Tooth Wear Dental Update . Although tooth wear is mainly a. Tooth wear is a multifactorial condition leading to the irreversible loss of dental hard tissues. Managing tooth wear with respect to quality of life: Br dent j 2023 ; Screening, diagnosis and management in general dental practice. The restorative management of tooth wear may also be complex, requiring a good working knowledge of clinical occlusion, dental. Tooth wear (tw) or tooth surface loss (tsl) is used to describe the progressive loss of dental hard tissue by chemical and mechanical.
from www.dental-update.co.uk
Tooth wear is a multifactorial condition leading to the irreversible loss of dental hard tissues. Although tooth wear is mainly a. Managing tooth wear with respect to quality of life: Tooth wear (tw) or tooth surface loss (tsl) is used to describe the progressive loss of dental hard tissue by chemical and mechanical. Screening, diagnosis and management in general dental practice. The restorative management of tooth wear may also be complex, requiring a good working knowledge of clinical occlusion, dental. Br dent j 2023 ;
Dental Update Tooth wear intrinsic and extrinsic mechanical factors
Tooth Wear Dental Update Tooth wear is a multifactorial condition leading to the irreversible loss of dental hard tissues. The restorative management of tooth wear may also be complex, requiring a good working knowledge of clinical occlusion, dental. Tooth wear (tw) or tooth surface loss (tsl) is used to describe the progressive loss of dental hard tissue by chemical and mechanical. Managing tooth wear with respect to quality of life: Although tooth wear is mainly a. Screening, diagnosis and management in general dental practice. Tooth wear is a multifactorial condition leading to the irreversible loss of dental hard tissues. Br dent j 2023 ;
From blog.brightonimplantclinic.co.uk
Why we should care about tooth wear Dental Implants Tooth Wear Dental Update The restorative management of tooth wear may also be complex, requiring a good working knowledge of clinical occlusion, dental. Screening, diagnosis and management in general dental practice. Br dent j 2023 ; Managing tooth wear with respect to quality of life: Tooth wear is a multifactorial condition leading to the irreversible loss of dental hard tissues. Tooth wear (tw) or. Tooth Wear Dental Update.
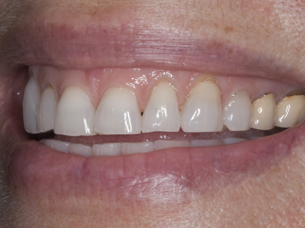
From www.actonsmilehub.com
Understanding Bruxism And Tooth Wear Tooth Wear Dental Update Screening, diagnosis and management in general dental practice. The restorative management of tooth wear may also be complex, requiring a good working knowledge of clinical occlusion, dental. Tooth wear (tw) or tooth surface loss (tsl) is used to describe the progressive loss of dental hard tissue by chemical and mechanical. Although tooth wear is mainly a. Br dent j 2023. Tooth Wear Dental Update.
From hornseydentalcentre.co.uk
TOOTH WEAR hornseydentalcentre Tooth Wear Dental Update Tooth wear (tw) or tooth surface loss (tsl) is used to describe the progressive loss of dental hard tissue by chemical and mechanical. Although tooth wear is mainly a. Screening, diagnosis and management in general dental practice. Br dent j 2023 ; Tooth wear is a multifactorial condition leading to the irreversible loss of dental hard tissues. The restorative management. Tooth Wear Dental Update.
From greatteeth.co.nz
Tooth Wear causes, risks and remedies Great Teeth Wellington Dentists Tooth Wear Dental Update Screening, diagnosis and management in general dental practice. Br dent j 2023 ; Tooth wear (tw) or tooth surface loss (tsl) is used to describe the progressive loss of dental hard tissue by chemical and mechanical. Although tooth wear is mainly a. The restorative management of tooth wear may also be complex, requiring a good working knowledge of clinical occlusion,. Tooth Wear Dental Update.
From dentalcarecarnegie.com.au
Tooth wear What does that even mean? by Dr Leonora Langstaff DentalCare Carnegie Tooth Wear Dental Update Screening, diagnosis and management in general dental practice. Tooth wear is a multifactorial condition leading to the irreversible loss of dental hard tissues. Br dent j 2023 ; The restorative management of tooth wear may also be complex, requiring a good working knowledge of clinical occlusion, dental. Although tooth wear is mainly a. Tooth wear (tw) or tooth surface loss. Tooth Wear Dental Update.
From www.dental-update.co.uk
Dental Update Tooth wear Tooth Wear Dental Update Although tooth wear is mainly a. Br dent j 2023 ; Tooth wear is a multifactorial condition leading to the irreversible loss of dental hard tissues. Managing tooth wear with respect to quality of life: Screening, diagnosis and management in general dental practice. Tooth wear (tw) or tooth surface loss (tsl) is used to describe the progressive loss of dental. Tooth Wear Dental Update.
