Dental Scaling And Polishing Meaning . Scaling is a common dental procedure for patients with gum disease. Learn more about the procedure, including benefits,. Dental polishing, sometimes called tooth polishing, is a cleaning method your dentist uses to keep your teeth healthy. This is a type of dental cleaning that reaches below the gumline to remove plaque buildup. Using specialized equipment, dentists or hygienists remove stains and discolorations from your teeth and smooth them out to provide a glossy, attractive finish. Teeth polishing is a common dental procedure, often performed following a dental cleaning. A scale and polish is a routine dental cleaning procedure that involves the removal of plaque and tartar (hardened plaque) from your teeth, keeping your gums and. Scaling and polishing is a procedure that removes dental plaque, tartar and extrinsic stains that are present on the outer surface of the teeth. Tooth polishing is a simple procedure that paired with tooth scaling, can result in smooth, white — and bacteria free — teeth.
from 24houremergencydentistlondon.com
A scale and polish is a routine dental cleaning procedure that involves the removal of plaque and tartar (hardened plaque) from your teeth, keeping your gums and. Tooth polishing is a simple procedure that paired with tooth scaling, can result in smooth, white — and bacteria free — teeth. Teeth polishing is a common dental procedure, often performed following a dental cleaning. This is a type of dental cleaning that reaches below the gumline to remove plaque buildup. Dental polishing, sometimes called tooth polishing, is a cleaning method your dentist uses to keep your teeth healthy. Learn more about the procedure, including benefits,. Using specialized equipment, dentists or hygienists remove stains and discolorations from your teeth and smooth them out to provide a glossy, attractive finish. Scaling and polishing is a procedure that removes dental plaque, tartar and extrinsic stains that are present on the outer surface of the teeth. Scaling is a common dental procedure for patients with gum disease.
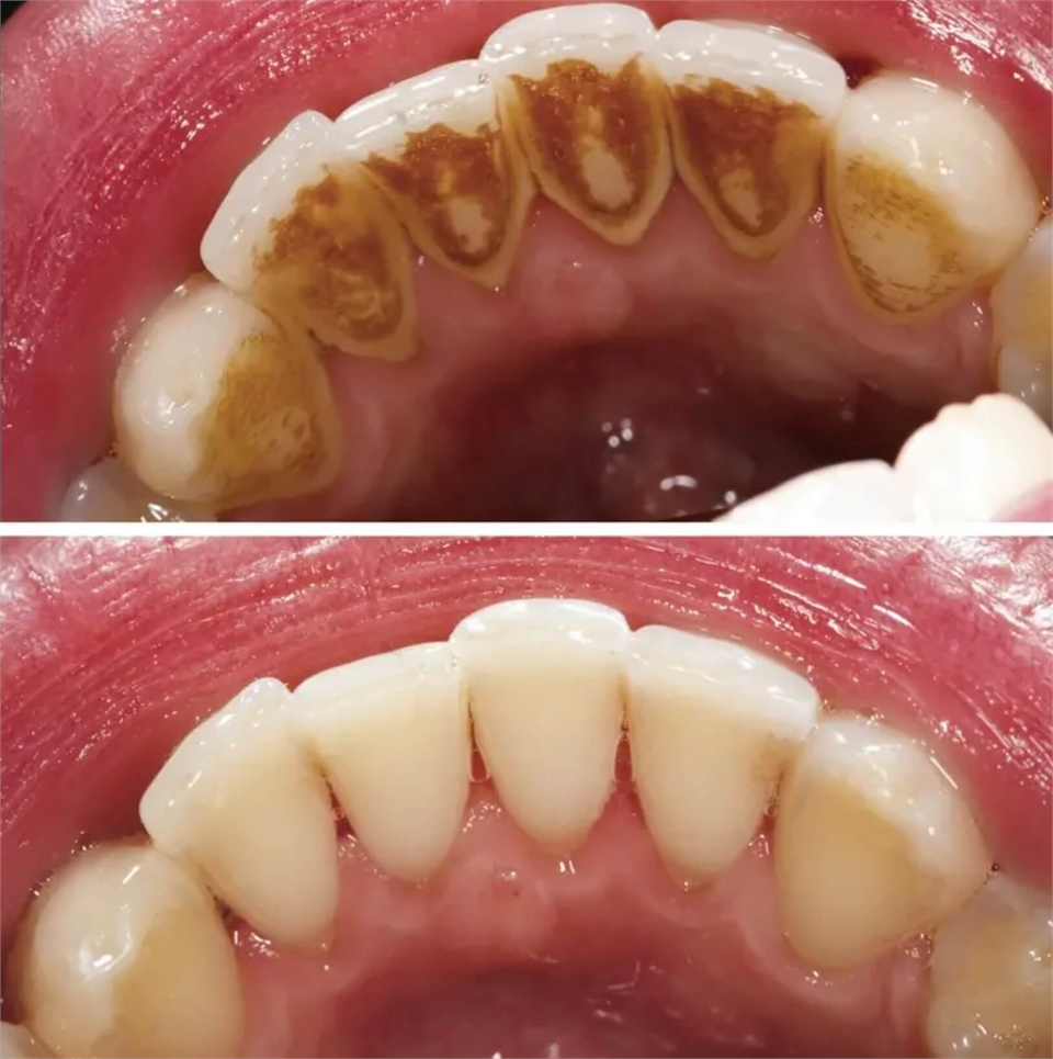
Teeth scaling procedure results before and after
