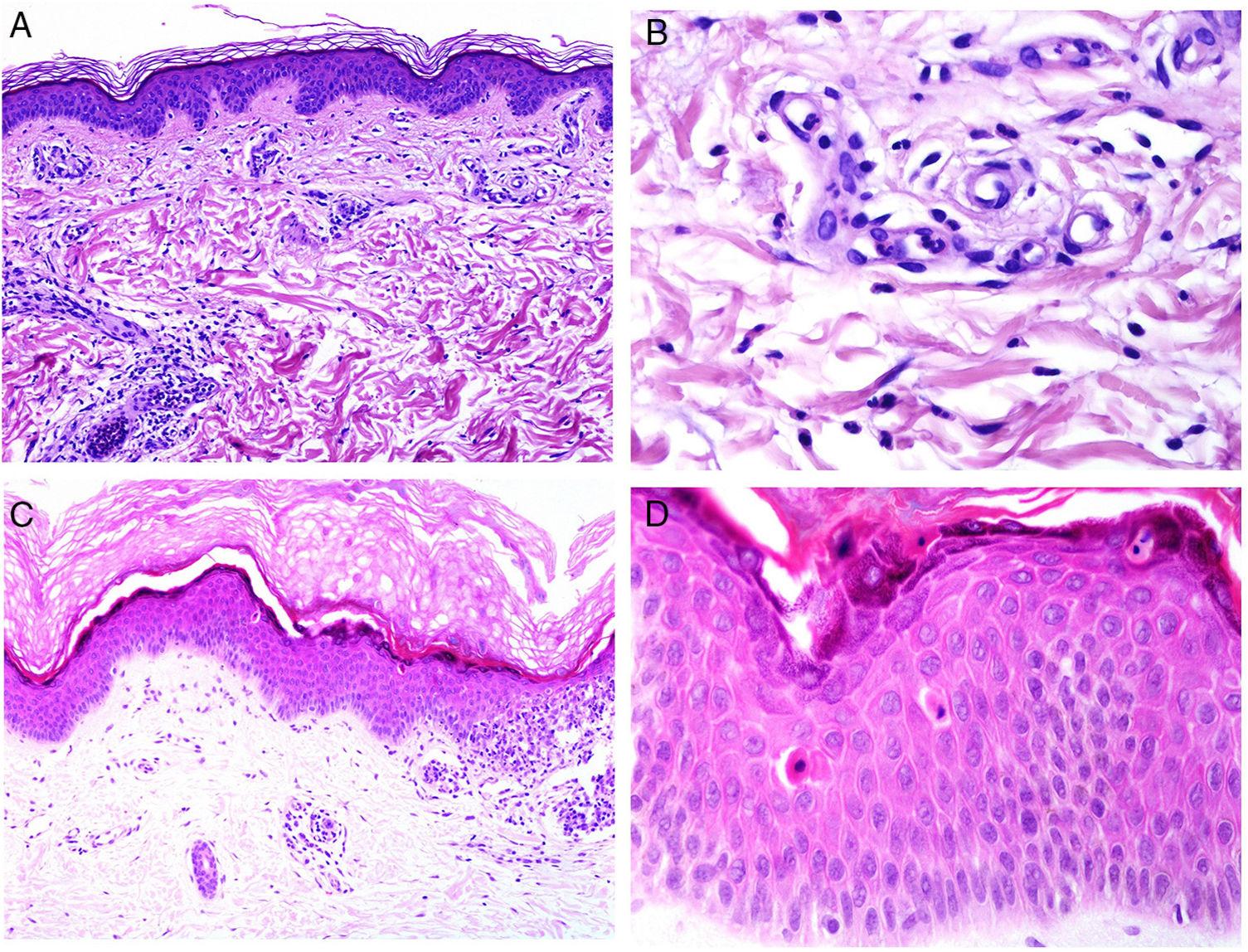
Still's Disease Skin Biopsy . We describe the clinical and biopsy findings in 10 patients with the evanescent rash of still disease. skin biopsy showed interstitial and perivascular mature cd15(+) neutrophils. Aosd is characterized by the classic triad of persistent high spiking fever, arthralgia,. A comprehensive review of literature. the first biopsy in our patient showed features consistent with leukocytoclastic vasculitis as described. skin biopsy of the rash shows a mild nonspecific perivascular inflammation.
