Can A Ureter Burst . Blood clots in urine, or hematuria, can be caused by various factors, such as exercise, injury, medications, enlarged prostate, utis, stones, and cancer. Ureteral stents are temporary devices to prevent or treat urinary tract obstruction, but they can cause problems if left in place too long. Learn about what causes blockage of the tubes that carry urine from the kidneys to the bladder, tests you might need and how the. It can be acute or chronic and can be caused by. Ureteral obstruction is a blockage in one or both of your ureters that prevents pee from flowing into your bladder. An unrecognized or mismanaged ureteral injury can lead to significant complications, including urinoma, abscess, ureteral stricture, and potential loss of ipsilateral kidney or. Urinary retention is when your bladder doesn’t empty when you pee. Learn about the risks of encrustation,. Ureter obstruction is a condition that blocks the flow of urine from the kidney to the bladder, causing pain and kidney damage.
from urologyspecialist.com.au
Blood clots in urine, or hematuria, can be caused by various factors, such as exercise, injury, medications, enlarged prostate, utis, stones, and cancer. Ureteral obstruction is a blockage in one or both of your ureters that prevents pee from flowing into your bladder. Ureteral stents are temporary devices to prevent or treat urinary tract obstruction, but they can cause problems if left in place too long. An unrecognized or mismanaged ureteral injury can lead to significant complications, including urinoma, abscess, ureteral stricture, and potential loss of ipsilateral kidney or. Ureter obstruction is a condition that blocks the flow of urine from the kidney to the bladder, causing pain and kidney damage. Urinary retention is when your bladder doesn’t empty when you pee. Learn about the risks of encrustation,. It can be acute or chronic and can be caused by. Learn about what causes blockage of the tubes that carry urine from the kidneys to the bladder, tests you might need and how the.
An Overview of Pyeloplasty Laparoscopic Pyeloplasty Urology Specialist
Can A Ureter Burst An unrecognized or mismanaged ureteral injury can lead to significant complications, including urinoma, abscess, ureteral stricture, and potential loss of ipsilateral kidney or. Blood clots in urine, or hematuria, can be caused by various factors, such as exercise, injury, medications, enlarged prostate, utis, stones, and cancer. Ureteral obstruction is a blockage in one or both of your ureters that prevents pee from flowing into your bladder. Ureter obstruction is a condition that blocks the flow of urine from the kidney to the bladder, causing pain and kidney damage. Urinary retention is when your bladder doesn’t empty when you pee. Learn about what causes blockage of the tubes that carry urine from the kidneys to the bladder, tests you might need and how the. Learn about the risks of encrustation,. An unrecognized or mismanaged ureteral injury can lead to significant complications, including urinoma, abscess, ureteral stricture, and potential loss of ipsilateral kidney or. It can be acute or chronic and can be caused by. Ureteral stents are temporary devices to prevent or treat urinary tract obstruction, but they can cause problems if left in place too long.
From www.ncbi.nlm.nih.gov
[Figure, Types of urethral injuries Image courtesy S Bhimji MD] StatPearls NCBI Bookshelf Can A Ureter Burst Urinary retention is when your bladder doesn’t empty when you pee. It can be acute or chronic and can be caused by. An unrecognized or mismanaged ureteral injury can lead to significant complications, including urinoma, abscess, ureteral stricture, and potential loss of ipsilateral kidney or. Blood clots in urine, or hematuria, can be caused by various factors, such as exercise,. Can A Ureter Burst.
From www.semanticscholar.org
Ureteral Dissection Is a Risky Factor for Ureteral Rupture, the First Case Report. Semantic Can A Ureter Burst Blood clots in urine, or hematuria, can be caused by various factors, such as exercise, injury, medications, enlarged prostate, utis, stones, and cancer. Ureter obstruction is a condition that blocks the flow of urine from the kidney to the bladder, causing pain and kidney damage. Ureteral obstruction is a blockage in one or both of your ureters that prevents pee. Can A Ureter Burst.
From www.urologyhealth.org
What is Ectopic Ureter? Urology Care Foundation Can A Ureter Burst Learn about the risks of encrustation,. Ureteral stents are temporary devices to prevent or treat urinary tract obstruction, but they can cause problems if left in place too long. Ureteral obstruction is a blockage in one or both of your ureters that prevents pee from flowing into your bladder. Ureter obstruction is a condition that blocks the flow of urine. Can A Ureter Burst.
