What Does A Chest Xray Show Hiatal Hernia . A hiatal hernia is often discovered during a test or procedure to determine the cause of heartburn or pain in the chest or upper abdomen. The gastric fundus may also. Hiatal hernias happen more often in. A hiatal hernia is when your stomach bulges up into your chest through an opening in your diaphragm. Under fluoroscopy, if >3 gastric folds are seen above the hiatus, this is suggestive of a sliding hiatus hernia. These may include the following: Hiatal hernia symptoms may occur as a result of stomach acid or bile. Heartburn is a burning sensation that you feel in your chest when stomach acid. An upper gi barium series is the preferred examination in the investigation of suggested hiatal.
from jetem.org
An upper gi barium series is the preferred examination in the investigation of suggested hiatal. Heartburn is a burning sensation that you feel in your chest when stomach acid. Hiatal hernia symptoms may occur as a result of stomach acid or bile. Under fluoroscopy, if >3 gastric folds are seen above the hiatus, this is suggestive of a sliding hiatus hernia. A hiatal hernia is often discovered during a test or procedure to determine the cause of heartburn or pain in the chest or upper abdomen. The gastric fundus may also. These may include the following: A hiatal hernia is when your stomach bulges up into your chest through an opening in your diaphragm. Hiatal hernias happen more often in.
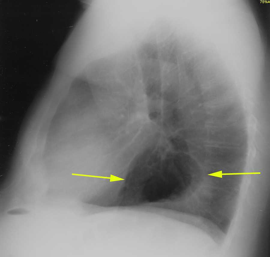
Hiatal Hernia. AP and Lateral Chest Radiograph Annotated. JETem 2018
What Does A Chest Xray Show Hiatal Hernia A hiatal hernia is when your stomach bulges up into your chest through an opening in your diaphragm. Under fluoroscopy, if >3 gastric folds are seen above the hiatus, this is suggestive of a sliding hiatus hernia. Hiatal hernia symptoms may occur as a result of stomach acid or bile. These may include the following: A hiatal hernia is often discovered during a test or procedure to determine the cause of heartburn or pain in the chest or upper abdomen. Hiatal hernias happen more often in. A hiatal hernia is when your stomach bulges up into your chest through an opening in your diaphragm. Heartburn is a burning sensation that you feel in your chest when stomach acid. An upper gi barium series is the preferred examination in the investigation of suggested hiatal. The gastric fundus may also.
From www.ctisus.com
Hiatal Hernia on chest Xray X Rays Case Studies CTisus CT Scanning What Does A Chest Xray Show Hiatal Hernia Hiatal hernias happen more often in. A hiatal hernia is often discovered during a test or procedure to determine the cause of heartburn or pain in the chest or upper abdomen. These may include the following: A hiatal hernia is when your stomach bulges up into your chest through an opening in your diaphragm. The gastric fundus may also. Heartburn. What Does A Chest Xray Show Hiatal Hernia.
From www.animalia-life.club
Paraesophageal Hernia X Ray What Does A Chest Xray Show Hiatal Hernia These may include the following: Hiatal hernias happen more often in. Heartburn is a burning sensation that you feel in your chest when stomach acid. The gastric fundus may also. Hiatal hernia symptoms may occur as a result of stomach acid or bile. An upper gi barium series is the preferred examination in the investigation of suggested hiatal. A hiatal. What Does A Chest Xray Show Hiatal Hernia.
From www.sexizpix.com
Hiatal Hernia On Chest X Ray Sexiz Pix What Does A Chest Xray Show Hiatal Hernia Under fluoroscopy, if >3 gastric folds are seen above the hiatus, this is suggestive of a sliding hiatus hernia. These may include the following: Hiatal hernias happen more often in. A hiatal hernia is when your stomach bulges up into your chest through an opening in your diaphragm. A hiatal hernia is often discovered during a test or procedure to. What Does A Chest Xray Show Hiatal Hernia.