Dental Scaling And Polishing Meaning Dental polishing, sometimes called tooth polishing, is a cleaning method your dentist uses to keep your teeth healthy. Tooth polishing is a simple procedure that paired with tooth scaling, can result in smooth, white — and bacteria free — teeth. Teeth polishing is a common dental procedure, often performed following a dental cleaning. Learn more about the procedure, including benefits,. Scaling is a common dental procedure for patients with gum disease. This is a type of dental cleaning that reaches below the gumline to remove plaque buildup. A scale and polish is a routine dental cleaning procedure that involves the removal of plaque and tartar (hardened plaque) from your teeth, keeping your gums and. Using specialized equipment, dentists or hygienists remove stains and discolorations from your teeth and smooth them out to provide a glossy, attractive finish. Scaling and polishing is a procedure that removes dental plaque, tartar and extrinsic stains that are present on the outer surface of the teeth. Dental polishing, sometimes called tooth polishing, is a cleaning method your dentist uses to keep your teeth healthy.
From www.keepthesmile.me
Cleaning of Your Teeth What is the importance of dental Scaling? Dental Scaling And Polishing Meaning Scaling and polishing is a procedure that removes dental plaque, tartar and extrinsic stains that are present on the outer surface of the teeth. Teeth polishing is a common dental procedure, often performed following a dental cleaning. Tooth polishing is a simple procedure that paired with tooth scaling, can result in smooth, white — and bacteria free — teeth. Dental. Dental Scaling And Polishing Meaning.
From dragarwalsclinic.com
Teeth Cleaning in Siliguri Scaling & Polishing of Teeth Dr Agarwal Dental Scaling And Polishing Meaning Dental polishing, sometimes called tooth polishing, is a cleaning method your dentist uses to keep your teeth healthy. Using specialized equipment, dentists or hygienists remove stains and discolorations from your teeth and smooth them out to provide a glossy, attractive finish. This is a type of dental cleaning that reaches below the gumline to remove plaque buildup. Teeth polishing is. Dental Scaling And Polishing Meaning.
From smileandmove.co.uk
How Dental Scaling & Root Planing help prevent gum disease? Dental Scaling And Polishing Meaning This is a type of dental cleaning that reaches below the gumline to remove plaque buildup. Tooth polishing is a simple procedure that paired with tooth scaling, can result in smooth, white — and bacteria free — teeth. Teeth polishing is a common dental procedure, often performed following a dental cleaning. Scaling and polishing is a procedure that removes dental. Dental Scaling And Polishing Meaning.
