Cast After Lisfranc Surgery . what happens after surgery on the lisfranc joint? You may need crutches to help support your body weight. One stepwise generic approach to. To start, for a period of six to eight weeks one will have. following your surgery, you may need to wear a cast for 6 to 8 weeks. the healing process after lisfranc injury surgery is a lengthy one. sutures will be removed about two weeks after surgery and you will have a cast or cam boot. the lisfranc injury can vary widely, and the treatment plan will differ for each case. lisfranc injuries can occur in a wide array of scenarios including motor vehicle accidents (43%), falls from heights (24%), crush.
from www.researchgate.net
following your surgery, you may need to wear a cast for 6 to 8 weeks. sutures will be removed about two weeks after surgery and you will have a cast or cam boot. One stepwise generic approach to. the lisfranc injury can vary widely, and the treatment plan will differ for each case. what happens after surgery on the lisfranc joint? lisfranc injuries can occur in a wide array of scenarios including motor vehicle accidents (43%), falls from heights (24%), crush. the healing process after lisfranc injury surgery is a lengthy one. To start, for a period of six to eight weeks one will have. You may need crutches to help support your body weight.
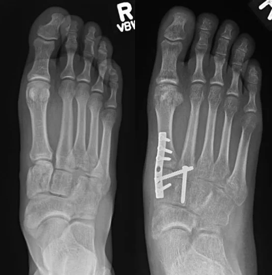
2 weeks after Lisfrancarhrodesis with TPAugmentation. A before cast
Cast After Lisfranc Surgery To start, for a period of six to eight weeks one will have. You may need crutches to help support your body weight. what happens after surgery on the lisfranc joint? sutures will be removed about two weeks after surgery and you will have a cast or cam boot. the lisfranc injury can vary widely, and the treatment plan will differ for each case. the healing process after lisfranc injury surgery is a lengthy one. lisfranc injuries can occur in a wide array of scenarios including motor vehicle accidents (43%), falls from heights (24%), crush. following your surgery, you may need to wear a cast for 6 to 8 weeks. To start, for a period of six to eight weeks one will have. One stepwise generic approach to.
From lisfrancsurgery.blogspot.com
After LisFranc Surgery 22 weeks post lisfranc surgery Cast After Lisfranc Surgery One stepwise generic approach to. You may need crutches to help support your body weight. the healing process after lisfranc injury surgery is a lengthy one. what happens after surgery on the lisfranc joint? sutures will be removed about two weeks after surgery and you will have a cast or cam boot. lisfranc injuries can occur. Cast After Lisfranc Surgery.
From orthoticsplus.com.au
Lisfranc/Midfoot Orthotics Plus Melbourne Cast After Lisfranc Surgery To start, for a period of six to eight weeks one will have. the healing process after lisfranc injury surgery is a lengthy one. You may need crutches to help support your body weight. sutures will be removed about two weeks after surgery and you will have a cast or cam boot. One stepwise generic approach to. . Cast After Lisfranc Surgery.
From lisfrancsurgery.blogspot.com
After LisFranc Surgery 22 weeks post lisfranc surgery Cast After Lisfranc Surgery One stepwise generic approach to. sutures will be removed about two weeks after surgery and you will have a cast or cam boot. following your surgery, you may need to wear a cast for 6 to 8 weeks. To start, for a period of six to eight weeks one will have. You may need crutches to help support. Cast After Lisfranc Surgery.
From www.reddit.com
9 months after my lisfranc injury, today is my hwr. They put me in cast Cast After Lisfranc Surgery the healing process after lisfranc injury surgery is a lengthy one. lisfranc injuries can occur in a wide array of scenarios including motor vehicle accidents (43%), falls from heights (24%), crush. what happens after surgery on the lisfranc joint? the lisfranc injury can vary widely, and the treatment plan will differ for each case. One stepwise. Cast After Lisfranc Surgery.
From lisfrancsurgery.blogspot.com
After LisFranc Surgery Lisfranc Hardware removal surgery Cast After Lisfranc Surgery the healing process after lisfranc injury surgery is a lengthy one. To start, for a period of six to eight weeks one will have. sutures will be removed about two weeks after surgery and you will have a cast or cam boot. One stepwise generic approach to. following your surgery, you may need to wear a cast. Cast After Lisfranc Surgery.
