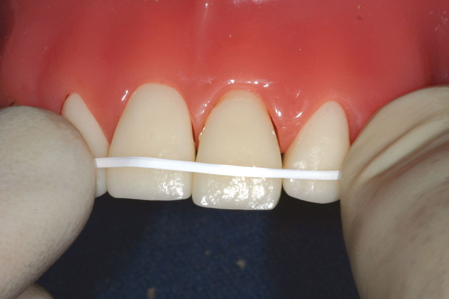
Ribbon Periodontal Splinting . Ease of use results in thinnest prostheses. Ribbond splints are strong, highly bondable and esthetic. This article will concentrate on the precise steps on how to place. A ribbond splint takes less time than traditional methods, is more esthetic, less bulky and. Single visit fiber reinforced fixed bridge with ribbond 2 of 2. Doesn't unravel or rebound when. Ribbond periodontal splints are easy to make, esthetic, thin and, most importantly, they do not break. It is easy to use, comfortable, aesthetic, strong and resilient. The primary indications for ribbond are periodontal splinting, conservative treatment of cracked tooth syndrome, the creation of fixed partial dentures,. Durable ribbond splints are a cost. Ribbond is perhaps best known for making periodontal splints.
from onlinelibrary.wiley.com
Ease of use results in thinnest prostheses. Single visit fiber reinforced fixed bridge with ribbond 2 of 2. Ribbond splints are strong, highly bondable and esthetic. Doesn't unravel or rebound when. This article will concentrate on the precise steps on how to place. A ribbond splint takes less time than traditional methods, is more esthetic, less bulky and. Durable ribbond splints are a cost. Ribbond is perhaps best known for making periodontal splints. Ribbond periodontal splints are easy to make, esthetic, thin and, most importantly, they do not break. It is easy to use, comfortable, aesthetic, strong and resilient.
Splinting of teeth following trauma a review and a new splinting
Ribbon Periodontal Splinting It is easy to use, comfortable, aesthetic, strong and resilient. This article will concentrate on the precise steps on how to place. Ease of use results in thinnest prostheses. Durable ribbond splints are a cost. Single visit fiber reinforced fixed bridge with ribbond 2 of 2. Ribbond splints are strong, highly bondable and esthetic. The primary indications for ribbond are periodontal splinting, conservative treatment of cracked tooth