Lupus And Pancreatitis . gastrointestinal involvement is a common complain observed in. acute pancreatitis is uncommon in systemic lupus. acute pancreatitis may be the first manifestation in systemic lupus erythematosus or occur during evolution. systemic lupus erythematosus (sle) is a complex autoimmune pathology that can involve.
from askthenurseexpert.com
gastrointestinal involvement is a common complain observed in. acute pancreatitis is uncommon in systemic lupus. systemic lupus erythematosus (sle) is a complex autoimmune pathology that can involve. acute pancreatitis may be the first manifestation in systemic lupus erythematosus or occur during evolution.
Understanding Acute Pancreatitis Causes, Symptoms, And Treatment Ask
Lupus And Pancreatitis acute pancreatitis may be the first manifestation in systemic lupus erythematosus or occur during evolution. acute pancreatitis may be the first manifestation in systemic lupus erythematosus or occur during evolution. gastrointestinal involvement is a common complain observed in. acute pancreatitis is uncommon in systemic lupus. systemic lupus erythematosus (sle) is a complex autoimmune pathology that can involve.
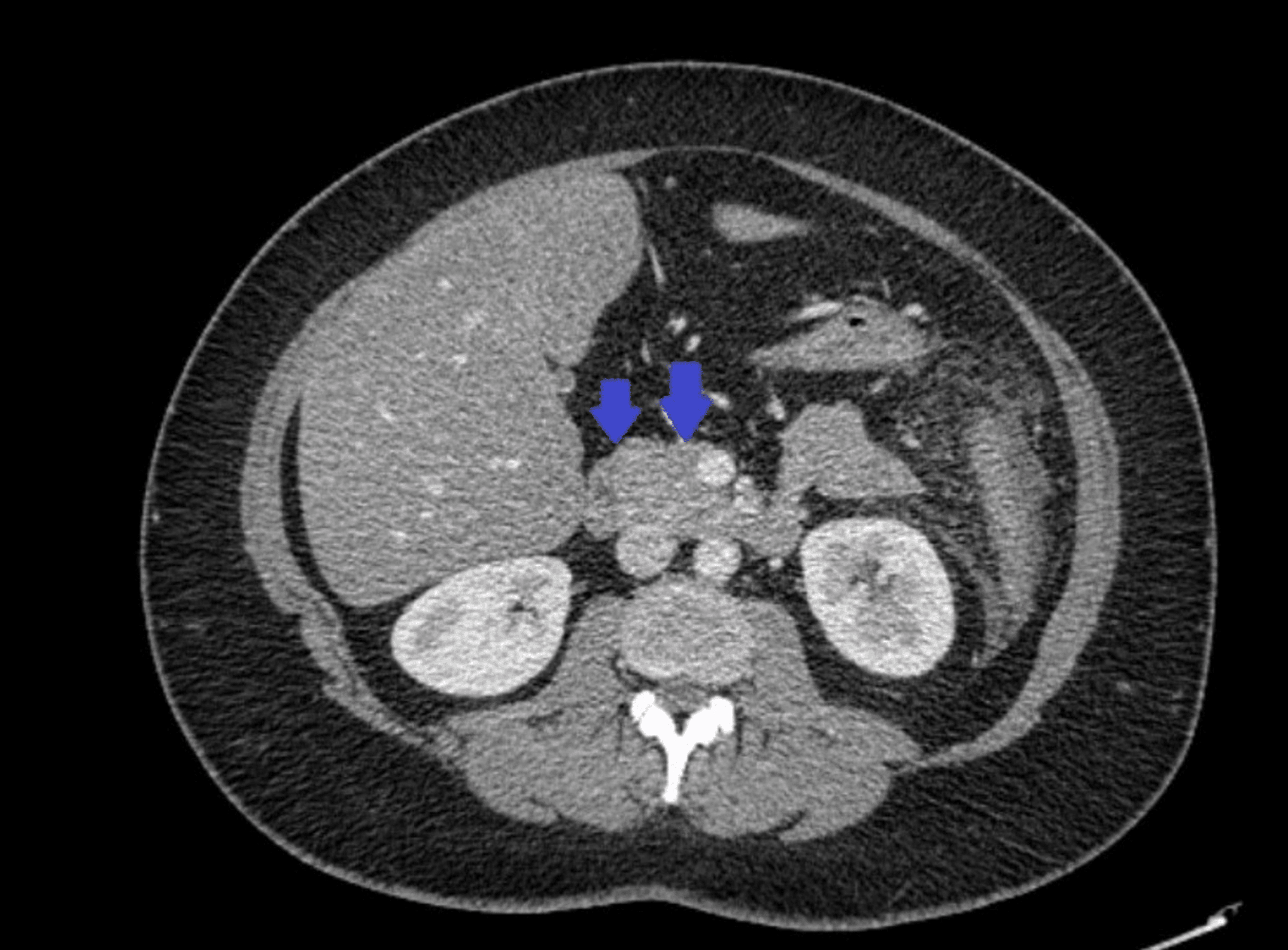
From www.researchgate.net
(PDF) Lupus pancreatitis. Lupus And Pancreatitis acute pancreatitis may be the first manifestation in systemic lupus erythematosus or occur during evolution. acute pancreatitis is uncommon in systemic lupus. gastrointestinal involvement is a common complain observed in. systemic lupus erythematosus (sle) is a complex autoimmune pathology that can involve. Lupus And Pancreatitis.
From www.researchgate.net
(PDF) Systemic Lupus Erythematosus Pancreatitis An Lupus And Pancreatitis acute pancreatitis may be the first manifestation in systemic lupus erythematosus or occur during evolution. acute pancreatitis is uncommon in systemic lupus. systemic lupus erythematosus (sle) is a complex autoimmune pathology that can involve. gastrointestinal involvement is a common complain observed in. Lupus And Pancreatitis.
From www.researchgate.net
