Bone Resorption After Tooth Extraction . The facial bone wall thickness has been identified as the most critical factor influencing bone resorption and can be used as a prognostic tool in order to identify sites at risk. When, after tooth extraction, this space is occupied by bone or by an implant and. Alveolar ridge preservation (arp) is a method of decreasing bone resorption following tooth extraction and facilitating prosthetically. A variable amount of alveolar bone resorption occurs after unassisted socket healing depending on tooth type. The four stages of healing actually progress at a relatively fast rate in humans with the formation of lamellar bone and marrow; Teeth extraction is leaded by alveolar bone resorption which rapidly begins and continues for years.
from onlinelibrary.wiley.com
Alveolar ridge preservation (arp) is a method of decreasing bone resorption following tooth extraction and facilitating prosthetically. When, after tooth extraction, this space is occupied by bone or by an implant and. The facial bone wall thickness has been identified as the most critical factor influencing bone resorption and can be used as a prognostic tool in order to identify sites at risk. Teeth extraction is leaded by alveolar bone resorption which rapidly begins and continues for years. A variable amount of alveolar bone resorption occurs after unassisted socket healing depending on tooth type. The four stages of healing actually progress at a relatively fast rate in humans with the formation of lamellar bone and marrow;
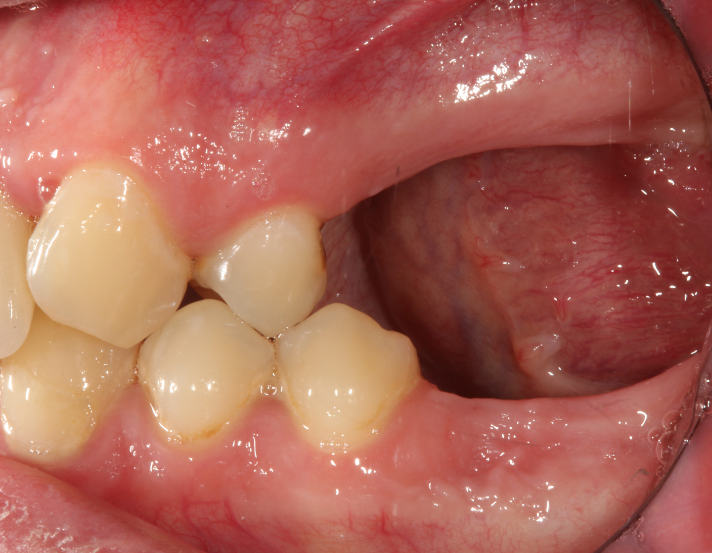
Clinical relevance of dimensional bone and soft tissue alterations post
Bone Resorption After Tooth Extraction Teeth extraction is leaded by alveolar bone resorption which rapidly begins and continues for years. Teeth extraction is leaded by alveolar bone resorption which rapidly begins and continues for years. The facial bone wall thickness has been identified as the most critical factor influencing bone resorption and can be used as a prognostic tool in order to identify sites at risk. Alveolar ridge preservation (arp) is a method of decreasing bone resorption following tooth extraction and facilitating prosthetically. A variable amount of alveolar bone resorption occurs after unassisted socket healing depending on tooth type. When, after tooth extraction, this space is occupied by bone or by an implant and. The four stages of healing actually progress at a relatively fast rate in humans with the formation of lamellar bone and marrow;
From www.perioimplantadvisory.com
Bone grafting after tooth removal Why, when, and what to use Perio Bone Resorption After Tooth Extraction When, after tooth extraction, this space is occupied by bone or by an implant and. A variable amount of alveolar bone resorption occurs after unassisted socket healing depending on tooth type. Teeth extraction is leaded by alveolar bone resorption which rapidly begins and continues for years. The four stages of healing actually progress at a relatively fast rate in humans. Bone Resorption After Tooth Extraction.
