Differentials For Pyelonephritis . Flank pain and tenderness in the presence of pyuria are highly suggestive of pyelonephritis and differentiate it from other urinary tract infections. The differential diagnosis of acute pyelonephritis is broad and includes the following: It is important to differentiate acute pyelonephritis, a medical condition treated primarily with antibiotics, from pyonephrosis (obstructive pyelonephritis), a clinically. Acute abdominal conditions — especially if nausea. Pyelonephritis typically manifests suddenly with signs and symptoms of both systemic inflammation.
from www.cell.com
It is important to differentiate acute pyelonephritis, a medical condition treated primarily with antibiotics, from pyonephrosis (obstructive pyelonephritis), a clinically. The differential diagnosis of acute pyelonephritis is broad and includes the following: Flank pain and tenderness in the presence of pyuria are highly suggestive of pyelonephritis and differentiate it from other urinary tract infections. Pyelonephritis typically manifests suddenly with signs and symptoms of both systemic inflammation. Acute abdominal conditions — especially if nausea.
Urinary Tract Infection Pathogenesis and Outlook Trends in Molecular
Differentials For Pyelonephritis Acute abdominal conditions — especially if nausea. Pyelonephritis typically manifests suddenly with signs and symptoms of both systemic inflammation. It is important to differentiate acute pyelonephritis, a medical condition treated primarily with antibiotics, from pyonephrosis (obstructive pyelonephritis), a clinically. Flank pain and tenderness in the presence of pyuria are highly suggestive of pyelonephritis and differentiate it from other urinary tract infections. Acute abdominal conditions — especially if nausea. The differential diagnosis of acute pyelonephritis is broad and includes the following:
From www.aafp.org
Diagnosis and Treatment of Acute Pyelonephritis in Women AAFP Differentials For Pyelonephritis Acute abdominal conditions — especially if nausea. Pyelonephritis typically manifests suddenly with signs and symptoms of both systemic inflammation. Flank pain and tenderness in the presence of pyuria are highly suggestive of pyelonephritis and differentiate it from other urinary tract infections. The differential diagnosis of acute pyelonephritis is broad and includes the following: It is important to differentiate acute pyelonephritis,. Differentials For Pyelonephritis.
From www.aafp.org
Acute Pyelonephritis in Adults Rapid Evidence Review AAFP Differentials For Pyelonephritis It is important to differentiate acute pyelonephritis, a medical condition treated primarily with antibiotics, from pyonephrosis (obstructive pyelonephritis), a clinically. Flank pain and tenderness in the presence of pyuria are highly suggestive of pyelonephritis and differentiate it from other urinary tract infections. Acute abdominal conditions — especially if nausea. Pyelonephritis typically manifests suddenly with signs and symptoms of both systemic. Differentials For Pyelonephritis.
From www.slideserve.com
PPT Pyelonephritis DR Gehan Mohamed PowerPoint Presentation ID6010250 Differentials For Pyelonephritis The differential diagnosis of acute pyelonephritis is broad and includes the following: It is important to differentiate acute pyelonephritis, a medical condition treated primarily with antibiotics, from pyonephrosis (obstructive pyelonephritis), a clinically. Flank pain and tenderness in the presence of pyuria are highly suggestive of pyelonephritis and differentiate it from other urinary tract infections. Pyelonephritis typically manifests suddenly with signs. Differentials For Pyelonephritis.
From www.youtube.com
Understanding Pyelonephritis (Kidney Infections) YouTube Differentials For Pyelonephritis Acute abdominal conditions — especially if nausea. Pyelonephritis typically manifests suddenly with signs and symptoms of both systemic inflammation. It is important to differentiate acute pyelonephritis, a medical condition treated primarily with antibiotics, from pyonephrosis (obstructive pyelonephritis), a clinically. Flank pain and tenderness in the presence of pyuria are highly suggestive of pyelonephritis and differentiate it from other urinary tract. Differentials For Pyelonephritis.
From www.researchgate.net
Characteristic features of xanthogranulomatous pyelonephritis with its Differentials For Pyelonephritis The differential diagnosis of acute pyelonephritis is broad and includes the following: It is important to differentiate acute pyelonephritis, a medical condition treated primarily with antibiotics, from pyonephrosis (obstructive pyelonephritis), a clinically. Pyelonephritis typically manifests suddenly with signs and symptoms of both systemic inflammation. Acute abdominal conditions — especially if nausea. Flank pain and tenderness in the presence of pyuria. Differentials For Pyelonephritis.