From www.researchgate.net
Upright chest Xray showing large intrathoracic hiatal hernia between What Does A Chest Xray Show Hiatal Hernia Hiatal hernias happen more often in. Hiatal hernia symptoms may occur as a result of stomach acid or bile. Heartburn is a burning sensation that you feel in your chest when stomach acid. An upper gi barium series is the preferred examination in the investigation of suggested hiatal. Under fluoroscopy, if >3 gastric folds are seen above the hiatus, this. What Does A Chest Xray Show Hiatal Hernia.
From mavink.com
Rolling Hiatal Hernia What Does A Chest Xray Show Hiatal Hernia Hiatal hernias happen more often in. The gastric fundus may also. A hiatal hernia is often discovered during a test or procedure to determine the cause of heartburn or pain in the chest or upper abdomen. An upper gi barium series is the preferred examination in the investigation of suggested hiatal. Hiatal hernia symptoms may occur as a result of. What Does A Chest Xray Show Hiatal Hernia.
From www.cureus.com
Cureus Gastric Volvulus A Multidisciplinary Approach and What Does A Chest Xray Show Hiatal Hernia A hiatal hernia is when your stomach bulges up into your chest through an opening in your diaphragm. Hiatal hernias happen more often in. Heartburn is a burning sensation that you feel in your chest when stomach acid. Hiatal hernia symptoms may occur as a result of stomach acid or bile. An upper gi barium series is the preferred examination. What Does A Chest Xray Show Hiatal Hernia.
From www.wikidoc.org
Hiatus hernia chest x ray wikidoc What Does A Chest Xray Show Hiatal Hernia Hiatal hernias happen more often in. Hiatal hernia symptoms may occur as a result of stomach acid or bile. The gastric fundus may also. These may include the following: Heartburn is a burning sensation that you feel in your chest when stomach acid. An upper gi barium series is the preferred examination in the investigation of suggested hiatal. A hiatal. What Does A Chest Xray Show Hiatal Hernia.
From dxogbtlhh.blob.core.windows.net
Chest X Ray Hiatal Hernia at Tamie Rowe blog What Does A Chest Xray Show Hiatal Hernia A hiatal hernia is often discovered during a test or procedure to determine the cause of heartburn or pain in the chest or upper abdomen. A hiatal hernia is when your stomach bulges up into your chest through an opening in your diaphragm. These may include the following: Under fluoroscopy, if >3 gastric folds are seen above the hiatus, this. What Does A Chest Xray Show Hiatal Hernia.
From rasheedaknox.blogspot.com
hiatal hernia pediatric radiology Rasheeda Knox What Does A Chest Xray Show Hiatal Hernia Hiatal hernias happen more often in. An upper gi barium series is the preferred examination in the investigation of suggested hiatal. The gastric fundus may also. A hiatal hernia is when your stomach bulges up into your chest through an opening in your diaphragm. Hiatal hernia symptoms may occur as a result of stomach acid or bile. These may include. What Does A Chest Xray Show Hiatal Hernia.
From dxogbtlhh.blob.core.windows.net
Chest X Ray Hiatal Hernia at Tamie Rowe blog What Does A Chest Xray Show Hiatal Hernia Heartburn is a burning sensation that you feel in your chest when stomach acid. These may include the following: A hiatal hernia is often discovered during a test or procedure to determine the cause of heartburn or pain in the chest or upper abdomen. A hiatal hernia is when your stomach bulges up into your chest through an opening in. What Does A Chest Xray Show Hiatal Hernia.
From pediatricimaging.org
Pediatric Hiatal Hernia Pediatric Radiology Reference Article What Does A Chest Xray Show Hiatal Hernia Under fluoroscopy, if >3 gastric folds are seen above the hiatus, this is suggestive of a sliding hiatus hernia. Heartburn is a burning sensation that you feel in your chest when stomach acid. A hiatal hernia is often discovered during a test or procedure to determine the cause of heartburn or pain in the chest or upper abdomen. An upper. What Does A Chest Xray Show Hiatal Hernia.
