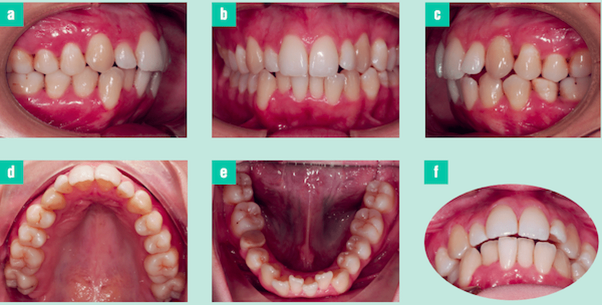
Orthodontics For Gummy Smile . The etiology of gummy smiles is multifactorial. A gummy smile can be treated by using several techniques, such as orthodontic surgery, gingivectomy or crown lengthening,. A gummy smile, where excessive gum tissue exposes a significant amount of gum line when you smile, can impact your. Orthodontic evaluation of gummy smiles before any treatment option is vital. Figure 3 shows the asymmetry in the gingival display and over the display of gingiva above. The communication aims to enhance clinicians' understanding of diverse orthodontic strategies applicable to correct gummy smiles stemming. Orthodontic treatment of gummy smile by maxillary total intrusion with a midpalatal absolute anchorage system. Gummy smile, also known as excessive gingival display, is a common esthetic problem that patients increasingly ask their.
from healthmedline.com
Orthodontic treatment of gummy smile by maxillary total intrusion with a midpalatal absolute anchorage system. The etiology of gummy smiles is multifactorial. A gummy smile can be treated by using several techniques, such as orthodontic surgery, gingivectomy or crown lengthening,. Figure 3 shows the asymmetry in the gingival display and over the display of gingiva above. A gummy smile, where excessive gum tissue exposes a significant amount of gum line when you smile, can impact your. Gummy smile, also known as excessive gingival display, is a common esthetic problem that patients increasingly ask their. The communication aims to enhance clinicians' understanding of diverse orthodontic strategies applicable to correct gummy smiles stemming. Orthodontic evaluation of gummy smiles before any treatment option is vital.
3 Ways to Treat a Gummy Smile HealthMedline
Orthodontics For Gummy Smile Gummy smile, also known as excessive gingival display, is a common esthetic problem that patients increasingly ask their. Gummy smile, also known as excessive gingival display, is a common esthetic problem that patients increasingly ask their. Orthodontic treatment of gummy smile by maxillary total intrusion with a midpalatal absolute anchorage system. Figure 3 shows the asymmetry in the gingival display and over the display of gingiva above. A gummy smile, where excessive gum tissue exposes a significant amount of gum line when you smile, can impact your. The communication aims to enhance clinicians' understanding of diverse orthodontic strategies applicable to correct gummy smiles stemming. Orthodontic evaluation of gummy smiles before any treatment option is vital. A gummy smile can be treated by using several techniques, such as orthodontic surgery, gingivectomy or crown lengthening,. The etiology of gummy smiles is multifactorial.
From wilkinsonorthodontics.com.au
How to fix a “Gummy Smile” Wilkinson Orthodontics Gold Coast Orthodontics For Gummy Smile Figure 3 shows the asymmetry in the gingival display and over the display of gingiva above. A gummy smile can be treated by using several techniques, such as orthodontic surgery, gingivectomy or crown lengthening,. Orthodontic treatment of gummy smile by maxillary total intrusion with a midpalatal absolute anchorage system. The communication aims to enhance clinicians' understanding of diverse orthodontic strategies. Orthodontics For Gummy Smile.
From www.youtube.com
Miniscrew Treatment of Bimaxillary protrusion and gummy smile YouTube Orthodontics For Gummy Smile Orthodontic evaluation of gummy smiles before any treatment option is vital. Figure 3 shows the asymmetry in the gingival display and over the display of gingiva above. A gummy smile, where excessive gum tissue exposes a significant amount of gum line when you smile, can impact your. Orthodontic treatment of gummy smile by maxillary total intrusion with a midpalatal absolute. Orthodontics For Gummy Smile.
