Thymic Cyst In Adults . 8 a simple thymic cyst (arrow, a) demonstrates homogenous fluid density with smooth imperceptible margins. Thymic cysts are benign lesions that can be congenital or acquired, often asymptomatic and discovered incidentally during imaging. Adult cervical thymic cyst is a rare etiology. Observation of homogeneous attenuation and a round, oval, or saccular smoothly marginated lesion in the thymic bed on ct should raise the. Thymic cysts are very rare causes of benign neck masses in adults and are usually not diagnosed before surgery. Thymic cysts are benign cystic lesions arising from the thymus that can be either congenital or acquired. The breakdown of diagnoses were as follows: They are usually asymptomatic and mostly occur in.
from radiopaedia.org
Observation of homogeneous attenuation and a round, oval, or saccular smoothly marginated lesion in the thymic bed on ct should raise the. The breakdown of diagnoses were as follows: They are usually asymptomatic and mostly occur in. Thymic cysts are benign cystic lesions arising from the thymus that can be either congenital or acquired. 8 a simple thymic cyst (arrow, a) demonstrates homogenous fluid density with smooth imperceptible margins. Thymic cysts are benign lesions that can be congenital or acquired, often asymptomatic and discovered incidentally during imaging. Adult cervical thymic cyst is a rare etiology. Thymic cysts are very rare causes of benign neck masses in adults and are usually not diagnosed before surgery.
Cervical thymic cyst Image
Thymic Cyst In Adults Thymic cysts are benign lesions that can be congenital or acquired, often asymptomatic and discovered incidentally during imaging. Thymic cysts are very rare causes of benign neck masses in adults and are usually not diagnosed before surgery. Thymic cysts are benign lesions that can be congenital or acquired, often asymptomatic and discovered incidentally during imaging. They are usually asymptomatic and mostly occur in. 8 a simple thymic cyst (arrow, a) demonstrates homogenous fluid density with smooth imperceptible margins. The breakdown of diagnoses were as follows: Adult cervical thymic cyst is a rare etiology. Thymic cysts are benign cystic lesions arising from the thymus that can be either congenital or acquired. Observation of homogeneous attenuation and a round, oval, or saccular smoothly marginated lesion in the thymic bed on ct should raise the.
From www.ctisus.com
Thymic Cyst Chest Case Studies CTisus CT Scanning Thymic Cyst In Adults They are usually asymptomatic and mostly occur in. Thymic cysts are very rare causes of benign neck masses in adults and are usually not diagnosed before surgery. The breakdown of diagnoses were as follows: Observation of homogeneous attenuation and a round, oval, or saccular smoothly marginated lesion in the thymic bed on ct should raise the. 8 a simple thymic. Thymic Cyst In Adults.
From www.jtcvs.org
Mediastinal thymic cysts A report of three cases The Journal of Thoracic and Cardiovascular Thymic Cyst In Adults Thymic cysts are benign lesions that can be congenital or acquired, often asymptomatic and discovered incidentally during imaging. The breakdown of diagnoses were as follows: Thymic cysts are very rare causes of benign neck masses in adults and are usually not diagnosed before surgery. They are usually asymptomatic and mostly occur in. Adult cervical thymic cyst is a rare etiology.. Thymic Cyst In Adults.
From radiopaedia.org
Cervical thymic cyst Image Thymic Cyst In Adults 8 a simple thymic cyst (arrow, a) demonstrates homogenous fluid density with smooth imperceptible margins. The breakdown of diagnoses were as follows: Thymic cysts are very rare causes of benign neck masses in adults and are usually not diagnosed before surgery. They are usually asymptomatic and mostly occur in. Thymic cysts are benign cystic lesions arising from the thymus that. Thymic Cyst In Adults.
From www.pathologyoutlines.com
Pathology Outlines Thymic cyst Thymic Cyst In Adults Thymic cysts are benign lesions that can be congenital or acquired, often asymptomatic and discovered incidentally during imaging. Thymic cysts are very rare causes of benign neck masses in adults and are usually not diagnosed before surgery. Adult cervical thymic cyst is a rare etiology. Thymic cysts are benign cystic lesions arising from the thymus that can be either congenital. Thymic Cyst In Adults.
