Autoimmune Hepatitis Liver Mri . Autoimmune hepatitides) is a rare type of chronic. Imaging has also a role in excluding overlapping syndromes. Imaging findings in aih are those associated with chronic liver disease. Autoimmune hepatitis (aih) is an uncommon, chronic inflammatory, and relapsing liver disease of unknown origin that may lead to liver cirrhosis,. To retrospectively evaluate the morphologic and enhancement features of the liver on magnetic resonance (mr) images obtained in. Citation, doi, disclosures and article data. Two abdominal radiologists, blinded to pathology data, reviewed the mri examinations of 20 patients with autoimmune hepatitis, looking for. Autoimmune hepatitis (aih) is a chronic inflammatory liver disease of unknown origin that can lead to liver cirrhosis, hepatocellular carcinoma (hcc), liver transplantation or death. Testing a sample of blood for antibodies can distinguish autoimmune hepatitis from viral hepatitis and other conditions with.
from www.researchgate.net
Imaging findings in aih are those associated with chronic liver disease. To retrospectively evaluate the morphologic and enhancement features of the liver on magnetic resonance (mr) images obtained in. Imaging has also a role in excluding overlapping syndromes. Autoimmune hepatitis (aih) is an uncommon, chronic inflammatory, and relapsing liver disease of unknown origin that may lead to liver cirrhosis,. Citation, doi, disclosures and article data. Autoimmune hepatitides) is a rare type of chronic. Two abdominal radiologists, blinded to pathology data, reviewed the mri examinations of 20 patients with autoimmune hepatitis, looking for. Autoimmune hepatitis (aih) is a chronic inflammatory liver disease of unknown origin that can lead to liver cirrhosis, hepatocellular carcinoma (hcc), liver transplantation or death. Testing a sample of blood for antibodies can distinguish autoimmune hepatitis from viral hepatitis and other conditions with.
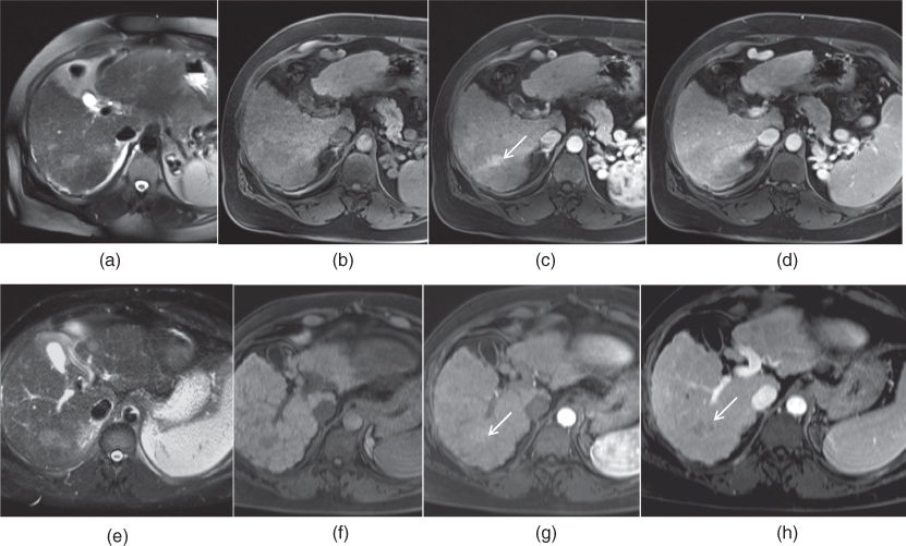
MRI of the liver showing a nodular hepatic lesion (red arrow
Autoimmune Hepatitis Liver Mri To retrospectively evaluate the morphologic and enhancement features of the liver on magnetic resonance (mr) images obtained in. Imaging has also a role in excluding overlapping syndromes. Autoimmune hepatitis (aih) is a chronic inflammatory liver disease of unknown origin that can lead to liver cirrhosis, hepatocellular carcinoma (hcc), liver transplantation or death. To retrospectively evaluate the morphologic and enhancement features of the liver on magnetic resonance (mr) images obtained in. Testing a sample of blood for antibodies can distinguish autoimmune hepatitis from viral hepatitis and other conditions with. Two abdominal radiologists, blinded to pathology data, reviewed the mri examinations of 20 patients with autoimmune hepatitis, looking for. Autoimmune hepatitides) is a rare type of chronic. Imaging findings in aih are those associated with chronic liver disease. Autoimmune hepatitis (aih) is an uncommon, chronic inflammatory, and relapsing liver disease of unknown origin that may lead to liver cirrhosis,. Citation, doi, disclosures and article data.
