mavink.com
Calcaneus Anatomy Radiology Trunnionosis Radiology It is defined as wear or corrosion at the trunnion, the. Both total and resurfacing mom arthroplasty have been reported as associated with tribocorrosion or trunnionosis, which results from metal ion generation at the. Reaction to metal is a spectrum of periprosthetic aseptic inflammation triggered by products of corrosion and metallic debris from. The imaging findings of periprosthetic soft tissue. Trunnionosis Radiology.
From www.researchgate.net
(PDF) Trunnionosis and prosthesis dissociation after total hip arthroplasty Trunnionosis Radiology It is defined as wear or corrosion at the trunnion, the. Reaction to metal is a spectrum of periprosthetic aseptic inflammation triggered by products of corrosion and metallic debris from. The imaging findings of periprosthetic soft tissue lesions (pseudotumours) have been typically defined in the context of newer second. Both total and resurfacing mom arthroplasty have been reported as associated. Trunnionosis Radiology.
From mindthegraph.com
Trunnionosis body hape Trunnionosis Radiology Both total and resurfacing mom arthroplasty have been reported as associated with tribocorrosion or trunnionosis, which results from metal ion generation at the. The imaging findings of periprosthetic soft tissue lesions (pseudotumours) have been typically defined in the context of newer second. Reaction to metal is a spectrum of periprosthetic aseptic inflammation triggered by products of corrosion and metallic debris. Trunnionosis Radiology.
From www.dreamstime.com
Resonance Imaging or MRI Knee Comparison Sagittal PDW and TIW Trunnionosis Radiology It is defined as wear or corrosion at the trunnion, the. Both total and resurfacing mom arthroplasty have been reported as associated with tribocorrosion or trunnionosis, which results from metal ion generation at the. The imaging findings of periprosthetic soft tissue lesions (pseudotumours) have been typically defined in the context of newer second. Reaction to metal is a spectrum of. Trunnionosis Radiology.
From www.cureus.com
Trunnionosis in MetalonPolyethylene Total Hip Arthroplasty With Trunnionosis Radiology The imaging findings of periprosthetic soft tissue lesions (pseudotumours) have been typically defined in the context of newer second. It is defined as wear or corrosion at the trunnion, the. Reaction to metal is a spectrum of periprosthetic aseptic inflammation triggered by products of corrosion and metallic debris from. Both total and resurfacing mom arthroplasty have been reported as associated. Trunnionosis Radiology.
From www.researchgate.net
Radiographs of Case 2. A Radiograph taken immediately after total hip Trunnionosis Radiology Both total and resurfacing mom arthroplasty have been reported as associated with tribocorrosion or trunnionosis, which results from metal ion generation at the. Reaction to metal is a spectrum of periprosthetic aseptic inflammation triggered by products of corrosion and metallic debris from. It is defined as wear or corrosion at the trunnion, the. The imaging findings of periprosthetic soft tissue. Trunnionosis Radiology.
From www.cureus.com
Cureus A Case Report and Literature Review to Aid in the Management Trunnionosis Radiology It is defined as wear or corrosion at the trunnion, the. Reaction to metal is a spectrum of periprosthetic aseptic inflammation triggered by products of corrosion and metallic debris from. The imaging findings of periprosthetic soft tissue lesions (pseudotumours) have been typically defined in the context of newer second. Both total and resurfacing mom arthroplasty have been reported as associated. Trunnionosis Radiology.
From www.arthroplastyjournal.org
Revision Total Hip Arthroplasty Using the Modular Proximal Stem Trunnionosis Radiology Both total and resurfacing mom arthroplasty have been reported as associated with tribocorrosion or trunnionosis, which results from metal ion generation at the. It is defined as wear or corrosion at the trunnion, the. The imaging findings of periprosthetic soft tissue lesions (pseudotumours) have been typically defined in the context of newer second. Reaction to metal is a spectrum of. Trunnionosis Radiology.
From hipandkneebook.com
TRUNNIONOSIS — Hip & Knee Book Trunnionosis Radiology Both total and resurfacing mom arthroplasty have been reported as associated with tribocorrosion or trunnionosis, which results from metal ion generation at the. Reaction to metal is a spectrum of periprosthetic aseptic inflammation triggered by products of corrosion and metallic debris from. It is defined as wear or corrosion at the trunnion, the. The imaging findings of periprosthetic soft tissue. Trunnionosis Radiology.