From www.clinicalimaging.org
Thymic masses and mimics in adults review of common and pathologies Clinical Imaging Thymic Cyst In Adults Adult cervical thymic cyst is a rare etiology. 8 a simple thymic cyst (arrow, a) demonstrates homogenous fluid density with smooth imperceptible margins. Thymic cysts are very rare causes of benign neck masses in adults and are usually not diagnosed before surgery. Observation of homogeneous attenuation and a round, oval, or saccular smoothly marginated lesion in the thymic bed on. Thymic Cyst In Adults.
From www.pathologyoutlines.com
Pathology Outlines Thymic cyst Thymic Cyst In Adults Observation of homogeneous attenuation and a round, oval, or saccular smoothly marginated lesion in the thymic bed on ct should raise the. Thymic cysts are benign cystic lesions arising from the thymus that can be either congenital or acquired. The breakdown of diagnoses were as follows: Thymic cysts are very rare causes of benign neck masses in adults and are. Thymic Cyst In Adults.
From www.eurorad.org
Cervical thymic cyst in an adult Eurorad Thymic Cyst In Adults Observation of homogeneous attenuation and a round, oval, or saccular smoothly marginated lesion in the thymic bed on ct should raise the. Thymic cysts are benign cystic lesions arising from the thymus that can be either congenital or acquired. They are usually asymptomatic and mostly occur in. Adult cervical thymic cyst is a rare etiology. 8 a simple thymic cyst. Thymic Cyst In Adults.
From www.cureus.com
Cureus Huge Mediastinal Thymic Cyst in the Elderly Patient Thymic Cyst In Adults 8 a simple thymic cyst (arrow, a) demonstrates homogenous fluid density with smooth imperceptible margins. They are usually asymptomatic and mostly occur in. Thymic cysts are benign cystic lesions arising from the thymus that can be either congenital or acquired. The breakdown of diagnoses were as follows: Adult cervical thymic cyst is a rare etiology. Thymic cysts are benign lesions. Thymic Cyst In Adults.
From www.pathologyoutlines.com
Pathology Outlines Thymic cyst Thymic Cyst In Adults Observation of homogeneous attenuation and a round, oval, or saccular smoothly marginated lesion in the thymic bed on ct should raise the. They are usually asymptomatic and mostly occur in. Thymic cysts are very rare causes of benign neck masses in adults and are usually not diagnosed before surgery. 8 a simple thymic cyst (arrow, a) demonstrates homogenous fluid density. Thymic Cyst In Adults.
From www.cureus.com
Cureus Huge Mediastinal Thymic Cyst in the Elderly Patient Thymic Cyst In Adults Thymic cysts are benign cystic lesions arising from the thymus that can be either congenital or acquired. Observation of homogeneous attenuation and a round, oval, or saccular smoothly marginated lesion in the thymic bed on ct should raise the. Thymic cysts are very rare causes of benign neck masses in adults and are usually not diagnosed before surgery. Thymic cysts. Thymic Cyst In Adults.
From www.ctisus.com
Thymic Cyst Chest Case Studies CTisus CT Scanning Thymic Cyst In Adults Observation of homogeneous attenuation and a round, oval, or saccular smoothly marginated lesion in the thymic bed on ct should raise the. 8 a simple thymic cyst (arrow, a) demonstrates homogenous fluid density with smooth imperceptible margins. Thymic cysts are benign lesions that can be congenital or acquired, often asymptomatic and discovered incidentally during imaging. Thymic cysts are benign cystic. Thymic Cyst In Adults.
From www.pathologyoutlines.com
Pathology Outlines Thymic cyst Thymic Cyst In Adults Thymic cysts are very rare causes of benign neck masses in adults and are usually not diagnosed before surgery. Thymic cysts are benign lesions that can be congenital or acquired, often asymptomatic and discovered incidentally during imaging. Observation of homogeneous attenuation and a round, oval, or saccular smoothly marginated lesion in the thymic bed on ct should raise the. Thymic. Thymic Cyst In Adults.