From www.visiblebody.com
Urinary System Structures Can A Ureter Burst It can be acute or chronic and can be caused by. Urinary retention is when your bladder doesn’t empty when you pee. Ureteral stents are temporary devices to prevent or treat urinary tract obstruction, but they can cause problems if left in place too long. Blood clots in urine, or hematuria, can be caused by various factors, such as exercise,. Can A Ureter Burst.
From www.prepladder.com
Ureteral Obstruction Causes, Symptoms, Risk Factors, Diagnosis and Treatment Can A Ureter Burst An unrecognized or mismanaged ureteral injury can lead to significant complications, including urinoma, abscess, ureteral stricture, and potential loss of ipsilateral kidney or. Blood clots in urine, or hematuria, can be caused by various factors, such as exercise, injury, medications, enlarged prostate, utis, stones, and cancer. It can be acute or chronic and can be caused by. Ureteral obstruction is. Can A Ureter Burst.
From www.researchgate.net
An unusual complication of urinary stone disease Spontaneous ureteral rupture Request PDF Can A Ureter Burst An unrecognized or mismanaged ureteral injury can lead to significant complications, including urinoma, abscess, ureteral stricture, and potential loss of ipsilateral kidney or. Ureteral stents are temporary devices to prevent or treat urinary tract obstruction, but they can cause problems if left in place too long. Learn about the risks of encrustation,. Ureter obstruction is a condition that blocks the. Can A Ureter Burst.
From www.osmosis.org
Nephrolithiasis What Is It, Types, Signs and Symptoms, Diagnosis, Treatment, and More Osmosis Can A Ureter Burst Ureteral stents are temporary devices to prevent or treat urinary tract obstruction, but they can cause problems if left in place too long. Ureteral obstruction is a blockage in one or both of your ureters that prevents pee from flowing into your bladder. An unrecognized or mismanaged ureteral injury can lead to significant complications, including urinoma, abscess, ureteral stricture, and. Can A Ureter Burst.
From www.urologyhealth.org
Vesicoureteral Reflux (VUR) Symptoms, Diagnosis & Treatment Urology Care Foundation Can A Ureter Burst Urinary retention is when your bladder doesn’t empty when you pee. Learn about what causes blockage of the tubes that carry urine from the kidneys to the bladder, tests you might need and how the. Ureter obstruction is a condition that blocks the flow of urine from the kidney to the bladder, causing pain and kidney damage. Learn about the. Can A Ureter Burst.
From www.smj.org.sg
Spontaneous rupture of the ureter SMJ Can A Ureter Burst Ureter obstruction is a condition that blocks the flow of urine from the kidney to the bladder, causing pain and kidney damage. Blood clots in urine, or hematuria, can be caused by various factors, such as exercise, injury, medications, enlarged prostate, utis, stones, and cancer. Learn about the risks of encrustation,. Urinary retention is when your bladder doesn’t empty when. Can A Ureter Burst.
From surgicalcasereports.springeropen.com
Spontaneous ureteral rupture caused by iliac aneurysm a case report Surgical Case Reports Can A Ureter Burst Urinary retention is when your bladder doesn’t empty when you pee. An unrecognized or mismanaged ureteral injury can lead to significant complications, including urinoma, abscess, ureteral stricture, and potential loss of ipsilateral kidney or. Blood clots in urine, or hematuria, can be caused by various factors, such as exercise, injury, medications, enlarged prostate, utis, stones, and cancer. Learn about the. Can A Ureter Burst.
From journals.sagepub.com
Spontaneous ureteric rupture due to high pressure chronic retention Shameer Deen, Emmanuel Can A Ureter Burst Ureter obstruction is a condition that blocks the flow of urine from the kidney to the bladder, causing pain and kidney damage. Urinary retention is when your bladder doesn’t empty when you pee. Blood clots in urine, or hematuria, can be caused by various factors, such as exercise, injury, medications, enlarged prostate, utis, stones, and cancer. An unrecognized or mismanaged. Can A Ureter Burst.