(PDF) Pancreatitis in systemic lupus erythematosus Clinical Lupus And Pancreatitis gastrointestinal involvement is a common complain observed in. acute pancreatitis may be the first manifestation in systemic lupus erythematosus or occur during evolution. acute pancreatitis is uncommon in systemic lupus. systemic lupus erythematosus (sle) is a complex autoimmune pathology that can involve. Lupus And Pancreatitis.
From www.verywellhealth.com
Overview of Lupus and Pancreatitis Lupus And Pancreatitis acute pancreatitis may be the first manifestation in systemic lupus erythematosus or occur during evolution. gastrointestinal involvement is a common complain observed in. acute pancreatitis is uncommon in systemic lupus. systemic lupus erythematosus (sle) is a complex autoimmune pathology that can involve. Lupus And Pancreatitis.
From www.jrheum.org
Pancreatitis in Systemic Lupus Erythematosus Frequency and Associated Lupus And Pancreatitis systemic lupus erythematosus (sle) is a complex autoimmune pathology that can involve. gastrointestinal involvement is a common complain observed in. acute pancreatitis is uncommon in systemic lupus. acute pancreatitis may be the first manifestation in systemic lupus erythematosus or occur during evolution. Lupus And Pancreatitis.
From www.pacehospital.com
Pancreatitis Acute and Chronic Symptoms, Causes and Treatment Lupus And Pancreatitis systemic lupus erythematosus (sle) is a complex autoimmune pathology that can involve. acute pancreatitis is uncommon in systemic lupus. gastrointestinal involvement is a common complain observed in. acute pancreatitis may be the first manifestation in systemic lupus erythematosus or occur during evolution. Lupus And Pancreatitis.
From medicaregate.com
Acute Pancreatitis Causes, Symptoms, Diagnosis and Treatments Lupus And Pancreatitis acute pancreatitis may be the first manifestation in systemic lupus erythematosus or occur during evolution. gastrointestinal involvement is a common complain observed in. systemic lupus erythematosus (sle) is a complex autoimmune pathology that can involve. acute pancreatitis is uncommon in systemic lupus. Lupus And Pancreatitis.