From www.alamy.com
Acute pyelonephritis, illustration and light micrograph Stock Photo Alamy Differentials For Pyelonephritis It is important to differentiate acute pyelonephritis, a medical condition treated primarily with antibiotics, from pyonephrosis (obstructive pyelonephritis), a clinically. Flank pain and tenderness in the presence of pyuria are highly suggestive of pyelonephritis and differentiate it from other urinary tract infections. Pyelonephritis typically manifests suddenly with signs and symptoms of both systemic inflammation. Acute abdominal conditions — especially if. Differentials For Pyelonephritis.
From www.slideserve.com
PPT Pyelonephritis PowerPoint Presentation, free download ID9636013 Differentials For Pyelonephritis Flank pain and tenderness in the presence of pyuria are highly suggestive of pyelonephritis and differentiate it from other urinary tract infections. The differential diagnosis of acute pyelonephritis is broad and includes the following: Acute abdominal conditions — especially if nausea. It is important to differentiate acute pyelonephritis, a medical condition treated primarily with antibiotics, from pyonephrosis (obstructive pyelonephritis), a. Differentials For Pyelonephritis.
From www.semanticscholar.org
Table 1 from Diagnosis and management of acute pyelonephritis in adults Differentials For Pyelonephritis Acute abdominal conditions — especially if nausea. It is important to differentiate acute pyelonephritis, a medical condition treated primarily with antibiotics, from pyonephrosis (obstructive pyelonephritis), a clinically. The differential diagnosis of acute pyelonephritis is broad and includes the following: Flank pain and tenderness in the presence of pyuria are highly suggestive of pyelonephritis and differentiate it from other urinary tract. Differentials For Pyelonephritis.
From www.sciencephoto.com
Anatomy of acute and chronic pyelonephritis, illustration Stock Image Differentials For Pyelonephritis Pyelonephritis typically manifests suddenly with signs and symptoms of both systemic inflammation. The differential diagnosis of acute pyelonephritis is broad and includes the following: Flank pain and tenderness in the presence of pyuria are highly suggestive of pyelonephritis and differentiate it from other urinary tract infections. It is important to differentiate acute pyelonephritis, a medical condition treated primarily with antibiotics,. Differentials For Pyelonephritis.
From www.medscape.co.uk
Pyelonephritis, Acute Antimicrobial Prescribing Differentials For Pyelonephritis Acute abdominal conditions — especially if nausea. It is important to differentiate acute pyelonephritis, a medical condition treated primarily with antibiotics, from pyonephrosis (obstructive pyelonephritis), a clinically. Pyelonephritis typically manifests suddenly with signs and symptoms of both systemic inflammation. Flank pain and tenderness in the presence of pyuria are highly suggestive of pyelonephritis and differentiate it from other urinary tract. Differentials For Pyelonephritis.
From www.researchgate.net
Comorbidities and risk factors for pyelonephritis Download Scientific Differentials For Pyelonephritis Acute abdominal conditions — especially if nausea. Pyelonephritis typically manifests suddenly with signs and symptoms of both systemic inflammation. Flank pain and tenderness in the presence of pyuria are highly suggestive of pyelonephritis and differentiate it from other urinary tract infections. The differential diagnosis of acute pyelonephritis is broad and includes the following: It is important to differentiate acute pyelonephritis,. Differentials For Pyelonephritis.
From link.springer.com
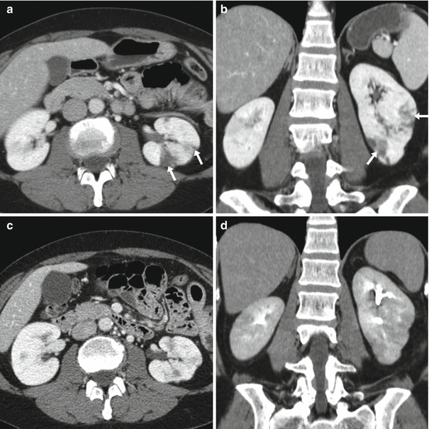
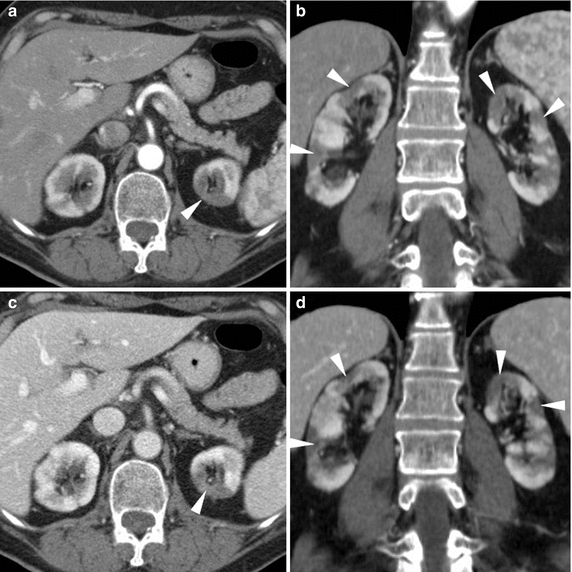
CT Imaging and Differential Diagnosis of Acute Pyelonephritis Differentials For Pyelonephritis Pyelonephritis typically manifests suddenly with signs and symptoms of both systemic inflammation. Acute abdominal conditions — especially if nausea. It is important to differentiate acute pyelonephritis, a medical condition treated primarily with antibiotics, from pyonephrosis (obstructive pyelonephritis), a clinically. The differential diagnosis of acute pyelonephritis is broad and includes the following: Flank pain and tenderness in the presence of pyuria. Differentials For Pyelonephritis.