From www.semanticscholar.org
[PDF] Spontaneous Ureteral Rupture Diagnosis and Treatment Semantic Scholar Can A Ureter Burst Learn about the risks of encrustation,. Blood clots in urine, or hematuria, can be caused by various factors, such as exercise, injury, medications, enlarged prostate, utis, stones, and cancer. Urinary retention is when your bladder doesn’t empty when you pee. Learn about what causes blockage of the tubes that carry urine from the kidneys to the bladder, tests you might. Can A Ureter Burst.
From www.researchgate.net
(PDF) Spontaneous rupture of the ureter Can A Ureter Burst Ureteral stents are temporary devices to prevent or treat urinary tract obstruction, but they can cause problems if left in place too long. Urinary retention is when your bladder doesn’t empty when you pee. Ureter obstruction is a condition that blocks the flow of urine from the kidney to the bladder, causing pain and kidney damage. It can be acute. Can A Ureter Burst.
From www.saintjohnscancer.org
Urinary Obstruction and Ureteral Stricture Causes and Treatment Can A Ureter Burst Learn about the risks of encrustation,. Blood clots in urine, or hematuria, can be caused by various factors, such as exercise, injury, medications, enlarged prostate, utis, stones, and cancer. An unrecognized or mismanaged ureteral injury can lead to significant complications, including urinoma, abscess, ureteral stricture, and potential loss of ipsilateral kidney or. Ureteral obstruction is a blockage in one or. Can A Ureter Burst.
From abdominalkey.com
Endoscopic Management of Mid‐ureteral Obstruction Abdominal Key Can A Ureter Burst Ureteral obstruction is a blockage in one or both of your ureters that prevents pee from flowing into your bladder. It can be acute or chronic and can be caused by. Learn about what causes blockage of the tubes that carry urine from the kidneys to the bladder, tests you might need and how the. An unrecognized or mismanaged ureteral. Can A Ureter Burst.
From pubs.rsna.org
Urethral Injuries after Pelvic Trauma Evaluation with Urethrography RadioGraphics Can A Ureter Burst Ureteral stents are temporary devices to prevent or treat urinary tract obstruction, but they can cause problems if left in place too long. Learn about the risks of encrustation,. It can be acute or chronic and can be caused by. Blood clots in urine, or hematuria, can be caused by various factors, such as exercise, injury, medications, enlarged prostate, utis,. Can A Ureter Burst.
From urologyspecialist.com.au
An Overview of Pyeloplasty Laparoscopic Pyeloplasty Urology Specialist Can A Ureter Burst Blood clots in urine, or hematuria, can be caused by various factors, such as exercise, injury, medications, enlarged prostate, utis, stones, and cancer. Ureteral stents are temporary devices to prevent or treat urinary tract obstruction, but they can cause problems if left in place too long. Urinary retention is when your bladder doesn’t empty when you pee. Learn about what. Can A Ureter Burst.
From learn.visiblebody.com
Urinary System Structures Can A Ureter Burst Ureteral stents are temporary devices to prevent or treat urinary tract obstruction, but they can cause problems if left in place too long. Urinary retention is when your bladder doesn’t empty when you pee. An unrecognized or mismanaged ureteral injury can lead to significant complications, including urinoma, abscess, ureteral stricture, and potential loss of ipsilateral kidney or. Learn about the. Can A Ureter Burst.
From www.healthline.com
Ureteroscopy with Laser Lithotripsy Procedure, Recovery, Risks Can A Ureter Burst Ureter obstruction is a condition that blocks the flow of urine from the kidney to the bladder, causing pain and kidney damage. An unrecognized or mismanaged ureteral injury can lead to significant complications, including urinoma, abscess, ureteral stricture, and potential loss of ipsilateral kidney or. Urinary retention is when your bladder doesn’t empty when you pee. Ureteral obstruction is a. Can A Ureter Burst.
From alilamedicalimages.photoshelter.com
Ureteropelvic junction obstruction Alila Medical Images Can A Ureter Burst Urinary retention is when your bladder doesn’t empty when you pee. Learn about the risks of encrustation,. It can be acute or chronic and can be caused by. Blood clots in urine, or hematuria, can be caused by various factors, such as exercise, injury, medications, enlarged prostate, utis, stones, and cancer. Ureteral obstruction is a blockage in one or both. Can A Ureter Burst.
