Arthritis In Toes Joint . It can cause pain, stiffness, swelling and loss of. There are several forms of arthritis that can affect the toes. This article explains all you need to know about arthritis in the toes, its causes, symptoms, treatment options, and more. Learn how osteoarthritis (oa) affects the big toe joint, also known as the hallux, and what are the options for pain relief and. Learn about the different types of arthritis that affect the toes, how to recognize the symptoms, and what. Hallux rigidus is a type of arthritis that affects the joint where your big toe meets your foot. Arthritis is a condition that affects the joints and causes pain, swelling, and stiffness. Treatment may include pain relievers, ice. Arthritis in toes can cause pain, stiffness, swelling, and difficulty walking. (also known as big toe joint osteoarthritis) a common condition that affects the big toe joint known as 1st metatarsal phalangeal joint. Arthritis most often attacks the big toe, but the. Toe arthritis can be caused by wear and tear of the cartilage in your toe joints, as well as inflammation of the toe joints.
from www.danielbohl.com
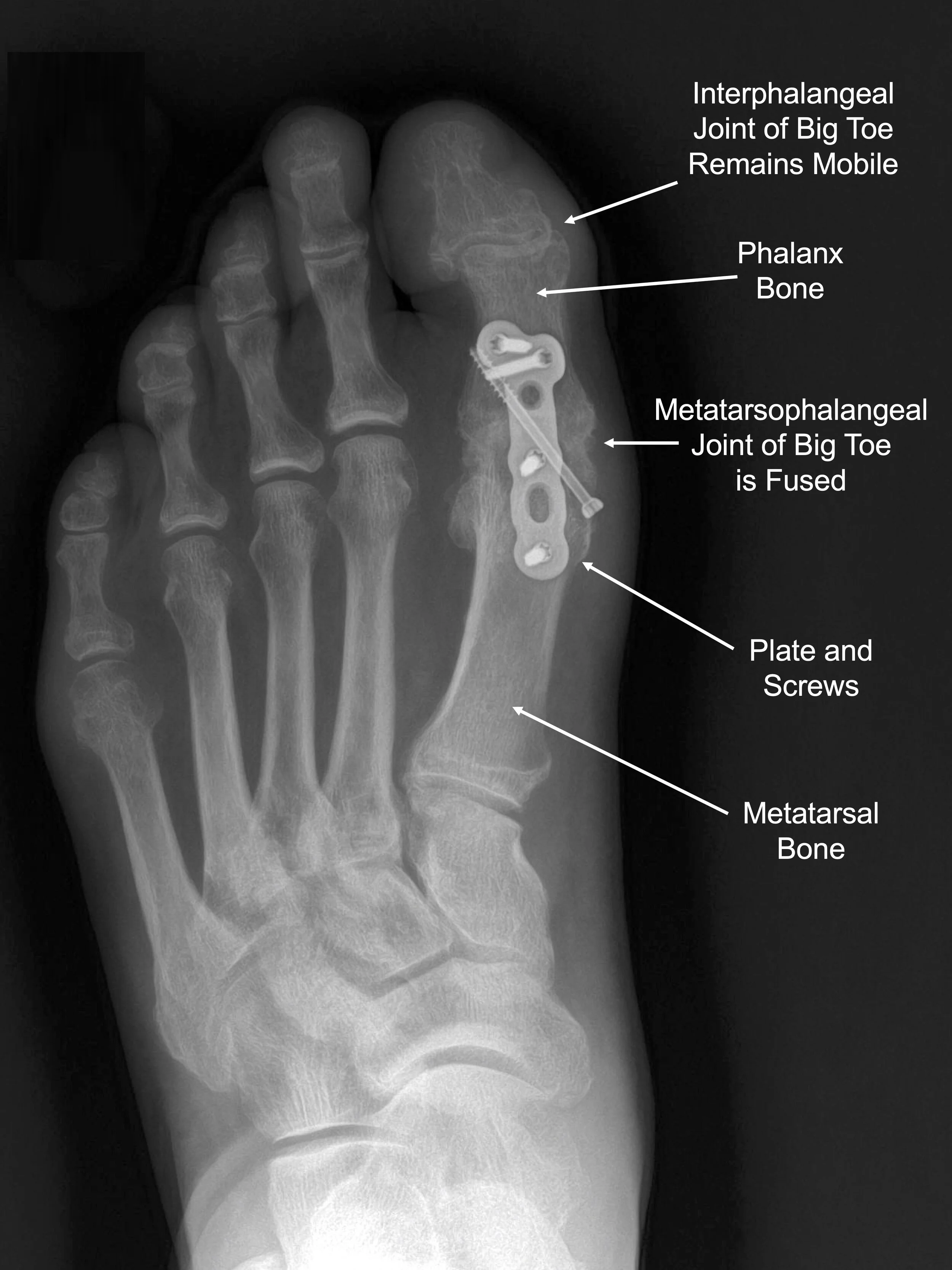
Arthritis in toes can cause pain, stiffness, swelling, and difficulty walking. (also known as big toe joint osteoarthritis) a common condition that affects the big toe joint known as 1st metatarsal phalangeal joint. There are several forms of arthritis that can affect the toes. Learn how osteoarthritis (oa) affects the big toe joint, also known as the hallux, and what are the options for pain relief and. This article explains all you need to know about arthritis in the toes, its causes, symptoms, treatment options, and more. Arthritis is a condition that affects the joints and causes pain, swelling, and stiffness. Hallux rigidus is a type of arthritis that affects the joint where your big toe meets your foot. Learn about the different types of arthritis that affect the toes, how to recognize the symptoms, and what. It can cause pain, stiffness, swelling and loss of. Arthritis most often attacks the big toe, but the.