From wikidoc.org
Autoimmune hepatitis MRI wikidoc Autoimmune Hepatitis Liver Mri Citation, doi, disclosures and article data. Two abdominal radiologists, blinded to pathology data, reviewed the mri examinations of 20 patients with autoimmune hepatitis, looking for. Autoimmune hepatitides) is a rare type of chronic. Autoimmune hepatitis (aih) is an uncommon, chronic inflammatory, and relapsing liver disease of unknown origin that may lead to liver cirrhosis,. Imaging findings in aih are those. Autoimmune Hepatitis Liver Mri.
From liveratlas.org
Liver Atlas Case 83 Hepatitis, autoimmune Granulomatous hepatitis Autoimmune Hepatitis Liver Mri Autoimmune hepatitis (aih) is an uncommon, chronic inflammatory, and relapsing liver disease of unknown origin that may lead to liver cirrhosis,. Imaging has also a role in excluding overlapping syndromes. Autoimmune hepatitis (aih) is a chronic inflammatory liver disease of unknown origin that can lead to liver cirrhosis, hepatocellular carcinoma (hcc), liver transplantation or death. Two abdominal radiologists, blinded to. Autoimmune Hepatitis Liver Mri.
From www.researchgate.net
Contrastenhanced MRI of the liver was performed for this patient with Autoimmune Hepatitis Liver Mri Autoimmune hepatitis (aih) is a chronic inflammatory liver disease of unknown origin that can lead to liver cirrhosis, hepatocellular carcinoma (hcc), liver transplantation or death. Imaging has also a role in excluding overlapping syndromes. Autoimmune hepatitides) is a rare type of chronic. Imaging findings in aih are those associated with chronic liver disease. Testing a sample of blood for antibodies. Autoimmune Hepatitis Liver Mri.
From liveratlas.org
Liver Atlas Diagnosis Hepatitis, acute Autoimmune Hepatitis Liver Mri Imaging has also a role in excluding overlapping syndromes. Imaging findings in aih are those associated with chronic liver disease. To retrospectively evaluate the morphologic and enhancement features of the liver on magnetic resonance (mr) images obtained in. Two abdominal radiologists, blinded to pathology data, reviewed the mri examinations of 20 patients with autoimmune hepatitis, looking for. Autoimmune hepatitides) is. Autoimmune Hepatitis Liver Mri.
From journals.sagepub.com
IgG4related autoimmune hepatitis A case report Yunpeng Li, Lifeng Autoimmune Hepatitis Liver Mri Citation, doi, disclosures and article data. Autoimmune hepatitides) is a rare type of chronic. Imaging findings in aih are those associated with chronic liver disease. Autoimmune hepatitis (aih) is a chronic inflammatory liver disease of unknown origin that can lead to liver cirrhosis, hepatocellular carcinoma (hcc), liver transplantation or death. To retrospectively evaluate the morphologic and enhancement features of the. Autoimmune Hepatitis Liver Mri.
From www.researchgate.net
Early phase contrastenhanced CT scan of the liver showing Autoimmune Hepatitis Liver Mri Autoimmune hepatitis (aih) is a chronic inflammatory liver disease of unknown origin that can lead to liver cirrhosis, hepatocellular carcinoma (hcc), liver transplantation or death. Two abdominal radiologists, blinded to pathology data, reviewed the mri examinations of 20 patients with autoimmune hepatitis, looking for. Testing a sample of blood for antibodies can distinguish autoimmune hepatitis from viral hepatitis and other. Autoimmune Hepatitis Liver Mri.
