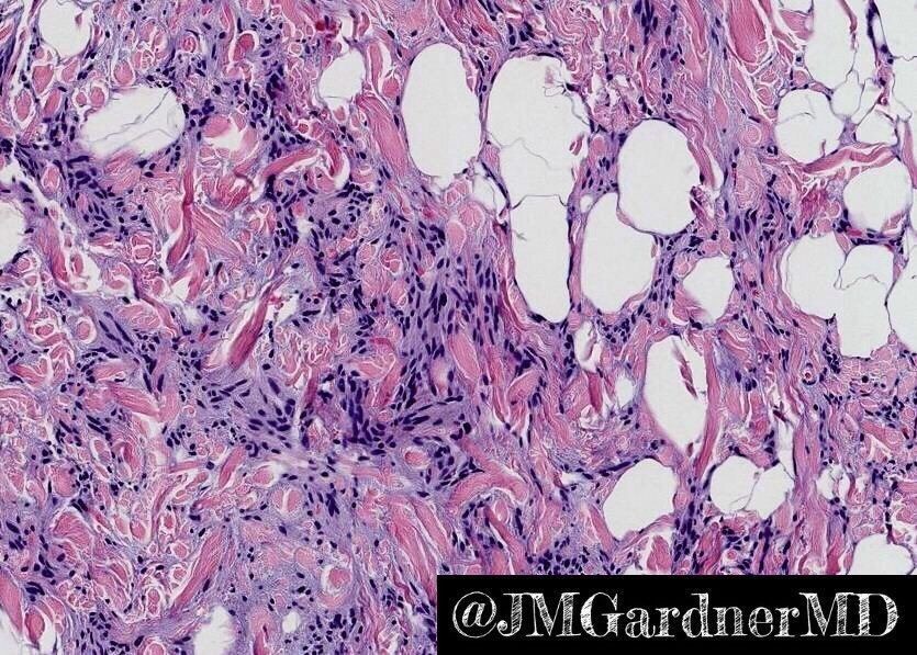
Define Spindle Cell Lipoma . The classic spindle cell lipoma is composed of bland spindled cells intermixed with mature adipose tissue (figure 1). Spindle cell lipoma (scl) is a relatively rare, benign adipocytic tumor composed of a variable mixture of mature adipocytes, bland spindle cells and ropey. Spindle cell lipoma contains a varying mixture of mature adipocytes, bland spindle cells and ropy collagen fibers (cancer 1975;36:1852). Spindle cell lipoma (scl) is a rare benign subcutaneous adipose tissue tumor that was first reported by enzinger in 1975 and often. Spindle cell lipoma is a morphological and molecularly distinct subtype of lipoma first described in 1975 by enzinger and harvey. Spindle cell lipomas (sl) and pleomorphic lipomas (pl) are rare variants of lipomas, occurring predominantly in the head and.
from www.researchgate.net
Spindle cell lipoma (scl) is a relatively rare, benign adipocytic tumor composed of a variable mixture of mature adipocytes, bland spindle cells and ropey. Spindle cell lipoma contains a varying mixture of mature adipocytes, bland spindle cells and ropy collagen fibers (cancer 1975;36:1852). Spindle cell lipoma (scl) is a rare benign subcutaneous adipose tissue tumor that was first reported by enzinger in 1975 and often. Spindle cell lipoma is a morphological and molecularly distinct subtype of lipoma first described in 1975 by enzinger and harvey. Spindle cell lipomas (sl) and pleomorphic lipomas (pl) are rare variants of lipomas, occurring predominantly in the head and. The classic spindle cell lipoma is composed of bland spindled cells intermixed with mature adipose tissue (figure 1).
