Are Teeth Shaved Down For Veneers . Enamel is the hard, white outer layer of your tooth. Orthodontics are designed to address issues like. In the traditional veneer process, a minor amount of enamel, typically 0.5mm to 1mm, is removed from the teeth receiving the veneers. Getting shaved teeth for veneers is a permanent process because enamel can’t regrow—once enamel is removed, it’s gone forever. Do they shave your teeth for veneers? Traditionally, teeth had to be prepared or shaped significantly to accommodate room for veneers, but over recent years, technology and. The answer, surprisingly is usually no. In most cases, the answer is yes. They’re considered a cosmetic treatment and can correct gaps and chips, improve shape and texture, and create an overall whiter smile for those with discoloration. If you need to have your teeth shaved, we’ll need to shave off around 0.5mm of your tooth’s enamel. Composite veneers often require less shaving, so you’ll need less. Unlike dentures, which replace missing teeth, veneers are thin coverings placed on top of your natural teeth after shaving them down and then attached with a composite resin. Learn the truth about shaving teeth down for veneers and why this is a necessary step to ensure a. Yes, the dentist must shave your enamel for porcelain or composite veneers. Veneers are designed to affix to teeth, but can’t fit over teeth as a cap in most procedures.
from www.animalia-life.club
They’re considered a cosmetic treatment and can correct gaps and chips, improve shape and texture, and create an overall whiter smile for those with discoloration. Unlike dentures, which replace missing teeth, veneers are thin coverings placed on top of your natural teeth after shaving them down and then attached with a composite resin. In most cases, the answer is yes. Composite veneers often require less shaving, so you’ll need less. Traditionally, teeth had to be prepared or shaped significantly to accommodate room for veneers, but over recent years, technology and. Orthodontics are designed to address issues like. Learn the truth about shaving teeth down for veneers and why this is a necessary step to ensure a. In addition to covering damaged teeth, veneers can be used to change the size, color, length, and shape of your teeth, as well as close gaps. Enamel is the hard, white outer layer of your tooth. The answer, surprisingly is usually no.
Vampire Teeth Sharpening
Are Teeth Shaved Down For Veneers In addition to covering damaged teeth, veneers can be used to change the size, color, length, and shape of your teeth, as well as close gaps. Enamel is the hard, white outer layer of your tooth. Traditionally, teeth had to be prepared or shaped significantly to accommodate room for veneers, but over recent years, technology and. In most cases, the answer is yes. Do they shave your teeth for veneers? Unlike dentures, which replace missing teeth, veneers are thin coverings placed on top of your natural teeth after shaving them down and then attached with a composite resin. They’re considered a cosmetic treatment and can correct gaps and chips, improve shape and texture, and create an overall whiter smile for those with discoloration. Learn the truth about shaving teeth down for veneers and why this is a necessary step to ensure a. Composite veneers often require less shaving, so you’ll need less. Veneers are designed to affix to teeth, but can’t fit over teeth as a cap in most procedures. In the traditional veneer process, a minor amount of enamel, typically 0.5mm to 1mm, is removed from the teeth receiving the veneers. In addition to covering damaged teeth, veneers can be used to change the size, color, length, and shape of your teeth, as well as close gaps. Getting shaved teeth for veneers is a permanent process because enamel can’t regrow—once enamel is removed, it’s gone forever. The answer, surprisingly is usually no. Orthodontics are designed to address issues like. Yes, the dentist must shave your enamel for porcelain or composite veneers.
From www.youtube.com
Prepping Teeth for Veneers (InDepth Instructions) Dental Minute with Are Teeth Shaved Down For Veneers They’re considered a cosmetic treatment and can correct gaps and chips, improve shape and texture, and create an overall whiter smile for those with discoloration. Learn the truth about shaving teeth down for veneers and why this is a necessary step to ensure a. Veneers are designed to affix to teeth, but can’t fit over teeth as a cap in. Are Teeth Shaved Down For Veneers.
