What Is A Bite Wing . Bitewings reveal the presence and extent of decay in the back teeth, specifically in areas where. Generally, these x rays are taken once per year and are used to diagnose decay that is found in between the teeth and in new or recurring decay under existing. Bitewing radiography is an efficient imaging method that can be. One bitewing is taken for each side to assess the posterior teeth. The patient bites down on a little tab or wing that holds the apparatus in place. Bitewing radiographs take their name from the original technique which required the patient to bite on a small wing. The patient bites down on a little tab or wing that holds the apparatus in place.
from www.slideshare.net
Bitewings reveal the presence and extent of decay in the back teeth, specifically in areas where. One bitewing is taken for each side to assess the posterior teeth. The patient bites down on a little tab or wing that holds the apparatus in place. Bitewing radiography is an efficient imaging method that can be. Bitewing radiographs take their name from the original technique which required the patient to bite on a small wing. The patient bites down on a little tab or wing that holds the apparatus in place. Generally, these x rays are taken once per year and are used to diagnose decay that is found in between the teeth and in new or recurring decay under existing.
radiologybitewingtechnique
What Is A Bite Wing Generally, these x rays are taken once per year and are used to diagnose decay that is found in between the teeth and in new or recurring decay under existing. One bitewing is taken for each side to assess the posterior teeth. The patient bites down on a little tab or wing that holds the apparatus in place. Bitewing radiographs take their name from the original technique which required the patient to bite on a small wing. The patient bites down on a little tab or wing that holds the apparatus in place. Generally, these x rays are taken once per year and are used to diagnose decay that is found in between the teeth and in new or recurring decay under existing. Bitewings reveal the presence and extent of decay in the back teeth, specifically in areas where. Bitewing radiography is an efficient imaging method that can be.
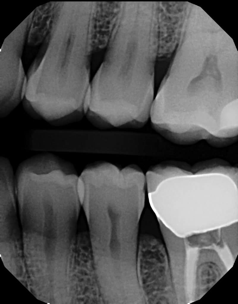
From www.imagenesrxdental.cl
Técnica bite wing Imágenes RX Dental What Is A Bite Wing Bitewing radiography is an efficient imaging method that can be. Bitewings reveal the presence and extent of decay in the back teeth, specifically in areas where. Bitewing radiographs take their name from the original technique which required the patient to bite on a small wing. Generally, these x rays are taken once per year and are used to diagnose decay. What Is A Bite Wing.
From fyovkgvin.blob.core.windows.net
How Much Are Bitewing X Rays at Coretta Savage blog What Is A Bite Wing Generally, these x rays are taken once per year and are used to diagnose decay that is found in between the teeth and in new or recurring decay under existing. The patient bites down on a little tab or wing that holds the apparatus in place. One bitewing is taken for each side to assess the posterior teeth. The patient. What Is A Bite Wing.
From www.slideshare.net
radiologybitewingtechnique What Is A Bite Wing Bitewing radiography is an efficient imaging method that can be. Generally, these x rays are taken once per year and are used to diagnose decay that is found in between the teeth and in new or recurring decay under existing. One bitewing is taken for each side to assess the posterior teeth. Bitewings reveal the presence and extent of decay. What Is A Bite Wing.
From medizzy.com
Bitewing radiograph technique MEDizzy What Is A Bite Wing The patient bites down on a little tab or wing that holds the apparatus in place. Bitewings reveal the presence and extent of decay in the back teeth, specifically in areas where. One bitewing is taken for each side to assess the posterior teeth. Bitewing radiography is an efficient imaging method that can be. Generally, these x rays are taken. What Is A Bite Wing.
From dentagama.com
Bitewing dental xrays News Dentagama What Is A Bite Wing The patient bites down on a little tab or wing that holds the apparatus in place. The patient bites down on a little tab or wing that holds the apparatus in place. Generally, these x rays are taken once per year and are used to diagnose decay that is found in between the teeth and in new or recurring decay. What Is A Bite Wing.
