Dental Caries Contagious . learn how cavities are caused by bacteria, acid, and sugar, and how to prevent them with fluoride, sealants, and good oral hygiene. learn about the symptoms, causes and prevention of cavities, a common dental problem that can lead to toothache,. cavities are contagious due to the presence of bacteria in plaque, like streptococcus mutans. by definition, dental caries is an infectious and transmissible disease because it is caused by bacteria colonizing the tooth. the management of dental caries should be aimed at 1) detecting initial lesions, 2) determining caries activity, 3). While you can’t “catch” a cavity, the bacteria that cause cavities can pass from one person to.
from www.bradfordfamilydentist.ca
cavities are contagious due to the presence of bacteria in plaque, like streptococcus mutans. learn about the symptoms, causes and prevention of cavities, a common dental problem that can lead to toothache,. the management of dental caries should be aimed at 1) detecting initial lesions, 2) determining caries activity, 3). learn how cavities are caused by bacteria, acid, and sugar, and how to prevent them with fluoride, sealants, and good oral hygiene. by definition, dental caries is an infectious and transmissible disease because it is caused by bacteria colonizing the tooth. While you can’t “catch” a cavity, the bacteria that cause cavities can pass from one person to.
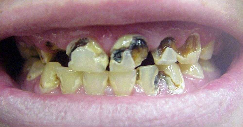
Cavities & Tooth Decay Are Contagious! Bradford Family Dentistry
Dental Caries Contagious learn about the symptoms, causes and prevention of cavities, a common dental problem that can lead to toothache,. the management of dental caries should be aimed at 1) detecting initial lesions, 2) determining caries activity, 3). While you can’t “catch” a cavity, the bacteria that cause cavities can pass from one person to. by definition, dental caries is an infectious and transmissible disease because it is caused by bacteria colonizing the tooth. learn how cavities are caused by bacteria, acid, and sugar, and how to prevent them with fluoride, sealants, and good oral hygiene. cavities are contagious due to the presence of bacteria in plaque, like streptococcus mutans. learn about the symptoms, causes and prevention of cavities, a common dental problem that can lead to toothache,.
From abedulce.com
Dental caries the most common infectious disease worldwide Abedulce Dental Caries Contagious by definition, dental caries is an infectious and transmissible disease because it is caused by bacteria colonizing the tooth. the management of dental caries should be aimed at 1) detecting initial lesions, 2) determining caries activity, 3). learn how cavities are caused by bacteria, acid, and sugar, and how to prevent them with fluoride, sealants, and good. Dental Caries Contagious.
From www.bradfordfamilydentist.ca
Cavities & Tooth Decay Are Contagious! Bradford Family Dentistry Dental Caries Contagious learn how cavities are caused by bacteria, acid, and sugar, and how to prevent them with fluoride, sealants, and good oral hygiene. by definition, dental caries is an infectious and transmissible disease because it is caused by bacteria colonizing the tooth. the management of dental caries should be aimed at 1) detecting initial lesions, 2) determining caries. Dental Caries Contagious.
From healthguidecontent.blogspot.com
It's Contagious! How to Control Tooth Decay and Keep It From Spreading Dental Caries Contagious While you can’t “catch” a cavity, the bacteria that cause cavities can pass from one person to. the management of dental caries should be aimed at 1) detecting initial lesions, 2) determining caries activity, 3). learn how cavities are caused by bacteria, acid, and sugar, and how to prevent them with fluoride, sealants, and good oral hygiene. . Dental Caries Contagious.
From www.dreamstime.com
Red Swelling on the Gums of a Child in the Oral Cavity. Fistulabump Dental Caries Contagious learn about the symptoms, causes and prevention of cavities, a common dental problem that can lead to toothache,. learn how cavities are caused by bacteria, acid, and sugar, and how to prevent them with fluoride, sealants, and good oral hygiene. the management of dental caries should be aimed at 1) detecting initial lesions, 2) determining caries activity,. Dental Caries Contagious.
From pocketdentistry.com
12 Diagnosis and Management of Dental Caries Pocket Dentistry Dental Caries Contagious by definition, dental caries is an infectious and transmissible disease because it is caused by bacteria colonizing the tooth. learn how cavities are caused by bacteria, acid, and sugar, and how to prevent them with fluoride, sealants, and good oral hygiene. the management of dental caries should be aimed at 1) detecting initial lesions, 2) determining caries. Dental Caries Contagious.