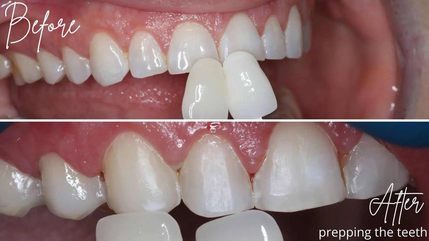
From www.faceliftdentistry.com
NoPrep (Non Invasive) Porcelain Veneers Are Teeth Shaved Down For Veneers Veneers are designed to affix to teeth, but can’t fit over teeth as a cap in most procedures. Traditionally, teeth had to be prepared or shaped significantly to accommodate room for veneers, but over recent years, technology and. Unlike dentures, which replace missing teeth, veneers are thin coverings placed on top of your natural teeth after shaving them down and. Are Teeth Shaved Down For Veneers.
From teethwalls.blogspot.com
What Happens To Real Teeth Under Veneers TeethWalls Are Teeth Shaved Down For Veneers In the traditional veneer process, a minor amount of enamel, typically 0.5mm to 1mm, is removed from the teeth receiving the veneers. Composite veneers often require less shaving, so you’ll need less. Unlike dentures, which replace missing teeth, veneers are thin coverings placed on top of your natural teeth after shaving them down and then attached with a composite resin.. Are Teeth Shaved Down For Veneers.
From www.youtube.com
Do Teeth Need to be Filed or Shaved Down for Veneers? YouTube Are Teeth Shaved Down For Veneers Orthodontics are designed to address issues like. Veneers are designed to affix to teeth, but can’t fit over teeth as a cap in most procedures. The answer, surprisingly is usually no. Unlike dentures, which replace missing teeth, veneers are thin coverings placed on top of your natural teeth after shaving them down and then attached with a composite resin. They’re. Are Teeth Shaved Down For Veneers.
From www.dayodental.com
Are Veneers Permanent? Are Teeth Shaved Down For Veneers Orthodontics are designed to address issues like. Do they shave your teeth for veneers? Yes, the dentist must shave your enamel for porcelain or composite veneers. Veneers are designed to affix to teeth, but can’t fit over teeth as a cap in most procedures. The answer, surprisingly is usually no. Unlike dentures, which replace missing teeth, veneers are thin coverings. Are Teeth Shaved Down For Veneers.
From infoteeth.org
Are Teeth Shaved Down For Veneers Beneficial? Infoteeth Are Teeth Shaved Down For Veneers If you need to have your teeth shaved, we’ll need to shave off around 0.5mm of your tooth’s enamel. In the traditional veneer process, a minor amount of enamel, typically 0.5mm to 1mm, is removed from the teeth receiving the veneers. Getting shaved teeth for veneers is a permanent process because enamel can’t regrow—once enamel is removed, it’s gone forever.. Are Teeth Shaved Down For Veneers.
From dentalandskin.com.au
Will Teeth Be Shaved Down to Nubs for Veneers? Are Teeth Shaved Down For Veneers They’re considered a cosmetic treatment and can correct gaps and chips, improve shape and texture, and create an overall whiter smile for those with discoloration. If you need to have your teeth shaved, we’ll need to shave off around 0.5mm of your tooth’s enamel. The answer, surprisingly is usually no. Yes, the dentist must shave your enamel for porcelain or. Are Teeth Shaved Down For Veneers.
From www.medaway.co.uk
Veneers Turkey £245 per Tooth Special Techniques MedAway Are Teeth Shaved Down For Veneers Composite veneers often require less shaving, so you’ll need less. They’re considered a cosmetic treatment and can correct gaps and chips, improve shape and texture, and create an overall whiter smile for those with discoloration. Yes, the dentist must shave your enamel for porcelain or composite veneers. Do they shave your teeth for veneers? Learn the truth about shaving teeth. Are Teeth Shaved Down For Veneers.
From www.reddit.com
I’m finally done! My before and after! They shaved my front teeth down Are Teeth Shaved Down For Veneers Orthodontics are designed to address issues like. Enamel is the hard, white outer layer of your tooth. In addition to covering damaged teeth, veneers can be used to change the size, color, length, and shape of your teeth, as well as close gaps. The answer, surprisingly is usually no. Yes, the dentist must shave your enamel for porcelain or composite. Are Teeth Shaved Down For Veneers.