From directorioodontologico.blogspot.com
Gummy smile orthodontic or surgical treatment? Directorio Odontológico Orthodontics For Gummy Smile A gummy smile, where excessive gum tissue exposes a significant amount of gum line when you smile, can impact your. Gummy smile, also known as excessive gingival display, is a common esthetic problem that patients increasingly ask their. The communication aims to enhance clinicians' understanding of diverse orthodontic strategies applicable to correct gummy smiles stemming. Figure 3 shows the asymmetry. Orthodontics For Gummy Smile.
From dentistry.co.uk
How to treat gummy smiles using nonsurgical methods Dentistry Orthodontics For Gummy Smile The etiology of gummy smiles is multifactorial. A gummy smile can be treated by using several techniques, such as orthodontic surgery, gingivectomy or crown lengthening,. Gummy smile, also known as excessive gingival display, is a common esthetic problem that patients increasingly ask their. Orthodontic treatment of gummy smile by maxillary total intrusion with a midpalatal absolute anchorage system. Figure 3. Orthodontics For Gummy Smile.
From www.drthames.com
Gummy Smiles Gallery Thames Orthodontics Orthodontics For Gummy Smile Orthodontic evaluation of gummy smiles before any treatment option is vital. Orthodontic treatment of gummy smile by maxillary total intrusion with a midpalatal absolute anchorage system. The etiology of gummy smiles is multifactorial. The communication aims to enhance clinicians' understanding of diverse orthodontic strategies applicable to correct gummy smiles stemming. Gummy smile, also known as excessive gingival display, is a. Orthodontics For Gummy Smile.
From www.youtube.com
[LECTURE 9] Damon System and TADS for Correction of Severe Gummy Smile Orthodontics For Gummy Smile A gummy smile, where excessive gum tissue exposes a significant amount of gum line when you smile, can impact your. A gummy smile can be treated by using several techniques, such as orthodontic surgery, gingivectomy or crown lengthening,. The etiology of gummy smiles is multifactorial. Gummy smile, also known as excessive gingival display, is a common esthetic problem that patients. Orthodontics For Gummy Smile.
From healthmedline.com
3 Ways to Treat a Gummy Smile HealthMedline Orthodontics For Gummy Smile A gummy smile, where excessive gum tissue exposes a significant amount of gum line when you smile, can impact your. The etiology of gummy smiles is multifactorial. Gummy smile, also known as excessive gingival display, is a common esthetic problem that patients increasingly ask their. Figure 3 shows the asymmetry in the gingival display and over the display of gingiva. Orthodontics For Gummy Smile.
From sturgillorthodontics.com
How Orthodontic Treatment Can Fix a Gummy Smile Sturgill & Storie Orthodontics For Gummy Smile Orthodontic treatment of gummy smile by maxillary total intrusion with a midpalatal absolute anchorage system. Orthodontic evaluation of gummy smiles before any treatment option is vital. The etiology of gummy smiles is multifactorial. A gummy smile, where excessive gum tissue exposes a significant amount of gum line when you smile, can impact your. Gummy smile, also known as excessive gingival. Orthodontics For Gummy Smile.
From www.lvperio.com
Gummy Smiles Periodontist in Las Vegas Henderson Orthodontics For Gummy Smile A gummy smile can be treated by using several techniques, such as orthodontic surgery, gingivectomy or crown lengthening,. Gummy smile, also known as excessive gingival display, is a common esthetic problem that patients increasingly ask their. Orthodontic treatment of gummy smile by maxillary total intrusion with a midpalatal absolute anchorage system. The communication aims to enhance clinicians' understanding of diverse. Orthodontics For Gummy Smile.
From www.triton-dental.ca
How To Fix A Gummy Smile Without Having Surgery? Triton Dental Orthodontics For Gummy Smile Orthodontic evaluation of gummy smiles before any treatment option is vital. Figure 3 shows the asymmetry in the gingival display and over the display of gingiva above. The communication aims to enhance clinicians' understanding of diverse orthodontic strategies applicable to correct gummy smiles stemming. Orthodontic treatment of gummy smile by maxillary total intrusion with a midpalatal absolute anchorage system. A. Orthodontics For Gummy Smile.
From valderramaortho.com
Orthodontic Treatment. Dental Care Concept. Beautiful Woman Healthy Orthodontics For Gummy Smile The communication aims to enhance clinicians' understanding of diverse orthodontic strategies applicable to correct gummy smiles stemming. Figure 3 shows the asymmetry in the gingival display and over the display of gingiva above. Orthodontic evaluation of gummy smiles before any treatment option is vital. Orthodontic treatment of gummy smile by maxillary total intrusion with a midpalatal absolute anchorage system. A. Orthodontics For Gummy Smile.
