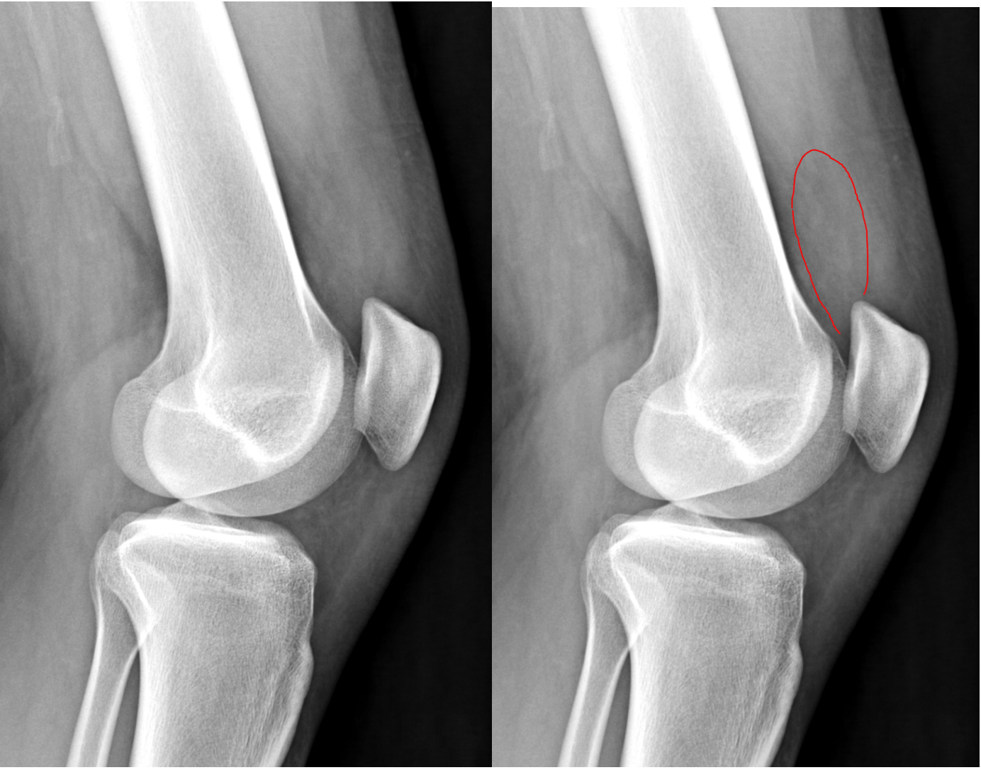
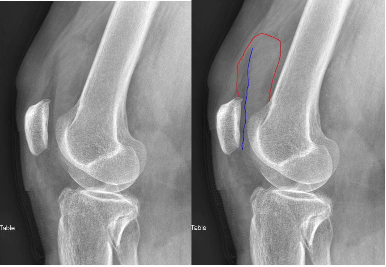
Large Size Knee Joint Effusion . Knee effusion, sometimes called water on the knee, occurs when excess fluid accumulates in or around the knee joint. Swelling and fluid around your joint can be. Four major ligaments support the knee, which is the largest. Knee effusions can arise from traumatic injuries, such as ligament tears or fractures, inflammatory conditions like. A swollen knee occurs when excess fluid collects in or around your knee joint. Common causes include arthritis and injury to knee. Health care providers might refer to this condition as an. The area around your joint may appear larger when compared to the same joint on the other side. Joint effusion can cause a puffy appearance to your joints along with symptoms like pain and. There are certainly other signs of knee joint effusions such as anterior displacement of the patella, but these are only reliably seen on large. A knee effusion refers to an abnormal fluid accumulation within the knee joint. Joint effusion is swelling of the tissues in or around your joint because of extra fluid.
from healthjade.net
Joint effusion can cause a puffy appearance to your joints along with symptoms like pain and. The area around your joint may appear larger when compared to the same joint on the other side. Joint effusion is swelling of the tissues in or around your joint because of extra fluid. A knee effusion refers to an abnormal fluid accumulation within the knee joint. Swelling and fluid around your joint can be. Four major ligaments support the knee, which is the largest. Common causes include arthritis and injury to knee. Health care providers might refer to this condition as an. There are certainly other signs of knee joint effusions such as anterior displacement of the patella, but these are only reliably seen on large. A swollen knee occurs when excess fluid collects in or around your knee joint.