from exyqxfmcr.blob.core.windows.net
the first biopsy in our patient showed features consistent with leukocytoclastic vasculitis as described. A comprehensive review of literature. Aosd is characterized by the classic triad of persistent high spiking fever, arthralgia,. skin biopsy showed interstitial and perivascular mature cd15(+) neutrophils. We describe the clinical and biopsy findings in 10 patients with the evanescent rash of still disease. skin biopsy of the rash shows a mild nonspecific perivascular inflammation.
Still Disease Joints at Lillie Ensley blog
Still's Disease Skin Biopsy the first biopsy in our patient showed features consistent with leukocytoclastic vasculitis as described. A comprehensive review of literature. skin biopsy of the rash shows a mild nonspecific perivascular inflammation. Aosd is characterized by the classic triad of persistent high spiking fever, arthralgia,. the first biopsy in our patient showed features consistent with leukocytoclastic vasculitis as described. skin biopsy showed interstitial and perivascular mature cd15(+) neutrophils. We describe the clinical and biopsy findings in 10 patients with the evanescent rash of still disease.
From labtestsguide.blogspot.com
Skin Biopsy Lab Tests Guide Still's Disease Skin Biopsy We describe the clinical and biopsy findings in 10 patients with the evanescent rash of still disease. skin biopsy of the rash shows a mild nonspecific perivascular inflammation. A comprehensive review of literature. the first biopsy in our patient showed features consistent with leukocytoclastic vasculitis as described. skin biopsy showed interstitial and perivascular mature cd15(+) neutrophils. Aosd. Still's Disease Skin Biopsy.
From mydoctor.kaiserpermanente.org
Skin Biopsy My Doctor Online Still's Disease Skin Biopsy Aosd is characterized by the classic triad of persistent high spiking fever, arthralgia,. A comprehensive review of literature. We describe the clinical and biopsy findings in 10 patients with the evanescent rash of still disease. the first biopsy in our patient showed features consistent with leukocytoclastic vasculitis as described. skin biopsy of the rash shows a mild nonspecific. Still's Disease Skin Biopsy.
From www.researchgate.net
Skin biopsy is the current standard for skin conditions diagnosis. The Still's Disease Skin Biopsy A comprehensive review of literature. skin biopsy showed interstitial and perivascular mature cd15(+) neutrophils. the first biopsy in our patient showed features consistent with leukocytoclastic vasculitis as described. skin biopsy of the rash shows a mild nonspecific perivascular inflammation. Aosd is characterized by the classic triad of persistent high spiking fever, arthralgia,. We describe the clinical and. Still's Disease Skin Biopsy.
From www.jrheum.org
AdultOnset Still Disease After ChAdOx1 nCOV19 Vaccination The Still's Disease Skin Biopsy skin biopsy showed interstitial and perivascular mature cd15(+) neutrophils. skin biopsy of the rash shows a mild nonspecific perivascular inflammation. the first biopsy in our patient showed features consistent with leukocytoclastic vasculitis as described. A comprehensive review of literature. Aosd is characterized by the classic triad of persistent high spiking fever, arthralgia,. We describe the clinical and. Still's Disease Skin Biopsy.
From www.frontiersin.org
Frontiers Case Report A Rare Case of ElderlyOnset AdultOnset Still Still's Disease Skin Biopsy A comprehensive review of literature. We describe the clinical and biopsy findings in 10 patients with the evanescent rash of still disease. skin biopsy showed interstitial and perivascular mature cd15(+) neutrophils. Aosd is characterized by the classic triad of persistent high spiking fever, arthralgia,. skin biopsy of the rash shows a mild nonspecific perivascular inflammation. the first. Still's Disease Skin Biopsy.
