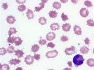
Meaning Of Spur Cell Anemia . Spur cells, or acanthocytes, are large erythrocytes covered with spikelike projections that vary in width, length, and. The signs and symptoms of spur cell anemia are related to the anemia and the underlying disease. In spur cell anemia, the. She was found to have nonimmune hemolytic anemia with acanthocytes, or spur. One of the most useful ways to classify anemia is whether red cell production is decreased or destruction is. Spur cell anemia is an acquired form of hemolytic anemia caused by a structural abnormality of red cell membranes that results in spiculated erythrocytes. The peripheral blood smear (figure 1) showed numerous irregularly shaped erythrocytes with spinous projections (ie, acanthocytes, or “spur cells”) and increased.
from es.slideshare.net
The peripheral blood smear (figure 1) showed numerous irregularly shaped erythrocytes with spinous projections (ie, acanthocytes, or “spur cells”) and increased. In spur cell anemia, the. The signs and symptoms of spur cell anemia are related to the anemia and the underlying disease. One of the most useful ways to classify anemia is whether red cell production is decreased or destruction is. Spur cells, or acanthocytes, are large erythrocytes covered with spikelike projections that vary in width, length, and. She was found to have nonimmune hemolytic anemia with acanthocytes, or spur. Spur cell anemia is an acquired form of hemolytic anemia caused by a structural abnormality of red cell membranes that results in spiculated erythrocytes.
Anemias...general
Meaning Of Spur Cell Anemia She was found to have nonimmune hemolytic anemia with acanthocytes, or spur. In spur cell anemia, the. Spur cell anemia is an acquired form of hemolytic anemia caused by a structural abnormality of red cell membranes that results in spiculated erythrocytes. She was found to have nonimmune hemolytic anemia with acanthocytes, or spur. One of the most useful ways to classify anemia is whether red cell production is decreased or destruction is. The peripheral blood smear (figure 1) showed numerous irregularly shaped erythrocytes with spinous projections (ie, acanthocytes, or “spur cells”) and increased. Spur cells, or acanthocytes, are large erythrocytes covered with spikelike projections that vary in width, length, and. The signs and symptoms of spur cell anemia are related to the anemia and the underlying disease.
From www.nejm.org
SpurCell Hemolytic Anemia NEJM Meaning Of Spur Cell Anemia The peripheral blood smear (figure 1) showed numerous irregularly shaped erythrocytes with spinous projections (ie, acanthocytes, or “spur cells”) and increased. One of the most useful ways to classify anemia is whether red cell production is decreased or destruction is. In spur cell anemia, the. Spur cell anemia is an acquired form of hemolytic anemia caused by a structural abnormality. Meaning Of Spur Cell Anemia.
From www.academia.edu
(PDF) Spur cell anemia in endstage liver disease a zebra! Arpan Meaning Of Spur Cell Anemia Spur cells, or acanthocytes, are large erythrocytes covered with spikelike projections that vary in width, length, and. One of the most useful ways to classify anemia is whether red cell production is decreased or destruction is. The peripheral blood smear (figure 1) showed numerous irregularly shaped erythrocytes with spinous projections (ie, acanthocytes, or “spur cells”) and increased. She was found. Meaning Of Spur Cell Anemia.
From europepmc.org
Spur cell anemia related to alcoholic liver cirrhosis managed without Meaning Of Spur Cell Anemia One of the most useful ways to classify anemia is whether red cell production is decreased or destruction is. The peripheral blood smear (figure 1) showed numerous irregularly shaped erythrocytes with spinous projections (ie, acanthocytes, or “spur cells”) and increased. In spur cell anemia, the. Spur cells, or acanthocytes, are large erythrocytes covered with spikelike projections that vary in width,. Meaning Of Spur Cell Anemia.
From imagebank.hematology.org
Spur Cell Anemia 2. Meaning Of Spur Cell Anemia She was found to have nonimmune hemolytic anemia with acanthocytes, or spur. One of the most useful ways to classify anemia is whether red cell production is decreased or destruction is. The signs and symptoms of spur cell anemia are related to the anemia and the underlying disease. The peripheral blood smear (figure 1) showed numerous irregularly shaped erythrocytes with. Meaning Of Spur Cell Anemia.