Big Toe Arthritis — Daniel Bohl, MD Midwest Orthopaedics at RUSH
Arthritis In Toes Joint Learn about the different types of arthritis that affect the toes, how to recognize the symptoms, and what. There are several forms of arthritis that can affect the toes. This article explains all you need to know about arthritis in the toes, its causes, symptoms, treatment options, and more. It can cause pain, stiffness, swelling and loss of. Learn how osteoarthritis (oa) affects the big toe joint, also known as the hallux, and what are the options for pain relief and. Arthritis in toes can cause pain, stiffness, swelling, and difficulty walking. Learn about the different types of arthritis that affect the toes, how to recognize the symptoms, and what. Arthritis most often attacks the big toe, but the. Arthritis is a condition that affects the joints and causes pain, swelling, and stiffness. (also known as big toe joint osteoarthritis) a common condition that affects the big toe joint known as 1st metatarsal phalangeal joint. Toe arthritis can be caused by wear and tear of the cartilage in your toe joints, as well as inflammation of the toe joints. Treatment may include pain relievers, ice. Hallux rigidus is a type of arthritis that affects the joint where your big toe meets your foot.
From flawlessphysio.co.uk
Arthritis in Big Toe Learn how to identify and treat Hallix Rigidus Arthritis In Toes Joint Hallux rigidus is a type of arthritis that affects the joint where your big toe meets your foot. Learn how osteoarthritis (oa) affects the big toe joint, also known as the hallux, and what are the options for pain relief and. There are several forms of arthritis that can affect the toes. Treatment may include pain relievers, ice. Learn about. Arthritis In Toes Joint.
From www.dreamstime.com
Foot arthritis infographic stock vector. Illustration of hallux 159805934 Arthritis In Toes Joint Learn how osteoarthritis (oa) affects the big toe joint, also known as the hallux, and what are the options for pain relief and. Learn about the different types of arthritis that affect the toes, how to recognize the symptoms, and what. Arthritis most often attacks the big toe, but the. (also known as big toe joint osteoarthritis) a common condition. Arthritis In Toes Joint.
From www.danielbohl.com
Big Toe Arthritis — Daniel Bohl, MD Midwest Orthopaedics at RUSH Arthritis In Toes Joint Learn how osteoarthritis (oa) affects the big toe joint, also known as the hallux, and what are the options for pain relief and. Arthritis in toes can cause pain, stiffness, swelling, and difficulty walking. Treatment may include pain relievers, ice. (also known as big toe joint osteoarthritis) a common condition that affects the big toe joint known as 1st metatarsal. Arthritis In Toes Joint.
From www.verywellhealth.com
Early Signs of Arthritis in Feet Arthritis In Toes Joint Learn about the different types of arthritis that affect the toes, how to recognize the symptoms, and what. Toe arthritis can be caused by wear and tear of the cartilage in your toe joints, as well as inflammation of the toe joints. Arthritis is a condition that affects the joints and causes pain, swelling, and stiffness. Treatment may include pain. Arthritis In Toes Joint.
From www.alamy.com
"Rheumatoid arthritis , Gouty arthritis" Xray child's foots and Arthritis In Toes Joint Arthritis is a condition that affects the joints and causes pain, swelling, and stiffness. This article explains all you need to know about arthritis in the toes, its causes, symptoms, treatment options, and more. It can cause pain, stiffness, swelling and loss of. Learn about the different types of arthritis that affect the toes, how to recognize the symptoms, and. Arthritis In Toes Joint.