From www.jaad.org
Reactive hemophagocytic syndrome in a patient with adultonset Still Still's Disease Skin Biopsy skin biopsy of the rash shows a mild nonspecific perivascular inflammation. skin biopsy showed interstitial and perivascular mature cd15(+) neutrophils. the first biopsy in our patient showed features consistent with leukocytoclastic vasculitis as described. Aosd is characterized by the classic triad of persistent high spiking fever, arthralgia,. We describe the clinical and biopsy findings in 10 patients. Still's Disease Skin Biopsy.
From www.researchgate.net
Cutaneous findings in patients with adultonset Still disease. Biopsy Still's Disease Skin Biopsy A comprehensive review of literature. Aosd is characterized by the classic triad of persistent high spiking fever, arthralgia,. skin biopsy of the rash shows a mild nonspecific perivascular inflammation. the first biopsy in our patient showed features consistent with leukocytoclastic vasculitis as described. We describe the clinical and biopsy findings in 10 patients with the evanescent rash of. Still's Disease Skin Biopsy.
From thumbayuniversityhospital.com
Skin biopsies what to expect Thumbay University Hospital Still's Disease Skin Biopsy skin biopsy of the rash shows a mild nonspecific perivascular inflammation. skin biopsy showed interstitial and perivascular mature cd15(+) neutrophils. the first biopsy in our patient showed features consistent with leukocytoclastic vasculitis as described. Aosd is characterized by the classic triad of persistent high spiking fever, arthralgia,. We describe the clinical and biopsy findings in 10 patients. Still's Disease Skin Biopsy.
From www.autoinflammatorydiseases.com
Adultonset Still’s disease (AOSD) Symptoms, Causes, Prognosis Still's Disease Skin Biopsy We describe the clinical and biopsy findings in 10 patients with the evanescent rash of still disease. skin biopsy showed interstitial and perivascular mature cd15(+) neutrophils. the first biopsy in our patient showed features consistent with leukocytoclastic vasculitis as described. skin biopsy of the rash shows a mild nonspecific perivascular inflammation. Aosd is characterized by the classic. Still's Disease Skin Biopsy.
From www.onehealthcare.co.uk
Skin Biopsy One Healthcare Still's Disease Skin Biopsy A comprehensive review of literature. the first biopsy in our patient showed features consistent with leukocytoclastic vasculitis as described. We describe the clinical and biopsy findings in 10 patients with the evanescent rash of still disease. Aosd is characterized by the classic triad of persistent high spiking fever, arthralgia,. skin biopsy showed interstitial and perivascular mature cd15(+) neutrophils.. Still's Disease Skin Biopsy.
From www.actasdermo.org
Skin Biopsy in the Context of Systemic Disease Actas Dermo Still's Disease Skin Biopsy skin biopsy showed interstitial and perivascular mature cd15(+) neutrophils. the first biopsy in our patient showed features consistent with leukocytoclastic vasculitis as described. A comprehensive review of literature. Aosd is characterized by the classic triad of persistent high spiking fever, arthralgia,. skin biopsy of the rash shows a mild nonspecific perivascular inflammation. We describe the clinical and. Still's Disease Skin Biopsy.
From www.amjmedsci.com
Salmonpink skin rashes in adultonset Still's disease The American Still's Disease Skin Biopsy Aosd is characterized by the classic triad of persistent high spiking fever, arthralgia,. the first biopsy in our patient showed features consistent with leukocytoclastic vasculitis as described. skin biopsy showed interstitial and perivascular mature cd15(+) neutrophils. skin biopsy of the rash shows a mild nonspecific perivascular inflammation. We describe the clinical and biopsy findings in 10 patients. Still's Disease Skin Biopsy.
