Can A Hip X Ray Show Cancer . However, those signs are also consistent with other conditions. Can bone cancer be found early? Spread to the bone from a cancer that started somewhere else in the body (secondary bone cancer). This article outlines the types of cancer that can affect the hip. Doctors typically require further tests to diagnose bone cancer or. A biopsy may be needed to diagnose a malignant tumor. Mris can usually show if it’s likely to be a tumor, an. Learn the signs and symptoms of bone cancer. Bone cancer in the hip may cause pain, but hip pain is usually due to another cause. Find out how bone cancer is tested for, diagnosed, and staged.
from www.sciencephoto.com
This article outlines the types of cancer that can affect the hip. Learn the signs and symptoms of bone cancer. Doctors typically require further tests to diagnose bone cancer or. Can bone cancer be found early? Spread to the bone from a cancer that started somewhere else in the body (secondary bone cancer). A biopsy may be needed to diagnose a malignant tumor. Mris can usually show if it’s likely to be a tumor, an. Bone cancer in the hip may cause pain, but hip pain is usually due to another cause. Find out how bone cancer is tested for, diagnosed, and staged. However, those signs are also consistent with other conditions.
Bone marrow cancer, Xray Stock Image C020/7258 Science Photo Library
Can A Hip X Ray Show Cancer Doctors typically require further tests to diagnose bone cancer or. A biopsy may be needed to diagnose a malignant tumor. Can bone cancer be found early? Mris can usually show if it’s likely to be a tumor, an. Bone cancer in the hip may cause pain, but hip pain is usually due to another cause. Learn the signs and symptoms of bone cancer. Spread to the bone from a cancer that started somewhere else in the body (secondary bone cancer). Find out how bone cancer is tested for, diagnosed, and staged. This article outlines the types of cancer that can affect the hip. However, those signs are also consistent with other conditions. Doctors typically require further tests to diagnose bone cancer or.
From www.shutterstock.com
X Ray Both Hips Picture Radiograph 스톡 사진 1609543636 Shutterstock Can A Hip X Ray Show Cancer Mris can usually show if it’s likely to be a tumor, an. Doctors typically require further tests to diagnose bone cancer or. Can bone cancer be found early? Find out how bone cancer is tested for, diagnosed, and staged. This article outlines the types of cancer that can affect the hip. Spread to the bone from a cancer that started. Can A Hip X Ray Show Cancer.