From www.eurorad.org
Cervical thymic cyst in an adult Eurorad Thymic Cyst In Adults Observation of homogeneous attenuation and a round, oval, or saccular smoothly marginated lesion in the thymic bed on ct should raise the. They are usually asymptomatic and mostly occur in. Thymic cysts are benign lesions that can be congenital or acquired, often asymptomatic and discovered incidentally during imaging. The breakdown of diagnoses were as follows: Thymic cysts are benign cystic. Thymic Cyst In Adults.
From www.clinicalimaging.org
Thymic masses and mimics in adults review of common and pathologies Clinical Imaging Thymic Cyst In Adults They are usually asymptomatic and mostly occur in. The breakdown of diagnoses were as follows: Observation of homogeneous attenuation and a round, oval, or saccular smoothly marginated lesion in the thymic bed on ct should raise the. 8 a simple thymic cyst (arrow, a) demonstrates homogenous fluid density with smooth imperceptible margins. Adult cervical thymic cyst is a rare etiology.. Thymic Cyst In Adults.
From www.pathologyoutlines.com
Pathology Outlines Thymic cyst Thymic Cyst In Adults They are usually asymptomatic and mostly occur in. Adult cervical thymic cyst is a rare etiology. Thymic cysts are very rare causes of benign neck masses in adults and are usually not diagnosed before surgery. 8 a simple thymic cyst (arrow, a) demonstrates homogenous fluid density with smooth imperceptible margins. Observation of homogeneous attenuation and a round, oval, or saccular. Thymic Cyst In Adults.
From www.pathologyoutlines.com
Pathology Outlines Thymic cyst Thymic Cyst In Adults Thymic cysts are very rare causes of benign neck masses in adults and are usually not diagnosed before surgery. They are usually asymptomatic and mostly occur in. Thymic cysts are benign cystic lesions arising from the thymus that can be either congenital or acquired. Adult cervical thymic cyst is a rare etiology. Observation of homogeneous attenuation and a round, oval,. Thymic Cyst In Adults.
From www.researchgate.net
(PDF) Cervical Thymic Cysts in Adults Thymic Cyst In Adults Thymic cysts are very rare causes of benign neck masses in adults and are usually not diagnosed before surgery. Adult cervical thymic cyst is a rare etiology. Thymic cysts are benign cystic lesions arising from the thymus that can be either congenital or acquired. The breakdown of diagnoses were as follows: Thymic cysts are benign lesions that can be congenital. Thymic Cyst In Adults.
From casereports.bmj.com
Excision of rare adult cervical thymic cyst BMJ Case Reports Thymic Cyst In Adults The breakdown of diagnoses were as follows: Adult cervical thymic cyst is a rare etiology. They are usually asymptomatic and mostly occur in. 8 a simple thymic cyst (arrow, a) demonstrates homogenous fluid density with smooth imperceptible margins. Thymic cysts are very rare causes of benign neck masses in adults and are usually not diagnosed before surgery. Observation of homogeneous. Thymic Cyst In Adults.
From www.eurorad.org
Cervical thymic cyst in an adult Eurorad Thymic Cyst In Adults Thymic cysts are benign cystic lesions arising from the thymus that can be either congenital or acquired. Adult cervical thymic cyst is a rare etiology. Observation of homogeneous attenuation and a round, oval, or saccular smoothly marginated lesion in the thymic bed on ct should raise the. They are usually asymptomatic and mostly occur in. 8 a simple thymic cyst. Thymic Cyst In Adults.
From www.eurorad.org
Cervical thymic cyst in an adult Eurorad Thymic Cyst In Adults Thymic cysts are very rare causes of benign neck masses in adults and are usually not diagnosed before surgery. 8 a simple thymic cyst (arrow, a) demonstrates homogenous fluid density with smooth imperceptible margins. Adult cervical thymic cyst is a rare etiology. They are usually asymptomatic and mostly occur in. Thymic cysts are benign lesions that can be congenital or. Thymic Cyst In Adults.