From www.yalemedicine.org
Skin Biopsies What You Should Expect > News > Yale Medicine Still's Disease Skin Biopsy skin biopsy of the rash shows a mild nonspecific perivascular inflammation. Aosd is characterized by the classic triad of persistent high spiking fever, arthralgia,. A comprehensive review of literature. We describe the clinical and biopsy findings in 10 patients with the evanescent rash of still disease. the first biopsy in our patient showed features consistent with leukocytoclastic vasculitis. Still's Disease Skin Biopsy.
From www.sciencephoto.com
Still's disease Stock Image C021/5187 Science Photo Library Still's Disease Skin Biopsy Aosd is characterized by the classic triad of persistent high spiking fever, arthralgia,. skin biopsy showed interstitial and perivascular mature cd15(+) neutrophils. A comprehensive review of literature. We describe the clinical and biopsy findings in 10 patients with the evanescent rash of still disease. skin biopsy of the rash shows a mild nonspecific perivascular inflammation. the first. Still's Disease Skin Biopsy.
From www.huidziekten.nl
Still's disease (systemic onset juvenile rheumatoid arthritis) Still's Disease Skin Biopsy A comprehensive review of literature. skin biopsy showed interstitial and perivascular mature cd15(+) neutrophils. skin biopsy of the rash shows a mild nonspecific perivascular inflammation. the first biopsy in our patient showed features consistent with leukocytoclastic vasculitis as described. We describe the clinical and biopsy findings in 10 patients with the evanescent rash of still disease. Aosd. Still's Disease Skin Biopsy.
From www.aiarthritis.org
Stills disease Still's Disease Skin Biopsy We describe the clinical and biopsy findings in 10 patients with the evanescent rash of still disease. skin biopsy showed interstitial and perivascular mature cd15(+) neutrophils. skin biopsy of the rash shows a mild nonspecific perivascular inflammation. A comprehensive review of literature. Aosd is characterized by the classic triad of persistent high spiking fever, arthralgia,. the first. Still's Disease Skin Biopsy.
From www.researchgate.net
Classification of Still's disease and treatment options Download Table Still's Disease Skin Biopsy We describe the clinical and biopsy findings in 10 patients with the evanescent rash of still disease. the first biopsy in our patient showed features consistent with leukocytoclastic vasculitis as described. A comprehensive review of literature. skin biopsy showed interstitial and perivascular mature cd15(+) neutrophils. Aosd is characterized by the classic triad of persistent high spiking fever, arthralgia,.. Still's Disease Skin Biopsy.
From www.semanticscholar.org
Figure 1 from Endomyocardial Biopsy and Resonance Imaging of Still's Disease Skin Biopsy skin biopsy of the rash shows a mild nonspecific perivascular inflammation. We describe the clinical and biopsy findings in 10 patients with the evanescent rash of still disease. skin biopsy showed interstitial and perivascular mature cd15(+) neutrophils. A comprehensive review of literature. the first biopsy in our patient showed features consistent with leukocytoclastic vasculitis as described. Aosd. Still's Disease Skin Biopsy.
From www.pcds.org.uk
Still’s disease Still's Disease Skin Biopsy Aosd is characterized by the classic triad of persistent high spiking fever, arthralgia,. A comprehensive review of literature. We describe the clinical and biopsy findings in 10 patients with the evanescent rash of still disease. skin biopsy of the rash shows a mild nonspecific perivascular inflammation. skin biopsy showed interstitial and perivascular mature cd15(+) neutrophils. the first. Still's Disease Skin Biopsy.
From www.semanticscholar.org
Figure 1 from Prurigo pigmentosalike persistent papules and plaques in Still's Disease Skin Biopsy the first biopsy in our patient showed features consistent with leukocytoclastic vasculitis as described. A comprehensive review of literature. skin biopsy showed interstitial and perivascular mature cd15(+) neutrophils. Aosd is characterized by the classic triad of persistent high spiking fever, arthralgia,. skin biopsy of the rash shows a mild nonspecific perivascular inflammation. We describe the clinical and. Still's Disease Skin Biopsy.