From www.codenspecialists.com
Dental Treatment Bone Grafting Coden Specialists Bone Resorption After Tooth Extraction Teeth extraction is leaded by alveolar bone resorption which rapidly begins and continues for years. A variable amount of alveolar bone resorption occurs after unassisted socket healing depending on tooth type. The four stages of healing actually progress at a relatively fast rate in humans with the formation of lamellar bone and marrow; When, after tooth extraction, this space is. Bone Resorption After Tooth Extraction.
From www.youtube.com
Ridge Atrophy Bone Loss after Tooth Extraction YouTube Bone Resorption After Tooth Extraction Alveolar ridge preservation (arp) is a method of decreasing bone resorption following tooth extraction and facilitating prosthetically. Teeth extraction is leaded by alveolar bone resorption which rapidly begins and continues for years. The facial bone wall thickness has been identified as the most critical factor influencing bone resorption and can be used as a prognostic tool in order to identify. Bone Resorption After Tooth Extraction.
From www.researchgate.net
Schematic illustration of the Kincision. (A) Alveolar ridge showing a Bone Resorption After Tooth Extraction The facial bone wall thickness has been identified as the most critical factor influencing bone resorption and can be used as a prognostic tool in order to identify sites at risk. Alveolar ridge preservation (arp) is a method of decreasing bone resorption following tooth extraction and facilitating prosthetically. Teeth extraction is leaded by alveolar bone resorption which rapidly begins and. Bone Resorption After Tooth Extraction.
From www.svetlanadental.com
Bone graft after a tooth extraction Methods, Healing process, Cost Bone Resorption After Tooth Extraction A variable amount of alveolar bone resorption occurs after unassisted socket healing depending on tooth type. When, after tooth extraction, this space is occupied by bone or by an implant and. The facial bone wall thickness has been identified as the most critical factor influencing bone resorption and can be used as a prognostic tool in order to identify sites. Bone Resorption After Tooth Extraction.
From www.alaskaoralfacialsurgery.com
What Is Bone Resorption? All About Jaw Health I Alaska Center For Bone Resorption After Tooth Extraction The four stages of healing actually progress at a relatively fast rate in humans with the formation of lamellar bone and marrow; A variable amount of alveolar bone resorption occurs after unassisted socket healing depending on tooth type. The facial bone wall thickness has been identified as the most critical factor influencing bone resorption and can be used as a. Bone Resorption After Tooth Extraction.
From www.slideshare.net
BONE CHANGES AFTER TOOTH EXTRACTION /orthodontic courses by Indian de… Bone Resorption After Tooth Extraction Teeth extraction is leaded by alveolar bone resorption which rapidly begins and continues for years. The four stages of healing actually progress at a relatively fast rate in humans with the formation of lamellar bone and marrow; A variable amount of alveolar bone resorption occurs after unassisted socket healing depending on tooth type. When, after tooth extraction, this space is. Bone Resorption After Tooth Extraction.
From www.researchgate.net
Resorption of the mandible after the extraction of a tooth (Atwood 1971 Bone Resorption After Tooth Extraction Alveolar ridge preservation (arp) is a method of decreasing bone resorption following tooth extraction and facilitating prosthetically. When, after tooth extraction, this space is occupied by bone or by an implant and. The four stages of healing actually progress at a relatively fast rate in humans with the formation of lamellar bone and marrow; The facial bone wall thickness has. Bone Resorption After Tooth Extraction.
From thedentalimplantguide.org
Bone Resorption The Dental Implant Guide Bone Resorption After Tooth Extraction Alveolar ridge preservation (arp) is a method of decreasing bone resorption following tooth extraction and facilitating prosthetically. The four stages of healing actually progress at a relatively fast rate in humans with the formation of lamellar bone and marrow; The facial bone wall thickness has been identified as the most critical factor influencing bone resorption and can be used as. Bone Resorption After Tooth Extraction.
From pocketdentistry.com
Root Resorption Pocket Dentistry Bone Resorption After Tooth Extraction The facial bone wall thickness has been identified as the most critical factor influencing bone resorption and can be used as a prognostic tool in order to identify sites at risk. Teeth extraction is leaded by alveolar bone resorption which rapidly begins and continues for years. When, after tooth extraction, this space is occupied by bone or by an implant. Bone Resorption After Tooth Extraction.