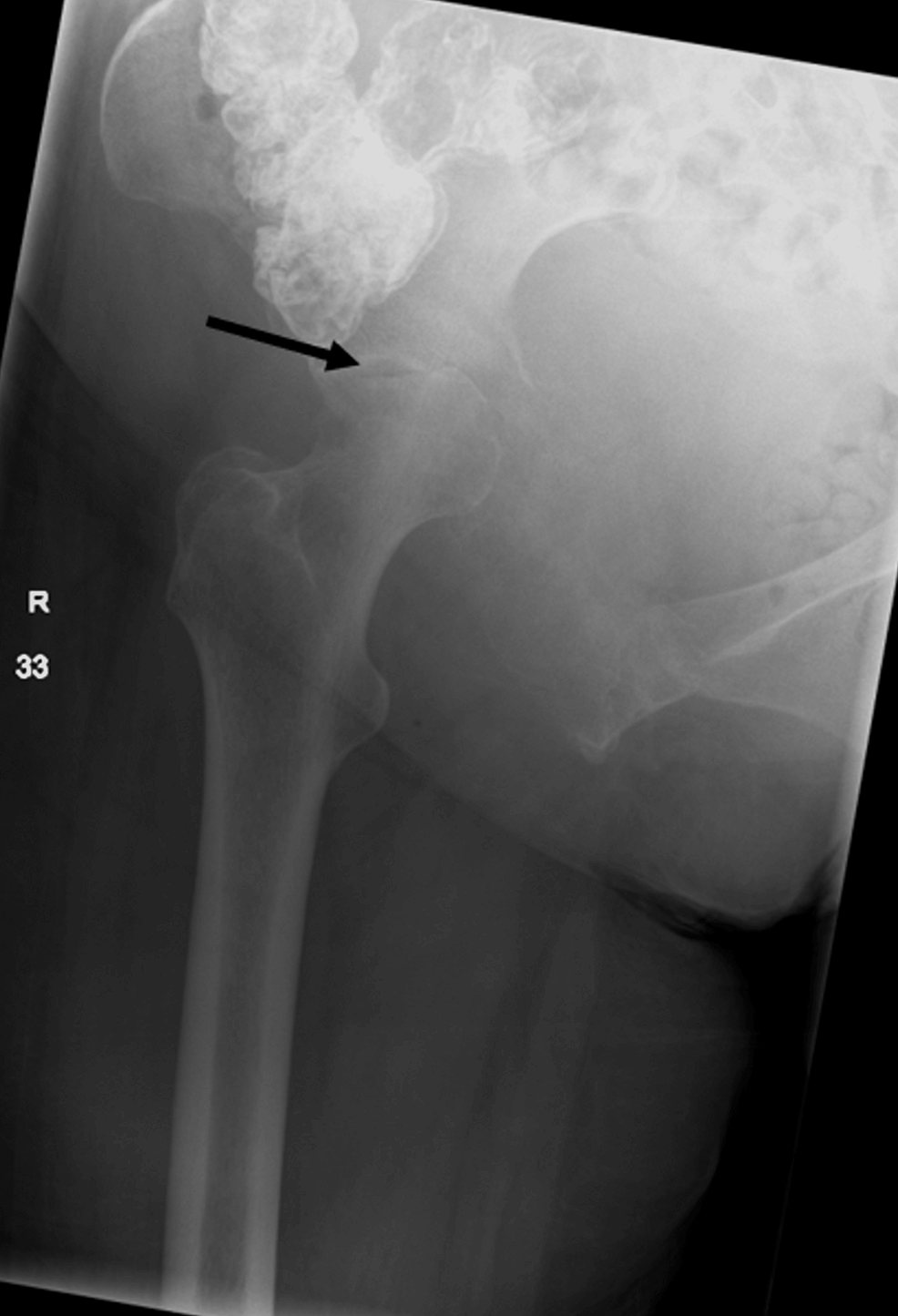
From nghenhansu.edu.vn
Collection 103+ Images Pictures Of Bone Cancer In Hip Full HD, 2k, 4k Can A Hip X Ray Show Cancer Mris can usually show if it’s likely to be a tumor, an. Bone cancer in the hip may cause pain, but hip pain is usually due to another cause. This article outlines the types of cancer that can affect the hip. However, those signs are also consistent with other conditions. Spread to the bone from a cancer that started somewhere. Can A Hip X Ray Show Cancer.
From regenexx.com
hip arthritis xray Can A Hip X Ray Show Cancer Mris can usually show if it’s likely to be a tumor, an. This article outlines the types of cancer that can affect the hip. Can bone cancer be found early? Spread to the bone from a cancer that started somewhere else in the body (secondary bone cancer). A biopsy may be needed to diagnose a malignant tumor. However, those signs. Can A Hip X Ray Show Cancer.
From www.sciencephoto.com
Bone marrow cancer, Xray Stock Image C020/7258 Science Photo Library Can A Hip X Ray Show Cancer However, those signs are also consistent with other conditions. Spread to the bone from a cancer that started somewhere else in the body (secondary bone cancer). A biopsy may be needed to diagnose a malignant tumor. This article outlines the types of cancer that can affect the hip. Bone cancer in the hip may cause pain, but hip pain is. Can A Hip X Ray Show Cancer.
From www.mdpi.com
Biomolecules Free FullText Deep Learning for Osteoporosis Can A Hip X Ray Show Cancer However, those signs are also consistent with other conditions. Spread to the bone from a cancer that started somewhere else in the body (secondary bone cancer). Find out how bone cancer is tested for, diagnosed, and staged. Mris can usually show if it’s likely to be a tumor, an. Can bone cancer be found early? Doctors typically require further tests. Can A Hip X Ray Show Cancer.
From tumorsurgery.org
Tumor Surgery Bone Cancer Tumors Surgeon NYC Can A Hip X Ray Show Cancer Doctors typically require further tests to diagnose bone cancer or. Can bone cancer be found early? Learn the signs and symptoms of bone cancer. This article outlines the types of cancer that can affect the hip. Bone cancer in the hip may cause pain, but hip pain is usually due to another cause. However, those signs are also consistent with. Can A Hip X Ray Show Cancer.
