Neuroscience Model Organisms . The increasing diversity of model species currently employed in neuroscience broadens the scope of topics that can be conveniently and effectively explored. the genetic model organisms discussed in depth in the text—mus musculus (house. mit neuroscientists use a host of model organisms to study synaptic, neuronal and brain function, as well as to model. — by providing critical insights into these processes, decades of research using model organisms has been central. — the model organism screening center (mosc) of the udn is a unique resource dedicated to utilizing informatics. — in this review we will highlight the past and present techniques which have made, and continue to make, zebrafish an attractive model. — this issue combines insights from traditional models such as drosophila melanogaster and apis mellifera and. — model organisms, both common and unconventional, have been instrumental in uncovering basic principles of neural function.
from www.researchgate.net
— in this review we will highlight the past and present techniques which have made, and continue to make, zebrafish an attractive model. — model organisms, both common and unconventional, have been instrumental in uncovering basic principles of neural function. The increasing diversity of model species currently employed in neuroscience broadens the scope of topics that can be conveniently and effectively explored. the genetic model organisms discussed in depth in the text—mus musculus (house. — this issue combines insights from traditional models such as drosophila melanogaster and apis mellifera and. — the model organism screening center (mosc) of the udn is a unique resource dedicated to utilizing informatics. — by providing critical insights into these processes, decades of research using model organisms has been central. mit neuroscientists use a host of model organisms to study synaptic, neuronal and brain function, as well as to model.
Comparison of brain sizes of common vertebrate neuroscience models. (A
Neuroscience Model Organisms The increasing diversity of model species currently employed in neuroscience broadens the scope of topics that can be conveniently and effectively explored. mit neuroscientists use a host of model organisms to study synaptic, neuronal and brain function, as well as to model. — this issue combines insights from traditional models such as drosophila melanogaster and apis mellifera and. — in this review we will highlight the past and present techniques which have made, and continue to make, zebrafish an attractive model. The increasing diversity of model species currently employed in neuroscience broadens the scope of topics that can be conveniently and effectively explored. the genetic model organisms discussed in depth in the text—mus musculus (house. — model organisms, both common and unconventional, have been instrumental in uncovering basic principles of neural function. — by providing critical insights into these processes, decades of research using model organisms has been central. — the model organism screening center (mosc) of the udn is a unique resource dedicated to utilizing informatics.
From www.cell.com
The quest for multiscale brain modeling Trends in Neurosciences Neuroscience Model Organisms — by providing critical insights into these processes, decades of research using model organisms has been central. The increasing diversity of model species currently employed in neuroscience broadens the scope of topics that can be conveniently and effectively explored. — the model organism screening center (mosc) of the udn is a unique resource dedicated to utilizing informatics. . Neuroscience Model Organisms.
From vectormine.com
Cognitive neuroscience and thought consciousness processes, outline Neuroscience Model Organisms the genetic model organisms discussed in depth in the text—mus musculus (house. — in this review we will highlight the past and present techniques which have made, and continue to make, zebrafish an attractive model. — model organisms, both common and unconventional, have been instrumental in uncovering basic principles of neural function. — the model organism. Neuroscience Model Organisms.
From www.cell.com
A developmental ontology for the mammalian brain based on the Neuroscience Model Organisms the genetic model organisms discussed in depth in the text—mus musculus (house. mit neuroscientists use a host of model organisms to study synaptic, neuronal and brain function, as well as to model. — by providing critical insights into these processes, decades of research using model organisms has been central. — in this review we will highlight. Neuroscience Model Organisms.
From www.researchgate.net
Some special neurobiological features of conscious systems, shown by Neuroscience Model Organisms The increasing diversity of model species currently employed in neuroscience broadens the scope of topics that can be conveniently and effectively explored. — model organisms, both common and unconventional, have been instrumental in uncovering basic principles of neural function. — in this review we will highlight the past and present techniques which have made, and continue to make,. Neuroscience Model Organisms.
From www.mcw.edu
Cell Biology, Neurobiology and Anatomy (CBNA) Medical College of Neuroscience Model Organisms — by providing critical insights into these processes, decades of research using model organisms has been central. the genetic model organisms discussed in depth in the text—mus musculus (house. — this issue combines insights from traditional models such as drosophila melanogaster and apis mellifera and. The increasing diversity of model species currently employed in neuroscience broadens the. Neuroscience Model Organisms.