From www.slideserve.com
PPT Differential diagnosis PowerPoint Presentation, free download Differentials For Pyelonephritis The differential diagnosis of acute pyelonephritis is broad and includes the following: Acute abdominal conditions — especially if nausea. Pyelonephritis typically manifests suddenly with signs and symptoms of both systemic inflammation. It is important to differentiate acute pyelonephritis, a medical condition treated primarily with antibiotics, from pyonephrosis (obstructive pyelonephritis), a clinically. Flank pain and tenderness in the presence of pyuria. Differentials For Pyelonephritis.
From www.slideserve.com
PPT ACUTE PYELONEPHRITIS PowerPoint Presentation ID5804875 Differentials For Pyelonephritis Flank pain and tenderness in the presence of pyuria are highly suggestive of pyelonephritis and differentiate it from other urinary tract infections. The differential diagnosis of acute pyelonephritis is broad and includes the following: Acute abdominal conditions — especially if nausea. Pyelonephritis typically manifests suddenly with signs and symptoms of both systemic inflammation. It is important to differentiate acute pyelonephritis,. Differentials For Pyelonephritis.
From www.scribd.com
Acute Pyelonephritis Patho Differentials For Pyelonephritis It is important to differentiate acute pyelonephritis, a medical condition treated primarily with antibiotics, from pyonephrosis (obstructive pyelonephritis), a clinically. Acute abdominal conditions — especially if nausea. The differential diagnosis of acute pyelonephritis is broad and includes the following: Pyelonephritis typically manifests suddenly with signs and symptoms of both systemic inflammation. Flank pain and tenderness in the presence of pyuria. Differentials For Pyelonephritis.
From www.studypool.com
SOLUTION Differential Diagnostic for Acute Cystitis and Acute Differentials For Pyelonephritis It is important to differentiate acute pyelonephritis, a medical condition treated primarily with antibiotics, from pyonephrosis (obstructive pyelonephritis), a clinically. Pyelonephritis typically manifests suddenly with signs and symptoms of both systemic inflammation. The differential diagnosis of acute pyelonephritis is broad and includes the following: Flank pain and tenderness in the presence of pyuria are highly suggestive of pyelonephritis and differentiate. Differentials For Pyelonephritis.
From link.springer.com
CT Imaging and Differential Diagnosis of Acute Pyelonephritis Differentials For Pyelonephritis The differential diagnosis of acute pyelonephritis is broad and includes the following: Pyelonephritis typically manifests suddenly with signs and symptoms of both systemic inflammation. Flank pain and tenderness in the presence of pyuria are highly suggestive of pyelonephritis and differentiate it from other urinary tract infections. It is important to differentiate acute pyelonephritis, a medical condition treated primarily with antibiotics,. Differentials For Pyelonephritis.
From www.nejm.org
Acute Pyelonephritis in Adults NEJM Differentials For Pyelonephritis It is important to differentiate acute pyelonephritis, a medical condition treated primarily with antibiotics, from pyonephrosis (obstructive pyelonephritis), a clinically. Acute abdominal conditions — especially if nausea. Flank pain and tenderness in the presence of pyuria are highly suggestive of pyelonephritis and differentiate it from other urinary tract infections. The differential diagnosis of acute pyelonephritis is broad and includes the. Differentials For Pyelonephritis.
From www.aafp.org
Diagnosis and Treatment of Acute Pyelonephritis in Women AAFP Differentials For Pyelonephritis Pyelonephritis typically manifests suddenly with signs and symptoms of both systemic inflammation. The differential diagnosis of acute pyelonephritis is broad and includes the following: It is important to differentiate acute pyelonephritis, a medical condition treated primarily with antibiotics, from pyonephrosis (obstructive pyelonephritis), a clinically. Acute abdominal conditions — especially if nausea. Flank pain and tenderness in the presence of pyuria. Differentials For Pyelonephritis.