From www.researchgate.net
(PDF) Inpatient of Acute Pancreatitis Among Patients With Lupus And Pancreatitis systemic lupus erythematosus (sle) is a complex autoimmune pathology that can involve. gastrointestinal involvement is a common complain observed in. acute pancreatitis is uncommon in systemic lupus. acute pancreatitis may be the first manifestation in systemic lupus erythematosus or occur during evolution. Lupus And Pancreatitis.
From www.nutritionfact.in
Pancreatitis Types, Symptoms NutritionFact.in Lupus And Pancreatitis acute pancreatitis is uncommon in systemic lupus. gastrointestinal involvement is a common complain observed in. systemic lupus erythematosus (sle) is a complex autoimmune pathology that can involve. acute pancreatitis may be the first manifestation in systemic lupus erythematosus or occur during evolution. Lupus And Pancreatitis.
From www.analesdepediatria.org
Pancreatitis y lupus Anales de Pediatría Lupus And Pancreatitis acute pancreatitis may be the first manifestation in systemic lupus erythematosus or occur during evolution. gastrointestinal involvement is a common complain observed in. acute pancreatitis is uncommon in systemic lupus. systemic lupus erythematosus (sle) is a complex autoimmune pathology that can involve. Lupus And Pancreatitis.
From www.jabfm.org
A Rare Initial Manifestation of Systemic Lupus Erythematosus—Acute Lupus And Pancreatitis acute pancreatitis is uncommon in systemic lupus. systemic lupus erythematosus (sle) is a complex autoimmune pathology that can involve. gastrointestinal involvement is a common complain observed in. acute pancreatitis may be the first manifestation in systemic lupus erythematosus or occur during evolution. Lupus And Pancreatitis.
From www.researchgate.net
(PDF) Chronic Pancreatitis and Systemic Lupus Erythematosus An Lupus And Pancreatitis acute pancreatitis may be the first manifestation in systemic lupus erythematosus or occur during evolution. gastrointestinal involvement is a common complain observed in. systemic lupus erythematosus (sle) is a complex autoimmune pathology that can involve. acute pancreatitis is uncommon in systemic lupus. Lupus And Pancreatitis.
From www.semanticscholar.org
Figure 1 from Acute Pancreatitis After the Use of Belimumab in a Lupus And Pancreatitis gastrointestinal involvement is a common complain observed in. acute pancreatitis may be the first manifestation in systemic lupus erythematosus or occur during evolution. acute pancreatitis is uncommon in systemic lupus. systemic lupus erythematosus (sle) is a complex autoimmune pathology that can involve. Lupus And Pancreatitis.
From www.pacehospital.com
Pancreatitis Acute and Chronic Symptoms, Causes and Treatment Lupus And Pancreatitis acute pancreatitis may be the first manifestation in systemic lupus erythematosus or occur during evolution. acute pancreatitis is uncommon in systemic lupus. gastrointestinal involvement is a common complain observed in. systemic lupus erythematosus (sle) is a complex autoimmune pathology that can involve. Lupus And Pancreatitis.
From www.researchgate.net
(PDF) Children systemic lupus erythematosusassociated pancreatitis Lupus And Pancreatitis gastrointestinal involvement is a common complain observed in. acute pancreatitis is uncommon in systemic lupus. acute pancreatitis may be the first manifestation in systemic lupus erythematosus or occur during evolution. systemic lupus erythematosus (sle) is a complex autoimmune pathology that can involve. Lupus And Pancreatitis.
From instacare.pk
What Are the Various Signs And Symptoms Of Pancreatitis? Lupus And Pancreatitis acute pancreatitis is uncommon in systemic lupus. gastrointestinal involvement is a common complain observed in. systemic lupus erythematosus (sle) is a complex autoimmune pathology that can involve. acute pancreatitis may be the first manifestation in systemic lupus erythematosus or occur during evolution. Lupus And Pancreatitis.