(PDF) A case of occipital spindle cell lipoma a case report
Define Spindle Cell Lipoma Spindle cell lipoma (scl) is a rare benign subcutaneous adipose tissue tumor that was first reported by enzinger in 1975 and often. Spindle cell lipomas (sl) and pleomorphic lipomas (pl) are rare variants of lipomas, occurring predominantly in the head and. Spindle cell lipoma (scl) is a rare benign subcutaneous adipose tissue tumor that was first reported by enzinger in 1975 and often. The classic spindle cell lipoma is composed of bland spindled cells intermixed with mature adipose tissue (figure 1). Spindle cell lipoma (scl) is a relatively rare, benign adipocytic tumor composed of a variable mixture of mature adipocytes, bland spindle cells and ropey. Spindle cell lipoma contains a varying mixture of mature adipocytes, bland spindle cells and ropy collagen fibers (cancer 1975;36:1852). Spindle cell lipoma is a morphological and molecularly distinct subtype of lipoma first described in 1975 by enzinger and harvey.
From www.researchgate.net
(PDF) A case of occipital spindle cell lipoma a case report Define Spindle Cell Lipoma Spindle cell lipoma (scl) is a relatively rare, benign adipocytic tumor composed of a variable mixture of mature adipocytes, bland spindle cells and ropey. Spindle cell lipomas (sl) and pleomorphic lipomas (pl) are rare variants of lipomas, occurring predominantly in the head and. The classic spindle cell lipoma is composed of bland spindled cells intermixed with mature adipose tissue (figure. Define Spindle Cell Lipoma.
From librepathology.org
Spindle cell lipoma Libre Pathology Define Spindle Cell Lipoma Spindle cell lipoma is a morphological and molecularly distinct subtype of lipoma first described in 1975 by enzinger and harvey. Spindle cell lipoma (scl) is a relatively rare, benign adipocytic tumor composed of a variable mixture of mature adipocytes, bland spindle cells and ropey. Spindle cell lipoma contains a varying mixture of mature adipocytes, bland spindle cells and ropy collagen. Define Spindle Cell Lipoma.
From www.scirp.org
Oral spindle cell lipomas Define Spindle Cell Lipoma Spindle cell lipomas (sl) and pleomorphic lipomas (pl) are rare variants of lipomas, occurring predominantly in the head and. Spindle cell lipoma (scl) is a rare benign subcutaneous adipose tissue tumor that was first reported by enzinger in 1975 and often. The classic spindle cell lipoma is composed of bland spindled cells intermixed with mature adipose tissue (figure 1). Spindle. Define Spindle Cell Lipoma.
From www.pathologyoutlines.com
Pathology Outlines Spindle cell / pleomorphic lipoma Define Spindle Cell Lipoma Spindle cell lipoma contains a varying mixture of mature adipocytes, bland spindle cells and ropy collagen fibers (cancer 1975;36:1852). Spindle cell lipoma (scl) is a rare benign subcutaneous adipose tissue tumor that was first reported by enzinger in 1975 and often. The classic spindle cell lipoma is composed of bland spindled cells intermixed with mature adipose tissue (figure 1). Spindle. Define Spindle Cell Lipoma.
From www.dermatologyadvisor.com
Spindle Cell Lipoma Dermatology Advisor Define Spindle Cell Lipoma The classic spindle cell lipoma is composed of bland spindled cells intermixed with mature adipose tissue (figure 1). Spindle cell lipoma is a morphological and molecularly distinct subtype of lipoma first described in 1975 by enzinger and harvey. Spindle cell lipoma contains a varying mixture of mature adipocytes, bland spindle cells and ropy collagen fibers (cancer 1975;36:1852). Spindle cell lipoma. Define Spindle Cell Lipoma.
From www.researchgate.net
(a,b). ATYPICAL SPINDLE CELLLIKE LIPOMA (ASCL). (a,b). Histological Define Spindle Cell Lipoma The classic spindle cell lipoma is composed of bland spindled cells intermixed with mature adipose tissue (figure 1). Spindle cell lipoma (scl) is a relatively rare, benign adipocytic tumor composed of a variable mixture of mature adipocytes, bland spindle cells and ropey. Spindle cell lipoma is a morphological and molecularly distinct subtype of lipoma first described in 1975 by enzinger. Define Spindle Cell Lipoma.