From vividdental.sg
Dental Cleaning Singapore Dental Scaling and Polishing Dental Scaling And Polishing Meaning A scale and polish is a routine dental cleaning procedure that involves the removal of plaque and tartar (hardened plaque) from your teeth, keeping your gums and. Using specialized equipment, dentists or hygienists remove stains and discolorations from your teeth and smooth them out to provide a glossy, attractive finish. Tooth polishing is a simple procedure that paired with tooth. Dental Scaling And Polishing Meaning.
From www.specialistdentalgroup.com
Scaling & polishing Specialist Dental Group Dental Scaling And Polishing Meaning Learn more about the procedure, including benefits,. Scaling and polishing is a procedure that removes dental plaque, tartar and extrinsic stains that are present on the outer surface of the teeth. Dental polishing, sometimes called tooth polishing, is a cleaning method your dentist uses to keep your teeth healthy. A scale and polish is a routine dental cleaning procedure that. Dental Scaling And Polishing Meaning.
From www.oceandental.sg
Scaling and Polishing in Singapore (Teeth Cleaning) Dental Scaling And Polishing Meaning A scale and polish is a routine dental cleaning procedure that involves the removal of plaque and tartar (hardened plaque) from your teeth, keeping your gums and. Learn more about the procedure, including benefits,. Scaling is a common dental procedure for patients with gum disease. Scaling and polishing is a procedure that removes dental plaque, tartar and extrinsic stains that. Dental Scaling And Polishing Meaning.
From dimensionsofdentalhygiene.com
Effects of Polishing on Restorations Dimensions of Dental Hygiene Dental Scaling And Polishing Meaning Using specialized equipment, dentists or hygienists remove stains and discolorations from your teeth and smooth them out to provide a glossy, attractive finish. Tooth polishing is a simple procedure that paired with tooth scaling, can result in smooth, white — and bacteria free — teeth. Scaling and polishing is a procedure that removes dental plaque, tartar and extrinsic stains that. Dental Scaling And Polishing Meaning.
From www.newlifedental.com.sg
General Dentistry Scaling and Polishing Newlife Dental Practice Dental Scaling And Polishing Meaning Using specialized equipment, dentists or hygienists remove stains and discolorations from your teeth and smooth them out to provide a glossy, attractive finish. Learn more about the procedure, including benefits,. Teeth polishing is a common dental procedure, often performed following a dental cleaning. Scaling and polishing is a procedure that removes dental plaque, tartar and extrinsic stains that are present. Dental Scaling And Polishing Meaning.
From www.getdoc.com
Dental Scale and Polish What It Is and Why It Is Necessary Dental Scaling And Polishing Meaning Learn more about the procedure, including benefits,. A scale and polish is a routine dental cleaning procedure that involves the removal of plaque and tartar (hardened plaque) from your teeth, keeping your gums and. Teeth polishing is a common dental procedure, often performed following a dental cleaning. Scaling is a common dental procedure for patients with gum disease. Dental polishing,. Dental Scaling And Polishing Meaning.
From www.hovedentalclinic.co.uk
Dental Scaling Procedure, Hygiene Benefits, Types of Deep Scaling & Costs Dental Scaling And Polishing Meaning Tooth polishing is a simple procedure that paired with tooth scaling, can result in smooth, white — and bacteria free — teeth. Dental polishing, sometimes called tooth polishing, is a cleaning method your dentist uses to keep your teeth healthy. Using specialized equipment, dentists or hygienists remove stains and discolorations from your teeth and smooth them out to provide a. Dental Scaling And Polishing Meaning.
From www.stellardental.my
Teeth Scaling Teeth Cleaning Treatment Stellar Dental Dental Scaling And Polishing Meaning This is a type of dental cleaning that reaches below the gumline to remove plaque buildup. Using specialized equipment, dentists or hygienists remove stains and discolorations from your teeth and smooth them out to provide a glossy, attractive finish. Tooth polishing is a simple procedure that paired with tooth scaling, can result in smooth, white — and bacteria free —. Dental Scaling And Polishing Meaning.
