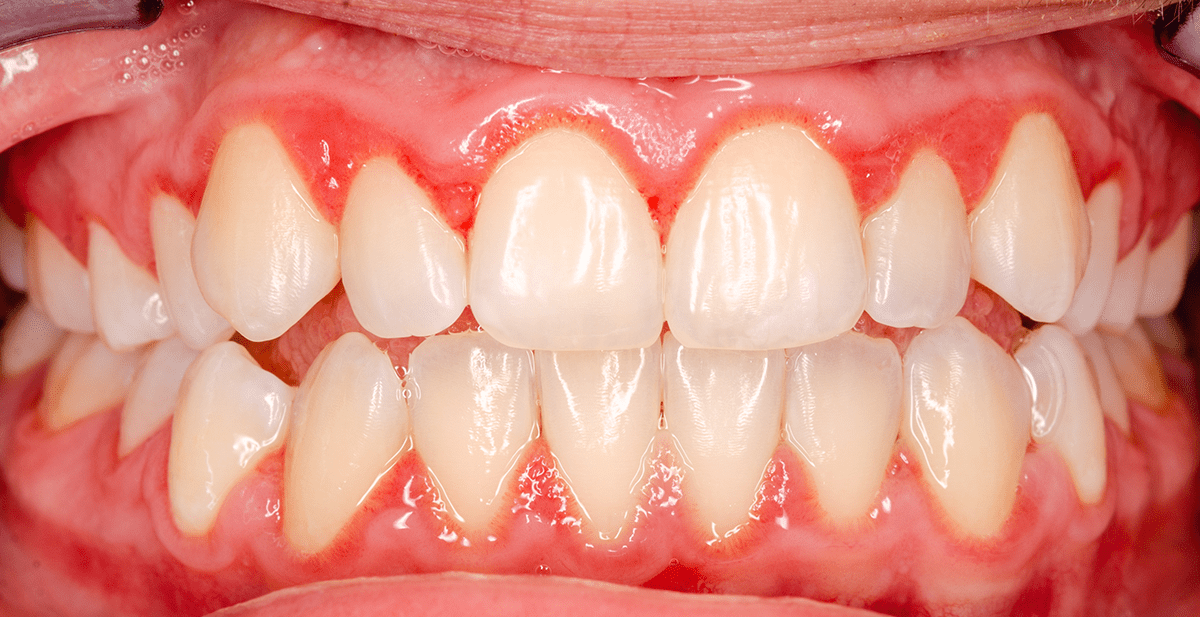
Gingivitis In One Spot . Gingivitis is irritation and swelling of the gum tissue around the base of your teeth. A person may experience swollen gums around one specific tooth. Localized gum swelling is fairly common and has a range of potential causes, from mild gingivitis to serious dental infections and oral cancer. Visit your dentist to make sure that your swollen. It usually results from plaque and bacteria accumulation around a specific tooth. Swollen gums localized to a single tooth can indicate an underlying dental problem, such as: Gingiva is another word for gum tissue. It happens when plaque and bacteria build up on your teeth and cause infection. But they can also point to other health conditions. Gingivitis is the initial stage of gum disease and can cause localized swelling. Some reasons for this type of gum inflammation include poor. Identifying the source of the. Gingivitis is the earliest stage of gum disease. Common symptoms include red, swollen, bleeding gums. Gingivitis can be reversed with professional.
from dentaldepotdfw.com
Gingivitis is irritation and swelling of the gum tissue around the base of your teeth. Localized gum swelling is fairly common and has a range of potential causes, from mild gingivitis to serious dental infections and oral cancer. Identifying the source of the. Some reasons for this type of gum inflammation include poor. Common symptoms include red, swollen, bleeding gums. Gingivitis is the earliest stage of gum disease. Visit your dentist to make sure that your swollen. Swollen gums are a common symptom of gingivitis and other types of gum disease. Gingivitis is the initial stage of gum disease and can cause localized swelling. A person may experience swollen gums around one specific tooth.