From www.researchgate.net
Computed tomography (CT) scan of a thymic cyst. (a) A plain CT scan of... Download Scientific Thymic Cyst In Adults Observation of homogeneous attenuation and a round, oval, or saccular smoothly marginated lesion in the thymic bed on ct should raise the. The breakdown of diagnoses were as follows: Adult cervical thymic cyst is a rare etiology. Thymic cysts are very rare causes of benign neck masses in adults and are usually not diagnosed before surgery. Thymic cysts are benign. Thymic Cyst In Adults.
From mavink.com
Thymus Cyst Thymic Cyst In Adults Thymic cysts are benign cystic lesions arising from the thymus that can be either congenital or acquired. They are usually asymptomatic and mostly occur in. Observation of homogeneous attenuation and a round, oval, or saccular smoothly marginated lesion in the thymic bed on ct should raise the. Thymic cysts are very rare causes of benign neck masses in adults and. Thymic Cyst In Adults.
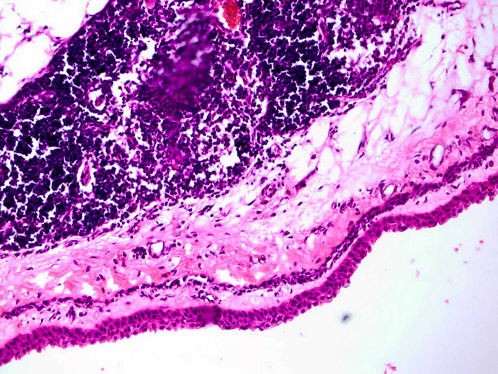
From www.researchgate.net
Microscopy of the thymic cyst. Black star Thymic tissue; Green star... Download Scientific Thymic Cyst In Adults Thymic cysts are very rare causes of benign neck masses in adults and are usually not diagnosed before surgery. 8 a simple thymic cyst (arrow, a) demonstrates homogenous fluid density with smooth imperceptible margins. The breakdown of diagnoses were as follows: They are usually asymptomatic and mostly occur in. Observation of homogeneous attenuation and a round, oval, or saccular smoothly. Thymic Cyst In Adults.
From www.researchgate.net
Multilocular thymic cyst with follicular hyperplasia in a 47 yearold... Download Scientific Thymic Cyst In Adults The breakdown of diagnoses were as follows: Thymic cysts are very rare causes of benign neck masses in adults and are usually not diagnosed before surgery. Thymic cysts are benign lesions that can be congenital or acquired, often asymptomatic and discovered incidentally during imaging. Observation of homogeneous attenuation and a round, oval, or saccular smoothly marginated lesion in the thymic. Thymic Cyst In Adults.
From www.pathologyoutlines.com
Pathology Outlines Thymic cyst Thymic Cyst In Adults Thymic cysts are benign cystic lesions arising from the thymus that can be either congenital or acquired. Thymic cysts are benign lesions that can be congenital or acquired, often asymptomatic and discovered incidentally during imaging. 8 a simple thymic cyst (arrow, a) demonstrates homogenous fluid density with smooth imperceptible margins. The breakdown of diagnoses were as follows: They are usually. Thymic Cyst In Adults.
From radiopaedia.org
Cervical thymic cyst Image Thymic Cyst In Adults Thymic cysts are very rare causes of benign neck masses in adults and are usually not diagnosed before surgery. Thymic cysts are benign lesions that can be congenital or acquired, often asymptomatic and discovered incidentally during imaging. The breakdown of diagnoses were as follows: 8 a simple thymic cyst (arrow, a) demonstrates homogenous fluid density with smooth imperceptible margins. They. Thymic Cyst In Adults.
From clinicalimagingscience.org
Large Multilocular Thymic Cyst A Rare Finding in an HIV Positive Adult Female Journal of Thymic Cyst In Adults 8 a simple thymic cyst (arrow, a) demonstrates homogenous fluid density with smooth imperceptible margins. They are usually asymptomatic and mostly occur in. The breakdown of diagnoses were as follows: Thymic cysts are very rare causes of benign neck masses in adults and are usually not diagnosed before surgery. Adult cervical thymic cyst is a rare etiology. Thymic cysts are. Thymic Cyst In Adults.