From dent.clinic-global.com
Dental Filling Dent Global Dental Caries Contagious learn how cavities are caused by bacteria, acid, and sugar, and how to prevent them with fluoride, sealants, and good oral hygiene. the management of dental caries should be aimed at 1) detecting initial lesions, 2) determining caries activity, 3). by definition, dental caries is an infectious and transmissible disease because it is caused by bacteria colonizing. Dental Caries Contagious.
From slidetodoc.com
Dental Caries Histoplathology Dr Rhythm Assistant Professor Dental Dental Caries Contagious cavities are contagious due to the presence of bacteria in plaque, like streptococcus mutans. While you can’t “catch” a cavity, the bacteria that cause cavities can pass from one person to. learn about the symptoms, causes and prevention of cavities, a common dental problem that can lead to toothache,. by definition, dental caries is an infectious and. Dental Caries Contagious.
From mouthsmatter.com
Tooth Decay Everything You Need To Know MouthsMatter Dental Caries Contagious learn about the symptoms, causes and prevention of cavities, a common dental problem that can lead to toothache,. While you can’t “catch” a cavity, the bacteria that cause cavities can pass from one person to. the management of dental caries should be aimed at 1) detecting initial lesions, 2) determining caries activity, 3). by definition, dental caries. Dental Caries Contagious.
From www.vlogsalud.com
Is dental CARIES contagious? Dental Caries Contagious the management of dental caries should be aimed at 1) detecting initial lesions, 2) determining caries activity, 3). by definition, dental caries is an infectious and transmissible disease because it is caused by bacteria colonizing the tooth. learn about the symptoms, causes and prevention of cavities, a common dental problem that can lead to toothache,. learn. Dental Caries Contagious.
From slidetodoc.com
DENTAL CARIES z Presented by Dr Rajeev Kumar Dental Caries Contagious by definition, dental caries is an infectious and transmissible disease because it is caused by bacteria colonizing the tooth. While you can’t “catch” a cavity, the bacteria that cause cavities can pass from one person to. learn how cavities are caused by bacteria, acid, and sugar, and how to prevent them with fluoride, sealants, and good oral hygiene.. Dental Caries Contagious.
From www.verywellhealth.com
Tooth Decay Stages, Complications, and Treatment Dental Caries Contagious cavities are contagious due to the presence of bacteria in plaque, like streptococcus mutans. by definition, dental caries is an infectious and transmissible disease because it is caused by bacteria colonizing the tooth. While you can’t “catch” a cavity, the bacteria that cause cavities can pass from one person to. the management of dental caries should be. Dental Caries Contagious.
From exohhqjeg.blob.core.windows.net
What Is Dental Caries Mouth at Calvin Davis blog Dental Caries Contagious the management of dental caries should be aimed at 1) detecting initial lesions, 2) determining caries activity, 3). learn how cavities are caused by bacteria, acid, and sugar, and how to prevent them with fluoride, sealants, and good oral hygiene. While you can’t “catch” a cavity, the bacteria that cause cavities can pass from one person to. . Dental Caries Contagious.
From pocketdentistry.com
12 Diagnosis and Management of Dental Caries Pocket Dentistry Dental Caries Contagious by definition, dental caries is an infectious and transmissible disease because it is caused by bacteria colonizing the tooth. the management of dental caries should be aimed at 1) detecting initial lesions, 2) determining caries activity, 3). learn how cavities are caused by bacteria, acid, and sugar, and how to prevent them with fluoride, sealants, and good. Dental Caries Contagious.
From www.bradfordfamilydentist.ca
Cavities & Tooth Decay Are Contagious! Bradford Family Dentistry Dental Caries Contagious cavities are contagious due to the presence of bacteria in plaque, like streptococcus mutans. the management of dental caries should be aimed at 1) detecting initial lesions, 2) determining caries activity, 3). by definition, dental caries is an infectious and transmissible disease because it is caused by bacteria colonizing the tooth. While you can’t “catch” a cavity,. Dental Caries Contagious.
From cenwzjxd.blob.core.windows.net
What Are Dental Caries And How They Can Be Prevented at Maria Drake blog Dental Caries Contagious learn about the symptoms, causes and prevention of cavities, a common dental problem that can lead to toothache,. the management of dental caries should be aimed at 1) detecting initial lesions, 2) determining caries activity, 3). learn how cavities are caused by bacteria, acid, and sugar, and how to prevent them with fluoride, sealants, and good oral. Dental Caries Contagious.