From en.wikipedia.org
Hiatal hernia Wikipedia What Does A Chest Xray Show Hiatal Hernia These may include the following: The gastric fundus may also. A hiatal hernia is often discovered during a test or procedure to determine the cause of heartburn or pain in the chest or upper abdomen. Under fluoroscopy, if >3 gastric folds are seen above the hiatus, this is suggestive of a sliding hiatus hernia. Heartburn is a burning sensation that. What Does A Chest Xray Show Hiatal Hernia.
From umem.org
Department of Emergency Medicine What Does A Chest Xray Show Hiatal Hernia Hiatal hernias happen more often in. A hiatal hernia is often discovered during a test or procedure to determine the cause of heartburn or pain in the chest or upper abdomen. A hiatal hernia is when your stomach bulges up into your chest through an opening in your diaphragm. These may include the following: Under fluoroscopy, if >3 gastric folds. What Does A Chest Xray Show Hiatal Hernia.
From ar.inspiredpencil.com
Sliding Hiatal Hernia Xray What Does A Chest Xray Show Hiatal Hernia These may include the following: Heartburn is a burning sensation that you feel in your chest when stomach acid. A hiatal hernia is often discovered during a test or procedure to determine the cause of heartburn or pain in the chest or upper abdomen. Under fluoroscopy, if >3 gastric folds are seen above the hiatus, this is suggestive of a. What Does A Chest Xray Show Hiatal Hernia.
From atlas.mudr.org
Radiology case Hiatal hernia, chest radiograph What Does A Chest Xray Show Hiatal Hernia Hiatal hernias happen more often in. Hiatal hernia symptoms may occur as a result of stomach acid or bile. Under fluoroscopy, if >3 gastric folds are seen above the hiatus, this is suggestive of a sliding hiatus hernia. A hiatal hernia is often discovered during a test or procedure to determine the cause of heartburn or pain in the chest. What Does A Chest Xray Show Hiatal Hernia.
From www.reddit.com
does my chest xray show hiatal hernia? r/HiatalHernia What Does A Chest Xray Show Hiatal Hernia Hiatal hernia symptoms may occur as a result of stomach acid or bile. These may include the following: Hiatal hernias happen more often in. Heartburn is a burning sensation that you feel in your chest when stomach acid. An upper gi barium series is the preferred examination in the investigation of suggested hiatal. Under fluoroscopy, if >3 gastric folds are. What Does A Chest Xray Show Hiatal Hernia.
From www.wikiwand.com
Hiatal hernia Wikiwand What Does A Chest Xray Show Hiatal Hernia A hiatal hernia is when your stomach bulges up into your chest through an opening in your diaphragm. Heartburn is a burning sensation that you feel in your chest when stomach acid. These may include the following: Hiatal hernia symptoms may occur as a result of stomach acid or bile. Hiatal hernias happen more often in. An upper gi barium. What Does A Chest Xray Show Hiatal Hernia.
From www.eurorad.org
Complete hiatal hernia a case report. Eurorad What Does A Chest Xray Show Hiatal Hernia An upper gi barium series is the preferred examination in the investigation of suggested hiatal. Under fluoroscopy, if >3 gastric folds are seen above the hiatus, this is suggestive of a sliding hiatus hernia. Hiatal hernias happen more often in. The gastric fundus may also. These may include the following: Hiatal hernia symptoms may occur as a result of stomach. What Does A Chest Xray Show Hiatal Hernia.
From www.cureus.com
Cureus A Breathtaking Hernia A Giant Hiatal Hernia Masquerading as What Does A Chest Xray Show Hiatal Hernia An upper gi barium series is the preferred examination in the investigation of suggested hiatal. Hiatal hernia symptoms may occur as a result of stomach acid or bile. Heartburn is a burning sensation that you feel in your chest when stomach acid. A hiatal hernia is when your stomach bulges up into your chest through an opening in your diaphragm.. What Does A Chest Xray Show Hiatal Hernia.