From www.semanticscholar.org
Figure 1 from Rapid reversion of spur cell anemia after liver Meaning Of Spur Cell Anemia In spur cell anemia, the. The peripheral blood smear (figure 1) showed numerous irregularly shaped erythrocytes with spinous projections (ie, acanthocytes, or “spur cells”) and increased. Spur cells, or acanthocytes, are large erythrocytes covered with spikelike projections that vary in width, length, and. The signs and symptoms of spur cell anemia are related to the anemia and the underlying disease.. Meaning Of Spur Cell Anemia.
From www.medicinekeys.com
Acanthocytes (“spur cells”) Medicine Keys for MRCPs Meaning Of Spur Cell Anemia She was found to have nonimmune hemolytic anemia with acanthocytes, or spur. Spur cell anemia is an acquired form of hemolytic anemia caused by a structural abnormality of red cell membranes that results in spiculated erythrocytes. The signs and symptoms of spur cell anemia are related to the anemia and the underlying disease. The peripheral blood smear (figure 1) showed. Meaning Of Spur Cell Anemia.
From www.thebloodproject.com
Spur vs. Burr Cell • The Blood Project Meaning Of Spur Cell Anemia One of the most useful ways to classify anemia is whether red cell production is decreased or destruction is. The signs and symptoms of spur cell anemia are related to the anemia and the underlying disease. Spur cell anemia is an acquired form of hemolytic anemia caused by a structural abnormality of red cell membranes that results in spiculated erythrocytes.. Meaning Of Spur Cell Anemia.
From www.nejm.org
SpurCell Anemia — Hemolytic Anemia with Red Cells Resembling Meaning Of Spur Cell Anemia She was found to have nonimmune hemolytic anemia with acanthocytes, or spur. In spur cell anemia, the. Spur cells, or acanthocytes, are large erythrocytes covered with spikelike projections that vary in width, length, and. The signs and symptoms of spur cell anemia are related to the anemia and the underlying disease. Spur cell anemia is an acquired form of hemolytic. Meaning Of Spur Cell Anemia.
From www.slideserve.com
PPT Hemolytic Anemias due to Other Intracorpuscular Defects Meaning Of Spur Cell Anemia She was found to have nonimmune hemolytic anemia with acanthocytes, or spur. Spur cell anemia is an acquired form of hemolytic anemia caused by a structural abnormality of red cell membranes that results in spiculated erythrocytes. The peripheral blood smear (figure 1) showed numerous irregularly shaped erythrocytes with spinous projections (ie, acanthocytes, or “spur cells”) and increased. One of the. Meaning Of Spur Cell Anemia.
From ar.inspiredpencil.com
Spur Cells Meaning Of Spur Cell Anemia The peripheral blood smear (figure 1) showed numerous irregularly shaped erythrocytes with spinous projections (ie, acanthocytes, or “spur cells”) and increased. In spur cell anemia, the. She was found to have nonimmune hemolytic anemia with acanthocytes, or spur. Spur cell anemia is an acquired form of hemolytic anemia caused by a structural abnormality of red cell membranes that results in. Meaning Of Spur Cell Anemia.
From gut.bmj.com
Spur cell anaemia and hepatic iron stores in patients with alcoholic Meaning Of Spur Cell Anemia The peripheral blood smear (figure 1) showed numerous irregularly shaped erythrocytes with spinous projections (ie, acanthocytes, or “spur cells”) and increased. Spur cell anemia is an acquired form of hemolytic anemia caused by a structural abnormality of red cell membranes that results in spiculated erythrocytes. One of the most useful ways to classify anemia is whether red cell production is. Meaning Of Spur Cell Anemia.
