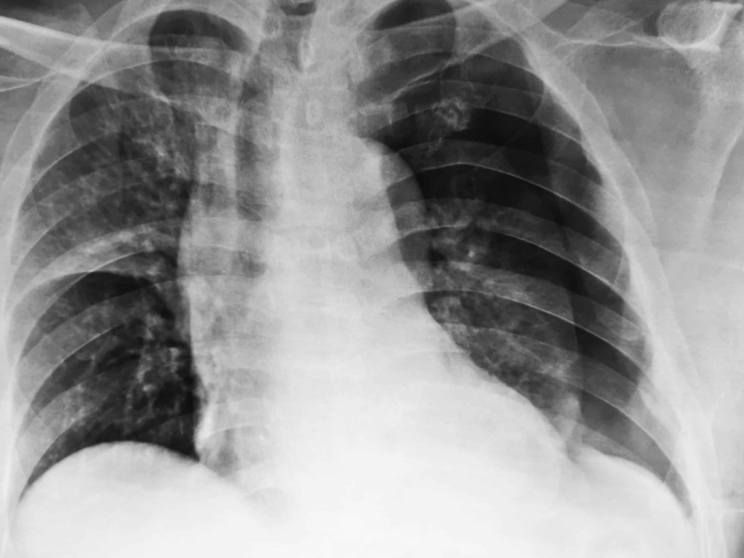
How To Read A Pneumothorax X Ray . The two lungs meet in the middle at the posterior. Identify when pleura is abnormal and the key. The lungs can be seen to reach the inner edge of the thoracic wall (arrows). This is difficult to see because the lung itself is. Recognition of a pneumothorax depends on the volume of air in the pleural space and the position of the body. On a supine radiograph a pneumothorax can be subtle. After graduating ucsf medical school, we’ve accumulated a lot of knowledge over the. A pneumothorax is seen as a region of lucency (dark) around the edge of the lung. In this video, you'll learn how to identify when radiological pleura is abnormal and the key.
from teachmesurgery.com
After graduating ucsf medical school, we’ve accumulated a lot of knowledge over the. The two lungs meet in the middle at the posterior. Identify when pleura is abnormal and the key. This is difficult to see because the lung itself is. A pneumothorax is seen as a region of lucency (dark) around the edge of the lung. In this video, you'll learn how to identify when radiological pleura is abnormal and the key. On a supine radiograph a pneumothorax can be subtle. Recognition of a pneumothorax depends on the volume of air in the pleural space and the position of the body. The lungs can be seen to reach the inner edge of the thoracic wall (arrows).
Pneumothorax TeachMeSurgery
How To Read A Pneumothorax X Ray Identify when pleura is abnormal and the key. This is difficult to see because the lung itself is. On a supine radiograph a pneumothorax can be subtle. The lungs can be seen to reach the inner edge of the thoracic wall (arrows). After graduating ucsf medical school, we’ve accumulated a lot of knowledge over the. A pneumothorax is seen as a region of lucency (dark) around the edge of the lung. Identify when pleura is abnormal and the key. Recognition of a pneumothorax depends on the volume of air in the pleural space and the position of the body. In this video, you'll learn how to identify when radiological pleura is abnormal and the key. The two lungs meet in the middle at the posterior.
From www.youtube.com
Simple Pneumothorax Explanation of Chest Xray Findings YouTube How To Read A Pneumothorax X Ray Recognition of a pneumothorax depends on the volume of air in the pleural space and the position of the body. The two lungs meet in the middle at the posterior. A pneumothorax is seen as a region of lucency (dark) around the edge of the lung. After graduating ucsf medical school, we’ve accumulated a lot of knowledge over the. The. How To Read A Pneumothorax X Ray.
From geekymedics.com
Pneumothorax Geeky Medics How To Read A Pneumothorax X Ray On a supine radiograph a pneumothorax can be subtle. This is difficult to see because the lung itself is. The lungs can be seen to reach the inner edge of the thoracic wall (arrows). Identify when pleura is abnormal and the key. In this video, you'll learn how to identify when radiological pleura is abnormal and the key. After graduating. How To Read A Pneumothorax X Ray.
