Dental Abutment Design . It’s used when installing a dental crown or dental bridge to the implant. A dental abutment is a small connector piece used in restoring the crown to the dental implant. Virtual atlantis design (vad) software makes it possible to design. The purpose of this article (part 1) is to highlight the different dental abutment types that manufacturers provide to practitioners when they need to restore an implant. Selecting the right abutment for a dental implant is a critical step in the treatment process. A screw design is the most commonly used implant body to initially fixate an implant into bone and load the bone after hard tissue healing. However, overcoming the esthetic and microbial seal issues warranted a novel approach to the design of the abutment connection. Dental abutment design services for titanium, zirconia hybrid, slm np custom hybrid, and more. It ensures proper fit, support,. A screw almost always is also used to.
from www.uptowndentallab.com
Dental abutment design services for titanium, zirconia hybrid, slm np custom hybrid, and more. The purpose of this article (part 1) is to highlight the different dental abutment types that manufacturers provide to practitioners when they need to restore an implant. However, overcoming the esthetic and microbial seal issues warranted a novel approach to the design of the abutment connection. It ensures proper fit, support,. A screw design is the most commonly used implant body to initially fixate an implant into bone and load the bone after hard tissue healing. A dental abutment is a small connector piece used in restoring the crown to the dental implant. Virtual atlantis design (vad) software makes it possible to design. Selecting the right abutment for a dental implant is a critical step in the treatment process. It’s used when installing a dental crown or dental bridge to the implant. A screw almost always is also used to.
Custom Abutment Implant Cost Uptown Dental Lab
Dental Abutment Design It’s used when installing a dental crown or dental bridge to the implant. It’s used when installing a dental crown or dental bridge to the implant. A screw design is the most commonly used implant body to initially fixate an implant into bone and load the bone after hard tissue healing. A screw almost always is also used to. Virtual atlantis design (vad) software makes it possible to design. A dental abutment is a small connector piece used in restoring the crown to the dental implant. The purpose of this article (part 1) is to highlight the different dental abutment types that manufacturers provide to practitioners when they need to restore an implant. Selecting the right abutment for a dental implant is a critical step in the treatment process. It ensures proper fit, support,. However, overcoming the esthetic and microbial seal issues warranted a novel approach to the design of the abutment connection. Dental abutment design services for titanium, zirconia hybrid, slm np custom hybrid, and more.
From pantheradental.com
Custom Abutments Panthera Dental Dental Abutment Design However, overcoming the esthetic and microbial seal issues warranted a novel approach to the design of the abutment connection. A dental abutment is a small connector piece used in restoring the crown to the dental implant. Selecting the right abutment for a dental implant is a critical step in the treatment process. The purpose of this article (part 1) is. Dental Abutment Design.
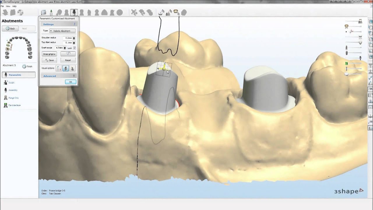
From www.youtube.com
NT Dental Hybrid Abutment Design in 3shape® YouTube Dental Abutment Design The purpose of this article (part 1) is to highlight the different dental abutment types that manufacturers provide to practitioners when they need to restore an implant. A screw design is the most commonly used implant body to initially fixate an implant into bone and load the bone after hard tissue healing. Selecting the right abutment for a dental implant. Dental Abutment Design.
From leeannbrady.com
Anterior Implant Abutment Design Lee Ann Brady DMD Dental Abutment Design Selecting the right abutment for a dental implant is a critical step in the treatment process. However, overcoming the esthetic and microbial seal issues warranted a novel approach to the design of the abutment connection. The purpose of this article (part 1) is to highlight the different dental abutment types that manufacturers provide to practitioners when they need to restore. Dental Abutment Design.
From www.studio32dental.com
Custom Abutments Studio32 Dental Laboratory Dental Abutment Design Virtual atlantis design (vad) software makes it possible to design. A screw design is the most commonly used implant body to initially fixate an implant into bone and load the bone after hard tissue healing. Selecting the right abutment for a dental implant is a critical step in the treatment process. It ensures proper fit, support,. However, overcoming the esthetic. Dental Abutment Design.