From www.semanticscholar.org
[PDF] Diagnosis of acute pyelonephritis with recent trends in Differentials For Pyelonephritis Flank pain and tenderness in the presence of pyuria are highly suggestive of pyelonephritis and differentiate it from other urinary tract infections. It is important to differentiate acute pyelonephritis, a medical condition treated primarily with antibiotics, from pyonephrosis (obstructive pyelonephritis), a clinically. Pyelonephritis typically manifests suddenly with signs and symptoms of both systemic inflammation. The differential diagnosis of acute pyelonephritis. Differentials For Pyelonephritis.
From www.nejm.org
Acute Pyelonephritis in Adults NEJM Differentials For Pyelonephritis Acute abdominal conditions — especially if nausea. Flank pain and tenderness in the presence of pyuria are highly suggestive of pyelonephritis and differentiate it from other urinary tract infections. It is important to differentiate acute pyelonephritis, a medical condition treated primarily with antibiotics, from pyonephrosis (obstructive pyelonephritis), a clinically. The differential diagnosis of acute pyelonephritis is broad and includes the. Differentials For Pyelonephritis.
From drlogy.com
5 Accurate Tests for Pyelonephritis Diagnosis Drlogy Differentials For Pyelonephritis Pyelonephritis typically manifests suddenly with signs and symptoms of both systemic inflammation. It is important to differentiate acute pyelonephritis, a medical condition treated primarily with antibiotics, from pyonephrosis (obstructive pyelonephritis), a clinically. Flank pain and tenderness in the presence of pyuria are highly suggestive of pyelonephritis and differentiate it from other urinary tract infections. The differential diagnosis of acute pyelonephritis. Differentials For Pyelonephritis.
From pediaa.com
Difference Between Cystitis and Pyelonephritis Signs and Symptoms Differentials For Pyelonephritis The differential diagnosis of acute pyelonephritis is broad and includes the following: Acute abdominal conditions — especially if nausea. It is important to differentiate acute pyelonephritis, a medical condition treated primarily with antibiotics, from pyonephrosis (obstructive pyelonephritis), a clinically. Flank pain and tenderness in the presence of pyuria are highly suggestive of pyelonephritis and differentiate it from other urinary tract. Differentials For Pyelonephritis.
From www.scribd.com
PATHOPHYSIOLOGYpyelonephritis Differentials For Pyelonephritis It is important to differentiate acute pyelonephritis, a medical condition treated primarily with antibiotics, from pyonephrosis (obstructive pyelonephritis), a clinically. The differential diagnosis of acute pyelonephritis is broad and includes the following: Acute abdominal conditions — especially if nausea. Flank pain and tenderness in the presence of pyuria are highly suggestive of pyelonephritis and differentiate it from other urinary tract. Differentials For Pyelonephritis.
From creativemeddoses.com
Acute Pyelonephritis Creative Med Doses Differentials For Pyelonephritis It is important to differentiate acute pyelonephritis, a medical condition treated primarily with antibiotics, from pyonephrosis (obstructive pyelonephritis), a clinically. Pyelonephritis typically manifests suddenly with signs and symptoms of both systemic inflammation. Flank pain and tenderness in the presence of pyuria are highly suggestive of pyelonephritis and differentiate it from other urinary tract infections. The differential diagnosis of acute pyelonephritis. Differentials For Pyelonephritis.
From www.ssa-school.org
Diagnosis And Treatment Of Acute Pyelonephritis In Women, 55 OFF Differentials For Pyelonephritis Acute abdominal conditions — especially if nausea. It is important to differentiate acute pyelonephritis, a medical condition treated primarily with antibiotics, from pyonephrosis (obstructive pyelonephritis), a clinically. The differential diagnosis of acute pyelonephritis is broad and includes the following: Pyelonephritis typically manifests suddenly with signs and symptoms of both systemic inflammation. Flank pain and tenderness in the presence of pyuria. Differentials For Pyelonephritis.
From medicolearning.com
Pyelonephritis MedicoLearning Differentials For Pyelonephritis Flank pain and tenderness in the presence of pyuria are highly suggestive of pyelonephritis and differentiate it from other urinary tract infections. The differential diagnosis of acute pyelonephritis is broad and includes the following: Pyelonephritis typically manifests suddenly with signs and symptoms of both systemic inflammation. It is important to differentiate acute pyelonephritis, a medical condition treated primarily with antibiotics,. Differentials For Pyelonephritis.