Jointeffusion, knee joint effusion causes, diagnosis, treatment
Large Size Knee Joint Effusion The area around your joint may appear larger when compared to the same joint on the other side. Four major ligaments support the knee, which is the largest. A knee effusion refers to an abnormal fluid accumulation within the knee joint. Health care providers might refer to this condition as an. Joint effusion is swelling of the tissues in or around your joint because of extra fluid. Knee effusion, sometimes called water on the knee, occurs when excess fluid accumulates in or around the knee joint. Joint effusion can cause a puffy appearance to your joints along with symptoms like pain and. Swelling and fluid around your joint can be. Knee effusions can arise from traumatic injuries, such as ligament tears or fractures, inflammatory conditions like. Common causes include arthritis and injury to knee. A swollen knee occurs when excess fluid collects in or around your knee joint. The area around your joint may appear larger when compared to the same joint on the other side. There are certainly other signs of knee joint effusions such as anterior displacement of the patella, but these are only reliably seen on large.
From www.ajronline.org
Accuracy of CrossTable Lateral Knee Radiography for Evaluation of Large Size Knee Joint Effusion Health care providers might refer to this condition as an. Knee effusions can arise from traumatic injuries, such as ligament tears or fractures, inflammatory conditions like. Four major ligaments support the knee, which is the largest. A swollen knee occurs when excess fluid collects in or around your knee joint. Knee effusion, sometimes called water on the knee, occurs when. Large Size Knee Joint Effusion.
From www.researchgate.net
Clinical picture of knee showing effusion. Download Scientific Diagram Large Size Knee Joint Effusion Knee effusions can arise from traumatic injuries, such as ligament tears or fractures, inflammatory conditions like. The area around your joint may appear larger when compared to the same joint on the other side. Joint effusion can cause a puffy appearance to your joints along with symptoms like pain and. A knee effusion refers to an abnormal fluid accumulation within. Large Size Knee Joint Effusion.
From www.verywellhealth.com
Joint Effusion What It Is, Symptoms, Treatment Large Size Knee Joint Effusion Joint effusion is swelling of the tissues in or around your joint because of extra fluid. Common causes include arthritis and injury to knee. Health care providers might refer to this condition as an. Swelling and fluid around your joint can be. A swollen knee occurs when excess fluid collects in or around your knee joint. Joint effusion can cause. Large Size Knee Joint Effusion.
From mavink.com
Knee Joint Effusion Ultrasound Large Size Knee Joint Effusion A swollen knee occurs when excess fluid collects in or around your knee joint. Common causes include arthritis and injury to knee. Swelling and fluid around your joint can be. Knee effusion, sometimes called water on the knee, occurs when excess fluid accumulates in or around the knee joint. Health care providers might refer to this condition as an. Knee. Large Size Knee Joint Effusion.
From geekymedics.com
Musculoskeletal (MSK) Xray Interpretation OSCE Guide Geeky Medics Large Size Knee Joint Effusion There are certainly other signs of knee joint effusions such as anterior displacement of the patella, but these are only reliably seen on large. Four major ligaments support the knee, which is the largest. A knee effusion refers to an abnormal fluid accumulation within the knee joint. Joint effusion is swelling of the tissues in or around your joint because. Large Size Knee Joint Effusion.
From onlinelibrary.wiley.com
Ultrasound for knee effusion lipohaemarthrosis and tibial plateau Large Size Knee Joint Effusion Swelling and fluid around your joint can be. Knee effusion, sometimes called water on the knee, occurs when excess fluid accumulates in or around the knee joint. Health care providers might refer to this condition as an. There are certainly other signs of knee joint effusions such as anterior displacement of the patella, but these are only reliably seen on. Large Size Knee Joint Effusion.