From www.researchgate.net
Clinical and histopathological photographs of our case of spindle cell Define Spindle Cell Lipoma Spindle cell lipomas (sl) and pleomorphic lipomas (pl) are rare variants of lipomas, occurring predominantly in the head and. Spindle cell lipoma is a morphological and molecularly distinct subtype of lipoma first described in 1975 by enzinger and harvey. Spindle cell lipoma (scl) is a relatively rare, benign adipocytic tumor composed of a variable mixture of mature adipocytes, bland spindle. Define Spindle Cell Lipoma.
From www.researchgate.net
(PDF) Spindle Cell Lipoma of the Thumb Define Spindle Cell Lipoma Spindle cell lipoma (scl) is a relatively rare, benign adipocytic tumor composed of a variable mixture of mature adipocytes, bland spindle cells and ropey. Spindle cell lipomas (sl) and pleomorphic lipomas (pl) are rare variants of lipomas, occurring predominantly in the head and. The classic spindle cell lipoma is composed of bland spindled cells intermixed with mature adipose tissue (figure. Define Spindle Cell Lipoma.
From www.researchgate.net
47 Spindle cell lipoma the lesion is composed of bland spindled cells Define Spindle Cell Lipoma Spindle cell lipoma (scl) is a rare benign subcutaneous adipose tissue tumor that was first reported by enzinger in 1975 and often. Spindle cell lipoma contains a varying mixture of mature adipocytes, bland spindle cells and ropy collagen fibers (cancer 1975;36:1852). Spindle cell lipoma (scl) is a relatively rare, benign adipocytic tumor composed of a variable mixture of mature adipocytes,. Define Spindle Cell Lipoma.
From journals.lww.com
FatFree Spindle Cell Lipoma of the Scalp Lipoma Without a Define Spindle Cell Lipoma Spindle cell lipomas (sl) and pleomorphic lipomas (pl) are rare variants of lipomas, occurring predominantly in the head and. Spindle cell lipoma is a morphological and molecularly distinct subtype of lipoma first described in 1975 by enzinger and harvey. Spindle cell lipoma (scl) is a rare benign subcutaneous adipose tissue tumor that was first reported by enzinger in 1975 and. Define Spindle Cell Lipoma.
From www.researchgate.net
Spindle cell lipoma component shows mature fat cells with intervening Define Spindle Cell Lipoma The classic spindle cell lipoma is composed of bland spindled cells intermixed with mature adipose tissue (figure 1). Spindle cell lipoma contains a varying mixture of mature adipocytes, bland spindle cells and ropy collagen fibers (cancer 1975;36:1852). Spindle cell lipoma (scl) is a relatively rare, benign adipocytic tumor composed of a variable mixture of mature adipocytes, bland spindle cells and. Define Spindle Cell Lipoma.
From www.pathologyoutlines.com
Pathology Outlines Spindle cell / pleomorphic lipoma Define Spindle Cell Lipoma Spindle cell lipoma (scl) is a rare benign subcutaneous adipose tissue tumor that was first reported by enzinger in 1975 and often. Spindle cell lipoma (scl) is a relatively rare, benign adipocytic tumor composed of a variable mixture of mature adipocytes, bland spindle cells and ropey. Spindle cell lipoma is a morphological and molecularly distinct subtype of lipoma first described. Define Spindle Cell Lipoma.
From www.researchgate.net
A, Low power image of a dermal spindle cell lipoma with prominent Define Spindle Cell Lipoma Spindle cell lipomas (sl) and pleomorphic lipomas (pl) are rare variants of lipomas, occurring predominantly in the head and. Spindle cell lipoma is a morphological and molecularly distinct subtype of lipoma first described in 1975 by enzinger and harvey. Spindle cell lipoma contains a varying mixture of mature adipocytes, bland spindle cells and ropy collagen fibers (cancer 1975;36:1852). Spindle cell. Define Spindle Cell Lipoma.