From fyoizvrfb.blob.core.windows.net
What Is The Difference Between Teeth Cleaning And Polishing at Billy Dental Scaling And Polishing Meaning A scale and polish is a routine dental cleaning procedure that involves the removal of plaque and tartar (hardened plaque) from your teeth, keeping your gums and. Tooth polishing is a simple procedure that paired with tooth scaling, can result in smooth, white — and bacteria free — teeth. Learn more about the procedure, including benefits,. Teeth polishing is a. Dental Scaling And Polishing Meaning.
From www.godigit.com
A Comprehensive Guide On Scaling And Polishing Of Teeth Dental Scaling And Polishing Meaning A scale and polish is a routine dental cleaning procedure that involves the removal of plaque and tartar (hardened plaque) from your teeth, keeping your gums and. Scaling and polishing is a procedure that removes dental plaque, tartar and extrinsic stains that are present on the outer surface of the teeth. Dental polishing, sometimes called tooth polishing, is a cleaning. Dental Scaling And Polishing Meaning.
From durranidental.com
Scaling and Polishing Durrani’s Dental Clinic Dental Cleaning. Dental Scaling And Polishing Meaning Teeth polishing is a common dental procedure, often performed following a dental cleaning. This is a type of dental cleaning that reaches below the gumline to remove plaque buildup. A scale and polish is a routine dental cleaning procedure that involves the removal of plaque and tartar (hardened plaque) from your teeth, keeping your gums and. Scaling and polishing is. Dental Scaling And Polishing Meaning.
From shubhamdentalclinic.co.in
7 Benefits of scaling and polishing Shubham Dental Clinic Dental Scaling And Polishing Meaning Scaling is a common dental procedure for patients with gum disease. Tooth polishing is a simple procedure that paired with tooth scaling, can result in smooth, white — and bacteria free — teeth. This is a type of dental cleaning that reaches below the gumline to remove plaque buildup. Using specialized equipment, dentists or hygienists remove stains and discolorations from. Dental Scaling And Polishing Meaning.
From www.slideserve.com
PPT Things You Must Know About Dental Cleaning And Polishing Dental Scaling And Polishing Meaning A scale and polish is a routine dental cleaning procedure that involves the removal of plaque and tartar (hardened plaque) from your teeth, keeping your gums and. Scaling and polishing is a procedure that removes dental plaque, tartar and extrinsic stains that are present on the outer surface of the teeth. Using specialized equipment, dentists or hygienists remove stains and. Dental Scaling And Polishing Meaning.
From paradiseclinic.ae
Teeth Scaling and Polishing in Dubai Paradise Polyclinic Dental Scaling And Polishing Meaning Dental polishing, sometimes called tooth polishing, is a cleaning method your dentist uses to keep your teeth healthy. A scale and polish is a routine dental cleaning procedure that involves the removal of plaque and tartar (hardened plaque) from your teeth, keeping your gums and. Teeth polishing is a common dental procedure, often performed following a dental cleaning. Scaling is. Dental Scaling And Polishing Meaning.
From exofzmvui.blob.core.windows.net
Dental Polishing Procedure Code at Kevin Dilley blog Dental Scaling And Polishing Meaning Using specialized equipment, dentists or hygienists remove stains and discolorations from your teeth and smooth them out to provide a glossy, attractive finish. Scaling and polishing is a procedure that removes dental plaque, tartar and extrinsic stains that are present on the outer surface of the teeth. Teeth polishing is a common dental procedure, often performed following a dental cleaning.. Dental Scaling And Polishing Meaning.
From sunshinedental.com.sg
Scaling & Polishing . Sunshine Dental Dental Scaling And Polishing Meaning Teeth polishing is a common dental procedure, often performed following a dental cleaning. Scaling is a common dental procedure for patients with gum disease. Tooth polishing is a simple procedure that paired with tooth scaling, can result in smooth, white — and bacteria free — teeth. This is a type of dental cleaning that reaches below the gumline to remove. Dental Scaling And Polishing Meaning.