From healthjade.net
Jointeffusion, knee joint effusion causes, diagnosis, treatment Large Size Knee Joint Effusion Four major ligaments support the knee, which is the largest. Common causes include arthritis and injury to knee. There are certainly other signs of knee joint effusions such as anterior displacement of the patella, but these are only reliably seen on large. Joint effusion can cause a puffy appearance to your joints along with symptoms like pain and. A swollen. Large Size Knee Joint Effusion.
From www.mri.theclinics.com
Joint Effusion and Bone Outlines of the Knee Resonance Large Size Knee Joint Effusion Swelling and fluid around your joint can be. Health care providers might refer to this condition as an. A knee effusion refers to an abnormal fluid accumulation within the knee joint. The area around your joint may appear larger when compared to the same joint on the other side. A swollen knee occurs when excess fluid collects in or around. Large Size Knee Joint Effusion.
From www.vejthani.com
Symptoms of Knee Joint Effusion can easily be noticed Large Size Knee Joint Effusion The area around your joint may appear larger when compared to the same joint on the other side. Health care providers might refer to this condition as an. Joint effusion can cause a puffy appearance to your joints along with symptoms like pain and. A swollen knee occurs when excess fluid collects in or around your knee joint. Four major. Large Size Knee Joint Effusion.
From healthjade.net
Jointeffusion, knee joint effusion causes, diagnosis, treatment Large Size Knee Joint Effusion Joint effusion is swelling of the tissues in or around your joint because of extra fluid. Knee effusions can arise from traumatic injuries, such as ligament tears or fractures, inflammatory conditions like. Four major ligaments support the knee, which is the largest. Health care providers might refer to this condition as an. Common causes include arthritis and injury to knee.. Large Size Knee Joint Effusion.
From www.researchgate.net
Right knee radiograph with joint effusion (star) and soft tissue Large Size Knee Joint Effusion Joint effusion can cause a puffy appearance to your joints along with symptoms like pain and. Common causes include arthritis and injury to knee. Knee effusion, sometimes called water on the knee, occurs when excess fluid accumulates in or around the knee joint. Swelling and fluid around your joint can be. Knee effusions can arise from traumatic injuries, such as. Large Size Knee Joint Effusion.
From www.lybrate.com
Knee Effusion Causes, Symptoms, Treatment and Cost Large Size Knee Joint Effusion Knee effusions can arise from traumatic injuries, such as ligament tears or fractures, inflammatory conditions like. Four major ligaments support the knee, which is the largest. Swelling and fluid around your joint can be. Joint effusion is swelling of the tissues in or around your joint because of extra fluid. A knee effusion refers to an abnormal fluid accumulation within. Large Size Knee Joint Effusion.
From radshare.net
Knee Joint Effusions Radiology Article Large Size Knee Joint Effusion A swollen knee occurs when excess fluid collects in or around your knee joint. The area around your joint may appear larger when compared to the same joint on the other side. A knee effusion refers to an abnormal fluid accumulation within the knee joint. Knee effusion, sometimes called water on the knee, occurs when excess fluid accumulates in or. Large Size Knee Joint Effusion.
From www.sciencephoto.com
Knee effusion in HLA B27 patient Stock Image C008/5683 Science Large Size Knee Joint Effusion The area around your joint may appear larger when compared to the same joint on the other side. A knee effusion refers to an abnormal fluid accumulation within the knee joint. A swollen knee occurs when excess fluid collects in or around your knee joint. Swelling and fluid around your joint can be. Common causes include arthritis and injury to. Large Size Knee Joint Effusion.
From pixels.com
Knee Effusion Photograph by Du Cane Medical Imaging Ltd Pixels Large Size Knee Joint Effusion Joint effusion can cause a puffy appearance to your joints along with symptoms like pain and. The area around your joint may appear larger when compared to the same joint on the other side. A swollen knee occurs when excess fluid collects in or around your knee joint. There are certainly other signs of knee joint effusions such as anterior. Large Size Knee Joint Effusion.
From www.researchgate.net
MRI of the knee, showing joint effusion. Download Scientific Diagram Large Size Knee Joint Effusion Health care providers might refer to this condition as an. A swollen knee occurs when excess fluid collects in or around your knee joint. The area around your joint may appear larger when compared to the same joint on the other side. Common causes include arthritis and injury to knee. Knee effusions can arise from traumatic injuries, such as ligament. Large Size Knee Joint Effusion.