The Symptoms, Treatment, and Prevention of Gingivitis Dental Depot
Gingivitis In One Spot Visit your dentist to make sure that your swollen. Gingivitis is the earliest stage of gum disease. Gingivitis is the initial stage of gum disease and can cause localized swelling. Gingiva is another word for gum tissue. Swollen gums are a common symptom of gingivitis and other types of gum disease. Common symptoms include red, swollen, bleeding gums. Swollen gums localized to a single tooth can indicate an underlying dental problem, such as: If you notice a swollen gum around one tooth, it might be the result of gum disease, poor dental hygiene, or an abscess. It happens when plaque and bacteria build up on your teeth and cause infection. Gingivitis can be reversed with professional. A person may experience swollen gums around one specific tooth. Visit your dentist to make sure that your swollen. Some reasons for this type of gum inflammation include poor. Gingivitis is irritation and swelling of the gum tissue around the base of your teeth. But they can also point to other health conditions. Localized gum swelling is fairly common and has a range of potential causes, from mild gingivitis to serious dental infections and oral cancer.
From www.lovettdentistrysharpstown.com
signs of gingivitis Tag Archives Lovett Dental Sharpstown Gingivitis In One Spot Swollen gums localized to a single tooth can indicate an underlying dental problem, such as: But they can also point to other health conditions. Gingiva is another word for gum tissue. Gingivitis is the initial stage of gum disease and can cause localized swelling. Gingivitis can be reversed with professional. Common symptoms include red, swollen, bleeding gums. Visit your dentist. Gingivitis In One Spot.
From mydentaladvocate.com
What Does Gingivitis Look Like? (20 Gum Disease Pictures) Gingivitis In One Spot A person may experience swollen gums around one specific tooth. Localized gum swelling is fairly common and has a range of potential causes, from mild gingivitis to serious dental infections and oral cancer. Swollen gums localized to a single tooth can indicate an underlying dental problem, such as: It usually results from plaque and bacteria accumulation around a specific tooth.. Gingivitis In One Spot.
From onlinedentalcare.org
Gingivitis Online Dental Care Gingivitis In One Spot But they can also point to other health conditions. Visit your dentist to make sure that your swollen. Common symptoms include red, swollen, bleeding gums. Identifying the source of the. If you notice a swollen gum around one tooth, it might be the result of gum disease, poor dental hygiene, or an abscess. It usually results from plaque and bacteria. Gingivitis In One Spot.
From www.pathwaydentists.co.nz
Gingivitis inflammation of the gums Pathway Dentists Gingivitis In One Spot Gingivitis is irritation and swelling of the gum tissue around the base of your teeth. Common symptoms include red, swollen, bleeding gums. Swollen gums are a common symptom of gingivitis and other types of gum disease. Swollen gums localized to a single tooth can indicate an underlying dental problem, such as: It happens when plaque and bacteria build up on. Gingivitis In One Spot.
From www.medicalnewstoday.com
Swollen gum around one tooth Causes and treatment Gingivitis In One Spot Some reasons for this type of gum inflammation include poor. Gingivitis is the initial stage of gum disease and can cause localized swelling. Gingivitis is irritation and swelling of the gum tissue around the base of your teeth. Identifying the source of the. Localized gum swelling is fairly common and has a range of potential causes, from mild gingivitis to. Gingivitis In One Spot.
From askyourdentist.com
What is gingivitis? Ask Your Dentist Gingivitis In One Spot Identifying the source of the. Swollen gums localized to a single tooth can indicate an underlying dental problem, such as: A person may experience swollen gums around one specific tooth. It happens when plaque and bacteria build up on your teeth and cause infection. If you notice a swollen gum around one tooth, it might be the result of gum. Gingivitis In One Spot.
From www.easterndental.com
Gingivitis Eastern Dental Gingivitis In One Spot Visit your dentist to make sure that your swollen. Gingivitis is the initial stage of gum disease and can cause localized swelling. It usually results from plaque and bacteria accumulation around a specific tooth. Gingivitis can be reversed with professional. Some reasons for this type of gum inflammation include poor. But they can also point to other health conditions. Swollen. Gingivitis In One Spot.
