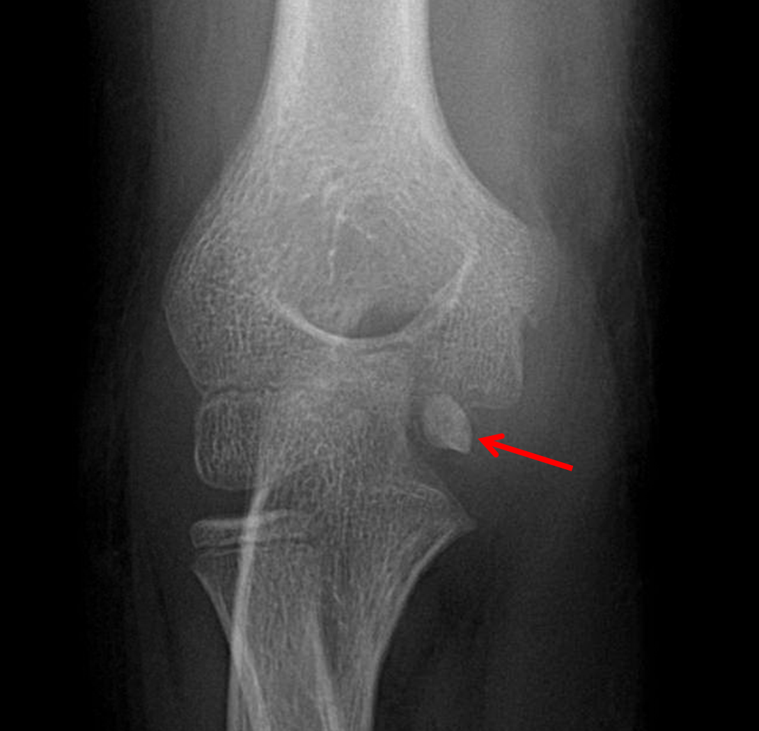
Avulsion Fracture Epicondyle . an avulsion fracture is a failure of bone in which a bone fragment is pulled away from its main body by soft tissue that is attached to it.[1][2]. medial epicondylar fractures are the third most common elbow fracture seen in children and are usually seen in boys between the. medial epicondyle avulsion fractures are of two distinct types. Type 1 lesions occur in younger patients and are. an avulsion fracture is where a small piece of bone attached to a tendon or ligament gets pulled away from the main part of the bone. trauma resulting in valgus stress on the elbow, such as falling on an outstretched hand or through throwing or wrestling, causes an. an avulsion fracture is where the muscle or ligament pulls the attachment site of the bone away from its origin. a medial epicondyle fracture is an avulsion injury of the attachment of the common flexors of the forearm.
from exohrrgte.blob.core.windows.net
medial epicondylar fractures are the third most common elbow fracture seen in children and are usually seen in boys between the. Type 1 lesions occur in younger patients and are. trauma resulting in valgus stress on the elbow, such as falling on an outstretched hand or through throwing or wrestling, causes an. medial epicondyle avulsion fractures are of two distinct types. a medial epicondyle fracture is an avulsion injury of the attachment of the common flexors of the forearm. an avulsion fracture is where the muscle or ligament pulls the attachment site of the bone away from its origin. an avulsion fracture is a failure of bone in which a bone fragment is pulled away from its main body by soft tissue that is attached to it.[1][2]. an avulsion fracture is where a small piece of bone attached to a tendon or ligament gets pulled away from the main part of the bone.
Medial Epicondyle Fracture X Ray at Johnny Whitney blog
Avulsion Fracture Epicondyle medial epicondylar fractures are the third most common elbow fracture seen in children and are usually seen in boys between the. trauma resulting in valgus stress on the elbow, such as falling on an outstretched hand or through throwing or wrestling, causes an. medial epicondylar fractures are the third most common elbow fracture seen in children and are usually seen in boys between the. medial epicondyle avulsion fractures are of two distinct types. an avulsion fracture is where a small piece of bone attached to a tendon or ligament gets pulled away from the main part of the bone. a medial epicondyle fracture is an avulsion injury of the attachment of the common flexors of the forearm. an avulsion fracture is a failure of bone in which a bone fragment is pulled away from its main body by soft tissue that is attached to it.[1][2]. an avulsion fracture is where the muscle or ligament pulls the attachment site of the bone away from its origin. Type 1 lesions occur in younger patients and are.