From pubs.rsna.org
Diffusionweighted MR Imaging of the Liver Radiology Autoimmune Hepatitis Liver Mri Imaging has also a role in excluding overlapping syndromes. Citation, doi, disclosures and article data. Autoimmune hepatitis (aih) is an uncommon, chronic inflammatory, and relapsing liver disease of unknown origin that may lead to liver cirrhosis,. Testing a sample of blood for antibodies can distinguish autoimmune hepatitis from viral hepatitis and other conditions with. Autoimmune hepatitides) is a rare type. Autoimmune Hepatitis Liver Mri.
From axisimagingnews.com
Diagnosing Autoimmune Hepatitis Via Imaging Axis Imaging News Autoimmune Hepatitis Liver Mri Citation, doi, disclosures and article data. Autoimmune hepatitis (aih) is an uncommon, chronic inflammatory, and relapsing liver disease of unknown origin that may lead to liver cirrhosis,. Imaging has also a role in excluding overlapping syndromes. Autoimmune hepatitides) is a rare type of chronic. Two abdominal radiologists, blinded to pathology data, reviewed the mri examinations of 20 patients with autoimmune. Autoimmune Hepatitis Liver Mri.
From radiologykey.com
Chronic hepatitis and liver cirrhosis Radiology Key Autoimmune Hepatitis Liver Mri Imaging findings in aih are those associated with chronic liver disease. Autoimmune hepatitides) is a rare type of chronic. Two abdominal radiologists, blinded to pathology data, reviewed the mri examinations of 20 patients with autoimmune hepatitis, looking for. Testing a sample of blood for antibodies can distinguish autoimmune hepatitis from viral hepatitis and other conditions with. Imaging has also a. Autoimmune Hepatitis Liver Mri.
From www.researchgate.net
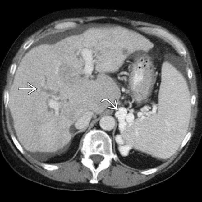
Computed tomography scan demonstrating partial hepatic capsule Autoimmune Hepatitis Liver Mri Imaging findings in aih are those associated with chronic liver disease. To retrospectively evaluate the morphologic and enhancement features of the liver on magnetic resonance (mr) images obtained in. Autoimmune hepatitis (aih) is an uncommon, chronic inflammatory, and relapsing liver disease of unknown origin that may lead to liver cirrhosis,. Testing a sample of blood for antibodies can distinguish autoimmune. Autoimmune Hepatitis Liver Mri.
From euroimmunus.blog
Inside the Diagnosis of Autoimmune Liver Disease EUROIMMUN BLOG Autoimmune Hepatitis Liver Mri Citation, doi, disclosures and article data. Autoimmune hepatitides) is a rare type of chronic. To retrospectively evaluate the morphologic and enhancement features of the liver on magnetic resonance (mr) images obtained in. Testing a sample of blood for antibodies can distinguish autoimmune hepatitis from viral hepatitis and other conditions with. Autoimmune hepatitis (aih) is a chronic inflammatory liver disease of. Autoimmune Hepatitis Liver Mri.
From radiologykey.com
3 Liver Adenoma Radiology Key Autoimmune Hepatitis Liver Mri Autoimmune hepatitides) is a rare type of chronic. Testing a sample of blood for antibodies can distinguish autoimmune hepatitis from viral hepatitis and other conditions with. Autoimmune hepatitis (aih) is a chronic inflammatory liver disease of unknown origin that can lead to liver cirrhosis, hepatocellular carcinoma (hcc), liver transplantation or death. To retrospectively evaluate the morphologic and enhancement features of. Autoimmune Hepatitis Liver Mri.
From www.cureus.com
Cureus Resonance Imaging of Primary Hepatic Malignancies in Autoimmune Hepatitis Liver Mri Two abdominal radiologists, blinded to pathology data, reviewed the mri examinations of 20 patients with autoimmune hepatitis, looking for. Autoimmune hepatitis (aih) is a chronic inflammatory liver disease of unknown origin that can lead to liver cirrhosis, hepatocellular carcinoma (hcc), liver transplantation or death. Citation, doi, disclosures and article data. Testing a sample of blood for antibodies can distinguish autoimmune. Autoimmune Hepatitis Liver Mri.