From fineartamerica.com
Knee Effusion Photograph by Du Cane Medical Imaging Ltd Fine Art America Large Size Knee Joint Effusion The area around your joint may appear larger when compared to the same joint on the other side. Health care providers might refer to this condition as an. Joint effusion can cause a puffy appearance to your joints along with symptoms like pain and. A swollen knee occurs when excess fluid collects in or around your knee joint. Swelling and. Large Size Knee Joint Effusion.
From dontforgetthebubbles.com
Knee Xrays Large Size Knee Joint Effusion Four major ligaments support the knee, which is the largest. The area around your joint may appear larger when compared to the same joint on the other side. A knee effusion refers to an abnormal fluid accumulation within the knee joint. Common causes include arthritis and injury to knee. Health care providers might refer to this condition as an. Knee. Large Size Knee Joint Effusion.
From journals.sagepub.com
Sonography of Knee Effusion Tony Y. Li, 2020 Large Size Knee Joint Effusion The area around your joint may appear larger when compared to the same joint on the other side. Joint effusion is swelling of the tissues in or around your joint because of extra fluid. Knee effusion, sometimes called water on the knee, occurs when excess fluid accumulates in or around the knee joint. Health care providers might refer to this. Large Size Knee Joint Effusion.
From www.researchgate.net
Sagittal proton density MRI of the knee showing large joint effusion Large Size Knee Joint Effusion The area around your joint may appear larger when compared to the same joint on the other side. Four major ligaments support the knee, which is the largest. Joint effusion is swelling of the tissues in or around your joint because of extra fluid. A swollen knee occurs when excess fluid collects in or around your knee joint. Knee effusions. Large Size Knee Joint Effusion.
From www.sciencephoto.com
Knee effusion after sport's injury Stock Image C015/5993 Science Large Size Knee Joint Effusion The area around your joint may appear larger when compared to the same joint on the other side. Four major ligaments support the knee, which is the largest. Common causes include arthritis and injury to knee. A swollen knee occurs when excess fluid collects in or around your knee joint. Swelling and fluid around your joint can be. There are. Large Size Knee Joint Effusion.
From www.dreamstime.com
Mri Knee Large Joint Effusion with Synovitis Pathology Stock Photo Large Size Knee Joint Effusion The area around your joint may appear larger when compared to the same joint on the other side. Swelling and fluid around your joint can be. A swollen knee occurs when excess fluid collects in or around your knee joint. Common causes include arthritis and injury to knee. Joint effusion is swelling of the tissues in or around your joint. Large Size Knee Joint Effusion.
From www.researchgate.net
MRI of the knee, showing joint effusion. Download Scientific Diagram Large Size Knee Joint Effusion Health care providers might refer to this condition as an. Joint effusion can cause a puffy appearance to your joints along with symptoms like pain and. A swollen knee occurs when excess fluid collects in or around your knee joint. There are certainly other signs of knee joint effusions such as anterior displacement of the patella, but these are only. Large Size Knee Joint Effusion.
From radshare.net
Knee Joint Effusions Radiology Article Large Size Knee Joint Effusion Swelling and fluid around your joint can be. Knee effusions can arise from traumatic injuries, such as ligament tears or fractures, inflammatory conditions like. The area around your joint may appear larger when compared to the same joint on the other side. There are certainly other signs of knee joint effusions such as anterior displacement of the patella, but these. Large Size Knee Joint Effusion.
From www.bmj.com
Traumatic knee injury The BMJ Large Size Knee Joint Effusion Health care providers might refer to this condition as an. Swelling and fluid around your joint can be. There are certainly other signs of knee joint effusions such as anterior displacement of the patella, but these are only reliably seen on large. Joint effusion is swelling of the tissues in or around your joint because of extra fluid. Joint effusion. Large Size Knee Joint Effusion.
From buyxraysonline.com
KNEE JOINT EFFUSION Large Size Knee Joint Effusion Knee effusions can arise from traumatic injuries, such as ligament tears or fractures, inflammatory conditions like. Joint effusion is swelling of the tissues in or around your joint because of extra fluid. A swollen knee occurs when excess fluid collects in or around your knee joint. Common causes include arthritis and injury to knee. A knee effusion refers to an. Large Size Knee Joint Effusion.