From www.umqaa.com
What is the Glasgow criteria for prognosis in acute pancreatitis? Lupus And Pancreatitis systemic lupus erythematosus (sle) is a complex autoimmune pathology that can involve. acute pancreatitis may be the first manifestation in systemic lupus erythematosus or occur during evolution. gastrointestinal involvement is a common complain observed in. acute pancreatitis is uncommon in systemic lupus. Lupus And Pancreatitis.
From community.bulksupplements.com
Pancreatitis Symptoms, Causes & Treatment Lupus And Pancreatitis acute pancreatitis may be the first manifestation in systemic lupus erythematosus or occur during evolution. acute pancreatitis is uncommon in systemic lupus. systemic lupus erythematosus (sle) is a complex autoimmune pathology that can involve. gastrointestinal involvement is a common complain observed in. Lupus And Pancreatitis.
From www.semanticscholar.org
[PDF] Pancreatitis and systemic lupus erythematosus. Semantic Scholar Lupus And Pancreatitis acute pancreatitis may be the first manifestation in systemic lupus erythematosus or occur during evolution. acute pancreatitis is uncommon in systemic lupus. gastrointestinal involvement is a common complain observed in. systemic lupus erythematosus (sle) is a complex autoimmune pathology that can involve. Lupus And Pancreatitis.
From askthenurseexpert.com
Understanding Acute Pancreatitis Causes, Symptoms, And Treatment Ask Lupus And Pancreatitis gastrointestinal involvement is a common complain observed in. acute pancreatitis may be the first manifestation in systemic lupus erythematosus or occur during evolution. systemic lupus erythematosus (sle) is a complex autoimmune pathology that can involve. acute pancreatitis is uncommon in systemic lupus. Lupus And Pancreatitis.
From www.youtube.com
Acute Pancreatitis Causes, Signs & Symptoms, Pathophysiology Lupus And Pancreatitis acute pancreatitis may be the first manifestation in systemic lupus erythematosus or occur during evolution. acute pancreatitis is uncommon in systemic lupus. gastrointestinal involvement is a common complain observed in. systemic lupus erythematosus (sle) is a complex autoimmune pathology that can involve. Lupus And Pancreatitis.
From www.researchgate.net
(PDF) Acute pancreatitis as the initial presentation in systemic lupus Lupus And Pancreatitis acute pancreatitis is uncommon in systemic lupus. acute pancreatitis may be the first manifestation in systemic lupus erythematosus or occur during evolution. gastrointestinal involvement is a common complain observed in. systemic lupus erythematosus (sle) is a complex autoimmune pathology that can involve. Lupus And Pancreatitis.
From www.semanticscholar.org
Table 1 from Lupus pancreatitis early manifestation of active disease Lupus And Pancreatitis gastrointestinal involvement is a common complain observed in. acute pancreatitis is uncommon in systemic lupus. systemic lupus erythematosus (sle) is a complex autoimmune pathology that can involve. acute pancreatitis may be the first manifestation in systemic lupus erythematosus or occur during evolution. Lupus And Pancreatitis.
From www.researchgate.net
(PDF) A case of lupusassociated pancreatitis with ruptured pseudoaneurysms Lupus And Pancreatitis acute pancreatitis is uncommon in systemic lupus. acute pancreatitis may be the first manifestation in systemic lupus erythematosus or occur during evolution. gastrointestinal involvement is a common complain observed in. systemic lupus erythematosus (sle) is a complex autoimmune pathology that can involve. Lupus And Pancreatitis.
From www.semanticscholar.org
Figure 1 from Acute pancreatitis As a Presenting Manifestation of Lupus And Pancreatitis acute pancreatitis may be the first manifestation in systemic lupus erythematosus or occur during evolution. gastrointestinal involvement is a common complain observed in. acute pancreatitis is uncommon in systemic lupus. systemic lupus erythematosus (sle) is a complex autoimmune pathology that can involve. Lupus And Pancreatitis.
From www.researchgate.net
(PDF) Lupus Pancreatitis A Rarely Revealing Condition of Systemic Lupus And Pancreatitis acute pancreatitis is uncommon in systemic lupus. gastrointestinal involvement is a common complain observed in. systemic lupus erythematosus (sle) is a complex autoimmune pathology that can involve. acute pancreatitis may be the first manifestation in systemic lupus erythematosus or occur during evolution. Lupus And Pancreatitis.