From greatteeth.co.nz
Tooth Wear causes, risks and remedies Great Teeth Wellington Dentists Tooth Wear Dental Update Although tooth wear is mainly a. Managing tooth wear with respect to quality of life: The restorative management of tooth wear may also be complex, requiring a good working knowledge of clinical occlusion, dental. Screening, diagnosis and management in general dental practice. Br dent j 2023 ; Tooth wear is a multifactorial condition leading to the irreversible loss of dental. Tooth Wear Dental Update.
From www.pearldentalclinic.co.uk
Tooth Wear management Pearl Dental Clinic Dentist in London Tooth Wear Dental Update Br dent j 2023 ; Tooth wear (tw) or tooth surface loss (tsl) is used to describe the progressive loss of dental hard tissue by chemical and mechanical. Screening, diagnosis and management in general dental practice. Although tooth wear is mainly a. Tooth wear is a multifactorial condition leading to the irreversible loss of dental hard tissues. Managing tooth wear. Tooth Wear Dental Update.
From dentistrybydesignofcary.com
Anterior Wear Dentist in Cary Tooth Wear Dental Update Tooth wear is a multifactorial condition leading to the irreversible loss of dental hard tissues. Managing tooth wear with respect to quality of life: Screening, diagnosis and management in general dental practice. Although tooth wear is mainly a. Br dent j 2023 ; Tooth wear (tw) or tooth surface loss (tsl) is used to describe the progressive loss of dental. Tooth Wear Dental Update.
From lakeforestdentalarts.com
Heavy tooth wear? How to fix a worn smile from bruxism Tooth Wear Dental Update Managing tooth wear with respect to quality of life: Tooth wear is a multifactorial condition leading to the irreversible loss of dental hard tissues. Screening, diagnosis and management in general dental practice. Although tooth wear is mainly a. The restorative management of tooth wear may also be complex, requiring a good working knowledge of clinical occlusion, dental. Tooth wear (tw). Tooth Wear Dental Update.
From greatteeth.co.nz
Tooth Wear causes, risks and remedies Great Teeth Wellington Dentists Tooth Wear Dental Update Screening, diagnosis and management in general dental practice. Tooth wear (tw) or tooth surface loss (tsl) is used to describe the progressive loss of dental hard tissue by chemical and mechanical. Although tooth wear is mainly a. Tooth wear is a multifactorial condition leading to the irreversible loss of dental hard tissues. The restorative management of tooth wear may also. Tooth Wear Dental Update.
From www.dentistry68.co.uk
Tooth Wear Dentistry 68 Dentist Dentist Poole Tooth Wear Dental Update Tooth wear is a multifactorial condition leading to the irreversible loss of dental hard tissues. Screening, diagnosis and management in general dental practice. Br dent j 2023 ; Although tooth wear is mainly a. Managing tooth wear with respect to quality of life: Tooth wear (tw) or tooth surface loss (tsl) is used to describe the progressive loss of dental. Tooth Wear Dental Update.
From windsordentists.com.au
Severe Tooth Wear Windsor Dentists Tooth Wear Dental Update Managing tooth wear with respect to quality of life: The restorative management of tooth wear may also be complex, requiring a good working knowledge of clinical occlusion, dental. Tooth wear is a multifactorial condition leading to the irreversible loss of dental hard tissues. Although tooth wear is mainly a. Br dent j 2023 ; Tooth wear (tw) or tooth surface. Tooth Wear Dental Update.
From www.dtsmilecare.com
4 Types of WEAR your tooth undergoes DT Smile Care Tooth Wear Dental Update The restorative management of tooth wear may also be complex, requiring a good working knowledge of clinical occlusion, dental. Tooth wear is a multifactorial condition leading to the irreversible loss of dental hard tissues. Managing tooth wear with respect to quality of life: Screening, diagnosis and management in general dental practice. Br dent j 2023 ; Tooth wear (tw) or. Tooth Wear Dental Update.
From www.dental-update.co.uk
Dental Update Longevity and performance of materials used for the restorative management of Tooth Wear Dental Update Although tooth wear is mainly a. The restorative management of tooth wear may also be complex, requiring a good working knowledge of clinical occlusion, dental. Tooth wear (tw) or tooth surface loss (tsl) is used to describe the progressive loss of dental hard tissue by chemical and mechanical. Br dent j 2023 ; Tooth wear is a multifactorial condition leading. Tooth Wear Dental Update.
From dentaljay.com
Prosthodontips diagnosing and treating toothwear Dentistry Online Dental Jay Tooth Wear Dental Update Tooth wear (tw) or tooth surface loss (tsl) is used to describe the progressive loss of dental hard tissue by chemical and mechanical. Screening, diagnosis and management in general dental practice. Tooth wear is a multifactorial condition leading to the irreversible loss of dental hard tissues. The restorative management of tooth wear may also be complex, requiring a good working. Tooth Wear Dental Update.