From drpraveens.com
Sequelae of Dental Caries Dr. Praveen's Dental Dental Caries Contagious learn about the symptoms, causes and prevention of cavities, a common dental problem that can lead to toothache,. learn how cavities are caused by bacteria, acid, and sugar, and how to prevent them with fluoride, sealants, and good oral hygiene. While you can’t “catch” a cavity, the bacteria that cause cavities can pass from one person to. . Dental Caries Contagious.
From www.sydneyparkdental.com.au
Are Cavities Contagious? Do They Spread Sydney Park Dental Dental Caries Contagious While you can’t “catch” a cavity, the bacteria that cause cavities can pass from one person to. cavities are contagious due to the presence of bacteria in plaque, like streptococcus mutans. the management of dental caries should be aimed at 1) detecting initial lesions, 2) determining caries activity, 3). by definition, dental caries is an infectious and. Dental Caries Contagious.
From www.jabfm.org
Recognition and Management of Common Acute Conditions of the Oral Dental Caries Contagious learn how cavities are caused by bacteria, acid, and sugar, and how to prevent them with fluoride, sealants, and good oral hygiene. learn about the symptoms, causes and prevention of cavities, a common dental problem that can lead to toothache,. by definition, dental caries is an infectious and transmissible disease because it is caused by bacteria colonizing. Dental Caries Contagious.
From www.monavaledental.com.au
Tooth decay in children cavities are contagious too (what to do) Dental Caries Contagious learn about the symptoms, causes and prevention of cavities, a common dental problem that can lead to toothache,. While you can’t “catch” a cavity, the bacteria that cause cavities can pass from one person to. the management of dental caries should be aimed at 1) detecting initial lesions, 2) determining caries activity, 3). by definition, dental caries. Dental Caries Contagious.
From www.slideserve.com
PPT Treatment of dental caries as an infectious disease PowerPoint Dental Caries Contagious by definition, dental caries is an infectious and transmissible disease because it is caused by bacteria colonizing the tooth. learn how cavities are caused by bacteria, acid, and sugar, and how to prevent them with fluoride, sealants, and good oral hygiene. cavities are contagious due to the presence of bacteria in plaque, like streptococcus mutans. While you. Dental Caries Contagious.
From slidetodoc.com
Definition Dental caries is an infectious microbiologic disease Dental Caries Contagious While you can’t “catch” a cavity, the bacteria that cause cavities can pass from one person to. the management of dental caries should be aimed at 1) detecting initial lesions, 2) determining caries activity, 3). by definition, dental caries is an infectious and transmissible disease because it is caused by bacteria colonizing the tooth. learn how cavities. Dental Caries Contagious.
From www.pinterest.com
Dental Facts Tooth decay is actually classified as an infectious Dental Caries Contagious learn how cavities are caused by bacteria, acid, and sugar, and how to prevent them with fluoride, sealants, and good oral hygiene. the management of dental caries should be aimed at 1) detecting initial lesions, 2) determining caries activity, 3). learn about the symptoms, causes and prevention of cavities, a common dental problem that can lead to. Dental Caries Contagious.
From ismiledentists.com
Can Cavities Spread from Person to Person? Understanding the Contagious Dental Caries Contagious learn about the symptoms, causes and prevention of cavities, a common dental problem that can lead to toothache,. the management of dental caries should be aimed at 1) detecting initial lesions, 2) determining caries activity, 3). While you can’t “catch” a cavity, the bacteria that cause cavities can pass from one person to. learn how cavities are. Dental Caries Contagious.
From atengarofalodental.com
Understanding Tooth Decay Stages and Treatments Aten & Garofalo Dentistry Dental Caries Contagious learn how cavities are caused by bacteria, acid, and sugar, and how to prevent them with fluoride, sealants, and good oral hygiene. learn about the symptoms, causes and prevention of cavities, a common dental problem that can lead to toothache,. by definition, dental caries is an infectious and transmissible disease because it is caused by bacteria colonizing. Dental Caries Contagious.
From teethfirst.org
Dental Caries Breaking the Cycle TeethFirst Dental Caries Contagious by definition, dental caries is an infectious and transmissible disease because it is caused by bacteria colonizing the tooth. While you can’t “catch” a cavity, the bacteria that cause cavities can pass from one person to. learn about the symptoms, causes and prevention of cavities, a common dental problem that can lead to toothache,. learn how cavities. Dental Caries Contagious.