From www.orthobullets.com
Medial Epicondylar Fractures Pediatric Pediatrics Orthobullets Avulsion Fracture Epicondyle an avulsion fracture is where the muscle or ligament pulls the attachment site of the bone away from its origin. an avulsion fracture is a failure of bone in which a bone fragment is pulled away from its main body by soft tissue that is attached to it.[1][2]. trauma resulting in valgus stress on the elbow, such. Avulsion Fracture Epicondyle.
From mungfali.com
Medial Epicondyle Avulsion Fracture Avulsion Fracture Epicondyle Type 1 lesions occur in younger patients and are. an avulsion fracture is where a small piece of bone attached to a tendon or ligament gets pulled away from the main part of the bone. medial epicondyle avulsion fractures are of two distinct types. a medial epicondyle fracture is an avulsion injury of the attachment of the. Avulsion Fracture Epicondyle.
From teen-news-club.blogspot.com
Pediatric Medial Epicondyle Fracture A New Procedure For Fractures Of The Medial Epicondyle In Avulsion Fracture Epicondyle medial epicondylar fractures are the third most common elbow fracture seen in children and are usually seen in boys between the. an avulsion fracture is where the muscle or ligament pulls the attachment site of the bone away from its origin. a medial epicondyle fracture is an avulsion injury of the attachment of the common flexors of. Avulsion Fracture Epicondyle.
From dontforgetthebubbles.com
Apophysitis Avulsion Fracture Epicondyle an avulsion fracture is where a small piece of bone attached to a tendon or ligament gets pulled away from the main part of the bone. medial epicondylar fractures are the third most common elbow fracture seen in children and are usually seen in boys between the. Type 1 lesions occur in younger patients and are. an. Avulsion Fracture Epicondyle.
From jetem.org
Lateral Epicondyle Fracture JETem Avulsion Fracture Epicondyle trauma resulting in valgus stress on the elbow, such as falling on an outstretched hand or through throwing or wrestling, causes an. an avulsion fracture is where the muscle or ligament pulls the attachment site of the bone away from its origin. a medial epicondyle fracture is an avulsion injury of the attachment of the common flexors. Avulsion Fracture Epicondyle.
From www.theinjurysource.com
Medial Epicondyle Fractures in Young Athletes Avulsion Fracture Epicondyle an avulsion fracture is where a small piece of bone attached to a tendon or ligament gets pulled away from the main part of the bone. Type 1 lesions occur in younger patients and are. an avulsion fracture is where the muscle or ligament pulls the attachment site of the bone away from its origin. trauma resulting. Avulsion Fracture Epicondyle.
From radiopaedia.org
Medial epicondyle avulsion fracture Image Avulsion Fracture Epicondyle trauma resulting in valgus stress on the elbow, such as falling on an outstretched hand or through throwing or wrestling, causes an. medial epicondyle avulsion fractures are of two distinct types. an avulsion fracture is where the muscle or ligament pulls the attachment site of the bone away from its origin. medial epicondylar fractures are the. Avulsion Fracture Epicondyle.
From www.researchgate.net
Anteroposterior and lateral radiographs of the left elbow joint after... Download Scientific Avulsion Fracture Epicondyle trauma resulting in valgus stress on the elbow, such as falling on an outstretched hand or through throwing or wrestling, causes an. Type 1 lesions occur in younger patients and are. an avulsion fracture is where a small piece of bone attached to a tendon or ligament gets pulled away from the main part of the bone. . Avulsion Fracture Epicondyle.