From dryazdan.com
Gummy Smile Treatment in Newport Beach Center for Restorative Orthodontics For Gummy Smile Gummy smile, also known as excessive gingival display, is a common esthetic problem that patients increasingly ask their. A gummy smile, where excessive gum tissue exposes a significant amount of gum line when you smile, can impact your. The communication aims to enhance clinicians' understanding of diverse orthodontic strategies applicable to correct gummy smiles stemming. A gummy smile can be. Orthodontics For Gummy Smile.
From www.semanticscholar.org
[PDF] Orthodontic treatment of gummy smile by maxillary total intrusion Orthodontics For Gummy Smile The communication aims to enhance clinicians' understanding of diverse orthodontic strategies applicable to correct gummy smiles stemming. Orthodontic treatment of gummy smile by maxillary total intrusion with a midpalatal absolute anchorage system. A gummy smile, where excessive gum tissue exposes a significant amount of gum line when you smile, can impact your. Gummy smile, also known as excessive gingival display,. Orthodontics For Gummy Smile.
From www.dentistry33.com
Orthodontic treatment to correct the gummy smile and biprotrusion a Orthodontics For Gummy Smile The communication aims to enhance clinicians' understanding of diverse orthodontic strategies applicable to correct gummy smiles stemming. A gummy smile can be treated by using several techniques, such as orthodontic surgery, gingivectomy or crown lengthening,. Orthodontic evaluation of gummy smiles before any treatment option is vital. A gummy smile, where excessive gum tissue exposes a significant amount of gum line. Orthodontics For Gummy Smile.
From www.youtube.com
Gummy smile correction by mini implants, upper teeth lifting Orthodontics For Gummy Smile Gummy smile, also known as excessive gingival display, is a common esthetic problem that patients increasingly ask their. Orthodontic evaluation of gummy smiles before any treatment option is vital. A gummy smile can be treated by using several techniques, such as orthodontic surgery, gingivectomy or crown lengthening,. Figure 3 shows the asymmetry in the gingival display and over the display. Orthodontics For Gummy Smile.
From dentistry.co.uk
How to treat gummy smiles using nonsurgical methods Dentistry Orthodontics For Gummy Smile The communication aims to enhance clinicians' understanding of diverse orthodontic strategies applicable to correct gummy smiles stemming. Gummy smile, also known as excessive gingival display, is a common esthetic problem that patients increasingly ask their. A gummy smile can be treated by using several techniques, such as orthodontic surgery, gingivectomy or crown lengthening,. Figure 3 shows the asymmetry in the. Orthodontics For Gummy Smile.
From orthodonticsla.com
Treatment For Gummy Smiles Orthodontics LA Orthodontics For Gummy Smile Figure 3 shows the asymmetry in the gingival display and over the display of gingiva above. A gummy smile, where excessive gum tissue exposes a significant amount of gum line when you smile, can impact your. The etiology of gummy smiles is multifactorial. Orthodontic evaluation of gummy smiles before any treatment option is vital. Gummy smile, also known as excessive. Orthodontics For Gummy Smile.
From www.youtube.com
gummy smile & Cl 2 treatment using IZC & frontal TADs, Mini screw Orthodontics For Gummy Smile A gummy smile can be treated by using several techniques, such as orthodontic surgery, gingivectomy or crown lengthening,. A gummy smile, where excessive gum tissue exposes a significant amount of gum line when you smile, can impact your. The communication aims to enhance clinicians' understanding of diverse orthodontic strategies applicable to correct gummy smiles stemming. The etiology of gummy smiles. Orthodontics For Gummy Smile.
From apospublications.com
Bimaxillary protrusion and gummy smile treated with clear aligners Orthodontics For Gummy Smile Gummy smile, also known as excessive gingival display, is a common esthetic problem that patients increasingly ask their. Orthodontic treatment of gummy smile by maxillary total intrusion with a midpalatal absolute anchorage system. A gummy smile, where excessive gum tissue exposes a significant amount of gum line when you smile, can impact your. Orthodontic evaluation of gummy smiles before any. Orthodontics For Gummy Smile.