From ar.inspiredpencil.com
Teeth Shaving Before And After Are Teeth Shaved Down For Veneers If you need to have your teeth shaved, we’ll need to shave off around 0.5mm of your tooth’s enamel. Veneers are designed to affix to teeth, but can’t fit over teeth as a cap in most procedures. In the traditional veneer process, a minor amount of enamel, typically 0.5mm to 1mm, is removed from the teeth receiving the veneers. Learn. Are Teeth Shaved Down For Veneers.
From www.youtube.com
DO I REGRET GETTING VENEERS? Q&A 6 months update (Dental Centre Turkey Are Teeth Shaved Down For Veneers If you need to have your teeth shaved, we’ll need to shave off around 0.5mm of your tooth’s enamel. Unlike dentures, which replace missing teeth, veneers are thin coverings placed on top of your natural teeth after shaving them down and then attached with a composite resin. Orthodontics are designed to address issues like. In most cases, the answer is. Are Teeth Shaved Down For Veneers.
From ar.inspiredpencil.com
Taylor Swift Teeth Before And After Veneers Are Teeth Shaved Down For Veneers Veneers are designed to affix to teeth, but can’t fit over teeth as a cap in most procedures. Enamel is the hard, white outer layer of your tooth. In addition to covering damaged teeth, veneers can be used to change the size, color, length, and shape of your teeth, as well as close gaps. The answer, surprisingly is usually no.. Are Teeth Shaved Down For Veneers.
From allsmilesomaha.com
Do You Have to Shave My Teeth Down to Do Veneers? All Smiles Are Teeth Shaved Down For Veneers In the traditional veneer process, a minor amount of enamel, typically 0.5mm to 1mm, is removed from the teeth receiving the veneers. They’re considered a cosmetic treatment and can correct gaps and chips, improve shape and texture, and create an overall whiter smile for those with discoloration. Veneers are designed to affix to teeth, but can’t fit over teeth as. Are Teeth Shaved Down For Veneers.
From www.youtube.com
I GOT VENEERS! My Experience 🦷 (Without shaving my natural teeth Are Teeth Shaved Down For Veneers The answer, surprisingly is usually no. Orthodontics are designed to address issues like. Learn the truth about shaving teeth down for veneers and why this is a necessary step to ensure a. Composite veneers often require less shaving, so you’ll need less. In the traditional veneer process, a minor amount of enamel, typically 0.5mm to 1mm, is removed from the. Are Teeth Shaved Down For Veneers.
From teethwalls.blogspot.com
What Happens To Real Teeth Under Veneers TeethWalls Are Teeth Shaved Down For Veneers Learn the truth about shaving teeth down for veneers and why this is a necessary step to ensure a. Orthodontics are designed to address issues like. Traditionally, teeth had to be prepared or shaped significantly to accommodate room for veneers, but over recent years, technology and. They’re considered a cosmetic treatment and can correct gaps and chips, improve shape and. Are Teeth Shaved Down For Veneers.
From voguedentalstudios.com.au
Do my teeth need to be shaved in order to get veneers? Are Teeth Shaved Down For Veneers Composite veneers often require less shaving, so you’ll need less. If you need to have your teeth shaved, we’ll need to shave off around 0.5mm of your tooth’s enamel. Traditionally, teeth had to be prepared or shaped significantly to accommodate room for veneers, but over recent years, technology and. Do they shave your teeth for veneers? In the traditional veneer. Are Teeth Shaved Down For Veneers.
From www.the-sun.com
Trend of shaving teeth down to PEGS to get ‘perfect smile’ with veneers Are Teeth Shaved Down For Veneers Veneers are designed to affix to teeth, but can’t fit over teeth as a cap in most procedures. In the traditional veneer process, a minor amount of enamel, typically 0.5mm to 1mm, is removed from the teeth receiving the veneers. Orthodontics are designed to address issues like. They’re considered a cosmetic treatment and can correct gaps and chips, improve shape. Are Teeth Shaved Down For Veneers.
From adeptdentalgroup.com
Veneers • Adept Dental Group Are Teeth Shaved Down For Veneers They’re considered a cosmetic treatment and can correct gaps and chips, improve shape and texture, and create an overall whiter smile for those with discoloration. Veneers are designed to affix to teeth, but can’t fit over teeth as a cap in most procedures. Do they shave your teeth for veneers? In the traditional veneer process, a minor amount of enamel,. Are Teeth Shaved Down For Veneers.