From www.steinerbio.com
Ridge Augmentation and the Etiology of Buccal Alveolar Resorption Bone Resorption After Tooth Extraction When, after tooth extraction, this space is occupied by bone or by an implant and. The four stages of healing actually progress at a relatively fast rate in humans with the formation of lamellar bone and marrow; The facial bone wall thickness has been identified as the most critical factor influencing bone resorption and can be used as a prognostic. Bone Resorption After Tooth Extraction.
From www.tooth-life.com
Bone graft after tooth extraction Techniques, alternatives, healing Bone Resorption After Tooth Extraction A variable amount of alveolar bone resorption occurs after unassisted socket healing depending on tooth type. Alveolar ridge preservation (arp) is a method of decreasing bone resorption following tooth extraction and facilitating prosthetically. The four stages of healing actually progress at a relatively fast rate in humans with the formation of lamellar bone and marrow; When, after tooth extraction, this. Bone Resorption After Tooth Extraction.
From ariadentaled.com.au
Reducing Alveolar Ridge Resorption after Tooth Extraction ARIADentalEd Bone Resorption After Tooth Extraction A variable amount of alveolar bone resorption occurs after unassisted socket healing depending on tooth type. Alveolar ridge preservation (arp) is a method of decreasing bone resorption following tooth extraction and facilitating prosthetically. Teeth extraction is leaded by alveolar bone resorption which rapidly begins and continues for years. The four stages of healing actually progress at a relatively fast rate. Bone Resorption After Tooth Extraction.
From www.mdpi.com
IJERPH Free FullText Prevention of Bone Resorption by HA/βTCP Bone Resorption After Tooth Extraction A variable amount of alveolar bone resorption occurs after unassisted socket healing depending on tooth type. Alveolar ridge preservation (arp) is a method of decreasing bone resorption following tooth extraction and facilitating prosthetically. Teeth extraction is leaded by alveolar bone resorption which rapidly begins and continues for years. The facial bone wall thickness has been identified as the most critical. Bone Resorption After Tooth Extraction.
From www.researchgate.net
Resorption of the maxillary alveolar bone after teeth extractions in Bone Resorption After Tooth Extraction Teeth extraction is leaded by alveolar bone resorption which rapidly begins and continues for years. Alveolar ridge preservation (arp) is a method of decreasing bone resorption following tooth extraction and facilitating prosthetically. The facial bone wall thickness has been identified as the most critical factor influencing bone resorption and can be used as a prognostic tool in order to identify. Bone Resorption After Tooth Extraction.
From ariadentaled.com.au
Reducing Alveolar Ridge Resorption after Tooth Extraction ARIADentalEd Bone Resorption After Tooth Extraction A variable amount of alveolar bone resorption occurs after unassisted socket healing depending on tooth type. The facial bone wall thickness has been identified as the most critical factor influencing bone resorption and can be used as a prognostic tool in order to identify sites at risk. Teeth extraction is leaded by alveolar bone resorption which rapidly begins and continues. Bone Resorption After Tooth Extraction.
From onlinelibrary.wiley.com
Effect of alveolar ridge preservation interventions following tooth Bone Resorption After Tooth Extraction A variable amount of alveolar bone resorption occurs after unassisted socket healing depending on tooth type. When, after tooth extraction, this space is occupied by bone or by an implant and. Teeth extraction is leaded by alveolar bone resorption which rapidly begins and continues for years. The facial bone wall thickness has been identified as the most critical factor influencing. Bone Resorption After Tooth Extraction.
From www.dentaleconomics.com
Bone grafting after tooth removal Why, when, and what to use Dental Bone Resorption After Tooth Extraction The facial bone wall thickness has been identified as the most critical factor influencing bone resorption and can be used as a prognostic tool in order to identify sites at risk. When, after tooth extraction, this space is occupied by bone or by an implant and. A variable amount of alveolar bone resorption occurs after unassisted socket healing depending on. Bone Resorption After Tooth Extraction.