From community.bulksupplements.com
Gingivitis Symptoms, Causes & Treatment Gingivitis In One Spot Visit your dentist to make sure that your swollen. It usually results from plaque and bacteria accumulation around a specific tooth. Swollen gums are a common symptom of gingivitis and other types of gum disease. Identifying the source of the. If you notice a swollen gum around one tooth, it might be the result of gum disease, poor dental hygiene,. Gingivitis In One Spot.
From www.edpdental.com
What is Gingivitis? Gingivitis Symptoms and Treatment Gingivitis In One Spot Gingivitis can be reversed with professional. Gingivitis is the initial stage of gum disease and can cause localized swelling. Gingiva is another word for gum tissue. Identifying the source of the. Swollen gums localized to a single tooth can indicate an underlying dental problem, such as: Some reasons for this type of gum inflammation include poor. If you notice a. Gingivitis In One Spot.
From www.lovettdentistrykohrville.com
What Is Gingivitis? Your Guide To Your Gums General Dentistry Texas Gingivitis In One Spot Swollen gums are a common symptom of gingivitis and other types of gum disease. But they can also point to other health conditions. Common symptoms include red, swollen, bleeding gums. Localized gum swelling is fairly common and has a range of potential causes, from mild gingivitis to serious dental infections and oral cancer. Gingivitis is the initial stage of gum. Gingivitis In One Spot.
From mydentaladvocate.com
What Does Gingivitis/Gum Disease Look Like? (20 Pictures) Gingivitis In One Spot It happens when plaque and bacteria build up on your teeth and cause infection. Gingivitis is the earliest stage of gum disease. If you notice a swollen gum around one tooth, it might be the result of gum disease, poor dental hygiene, or an abscess. Localized gum swelling is fairly common and has a range of potential causes, from mild. Gingivitis In One Spot.
From www.kauveryhospital.com
What is Gingivitis? Infographic Kauvery Hospital Gingivitis In One Spot A person may experience swollen gums around one specific tooth. It happens when plaque and bacteria build up on your teeth and cause infection. Visit your dentist to make sure that your swollen. Identifying the source of the. Swollen gums localized to a single tooth can indicate an underlying dental problem, such as: Swollen gums are a common symptom of. Gingivitis In One Spot.
From healthjade.com
Gingivitis Causes, Signs, Symptoms, How To Get Rid Of Gingivitis Gingivitis In One Spot Gingiva is another word for gum tissue. Identifying the source of the. A person may experience swollen gums around one specific tooth. It usually results from plaque and bacteria accumulation around a specific tooth. Gingivitis is the earliest stage of gum disease. Some reasons for this type of gum inflammation include poor. If you notice a swollen gum around one. Gingivitis In One Spot.
From www.thecosmeticchemist.com
The Cosmetic Chemist Gingivitis In One Spot If you notice a swollen gum around one tooth, it might be the result of gum disease, poor dental hygiene, or an abscess. But they can also point to other health conditions. Visit your dentist to make sure that your swollen. Common symptoms include red, swollen, bleeding gums. Swollen gums are a common symptom of gingivitis and other types of. Gingivitis In One Spot.
From www.millsriverdental.com
3+ Important Facts About Gingivitis Mills River Family Dental Gingivitis In One Spot Gingiva is another word for gum tissue. But they can also point to other health conditions. Swollen gums are a common symptom of gingivitis and other types of gum disease. Visit your dentist to make sure that your swollen. Gingivitis is the initial stage of gum disease and can cause localized swelling. Gingivitis can be reversed with professional. It happens. Gingivitis In One Spot.
From community.bulksupplements.com
Gingivitis Symptoms, Causes & Treatment Gingivitis In One Spot Visit your dentist to make sure that your swollen. Identifying the source of the. It usually results from plaque and bacteria accumulation around a specific tooth. Swollen gums localized to a single tooth can indicate an underlying dental problem, such as: Gingivitis is irritation and swelling of the gum tissue around the base of your teeth. Localized gum swelling is. Gingivitis In One Spot.
From www.hellotend.com
Gingivitis What You Need To Know Tend Gingivitis In One Spot Localized gum swelling is fairly common and has a range of potential causes, from mild gingivitis to serious dental infections and oral cancer. Swollen gums are a common symptom of gingivitis and other types of gum disease. It usually results from plaque and bacteria accumulation around a specific tooth. Gingivitis is irritation and swelling of the gum tissue around the. Gingivitis In One Spot.