From wellnessdentalclinic.in
Teeth Scaling And Polishing Wellness Dental and Implant Clinic Dental Scaling And Polishing Meaning Learn more about the procedure, including benefits,. This is a type of dental cleaning that reaches below the gumline to remove plaque buildup. Scaling and polishing is a procedure that removes dental plaque, tartar and extrinsic stains that are present on the outer surface of the teeth. Tooth polishing is a simple procedure that paired with tooth scaling, can result. Dental Scaling And Polishing Meaning.
From dentagama.com
Teeth Scaling Procedure News Dentagama Dental Scaling And Polishing Meaning Using specialized equipment, dentists or hygienists remove stains and discolorations from your teeth and smooth them out to provide a glossy, attractive finish. A scale and polish is a routine dental cleaning procedure that involves the removal of plaque and tartar (hardened plaque) from your teeth, keeping your gums and. Scaling is a common dental procedure for patients with gum. Dental Scaling And Polishing Meaning.
From macdental.co.ke
Scaling and Polishing MAC Dental Clinic Dental Scaling And Polishing Meaning Tooth polishing is a simple procedure that paired with tooth scaling, can result in smooth, white — and bacteria free — teeth. This is a type of dental cleaning that reaches below the gumline to remove plaque buildup. Dental polishing, sometimes called tooth polishing, is a cleaning method your dentist uses to keep your teeth healthy. Using specialized equipment, dentists. Dental Scaling And Polishing Meaning.
From sabkadentist.com
The Benefits of Dental Polishing A Comprehensive Guide Dental Scaling And Polishing Meaning Scaling and polishing is a procedure that removes dental plaque, tartar and extrinsic stains that are present on the outer surface of the teeth. Tooth polishing is a simple procedure that paired with tooth scaling, can result in smooth, white — and bacteria free — teeth. This is a type of dental cleaning that reaches below the gumline to remove. Dental Scaling And Polishing Meaning.
From dental-clinic-delhi.com
Teeth Sacaling, Teeth Cleaning, Dental Sacaling Dental Scaling And Polishing Meaning This is a type of dental cleaning that reaches below the gumline to remove plaque buildup. Dental polishing, sometimes called tooth polishing, is a cleaning method your dentist uses to keep your teeth healthy. Using specialized equipment, dentists or hygienists remove stains and discolorations from your teeth and smooth them out to provide a glossy, attractive finish. Tooth polishing is. Dental Scaling And Polishing Meaning.
From sdperio.com
Periodontal Scaling and Root planing San Diego Dental Scaling And Polishing Meaning Tooth polishing is a simple procedure that paired with tooth scaling, can result in smooth, white — and bacteria free — teeth. Dental polishing, sometimes called tooth polishing, is a cleaning method your dentist uses to keep your teeth healthy. Learn more about the procedure, including benefits,. Scaling is a common dental procedure for patients with gum disease. Teeth polishing. Dental Scaling And Polishing Meaning.
From family-first-dental.com
Overland Park Dentist Talks Periodontal Disease Management Overland Dental Scaling And Polishing Meaning Scaling and polishing is a procedure that removes dental plaque, tartar and extrinsic stains that are present on the outer surface of the teeth. A scale and polish is a routine dental cleaning procedure that involves the removal of plaque and tartar (hardened plaque) from your teeth, keeping your gums and. Tooth polishing is a simple procedure that paired with. Dental Scaling And Polishing Meaning.
From www.youtube.com
What is Dental Scaling and Polishing Deep Teeth Cleaning Procedure Dental Scaling And Polishing Meaning Tooth polishing is a simple procedure that paired with tooth scaling, can result in smooth, white — and bacteria free — teeth. Scaling is a common dental procedure for patients with gum disease. Dental polishing, sometimes called tooth polishing, is a cleaning method your dentist uses to keep your teeth healthy. Using specialized equipment, dentists or hygienists remove stains and. Dental Scaling And Polishing Meaning.