From www.the-sun.com
Trend of shaving teeth down to PEGS to get ‘perfect smile’ with veneers Are Teeth Shaved Down For Veneers If you need to have your teeth shaved, we’ll need to shave off around 0.5mm of your tooth’s enamel. Yes, the dentist must shave your enamel for porcelain or composite veneers. Veneers are designed to affix to teeth, but can’t fit over teeth as a cap in most procedures. Traditionally, teeth had to be prepared or shaped significantly to accommodate. Are Teeth Shaved Down For Veneers.
From www.youtube.com
Procedure of Placing Dental Veneers (Hollywood smile) YouTube Are Teeth Shaved Down For Veneers The answer, surprisingly is usually no. Getting shaved teeth for veneers is a permanent process because enamel can’t regrow—once enamel is removed, it’s gone forever. In addition to covering damaged teeth, veneers can be used to change the size, color, length, and shape of your teeth, as well as close gaps. Traditionally, teeth had to be prepared or shaped significantly. Are Teeth Shaved Down For Veneers.
From www.lighthousedentalcentre.com
Do You Need to Shave Your Teeth for Veneers? Are Teeth Shaved Down For Veneers Orthodontics are designed to address issues like. Getting shaved teeth for veneers is a permanent process because enamel can’t regrow—once enamel is removed, it’s gone forever. In addition to covering damaged teeth, veneers can be used to change the size, color, length, and shape of your teeth, as well as close gaps. If you need to have your teeth shaved,. Are Teeth Shaved Down For Veneers.
From techzype.com
Shaved Teeth for Veneers Discover Your Perfect Smile Techzype Are Teeth Shaved Down For Veneers Unlike dentures, which replace missing teeth, veneers are thin coverings placed on top of your natural teeth after shaving them down and then attached with a composite resin. Traditionally, teeth had to be prepared or shaped significantly to accommodate room for veneers, but over recent years, technology and. In addition to covering damaged teeth, veneers can be used to change. Are Teeth Shaved Down For Veneers.
From www.reddit.com
Shaved teeth preveneers r/oddlyterrifying Are Teeth Shaved Down For Veneers Learn the truth about shaving teeth down for veneers and why this is a necessary step to ensure a. Veneers are designed to affix to teeth, but can’t fit over teeth as a cap in most procedures. Getting shaved teeth for veneers is a permanent process because enamel can’t regrow—once enamel is removed, it’s gone forever. Traditionally, teeth had to. Are Teeth Shaved Down For Veneers.
From www.lighthousedentalcentre.com
Do You Need to Shave Your Teeth for Veneers? Are Teeth Shaved Down For Veneers Getting shaved teeth for veneers is a permanent process because enamel can’t regrow—once enamel is removed, it’s gone forever. Traditionally, teeth had to be prepared or shaped significantly to accommodate room for veneers, but over recent years, technology and. In addition to covering damaged teeth, veneers can be used to change the size, color, length, and shape of your teeth,. Are Teeth Shaved Down For Veneers.
From www.youtube.com
Do you have to grind / shave teeth for porcelain veneers? YouTube Are Teeth Shaved Down For Veneers In addition to covering damaged teeth, veneers can be used to change the size, color, length, and shape of your teeth, as well as close gaps. They’re considered a cosmetic treatment and can correct gaps and chips, improve shape and texture, and create an overall whiter smile for those with discoloration. Yes, the dentist must shave your enamel for porcelain. Are Teeth Shaved Down For Veneers.
From bespokesmile.co.uk
Learn Why Veneers Don't Require Major Teeth Shaving Are Teeth Shaved Down For Veneers Veneers are designed to affix to teeth, but can’t fit over teeth as a cap in most procedures. Enamel is the hard, white outer layer of your tooth. Learn the truth about shaving teeth down for veneers and why this is a necessary step to ensure a. Getting shaved teeth for veneers is a permanent process because enamel can’t regrow—once. Are Teeth Shaved Down For Veneers.