From askyourdentist.com
What is gingivitis? Ask Your Dentist Gingivitis In One Spot Swollen gums localized to a single tooth can indicate an underlying dental problem, such as: Common symptoms include red, swollen, bleeding gums. Visit your dentist to make sure that your swollen. Gingivitis is the initial stage of gum disease and can cause localized swelling. It usually results from plaque and bacteria accumulation around a specific tooth. Some reasons for this. Gingivitis In One Spot.
From mydentaladvocate.com
👀 What Does Gingivitis Look Like? (20 Gum Disease Pictures) Gingivitis In One Spot Gingivitis is the earliest stage of gum disease. Some reasons for this type of gum inflammation include poor. Identifying the source of the. It happens when plaque and bacteria build up on your teeth and cause infection. A person may experience swollen gums around one specific tooth. But they can also point to other health conditions. Gingivitis can be reversed. Gingivitis In One Spot.
From www.aspendental.com
A Comprehensive Guide to Gingivitis Gingivitis In One Spot Common symptoms include red, swollen, bleeding gums. Gingivitis is the earliest stage of gum disease. Identifying the source of the. If you notice a swollen gum around one tooth, it might be the result of gum disease, poor dental hygiene, or an abscess. Gingivitis is the initial stage of gum disease and can cause localized swelling. Localized gum swelling is. Gingivitis In One Spot.
From allsmilesdentspa.com
Gum Inflammation / Gingivitis Symptoms and Remedies Gingivitis In One Spot Swollen gums are a common symptom of gingivitis and other types of gum disease. Gingivitis is the initial stage of gum disease and can cause localized swelling. Swollen gums localized to a single tooth can indicate an underlying dental problem, such as: Some reasons for this type of gum inflammation include poor. Common symptoms include red, swollen, bleeding gums. Gingiva. Gingivitis In One Spot.
From get.denteldoc.com
Gingivitis denTEL Gingivitis In One Spot Localized gum swelling is fairly common and has a range of potential causes, from mild gingivitis to serious dental infections and oral cancer. If you notice a swollen gum around one tooth, it might be the result of gum disease, poor dental hygiene, or an abscess. Swollen gums localized to a single tooth can indicate an underlying dental problem, such. Gingivitis In One Spot.
From drquadri.com
How To Know If You Have Gingivitis? Dr.quadri Clinic Gingivitis In One Spot But they can also point to other health conditions. Swollen gums are a common symptom of gingivitis and other types of gum disease. It happens when plaque and bacteria build up on your teeth and cause infection. Visit your dentist to make sure that your swollen. Gingivitis can be reversed with professional. Gingivitis is the earliest stage of gum disease.. Gingivitis In One Spot.
From dentaldepotdfw.com
The Symptoms, Treatment, and Prevention of Gingivitis Dental Depot Gingivitis In One Spot Identifying the source of the. Swollen gums are a common symptom of gingivitis and other types of gum disease. If you notice a swollen gum around one tooth, it might be the result of gum disease, poor dental hygiene, or an abscess. Gingivitis can be reversed with professional. Some reasons for this type of gum inflammation include poor. Gingiva is. Gingivitis In One Spot.
From www.emedihealth.com
Gingivitis 101 Types, Causes, Treatment, & Risk Factors Gingivitis In One Spot Gingiva is another word for gum tissue. Some reasons for this type of gum inflammation include poor. A person may experience swollen gums around one specific tooth. But they can also point to other health conditions. Gingivitis is the initial stage of gum disease and can cause localized swelling. Common symptoms include red, swollen, bleeding gums. Gingivitis can be reversed. Gingivitis In One Spot.
From dentalcerroalonso.es
¿Qué diferencia hay entre periodontitis y gingivitis? Dental Cerro Alonso Gingivitis In One Spot It usually results from plaque and bacteria accumulation around a specific tooth. If you notice a swollen gum around one tooth, it might be the result of gum disease, poor dental hygiene, or an abscess. Swollen gums are a common symptom of gingivitis and other types of gum disease. Gingiva is another word for gum tissue. Visit your dentist to. Gingivitis In One Spot.