From www.slideserve.com
PPT Practical of Clinical Hematology PowerPoint Presentation, free Meaning Of Spur Cell Anemia In spur cell anemia, the. The signs and symptoms of spur cell anemia are related to the anemia and the underlying disease. One of the most useful ways to classify anemia is whether red cell production is decreased or destruction is. The peripheral blood smear (figure 1) showed numerous irregularly shaped erythrocytes with spinous projections (ie, acanthocytes, or “spur cells”). Meaning Of Spur Cell Anemia.
From www.elsevier.es
A thorny matter Spur cell anemia Annals of Hepatology Meaning Of Spur Cell Anemia In spur cell anemia, the. Spur cells, or acanthocytes, are large erythrocytes covered with spikelike projections that vary in width, length, and. The peripheral blood smear (figure 1) showed numerous irregularly shaped erythrocytes with spinous projections (ie, acanthocytes, or “spur cells”) and increased. The signs and symptoms of spur cell anemia are related to the anemia and the underlying disease.. Meaning Of Spur Cell Anemia.
From classicalhematology.com
Spur Cell Hemolytic Anemia Classical hematology Meaning Of Spur Cell Anemia In spur cell anemia, the. Spur cell anemia is an acquired form of hemolytic anemia caused by a structural abnormality of red cell membranes that results in spiculated erythrocytes. The peripheral blood smear (figure 1) showed numerous irregularly shaped erythrocytes with spinous projections (ie, acanthocytes, or “spur cells”) and increased. The signs and symptoms of spur cell anemia are related. Meaning Of Spur Cell Anemia.
From www.thebloodproject.com
Spur cell Anemia • The Blood Project Meaning Of Spur Cell Anemia One of the most useful ways to classify anemia is whether red cell production is decreased or destruction is. The signs and symptoms of spur cell anemia are related to the anemia and the underlying disease. She was found to have nonimmune hemolytic anemia with acanthocytes, or spur. Spur cells, or acanthocytes, are large erythrocytes covered with spikelike projections that. Meaning Of Spur Cell Anemia.
From ar.inspiredpencil.com
Spur Cells Meaning Of Spur Cell Anemia Spur cells, or acanthocytes, are large erythrocytes covered with spikelike projections that vary in width, length, and. She was found to have nonimmune hemolytic anemia with acanthocytes, or spur. One of the most useful ways to classify anemia is whether red cell production is decreased or destruction is. In spur cell anemia, the. The peripheral blood smear (figure 1) showed. Meaning Of Spur Cell Anemia.
From gut.bmj.com
Spur cell anaemia and hepatic iron stores in patients with alcoholic Meaning Of Spur Cell Anemia Spur cell anemia is an acquired form of hemolytic anemia caused by a structural abnormality of red cell membranes that results in spiculated erythrocytes. The peripheral blood smear (figure 1) showed numerous irregularly shaped erythrocytes with spinous projections (ie, acanthocytes, or “spur cells”) and increased. The signs and symptoms of spur cell anemia are related to the anemia and the. Meaning Of Spur Cell Anemia.
From basicmedicalkey.com
Investigation and classification of anemia Basicmedical Key Meaning Of Spur Cell Anemia The peripheral blood smear (figure 1) showed numerous irregularly shaped erythrocytes with spinous projections (ie, acanthocytes, or “spur cells”) and increased. The signs and symptoms of spur cell anemia are related to the anemia and the underlying disease. One of the most useful ways to classify anemia is whether red cell production is decreased or destruction is. Spur cell anemia. Meaning Of Spur Cell Anemia.
From www.researchgate.net
(PDF) Spurcell anemia Meaning Of Spur Cell Anemia She was found to have nonimmune hemolytic anemia with acanthocytes, or spur. The signs and symptoms of spur cell anemia are related to the anemia and the underlying disease. The peripheral blood smear (figure 1) showed numerous irregularly shaped erythrocytes with spinous projections (ie, acanthocytes, or “spur cells”) and increased. Spur cell anemia is an acquired form of hemolytic anemia. Meaning Of Spur Cell Anemia.