From twitter.com
James English on Twitter "this is what they have to do to your real Are Teeth Shaved Down For Veneers Composite veneers often require less shaving, so you’ll need less. The answer, surprisingly is usually no. Enamel is the hard, white outer layer of your tooth. If you need to have your teeth shaved, we’ll need to shave off around 0.5mm of your tooth’s enamel. Traditionally, teeth had to be prepared or shaped significantly to accommodate room for veneers, but. Are Teeth Shaved Down For Veneers.
From www.youtube.com
SHAVING MY TEETH DOWN FOR VENEERS lol jk my Invisalign journey YouTube Are Teeth Shaved Down For Veneers In the traditional veneer process, a minor amount of enamel, typically 0.5mm to 1mm, is removed from the teeth receiving the veneers. Yes, the dentist must shave your enamel for porcelain or composite veneers. Getting shaved teeth for veneers is a permanent process because enamel can’t regrow—once enamel is removed, it’s gone forever. Composite veneers often require less shaving, so. Are Teeth Shaved Down For Veneers.
From trustdentalcare.com
How Much Do They Have to Shave Your Teeth for Veneers? Are Teeth Shaved Down For Veneers Enamel is the hard, white outer layer of your tooth. Getting shaved teeth for veneers is a permanent process because enamel can’t regrow—once enamel is removed, it’s gone forever. Unlike dentures, which replace missing teeth, veneers are thin coverings placed on top of your natural teeth after shaving them down and then attached with a composite resin. In the traditional. Are Teeth Shaved Down For Veneers.
From dentallaid.com
Shaved Teeth for Veneers Is Shaving Necessary? Are Teeth Shaved Down For Veneers In addition to covering damaged teeth, veneers can be used to change the size, color, length, and shape of your teeth, as well as close gaps. If you need to have your teeth shaved, we’ll need to shave off around 0.5mm of your tooth’s enamel. Learn the truth about shaving teeth down for veneers and why this is a necessary. Are Teeth Shaved Down For Veneers.
From bespokesmile.co.uk
Everything You Need To Know About Emax VeneersBespoke Smile Are Teeth Shaved Down For Veneers Composite veneers often require less shaving, so you’ll need less. The answer, surprisingly is usually no. Orthodontics are designed to address issues like. In most cases, the answer is yes. Unlike dentures, which replace missing teeth, veneers are thin coverings placed on top of your natural teeth after shaving them down and then attached with a composite resin. Traditionally, teeth. Are Teeth Shaved Down For Veneers.
From www.thedentalguide.net
Do It Yourself Veneers Removable Veneers For Your Teeth Are Teeth Shaved Down For Veneers Getting shaved teeth for veneers is a permanent process because enamel can’t regrow—once enamel is removed, it’s gone forever. Orthodontics are designed to address issues like. Do they shave your teeth for veneers? In the traditional veneer process, a minor amount of enamel, typically 0.5mm to 1mm, is removed from the teeth receiving the veneers. Composite veneers often require less. Are Teeth Shaved Down For Veneers.
From denora.co.uk
Veneers Denora Are Teeth Shaved Down For Veneers Yes, the dentist must shave your enamel for porcelain or composite veneers. Learn the truth about shaving teeth down for veneers and why this is a necessary step to ensure a. Composite veneers often require less shaving, so you’ll need less. Getting shaved teeth for veneers is a permanent process because enamel can’t regrow—once enamel is removed, it’s gone forever.. Are Teeth Shaved Down For Veneers.
From infoteeth.org
Are Teeth Shaved Down For Veneers Beneficial? Infoteeth Are Teeth Shaved Down For Veneers If you need to have your teeth shaved, we’ll need to shave off around 0.5mm of your tooth’s enamel. Getting shaved teeth for veneers is a permanent process because enamel can’t regrow—once enamel is removed, it’s gone forever. Enamel is the hard, white outer layer of your tooth. In most cases, the answer is yes. In the traditional veneer process,. Are Teeth Shaved Down For Veneers.
From www.animalia-life.club
Vampire Teeth Sharpening Are Teeth Shaved Down For Veneers Composite veneers often require less shaving, so you’ll need less. Unlike dentures, which replace missing teeth, veneers are thin coverings placed on top of your natural teeth after shaving them down and then attached with a composite resin. Do they shave your teeth for veneers? In the traditional veneer process, a minor amount of enamel, typically 0.5mm to 1mm, is. Are Teeth Shaved Down For Veneers.