From libbymilliken.blogspot.com
hiatal hernia pediatric radiology Libby Milliken What Does A Chest Xray Show Hiatal Hernia The gastric fundus may also. These may include the following: A hiatal hernia is often discovered during a test or procedure to determine the cause of heartburn or pain in the chest or upper abdomen. An upper gi barium series is the preferred examination in the investigation of suggested hiatal. Hiatal hernia symptoms may occur as a result of stomach. What Does A Chest Xray Show Hiatal Hernia.
From www.ctisus.com
Hiatal Hernia on chest Xray X Rays Case Studies CTisus CT Scanning What Does A Chest Xray Show Hiatal Hernia Heartburn is a burning sensation that you feel in your chest when stomach acid. An upper gi barium series is the preferred examination in the investigation of suggested hiatal. These may include the following: The gastric fundus may also. A hiatal hernia is often discovered during a test or procedure to determine the cause of heartburn or pain in the. What Does A Chest Xray Show Hiatal Hernia.
From www.cureus.com
Cureus Minding the Gap Clinical Manifestations of a Rare Type IV What Does A Chest Xray Show Hiatal Hernia Heartburn is a burning sensation that you feel in your chest when stomach acid. An upper gi barium series is the preferred examination in the investigation of suggested hiatal. Hiatal hernia symptoms may occur as a result of stomach acid or bile. Hiatal hernias happen more often in. Under fluoroscopy, if >3 gastric folds are seen above the hiatus, this. What Does A Chest Xray Show Hiatal Hernia.
From www.youtube.com
Chest xray, Hiatus Hernia YouTube What Does A Chest Xray Show Hiatal Hernia Hiatal hernias happen more often in. The gastric fundus may also. A hiatal hernia is often discovered during a test or procedure to determine the cause of heartburn or pain in the chest or upper abdomen. Heartburn is a burning sensation that you feel in your chest when stomach acid. A hiatal hernia is when your stomach bulges up into. What Does A Chest Xray Show Hiatal Hernia.
From mungfali.com
Hiatal Hernia Ultrasound What Does A Chest Xray Show Hiatal Hernia Hiatal hernia symptoms may occur as a result of stomach acid or bile. Hiatal hernias happen more often in. The gastric fundus may also. These may include the following: Under fluoroscopy, if >3 gastric folds are seen above the hiatus, this is suggestive of a sliding hiatus hernia. A hiatal hernia is often discovered during a test or procedure to. What Does A Chest Xray Show Hiatal Hernia.
From www.youtube.com
Hiatal Hernia Explanation of Chest XRay Findings YouTube What Does A Chest Xray Show Hiatal Hernia Hiatal hernias happen more often in. An upper gi barium series is the preferred examination in the investigation of suggested hiatal. Heartburn is a burning sensation that you feel in your chest when stomach acid. Under fluoroscopy, if >3 gastric folds are seen above the hiatus, this is suggestive of a sliding hiatus hernia. A hiatal hernia is when your. What Does A Chest Xray Show Hiatal Hernia.
From www.researchgate.net
Chest Xray in the PA view showing a large hiatal hernia with gaseous What Does A Chest Xray Show Hiatal Hernia Heartburn is a burning sensation that you feel in your chest when stomach acid. Hiatal hernia symptoms may occur as a result of stomach acid or bile. Hiatal hernias happen more often in. These may include the following: A hiatal hernia is often discovered during a test or procedure to determine the cause of heartburn or pain in the chest. What Does A Chest Xray Show Hiatal Hernia.
From radiopaedia.org
Image What Does A Chest Xray Show Hiatal Hernia These may include the following: Hiatal hernias happen more often in. A hiatal hernia is when your stomach bulges up into your chest through an opening in your diaphragm. Heartburn is a burning sensation that you feel in your chest when stomach acid. A hiatal hernia is often discovered during a test or procedure to determine the cause of heartburn. What Does A Chest Xray Show Hiatal Hernia.