From www.cureus.com
Spur Cells Causing Severe and TransfusionRefractory Anemia in Patients Meaning Of Spur Cell Anemia In spur cell anemia, the. She was found to have nonimmune hemolytic anemia with acanthocytes, or spur. Spur cell anemia is an acquired form of hemolytic anemia caused by a structural abnormality of red cell membranes that results in spiculated erythrocytes. One of the most useful ways to classify anemia is whether red cell production is decreased or destruction is.. Meaning Of Spur Cell Anemia.
From ashpublications.org
Spur Cell Anemia A Rare and UnderDiagnosed Cause of Anemia in Meaning Of Spur Cell Anemia Spur cell anemia is an acquired form of hemolytic anemia caused by a structural abnormality of red cell membranes that results in spiculated erythrocytes. Spur cells, or acanthocytes, are large erythrocytes covered with spikelike projections that vary in width, length, and. One of the most useful ways to classify anemia is whether red cell production is decreased or destruction is.. Meaning Of Spur Cell Anemia.
From www.ccjm.org
Spurcell anemia Cleveland Clinic Journal of Medicine Meaning Of Spur Cell Anemia The signs and symptoms of spur cell anemia are related to the anemia and the underlying disease. In spur cell anemia, the. Spur cell anemia is an acquired form of hemolytic anemia caused by a structural abnormality of red cell membranes that results in spiculated erythrocytes. She was found to have nonimmune hemolytic anemia with acanthocytes, or spur. Spur cells,. Meaning Of Spur Cell Anemia.
From es.slideshare.net
Anemias...general Meaning Of Spur Cell Anemia Spur cell anemia is an acquired form of hemolytic anemia caused by a structural abnormality of red cell membranes that results in spiculated erythrocytes. One of the most useful ways to classify anemia is whether red cell production is decreased or destruction is. Spur cells, or acanthocytes, are large erythrocytes covered with spikelike projections that vary in width, length, and.. Meaning Of Spur Cell Anemia.
From www.semanticscholar.org
Figure 1 from Spur Cell Anemia (Acanthocytosis) Complicating Idiopathic Meaning Of Spur Cell Anemia One of the most useful ways to classify anemia is whether red cell production is decreased or destruction is. Spur cell anemia is an acquired form of hemolytic anemia caused by a structural abnormality of red cell membranes that results in spiculated erythrocytes. In spur cell anemia, the. The peripheral blood smear (figure 1) showed numerous irregularly shaped erythrocytes with. Meaning Of Spur Cell Anemia.
From www.researchgate.net
Effects ofEPL infusion in eight patients with spur cell anaemia (ranges Meaning Of Spur Cell Anemia The signs and symptoms of spur cell anemia are related to the anemia and the underlying disease. The peripheral blood smear (figure 1) showed numerous irregularly shaped erythrocytes with spinous projections (ie, acanthocytes, or “spur cells”) and increased. She was found to have nonimmune hemolytic anemia with acanthocytes, or spur. One of the most useful ways to classify anemia is. Meaning Of Spur Cell Anemia.
From www.slideserve.com
PPT EVALUATION OF THE ANEMIC PATIENT PowerPoint Presentation, free Meaning Of Spur Cell Anemia In spur cell anemia, the. She was found to have nonimmune hemolytic anemia with acanthocytes, or spur. The peripheral blood smear (figure 1) showed numerous irregularly shaped erythrocytes with spinous projections (ie, acanthocytes, or “spur cells”) and increased. Spur cell anemia is an acquired form of hemolytic anemia caused by a structural abnormality of red cell membranes that results in. Meaning Of Spur Cell Anemia.
From surgmedia.com
Anemia Overview Definition, Symptoms, Causes, Types, and Risk factors Meaning Of Spur Cell Anemia One of the most useful ways to classify anemia is whether red cell production is decreased or destruction is. The signs and symptoms of spur cell anemia are related to the anemia and the underlying disease. She was found to have nonimmune hemolytic anemia with acanthocytes, or spur. In spur cell anemia, the. Spur cell anemia is an acquired form. Meaning Of Spur Cell Anemia.