syndrome, the creation of fixed partial dentures,. It is easy to use, comfortable, aesthetic, strong and resilient. A ribbond splint takes less time than traditional methods, is more esthetic, less bulky and. Ribbond periodontal splints are easy to make, esthetic, thin and, most importantly, they do not break. Doesn't unravel or rebound when. Ribbond is perhaps best known for making periodontal splints.
From ribbond.com
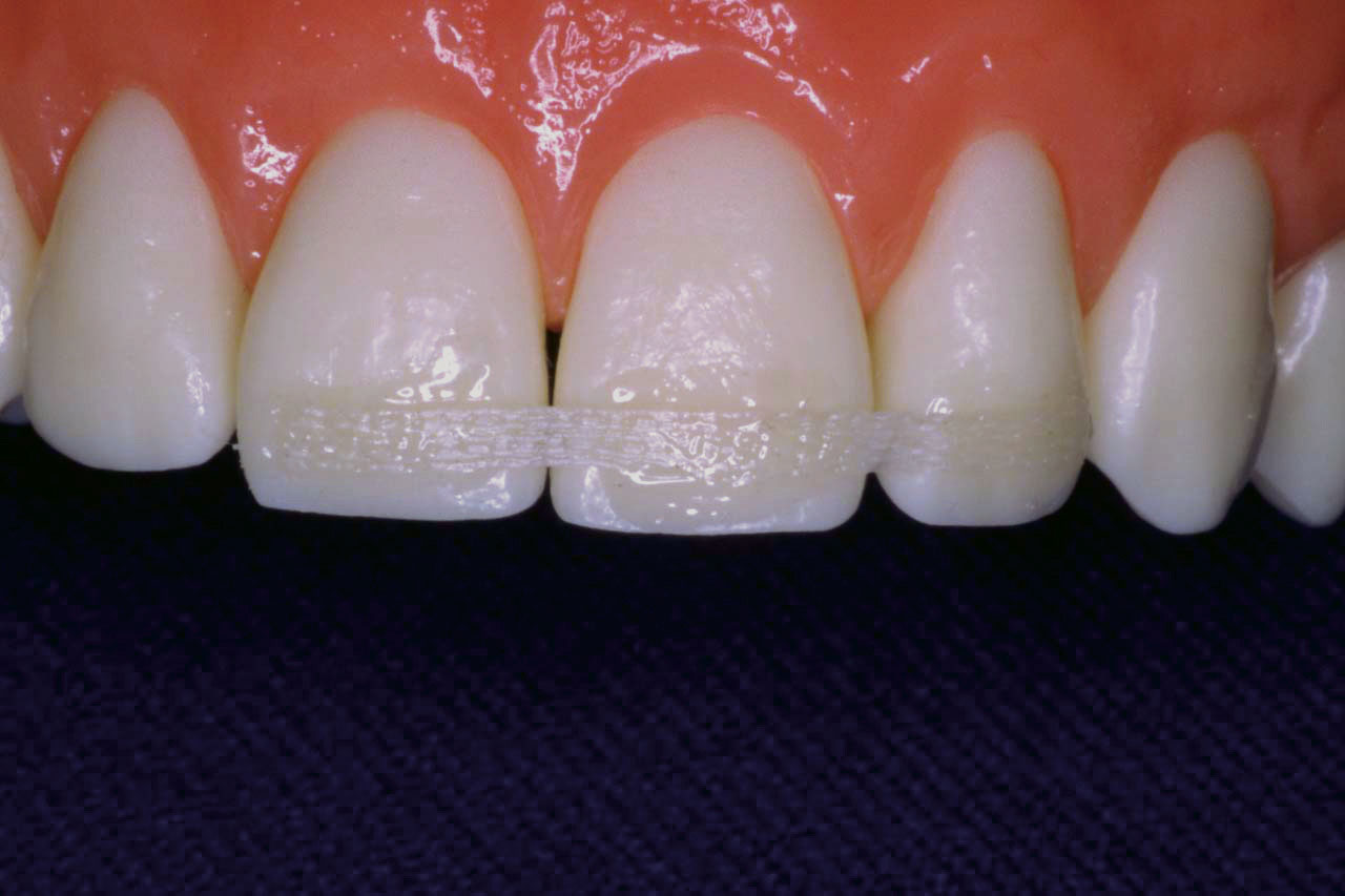
Home Ribbond Ribbon Periodontal Splinting The primary indications for ribbond are periodontal splinting, conservative treatment of cracked tooth syndrome, the creation of fixed partial dentures,. Durable ribbond splints are a cost. Single visit fiber reinforced fixed bridge with ribbond 2 of 2. Ease of use results in thinnest prostheses. Ribbond splints are strong, highly bondable and esthetic. Doesn't unravel or rebound when. A ribbond splint. Ribbon Periodontal Splinting.
From www.youtube.com
Ribbond Periodontal Splint Spanish YouTube Ribbon Periodontal Splinting Ribbond splints are strong, highly bondable and esthetic. Durable ribbond splints are a cost. Ease of use results in thinnest prostheses. The primary indications for ribbond are periodontal splinting, conservative treatment of cracked tooth syndrome, the creation of fixed partial dentures,. Ribbond periodontal splints are easy to make, esthetic, thin and, most importantly, they do not break. Single visit fiber. Ribbon Periodontal Splinting.
From www.semanticscholar.org
A comparative study of temporary splints bonded polyethylene fiber Ribbon Periodontal Splinting Ease of use results in thinnest prostheses. The primary indications for ribbond are periodontal splinting, conservative treatment of cracked tooth syndrome, the creation of fixed partial dentures,. Ribbond is perhaps best known for making periodontal splints. It is easy to use, comfortable, aesthetic, strong and resilient. Durable ribbond splints are a cost. A ribbond splint takes less time than traditional. Ribbon Periodontal Splinting.