From www.researchgate.net
Medial epicondyle avulsion fracture in a 6yearold child after a fall.... Download Scientific Avulsion Fracture Epicondyle trauma resulting in valgus stress on the elbow, such as falling on an outstretched hand or through throwing or wrestling, causes an. an avulsion fracture is where the muscle or ligament pulls the attachment site of the bone away from its origin. medial epicondyle avulsion fractures are of two distinct types. medial epicondylar fractures are the. Avulsion Fracture Epicondyle.
From radiopaedia.org
Medial epicondyle avulsion fracture Image Avulsion Fracture Epicondyle a medial epicondyle fracture is an avulsion injury of the attachment of the common flexors of the forearm. trauma resulting in valgus stress on the elbow, such as falling on an outstretched hand or through throwing or wrestling, causes an. an avulsion fracture is where a small piece of bone attached to a tendon or ligament gets. Avulsion Fracture Epicondyle.
From www.orthobullets.com
Medial Epicondylar Fractures Pediatric Pediatrics Orthobullets Avulsion Fracture Epicondyle medial epicondylar fractures are the third most common elbow fracture seen in children and are usually seen in boys between the. a medial epicondyle fracture is an avulsion injury of the attachment of the common flexors of the forearm. medial epicondyle avulsion fractures are of two distinct types. Type 1 lesions occur in younger patients and are.. Avulsion Fracture Epicondyle.
From dziewczyny-panfu.blogspot.com
Medial Epicondyle Fracture Treatment Pdf Treatment Of Medial Epicondyle Fracture Without Avulsion Fracture Epicondyle Type 1 lesions occur in younger patients and are. an avulsion fracture is where the muscle or ligament pulls the attachment site of the bone away from its origin. medial epicondylar fractures are the third most common elbow fracture seen in children and are usually seen in boys between the. medial epicondyle avulsion fractures are of two. Avulsion Fracture Epicondyle.
From www.vrogue.co
Medial Epicondyle Avulsion Fractures Dr Christopher S vrogue.co Avulsion Fracture Epicondyle an avulsion fracture is a failure of bone in which a bone fragment is pulled away from its main body by soft tissue that is attached to it.[1][2]. medial epicondyle avulsion fractures are of two distinct types. Type 1 lesions occur in younger patients and are. trauma resulting in valgus stress on the elbow, such as falling. Avulsion Fracture Epicondyle.
From www.orthobullets.com
Medial Epicondylar Fractures Pediatric Pediatrics Orthobullets Avulsion Fracture Epicondyle a medial epicondyle fracture is an avulsion injury of the attachment of the common flexors of the forearm. an avulsion fracture is a failure of bone in which a bone fragment is pulled away from its main body by soft tissue that is attached to it.[1][2]. an avulsion fracture is where the muscle or ligament pulls the. Avulsion Fracture Epicondyle.
From www.hss.edu
Broken Elbows in Children and Teenagers An Overview HSS Avulsion Fracture Epicondyle an avulsion fracture is a failure of bone in which a bone fragment is pulled away from its main body by soft tissue that is attached to it.[1][2]. Type 1 lesions occur in younger patients and are. an avulsion fracture is where the muscle or ligament pulls the attachment site of the bone away from its origin. . Avulsion Fracture Epicondyle.
From www.schreibermd.com
Kid's Elbow Fracture Raleigh Hand Surgery — Joseph J. Schreiber, MD Avulsion Fracture Epicondyle trauma resulting in valgus stress on the elbow, such as falling on an outstretched hand or through throwing or wrestling, causes an. medial epicondylar fractures are the third most common elbow fracture seen in children and are usually seen in boys between the. an avulsion fracture is a failure of bone in which a bone fragment is. Avulsion Fracture Epicondyle.
From www.okthrowingathlete.com
Medial Epicondyle Avulsion Fractures Oklahoma County Little Leaguer’s Elbow Oklahoma County Avulsion Fracture Epicondyle an avulsion fracture is where a small piece of bone attached to a tendon or ligament gets pulled away from the main part of the bone. a medial epicondyle fracture is an avulsion injury of the attachment of the common flexors of the forearm. medial epicondylar fractures are the third most common elbow fracture seen in children. Avulsion Fracture Epicondyle.