From www.slideserve.com
PPT Hemolytic Anemias Extracorpuscular defects PowerPoint Meaning Of Spur Cell Anemia Spur cell anemia is an acquired form of hemolytic anemia caused by a structural abnormality of red cell membranes that results in spiculated erythrocytes. She was found to have nonimmune hemolytic anemia with acanthocytes, or spur. The signs and symptoms of spur cell anemia are related to the anemia and the underlying disease. Spur cells, or acanthocytes, are large erythrocytes. Meaning Of Spur Cell Anemia.
From www.slideserve.com
PPT Hemolytic Anemias Extracorpuscular defects PowerPoint Meaning Of Spur Cell Anemia The peripheral blood smear (figure 1) showed numerous irregularly shaped erythrocytes with spinous projections (ie, acanthocytes, or “spur cells”) and increased. In spur cell anemia, the. She was found to have nonimmune hemolytic anemia with acanthocytes, or spur. The signs and symptoms of spur cell anemia are related to the anemia and the underlying disease. Spur cell anemia is an. Meaning Of Spur Cell Anemia.
From ar.inspiredpencil.com
Spur Cells Meaning Of Spur Cell Anemia Spur cells, or acanthocytes, are large erythrocytes covered with spikelike projections that vary in width, length, and. She was found to have nonimmune hemolytic anemia with acanthocytes, or spur. The peripheral blood smear (figure 1) showed numerous irregularly shaped erythrocytes with spinous projections (ie, acanthocytes, or “spur cells”) and increased. One of the most useful ways to classify anemia is. Meaning Of Spur Cell Anemia.
From atlas.gechem.org
Spur cell anaemia in a patient with liver disease Meaning Of Spur Cell Anemia Spur cells, or acanthocytes, are large erythrocytes covered with spikelike projections that vary in width, length, and. She was found to have nonimmune hemolytic anemia with acanthocytes, or spur. Spur cell anemia is an acquired form of hemolytic anemia caused by a structural abnormality of red cell membranes that results in spiculated erythrocytes. The peripheral blood smear (figure 1) showed. Meaning Of Spur Cell Anemia.
From www.labpedia.net
Anemia Part 1 Anemia Classification, Diagnosis, and Routine Work up Meaning Of Spur Cell Anemia Spur cell anemia is an acquired form of hemolytic anemia caused by a structural abnormality of red cell membranes that results in spiculated erythrocytes. One of the most useful ways to classify anemia is whether red cell production is decreased or destruction is. In spur cell anemia, the. The peripheral blood smear (figure 1) showed numerous irregularly shaped erythrocytes with. Meaning Of Spur Cell Anemia.
From www.researchgate.net
A Peripheral blood smear from the cirrhotic patient, showing spur Meaning Of Spur Cell Anemia In spur cell anemia, the. Spur cell anemia is an acquired form of hemolytic anemia caused by a structural abnormality of red cell membranes that results in spiculated erythrocytes. The signs and symptoms of spur cell anemia are related to the anemia and the underlying disease. Spur cells, or acanthocytes, are large erythrocytes covered with spikelike projections that vary in. Meaning Of Spur Cell Anemia.
From ar.inspiredpencil.com
Spur Cells Meaning Of Spur Cell Anemia One of the most useful ways to classify anemia is whether red cell production is decreased or destruction is. The signs and symptoms of spur cell anemia are related to the anemia and the underlying disease. The peripheral blood smear (figure 1) showed numerous irregularly shaped erythrocytes with spinous projections (ie, acanthocytes, or “spur cells”) and increased. In spur cell. Meaning Of Spur Cell Anemia.
From www.researchgate.net
(PDF) The Diagnosis Is in the Smear A Case and Review of Spur Cell Meaning Of Spur Cell Anemia The peripheral blood smear (figure 1) showed numerous irregularly shaped erythrocytes with spinous projections (ie, acanthocytes, or “spur cells”) and increased. She was found to have nonimmune hemolytic anemia with acanthocytes, or spur. One of the most useful ways to classify anemia is whether red cell production is decreased or destruction is. The signs and symptoms of spur cell anemia. Meaning Of Spur Cell Anemia.