From www.alamy.com
Tooth bacterial infection and teeth decay disease as an unhealthy molar Dental Caries Contagious the management of dental caries should be aimed at 1) detecting initial lesions, 2) determining caries activity, 3). learn how cavities are caused by bacteria, acid, and sugar, and how to prevent them with fluoride, sealants, and good oral hygiene. cavities are contagious due to the presence of bacteria in plaque, like streptococcus mutans. While you can’t. Dental Caries Contagious.
From www.bradfordfamilydentist.ca
Cavities & Tooth Decay Are Contagious! Bradford Family Dentistry Dental Caries Contagious learn about the symptoms, causes and prevention of cavities, a common dental problem that can lead to toothache,. by definition, dental caries is an infectious and transmissible disease because it is caused by bacteria colonizing the tooth. the management of dental caries should be aimed at 1) detecting initial lesions, 2) determining caries activity, 3). cavities. Dental Caries Contagious.
From dentagama.com
The 5 Stages of Tooth Decay News Dentagama Dental Caries Contagious learn about the symptoms, causes and prevention of cavities, a common dental problem that can lead to toothache,. cavities are contagious due to the presence of bacteria in plaque, like streptococcus mutans. the management of dental caries should be aimed at 1) detecting initial lesions, 2) determining caries activity, 3). by definition, dental caries is an. Dental Caries Contagious.
From www.boisestatepublicradio.org
ENCORE Dental Cavities Are Contagious Boise State Public Radio Dental Caries Contagious cavities are contagious due to the presence of bacteria in plaque, like streptococcus mutans. While you can’t “catch” a cavity, the bacteria that cause cavities can pass from one person to. by definition, dental caries is an infectious and transmissible disease because it is caused by bacteria colonizing the tooth. the management of dental caries should be. Dental Caries Contagious.
From www.theyumadentist.com
The 4 Stages of Gum Disease General Dentistry The Yuma Dentist Dental Caries Contagious learn how cavities are caused by bacteria, acid, and sugar, and how to prevent them with fluoride, sealants, and good oral hygiene. by definition, dental caries is an infectious and transmissible disease because it is caused by bacteria colonizing the tooth. While you can’t “catch” a cavity, the bacteria that cause cavities can pass from one person to.. Dental Caries Contagious.
From www.vibranthealthaccess.com
Teeth Hole How to Recognize and Prevent Tooth Decay Vibrant Health Dental Caries Contagious While you can’t “catch” a cavity, the bacteria that cause cavities can pass from one person to. learn how cavities are caused by bacteria, acid, and sugar, and how to prevent them with fluoride, sealants, and good oral hygiene. the management of dental caries should be aimed at 1) detecting initial lesions, 2) determining caries activity, 3). . Dental Caries Contagious.
From www.freepik.com
Premium Vector The stages of tooth decay infographic. Illustration of Dental Caries Contagious by definition, dental caries is an infectious and transmissible disease because it is caused by bacteria colonizing the tooth. cavities are contagious due to the presence of bacteria in plaque, like streptococcus mutans. the management of dental caries should be aimed at 1) detecting initial lesions, 2) determining caries activity, 3). learn about the symptoms, causes. Dental Caries Contagious.
From www.alamy.com
Dental caries decay hires stock photography and images Alamy Dental Caries Contagious learn about the symptoms, causes and prevention of cavities, a common dental problem that can lead to toothache,. cavities are contagious due to the presence of bacteria in plaque, like streptococcus mutans. learn how cavities are caused by bacteria, acid, and sugar, and how to prevent them with fluoride, sealants, and good oral hygiene. by definition,. Dental Caries Contagious.
From www.academia.edu
(PDF) Is dental caries contagious Thomas Madiba Academia.edu Dental Caries Contagious learn how cavities are caused by bacteria, acid, and sugar, and how to prevent them with fluoride, sealants, and good oral hygiene. learn about the symptoms, causes and prevention of cavities, a common dental problem that can lead to toothache,. by definition, dental caries is an infectious and transmissible disease because it is caused by bacteria colonizing. Dental Caries Contagious.
From www.slideserve.com
PPT Treatment of dental caries as an infectious disease PowerPoint Dental Caries Contagious the management of dental caries should be aimed at 1) detecting initial lesions, 2) determining caries activity, 3). cavities are contagious due to the presence of bacteria in plaque, like streptococcus mutans. While you can’t “catch” a cavity, the bacteria that cause cavities can pass from one person to. by definition, dental caries is an infectious and. Dental Caries Contagious.