From www.dental-update.co.uk
Dental Update Patient preventive advice to mitigate signs and symptoms of tooth wear Tooth Wear Dental Update The restorative management of tooth wear may also be complex, requiring a good working knowledge of clinical occlusion, dental. Screening, diagnosis and management in general dental practice. Br dent j 2023 ; Tooth wear (tw) or tooth surface loss (tsl) is used to describe the progressive loss of dental hard tissue by chemical and mechanical. Tooth wear is a multifactorial. Tooth Wear Dental Update.
From www.dental-update.co.uk
Dental Update Monitoring tooth wear Tooth Wear Dental Update Managing tooth wear with respect to quality of life: Screening, diagnosis and management in general dental practice. Although tooth wear is mainly a. Tooth wear is a multifactorial condition leading to the irreversible loss of dental hard tissues. Tooth wear (tw) or tooth surface loss (tsl) is used to describe the progressive loss of dental hard tissue by chemical and. Tooth Wear Dental Update.
From desertsunsmiles.com
Tooth Wear Glendale AZ Dentist Dr. Lee Ann Brady Tooth Wear Dental Update Screening, diagnosis and management in general dental practice. Tooth wear (tw) or tooth surface loss (tsl) is used to describe the progressive loss of dental hard tissue by chemical and mechanical. Br dent j 2023 ; Although tooth wear is mainly a. Tooth wear is a multifactorial condition leading to the irreversible loss of dental hard tissues. The restorative management. Tooth Wear Dental Update.
From www.facesandsmilesdental.co.uk
Teeth Wear Faces and Smiles Tooth Wear Dental Update Managing tooth wear with respect to quality of life: Although tooth wear is mainly a. Br dent j 2023 ; Screening, diagnosis and management in general dental practice. Tooth wear (tw) or tooth surface loss (tsl) is used to describe the progressive loss of dental hard tissue by chemical and mechanical. Tooth wear is a multifactorial condition leading to the. Tooth Wear Dental Update.
From www.dental-update.co.uk
Dental Update Tooth wear in children prevalence, presentation and prevention Tooth Wear Dental Update Tooth wear (tw) or tooth surface loss (tsl) is used to describe the progressive loss of dental hard tissue by chemical and mechanical. Tooth wear is a multifactorial condition leading to the irreversible loss of dental hard tissues. Br dent j 2023 ; Screening, diagnosis and management in general dental practice. Although tooth wear is mainly a. The restorative management. Tooth Wear Dental Update.
From enamel.clinic
Tooth Wear Treatment Using Lite Dentistry Enamel Clinics Tooth Wear Dental Update Tooth wear (tw) or tooth surface loss (tsl) is used to describe the progressive loss of dental hard tissue by chemical and mechanical. Managing tooth wear with respect to quality of life: Tooth wear is a multifactorial condition leading to the irreversible loss of dental hard tissues. Br dent j 2023 ; The restorative management of tooth wear may also. Tooth Wear Dental Update.
From www.dental-update.co.uk
Dental Update Tooth wear intrinsic and extrinsic mechanical factors Tooth Wear Dental Update Tooth wear is a multifactorial condition leading to the irreversible loss of dental hard tissues. Although tooth wear is mainly a. Br dent j 2023 ; The restorative management of tooth wear may also be complex, requiring a good working knowledge of clinical occlusion, dental. Tooth wear (tw) or tooth surface loss (tsl) is used to describe the progressive loss. Tooth Wear Dental Update.
From www.dentaljuce.com
Sources of tooth wear Enhanced Dental CPD Online Tooth Wear Dental Update Br dent j 2023 ; Tooth wear is a multifactorial condition leading to the irreversible loss of dental hard tissues. Tooth wear (tw) or tooth surface loss (tsl) is used to describe the progressive loss of dental hard tissue by chemical and mechanical. Although tooth wear is mainly a. The restorative management of tooth wear may also be complex, requiring. Tooth Wear Dental Update.
From www.dental-update.co.uk
Dental Update Multidisciplinary management of advanced complexity tooth wear cases patient Tooth Wear Dental Update Br dent j 2023 ; Although tooth wear is mainly a. Tooth wear is a multifactorial condition leading to the irreversible loss of dental hard tissues. Screening, diagnosis and management in general dental practice. The restorative management of tooth wear may also be complex, requiring a good working knowledge of clinical occlusion, dental. Managing tooth wear with respect to quality. Tooth Wear Dental Update.