From 24houremergencydentistlondon.com
Bony spicule left after tooth extraction Bone Resorption After Tooth Extraction The facial bone wall thickness has been identified as the most critical factor influencing bone resorption and can be used as a prognostic tool in order to identify sites at risk. Teeth extraction is leaded by alveolar bone resorption which rapidly begins and continues for years. Alveolar ridge preservation (arp) is a method of decreasing bone resorption following tooth extraction. Bone Resorption After Tooth Extraction.
From www.youtube.com
Bone atrophy after tooth extraction © YouTube Bone Resorption After Tooth Extraction The four stages of healing actually progress at a relatively fast rate in humans with the formation of lamellar bone and marrow; Teeth extraction is leaded by alveolar bone resorption which rapidly begins and continues for years. When, after tooth extraction, this space is occupied by bone or by an implant and. The facial bone wall thickness has been identified. Bone Resorption After Tooth Extraction.
From www.gratefuldental.com
Bone Loss and Facial Changes After Tooth Loss Grateful Dental Bone Resorption After Tooth Extraction Alveolar ridge preservation (arp) is a method of decreasing bone resorption following tooth extraction and facilitating prosthetically. When, after tooth extraction, this space is occupied by bone or by an implant and. Teeth extraction is leaded by alveolar bone resorption which rapidly begins and continues for years. The facial bone wall thickness has been identified as the most critical factor. Bone Resorption After Tooth Extraction.
From joiuxcguc.blob.core.windows.net
Tooth Extraction And Bone Graft Complications at Tami Neff blog Bone Resorption After Tooth Extraction Teeth extraction is leaded by alveolar bone resorption which rapidly begins and continues for years. The facial bone wall thickness has been identified as the most critical factor influencing bone resorption and can be used as a prognostic tool in order to identify sites at risk. A variable amount of alveolar bone resorption occurs after unassisted socket healing depending on. Bone Resorption After Tooth Extraction.
From thedentalimplantguide.org
Bone Resorption The Dental Implant Guide Bone Resorption After Tooth Extraction Teeth extraction is leaded by alveolar bone resorption which rapidly begins and continues for years. A variable amount of alveolar bone resorption occurs after unassisted socket healing depending on tooth type. When, after tooth extraction, this space is occupied by bone or by an implant and. The facial bone wall thickness has been identified as the most critical factor influencing. Bone Resorption After Tooth Extraction.
From www.researchgate.net
Extensive bone resorption in relation to the mandibular anterior teeth Bone Resorption After Tooth Extraction Alveolar ridge preservation (arp) is a method of decreasing bone resorption following tooth extraction and facilitating prosthetically. Teeth extraction is leaded by alveolar bone resorption which rapidly begins and continues for years. When, after tooth extraction, this space is occupied by bone or by an implant and. The facial bone wall thickness has been identified as the most critical factor. Bone Resorption After Tooth Extraction.
From www.semanticscholar.org
[PDF] Alveolar ridge resorption after tooth extraction A consequence Bone Resorption After Tooth Extraction When, after tooth extraction, this space is occupied by bone or by an implant and. The facial bone wall thickness has been identified as the most critical factor influencing bone resorption and can be used as a prognostic tool in order to identify sites at risk. Alveolar ridge preservation (arp) is a method of decreasing bone resorption following tooth extraction. Bone Resorption After Tooth Extraction.
From www.napervilleoms.com
3.Bonelossaftertoothextraction Naperville Oral and Maxillofacial Bone Resorption After Tooth Extraction The facial bone wall thickness has been identified as the most critical factor influencing bone resorption and can be used as a prognostic tool in order to identify sites at risk. When, after tooth extraction, this space is occupied by bone or by an implant and. A variable amount of alveolar bone resorption occurs after unassisted socket healing depending on. Bone Resorption After Tooth Extraction.
From www.perioimplantadvisory.com
Bone grafting after tooth removal Why, when, and what to use Perio Bone Resorption After Tooth Extraction Teeth extraction is leaded by alveolar bone resorption which rapidly begins and continues for years. The four stages of healing actually progress at a relatively fast rate in humans with the formation of lamellar bone and marrow; The facial bone wall thickness has been identified as the most critical factor influencing bone resorption and can be used as a prognostic. Bone Resorption After Tooth Extraction.