From www.youtube.com
Translation of Experimental to Clinical Neuroscience Animal Models Neuroscience Model Organisms — model organisms, both common and unconventional, have been instrumental in uncovering basic principles of neural function. — the model organism screening center (mosc) of the udn is a unique resource dedicated to utilizing informatics. — this issue combines insights from traditional models such as drosophila melanogaster and apis mellifera and. the genetic model organisms discussed. Neuroscience Model Organisms.
From neuroscience.stanford.edu
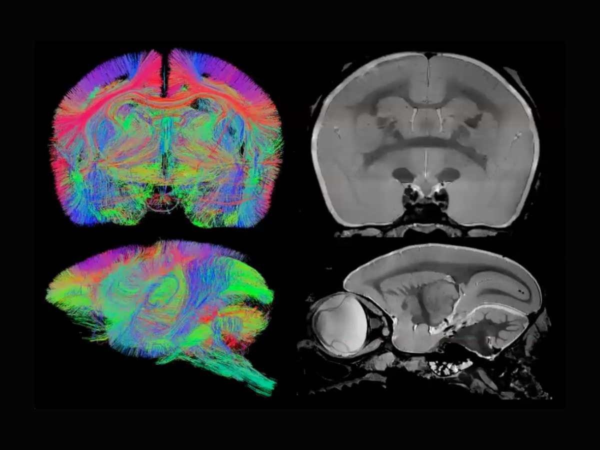
Exploring MRI's role in neuroscience research on model organisms Wu Neuroscience Model Organisms the genetic model organisms discussed in depth in the text—mus musculus (house. — in this review we will highlight the past and present techniques which have made, and continue to make, zebrafish an attractive model. — the model organism screening center (mosc) of the udn is a unique resource dedicated to utilizing informatics. — model organisms,. Neuroscience Model Organisms.
From neuroscience.stanford.edu
Exploring MRI's role in neuroscience research on model organisms Wu Neuroscience Model Organisms — by providing critical insights into these processes, decades of research using model organisms has been central. — model organisms, both common and unconventional, have been instrumental in uncovering basic principles of neural function. mit neuroscientists use a host of model organisms to study synaptic, neuronal and brain function, as well as to model. the genetic. Neuroscience Model Organisms.
From neuroscience.stanford.edu
Exploring MRI's role in neuroscience research on model organisms Wu Neuroscience Model Organisms — by providing critical insights into these processes, decades of research using model organisms has been central. the genetic model organisms discussed in depth in the text—mus musculus (house. — this issue combines insights from traditional models such as drosophila melanogaster and apis mellifera and. — the model organism screening center (mosc) of the udn is. Neuroscience Model Organisms.
From neuroscience.stanford.edu
Exploring MRI's role in neuroscience research on model organisms Wu Neuroscience Model Organisms — model organisms, both common and unconventional, have been instrumental in uncovering basic principles of neural function. — by providing critical insights into these processes, decades of research using model organisms has been central. The increasing diversity of model species currently employed in neuroscience broadens the scope of topics that can be conveniently and effectively explored. the. Neuroscience Model Organisms.
From www.fbs.osaka-u.ac.jp
Perceptual and Cognitive Neuroscience Laboratory Graduate School of Neuroscience Model Organisms mit neuroscientists use a host of model organisms to study synaptic, neuronal and brain function, as well as to model. the genetic model organisms discussed in depth in the text—mus musculus (house. — in this review we will highlight the past and present techniques which have made, and continue to make, zebrafish an attractive model. The increasing. Neuroscience Model Organisms.
From www.researchgate.net
(PDF) Methods and model organisms editor´s pick 2021 Frontiers in Neuroscience Model Organisms — model organisms, both common and unconventional, have been instrumental in uncovering basic principles of neural function. mit neuroscientists use a host of model organisms to study synaptic, neuronal and brain function, as well as to model. — the model organism screening center (mosc) of the udn is a unique resource dedicated to utilizing informatics. —. Neuroscience Model Organisms.
From www.frontiersin.org
Frontiers A Brief History of Simulation Neuroscience Neuroscience Model Organisms The increasing diversity of model species currently employed in neuroscience broadens the scope of topics that can be conveniently and effectively explored. mit neuroscientists use a host of model organisms to study synaptic, neuronal and brain function, as well as to model. — by providing critical insights into these processes, decades of research using model organisms has been. Neuroscience Model Organisms.
From www.science.org
Toward collective animal neuroscience Science Neuroscience Model Organisms — this issue combines insights from traditional models such as drosophila melanogaster and apis mellifera and. the genetic model organisms discussed in depth in the text—mus musculus (house. The increasing diversity of model species currently employed in neuroscience broadens the scope of topics that can be conveniently and effectively explored. — by providing critical insights into these. Neuroscience Model Organisms.