From fightgumdisease.com.au
Learn About Gum Disease Gum Infection Stages Periodontitis Treatment Gingivitis In One Spot Swollen gums are a common symptom of gingivitis and other types of gum disease. Swollen gums localized to a single tooth can indicate an underlying dental problem, such as: Common symptoms include red, swollen, bleeding gums. It happens when plaque and bacteria build up on your teeth and cause infection. Gingivitis is the initial stage of gum disease and can. Gingivitis In One Spot.
From www.livescience.com
Gingivitis & Periodontitis Symptoms & Treatment of Gum Disease Live Gingivitis In One Spot Some reasons for this type of gum inflammation include poor. It happens when plaque and bacteria build up on your teeth and cause infection. Gingivitis is irritation and swelling of the gum tissue around the base of your teeth. Gingivitis is the initial stage of gum disease and can cause localized swelling. Identifying the source of the. A person may. Gingivitis In One Spot.
From cdc.com.al
Gingivitis What is It and How is it Treated? Gingivitis In One Spot Localized gum swelling is fairly common and has a range of potential causes, from mild gingivitis to serious dental infections and oral cancer. If you notice a swollen gum around one tooth, it might be the result of gum disease, poor dental hygiene, or an abscess. Some reasons for this type of gum inflammation include poor. Swollen gums are a. Gingivitis In One Spot.
From www.riversidedentalnyc.com
The Different Stages of Gingivitis and Gum Disease Explained Gingivitis In One Spot Gingivitis can be reversed with professional. Swollen gums localized to a single tooth can indicate an underlying dental problem, such as: Common symptoms include red, swollen, bleeding gums. Visit your dentist to make sure that your swollen. If you notice a swollen gum around one tooth, it might be the result of gum disease, poor dental hygiene, or an abscess.. Gingivitis In One Spot.
From www.ibdrelief.com
Gingivitis and periodontitis Introduction Gingivitis In One Spot Some reasons for this type of gum inflammation include poor. Gingivitis can be reversed with professional. But they can also point to other health conditions. Localized gum swelling is fairly common and has a range of potential causes, from mild gingivitis to serious dental infections and oral cancer. Swollen gums localized to a single tooth can indicate an underlying dental. Gingivitis In One Spot.
From mydentaladvocate.com
What Does Gingivitis Look Like? (20 Gum Disease Pictures) Gingivitis In One Spot A person may experience swollen gums around one specific tooth. Gingivitis is the earliest stage of gum disease. It usually results from plaque and bacteria accumulation around a specific tooth. Some reasons for this type of gum inflammation include poor. But they can also point to other health conditions. Localized gum swelling is fairly common and has a range of. Gingivitis In One Spot.
From www.researchgate.net
Red swollen gums of gingivitis. Download Scientific Diagram Gingivitis In One Spot A person may experience swollen gums around one specific tooth. Gingivitis is irritation and swelling of the gum tissue around the base of your teeth. Localized gum swelling is fairly common and has a range of potential causes, from mild gingivitis to serious dental infections and oral cancer. It happens when plaque and bacteria build up on your teeth and. Gingivitis In One Spot.
From www.midentalclinic.com
What is Gingivitis? (¿Que es la Gingivitis?) Mi DENTAL Gingivitis In One Spot Identifying the source of the. Swollen gums are a common symptom of gingivitis and other types of gum disease. A person may experience swollen gums around one specific tooth. Gingivitis is the earliest stage of gum disease. Gingiva is another word for gum tissue. Gingivitis is irritation and swelling of the gum tissue around the base of your teeth. Common. Gingivitis In One Spot.
From www.msdmanuals.com
Gingivitis Mouth and Dental Disorders MSD Manual Consumer Version Gingivitis In One Spot Visit your dentist to make sure that your swollen. It usually results from plaque and bacteria accumulation around a specific tooth. Gingivitis is the initial stage of gum disease and can cause localized swelling. Identifying the source of the. Common symptoms include red, swollen, bleeding gums. But they can also point to other health conditions. If you notice a swollen. Gingivitis In One Spot.