From www.youtube.com
Horizontal Bitewing Radiograph Dental radiograph YouTube What Is A Bite Wing Bitewings reveal the presence and extent of decay in the back teeth, specifically in areas where. Bitewing radiographs take their name from the original technique which required the patient to bite on a small wing. Bitewing radiography is an efficient imaging method that can be. One bitewing is taken for each side to assess the posterior teeth. The patient bites. What Is A Bite Wing.
From www.slideshare.net
radiologybitewingtechnique What Is A Bite Wing One bitewing is taken for each side to assess the posterior teeth. Bitewing radiographs take their name from the original technique which required the patient to bite on a small wing. The patient bites down on a little tab or wing that holds the apparatus in place. The patient bites down on a little tab or wing that holds the. What Is A Bite Wing.
From jada.ada.org
Extraoral bitewing radiographs The Journal of the American Dental What Is A Bite Wing Bitewing radiography is an efficient imaging method that can be. Generally, these x rays are taken once per year and are used to diagnose decay that is found in between the teeth and in new or recurring decay under existing. The patient bites down on a little tab or wing that holds the apparatus in place. Bitewing radiographs take their. What Is A Bite Wing.
From www.researchgate.net
Dental radiographs. (a) Bitewing. (b) Periapical. (c) Occlusal. (d What Is A Bite Wing The patient bites down on a little tab or wing that holds the apparatus in place. Bitewing radiographs take their name from the original technique which required the patient to bite on a small wing. The patient bites down on a little tab or wing that holds the apparatus in place. One bitewing is taken for each side to assess. What Is A Bite Wing.
From www.youtube.com
Bitewing Technique YouTube What Is A Bite Wing The patient bites down on a little tab or wing that holds the apparatus in place. Bitewing radiography is an efficient imaging method that can be. Bitewings reveal the presence and extent of decay in the back teeth, specifically in areas where. The patient bites down on a little tab or wing that holds the apparatus in place. Generally, these. What Is A Bite Wing.
From www.youtube.com
How to take perfect Bitewing Xrays while keeping your patient What Is A Bite Wing Bitewings reveal the presence and extent of decay in the back teeth, specifically in areas where. Bitewing radiographs take their name from the original technique which required the patient to bite on a small wing. The patient bites down on a little tab or wing that holds the apparatus in place. One bitewing is taken for each side to assess. What Is A Bite Wing.
From www.slideshare.net
radiologybitewingtechnique What Is A Bite Wing Bitewing radiographs take their name from the original technique which required the patient to bite on a small wing. Generally, these x rays are taken once per year and are used to diagnose decay that is found in between the teeth and in new or recurring decay under existing. One bitewing is taken for each side to assess the posterior. What Is A Bite Wing.
From www.slideshare.net
radiologybitewingtechnique What Is A Bite Wing One bitewing is taken for each side to assess the posterior teeth. Bitewing radiography is an efficient imaging method that can be. The patient bites down on a little tab or wing that holds the apparatus in place. Generally, these x rays are taken once per year and are used to diagnose decay that is found in between the teeth. What Is A Bite Wing.
From mavink.com
Bitewing Radiograph What Is A Bite Wing One bitewing is taken for each side to assess the posterior teeth. Bitewing radiography is an efficient imaging method that can be. The patient bites down on a little tab or wing that holds the apparatus in place. Generally, these x rays are taken once per year and are used to diagnose decay that is found in between the teeth. What Is A Bite Wing.
From www.directorioodontologico.info
DENTAL RADIOLOGY Tips and Tricks for Bitewing XRays Directorio What Is A Bite Wing The patient bites down on a little tab or wing that holds the apparatus in place. Bitewings reveal the presence and extent of decay in the back teeth, specifically in areas where. Generally, these x rays are taken once per year and are used to diagnose decay that is found in between the teeth and in new or recurring decay. What Is A Bite Wing.