From dermpath.weill.cornell.edu
Still's Disease Dermatopathology Still's Disease Skin Biopsy the first biopsy in our patient showed features consistent with leukocytoclastic vasculitis as described. Aosd is characterized by the classic triad of persistent high spiking fever, arthralgia,. A comprehensive review of literature. skin biopsy of the rash shows a mild nonspecific perivascular inflammation. skin biopsy showed interstitial and perivascular mature cd15(+) neutrophils. We describe the clinical and. Still's Disease Skin Biopsy.
From www.reddit.com
Any other type ones with Graves Disease? I’m still finalizing my Still's Disease Skin Biopsy A comprehensive review of literature. skin biopsy of the rash shows a mild nonspecific perivascular inflammation. skin biopsy showed interstitial and perivascular mature cd15(+) neutrophils. We describe the clinical and biopsy findings in 10 patients with the evanescent rash of still disease. Aosd is characterized by the classic triad of persistent high spiking fever, arthralgia,. the first. Still's Disease Skin Biopsy.
From exyqxfmcr.blob.core.windows.net
Still Disease Joints at Lillie Ensley blog Still's Disease Skin Biopsy Aosd is characterized by the classic triad of persistent high spiking fever, arthralgia,. A comprehensive review of literature. skin biopsy of the rash shows a mild nonspecific perivascular inflammation. We describe the clinical and biopsy findings in 10 patients with the evanescent rash of still disease. the first biopsy in our patient showed features consistent with leukocytoclastic vasculitis. Still's Disease Skin Biopsy.
From www.sobi.com
Still’s disease rare disorder hard to diagnose Sobi Still's Disease Skin Biopsy skin biopsy showed interstitial and perivascular mature cd15(+) neutrophils. Aosd is characterized by the classic triad of persistent high spiking fever, arthralgia,. the first biopsy in our patient showed features consistent with leukocytoclastic vasculitis as described. A comprehensive review of literature. We describe the clinical and biopsy findings in 10 patients with the evanescent rash of still disease.. Still's Disease Skin Biopsy.
From onlinelibrary.wiley.com
Adult‐onset Still disease post‐adenovirus vector COVID‐19 vaccine Still's Disease Skin Biopsy A comprehensive review of literature. Aosd is characterized by the classic triad of persistent high spiking fever, arthralgia,. the first biopsy in our patient showed features consistent with leukocytoclastic vasculitis as described. skin biopsy of the rash shows a mild nonspecific perivascular inflammation. We describe the clinical and biopsy findings in 10 patients with the evanescent rash of. Still's Disease Skin Biopsy.
From www.mdedge.com
AdultOnset Still Disease Persistent Pruritic Papular Rash With Unique Still's Disease Skin Biopsy A comprehensive review of literature. the first biopsy in our patient showed features consistent with leukocytoclastic vasculitis as described. skin biopsy of the rash shows a mild nonspecific perivascular inflammation. skin biopsy showed interstitial and perivascular mature cd15(+) neutrophils. Aosd is characterized by the classic triad of persistent high spiking fever, arthralgia,. We describe the clinical and. Still's Disease Skin Biopsy.
From www.verywellhealth.com
Still’s Disease Symptoms, Causes, Diagnosis, Treatment Still's Disease Skin Biopsy We describe the clinical and biopsy findings in 10 patients with the evanescent rash of still disease. the first biopsy in our patient showed features consistent with leukocytoclastic vasculitis as described. A comprehensive review of literature. skin biopsy of the rash shows a mild nonspecific perivascular inflammation. Aosd is characterized by the classic triad of persistent high spiking. Still's Disease Skin Biopsy.