From www.youtube.com
Interpreting XRays of the Pelvis, Hip Joint and Femur YouTube Can A Hip X Ray Show Cancer Doctors typically require further tests to diagnose bone cancer or. A biopsy may be needed to diagnose a malignant tumor. Mris can usually show if it’s likely to be a tumor, an. However, those signs are also consistent with other conditions. Learn the signs and symptoms of bone cancer. Spread to the bone from a cancer that started somewhere else. Can A Hip X Ray Show Cancer.
From mavink.com
Hip X Ray Labeled Can A Hip X Ray Show Cancer This article outlines the types of cancer that can affect the hip. Can bone cancer be found early? Learn the signs and symptoms of bone cancer. A biopsy may be needed to diagnose a malignant tumor. However, those signs are also consistent with other conditions. Bone cancer in the hip may cause pain, but hip pain is usually due to. Can A Hip X Ray Show Cancer.
From www.healthline.com
Can an XRay Show Bone Cancer? Can A Hip X Ray Show Cancer Doctors typically require further tests to diagnose bone cancer or. Find out how bone cancer is tested for, diagnosed, and staged. This article outlines the types of cancer that can affect the hip. Can bone cancer be found early? A biopsy may be needed to diagnose a malignant tumor. However, those signs are also consistent with other conditions. Mris can. Can A Hip X Ray Show Cancer.
From orthoinfo.aaos.org
Arthritis An Overview OrthoInfo AAOS Can A Hip X Ray Show Cancer Bone cancer in the hip may cause pain, but hip pain is usually due to another cause. Find out how bone cancer is tested for, diagnosed, and staged. However, those signs are also consistent with other conditions. Learn the signs and symptoms of bone cancer. This article outlines the types of cancer that can affect the hip. Doctors typically require. Can A Hip X Ray Show Cancer.
From www.cureus.com
Unmasking Nonsmall Cell Lung Cancer The Unusual Trail of Hip Pain and Can A Hip X Ray Show Cancer Can bone cancer be found early? Spread to the bone from a cancer that started somewhere else in the body (secondary bone cancer). Find out how bone cancer is tested for, diagnosed, and staged. Learn the signs and symptoms of bone cancer. Mris can usually show if it’s likely to be a tumor, an. Bone cancer in the hip may. Can A Hip X Ray Show Cancer.
From expedition-01.blogspot.com
Signs Of Bone Cancer In Pelvis STOCK IMAGE, xray of the pelvis and Can A Hip X Ray Show Cancer Mris can usually show if it’s likely to be a tumor, an. However, those signs are also consistent with other conditions. A biopsy may be needed to diagnose a malignant tumor. Can bone cancer be found early? Find out how bone cancer is tested for, diagnosed, and staged. Spread to the bone from a cancer that started somewhere else in. Can A Hip X Ray Show Cancer.
From pixels.com
Secondary Bone Cancer In The Hip Photograph by Zephyr/science Photo Can A Hip X Ray Show Cancer Mris can usually show if it’s likely to be a tumor, an. Can bone cancer be found early? Find out how bone cancer is tested for, diagnosed, and staged. Bone cancer in the hip may cause pain, but hip pain is usually due to another cause. This article outlines the types of cancer that can affect the hip. A biopsy. Can A Hip X Ray Show Cancer.
From buyxraysonline.com
HIP CANCER Can A Hip X Ray Show Cancer Learn the signs and symptoms of bone cancer. This article outlines the types of cancer that can affect the hip. Can bone cancer be found early? Spread to the bone from a cancer that started somewhere else in the body (secondary bone cancer). Doctors typically require further tests to diagnose bone cancer or. However, those signs are also consistent with. Can A Hip X Ray Show Cancer.
From geekymedics.com
Hip Xray Interpretation OSCE Guide Geeky Medics Can A Hip X Ray Show Cancer Bone cancer in the hip may cause pain, but hip pain is usually due to another cause. Find out how bone cancer is tested for, diagnosed, and staged. A biopsy may be needed to diagnose a malignant tumor. Learn the signs and symptoms of bone cancer. Doctors typically require further tests to diagnose bone cancer or. Mris can usually show. Can A Hip X Ray Show Cancer.
From pixels.com
Hip Xray Photograph by Ted Kinsman Can A Hip X Ray Show Cancer A biopsy may be needed to diagnose a malignant tumor. However, those signs are also consistent with other conditions. Doctors typically require further tests to diagnose bone cancer or. Bone cancer in the hip may cause pain, but hip pain is usually due to another cause. Can bone cancer be found early? Spread to the bone from a cancer that. Can A Hip X Ray Show Cancer.