From www.researchgate.net
Atypical spindle cell lipomatous tumour has a lobular appearance with a Define Spindle Cell Lipoma Spindle cell lipoma (scl) is a rare benign subcutaneous adipose tissue tumor that was first reported by enzinger in 1975 and often. Spindle cell lipoma is a morphological and molecularly distinct subtype of lipoma first described in 1975 by enzinger and harvey. Spindle cell lipoma (scl) is a relatively rare, benign adipocytic tumor composed of a variable mixture of mature. Define Spindle Cell Lipoma.
From www.pathologyoutlines.com
Pathology Outlines Spindle cell / pleomorphic lipoma Define Spindle Cell Lipoma Spindle cell lipoma (scl) is a rare benign subcutaneous adipose tissue tumor that was first reported by enzinger in 1975 and often. Spindle cell lipoma (scl) is a relatively rare, benign adipocytic tumor composed of a variable mixture of mature adipocytes, bland spindle cells and ropey. Spindle cell lipoma is a morphological and molecularly distinct subtype of lipoma first described. Define Spindle Cell Lipoma.
From ilovepathology.com
Pathology of Lipoma Pathology Made Simple Define Spindle Cell Lipoma Spindle cell lipoma (scl) is a rare benign subcutaneous adipose tissue tumor that was first reported by enzinger in 1975 and often. Spindle cell lipoma contains a varying mixture of mature adipocytes, bland spindle cells and ropy collagen fibers (cancer 1975;36:1852). Spindle cell lipoma is a morphological and molecularly distinct subtype of lipoma first described in 1975 by enzinger and. Define Spindle Cell Lipoma.
From kikoxp.com
Spindle cell lipoma, fatpoor and myxoid subtype KiKo XP Define Spindle Cell Lipoma Spindle cell lipoma (scl) is a relatively rare, benign adipocytic tumor composed of a variable mixture of mature adipocytes, bland spindle cells and ropey. Spindle cell lipoma (scl) is a rare benign subcutaneous adipose tissue tumor that was first reported by enzinger in 1975 and often. The classic spindle cell lipoma is composed of bland spindled cells intermixed with mature. Define Spindle Cell Lipoma.
From www.ajronline.org
Imaging Characteristics of Spindle Cell Lipoma AJR Define Spindle Cell Lipoma Spindle cell lipoma contains a varying mixture of mature adipocytes, bland spindle cells and ropy collagen fibers (cancer 1975;36:1852). Spindle cell lipoma is a morphological and molecularly distinct subtype of lipoma first described in 1975 by enzinger and harvey. Spindle cell lipoma (scl) is a relatively rare, benign adipocytic tumor composed of a variable mixture of mature adipocytes, bland spindle. Define Spindle Cell Lipoma.
From www.clinmedimagesjournal.com
Pomaded and unctuous spindle cell lipoma Define Spindle Cell Lipoma Spindle cell lipoma contains a varying mixture of mature adipocytes, bland spindle cells and ropy collagen fibers (cancer 1975;36:1852). The classic spindle cell lipoma is composed of bland spindled cells intermixed with mature adipose tissue (figure 1). Spindle cell lipomas (sl) and pleomorphic lipomas (pl) are rare variants of lipomas, occurring predominantly in the head and. Spindle cell lipoma is. Define Spindle Cell Lipoma.
From www.youtube.com
Spindle cell lipoma YouTube Define Spindle Cell Lipoma Spindle cell lipoma is a morphological and molecularly distinct subtype of lipoma first described in 1975 by enzinger and harvey. Spindle cell lipoma contains a varying mixture of mature adipocytes, bland spindle cells and ropy collagen fibers (cancer 1975;36:1852). The classic spindle cell lipoma is composed of bland spindled cells intermixed with mature adipose tissue (figure 1). Spindle cell lipomas. Define Spindle Cell Lipoma.
From journals.sagepub.com
Pulmonary valve spindlecell lipoma A case report Guadalupe Define Spindle Cell Lipoma Spindle cell lipoma (scl) is a rare benign subcutaneous adipose tissue tumor that was first reported by enzinger in 1975 and often. Spindle cell lipoma contains a varying mixture of mature adipocytes, bland spindle cells and ropy collagen fibers (cancer 1975;36:1852). Spindle cell lipoma (scl) is a relatively rare, benign adipocytic tumor composed of a variable mixture of mature adipocytes,. Define Spindle Cell Lipoma.