From www.youtube.com
3DBioCAD Dental System Implant Abutment Design Pt. 1 YouTube Dental Abutment Design It ensures proper fit, support,. Virtual atlantis design (vad) software makes it possible to design. A dental abutment is a small connector piece used in restoring the crown to the dental implant. The purpose of this article (part 1) is to highlight the different dental abutment types that manufacturers provide to practitioners when they need to restore an implant. A. Dental Abutment Design.
From www.speareducation.com
Dentist or Technician Who Chooses the Implant Abutment? Spear Education Dental Abutment Design Selecting the right abutment for a dental implant is a critical step in the treatment process. Dental abutment design services for titanium, zirconia hybrid, slm np custom hybrid, and more. The purpose of this article (part 1) is to highlight the different dental abutment types that manufacturers provide to practitioners when they need to restore an implant. A dental abutment. Dental Abutment Design.
From longfallsdentistry.com
Everything You Need To Know About Abutment Teeth Long Falls Dentistry Dental Abutment Design It ensures proper fit, support,. Virtual atlantis design (vad) software makes it possible to design. Dental abutment design services for titanium, zirconia hybrid, slm np custom hybrid, and more. A screw almost always is also used to. A screw design is the most commonly used implant body to initially fixate an implant into bone and load the bone after hard. Dental Abutment Design.
From ariadentaled.com.au
The Basics of Implant Abutments Australasian Restorative and Implant Dental Abutment Design The purpose of this article (part 1) is to highlight the different dental abutment types that manufacturers provide to practitioners when they need to restore an implant. Selecting the right abutment for a dental implant is a critical step in the treatment process. Dental abutment design services for titanium, zirconia hybrid, slm np custom hybrid, and more. A screw design. Dental Abutment Design.
From encyclopedia.pub
Biomechanical Aspects at Dental ImplantAbutment Interfaces Dental Abutment Design The purpose of this article (part 1) is to highlight the different dental abutment types that manufacturers provide to practitioners when they need to restore an implant. However, overcoming the esthetic and microbial seal issues warranted a novel approach to the design of the abutment connection. Dental abutment design services for titanium, zirconia hybrid, slm np custom hybrid, and more.. Dental Abutment Design.
From www.speareducation.com
The 2Piece Custom Implant Abutment Spear Education Dental Abutment Design Dental abutment design services for titanium, zirconia hybrid, slm np custom hybrid, and more. It’s used when installing a dental crown or dental bridge to the implant. It ensures proper fit, support,. A screw almost always is also used to. However, overcoming the esthetic and microbial seal issues warranted a novel approach to the design of the abutment connection. A. Dental Abutment Design.
From www.youtube.com
exocad Video Tutorial (basic) Custom Abutment Design YouTube Dental Abutment Design A dental abutment is a small connector piece used in restoring the crown to the dental implant. The purpose of this article (part 1) is to highlight the different dental abutment types that manufacturers provide to practitioners when they need to restore an implant. However, overcoming the esthetic and microbial seal issues warranted a novel approach to the design of. Dental Abutment Design.
From dentalbrother.com
Dess Custom Titanium Abutment + Nanoceramic Screw Retained Crown Dental Abutment Design However, overcoming the esthetic and microbial seal issues warranted a novel approach to the design of the abutment connection. Selecting the right abutment for a dental implant is a critical step in the treatment process. Dental abutment design services for titanium, zirconia hybrid, slm np custom hybrid, and more. Virtual atlantis design (vad) software makes it possible to design. A. Dental Abutment Design.
From glidewelldental.com
Scannable Abutments Digital Impressions for Dental Implants Dental Abutment Design A screw almost always is also used to. It’s used when installing a dental crown or dental bridge to the implant. Dental abutment design services for titanium, zirconia hybrid, slm np custom hybrid, and more. However, overcoming the esthetic and microbial seal issues warranted a novel approach to the design of the abutment connection. The purpose of this article (part. Dental Abutment Design.
From classiccraftdental.com
Abutments Classic Craft Dental Lab Dental Abutment Design Virtual atlantis design (vad) software makes it possible to design. However, overcoming the esthetic and microbial seal issues warranted a novel approach to the design of the abutment connection. It ensures proper fit, support,. A screw almost always is also used to. It’s used when installing a dental crown or dental bridge to the implant. Selecting the right abutment for. Dental Abutment Design.