From www.sbadandrmc.com
Mobile Hip XRay Can A Hip X Ray Show Cancer Spread to the bone from a cancer that started somewhere else in the body (secondary bone cancer). However, those signs are also consistent with other conditions. Mris can usually show if it’s likely to be a tumor, an. Can bone cancer be found early? Learn the signs and symptoms of bone cancer. Doctors typically require further tests to diagnose bone. Can A Hip X Ray Show Cancer.
From nghenhansu.edu.vn
Collection 103+ Images Pictures Of Bone Cancer In Hip Full HD, 2k, 4k Can A Hip X Ray Show Cancer Bone cancer in the hip may cause pain, but hip pain is usually due to another cause. Spread to the bone from a cancer that started somewhere else in the body (secondary bone cancer). Find out how bone cancer is tested for, diagnosed, and staged. Doctors typically require further tests to diagnose bone cancer or. Can bone cancer be found. Can A Hip X Ray Show Cancer.
From cancerwalls.blogspot.com
Bone Cancer In Hip X Ray CancerWalls Can A Hip X Ray Show Cancer However, those signs are also consistent with other conditions. Mris can usually show if it’s likely to be a tumor, an. This article outlines the types of cancer that can affect the hip. A biopsy may be needed to diagnose a malignant tumor. Learn the signs and symptoms of bone cancer. Can bone cancer be found early? Doctors typically require. Can A Hip X Ray Show Cancer.
From radiopaedia.org
Normal hip xray Image Can A Hip X Ray Show Cancer This article outlines the types of cancer that can affect the hip. Learn the signs and symptoms of bone cancer. A biopsy may be needed to diagnose a malignant tumor. Spread to the bone from a cancer that started somewhere else in the body (secondary bone cancer). Bone cancer in the hip may cause pain, but hip pain is usually. Can A Hip X Ray Show Cancer.
From nghenhansu.edu.vn
Collection 103+ Images Pictures Of Bone Cancer In Hip Full HD, 2k, 4k Can A Hip X Ray Show Cancer Learn the signs and symptoms of bone cancer. Bone cancer in the hip may cause pain, but hip pain is usually due to another cause. Spread to the bone from a cancer that started somewhere else in the body (secondary bone cancer). Mris can usually show if it’s likely to be a tumor, an. Find out how bone cancer is. Can A Hip X Ray Show Cancer.
From www.clinicalpainadvisor.com
Recognizing and Diagnosing Avascular Necrosis of the Hip in Primary Can A Hip X Ray Show Cancer Mris can usually show if it’s likely to be a tumor, an. Can bone cancer be found early? Spread to the bone from a cancer that started somewhere else in the body (secondary bone cancer). Bone cancer in the hip may cause pain, but hip pain is usually due to another cause. Find out how bone cancer is tested for,. Can A Hip X Ray Show Cancer.
From www.researchgate.net
Radiographic anteroposterior pelvis view of the bilateral hips Can A Hip X Ray Show Cancer A biopsy may be needed to diagnose a malignant tumor. Doctors typically require further tests to diagnose bone cancer or. Mris can usually show if it’s likely to be a tumor, an. This article outlines the types of cancer that can affect the hip. Bone cancer in the hip may cause pain, but hip pain is usually due to another. Can A Hip X Ray Show Cancer.
From nghenhansu.edu.vn
Collection 103+ Images Pictures Of Bone Cancer In Hip Full HD, 2k, 4k Can A Hip X Ray Show Cancer Mris can usually show if it’s likely to be a tumor, an. Spread to the bone from a cancer that started somewhere else in the body (secondary bone cancer). Bone cancer in the hip may cause pain, but hip pain is usually due to another cause. Learn the signs and symptoms of bone cancer. This article outlines the types of. Can A Hip X Ray Show Cancer.
From www.researchgate.net
Postoperative X ray of patient showing Hip resurfacing done through Can A Hip X Ray Show Cancer This article outlines the types of cancer that can affect the hip. Learn the signs and symptoms of bone cancer. Find out how bone cancer is tested for, diagnosed, and staged. A biopsy may be needed to diagnose a malignant tumor. Mris can usually show if it’s likely to be a tumor, an. Spread to the bone from a cancer. Can A Hip X Ray Show Cancer.