From www.wjgnet.com
Acute autoimmune hepatitis mimicking metastatic liver disease A case Autoimmune Hepatitis Liver Mri Testing a sample of blood for antibodies can distinguish autoimmune hepatitis from viral hepatitis and other conditions with. Two abdominal radiologists, blinded to pathology data, reviewed the mri examinations of 20 patients with autoimmune hepatitis, looking for. Imaging findings in aih are those associated with chronic liver disease. Imaging has also a role in excluding overlapping syndromes. Autoimmune hepatitis (aih). Autoimmune Hepatitis Liver Mri.
From www.researchgate.net
Acute hepatic infarction on liver MRI. Liver MRI at first visit showed Autoimmune Hepatitis Liver Mri Autoimmune hepatitides) is a rare type of chronic. Imaging has also a role in excluding overlapping syndromes. Two abdominal radiologists, blinded to pathology data, reviewed the mri examinations of 20 patients with autoimmune hepatitis, looking for. Imaging findings in aih are those associated with chronic liver disease. Citation, doi, disclosures and article data. Testing a sample of blood for antibodies. Autoimmune Hepatitis Liver Mri.
From www.researchgate.net
MRI of the liver showing a nodular hepatic lesion (red arrow Autoimmune Hepatitis Liver Mri Autoimmune hepatitis (aih) is a chronic inflammatory liver disease of unknown origin that can lead to liver cirrhosis, hepatocellular carcinoma (hcc), liver transplantation or death. Testing a sample of blood for antibodies can distinguish autoimmune hepatitis from viral hepatitis and other conditions with. To retrospectively evaluate the morphologic and enhancement features of the liver on magnetic resonance (mr) images obtained. Autoimmune Hepatitis Liver Mri.
From www.medison.ru
Ultrasound images • Liver autoimmune hepatitis, Bmode & color Autoimmune Hepatitis Liver Mri Imaging has also a role in excluding overlapping syndromes. Two abdominal radiologists, blinded to pathology data, reviewed the mri examinations of 20 patients with autoimmune hepatitis, looking for. Autoimmune hepatitis (aih) is a chronic inflammatory liver disease of unknown origin that can lead to liver cirrhosis, hepatocellular carcinoma (hcc), liver transplantation or death. Autoimmune hepatitides) is a rare type of. Autoimmune Hepatitis Liver Mri.
From www.researchgate.net
Establishment of the experimental autoimmune hepatitis model. (A Autoimmune Hepatitis Liver Mri Two abdominal radiologists, blinded to pathology data, reviewed the mri examinations of 20 patients with autoimmune hepatitis, looking for. Autoimmune hepatitides) is a rare type of chronic. Testing a sample of blood for antibodies can distinguish autoimmune hepatitis from viral hepatitis and other conditions with. Autoimmune hepatitis (aih) is a chronic inflammatory liver disease of unknown origin that can lead. Autoimmune Hepatitis Liver Mri.
From www.xiahepublishing.com
Hepatocellular Carcinoma State of the Art Imaging and Recent Advances Autoimmune Hepatitis Liver Mri To retrospectively evaluate the morphologic and enhancement features of the liver on magnetic resonance (mr) images obtained in. Autoimmune hepatitis (aih) is an uncommon, chronic inflammatory, and relapsing liver disease of unknown origin that may lead to liver cirrhosis,. Imaging findings in aih are those associated with chronic liver disease. Testing a sample of blood for antibodies can distinguish autoimmune. Autoimmune Hepatitis Liver Mri.
From www.wikidoc.org
Autoimmune hepatitis MRI wikidoc Autoimmune Hepatitis Liver Mri To retrospectively evaluate the morphologic and enhancement features of the liver on magnetic resonance (mr) images obtained in. Imaging findings in aih are those associated with chronic liver disease. Testing a sample of blood for antibodies can distinguish autoimmune hepatitis from viral hepatitis and other conditions with. Autoimmune hepatitis (aih) is an uncommon, chronic inflammatory, and relapsing liver disease of. Autoimmune Hepatitis Liver Mri.