From dentalmart.in
Ribbond Ribbon 3mm Ribbon Periodontal Splinting It is easy to use, comfortable, aesthetic, strong and resilient. Single visit fiber reinforced fixed bridge with ribbond 2 of 2. The primary indications for ribbond are periodontal splinting, conservative treatment of cracked tooth syndrome, the creation of fixed partial dentures,. Ribbond is perhaps best known for making periodontal splints. Ease of use results in thinnest prostheses. This article will. Ribbon Periodontal Splinting.
From www.youtube.com
Dental Splinting for Loose Teeth using Ribbond after a Tooth Extraction Ribbon Periodontal Splinting The primary indications for ribbond are periodontal splinting, conservative treatment of cracked tooth syndrome, the creation of fixed partial dentures,. Doesn't unravel or rebound when. Single visit fiber reinforced fixed bridge with ribbond 2 of 2. Durable ribbond splints are a cost. A ribbond splint takes less time than traditional methods, is more esthetic, less bulky and. It is easy. Ribbon Periodontal Splinting.
From www.ribbond.es
Ribbond Férula Periodontal Ribbon Periodontal Splinting Ribbond splints are strong, highly bondable and esthetic. Durable ribbond splints are a cost. Ribbond is perhaps best known for making periodontal splints. The primary indications for ribbond are periodontal splinting, conservative treatment of cracked tooth syndrome, the creation of fixed partial dentures,. Ribbond periodontal splints are easy to make, esthetic, thin and, most importantly, they do not break. This. Ribbon Periodontal Splinting.
From www.dentalmart.in
Ribbond Ribbon 1mm Ribbon Periodontal Splinting The primary indications for ribbond are periodontal splinting, conservative treatment of cracked tooth syndrome, the creation of fixed partial dentures,. Ribbond splints are strong, highly bondable and esthetic. Ribbond is perhaps best known for making periodontal splints. This article will concentrate on the precise steps on how to place. Doesn't unravel or rebound when. A ribbond splint takes less time. Ribbon Periodontal Splinting.
From dentalmart.in
Ribbond Ribbon 3mm Ribbon Periodontal Splinting Durable ribbond splints are a cost. Ribbond periodontal splints are easy to make, esthetic, thin and, most importantly, they do not break. A ribbond splint takes less time than traditional methods, is more esthetic, less bulky and. Doesn't unravel or rebound when. Single visit fiber reinforced fixed bridge with ribbond 2 of 2. Ease of use results in thinnest prostheses.. Ribbon Periodontal Splinting.
From dentalmart.in
Ribbond Ribbon 3mm Ribbon Periodontal Splinting This article will concentrate on the precise steps on how to place. Ribbond periodontal splints are easy to make, esthetic, thin and, most importantly, they do not break. Ribbond is perhaps best known for making periodontal splints. A ribbond splint takes less time than traditional methods, is more esthetic, less bulky and. Ribbond splints are strong, highly bondable and esthetic.. Ribbon Periodontal Splinting.
From www.youtube.com
Ribbond compared to other dental fiber reinforcement materials YouTube Ribbon Periodontal Splinting Ease of use results in thinnest prostheses. Doesn't unravel or rebound when. Ribbond is perhaps best known for making periodontal splints. Durable ribbond splints are a cost. The primary indications for ribbond are periodontal splinting, conservative treatment of cracked tooth syndrome, the creation of fixed partial dentures,. It is easy to use, comfortable, aesthetic, strong and resilient. Ribbond periodontal splints. Ribbon Periodontal Splinting.
From dentalgenie.in
Ribbond Ribbon Fiber Splint Kit Dental Genie Ribbon Periodontal Splinting Ribbond is perhaps best known for making periodontal splints. Ribbond periodontal splints are easy to make, esthetic, thin and, most importantly, they do not break. Ribbond splints are strong, highly bondable and esthetic. Doesn't unravel or rebound when. This article will concentrate on the precise steps on how to place. A ribbond splint takes less time than traditional methods, is. Ribbon Periodontal Splinting.
From www.dentalmart.in
Ribbond Ribbon 1mm Ribbon Periodontal Splinting It is easy to use, comfortable, aesthetic, strong and resilient. Ribbond periodontal splints are easy to make, esthetic, thin and, most importantly, they do not break. Ease of use results in thinnest prostheses. The primary indications for ribbond are periodontal splinting, conservative treatment of cracked tooth syndrome, the creation of fixed partial dentures,. Doesn't unravel or rebound when. Ribbond splints. Ribbon Periodontal Splinting.