From www.ajronline.org
Imaging Characteristics of Spindle Cell Lipoma AJR Define Spindle Cell Lipoma Spindle cell lipoma (scl) is a rare benign subcutaneous adipose tissue tumor that was first reported by enzinger in 1975 and often. Spindle cell lipoma contains a varying mixture of mature adipocytes, bland spindle cells and ropy collagen fibers (cancer 1975;36:1852). Spindle cell lipomas (sl) and pleomorphic lipomas (pl) are rare variants of lipomas, occurring predominantly in the head and.. Define Spindle Cell Lipoma.
From www.youtube.com
Spindle Cell Lipoma Pathology mini tutorial YouTube Define Spindle Cell Lipoma Spindle cell lipoma contains a varying mixture of mature adipocytes, bland spindle cells and ropy collagen fibers (cancer 1975;36:1852). Spindle cell lipoma (scl) is a relatively rare, benign adipocytic tumor composed of a variable mixture of mature adipocytes, bland spindle cells and ropey. Spindle cell lipomas (sl) and pleomorphic lipomas (pl) are rare variants of lipomas, occurring predominantly in the. Define Spindle Cell Lipoma.
From mavink.com
Spindle Cell Lipoma Histology Define Spindle Cell Lipoma The classic spindle cell lipoma is composed of bland spindled cells intermixed with mature adipose tissue (figure 1). Spindle cell lipoma (scl) is a rare benign subcutaneous adipose tissue tumor that was first reported by enzinger in 1975 and often. Spindle cell lipoma (scl) is a relatively rare, benign adipocytic tumor composed of a variable mixture of mature adipocytes, bland. Define Spindle Cell Lipoma.
From kikoxp.com
Pleomorphic lipoma & Spindle cell lipoma Basic soft tissue pathology Define Spindle Cell Lipoma Spindle cell lipoma contains a varying mixture of mature adipocytes, bland spindle cells and ropy collagen fibers (cancer 1975;36:1852). The classic spindle cell lipoma is composed of bland spindled cells intermixed with mature adipose tissue (figure 1). Spindle cell lipoma is a morphological and molecularly distinct subtype of lipoma first described in 1975 by enzinger and harvey. Spindle cell lipoma. Define Spindle Cell Lipoma.
From www.sciencephoto.com
Spindle Cell Lipoma, LM Stock Image C028/3356 Science Photo Library Define Spindle Cell Lipoma Spindle cell lipoma (scl) is a rare benign subcutaneous adipose tissue tumor that was first reported by enzinger in 1975 and often. Spindle cell lipoma (scl) is a relatively rare, benign adipocytic tumor composed of a variable mixture of mature adipocytes, bland spindle cells and ropey. The classic spindle cell lipoma is composed of bland spindled cells intermixed with mature. Define Spindle Cell Lipoma.
From www.flickriver.com
Spindle Cell/Pleomorphic Lipoma a photo on Flickriver Define Spindle Cell Lipoma Spindle cell lipoma contains a varying mixture of mature adipocytes, bland spindle cells and ropy collagen fibers (cancer 1975;36:1852). Spindle cell lipoma (scl) is a rare benign subcutaneous adipose tissue tumor that was first reported by enzinger in 1975 and often. Spindle cell lipomas (sl) and pleomorphic lipomas (pl) are rare variants of lipomas, occurring predominantly in the head and.. Define Spindle Cell Lipoma.
From www.researchgate.net
Spindle cell lipoma. Five µm H&E stained histological section showing a Define Spindle Cell Lipoma Spindle cell lipoma is a morphological and molecularly distinct subtype of lipoma first described in 1975 by enzinger and harvey. Spindle cell lipoma contains a varying mixture of mature adipocytes, bland spindle cells and ropy collagen fibers (cancer 1975;36:1852). Spindle cell lipoma (scl) is a relatively rare, benign adipocytic tumor composed of a variable mixture of mature adipocytes, bland spindle. Define Spindle Cell Lipoma.