From healthjade.net
Adult Still's disease, causes, symptoms, diagnosis, prognosis & treatment Still's Disease Skin Biopsy skin biopsy showed interstitial and perivascular mature cd15(+) neutrophils. A comprehensive review of literature. skin biopsy of the rash shows a mild nonspecific perivascular inflammation. Aosd is characterized by the classic triad of persistent high spiking fever, arthralgia,. the first biopsy in our patient showed features consistent with leukocytoclastic vasculitis as described. We describe the clinical and. Still's Disease Skin Biopsy.
From www.jaad.org
Updates in adultonset Still disease Atypical cutaneous manifestations Still's Disease Skin Biopsy skin biopsy showed interstitial and perivascular mature cd15(+) neutrophils. the first biopsy in our patient showed features consistent with leukocytoclastic vasculitis as described. Aosd is characterized by the classic triad of persistent high spiking fever, arthralgia,. We describe the clinical and biopsy findings in 10 patients with the evanescent rash of still disease. A comprehensive review of literature.. Still's Disease Skin Biopsy.
From jmedicalcasereports.biomedcentral.com
Suppurative necrotizing granulomatous lymphadenitis in adultonset Still's Disease Skin Biopsy A comprehensive review of literature. skin biopsy showed interstitial and perivascular mature cd15(+) neutrophils. We describe the clinical and biopsy findings in 10 patients with the evanescent rash of still disease. the first biopsy in our patient showed features consistent with leukocytoclastic vasculitis as described. skin biopsy of the rash shows a mild nonspecific perivascular inflammation. Aosd. Still's Disease Skin Biopsy.
From www.mdedge.com
AdultOnset Still Disease Persistent Pruritic Papular Rash With Unique Still's Disease Skin Biopsy Aosd is characterized by the classic triad of persistent high spiking fever, arthralgia,. We describe the clinical and biopsy findings in 10 patients with the evanescent rash of still disease. A comprehensive review of literature. the first biopsy in our patient showed features consistent with leukocytoclastic vasculitis as described. skin biopsy of the rash shows a mild nonspecific. Still's Disease Skin Biopsy.
From healthjade.net
Adult Still's disease, causes, symptoms, diagnosis, prognosis & treatment Still's Disease Skin Biopsy We describe the clinical and biopsy findings in 10 patients with the evanescent rash of still disease. skin biopsy showed interstitial and perivascular mature cd15(+) neutrophils. skin biopsy of the rash shows a mild nonspecific perivascular inflammation. the first biopsy in our patient showed features consistent with leukocytoclastic vasculitis as described. A comprehensive review of literature. Aosd. Still's Disease Skin Biopsy.
From www.pcds.org.uk
Still’s disease Still's Disease Skin Biopsy skin biopsy of the rash shows a mild nonspecific perivascular inflammation. skin biopsy showed interstitial and perivascular mature cd15(+) neutrophils. A comprehensive review of literature. Aosd is characterized by the classic triad of persistent high spiking fever, arthralgia,. We describe the clinical and biopsy findings in 10 patients with the evanescent rash of still disease. the first. Still's Disease Skin Biopsy.
From insights.omnia-health.com
Dermatopathology Why do I need a skin biopsy? Omnia Health Insights Still's Disease Skin Biopsy Aosd is characterized by the classic triad of persistent high spiking fever, arthralgia,. A comprehensive review of literature. skin biopsy of the rash shows a mild nonspecific perivascular inflammation. the first biopsy in our patient showed features consistent with leukocytoclastic vasculitis as described. skin biopsy showed interstitial and perivascular mature cd15(+) neutrophils. We describe the clinical and. Still's Disease Skin Biopsy.
From www.frontiersin.org
Frontiers Adultonset Still’s disease A disease at the crossroad of Still's Disease Skin Biopsy A comprehensive review of literature. skin biopsy of the rash shows a mild nonspecific perivascular inflammation. the first biopsy in our patient showed features consistent with leukocytoclastic vasculitis as described. We describe the clinical and biopsy findings in 10 patients with the evanescent rash of still disease. skin biopsy showed interstitial and perivascular mature cd15(+) neutrophils. Aosd. Still's Disease Skin Biopsy.