From klaxmwqfp.blob.core.windows.net
Purpose Of Scaling And Polishing at Rebecca blog Dental Scaling And Polishing Meaning A scale and polish is a routine dental cleaning procedure that involves the removal of plaque and tartar (hardened plaque) from your teeth, keeping your gums and. Teeth polishing is a common dental procedure, often performed following a dental cleaning. Scaling is a common dental procedure for patients with gum disease. Tooth polishing is a simple procedure that paired with. Dental Scaling And Polishing Meaning.
From cekspmro.blob.core.windows.net
Polishing And Scaling Teeth at Jeffery Delacruz blog Dental Scaling And Polishing Meaning Learn more about the procedure, including benefits,. Teeth polishing is a common dental procedure, often performed following a dental cleaning. Scaling and polishing is a procedure that removes dental plaque, tartar and extrinsic stains that are present on the outer surface of the teeth. Tooth polishing is a simple procedure that paired with tooth scaling, can result in smooth, white. Dental Scaling And Polishing Meaning.
From loesxftqy.blob.core.windows.net
What Is Polishing In Dentistry at Bertha Benitez blog Dental Scaling And Polishing Meaning Dental polishing, sometimes called tooth polishing, is a cleaning method your dentist uses to keep your teeth healthy. Scaling and polishing is a procedure that removes dental plaque, tartar and extrinsic stains that are present on the outer surface of the teeth. Teeth polishing is a common dental procedure, often performed following a dental cleaning. Learn more about the procedure,. Dental Scaling And Polishing Meaning.
From keysdentalspecialists.com
Scaling and Root Planing Keys Dental Specialists Dental Scaling And Polishing Meaning Scaling and polishing is a procedure that removes dental plaque, tartar and extrinsic stains that are present on the outer surface of the teeth. Using specialized equipment, dentists or hygienists remove stains and discolorations from your teeth and smooth them out to provide a glossy, attractive finish. A scale and polish is a routine dental cleaning procedure that involves the. Dental Scaling And Polishing Meaning.
From erbsvilledental.ca
Dental Scaling Waterloo Dentist Dr. Stephen Mathews Erbsville Dental Dental Scaling And Polishing Meaning Teeth polishing is a common dental procedure, often performed following a dental cleaning. This is a type of dental cleaning that reaches below the gumline to remove plaque buildup. Scaling is a common dental procedure for patients with gum disease. Using specialized equipment, dentists or hygienists remove stains and discolorations from your teeth and smooth them out to provide a. Dental Scaling And Polishing Meaning.
From shreyahospital.com
Scaling and Polishing completely remove germ from your teeth Dental Scaling And Polishing Meaning Scaling is a common dental procedure for patients with gum disease. Teeth polishing is a common dental procedure, often performed following a dental cleaning. Learn more about the procedure, including benefits,. Tooth polishing is a simple procedure that paired with tooth scaling, can result in smooth, white — and bacteria free — teeth. Using specialized equipment, dentists or hygienists remove. Dental Scaling And Polishing Meaning.
From ascentdental.co.uk
The benefits of a scale and polish • Ascent Dental Care Dental Scaling And Polishing Meaning Scaling and polishing is a procedure that removes dental plaque, tartar and extrinsic stains that are present on the outer surface of the teeth. This is a type of dental cleaning that reaches below the gumline to remove plaque buildup. Teeth polishing is a common dental procedure, often performed following a dental cleaning. Dental polishing, sometimes called tooth polishing, is. Dental Scaling And Polishing Meaning.
From 24houremergencydentistlondon.com
Teeth scaling procedure results before and after Dental Scaling And Polishing Meaning A scale and polish is a routine dental cleaning procedure that involves the removal of plaque and tartar (hardened plaque) from your teeth, keeping your gums and. Dental polishing, sometimes called tooth polishing, is a cleaning method your dentist uses to keep your teeth healthy. This is a type of dental cleaning that reaches below the gumline to remove plaque. Dental Scaling And Polishing Meaning.