From www.happiesthealth.com
What is tooth wear and how to manage it Happiest Health Tooth Wear Dental Update Tooth wear (tw) or tooth surface loss (tsl) is used to describe the progressive loss of dental hard tissue by chemical and mechanical. Screening, diagnosis and management in general dental practice. Managing tooth wear with respect to quality of life: Tooth wear is a multifactorial condition leading to the irreversible loss of dental hard tissues. Although tooth wear is mainly. Tooth Wear Dental Update.
From birkbeckdentistry.co.uk
Tooth Wear Treatment Sidcup Dentist Sidcup Birkbeck Dentistry Tooth Wear Dental Update Although tooth wear is mainly a. Screening, diagnosis and management in general dental practice. The restorative management of tooth wear may also be complex, requiring a good working knowledge of clinical occlusion, dental. Tooth wear is a multifactorial condition leading to the irreversible loss of dental hard tissues. Tooth wear (tw) or tooth surface loss (tsl) is used to describe. Tooth Wear Dental Update.
From www.researchgate.net
(PDF) Tooth wear Causes, diagnosis and prevention Tooth Wear Dental Update Tooth wear is a multifactorial condition leading to the irreversible loss of dental hard tissues. Tooth wear (tw) or tooth surface loss (tsl) is used to describe the progressive loss of dental hard tissue by chemical and mechanical. Although tooth wear is mainly a. Screening, diagnosis and management in general dental practice. Br dent j 2023 ; Managing tooth wear. Tooth Wear Dental Update.
From cosmeticdentistmonrovia.com
Types And Causes Of Tooth Wear Dr.Shahram Valiani Tooth Wear Dental Update Br dent j 2023 ; Tooth wear (tw) or tooth surface loss (tsl) is used to describe the progressive loss of dental hard tissue by chemical and mechanical. Managing tooth wear with respect to quality of life: The restorative management of tooth wear may also be complex, requiring a good working knowledge of clinical occlusion, dental. Tooth wear is a. Tooth Wear Dental Update.
From gmwprosthodontics.com
Dental Wear Part 1 GMW Prosthodontist Tooth Wear Dental Update The restorative management of tooth wear may also be complex, requiring a good working knowledge of clinical occlusion, dental. Tooth wear is a multifactorial condition leading to the irreversible loss of dental hard tissues. Br dent j 2023 ; Managing tooth wear with respect to quality of life: Screening, diagnosis and management in general dental practice. Although tooth wear is. Tooth Wear Dental Update.
From www.minthilldentistry.com
Grinding and Tooth Wear Mint Hill Dentistry Tooth Wear Dental Update Managing tooth wear with respect to quality of life: Tooth wear is a multifactorial condition leading to the irreversible loss of dental hard tissues. Tooth wear (tw) or tooth surface loss (tsl) is used to describe the progressive loss of dental hard tissue by chemical and mechanical. Screening, diagnosis and management in general dental practice. Although tooth wear is mainly. Tooth Wear Dental Update.
From www.oralhealthgroup.com
Tooth Wear Archives Oral Health Group Tooth Wear Dental Update Although tooth wear is mainly a. Tooth wear (tw) or tooth surface loss (tsl) is used to describe the progressive loss of dental hard tissue by chemical and mechanical. The restorative management of tooth wear may also be complex, requiring a good working knowledge of clinical occlusion, dental. Screening, diagnosis and management in general dental practice. Br dent j 2023. Tooth Wear Dental Update.
From www.researchgate.net
(PDF) Prevention and Management of Tooth Wear The Role of Dental Technology Tooth Wear Dental Update Although tooth wear is mainly a. Tooth wear is a multifactorial condition leading to the irreversible loss of dental hard tissues. Managing tooth wear with respect to quality of life: The restorative management of tooth wear may also be complex, requiring a good working knowledge of clinical occlusion, dental. Tooth wear (tw) or tooth surface loss (tsl) is used to. Tooth Wear Dental Update.
From www.dental-update.co.uk
Dental Update Direct versus indirect restorations in the treatment of tooth wear a report of Tooth Wear Dental Update Tooth wear is a multifactorial condition leading to the irreversible loss of dental hard tissues. Managing tooth wear with respect to quality of life: Br dent j 2023 ; Screening, diagnosis and management in general dental practice. The restorative management of tooth wear may also be complex, requiring a good working knowledge of clinical occlusion, dental. Although tooth wear is. Tooth Wear Dental Update.
From www.happiesthealth.com
What is tooth wear and how to manage it Happiest Health Tooth Wear Dental Update Managing tooth wear with respect to quality of life: Br dent j 2023 ; Although tooth wear is mainly a. The restorative management of tooth wear may also be complex, requiring a good working knowledge of clinical occlusion, dental. Screening, diagnosis and management in general dental practice. Tooth wear is a multifactorial condition leading to the irreversible loss of dental. Tooth Wear Dental Update.