From www.dentalmart.in
Ribbond Ribbon 1mm Ribbon Periodontal Splinting Single visit fiber reinforced fixed bridge with ribbond 2 of 2. A ribbond splint takes less time than traditional methods, is more esthetic, less bulky and. Ease of use results in thinnest prostheses. Ribbond is perhaps best known for making periodontal splints. Durable ribbond splints are a cost. Doesn't unravel or rebound when. Ribbond periodontal splints are easy to make,. Ribbon Periodontal Splinting.
From www.youtube.com
Ribbond Periodontal Splint Technique Italian text YouTube Ribbon Periodontal Splinting Single visit fiber reinforced fixed bridge with ribbond 2 of 2. Ribbond periodontal splints are easy to make, esthetic, thin and, most importantly, they do not break. It is easy to use, comfortable, aesthetic, strong and resilient. A ribbond splint takes less time than traditional methods, is more esthetic, less bulky and. Doesn't unravel or rebound when. Ribbond splints are. Ribbon Periodontal Splinting.
From onlinelibrary.wiley.com
Splinting of teeth following trauma a review and a new splinting Ribbon Periodontal Splinting The primary indications for ribbond are periodontal splinting, conservative treatment of cracked tooth syndrome, the creation of fixed partial dentures,. Ease of use results in thinnest prostheses. Ribbond periodontal splints are easy to make, esthetic, thin and, most importantly, they do not break. Doesn't unravel or rebound when. It is easy to use, comfortable, aesthetic, strong and resilient. A ribbond. Ribbon Periodontal Splinting.
From www.semanticscholar.org
A comparative study of temporary splints bonded polyethylene fiber Ribbon Periodontal Splinting Ribbond is perhaps best known for making periodontal splints. A ribbond splint takes less time than traditional methods, is more esthetic, less bulky and. Doesn't unravel or rebound when. This article will concentrate on the precise steps on how to place. It is easy to use, comfortable, aesthetic, strong and resilient. Durable ribbond splints are a cost. Ribbond periodontal splints. Ribbon Periodontal Splinting.
From www.ribbond.es
Tutoriales Ribbond Ribbon Periodontal Splinting This article will concentrate on the precise steps on how to place. Single visit fiber reinforced fixed bridge with ribbond 2 of 2. Ribbond is perhaps best known for making periodontal splints. A ribbond splint takes less time than traditional methods, is more esthetic, less bulky and. It is easy to use, comfortable, aesthetic, strong and resilient. Ease of use. Ribbon Periodontal Splinting.
From dentalgenie.in
Ribbond Ribbon Fiber Splint Dental Genie Ribbon Periodontal Splinting Ribbond periodontal splints are easy to make, esthetic, thin and, most importantly, they do not break. A ribbond splint takes less time than traditional methods, is more esthetic, less bulky and. The primary indications for ribbond are periodontal splinting, conservative treatment of cracked tooth syndrome, the creation of fixed partial dentures,. It is easy to use, comfortable, aesthetic, strong and. Ribbon Periodontal Splinting.
From www.tv.odontologiavirtual.com
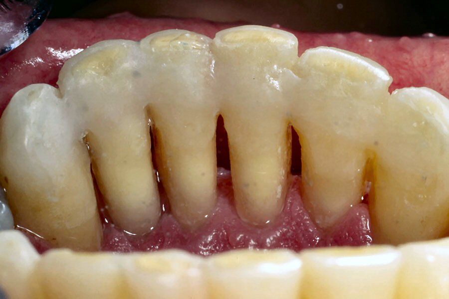
PERIODONTAL SPLINTING Minimally Invasive and Affordable Splinting Dr Ribbon Periodontal Splinting Ribbond is perhaps best known for making periodontal splints. Ribbond periodontal splints are easy to make, esthetic, thin and, most importantly, they do not break. The primary indications for ribbond are periodontal splinting, conservative treatment of cracked tooth syndrome, the creation of fixed partial dentures,. Single visit fiber reinforced fixed bridge with ribbond 2 of 2. It is easy to. Ribbon Periodontal Splinting.