From blog.eyewire.org
neurons mapped in eyewire, 3d neurons, colorful brain, brain Neuroscience Model Organisms the genetic model organisms discussed in depth in the text—mus musculus (house. mit neuroscientists use a host of model organisms to study synaptic, neuronal and brain function, as well as to model. The increasing diversity of model species currently employed in neuroscience broadens the scope of topics that can be conveniently and effectively explored. — by providing. Neuroscience Model Organisms.
From www.science.org
The emperor’s new wardrobe Rebalancing diversity of animal models in Neuroscience Model Organisms — by providing critical insights into these processes, decades of research using model organisms has been central. — this issue combines insights from traditional models such as drosophila melanogaster and apis mellifera and. The increasing diversity of model species currently employed in neuroscience broadens the scope of topics that can be conveniently and effectively explored. mit neuroscientists. Neuroscience Model Organisms.
From alana.mit.edu
Human Models for Neuroscience MIT Alana Down Syndrome Center Neuroscience Model Organisms — in this review we will highlight the past and present techniques which have made, and continue to make, zebrafish an attractive model. — by providing critical insights into these processes, decades of research using model organisms has been central. — the model organism screening center (mosc) of the udn is a unique resource dedicated to utilizing. Neuroscience Model Organisms.
From www.slideserve.com
PPT Cellular and Molecular Neurosciences PowerPoint Presentation Neuroscience Model Organisms The increasing diversity of model species currently employed in neuroscience broadens the scope of topics that can be conveniently and effectively explored. mit neuroscientists use a host of model organisms to study synaptic, neuronal and brain function, as well as to model. — by providing critical insights into these processes, decades of research using model organisms has been. Neuroscience Model Organisms.
From neuroscience.stanford.edu
Exploring MRI's role in neuroscience research on model organisms Wu Neuroscience Model Organisms — this issue combines insights from traditional models such as drosophila melanogaster and apis mellifera and. — model organisms, both common and unconventional, have been instrumental in uncovering basic principles of neural function. — the model organism screening center (mosc) of the udn is a unique resource dedicated to utilizing informatics. mit neuroscientists use a host. Neuroscience Model Organisms.
From terapiayrehabilitacionfisica.com
First Complete Cellular Map of a Mammalian Brain Reveals Over 5,300 Neuroscience Model Organisms the genetic model organisms discussed in depth in the text—mus musculus (house. The increasing diversity of model species currently employed in neuroscience broadens the scope of topics that can be conveniently and effectively explored. — by providing critical insights into these processes, decades of research using model organisms has been central. — model organisms, both common and. Neuroscience Model Organisms.
From neurosciencenews.com
New Model May Help Researchers the Brain's FortressLike Neuroscience Model Organisms — the model organism screening center (mosc) of the udn is a unique resource dedicated to utilizing informatics. — this issue combines insights from traditional models such as drosophila melanogaster and apis mellifera and. The increasing diversity of model species currently employed in neuroscience broadens the scope of topics that can be conveniently and effectively explored. the. Neuroscience Model Organisms.
From www.researchgate.net
(PDF) Aquatic Model Organisms in Neurosciences The GenomeEditing Neuroscience Model Organisms mit neuroscientists use a host of model organisms to study synaptic, neuronal and brain function, as well as to model. — the model organism screening center (mosc) of the udn is a unique resource dedicated to utilizing informatics. — model organisms, both common and unconventional, have been instrumental in uncovering basic principles of neural function. —. Neuroscience Model Organisms.
From www.researchgate.net
Comparison of brain sizes of common vertebrate neuroscience models. (A Neuroscience Model Organisms mit neuroscientists use a host of model organisms to study synaptic, neuronal and brain function, as well as to model. — the model organism screening center (mosc) of the udn is a unique resource dedicated to utilizing informatics. — by providing critical insights into these processes, decades of research using model organisms has been central. —. Neuroscience Model Organisms.
From www.researchgate.net
(PDF) The Future of GeneGuided Neuroscience Research in Non Neuroscience Model Organisms — this issue combines insights from traditional models such as drosophila melanogaster and apis mellifera and. mit neuroscientists use a host of model organisms to study synaptic, neuronal and brain function, as well as to model. — by providing critical insights into these processes, decades of research using model organisms has been central. The increasing diversity of. Neuroscience Model Organisms.