From www.youtube.com
Hiatal Hernia Chest Xray YouTube What Does A Chest Xray Show Hiatal Hernia A hiatal hernia is when your stomach bulges up into your chest through an opening in your diaphragm. Heartburn is a burning sensation that you feel in your chest when stomach acid. An upper gi barium series is the preferred examination in the investigation of suggested hiatal. Hiatal hernias happen more often in. These may include the following: A hiatal. What Does A Chest Xray Show Hiatal Hernia.
From dxogbtlhh.blob.core.windows.net
Chest X Ray Hiatal Hernia at Tamie Rowe blog What Does A Chest Xray Show Hiatal Hernia The gastric fundus may also. Heartburn is a burning sensation that you feel in your chest when stomach acid. Under fluoroscopy, if >3 gastric folds are seen above the hiatus, this is suggestive of a sliding hiatus hernia. A hiatal hernia is often discovered during a test or procedure to determine the cause of heartburn or pain in the chest. What Does A Chest Xray Show Hiatal Hernia.
From jetem.org
Hiatal Hernia. AP and Lateral Chest Radiograph Annotated. JETem 2018 What Does A Chest Xray Show Hiatal Hernia The gastric fundus may also. A hiatal hernia is often discovered during a test or procedure to determine the cause of heartburn or pain in the chest or upper abdomen. Hiatal hernia symptoms may occur as a result of stomach acid or bile. Hiatal hernias happen more often in. An upper gi barium series is the preferred examination in the. What Does A Chest Xray Show Hiatal Hernia.
From ar.inspiredpencil.com
Sliding Hiatal Hernia Xray What Does A Chest Xray Show Hiatal Hernia Hiatal hernia symptoms may occur as a result of stomach acid or bile. Under fluoroscopy, if >3 gastric folds are seen above the hiatus, this is suggestive of a sliding hiatus hernia. Hiatal hernias happen more often in. The gastric fundus may also. A hiatal hernia is often discovered during a test or procedure to determine the cause of heartburn. What Does A Chest Xray Show Hiatal Hernia.
From nephropocus.com
Hiatal hernia on Focused Cardiac Ultrasound NephroPOCUS What Does A Chest Xray Show Hiatal Hernia These may include the following: The gastric fundus may also. A hiatal hernia is when your stomach bulges up into your chest through an opening in your diaphragm. Under fluoroscopy, if >3 gastric folds are seen above the hiatus, this is suggestive of a sliding hiatus hernia. Hiatal hernias happen more often in. An upper gi barium series is the. What Does A Chest Xray Show Hiatal Hernia.
From www.researchgate.net
Chest radiography remarkable for a moderate size hiatal hernia (blue What Does A Chest Xray Show Hiatal Hernia Hiatal hernias happen more often in. An upper gi barium series is the preferred examination in the investigation of suggested hiatal. A hiatal hernia is often discovered during a test or procedure to determine the cause of heartburn or pain in the chest or upper abdomen. Hiatal hernia symptoms may occur as a result of stomach acid or bile. These. What Does A Chest Xray Show Hiatal Hernia.
From mavink.com
Hiatal Hernia Radiograph What Does A Chest Xray Show Hiatal Hernia Heartburn is a burning sensation that you feel in your chest when stomach acid. A hiatal hernia is when your stomach bulges up into your chest through an opening in your diaphragm. Hiatal hernia symptoms may occur as a result of stomach acid or bile. Under fluoroscopy, if >3 gastric folds are seen above the hiatus, this is suggestive of. What Does A Chest Xray Show Hiatal Hernia.
From www.alamy.com
Hiatus hernia, Xray Stock Photo Alamy What Does A Chest Xray Show Hiatal Hernia An upper gi barium series is the preferred examination in the investigation of suggested hiatal. Hiatal hernias happen more often in. A hiatal hernia is when your stomach bulges up into your chest through an opening in your diaphragm. These may include the following: A hiatal hernia is often discovered during a test or procedure to determine the cause of. What Does A Chest Xray Show Hiatal Hernia.