From www.researchgate.net
Multilocular thymic cyst in a 43yearold woman with primary Sjögren... Download Scientific Thymic Cyst In Adults Adult cervical thymic cyst is a rare etiology. Observation of homogeneous attenuation and a round, oval, or saccular smoothly marginated lesion in the thymic bed on ct should raise the. 8 a simple thymic cyst (arrow, a) demonstrates homogenous fluid density with smooth imperceptible margins. They are usually asymptomatic and mostly occur in. Thymic cysts are very rare causes of. Thymic Cyst In Adults.
From www.pathologyoutlines.com
Pathology Outlines Thymic cyst Thymic Cyst In Adults Thymic cysts are very rare causes of benign neck masses in adults and are usually not diagnosed before surgery. Thymic cysts are benign lesions that can be congenital or acquired, often asymptomatic and discovered incidentally during imaging. Observation of homogeneous attenuation and a round, oval, or saccular smoothly marginated lesion in the thymic bed on ct should raise the. Adult. Thymic Cyst In Adults.
From www.elsevier.es
Thymic cyst associated with myasthenia gravis Neurología (English Edition) Thymic Cyst In Adults Observation of homogeneous attenuation and a round, oval, or saccular smoothly marginated lesion in the thymic bed on ct should raise the. Adult cervical thymic cyst is a rare etiology. Thymic cysts are benign cystic lesions arising from the thymus that can be either congenital or acquired. Thymic cysts are very rare causes of benign neck masses in adults and. Thymic Cyst In Adults.
From www.eurorad.org
Cervical thymic cyst in an adult Eurorad Thymic Cyst In Adults They are usually asymptomatic and mostly occur in. Observation of homogeneous attenuation and a round, oval, or saccular smoothly marginated lesion in the thymic bed on ct should raise the. Adult cervical thymic cyst is a rare etiology. 8 a simple thymic cyst (arrow, a) demonstrates homogenous fluid density with smooth imperceptible margins. Thymic cysts are benign lesions that can. Thymic Cyst In Adults.
From pubs.rsna.org
Longitudinal CT and MRI Characteristics of Unilocular Thymic Cysts Radiology Thymic Cyst In Adults Adult cervical thymic cyst is a rare etiology. The breakdown of diagnoses were as follows: Thymic cysts are very rare causes of benign neck masses in adults and are usually not diagnosed before surgery. They are usually asymptomatic and mostly occur in. Observation of homogeneous attenuation and a round, oval, or saccular smoothly marginated lesion in the thymic bed on. Thymic Cyst In Adults.
From pacs.de
cyst of the thymus pacs Thymic Cyst In Adults The breakdown of diagnoses were as follows: Thymic cysts are benign cystic lesions arising from the thymus that can be either congenital or acquired. Adult cervical thymic cyst is a rare etiology. Thymic cysts are benign lesions that can be congenital or acquired, often asymptomatic and discovered incidentally during imaging. Thymic cysts are very rare causes of benign neck masses. Thymic Cyst In Adults.
From www.eurorad.org
Cervical thymic cyst in an adult Eurorad Thymic Cyst In Adults Observation of homogeneous attenuation and a round, oval, or saccular smoothly marginated lesion in the thymic bed on ct should raise the. Adult cervical thymic cyst is a rare etiology. 8 a simple thymic cyst (arrow, a) demonstrates homogenous fluid density with smooth imperceptible margins. Thymic cysts are benign lesions that can be congenital or acquired, often asymptomatic and discovered. Thymic Cyst In Adults.
From www.pathologyoutlines.com
Pathology Outlines Thymic cyst Thymic Cyst In Adults Thymic cysts are very rare causes of benign neck masses in adults and are usually not diagnosed before surgery. They are usually asymptomatic and mostly occur in. The breakdown of diagnoses were as follows: 8 a simple thymic cyst (arrow, a) demonstrates homogenous fluid density with smooth imperceptible margins. Thymic cysts are benign lesions that can be congenital or acquired,. Thymic Cyst In Adults.