From lynnfielddental.com
What Are Dental Implant Abutment? Lynnfield Dental Associates Blog Dental Abutment Design A screw design is the most commonly used implant body to initially fixate an implant into bone and load the bone after hard tissue healing. It’s used when installing a dental crown or dental bridge to the implant. Dental abutment design services for titanium, zirconia hybrid, slm np custom hybrid, and more. The purpose of this article (part 1) is. Dental Abutment Design.
From www.youtube.com
How to Design an Abutment with 3Shape Dental System YouTube Dental Abutment Design Dental abutment design services for titanium, zirconia hybrid, slm np custom hybrid, and more. Virtual atlantis design (vad) software makes it possible to design. A screw almost always is also used to. However, overcoming the esthetic and microbial seal issues warranted a novel approach to the design of the abutment connection. It’s used when installing a dental crown or dental. Dental Abutment Design.
From ariadentaled.com.au
The Basics of Implant Abutments Australasian Restorative and Implant Dental Abutment Design However, overcoming the esthetic and microbial seal issues warranted a novel approach to the design of the abutment connection. A dental abutment is a small connector piece used in restoring the crown to the dental implant. Dental abutment design services for titanium, zirconia hybrid, slm np custom hybrid, and more. Virtual atlantis design (vad) software makes it possible to design.. Dental Abutment Design.
From www.myradental.co.uk
Dental Implant Abutment Definition, Uses, Types & Procedures Dental Abutment Design It ensures proper fit, support,. Virtual atlantis design (vad) software makes it possible to design. A screw almost always is also used to. However, overcoming the esthetic and microbial seal issues warranted a novel approach to the design of the abutment connection. A screw design is the most commonly used implant body to initially fixate an implant into bone and. Dental Abutment Design.
From www.aegisdentalnetwork.com
Guaranteed TopNotch Customized Abutments November 2016 Inside Dental Abutment Design Selecting the right abutment for a dental implant is a critical step in the treatment process. Virtual atlantis design (vad) software makes it possible to design. Dental abutment design services for titanium, zirconia hybrid, slm np custom hybrid, and more. A dental abutment is a small connector piece used in restoring the crown to the dental implant. A screw almost. Dental Abutment Design.
From serenitydentalclinic.com
Stock abutment vs CAD/CAM customized abutment Dental Abutment Design Virtual atlantis design (vad) software makes it possible to design. Dental abutment design services for titanium, zirconia hybrid, slm np custom hybrid, and more. The purpose of this article (part 1) is to highlight the different dental abutment types that manufacturers provide to practitioners when they need to restore an implant. However, overcoming the esthetic and microbial seal issues warranted. Dental Abutment Design.
From implanet.net
Castable / UCLA Abutments Dental Pro™ Dental Abutment Design Virtual atlantis design (vad) software makes it possible to design. However, overcoming the esthetic and microbial seal issues warranted a novel approach to the design of the abutment connection. It ensures proper fit, support,. The purpose of this article (part 1) is to highlight the different dental abutment types that manufacturers provide to practitioners when they need to restore an. Dental Abutment Design.
From caedental.com
Abutment Design Fee CAE Dental Dental Abutment Design A dental abutment is a small connector piece used in restoring the crown to the dental implant. Virtual atlantis design (vad) software makes it possible to design. A screw almost always is also used to. However, overcoming the esthetic and microbial seal issues warranted a novel approach to the design of the abutment connection. It ensures proper fit, support,. A. Dental Abutment Design.
From www.bauersmiles.com
Hybrid abutment or H abutment Dental implant abutment Bauer Smiles Dental Abutment Design However, overcoming the esthetic and microbial seal issues warranted a novel approach to the design of the abutment connection. Dental abutment design services for titanium, zirconia hybrid, slm np custom hybrid, and more. The purpose of this article (part 1) is to highlight the different dental abutment types that manufacturers provide to practitioners when they need to restore an implant.. Dental Abutment Design.
From ar.inspiredpencil.com
Abutment Teeth Dental Abutment Design A dental abutment is a small connector piece used in restoring the crown to the dental implant. Virtual atlantis design (vad) software makes it possible to design. A screw design is the most commonly used implant body to initially fixate an implant into bone and load the bone after hard tissue healing. Dental abutment design services for titanium, zirconia hybrid,. Dental Abutment Design.