From www.wellbornhotel.com
The knee joint effusion slippery bursa knee The meniscus ligament Large Size Knee Joint Effusion Joint effusion can cause a puffy appearance to your joints along with symptoms like pain and. A swollen knee occurs when excess fluid collects in or around your knee joint. Swelling and fluid around your joint can be. Joint effusion is swelling of the tissues in or around your joint because of extra fluid. The area around your joint may. Large Size Knee Joint Effusion.
From openi.nlm.nih.gov
Lateral radiograph of the right knee following the init Openi Large Size Knee Joint Effusion There are certainly other signs of knee joint effusions such as anterior displacement of the patella, but these are only reliably seen on large. Knee effusion, sometimes called water on the knee, occurs when excess fluid accumulates in or around the knee joint. A swollen knee occurs when excess fluid collects in or around your knee joint. Health care providers. Large Size Knee Joint Effusion.
From orthofixar.com
Orthopedic Special Orthopedic Examination OrthoFixar Large Size Knee Joint Effusion A knee effusion refers to an abnormal fluid accumulation within the knee joint. Knee effusions can arise from traumatic injuries, such as ligament tears or fractures, inflammatory conditions like. Knee effusion, sometimes called water on the knee, occurs when excess fluid accumulates in or around the knee joint. Joint effusion is swelling of the tissues in or around your joint. Large Size Knee Joint Effusion.
From www.mdpi.com
Applied Sciences Free FullText Malignant Knee Joint Effusion—A New Large Size Knee Joint Effusion There are certainly other signs of knee joint effusions such as anterior displacement of the patella, but these are only reliably seen on large. Common causes include arthritis and injury to knee. The area around your joint may appear larger when compared to the same joint on the other side. Joint effusion is swelling of the tissues in or around. Large Size Knee Joint Effusion.
From dontforgetthebubbles.com
kneejointeffusion Don't the Bubbles Large Size Knee Joint Effusion There are certainly other signs of knee joint effusions such as anterior displacement of the patella, but these are only reliably seen on large. Joint effusion can cause a puffy appearance to your joints along with symptoms like pain and. Common causes include arthritis and injury to knee. Knee effusion, sometimes called water on the knee, occurs when excess fluid. Large Size Knee Joint Effusion.
From www.researchgate.net
(PDF) A case highlighting the influence of knee joint effusion on Large Size Knee Joint Effusion Health care providers might refer to this condition as an. A knee effusion refers to an abnormal fluid accumulation within the knee joint. Knee effusions can arise from traumatic injuries, such as ligament tears or fractures, inflammatory conditions like. A swollen knee occurs when excess fluid collects in or around your knee joint. The area around your joint may appear. Large Size Knee Joint Effusion.
From www.researchgate.net
Sagittal PDFatSat MRI showing suprapatellar joint effusion (red arrow Large Size Knee Joint Effusion There are certainly other signs of knee joint effusions such as anterior displacement of the patella, but these are only reliably seen on large. Joint effusion is swelling of the tissues in or around your joint because of extra fluid. Joint effusion can cause a puffy appearance to your joints along with symptoms like pain and. Knee effusion, sometimes called. Large Size Knee Joint Effusion.
From mungfali.com
Knee Effusion Ultrasound Large Size Knee Joint Effusion A swollen knee occurs when excess fluid collects in or around your knee joint. Knee effusions can arise from traumatic injuries, such as ligament tears or fractures, inflammatory conditions like. Health care providers might refer to this condition as an. Swelling and fluid around your joint can be. The area around your joint may appear larger when compared to the. Large Size Knee Joint Effusion.
From radshare.net
Knee Joint Effusions Radiology Article Large Size Knee Joint Effusion Health care providers might refer to this condition as an. Joint effusion can cause a puffy appearance to your joints along with symptoms like pain and. A knee effusion refers to an abnormal fluid accumulation within the knee joint. A swollen knee occurs when excess fluid collects in or around your knee joint. The area around your joint may appear. Large Size Knee Joint Effusion.