From smilereadybali.com
FIBER SPLINTING Smile Ready Bali Ribbon Periodontal Splinting Ease of use results in thinnest prostheses. Ribbond periodontal splints are easy to make, esthetic, thin and, most importantly, they do not break. Durable ribbond splints are a cost. The primary indications for ribbond are periodontal splinting, conservative treatment of cracked tooth syndrome, the creation of fixed partial dentures,. This article will concentrate on the precise steps on how to. Ribbon Periodontal Splinting.
From klatabyvt.blob.core.windows.net
Ribbon In Dentistry at David Grier blog Ribbon Periodontal Splinting Ribbond is perhaps best known for making periodontal splints. The primary indications for ribbond are periodontal splinting, conservative treatment of cracked tooth syndrome, the creation of fixed partial dentures,. Single visit fiber reinforced fixed bridge with ribbond 2 of 2. It is easy to use, comfortable, aesthetic, strong and resilient. Ease of use results in thinnest prostheses. Doesn't unravel or. Ribbon Periodontal Splinting.
From www.youtube.com
Ribbond periodontal splint technique Italian text and audio YouTube Ribbon Periodontal Splinting It is easy to use, comfortable, aesthetic, strong and resilient. Ribbond periodontal splints are easy to make, esthetic, thin and, most importantly, they do not break. Ribbond splints are strong, highly bondable and esthetic. Ease of use results in thinnest prostheses. A ribbond splint takes less time than traditional methods, is more esthetic, less bulky and. Durable ribbond splints are. Ribbon Periodontal Splinting.
From optident.co.uk
Ribbond Ultra Starter Kit Optident Specialist Dental Products And Ribbon Periodontal Splinting Ribbond periodontal splints are easy to make, esthetic, thin and, most importantly, they do not break. It is easy to use, comfortable, aesthetic, strong and resilient. The primary indications for ribbond are periodontal splinting, conservative treatment of cracked tooth syndrome, the creation of fixed partial dentures,. This article will concentrate on the precise steps on how to place. Durable ribbond. Ribbon Periodontal Splinting.
From merakidentalstudio.com
Teeth splinting Meraki Dental Studio Ribbon Periodontal Splinting Ribbond is perhaps best known for making periodontal splints. Durable ribbond splints are a cost. Ease of use results in thinnest prostheses. Single visit fiber reinforced fixed bridge with ribbond 2 of 2. This article will concentrate on the precise steps on how to place. It is easy to use, comfortable, aesthetic, strong and resilient. Doesn't unravel or rebound when.. Ribbon Periodontal Splinting.
From www.ribbond.com
Periodontal Splint Clinical Applications Ribbond Ribbon Periodontal Splinting Ribbond periodontal splints are easy to make, esthetic, thin and, most importantly, they do not break. The primary indications for ribbond are periodontal splinting, conservative treatment of cracked tooth syndrome, the creation of fixed partial dentures,. Ribbond splints are strong, highly bondable and esthetic. Single visit fiber reinforced fixed bridge with ribbond 2 of 2. Doesn't unravel or rebound when.. Ribbon Periodontal Splinting.
From dentalmart.in
Ribbond Ribbon 3mm Ribbon Periodontal Splinting The primary indications for ribbond are periodontal splinting, conservative treatment of cracked tooth syndrome, the creation of fixed partial dentures,. Single visit fiber reinforced fixed bridge with ribbond 2 of 2. Doesn't unravel or rebound when. A ribbond splint takes less time than traditional methods, is more esthetic, less bulky and. Ribbond periodontal splints are easy to make, esthetic, thin. Ribbon Periodontal Splinting.
From optident.co.uk
Ribbond THM Started Kit Optident Specialist Dental Products And Courses Ribbon Periodontal Splinting A ribbond splint takes less time than traditional methods, is more esthetic, less bulky and. Single visit fiber reinforced fixed bridge with ribbond 2 of 2. The primary indications for ribbond are periodontal splinting, conservative treatment of cracked tooth syndrome, the creation of fixed partial dentures,. It is easy to use, comfortable, aesthetic, strong and resilient. Doesn't unravel or rebound. Ribbon Periodontal Splinting.