From www.dentistry33.com
Dimensional alterations in the postextraction alveolar process in the Bone Resorption After Tooth Extraction A variable amount of alveolar bone resorption occurs after unassisted socket healing depending on tooth type. Alveolar ridge preservation (arp) is a method of decreasing bone resorption following tooth extraction and facilitating prosthetically. The four stages of healing actually progress at a relatively fast rate in humans with the formation of lamellar bone and marrow; When, after tooth extraction, this. Bone Resorption After Tooth Extraction.
From www.researchgate.net
Ovariectomy prolongs maxillary bone resorption after teeth extractions Bone Resorption After Tooth Extraction When, after tooth extraction, this space is occupied by bone or by an implant and. The four stages of healing actually progress at a relatively fast rate in humans with the formation of lamellar bone and marrow; A variable amount of alveolar bone resorption occurs after unassisted socket healing depending on tooth type. Teeth extraction is leaded by alveolar bone. Bone Resorption After Tooth Extraction.
From drmiski.com
Bone Grafting For Dental Implant French Dental Services Dubai Dr Bone Resorption After Tooth Extraction A variable amount of alveolar bone resorption occurs after unassisted socket healing depending on tooth type. The facial bone wall thickness has been identified as the most critical factor influencing bone resorption and can be used as a prognostic tool in order to identify sites at risk. The four stages of healing actually progress at a relatively fast rate in. Bone Resorption After Tooth Extraction.
From www.svetlanadental.com
Bone graft after a tooth extraction Methods, Healing process, Cost Bone Resorption After Tooth Extraction Alveolar ridge preservation (arp) is a method of decreasing bone resorption following tooth extraction and facilitating prosthetically. Teeth extraction is leaded by alveolar bone resorption which rapidly begins and continues for years. The facial bone wall thickness has been identified as the most critical factor influencing bone resorption and can be used as a prognostic tool in order to identify. Bone Resorption After Tooth Extraction.
From www.slideserve.com
PPT SOCKET PRESERVATION PROCEDURE AFTER TOOTH EXTRACTION PowerPoint Bone Resorption After Tooth Extraction Teeth extraction is leaded by alveolar bone resorption which rapidly begins and continues for years. When, after tooth extraction, this space is occupied by bone or by an implant and. A variable amount of alveolar bone resorption occurs after unassisted socket healing depending on tooth type. The four stages of healing actually progress at a relatively fast rate in humans. Bone Resorption After Tooth Extraction.
From exyfdepvf.blob.core.windows.net
Stages Of Healing After Dental Bone Graft at Dustin Rice blog Bone Resorption After Tooth Extraction Teeth extraction is leaded by alveolar bone resorption which rapidly begins and continues for years. Alveolar ridge preservation (arp) is a method of decreasing bone resorption following tooth extraction and facilitating prosthetically. The four stages of healing actually progress at a relatively fast rate in humans with the formation of lamellar bone and marrow; When, after tooth extraction, this space. Bone Resorption After Tooth Extraction.
From onlinelibrary.wiley.com
Clinical relevance of dimensional bone and soft tissue alterations post Bone Resorption After Tooth Extraction The facial bone wall thickness has been identified as the most critical factor influencing bone resorption and can be used as a prognostic tool in order to identify sites at risk. Teeth extraction is leaded by alveolar bone resorption which rapidly begins and continues for years. When, after tooth extraction, this space is occupied by bone or by an implant. Bone Resorption After Tooth Extraction.
From www.dentaleconomics.com
Bone grafting after tooth removal Why, when, and what to use Dental Bone Resorption After Tooth Extraction Teeth extraction is leaded by alveolar bone resorption which rapidly begins and continues for years. Alveolar ridge preservation (arp) is a method of decreasing bone resorption following tooth extraction and facilitating prosthetically. A variable amount of alveolar bone resorption occurs after unassisted socket healing depending on tooth type. The four stages of healing actually progress at a relatively fast rate. Bone Resorption After Tooth Extraction.