From stock.adobe.com
deformed big toe with a protruding bone. rheumatoid arthritis or gout Arthritis In Toes Joint Arthritis in toes can cause pain, stiffness, swelling, and difficulty walking. It can cause pain, stiffness, swelling and loss of. Hallux rigidus is a type of arthritis that affects the joint where your big toe meets your foot. Learn how osteoarthritis (oa) affects the big toe joint, also known as the hallux, and what are the options for pain relief. Arthritis In Toes Joint.
From www.animalia-life.club
Psoriatic Arthritis Toes Arthritis In Toes Joint Toe arthritis can be caused by wear and tear of the cartilage in your toe joints, as well as inflammation of the toe joints. Arthritis is a condition that affects the joints and causes pain, swelling, and stiffness. Treatment may include pain relievers, ice. (also known as big toe joint osteoarthritis) a common condition that affects the big toe joint. Arthritis In Toes Joint.
From balancehealth.com
What Is Gouty Arthritis? Causes, Symptoms & Treatment Arthritis In Toes Joint Treatment may include pain relievers, ice. It can cause pain, stiffness, swelling and loss of. Arthritis is a condition that affects the joints and causes pain, swelling, and stiffness. Learn about the different types of arthritis that affect the toes, how to recognize the symptoms, and what. Arthritis most often attacks the big toe, but the. (also known as big. Arthritis In Toes Joint.
From www.lfaclinic.co.uk
Midfoot Arthritis Foot Swelling The London Foot & Ankle Clinic Arthritis In Toes Joint There are several forms of arthritis that can affect the toes. Arthritis most often attacks the big toe, but the. Toe arthritis can be caused by wear and tear of the cartilage in your toe joints, as well as inflammation of the toe joints. This article explains all you need to know about arthritis in the toes, its causes, symptoms,. Arthritis In Toes Joint.
From www.footandanklegroup.com
7 Signs of Arthritis in Your Feet Foot and Ankle Group Arthritis In Toes Joint Arthritis in toes can cause pain, stiffness, swelling, and difficulty walking. Learn about the different types of arthritis that affect the toes, how to recognize the symptoms, and what. Learn how osteoarthritis (oa) affects the big toe joint, also known as the hallux, and what are the options for pain relief and. Toe arthritis can be caused by wear and. Arthritis In Toes Joint.
From www.pinterest.com
Pin on Collage Item Pins Arthritis In Toes Joint Arthritis is a condition that affects the joints and causes pain, swelling, and stiffness. Arthritis most often attacks the big toe, but the. Treatment may include pain relievers, ice. It can cause pain, stiffness, swelling and loss of. Learn how osteoarthritis (oa) affects the big toe joint, also known as the hallux, and what are the options for pain relief. Arthritis In Toes Joint.
From www.dreamstime.com
A Bone on the Foot. Bump on the Toe. Stock Photo Image of Arthritis In Toes Joint Hallux rigidus is a type of arthritis that affects the joint where your big toe meets your foot. This article explains all you need to know about arthritis in the toes, its causes, symptoms, treatment options, and more. Learn how osteoarthritis (oa) affects the big toe joint, also known as the hallux, and what are the options for pain relief. Arthritis In Toes Joint.
From www.medicalnewstoday.com
Arthritis in toes Procedures and pain relief Arthritis In Toes Joint Hallux rigidus is a type of arthritis that affects the joint where your big toe meets your foot. This article explains all you need to know about arthritis in the toes, its causes, symptoms, treatment options, and more. Learn about the different types of arthritis that affect the toes, how to recognize the symptoms, and what. Arthritis is a condition. Arthritis In Toes Joint.
From www.davidredfernsurgery.com
Big Toe Arthritis Arthritis Treatment & Surgery David Redfern Arthritis In Toes Joint Learn about the different types of arthritis that affect the toes, how to recognize the symptoms, and what. Hallux rigidus is a type of arthritis that affects the joint where your big toe meets your foot. It can cause pain, stiffness, swelling and loss of. Learn how osteoarthritis (oa) affects the big toe joint, also known as the hallux, and. Arthritis In Toes Joint.
From footeducation.com
Hallux Rigidus (Big Toe Arthritis) FootEducation Arthritis In Toes Joint There are several forms of arthritis that can affect the toes. Hallux rigidus is a type of arthritis that affects the joint where your big toe meets your foot. Arthritis is a condition that affects the joints and causes pain, swelling, and stiffness. (also known as big toe joint osteoarthritis) a common condition that affects the big toe joint known. Arthritis In Toes Joint.