From www.dovemed.com
Spindle Cell Lipoma of Uterine Cervix Define Spindle Cell Lipoma Spindle cell lipoma (scl) is a relatively rare, benign adipocytic tumor composed of a variable mixture of mature adipocytes, bland spindle cells and ropey. The classic spindle cell lipoma is composed of bland spindled cells intermixed with mature adipose tissue (figure 1). Spindle cell lipoma contains a varying mixture of mature adipocytes, bland spindle cells and ropy collagen fibers (cancer. Define Spindle Cell Lipoma.
From kikoxp.com
Spindle Cell Lipoma 101 KiKo XP Define Spindle Cell Lipoma The classic spindle cell lipoma is composed of bland spindled cells intermixed with mature adipose tissue (figure 1). Spindle cell lipoma is a morphological and molecularly distinct subtype of lipoma first described in 1975 by enzinger and harvey. Spindle cell lipoma (scl) is a rare benign subcutaneous adipose tissue tumor that was first reported by enzinger in 1975 and often.. Define Spindle Cell Lipoma.
From www.semanticscholar.org
Figure 5 from Dermal plexiform spindle cell lipoma. Semantic Scholar Define Spindle Cell Lipoma Spindle cell lipoma (scl) is a relatively rare, benign adipocytic tumor composed of a variable mixture of mature adipocytes, bland spindle cells and ropey. Spindle cell lipoma (scl) is a rare benign subcutaneous adipose tissue tumor that was first reported by enzinger in 1975 and often. The classic spindle cell lipoma is composed of bland spindled cells intermixed with mature. Define Spindle Cell Lipoma.
From www.mypathologyreport.ca
Spindle cell lipoma MyPathologyReport.ca Define Spindle Cell Lipoma The classic spindle cell lipoma is composed of bland spindled cells intermixed with mature adipose tissue (figure 1). Spindle cell lipoma contains a varying mixture of mature adipocytes, bland spindle cells and ropy collagen fibers (cancer 1975;36:1852). Spindle cell lipoma (scl) is a relatively rare, benign adipocytic tumor composed of a variable mixture of mature adipocytes, bland spindle cells and. Define Spindle Cell Lipoma.
From www.pathologyatlas.ca
Spindle cell lipoma Atlas of Pathology Define Spindle Cell Lipoma Spindle cell lipoma (scl) is a relatively rare, benign adipocytic tumor composed of a variable mixture of mature adipocytes, bland spindle cells and ropey. The classic spindle cell lipoma is composed of bland spindled cells intermixed with mature adipose tissue (figure 1). Spindle cell lipoma is a morphological and molecularly distinct subtype of lipoma first described in 1975 by enzinger. Define Spindle Cell Lipoma.
From www.researchgate.net
Spindle cell lipoma. (A) CD34+ spindle cells (brown) are observed Define Spindle Cell Lipoma Spindle cell lipomas (sl) and pleomorphic lipomas (pl) are rare variants of lipomas, occurring predominantly in the head and. Spindle cell lipoma (scl) is a relatively rare, benign adipocytic tumor composed of a variable mixture of mature adipocytes, bland spindle cells and ropey. Spindle cell lipoma contains a varying mixture of mature adipocytes, bland spindle cells and ropy collagen fibers. Define Spindle Cell Lipoma.
From www.dovemed.com
Spindle Cell Lipoma Define Spindle Cell Lipoma Spindle cell lipoma contains a varying mixture of mature adipocytes, bland spindle cells and ropy collagen fibers (cancer 1975;36:1852). Spindle cell lipoma (scl) is a relatively rare, benign adipocytic tumor composed of a variable mixture of mature adipocytes, bland spindle cells and ropey. The classic spindle cell lipoma is composed of bland spindled cells intermixed with mature adipose tissue (figure. Define Spindle Cell Lipoma.