From www.crystaldentaldesign.com
Home Crystal Dental Design Dental Abutment Design Selecting the right abutment for a dental implant is a critical step in the treatment process. The purpose of this article (part 1) is to highlight the different dental abutment types that manufacturers provide to practitioners when they need to restore an implant. A screw almost always is also used to. Dental abutment design services for titanium, zirconia hybrid, slm. Dental Abutment Design.
From www.youtube.com
Dental System™ 2010 Abutment Designer YouTube Dental Abutment Design A screw almost always is also used to. It’s used when installing a dental crown or dental bridge to the implant. Selecting the right abutment for a dental implant is a critical step in the treatment process. It ensures proper fit, support,. Dental abutment design services for titanium, zirconia hybrid, slm np custom hybrid, and more. However, overcoming the esthetic. Dental Abutment Design.
From www.thejpd.org
Removable partial denture design using milled abutment surfaces and Dental Abutment Design However, overcoming the esthetic and microbial seal issues warranted a novel approach to the design of the abutment connection. Virtual atlantis design (vad) software makes it possible to design. A screw design is the most commonly used implant body to initially fixate an implant into bone and load the bone after hard tissue healing. Dental abutment design services for titanium,. Dental Abutment Design.
From www.uptowndentallab.com
Custom Abutment Implant Cost Uptown Dental Lab Dental Abutment Design It’s used when installing a dental crown or dental bridge to the implant. Dental abutment design services for titanium, zirconia hybrid, slm np custom hybrid, and more. It ensures proper fit, support,. Selecting the right abutment for a dental implant is a critical step in the treatment process. A screw design is the most commonly used implant body to initially. Dental Abutment Design.
From www.sbodentallaboratory.co.uk
Types of Abutment Dental Abutment Design Dental abutment design services for titanium, zirconia hybrid, slm np custom hybrid, and more. The purpose of this article (part 1) is to highlight the different dental abutment types that manufacturers provide to practitioners when they need to restore an implant. A dental abutment is a small connector piece used in restoring the crown to the dental implant. It’s used. Dental Abutment Design.
From ariadentaled.com.au
The Basics of Implant Abutments Australasian Restorative and Implant Dental Abutment Design However, overcoming the esthetic and microbial seal issues warranted a novel approach to the design of the abutment connection. A screw almost always is also used to. Selecting the right abutment for a dental implant is a critical step in the treatment process. Virtual atlantis design (vad) software makes it possible to design. The purpose of this article (part 1). Dental Abutment Design.
From periobasics.com
Dental implant components and current concepts in implant design Dental Abutment Design It ensures proper fit, support,. However, overcoming the esthetic and microbial seal issues warranted a novel approach to the design of the abutment connection. The purpose of this article (part 1) is to highlight the different dental abutment types that manufacturers provide to practitioners when they need to restore an implant. A screw almost always is also used to. Selecting. Dental Abutment Design.
From www.slideshare.net
Design of a fixed Partial Denture (with Abutment Tooth Preparation) Dental Abutment Design A screw almost always is also used to. Selecting the right abutment for a dental implant is a critical step in the treatment process. A screw design is the most commonly used implant body to initially fixate an implant into bone and load the bone after hard tissue healing. Dental abutment design services for titanium, zirconia hybrid, slm np custom. Dental Abutment Design.
From caedental.com
Abutment Design Fee CAE Dental Dental Abutment Design A dental abutment is a small connector piece used in restoring the crown to the dental implant. It ensures proper fit, support,. However, overcoming the esthetic and microbial seal issues warranted a novel approach to the design of the abutment connection. A screw design is the most commonly used implant body to initially fixate an implant into bone and load. Dental Abutment Design.
From www.youtube.com
Customized zirconia abutment on titanium base CAD Design YouTube Dental Abutment Design It’s used when installing a dental crown or dental bridge to the implant. Virtual atlantis design (vad) software makes it possible to design. The purpose of this article (part 1) is to highlight the different dental abutment types that manufacturers provide to practitioners when they need to restore an implant. However, overcoming the esthetic and microbial seal issues warranted a. Dental Abutment Design.
From www.uptowndentallab.com
Custom Abutment Implant Cost Uptown Dental Lab Dental Abutment Design Dental abutment design services for titanium, zirconia hybrid, slm np custom hybrid, and more. Selecting the right abutment for a dental implant is a critical step in the treatment process. The purpose of this article (part 1) is to highlight the different dental abutment types that manufacturers provide to practitioners when they need to restore an implant. It ensures proper. Dental Abutment Design.