From exolexsgb.blob.core.windows.net
Big Toe Joint Pain When Flexed at Glenn Bump blog Arthritis In Toes Joint Arthritis most often attacks the big toe, but the. There are several forms of arthritis that can affect the toes. Learn about the different types of arthritis that affect the toes, how to recognize the symptoms, and what. This article explains all you need to know about arthritis in the toes, its causes, symptoms, treatment options, and more. Arthritis is. Arthritis In Toes Joint.
From www.verywellhealth.com
Symptoms of Arthritis of the Big Toe (Hallux Rigidus) Arthritis In Toes Joint Arthritis in toes can cause pain, stiffness, swelling, and difficulty walking. It can cause pain, stiffness, swelling and loss of. Learn about the different types of arthritis that affect the toes, how to recognize the symptoms, and what. This article explains all you need to know about arthritis in the toes, its causes, symptoms, treatment options, and more. Arthritis is. Arthritis In Toes Joint.
From www.thefeetpeople.com.au
Rheumatoid Arthritis Symptoms, Causes & Treatment The Feet People Arthritis In Toes Joint Toe arthritis can be caused by wear and tear of the cartilage in your toe joints, as well as inflammation of the toe joints. Learn about the different types of arthritis that affect the toes, how to recognize the symptoms, and what. This article explains all you need to know about arthritis in the toes, its causes, symptoms, treatment options,. Arthritis In Toes Joint.
From ar.inspiredpencil.com
Arthritis In Little Toe Arthritis In Toes Joint Toe arthritis can be caused by wear and tear of the cartilage in your toe joints, as well as inflammation of the toe joints. This article explains all you need to know about arthritis in the toes, its causes, symptoms, treatment options, and more. (also known as big toe joint osteoarthritis) a common condition that affects the big toe joint. Arthritis In Toes Joint.
From flawlessphysio.co.uk
Arthritis in Big Toe Learn how to identify and treat Hallix Rigidus Arthritis In Toes Joint Arthritis in toes can cause pain, stiffness, swelling, and difficulty walking. This article explains all you need to know about arthritis in the toes, its causes, symptoms, treatment options, and more. (also known as big toe joint osteoarthritis) a common condition that affects the big toe joint known as 1st metatarsal phalangeal joint. Toe arthritis can be caused by wear. Arthritis In Toes Joint.
From arthritishq.blogspot.com
arthritishq Rheumatoid Arthritis in Feet Arthritis In Toes Joint This article explains all you need to know about arthritis in the toes, its causes, symptoms, treatment options, and more. Treatment may include pain relievers, ice. It can cause pain, stiffness, swelling and loss of. Arthritis is a condition that affects the joints and causes pain, swelling, and stiffness. Arthritis in toes can cause pain, stiffness, swelling, and difficulty walking.. Arthritis In Toes Joint.
From www.medicalnewstoday.com
Gout in big toe How to identify, causes, and treatment Arthritis In Toes Joint There are several forms of arthritis that can affect the toes. Arthritis in toes can cause pain, stiffness, swelling, and difficulty walking. This article explains all you need to know about arthritis in the toes, its causes, symptoms, treatment options, and more. Treatment may include pain relievers, ice. It can cause pain, stiffness, swelling and loss of. Learn how osteoarthritis. Arthritis In Toes Joint.
From footeducation.com
Bones and Joints of the Foot and Ankle Overview FootEducation Arthritis In Toes Joint Toe arthritis can be caused by wear and tear of the cartilage in your toe joints, as well as inflammation of the toe joints. Learn about the different types of arthritis that affect the toes, how to recognize the symptoms, and what. It can cause pain, stiffness, swelling and loss of. This article explains all you need to know about. Arthritis In Toes Joint.
From www.footfirst.com
Arthritic Big Toe — Foot First Podiatry Centers Arthritis In Toes Joint There are several forms of arthritis that can affect the toes. Arthritis is a condition that affects the joints and causes pain, swelling, and stiffness. This article explains all you need to know about arthritis in the toes, its causes, symptoms, treatment options, and more. Hallux rigidus is a type of arthritis that affects the joint where your big toe. Arthritis In Toes Joint.
From www.dreamstime.com
Rheumatoid Arthritis in Foot. Claw or Hammer Toes. Dislocation of Arthritis In Toes Joint Arthritis in toes can cause pain, stiffness, swelling, and difficulty walking. Learn about the different types of arthritis that affect the toes, how to recognize the symptoms, and what. Treatment may include pain relievers, ice. There are several forms of arthritis that can affect the toes. This article explains all you need to know about arthritis in the toes, its. Arthritis In Toes Joint.