From radiopaedia.org
Medial epicondyle avulsion fracture Image Avulsion Fracture Epicondyle medial epicondyle avulsion fractures are of two distinct types. an avulsion fracture is where a small piece of bone attached to a tendon or ligament gets pulled away from the main part of the bone. trauma resulting in valgus stress on the elbow, such as falling on an outstretched hand or through throwing or wrestling, causes an.. Avulsion Fracture Epicondyle.
From mavink.com
Lateral Epicondyle Avulsion Fracture Avulsion Fracture Epicondyle an avulsion fracture is where the muscle or ligament pulls the attachment site of the bone away from its origin. trauma resulting in valgus stress on the elbow, such as falling on an outstretched hand or through throwing or wrestling, causes an. an avulsion fracture is where a small piece of bone attached to a tendon or. Avulsion Fracture Epicondyle.
From www.pinterest.es
Lateral epicondyar avulsion Radiology Case Radiology, Medical imaging Avulsion Fracture Epicondyle trauma resulting in valgus stress on the elbow, such as falling on an outstretched hand or through throwing or wrestling, causes an. medial epicondyle avulsion fractures are of two distinct types. medial epicondylar fractures are the third most common elbow fracture seen in children and are usually seen in boys between the. an avulsion fracture is. Avulsion Fracture Epicondyle.
From www.slideshare.net
Apophyseal injuries of elbow , medial epicondyle avulsion fractures Avulsion Fracture Epicondyle medial epicondyle avulsion fractures are of two distinct types. a medial epicondyle fracture is an avulsion injury of the attachment of the common flexors of the forearm. trauma resulting in valgus stress on the elbow, such as falling on an outstretched hand or through throwing or wrestling, causes an. an avulsion fracture is a failure of. Avulsion Fracture Epicondyle.
From radiologypics.com
Lateral Epicondyle Avulsion Fracture Avulsion Fracture Epicondyle trauma resulting in valgus stress on the elbow, such as falling on an outstretched hand or through throwing or wrestling, causes an. an avulsion fracture is where the muscle or ligament pulls the attachment site of the bone away from its origin. an avulsion fracture is where a small piece of bone attached to a tendon or. Avulsion Fracture Epicondyle.
From radiopaedia.org
Medial epicondyle avulsion Image Avulsion Fracture Epicondyle an avulsion fracture is where the muscle or ligament pulls the attachment site of the bone away from its origin. an avulsion fracture is a failure of bone in which a bone fragment is pulled away from its main body by soft tissue that is attached to it.[1][2]. Type 1 lesions occur in younger patients and are. . Avulsion Fracture Epicondyle.
From radiopaedia.org
Medial epicondyle avulsion fracture Image Avulsion Fracture Epicondyle a medial epicondyle fracture is an avulsion injury of the attachment of the common flexors of the forearm. an avulsion fracture is where the muscle or ligament pulls the attachment site of the bone away from its origin. Type 1 lesions occur in younger patients and are. an avulsion fracture is a failure of bone in which. Avulsion Fracture Epicondyle.
From www.researchgate.net
Treatment of humeral epicondyle avulsion fracture. Download Scientific Diagram Avulsion Fracture Epicondyle medial epicondyle avulsion fractures are of two distinct types. an avulsion fracture is where a small piece of bone attached to a tendon or ligament gets pulled away from the main part of the bone. medial epicondylar fractures are the third most common elbow fracture seen in children and are usually seen in boys between the. . Avulsion Fracture Epicondyle.
From exohrrgte.blob.core.windows.net
Medial Epicondyle Fracture X Ray at Johnny Whitney blog Avulsion Fracture Epicondyle an avulsion fracture is where the muscle or ligament pulls the attachment site of the bone away from its origin. an avulsion fracture is where a small piece of bone attached to a tendon or ligament gets pulled away from the main part of the bone. Type 1 lesions occur in younger patients and are. trauma resulting. Avulsion Fracture Epicondyle.