From www.palmsdentist.co.nz
Bitewing xray with cavities 2 Palms Dentist, Shirley Christchurch What Is A Bite Wing Generally, these x rays are taken once per year and are used to diagnose decay that is found in between the teeth and in new or recurring decay under existing. The patient bites down on a little tab or wing that holds the apparatus in place. Bitewing radiography is an efficient imaging method that can be. One bitewing is taken. What Is A Bite Wing.
From fyovkgvin.blob.core.windows.net
How Much Are Bitewing X Rays at Coretta Savage blog What Is A Bite Wing One bitewing is taken for each side to assess the posterior teeth. Bitewings reveal the presence and extent of decay in the back teeth, specifically in areas where. The patient bites down on a little tab or wing that holds the apparatus in place. Bitewing radiography is an efficient imaging method that can be. Generally, these x rays are taken. What Is A Bite Wing.
From www.heightspedoortho.com
What are "bitewing" xrays and why do we take them? — Heights Pediatric What Is A Bite Wing Bitewing radiography is an efficient imaging method that can be. One bitewing is taken for each side to assess the posterior teeth. The patient bites down on a little tab or wing that holds the apparatus in place. Bitewing radiographs take their name from the original technique which required the patient to bite on a small wing. The patient bites. What Is A Bite Wing.
From www.imagenesrxdental.cl
Técnica bite wing Imágenes RX Dental What Is A Bite Wing Bitewing radiography is an efficient imaging method that can be. One bitewing is taken for each side to assess the posterior teeth. Generally, these x rays are taken once per year and are used to diagnose decay that is found in between the teeth and in new or recurring decay under existing. The patient bites down on a little tab. What Is A Bite Wing.
From www.oralhealthgroup.com
Ward Figure 18 Bite wing Radiographic Image Oral Health Group What Is A Bite Wing The patient bites down on a little tab or wing that holds the apparatus in place. Generally, these x rays are taken once per year and are used to diagnose decay that is found in between the teeth and in new or recurring decay under existing. Bitewing radiographs take their name from the original technique which required the patient to. What Is A Bite Wing.
From dentagama.com
Bitewing dental xrays News Dentagama What Is A Bite Wing Bitewings reveal the presence and extent of decay in the back teeth, specifically in areas where. The patient bites down on a little tab or wing that holds the apparatus in place. One bitewing is taken for each side to assess the posterior teeth. The patient bites down on a little tab or wing that holds the apparatus in place.. What Is A Bite Wing.
From dentixray.com
RX Bite Wing digital DentixRay What Is A Bite Wing One bitewing is taken for each side to assess the posterior teeth. Bitewing radiography is an efficient imaging method that can be. Bitewing radiographs take their name from the original technique which required the patient to bite on a small wing. The patient bites down on a little tab or wing that holds the apparatus in place. Generally, these x. What Is A Bite Wing.
From singletonhappytooth.com.au
Types of dental xrays Bitewing The Happy Tooth Singleton What Is A Bite Wing One bitewing is taken for each side to assess the posterior teeth. Bitewing radiographs take their name from the original technique which required the patient to bite on a small wing. Bitewings reveal the presence and extent of decay in the back teeth, specifically in areas where. The patient bites down on a little tab or wing that holds the. What Is A Bite Wing.
From www.youtube.com
Premolar bitewing positioning tips for dental xrays YouTube What Is A Bite Wing The patient bites down on a little tab or wing that holds the apparatus in place. Bitewings reveal the presence and extent of decay in the back teeth, specifically in areas where. One bitewing is taken for each side to assess the posterior teeth. Bitewing radiographs take their name from the original technique which required the patient to bite on. What Is A Bite Wing.
From www.slideshare.net
radiologybitewingtechnique What Is A Bite Wing Bitewing radiography is an efficient imaging method that can be. The patient bites down on a little tab or wing that holds the apparatus in place. One bitewing is taken for each side to assess the posterior teeth. Bitewings reveal the presence and extent of decay in the back teeth, specifically in areas where. Bitewing radiographs take their name from. What Is A Bite Wing.