From www.slideserve.com
PPT Pyelonephritis PowerPoint Presentation, free download ID585144 Differentials For Pyelonephritis The differential diagnosis of acute pyelonephritis is broad and includes the following: Flank pain and tenderness in the presence of pyuria are highly suggestive of pyelonephritis and differentiate it from other urinary tract infections. Pyelonephritis typically manifests suddenly with signs and symptoms of both systemic inflammation. Acute abdominal conditions — especially if nausea. It is important to differentiate acute pyelonephritis,. Differentials For Pyelonephritis.
From www.semanticscholar.org
[PDF] Diagnosis and management of acute pyelonephritis in adults Differentials For Pyelonephritis Acute abdominal conditions — especially if nausea. It is important to differentiate acute pyelonephritis, a medical condition treated primarily with antibiotics, from pyonephrosis (obstructive pyelonephritis), a clinically. Flank pain and tenderness in the presence of pyuria are highly suggestive of pyelonephritis and differentiate it from other urinary tract infections. Pyelonephritis typically manifests suddenly with signs and symptoms of both systemic. Differentials For Pyelonephritis.
From www.sciencephoto.com
Pyelonephritis, illustration Stock Image F025/1355 Science Photo Differentials For Pyelonephritis Flank pain and tenderness in the presence of pyuria are highly suggestive of pyelonephritis and differentiate it from other urinary tract infections. Pyelonephritis typically manifests suddenly with signs and symptoms of both systemic inflammation. It is important to differentiate acute pyelonephritis, a medical condition treated primarily with antibiotics, from pyonephrosis (obstructive pyelonephritis), a clinically. Acute abdominal conditions — especially if. Differentials For Pyelonephritis.
From www.aafp.org
Diagnosis and Treatment of Acute Pyelonephritis in Women AAFP Differentials For Pyelonephritis Flank pain and tenderness in the presence of pyuria are highly suggestive of pyelonephritis and differentiate it from other urinary tract infections. The differential diagnosis of acute pyelonephritis is broad and includes the following: Acute abdominal conditions — especially if nausea. Pyelonephritis typically manifests suddenly with signs and symptoms of both systemic inflammation. It is important to differentiate acute pyelonephritis,. Differentials For Pyelonephritis.
From www.researchgate.net
Etiology of acute pyelonephritis Download Scientific Diagram Differentials For Pyelonephritis The differential diagnosis of acute pyelonephritis is broad and includes the following: It is important to differentiate acute pyelonephritis, a medical condition treated primarily with antibiotics, from pyonephrosis (obstructive pyelonephritis), a clinically. Pyelonephritis typically manifests suddenly with signs and symptoms of both systemic inflammation. Flank pain and tenderness in the presence of pyuria are highly suggestive of pyelonephritis and differentiate. Differentials For Pyelonephritis.
From drlogy.com
5 Accurate Tests for Pyelonephritis Diagnosis Drlogy Differentials For Pyelonephritis Flank pain and tenderness in the presence of pyuria are highly suggestive of pyelonephritis and differentiate it from other urinary tract infections. Pyelonephritis typically manifests suddenly with signs and symptoms of both systemic inflammation. The differential diagnosis of acute pyelonephritis is broad and includes the following: Acute abdominal conditions — especially if nausea. It is important to differentiate acute pyelonephritis,. Differentials For Pyelonephritis.
From www.cell.com
Urinary Tract Infection Pathogenesis and Outlook Trends in Molecular Differentials For Pyelonephritis Pyelonephritis typically manifests suddenly with signs and symptoms of both systemic inflammation. Acute abdominal conditions — especially if nausea. Flank pain and tenderness in the presence of pyuria are highly suggestive of pyelonephritis and differentiate it from other urinary tract infections. The differential diagnosis of acute pyelonephritis is broad and includes the following: It is important to differentiate acute pyelonephritis,. Differentials For Pyelonephritis.
From hospitalsmagazine.com
Acute Pyelonephritis HOSPITALS MAGAZINE Differentials For Pyelonephritis It is important to differentiate acute pyelonephritis, a medical condition treated primarily with antibiotics, from pyonephrosis (obstructive pyelonephritis), a clinically. Acute abdominal conditions — especially if nausea. Flank pain and tenderness in the presence of pyuria are highly suggestive of pyelonephritis and differentiate it from other urinary tract infections. Pyelonephritis typically manifests suddenly with signs and symptoms of both systemic. Differentials For Pyelonephritis.