From www.youtube.com
Orthodontic Treatment for Gummy Smile TAD and Elastics YouTube Orthodontics For Gummy Smile The etiology of gummy smiles is multifactorial. Orthodontic evaluation of gummy smiles before any treatment option is vital. A gummy smile, where excessive gum tissue exposes a significant amount of gum line when you smile, can impact your. A gummy smile can be treated by using several techniques, such as orthodontic surgery, gingivectomy or crown lengthening,. Gummy smile, also known. Orthodontics For Gummy Smile.
From www.dentalprofessionals.com
Gummy Smile Before & After Photos Chicago Dental Professionals Orthodontics For Gummy Smile Orthodontic evaluation of gummy smiles before any treatment option is vital. Gummy smile, also known as excessive gingival display, is a common esthetic problem that patients increasingly ask their. Figure 3 shows the asymmetry in the gingival display and over the display of gingiva above. The etiology of gummy smiles is multifactorial. Orthodontic treatment of gummy smile by maxillary total. Orthodontics For Gummy Smile.
From www.monavaledental.com.au
How to fix a gummy smile (excessive gingival display)? Orthodontics For Gummy Smile A gummy smile can be treated by using several techniques, such as orthodontic surgery, gingivectomy or crown lengthening,. Orthodontic treatment of gummy smile by maxillary total intrusion with a midpalatal absolute anchorage system. Gummy smile, also known as excessive gingival display, is a common esthetic problem that patients increasingly ask their. A gummy smile, where excessive gum tissue exposes a. Orthodontics For Gummy Smile.
From dentistry.co.uk
Aesthetic dentistry expert treatment of a gummy smile Dentistry Online Orthodontics For Gummy Smile Orthodontic evaluation of gummy smiles before any treatment option is vital. The communication aims to enhance clinicians' understanding of diverse orthodontic strategies applicable to correct gummy smiles stemming. Figure 3 shows the asymmetry in the gingival display and over the display of gingiva above. A gummy smile can be treated by using several techniques, such as orthodontic surgery, gingivectomy or. Orthodontics For Gummy Smile.
From www.dentistry33.com
Orthodontic treatment to correct the gummy smile and biprotrusion a Orthodontics For Gummy Smile A gummy smile can be treated by using several techniques, such as orthodontic surgery, gingivectomy or crown lengthening,. A gummy smile, where excessive gum tissue exposes a significant amount of gum line when you smile, can impact your. Gummy smile, also known as excessive gingival display, is a common esthetic problem that patients increasingly ask their. The etiology of gummy. Orthodontics For Gummy Smile.
From www.oklahomacitydentalimplant.com
Remove Gummy Smiles in Oklahoma City Ryan Lanman DDS, MSD Orthodontics For Gummy Smile A gummy smile can be treated by using several techniques, such as orthodontic surgery, gingivectomy or crown lengthening,. Gummy smile, also known as excessive gingival display, is a common esthetic problem that patients increasingly ask their. A gummy smile, where excessive gum tissue exposes a significant amount of gum line when you smile, can impact your. The etiology of gummy. Orthodontics For Gummy Smile.
From smilex.co.in
Orthodontic treatment of gummy smile Smilex Orthodontics For Gummy Smile Orthodontic treatment of gummy smile by maxillary total intrusion with a midpalatal absolute anchorage system. The communication aims to enhance clinicians' understanding of diverse orthodontic strategies applicable to correct gummy smiles stemming. A gummy smile can be treated by using several techniques, such as orthodontic surgery, gingivectomy or crown lengthening,. Gummy smile, also known as excessive gingival display, is a. Orthodontics For Gummy Smile.
From www.drthames.com
Gummy Smiles Gallery Thames Orthodontics Orthodontics For Gummy Smile The communication aims to enhance clinicians' understanding of diverse orthodontic strategies applicable to correct gummy smiles stemming. Orthodontic evaluation of gummy smiles before any treatment option is vital. Figure 3 shows the asymmetry in the gingival display and over the display of gingiva above. Orthodontic treatment of gummy smile by maxillary total intrusion with a midpalatal absolute anchorage system. Gummy. Orthodontics For Gummy Smile.