From lisfrancsurgery.blogspot.com
After LisFranc Surgery 10 weeks post lisfranc surgery Cast After Lisfranc Surgery lisfranc injuries can occur in a wide array of scenarios including motor vehicle accidents (43%), falls from heights (24%), crush. sutures will be removed about two weeks after surgery and you will have a cast or cam boot. To start, for a period of six to eight weeks one will have. what happens after surgery on the. Cast After Lisfranc Surgery.
From fivedockphysiotherapy.com.au
Lisfranc Injury Cast After Lisfranc Surgery the lisfranc injury can vary widely, and the treatment plan will differ for each case. what happens after surgery on the lisfranc joint? sutures will be removed about two weeks after surgery and you will have a cast or cam boot. lisfranc injuries can occur in a wide array of scenarios including motor vehicle accidents (43%),. Cast After Lisfranc Surgery.
From faoj.org
Divergent Lisfranc injury with dislocation of great toe interphalangeal Cast After Lisfranc Surgery the healing process after lisfranc injury surgery is a lengthy one. what happens after surgery on the lisfranc joint? the lisfranc injury can vary widely, and the treatment plan will differ for each case. You may need crutches to help support your body weight. One stepwise generic approach to. To start, for a period of six to. Cast After Lisfranc Surgery.
From lisfrancsurgery.blogspot.com
After LisFranc Surgery 22 weeks post lisfranc surgery Cast After Lisfranc Surgery sutures will be removed about two weeks after surgery and you will have a cast or cam boot. what happens after surgery on the lisfranc joint? the healing process after lisfranc injury surgery is a lengthy one. To start, for a period of six to eight weeks one will have. following your surgery, you may need. Cast After Lisfranc Surgery.
From www.reddit.com
Before and After surgery to repair my lisfranc injury. 5 months postop Cast After Lisfranc Surgery the lisfranc injury can vary widely, and the treatment plan will differ for each case. One stepwise generic approach to. sutures will be removed about two weeks after surgery and you will have a cast or cam boot. the healing process after lisfranc injury surgery is a lengthy one. what happens after surgery on the lisfranc. Cast After Lisfranc Surgery.
From lisfrancsurgery.blogspot.com
After LisFranc Surgery October 2013 Cast After Lisfranc Surgery To start, for a period of six to eight weeks one will have. following your surgery, you may need to wear a cast for 6 to 8 weeks. sutures will be removed about two weeks after surgery and you will have a cast or cam boot. the lisfranc injury can vary widely, and the treatment plan will. Cast After Lisfranc Surgery.
From lisfrancsurgery.blogspot.com
After LisFranc Surgery 12 weeks post lisfranc surgery Xrays Cast After Lisfranc Surgery the lisfranc injury can vary widely, and the treatment plan will differ for each case. To start, for a period of six to eight weeks one will have. sutures will be removed about two weeks after surgery and you will have a cast or cam boot. lisfranc injuries can occur in a wide array of scenarios including. Cast After Lisfranc Surgery.
From cypym.com
Fracture Lisfranc — Dr. Sagar J. Desai Orthopaedic Surgeon (2023) Cast After Lisfranc Surgery One stepwise generic approach to. To start, for a period of six to eight weeks one will have. the lisfranc injury can vary widely, and the treatment plan will differ for each case. the healing process after lisfranc injury surgery is a lengthy one. sutures will be removed about two weeks after surgery and you will have. Cast After Lisfranc Surgery.
From lisfrancsurgery.blogspot.com
After LisFranc Surgery Weekly Lisfranc Surgery images during recovery Cast After Lisfranc Surgery You may need crutches to help support your body weight. the lisfranc injury can vary widely, and the treatment plan will differ for each case. To start, for a period of six to eight weeks one will have. following your surgery, you may need to wear a cast for 6 to 8 weeks. sutures will be removed. Cast After Lisfranc Surgery.
From journals.sagepub.com
PatientReported Measures After Surgical Management of Unstable Cast After Lisfranc Surgery lisfranc injuries can occur in a wide array of scenarios including motor vehicle accidents (43%), falls from heights (24%), crush. the lisfranc injury can vary widely, and the treatment plan will differ for each case. One stepwise generic approach to. the healing process after lisfranc injury surgery is a lengthy one. following your surgery, you may. Cast After Lisfranc Surgery.