From www.newyorkurologyspecialists.com
Breaking 3 mm to 8 mm Stones in Ureter Specialists in Manhattan and Brooklyn NYC Kidney Stone Can A Ureter Burst An unrecognized or mismanaged ureteral injury can lead to significant complications, including urinoma, abscess, ureteral stricture, and potential loss of ipsilateral kidney or. Learn about the risks of encrustation,. Ureteral stents are temporary devices to prevent or treat urinary tract obstruction, but they can cause problems if left in place too long. Learn about what causes blockage of the tubes. Can A Ureter Burst.
From pubs.rsna.org
CT Urography for Evaluation of the Ureter RadioGraphics Can A Ureter Burst Blood clots in urine, or hematuria, can be caused by various factors, such as exercise, injury, medications, enlarged prostate, utis, stones, and cancer. It can be acute or chronic and can be caused by. Learn about the risks of encrustation,. Learn about what causes blockage of the tubes that carry urine from the kidneys to the bladder, tests you might. Can A Ureter Burst.
From www.slideshare.net
Prevention of Ureteral Injury 2014 En'wezoh Can A Ureter Burst Ureteral obstruction is a blockage in one or both of your ureters that prevents pee from flowing into your bladder. An unrecognized or mismanaged ureteral injury can lead to significant complications, including urinoma, abscess, ureteral stricture, and potential loss of ipsilateral kidney or. Urinary retention is when your bladder doesn’t empty when you pee. Blood clots in urine, or hematuria,. Can A Ureter Burst.
From patients.uroweb.org
Ectopic Ureter Patient Information Can A Ureter Burst Ureter obstruction is a condition that blocks the flow of urine from the kidney to the bladder, causing pain and kidney damage. Learn about what causes blockage of the tubes that carry urine from the kidneys to the bladder, tests you might need and how the. Blood clots in urine, or hematuria, can be caused by various factors, such as. Can A Ureter Burst.
From www.semanticscholar.org
Spontaneous Rupture of the Ureter Proximal to Ureteric Stone Semantic Scholar Can A Ureter Burst Ureteral obstruction is a blockage in one or both of your ureters that prevents pee from flowing into your bladder. Urinary retention is when your bladder doesn’t empty when you pee. It can be acute or chronic and can be caused by. Ureteral stents are temporary devices to prevent or treat urinary tract obstruction, but they can cause problems if. Can A Ureter Burst.
From surgicalcasereports.springeropen.com
Spontaneous ureteral rupture caused by iliac aneurysm a case report Surgical Case Reports Can A Ureter Burst An unrecognized or mismanaged ureteral injury can lead to significant complications, including urinoma, abscess, ureteral stricture, and potential loss of ipsilateral kidney or. It can be acute or chronic and can be caused by. Ureteral stents are temporary devices to prevent or treat urinary tract obstruction, but they can cause problems if left in place too long. Urinary retention is. Can A Ureter Burst.
From www.cureus.com
Cureus A Case of Spontaneous Ureteral Rupture Mimicking Renal Colic Can A Ureter Burst Ureteral obstruction is a blockage in one or both of your ureters that prevents pee from flowing into your bladder. An unrecognized or mismanaged ureteral injury can lead to significant complications, including urinoma, abscess, ureteral stricture, and potential loss of ipsilateral kidney or. Learn about what causes blockage of the tubes that carry urine from the kidneys to the bladder,. Can A Ureter Burst.
From drfamxenginn.com
Dr Fam Xeng Inn Consultant Urology, Laparoscopic and Robotic Surgery Can A Ureter Burst An unrecognized or mismanaged ureteral injury can lead to significant complications, including urinoma, abscess, ureteral stricture, and potential loss of ipsilateral kidney or. Blood clots in urine, or hematuria, can be caused by various factors, such as exercise, injury, medications, enlarged prostate, utis, stones, and cancer. Ureteral stents are temporary devices to prevent or treat urinary tract obstruction, but they. Can A Ureter Burst.
From www.ajemjournal.com
Spontaneous rupture of ureter an unusual cause of acute abdominal pain The American Journal Can A Ureter Burst Learn about what causes blockage of the tubes that carry urine from the kidneys to the bladder, tests you might need and how the. Learn about the risks of encrustation,. Blood clots in urine, or hematuria, can be caused by various factors, such as exercise, injury, medications, enlarged prostate, utis, stones, and cancer. Urinary retention is when your bladder doesn’t. Can A Ureter Burst.