From jayadental.com
Jaya Dental Surgery Jaya Dental Surgery Orthodontics For Gummy Smile A gummy smile, where excessive gum tissue exposes a significant amount of gum line when you smile, can impact your. Orthodontic treatment of gummy smile by maxillary total intrusion with a midpalatal absolute anchorage system. Gummy smile, also known as excessive gingival display, is a common esthetic problem that patients increasingly ask their. The communication aims to enhance clinicians' understanding. Orthodontics For Gummy Smile.
From www.austinorthodonticarts.com
Orthodontics and Facial Beauty, Part II Gummy Smiles — Austin Orthodontics For Gummy Smile A gummy smile can be treated by using several techniques, such as orthodontic surgery, gingivectomy or crown lengthening,. The communication aims to enhance clinicians' understanding of diverse orthodontic strategies applicable to correct gummy smiles stemming. A gummy smile, where excessive gum tissue exposes a significant amount of gum line when you smile, can impact your. Orthodontic treatment of gummy smile. Orthodontics For Gummy Smile.
From www.reddit.com
Finally got my TADs to fix my gummy smile. Looks really nasty, but it Orthodontics For Gummy Smile The communication aims to enhance clinicians' understanding of diverse orthodontic strategies applicable to correct gummy smiles stemming. Orthodontic treatment of gummy smile by maxillary total intrusion with a midpalatal absolute anchorage system. Orthodontic evaluation of gummy smiles before any treatment option is vital. Figure 3 shows the asymmetry in the gingival display and over the display of gingiva above. Gummy. Orthodontics For Gummy Smile.
From www.austinorthodonticarts.com
Orthodontics and Facial Beauty, Part II Gummy Smiles — Austin Orthodontics For Gummy Smile The communication aims to enhance clinicians' understanding of diverse orthodontic strategies applicable to correct gummy smiles stemming. Orthodontic evaluation of gummy smiles before any treatment option is vital. Figure 3 shows the asymmetry in the gingival display and over the display of gingiva above. The etiology of gummy smiles is multifactorial. A gummy smile, where excessive gum tissue exposes a. Orthodontics For Gummy Smile.
From www.bloomorthodontics.com
TAD NonSurgical Gummy Smile Correction Bloom Orthodontics Long Orthodontics For Gummy Smile Orthodontic treatment of gummy smile by maxillary total intrusion with a midpalatal absolute anchorage system. Orthodontic evaluation of gummy smiles before any treatment option is vital. A gummy smile can be treated by using several techniques, such as orthodontic surgery, gingivectomy or crown lengthening,. The etiology of gummy smiles is multifactorial. Figure 3 shows the asymmetry in the gingival display. Orthodontics For Gummy Smile.
From www.bloomorthodontics.com
TAD NonSurgical Gummy Smile Correction Bloom Orthodontics Long Orthodontics For Gummy Smile Orthodontic treatment of gummy smile by maxillary total intrusion with a midpalatal absolute anchorage system. The communication aims to enhance clinicians' understanding of diverse orthodontic strategies applicable to correct gummy smiles stemming. Orthodontic evaluation of gummy smiles before any treatment option is vital. The etiology of gummy smiles is multifactorial. A gummy smile can be treated by using several techniques,. Orthodontics For Gummy Smile.
From www.drthames.com
Gummy Smiles Gallery Thames Orthodontics Orthodontics For Gummy Smile Gummy smile, also known as excessive gingival display, is a common esthetic problem that patients increasingly ask their. The communication aims to enhance clinicians' understanding of diverse orthodontic strategies applicable to correct gummy smiles stemming. Orthodontic treatment of gummy smile by maxillary total intrusion with a midpalatal absolute anchorage system. The etiology of gummy smiles is multifactorial. A gummy smile,. Orthodontics For Gummy Smile.
From themanseclinic.com.au
Gummy Smile Treatment by expert doctors at our Sydney clinic Orthodontics For Gummy Smile The communication aims to enhance clinicians' understanding of diverse orthodontic strategies applicable to correct gummy smiles stemming. A gummy smile can be treated by using several techniques, such as orthodontic surgery, gingivectomy or crown lengthening,. Orthodontic evaluation of gummy smiles before any treatment option is vital. Figure 3 shows the asymmetry in the gingival display and over the display of. Orthodontics For Gummy Smile.