From www.mit.edu
Spotlight Neurons v. nodes MIT Massachusetts Institute of Technology Neuroscience Model Organisms — by providing critical insights into these processes, decades of research using model organisms has been central. — model organisms, both common and unconventional, have been instrumental in uncovering basic principles of neural function. — the model organism screening center (mosc) of the udn is a unique resource dedicated to utilizing informatics. the genetic model organisms. Neuroscience Model Organisms.
From journal.frontiersin.org
Frontiers Lentiviral vectors as tools to understand central nervous Neuroscience Model Organisms — this issue combines insights from traditional models such as drosophila melanogaster and apis mellifera and. — by providing critical insights into these processes, decades of research using model organisms has been central. — the model organism screening center (mosc) of the udn is a unique resource dedicated to utilizing informatics. — model organisms, both common. Neuroscience Model Organisms.
From www.neurosciences.asso.fr
Société des Neurosciences • LiCEND Summer School 2019 Experimental Neuroscience Model Organisms — the model organism screening center (mosc) of the udn is a unique resource dedicated to utilizing informatics. The increasing diversity of model species currently employed in neuroscience broadens the scope of topics that can be conveniently and effectively explored. mit neuroscientists use a host of model organisms to study synaptic, neuronal and brain function, as well as. Neuroscience Model Organisms.
From neuroscience.stanford.edu
Exploring MRI's role in neuroscience research on model organisms Wu Neuroscience Model Organisms the genetic model organisms discussed in depth in the text—mus musculus (house. — model organisms, both common and unconventional, have been instrumental in uncovering basic principles of neural function. — this issue combines insights from traditional models such as drosophila melanogaster and apis mellifera and. mit neuroscientists use a host of model organisms to study synaptic,. Neuroscience Model Organisms.
From neuroscience.stanford.edu
Exploring MRI's role in neuroscience research on model organisms Wu Neuroscience Model Organisms — in this review we will highlight the past and present techniques which have made, and continue to make, zebrafish an attractive model. — model organisms, both common and unconventional, have been instrumental in uncovering basic principles of neural function. mit neuroscientists use a host of model organisms to study synaptic, neuronal and brain function, as well. Neuroscience Model Organisms.
From www.emotiv.com
The Introductory Guide to Neuroscience EMOTIV Neuroscience Model Organisms The increasing diversity of model species currently employed in neuroscience broadens the scope of topics that can be conveniently and effectively explored. — in this review we will highlight the past and present techniques which have made, and continue to make, zebrafish an attractive model. — the model organism screening center (mosc) of the udn is a unique. Neuroscience Model Organisms.
From www.researchgate.net
Emerging reference species for comparative and evolutionary Neuroscience Model Organisms — this issue combines insights from traditional models such as drosophila melanogaster and apis mellifera and. — in this review we will highlight the past and present techniques which have made, and continue to make, zebrafish an attractive model. — by providing critical insights into these processes, decades of research using model organisms has been central. . Neuroscience Model Organisms.
From www.energeticsinstitute.com.au
The Role of Neuroscience in Human Understanding Energetics Institute Neuroscience Model Organisms mit neuroscientists use a host of model organisms to study synaptic, neuronal and brain function, as well as to model. the genetic model organisms discussed in depth in the text—mus musculus (house. — in this review we will highlight the past and present techniques which have made, and continue to make, zebrafish an attractive model. —. Neuroscience Model Organisms.
From www.frontiersin.org
Frontiers Applications of Deep Learning to NeuroImaging Techniques Neuroscience Model Organisms mit neuroscientists use a host of model organisms to study synaptic, neuronal and brain function, as well as to model. — this issue combines insights from traditional models such as drosophila melanogaster and apis mellifera and. — by providing critical insights into these processes, decades of research using model organisms has been central. — in this. Neuroscience Model Organisms.
From nihsepa.org
NeuroLab M3 DiscoveryBased Explorations of Scientific Models Model Neuroscience Model Organisms — the model organism screening center (mosc) of the udn is a unique resource dedicated to utilizing informatics. the genetic model organisms discussed in depth in the text—mus musculus (house. — by providing critical insights into these processes, decades of research using model organisms has been central. The increasing diversity of model species currently employed in neuroscience. Neuroscience Model Organisms.
From neuroscience.stanford.edu
Exploring MRI's role in neuroscience research on model organisms Wu Neuroscience Model Organisms — the model organism screening center (mosc) of the udn is a unique resource dedicated to utilizing informatics. — by providing critical insights into these processes, decades of research using model organisms has been central. mit neuroscientists use a host of model organisms to study synaptic, neuronal and brain function, as well as to model. —. Neuroscience Model Organisms.