From www.verywellhealth.com
Arthritis in the Toes Overview and More Arthritis In Toes Joint This article explains all you need to know about arthritis in the toes, its causes, symptoms, treatment options, and more. Arthritis most often attacks the big toe, but the. Arthritis is a condition that affects the joints and causes pain, swelling, and stiffness. Toe arthritis can be caused by wear and tear of the cartilage in your toe joints, as. Arthritis In Toes Joint.
From hxetbqstj.blob.core.windows.net
Does Arthritis Cause Bumps On Fingers at Donald Bender blog Arthritis In Toes Joint Arthritis is a condition that affects the joints and causes pain, swelling, and stiffness. (also known as big toe joint osteoarthritis) a common condition that affects the big toe joint known as 1st metatarsal phalangeal joint. There are several forms of arthritis that can affect the toes. Arthritis in toes can cause pain, stiffness, swelling, and difficulty walking. Learn about. Arthritis In Toes Joint.
From www.healthclues.net
Rheumatoid Arthritis Rheumatoid Arthritis Treatment Healthclues Arthritis In Toes Joint Arthritis in toes can cause pain, stiffness, swelling, and difficulty walking. Learn about the different types of arthritis that affect the toes, how to recognize the symptoms, and what. Learn how osteoarthritis (oa) affects the big toe joint, also known as the hallux, and what are the options for pain relief and. There are several forms of arthritis that can. Arthritis In Toes Joint.
From www.michiganfootdoctors.com
Ganglion Cyst in the Big Toe Joint [Causes, Symptoms & Best Treatment!] Arthritis In Toes Joint (also known as big toe joint osteoarthritis) a common condition that affects the big toe joint known as 1st metatarsal phalangeal joint. Arthritis is a condition that affects the joints and causes pain, swelling, and stiffness. Toe arthritis can be caused by wear and tear of the cartilage in your toe joints, as well as inflammation of the toe joints.. Arthritis In Toes Joint.
From kalyanhospital.com
Symptoms of Arthritis in Toe Joint Arthritis In Toes Joint Learn how osteoarthritis (oa) affects the big toe joint, also known as the hallux, and what are the options for pain relief and. There are several forms of arthritis that can affect the toes. Arthritis is a condition that affects the joints and causes pain, swelling, and stiffness. Arthritis most often attacks the big toe, but the. (also known as. Arthritis In Toes Joint.
From www.walmart.com
Conceptual image of gout in the big toe Gout is a form of inflammatory Arthritis In Toes Joint Arthritis most often attacks the big toe, but the. (also known as big toe joint osteoarthritis) a common condition that affects the big toe joint known as 1st metatarsal phalangeal joint. Toe arthritis can be caused by wear and tear of the cartilage in your toe joints, as well as inflammation of the toe joints. Arthritis in toes can cause. Arthritis In Toes Joint.
From www.hss.edu
Gout / Gouty Arthritis Symptoms, Diagnosis and Treatment HSS Arthritis In Toes Joint Hallux rigidus is a type of arthritis that affects the joint where your big toe meets your foot. This article explains all you need to know about arthritis in the toes, its causes, symptoms, treatment options, and more. Arthritis in toes can cause pain, stiffness, swelling, and difficulty walking. There are several forms of arthritis that can affect the toes.. Arthritis In Toes Joint.
From creakyjoints.org
Arthritis in Toes Symptoms, Causes, Diagnosis, and Treatment Arthritis In Toes Joint Arthritis is a condition that affects the joints and causes pain, swelling, and stiffness. Arthritis in toes can cause pain, stiffness, swelling, and difficulty walking. (also known as big toe joint osteoarthritis) a common condition that affects the big toe joint known as 1st metatarsal phalangeal joint. Learn how osteoarthritis (oa) affects the big toe joint, also known as the. Arthritis In Toes Joint.
From christopherpmillermd.com
Hallux Rigidus Arthritis of the big toe Christopher Miller Arthritis In Toes Joint Treatment may include pain relievers, ice. (also known as big toe joint osteoarthritis) a common condition that affects the big toe joint known as 1st metatarsal phalangeal joint. Arthritis in toes can cause pain, stiffness, swelling, and difficulty walking. Arthritis is a condition that affects the joints and causes pain, swelling, and stiffness. It can cause pain, stiffness, swelling and. Arthritis In Toes Joint.
From www.verywellhealth.com
Gout Signs, Symptoms, and Complications Arthritis In Toes Joint There are several forms of arthritis that can affect the toes. Toe arthritis can be caused by wear and tear of the cartilage in your toe joints, as well as inflammation of the toe joints. This article explains all you need to know about arthritis in the toes, its causes, symptoms, treatment options, and more. (also known as big toe. Arthritis In Toes Joint.