From www.slideshare.net
radiologybitewingtechnique What Is A Bite Wing Bitewings reveal the presence and extent of decay in the back teeth, specifically in areas where. Bitewing radiography is an efficient imaging method that can be. The patient bites down on a little tab or wing that holds the apparatus in place. Generally, these x rays are taken once per year and are used to diagnose decay that is found. What Is A Bite Wing.
From medizzy.com
Bitewing radiograph uses MEDizzy What Is A Bite Wing The patient bites down on a little tab or wing that holds the apparatus in place. Bitewings reveal the presence and extent of decay in the back teeth, specifically in areas where. Bitewing radiography is an efficient imaging method that can be. One bitewing is taken for each side to assess the posterior teeth. Bitewing radiographs take their name from. What Is A Bite Wing.
From www.slideserve.com
PPT The Bitewing Technique PowerPoint Presentation, free download What Is A Bite Wing The patient bites down on a little tab or wing that holds the apparatus in place. The patient bites down on a little tab or wing that holds the apparatus in place. One bitewing is taken for each side to assess the posterior teeth. Bitewings reveal the presence and extent of decay in the back teeth, specifically in areas where.. What Is A Bite Wing.
From flickr.com
Bite Wings Typical set of four bite wing xrays. Sam Feinstein Flickr What Is A Bite Wing Generally, these x rays are taken once per year and are used to diagnose decay that is found in between the teeth and in new or recurring decay under existing. Bitewing radiography is an efficient imaging method that can be. The patient bites down on a little tab or wing that holds the apparatus in place. Bitewing radiographs take their. What Is A Bite Wing.
From www.drjrobb.com
What are Bitewing Xrays and Why Do You Take Them? What Is A Bite Wing Bitewing radiographs take their name from the original technique which required the patient to bite on a small wing. Bitewings reveal the presence and extent of decay in the back teeth, specifically in areas where. The patient bites down on a little tab or wing that holds the apparatus in place. The patient bites down on a little tab or. What Is A Bite Wing.
From www.maurosavio.com
Radiografie con tecnica Bite Wings Mauro Savio What Is A Bite Wing Bitewing radiographs take their name from the original technique which required the patient to bite on a small wing. The patient bites down on a little tab or wing that holds the apparatus in place. Bitewings reveal the presence and extent of decay in the back teeth, specifically in areas where. The patient bites down on a little tab or. What Is A Bite Wing.
From dentistry.com
Bitewing Xrays What Is A Bite Wing Bitewings reveal the presence and extent of decay in the back teeth, specifically in areas where. One bitewing is taken for each side to assess the posterior teeth. The patient bites down on a little tab or wing that holds the apparatus in place. The patient bites down on a little tab or wing that holds the apparatus in place.. What Is A Bite Wing.
From www.maurosavio.com
Radiografie con tecnica Bite Wings Mauro Savio What Is A Bite Wing The patient bites down on a little tab or wing that holds the apparatus in place. Bitewing radiographs take their name from the original technique which required the patient to bite on a small wing. Bitewing radiography is an efficient imaging method that can be. Bitewings reveal the presence and extent of decay in the back teeth, specifically in areas. What Is A Bite Wing.
From www.slideshare.net
radiologybitewingtechnique What Is A Bite Wing Bitewing radiography is an efficient imaging method that can be. One bitewing is taken for each side to assess the posterior teeth. Bitewing radiographs take their name from the original technique which required the patient to bite on a small wing. Bitewings reveal the presence and extent of decay in the back teeth, specifically in areas where. The patient bites. What Is A Bite Wing.
From www.slideserve.com
PPT The Bitewing Technique PowerPoint Presentation, free download What Is A Bite Wing Bitewing radiography is an efficient imaging method that can be. The patient bites down on a little tab or wing that holds the apparatus in place. Bitewing radiographs take their name from the original technique which required the patient to bite on a small wing. The patient bites down on a little tab or wing that holds the apparatus in. What Is A Bite Wing.