From www.cghjournal.org
Autoimmune Hepatitis After Liver Transplantation Clinical Autoimmune Hepatitis Liver Mri Testing a sample of blood for antibodies can distinguish autoimmune hepatitis from viral hepatitis and other conditions with. Two abdominal radiologists, blinded to pathology data, reviewed the mri examinations of 20 patients with autoimmune hepatitis, looking for. Imaging findings in aih are those associated with chronic liver disease. Autoimmune hepatitis (aih) is a chronic inflammatory liver disease of unknown origin. Autoimmune Hepatitis Liver Mri.
From www.researchgate.net
MRI of the liver. The right hepatic lesion is mildly hypointense on Autoimmune Hepatitis Liver Mri Imaging findings in aih are those associated with chronic liver disease. Imaging has also a role in excluding overlapping syndromes. Autoimmune hepatitis (aih) is an uncommon, chronic inflammatory, and relapsing liver disease of unknown origin that may lead to liver cirrhosis,. Autoimmune hepatitides) is a rare type of chronic. Autoimmune hepatitis (aih) is a chronic inflammatory liver disease of unknown. Autoimmune Hepatitis Liver Mri.
From liverline.com
Multiparametric Resonance Imaging (MRI) as a Safe, Non Autoimmune Hepatitis Liver Mri Citation, doi, disclosures and article data. Imaging findings in aih are those associated with chronic liver disease. To retrospectively evaluate the morphologic and enhancement features of the liver on magnetic resonance (mr) images obtained in. Autoimmune hepatitis (aih) is a chronic inflammatory liver disease of unknown origin that can lead to liver cirrhosis, hepatocellular carcinoma (hcc), liver transplantation or death.. Autoimmune Hepatitis Liver Mri.
From radiologykey.com
The Liver Radiology Key Autoimmune Hepatitis Liver Mri Imaging has also a role in excluding overlapping syndromes. Autoimmune hepatitis (aih) is an uncommon, chronic inflammatory, and relapsing liver disease of unknown origin that may lead to liver cirrhosis,. To retrospectively evaluate the morphologic and enhancement features of the liver on magnetic resonance (mr) images obtained in. Autoimmune hepatitis (aih) is a chronic inflammatory liver disease of unknown origin. Autoimmune Hepatitis Liver Mri.
From www.wjgnet.com
Acute autoimmune hepatitis mimicking metastatic liver disease A case Autoimmune Hepatitis Liver Mri Autoimmune hepatitis (aih) is a chronic inflammatory liver disease of unknown origin that can lead to liver cirrhosis, hepatocellular carcinoma (hcc), liver transplantation or death. Autoimmune hepatitis (aih) is an uncommon, chronic inflammatory, and relapsing liver disease of unknown origin that may lead to liver cirrhosis,. Two abdominal radiologists, blinded to pathology data, reviewed the mri examinations of 20 patients. Autoimmune Hepatitis Liver Mri.
From www.clinicalimaging.org
Autoimmune hepatitis in practice, from diagnosis to complications What Autoimmune Hepatitis Liver Mri Testing a sample of blood for antibodies can distinguish autoimmune hepatitis from viral hepatitis and other conditions with. Imaging findings in aih are those associated with chronic liver disease. Autoimmune hepatitides) is a rare type of chronic. To retrospectively evaluate the morphologic and enhancement features of the liver on magnetic resonance (mr) images obtained in. Imaging has also a role. Autoimmune Hepatitis Liver Mri.
From www.pathologyoutlines.com
Pathology Outlines Autoimmune hepatitis Autoimmune Hepatitis Liver Mri Imaging has also a role in excluding overlapping syndromes. Imaging findings in aih are those associated with chronic liver disease. To retrospectively evaluate the morphologic and enhancement features of the liver on magnetic resonance (mr) images obtained in. Testing a sample of blood for antibodies can distinguish autoimmune hepatitis from viral hepatitis and other conditions with. Autoimmune hepatitides) is a. Autoimmune Hepatitis Liver Mri.
From clinicalgate.com
Autoimmune Hepatitis Clinical Gate Autoimmune Hepatitis Liver Mri Citation, doi, disclosures and article data. To retrospectively evaluate the morphologic and enhancement features of the liver on magnetic resonance (mr) images obtained in. Autoimmune hepatitis (aih) is an uncommon, chronic inflammatory, and relapsing liver disease of unknown origin that may lead to liver cirrhosis,. Imaging has also a role in excluding overlapping syndromes. Testing a sample of blood for. Autoimmune Hepatitis Liver Mri.