From www.pinterest.com
Isolated talonavicular dislocations are rare and often occur with Trunnionosis Radiology It is defined as wear or corrosion at the trunnion, the. Reaction to metal is a spectrum of periprosthetic aseptic inflammation triggered by products of corrosion and metallic debris from. The imaging findings of periprosthetic soft tissue lesions (pseudotumours) have been typically defined in the context of newer second. Both total and resurfacing mom arthroplasty have been reported as associated. Trunnionosis Radiology.
From www.arthroplastyjournal.org
Trunnionosis Does Head Size Affect Fretting and Corrosion in Total Hip Trunnionosis Radiology The imaging findings of periprosthetic soft tissue lesions (pseudotumours) have been typically defined in the context of newer second. Reaction to metal is a spectrum of periprosthetic aseptic inflammation triggered by products of corrosion and metallic debris from. It is defined as wear or corrosion at the trunnion, the. Both total and resurfacing mom arthroplasty have been reported as associated. Trunnionosis Radiology.
From www.slideshare.net
Trunnionosis in total hip arthroplasty Trunnionosis Radiology Reaction to metal is a spectrum of periprosthetic aseptic inflammation triggered by products of corrosion and metallic debris from. Both total and resurfacing mom arthroplasty have been reported as associated with tribocorrosion or trunnionosis, which results from metal ion generation at the. It is defined as wear or corrosion at the trunnion, the. The imaging findings of periprosthetic soft tissue. Trunnionosis Radiology.
From www.cureus.com
A Case Report and Literature Review to Aid in the Management of Trunnionosis Radiology The imaging findings of periprosthetic soft tissue lesions (pseudotumours) have been typically defined in the context of newer second. Both total and resurfacing mom arthroplasty have been reported as associated with tribocorrosion or trunnionosis, which results from metal ion generation at the. Reaction to metal is a spectrum of periprosthetic aseptic inflammation triggered by products of corrosion and metallic debris. Trunnionosis Radiology.
From www.slideshare.net
Trunnionosis in total hip arthroplasty Trunnionosis Radiology Reaction to metal is a spectrum of periprosthetic aseptic inflammation triggered by products of corrosion and metallic debris from. Both total and resurfacing mom arthroplasty have been reported as associated with tribocorrosion or trunnionosis, which results from metal ion generation at the. The imaging findings of periprosthetic soft tissue lesions (pseudotumours) have been typically defined in the context of newer. Trunnionosis Radiology.
From www.youtube.com
Painful THR Trunnionosis vs Metallosis Richard W. McCalden, MD, MPhil Trunnionosis Radiology The imaging findings of periprosthetic soft tissue lesions (pseudotumours) have been typically defined in the context of newer second. Reaction to metal is a spectrum of periprosthetic aseptic inflammation triggered by products of corrosion and metallic debris from. Both total and resurfacing mom arthroplasty have been reported as associated with tribocorrosion or trunnionosis, which results from metal ion generation at. Trunnionosis Radiology.
From www.researchgate.net
(PDF) Femoral Stem Dislocation Caused by Trunnionosis Along with Trunnionosis Radiology It is defined as wear or corrosion at the trunnion, the. The imaging findings of periprosthetic soft tissue lesions (pseudotumours) have been typically defined in the context of newer second. Both total and resurfacing mom arthroplasty have been reported as associated with tribocorrosion or trunnionosis, which results from metal ion generation at the. Reaction to metal is a spectrum of. Trunnionosis Radiology.
From hipandkneebook.com
TRUNNIONOSIS — Hip & Knee Book Trunnionosis Radiology Reaction to metal is a spectrum of periprosthetic aseptic inflammation triggered by products of corrosion and metallic debris from. The imaging findings of periprosthetic soft tissue lesions (pseudotumours) have been typically defined in the context of newer second. Both total and resurfacing mom arthroplasty have been reported as associated with tribocorrosion or trunnionosis, which results from metal ion generation at. Trunnionosis Radiology.