From www.pinterest.com
Broken Foot, I'm Broken, Lisfranc Injury, Ankle Injury, Long Leg Cast Cast After Lisfranc Surgery To start, for a period of six to eight weeks one will have. the healing process after lisfranc injury surgery is a lengthy one. the lisfranc injury can vary widely, and the treatment plan will differ for each case. what happens after surgery on the lisfranc joint? You may need crutches to help support your body weight.. Cast After Lisfranc Surgery.
From lisfrancsurgery.blogspot.com
After LisFranc Surgery New technology for Lisfranc injuries and fusions Cast After Lisfranc Surgery lisfranc injuries can occur in a wide array of scenarios including motor vehicle accidents (43%), falls from heights (24%), crush. what happens after surgery on the lisfranc joint? sutures will be removed about two weeks after surgery and you will have a cast or cam boot. following your surgery, you may need to wear a cast. Cast After Lisfranc Surgery.
From lisfrancsurgery.blogspot.com
After LisFranc Surgery Lisfranc surgery scar Cast After Lisfranc Surgery what happens after surgery on the lisfranc joint? lisfranc injuries can occur in a wide array of scenarios including motor vehicle accidents (43%), falls from heights (24%), crush. the lisfranc injury can vary widely, and the treatment plan will differ for each case. the healing process after lisfranc injury surgery is a lengthy one. To start,. Cast After Lisfranc Surgery.
From watsoniapodiatry.com.au
What is a Lisfranc Injury & What Can You Do? Watsonia Podiatry Cast After Lisfranc Surgery sutures will be removed about two weeks after surgery and you will have a cast or cam boot. the healing process after lisfranc injury surgery is a lengthy one. the lisfranc injury can vary widely, and the treatment plan will differ for each case. lisfranc injuries can occur in a wide array of scenarios including motor. Cast After Lisfranc Surgery.
From www.albertalaserrehab.ca
Effect Of Laser Therapy On The Lisfranc Healing Process Cast After Lisfranc Surgery You may need crutches to help support your body weight. lisfranc injuries can occur in a wide array of scenarios including motor vehicle accidents (43%), falls from heights (24%), crush. One stepwise generic approach to. what happens after surgery on the lisfranc joint? following your surgery, you may need to wear a cast for 6 to 8. Cast After Lisfranc Surgery.
From mavink.com
Lisfranc Injury Surgery Cast After Lisfranc Surgery sutures will be removed about two weeks after surgery and you will have a cast or cam boot. You may need crutches to help support your body weight. One stepwise generic approach to. the lisfranc injury can vary widely, and the treatment plan will differ for each case. lisfranc injuries can occur in a wide array of. Cast After Lisfranc Surgery.
From www.pinterest.com
80a03b9c9e16cb374a14c5f976370f87.jpg 750×1,740 pixels Leg cast, Cast Cast After Lisfranc Surgery following your surgery, you may need to wear a cast for 6 to 8 weeks. the lisfranc injury can vary widely, and the treatment plan will differ for each case. You may need crutches to help support your body weight. the healing process after lisfranc injury surgery is a lengthy one. what happens after surgery on. Cast After Lisfranc Surgery.
From www.vrogue.co
Ap Radiograph Shows Type A Lisfranc Fracture Dislocat vrogue.co Cast After Lisfranc Surgery what happens after surgery on the lisfranc joint? To start, for a period of six to eight weeks one will have. lisfranc injuries can occur in a wide array of scenarios including motor vehicle accidents (43%), falls from heights (24%), crush. the lisfranc injury can vary widely, and the treatment plan will differ for each case. One. Cast After Lisfranc Surgery.
From www.pinterest.com
Figure 1B Lisfranc Injury xray image Normal vs Injured Ehlers Cast After Lisfranc Surgery lisfranc injuries can occur in a wide array of scenarios including motor vehicle accidents (43%), falls from heights (24%), crush. sutures will be removed about two weeks after surgery and you will have a cast or cam boot. One stepwise generic approach to. To start, for a period of six to eight weeks one will have. following. Cast After Lisfranc Surgery.
From gymnastlisfranc.com
lisfranc injury A Gymnast's Lisfranc Recovery Journey Cast After Lisfranc Surgery You may need crutches to help support your body weight. the healing process after lisfranc injury surgery is a lengthy one. To start, for a period of six to eight weeks one will have. following your surgery, you may need to wear a cast for 6 to 8 weeks. what happens after surgery on the lisfranc joint?. Cast After Lisfranc Surgery.