From radiologyinthai.blogspot.com
RiT radiology Medial Epicondyle Fracture of the Humerus Avulsion Fracture Epicondyle Type 1 lesions occur in younger patients and are. an avulsion fracture is where a small piece of bone attached to a tendon or ligament gets pulled away from the main part of the bone. trauma resulting in valgus stress on the elbow, such as falling on an outstretched hand or through throwing or wrestling, causes an. . Avulsion Fracture Epicondyle.
From www.researchgate.net
(PDF) Medial Epicondyle Avulsion Fracture with Joint Entrapment in Children Avulsion Fracture Epicondyle medial epicondylar fractures are the third most common elbow fracture seen in children and are usually seen in boys between the. an avulsion fracture is where a small piece of bone attached to a tendon or ligament gets pulled away from the main part of the bone. an avulsion fracture is where the muscle or ligament pulls. Avulsion Fracture Epicondyle.
From www.semanticscholar.org
Figure 1 from Avulsion fracture of the medial epicondyle caused by arm wrestling Semantic Scholar Avulsion Fracture Epicondyle a medial epicondyle fracture is an avulsion injury of the attachment of the common flexors of the forearm. an avulsion fracture is where a small piece of bone attached to a tendon or ligament gets pulled away from the main part of the bone. medial epicondylar fractures are the third most common elbow fracture seen in children. Avulsion Fracture Epicondyle.
From radiopaedia.org
Medial epicondyle avulsion fracture Image Avulsion Fracture Epicondyle medial epicondylar fractures are the third most common elbow fracture seen in children and are usually seen in boys between the. trauma resulting in valgus stress on the elbow, such as falling on an outstretched hand or through throwing or wrestling, causes an. a medial epicondyle fracture is an avulsion injury of the attachment of the common. Avulsion Fracture Epicondyle.
From mavink.com
Medial Epicondyle Avulsion Fracture Avulsion Fracture Epicondyle Type 1 lesions occur in younger patients and are. medial epicondylar fractures are the third most common elbow fracture seen in children and are usually seen in boys between the. medial epicondyle avulsion fractures are of two distinct types. a medial epicondyle fracture is an avulsion injury of the attachment of the common flexors of the forearm.. Avulsion Fracture Epicondyle.
From www.ajronline.org
Avulsion of the Medial Epicondyle After Ulnar Collateral Ligament Reconstruction Imaging of a Avulsion Fracture Epicondyle an avulsion fracture is a failure of bone in which a bone fragment is pulled away from its main body by soft tissue that is attached to it.[1][2]. a medial epicondyle fracture is an avulsion injury of the attachment of the common flexors of the forearm. medial epicondylar fractures are the third most common elbow fracture seen. Avulsion Fracture Epicondyle.
From www.wjgnet.com
Lateral epicondyle osteotomy approach for coronal shear fractures of the distal humerus Report Avulsion Fracture Epicondyle medial epicondyle avulsion fractures are of two distinct types. a medial epicondyle fracture is an avulsion injury of the attachment of the common flexors of the forearm. an avulsion fracture is where a small piece of bone attached to a tendon or ligament gets pulled away from the main part of the bone. an avulsion fracture. Avulsion Fracture Epicondyle.
From radiopaedia.org
Medial epicondyle avulsion fracture Image Avulsion Fracture Epicondyle an avulsion fracture is where a small piece of bone attached to a tendon or ligament gets pulled away from the main part of the bone. a medial epicondyle fracture is an avulsion injury of the attachment of the common flexors of the forearm. trauma resulting in valgus stress on the elbow, such as falling on an. Avulsion Fracture Epicondyle.
From www.jshoulderelbow.org
Acute, avulsion fractures of the medial epicondyle while throwing in youth baseball players A Avulsion Fracture Epicondyle medial epicondylar fractures are the third most common elbow fracture seen in children and are usually seen in boys between the. an avulsion fracture is where the muscle or ligament pulls the attachment site of the bone away from its origin. an avulsion fracture is a failure of bone in which a bone fragment is pulled away. Avulsion Fracture Epicondyle.