From mavink.com
Hip Joint X Ray Can A Hip X Ray Show Cancer However, those signs are also consistent with other conditions. Find out how bone cancer is tested for, diagnosed, and staged. Bone cancer in the hip may cause pain, but hip pain is usually due to another cause. Learn the signs and symptoms of bone cancer. Spread to the bone from a cancer that started somewhere else in the body (secondary. Can A Hip X Ray Show Cancer.
From geekymedics.com
Hip Xray Interpretation OSCE Guide Geeky Medics Can A Hip X Ray Show Cancer Bone cancer in the hip may cause pain, but hip pain is usually due to another cause. Can bone cancer be found early? Doctors typically require further tests to diagnose bone cancer or. Mris can usually show if it’s likely to be a tumor, an. This article outlines the types of cancer that can affect the hip. Find out how. Can A Hip X Ray Show Cancer.
From manhattansportsdoc.com
Hip subchondroplasty Hip Replacement Alternative New York Hip Surgeon Can A Hip X Ray Show Cancer Bone cancer in the hip may cause pain, but hip pain is usually due to another cause. This article outlines the types of cancer that can affect the hip. Spread to the bone from a cancer that started somewhere else in the body (secondary bone cancer). Can bone cancer be found early? However, those signs are also consistent with other. Can A Hip X Ray Show Cancer.
From www.sciencephoto.com
Metastasis in right hip, Xray Stock Image C039/3373 Science Can A Hip X Ray Show Cancer Spread to the bone from a cancer that started somewhere else in the body (secondary bone cancer). Doctors typically require further tests to diagnose bone cancer or. However, those signs are also consistent with other conditions. Find out how bone cancer is tested for, diagnosed, and staged. A biopsy may be needed to diagnose a malignant tumor. Mris can usually. Can A Hip X Ray Show Cancer.
From together.stjude.org
Ewing in Children and Teens Together Can A Hip X Ray Show Cancer However, those signs are also consistent with other conditions. Doctors typically require further tests to diagnose bone cancer or. Learn the signs and symptoms of bone cancer. Bone cancer in the hip may cause pain, but hip pain is usually due to another cause. Mris can usually show if it’s likely to be a tumor, an. This article outlines the. Can A Hip X Ray Show Cancer.
From www.researchgate.net
Right hip xray after the insertion of the second antibiotic cement Can A Hip X Ray Show Cancer Learn the signs and symptoms of bone cancer. This article outlines the types of cancer that can affect the hip. Find out how bone cancer is tested for, diagnosed, and staged. Can bone cancer be found early? However, those signs are also consistent with other conditions. Spread to the bone from a cancer that started somewhere else in the body. Can A Hip X Ray Show Cancer.
From www.sciencephoto.com
Osteoarthritis of the hip, Xray Stock Image C001/5211 Science Can A Hip X Ray Show Cancer Bone cancer in the hip may cause pain, but hip pain is usually due to another cause. Learn the signs and symptoms of bone cancer. Spread to the bone from a cancer that started somewhere else in the body (secondary bone cancer). This article outlines the types of cancer that can affect the hip. Doctors typically require further tests to. Can A Hip X Ray Show Cancer.
From radiologyassistant.nl
The Radiology Assistant Hip pathology in Children Can A Hip X Ray Show Cancer Doctors typically require further tests to diagnose bone cancer or. Spread to the bone from a cancer that started somewhere else in the body (secondary bone cancer). Bone cancer in the hip may cause pain, but hip pain is usually due to another cause. Mris can usually show if it’s likely to be a tumor, an. Can bone cancer be. Can A Hip X Ray Show Cancer.
From www.dreamstime.com
Xray of the hips stock photo. Image of medicine, medical 9982900 Can A Hip X Ray Show Cancer Learn the signs and symptoms of bone cancer. Spread to the bone from a cancer that started somewhere else in the body (secondary bone cancer). Mris can usually show if it’s likely to be a tumor, an. Bone cancer in the hip may cause pain, but hip pain is usually due to another cause. Doctors typically require further tests to. Can A Hip X Ray Show Cancer.
From www.alamy.com
Xray of a woman who has had a hip replacement operation, NHS hospital Can A Hip X Ray Show Cancer Find out how bone cancer is tested for, diagnosed, and staged. This article outlines the types of cancer that can affect the hip. Learn the signs and symptoms of bone cancer. However, those signs are also consistent with other conditions. Bone cancer in the hip may cause pain, but hip pain is usually due to another cause. Doctors typically require. Can A Hip X Ray Show Cancer.