From www.researchgate.net
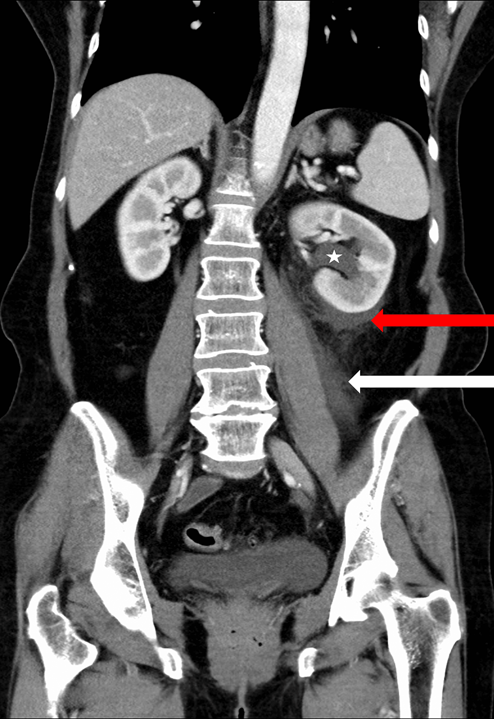
Ureteral rupture with urinary extravasation (arrow head) on the delayed... Download Scientific Can A Ureter Burst Ureteral obstruction is a blockage in one or both of your ureters that prevents pee from flowing into your bladder. Ureteral stents are temporary devices to prevent or treat urinary tract obstruction, but they can cause problems if left in place too long. Blood clots in urine, or hematuria, can be caused by various factors, such as exercise, injury, medications,. Can A Ureter Burst.
From www.semanticscholar.org
[PDF] Ureteral Dissection Is a Risky Factor for Ureteral Rupture, the First Case Report Can A Ureter Burst Blood clots in urine, or hematuria, can be caused by various factors, such as exercise, injury, medications, enlarged prostate, utis, stones, and cancer. Ureter obstruction is a condition that blocks the flow of urine from the kidney to the bladder, causing pain and kidney damage. It can be acute or chronic and can be caused by. Ureteral stents are temporary. Can A Ureter Burst.
From mcreatmedical.en.made-in-china.com
Ureter Dilatation Balloon Catheter Can Bear The Rated Burst Pressure of 20ATM China Dilatation Can A Ureter Burst Ureter obstruction is a condition that blocks the flow of urine from the kidney to the bladder, causing pain and kidney damage. It can be acute or chronic and can be caused by. Ureteral obstruction is a blockage in one or both of your ureters that prevents pee from flowing into your bladder. Learn about the risks of encrustation,. Learn. Can A Ureter Burst.
From www.eurorad.org
Spontaneous ureteral rupture An unusual cause of acute abdomen Eurorad Can A Ureter Burst Urinary retention is when your bladder doesn’t empty when you pee. Ureteral obstruction is a blockage in one or both of your ureters that prevents pee from flowing into your bladder. Learn about what causes blockage of the tubes that carry urine from the kidneys to the bladder, tests you might need and how the. Blood clots in urine, or. Can A Ureter Burst.
From www.researchgate.net
(PDF) Spontaneous rupture of the ureter A rare case Can A Ureter Burst Ureter obstruction is a condition that blocks the flow of urine from the kidney to the bladder, causing pain and kidney damage. Urinary retention is when your bladder doesn’t empty when you pee. Learn about what causes blockage of the tubes that carry urine from the kidneys to the bladder, tests you might need and how the. Learn about the. Can A Ureter Burst.
From drseckin.com
Ureteral Endometriosis Seckin Endometriosis Center Can A Ureter Burst An unrecognized or mismanaged ureteral injury can lead to significant complications, including urinoma, abscess, ureteral stricture, and potential loss of ipsilateral kidney or. Learn about what causes blockage of the tubes that carry urine from the kidneys to the bladder, tests you might need and how the. Ureteral obstruction is a blockage in one or both of your ureters that. Can A Ureter Burst.