From journalmc.org
Acute Pancreatitis A Rare Presentation of Systemic Lupus Erythematosus Lupus And Pancreatitis systemic lupus erythematosus (sle) is a complex autoimmune pathology that can involve. acute pancreatitis may be the first manifestation in systemic lupus erythematosus or occur during evolution. gastrointestinal involvement is a common complain observed in. acute pancreatitis is uncommon in systemic lupus. Lupus And Pancreatitis.
From www.researchgate.net
(PDF) Acute pancreatitis An unusual presentation of systemic lupus Lupus And Pancreatitis acute pancreatitis may be the first manifestation in systemic lupus erythematosus or occur during evolution. gastrointestinal involvement is a common complain observed in. acute pancreatitis is uncommon in systemic lupus. systemic lupus erythematosus (sle) is a complex autoimmune pathology that can involve. Lupus And Pancreatitis.
From www.pacehospital.com
Pancreatitis Acute and Chronic Symptoms, Causes and Treatment Lupus And Pancreatitis acute pancreatitis is uncommon in systemic lupus. gastrointestinal involvement is a common complain observed in. systemic lupus erythematosus (sle) is a complex autoimmune pathology that can involve. acute pancreatitis may be the first manifestation in systemic lupus erythematosus or occur during evolution. Lupus And Pancreatitis.
From www.inkl.com
What is pancreatitis? 4 symptoms to look out for after… Lupus And Pancreatitis acute pancreatitis is uncommon in systemic lupus. acute pancreatitis may be the first manifestation in systemic lupus erythematosus or occur during evolution. systemic lupus erythematosus (sle) is a complex autoimmune pathology that can involve. gastrointestinal involvement is a common complain observed in. Lupus And Pancreatitis.
From www.semanticscholar.org
Figure 1 from Lupusassociated pancreatitis complicated by pancreatic Lupus And Pancreatitis systemic lupus erythematosus (sle) is a complex autoimmune pathology that can involve. acute pancreatitis may be the first manifestation in systemic lupus erythematosus or occur during evolution. gastrointestinal involvement is a common complain observed in. acute pancreatitis is uncommon in systemic lupus. Lupus And Pancreatitis.
From www.researchgate.net
Prevalence, severity, and clinical features of acute and chronic Lupus And Pancreatitis systemic lupus erythematosus (sle) is a complex autoimmune pathology that can involve. gastrointestinal involvement is a common complain observed in. acute pancreatitis is uncommon in systemic lupus. acute pancreatitis may be the first manifestation in systemic lupus erythematosus or occur during evolution. Lupus And Pancreatitis.
From www.cureus.com
AzathioprineInduced Pancreatitis in a Patient With Systemic Lupus Lupus And Pancreatitis acute pancreatitis may be the first manifestation in systemic lupus erythematosus or occur during evolution. systemic lupus erythematosus (sle) is a complex autoimmune pathology that can involve. gastrointestinal involvement is a common complain observed in. acute pancreatitis is uncommon in systemic lupus. Lupus And Pancreatitis.
From www.semanticscholar.org
Figure 1 from Chronic Pancreatitis and Systemic Lupus Erythematosus An Lupus And Pancreatitis systemic lupus erythematosus (sle) is a complex autoimmune pathology that can involve. acute pancreatitis may be the first manifestation in systemic lupus erythematosus or occur during evolution. acute pancreatitis is uncommon in systemic lupus. gastrointestinal involvement is a common complain observed in. Lupus And Pancreatitis.
From www.researchgate.net
(PDF) Acute Pancreatitis A Rare Presentation of Systemic Lupus Lupus And Pancreatitis gastrointestinal involvement is a common complain observed in. acute pancreatitis is uncommon in systemic lupus. acute pancreatitis may be the first manifestation in systemic lupus erythematosus or occur during evolution. systemic lupus erythematosus (sle) is a complex autoimmune pathology that can involve. Lupus And Pancreatitis.