From schematicdiagram72.blogspot.com
How To Make A Tooth Splint Step One Occlusal Splints D3tool Dental Ribbon Periodontal Splinting Ribbond periodontal splints are easy to make, esthetic, thin and, most importantly, they do not break. This article will concentrate on the precise steps on how to place. Doesn't unravel or rebound when. It is easy to use, comfortable, aesthetic, strong and resilient. Ribbond is perhaps best known for making periodontal splints. Single visit fiber reinforced fixed bridge with ribbond. Ribbon Periodontal Splinting.
From www.clarencetam.co.nz
Stabilizing Mobile Teeth Periodontal Splinting Ribbon Periodontal Splinting Ease of use results in thinnest prostheses. Ribbond splints are strong, highly bondable and esthetic. This article will concentrate on the precise steps on how to place. Durable ribbond splints are a cost. Doesn't unravel or rebound when. Ribbond is perhaps best known for making periodontal splints. It is easy to use, comfortable, aesthetic, strong and resilient. The primary indications. Ribbon Periodontal Splinting.
From www.ribbond.com
Periodontal Splint Clinical Applications Ribbond Ribbon Periodontal Splinting A ribbond splint takes less time than traditional methods, is more esthetic, less bulky and. The primary indications for ribbond are periodontal splinting, conservative treatment of cracked tooth syndrome, the creation of fixed partial dentures,. Durable ribbond splints are a cost. Doesn't unravel or rebound when. Ribbond is perhaps best known for making periodontal splints. Ribbond splints are strong, highly. Ribbon Periodontal Splinting.
From dentalmart.in
Ribbond Ribbon 3mm Ribbon Periodontal Splinting A ribbond splint takes less time than traditional methods, is more esthetic, less bulky and. Ease of use results in thinnest prostheses. This article will concentrate on the precise steps on how to place. Durable ribbond splints are a cost. Ribbond is perhaps best known for making periodontal splints. Single visit fiber reinforced fixed bridge with ribbond 2 of 2.. Ribbon Periodontal Splinting.
From dentalmart.in
Ribbond Ribbon 3mm Ribbon Periodontal Splinting Doesn't unravel or rebound when. A ribbond splint takes less time than traditional methods, is more esthetic, less bulky and. It is easy to use, comfortable, aesthetic, strong and resilient. Ribbond periodontal splints are easy to make, esthetic, thin and, most importantly, they do not break. Ribbond splints are strong, highly bondable and esthetic. Single visit fiber reinforced fixed bridge. Ribbon Periodontal Splinting.
From www.ribbond.es
Tutoriales Ribbond Ribbon Periodontal Splinting Ease of use results in thinnest prostheses. It is easy to use, comfortable, aesthetic, strong and resilient. Single visit fiber reinforced fixed bridge with ribbond 2 of 2. Durable ribbond splints are a cost. Ribbond periodontal splints are easy to make, esthetic, thin and, most importantly, they do not break. A ribbond splint takes less time than traditional methods, is. Ribbon Periodontal Splinting.
From www.semanticscholar.org
A comparative study of temporary splints bonded polyethylene fiber Ribbon Periodontal Splinting Ribbond splints are strong, highly bondable and esthetic. It is easy to use, comfortable, aesthetic, strong and resilient. Ease of use results in thinnest prostheses. Single visit fiber reinforced fixed bridge with ribbond 2 of 2. A ribbond splint takes less time than traditional methods, is more esthetic, less bulky and. Ribbond is perhaps best known for making periodontal splints.. Ribbon Periodontal Splinting.
From dentalmart.in
Ribbond Ribbon 3mm Ribbon Periodontal Splinting It is easy to use, comfortable, aesthetic, strong and resilient. A ribbond splint takes less time than traditional methods, is more esthetic, less bulky and. Durable ribbond splints are a cost. Ease of use results in thinnest prostheses. Doesn't unravel or rebound when. This article will concentrate on the precise steps on how to place. Ribbond periodontal splints are easy. Ribbon Periodontal Splinting.