From wikidoc.org
Autoimmune hepatitis MRI wikidoc Autoimmune Hepatitis Liver Mri Autoimmune hepatitides) is a rare type of chronic. Imaging findings in aih are those associated with chronic liver disease. Imaging has also a role in excluding overlapping syndromes. Testing a sample of blood for antibodies can distinguish autoimmune hepatitis from viral hepatitis and other conditions with. To retrospectively evaluate the morphologic and enhancement features of the liver on magnetic resonance. Autoimmune Hepatitis Liver Mri.
From www.wikidoc.org
Autoimmune hepatitis CT wikidoc Autoimmune Hepatitis Liver Mri Autoimmune hepatitis (aih) is a chronic inflammatory liver disease of unknown origin that can lead to liver cirrhosis, hepatocellular carcinoma (hcc), liver transplantation or death. Imaging findings in aih are those associated with chronic liver disease. Testing a sample of blood for antibodies can distinguish autoimmune hepatitis from viral hepatitis and other conditions with. To retrospectively evaluate the morphologic and. Autoimmune Hepatitis Liver Mri.
From liveratlas.org
Liver Atlas Case 108 Hepatocellular Necrosis Autoimmune Hepatitis Liver Mri Citation, doi, disclosures and article data. Autoimmune hepatitis (aih) is an uncommon, chronic inflammatory, and relapsing liver disease of unknown origin that may lead to liver cirrhosis,. Autoimmune hepatitis (aih) is a chronic inflammatory liver disease of unknown origin that can lead to liver cirrhosis, hepatocellular carcinoma (hcc), liver transplantation or death. Testing a sample of blood for antibodies can. Autoimmune Hepatitis Liver Mri.
From www.frontiersin.org
Frontiers Case report A case of severe acute hepatitis of unknown origin Autoimmune Hepatitis Liver Mri Autoimmune hepatitis (aih) is an uncommon, chronic inflammatory, and relapsing liver disease of unknown origin that may lead to liver cirrhosis,. Autoimmune hepatitis (aih) is a chronic inflammatory liver disease of unknown origin that can lead to liver cirrhosis, hepatocellular carcinoma (hcc), liver transplantation or death. Imaging findings in aih are those associated with chronic liver disease. Imaging has also. Autoimmune Hepatitis Liver Mri.
From link.springer.com
Autoimmune hepatitis CT and MR imaging features with histopathological Autoimmune Hepatitis Liver Mri Autoimmune hepatitis (aih) is an uncommon, chronic inflammatory, and relapsing liver disease of unknown origin that may lead to liver cirrhosis,. Two abdominal radiologists, blinded to pathology data, reviewed the mri examinations of 20 patients with autoimmune hepatitis, looking for. Autoimmune hepatitides) is a rare type of chronic. Autoimmune hepatitis (aih) is a chronic inflammatory liver disease of unknown origin. Autoimmune Hepatitis Liver Mri.
From mavink.com
Hepatic Lesions Radiology Autoimmune Hepatitis Liver Mri Citation, doi, disclosures and article data. Imaging has also a role in excluding overlapping syndromes. Autoimmune hepatitides) is a rare type of chronic. Testing a sample of blood for antibodies can distinguish autoimmune hepatitis from viral hepatitis and other conditions with. Imaging findings in aih are those associated with chronic liver disease. Two abdominal radiologists, blinded to pathology data, reviewed. Autoimmune Hepatitis Liver Mri.
From thegidocs.com
Learn About Autoimmune Hepatitis The GI Docs Autoimmune Hepatitis Liver Mri Imaging findings in aih are those associated with chronic liver disease. Citation, doi, disclosures and article data. Two abdominal radiologists, blinded to pathology data, reviewed the mri examinations of 20 patients with autoimmune hepatitis, looking for. To retrospectively evaluate the morphologic and enhancement features of the liver on magnetic resonance (mr) images obtained in. Autoimmune hepatitis (aih) is an uncommon,. Autoimmune Hepatitis Liver Mri.