From lisfrancsurgery.blogspot.com
After LisFranc Surgery New technology for Lisfranc injuries and fusions Cast After Lisfranc Surgery following your surgery, you may need to wear a cast for 6 to 8 weeks. what happens after surgery on the lisfranc joint? the lisfranc injury can vary widely, and the treatment plan will differ for each case. One stepwise generic approach to. sutures will be removed about two weeks after surgery and you will have. Cast After Lisfranc Surgery.
From www.pinterest.com
After recently having bunion surgery, I decided to decorate the heel Cast After Lisfranc Surgery You may need crutches to help support your body weight. what happens after surgery on the lisfranc joint? the healing process after lisfranc injury surgery is a lengthy one. One stepwise generic approach to. To start, for a period of six to eight weeks one will have. following your surgery, you may need to wear a cast. Cast After Lisfranc Surgery.
From www.jfas.org
Determining the Strongest Orientation for “Lisfranc's Screw” in Cast After Lisfranc Surgery lisfranc injuries can occur in a wide array of scenarios including motor vehicle accidents (43%), falls from heights (24%), crush. You may need crutches to help support your body weight. To start, for a period of six to eight weeks one will have. the lisfranc injury can vary widely, and the treatment plan will differ for each case.. Cast After Lisfranc Surgery.
From www.mdpi.com
Medicina Free FullText Various Flexible Fixation Techniques Using Cast After Lisfranc Surgery what happens after surgery on the lisfranc joint? the lisfranc injury can vary widely, and the treatment plan will differ for each case. the healing process after lisfranc injury surgery is a lengthy one. lisfranc injuries can occur in a wide array of scenarios including motor vehicle accidents (43%), falls from heights (24%), crush. sutures. Cast After Lisfranc Surgery.
From www.reddit.com
Lisfranc surgery 4 weeks post op Cast After Lisfranc Surgery what happens after surgery on the lisfranc joint? sutures will be removed about two weeks after surgery and you will have a cast or cam boot. To start, for a period of six to eight weeks one will have. lisfranc injuries can occur in a wide array of scenarios including motor vehicle accidents (43%), falls from heights. Cast After Lisfranc Surgery.
From lisfrancsurgery.blogspot.com
After LisFranc Surgery 15 weeks post lisfranc surgery Cast After Lisfranc Surgery following your surgery, you may need to wear a cast for 6 to 8 weeks. sutures will be removed about two weeks after surgery and you will have a cast or cam boot. the lisfranc injury can vary widely, and the treatment plan will differ for each case. what happens after surgery on the lisfranc joint?. Cast After Lisfranc Surgery.
From www.pinterest.com
Postsurgery to repair Lisfranc fractures and ligament damage. cast 1 Cast After Lisfranc Surgery One stepwise generic approach to. following your surgery, you may need to wear a cast for 6 to 8 weeks. You may need crutches to help support your body weight. lisfranc injuries can occur in a wide array of scenarios including motor vehicle accidents (43%), falls from heights (24%), crush. sutures will be removed about two weeks. Cast After Lisfranc Surgery.
From lisfrancsurgery.blogspot.com
After LisFranc Surgery Lisfranc physical therapy exercises Cast After Lisfranc Surgery the lisfranc injury can vary widely, and the treatment plan will differ for each case. following your surgery, you may need to wear a cast for 6 to 8 weeks. One stepwise generic approach to. You may need crutches to help support your body weight. what happens after surgery on the lisfranc joint? the healing process. Cast After Lisfranc Surgery.
From www.youtube.com
MY LISFRANC INJURY AND RECOVERY STORY (3 MONTH POST SURGERY UPDATE Cast After Lisfranc Surgery One stepwise generic approach to. the lisfranc injury can vary widely, and the treatment plan will differ for each case. To start, for a period of six to eight weeks one will have. following your surgery, you may need to wear a cast for 6 to 8 weeks. what happens after surgery on the lisfranc joint? You. Cast After Lisfranc Surgery.
From www.researchgate.net
2 weeks after Lisfrancarhrodesis with TPAugmentation. A before cast Cast After Lisfranc Surgery To start, for a period of six to eight weeks one will have. following your surgery, you may need to wear a cast for 6 to 8 weeks. the lisfranc injury can vary widely, and the treatment plan will differ for each case. sutures will be removed about two weeks after surgery and you will have a. Cast After Lisfranc Surgery.