From exohjoadr.blob.core.windows.net
How To Identify Pneumothorax In Chest X Ray at Ethel Law blog How To Read A Pneumothorax X Ray In this video, you'll learn how to identify when radiological pleura is abnormal and the key. This is difficult to see because the lung itself is. The two lungs meet in the middle at the posterior. On a supine radiograph a pneumothorax can be subtle. After graduating ucsf medical school, we’ve accumulated a lot of knowledge over the. A pneumothorax. How To Read A Pneumothorax X Ray.
From fity.club
X Ray Images Of Pneumothorax How To Read A Pneumothorax X Ray The two lungs meet in the middle at the posterior. Identify when pleura is abnormal and the key. In this video, you'll learn how to identify when radiological pleura is abnormal and the key. Recognition of a pneumothorax depends on the volume of air in the pleural space and the position of the body. On a supine radiograph a pneumothorax. How To Read A Pneumothorax X Ray.
From www.researchgate.net
Chest xray (PA view) showing tension pneumothorax Download How To Read A Pneumothorax X Ray Identify when pleura is abnormal and the key. After graduating ucsf medical school, we’ve accumulated a lot of knowledge over the. In this video, you'll learn how to identify when radiological pleura is abnormal and the key. The two lungs meet in the middle at the posterior. A pneumothorax is seen as a region of lucency (dark) around the edge. How To Read A Pneumothorax X Ray.
From www.pinterest.com
How to read a Chest Xray Mnemonic Radiology student, Radiographer How To Read A Pneumothorax X Ray The lungs can be seen to reach the inner edge of the thoracic wall (arrows). In this video, you'll learn how to identify when radiological pleura is abnormal and the key. On a supine radiograph a pneumothorax can be subtle. The two lungs meet in the middle at the posterior. Identify when pleura is abnormal and the key. A pneumothorax. How To Read A Pneumothorax X Ray.
From healthjade.net
Pneumothorax Causes, Signs, Symptoms, Treatment How To Read A Pneumothorax X Ray On a supine radiograph a pneumothorax can be subtle. The two lungs meet in the middle at the posterior. In this video, you'll learn how to identify when radiological pleura is abnormal and the key. After graduating ucsf medical school, we’ve accumulated a lot of knowledge over the. Recognition of a pneumothorax depends on the volume of air in the. How To Read A Pneumothorax X Ray.
From medschool.co
Pneumothorax Chest XRay MedSchool How To Read A Pneumothorax X Ray The two lungs meet in the middle at the posterior. In this video, you'll learn how to identify when radiological pleura is abnormal and the key. Recognition of a pneumothorax depends on the volume of air in the pleural space and the position of the body. This is difficult to see because the lung itself is. On a supine radiograph. How To Read A Pneumothorax X Ray.
From www.youtube.com
How to identify pneumothorax on a chest Xray YouTube How To Read A Pneumothorax X Ray Recognition of a pneumothorax depends on the volume of air in the pleural space and the position of the body. This is difficult to see because the lung itself is. After graduating ucsf medical school, we’ve accumulated a lot of knowledge over the. The two lungs meet in the middle at the posterior. A pneumothorax is seen as a region. How To Read A Pneumothorax X Ray.
From mavink.com
Small Pneumothorax Chest X Ray How To Read A Pneumothorax X Ray The lungs can be seen to reach the inner edge of the thoracic wall (arrows). After graduating ucsf medical school, we’ve accumulated a lot of knowledge over the. In this video, you'll learn how to identify when radiological pleura is abnormal and the key. On a supine radiograph a pneumothorax can be subtle. A pneumothorax is seen as a region. How To Read A Pneumothorax X Ray.
From openpress.usask.ca
Pneumothorax Undergraduate Diagnostic Imaging Fundamentals How To Read A Pneumothorax X Ray A pneumothorax is seen as a region of lucency (dark) around the edge of the lung. This is difficult to see because the lung itself is. In this video, you'll learn how to identify when radiological pleura is abnormal and the key. Identify when pleura is abnormal and the key. The two lungs meet in the middle at the posterior.. How To Read A Pneumothorax X Ray.
From radiologykey.com
Where’s the air? Pneumothorax Radiology Key How To Read A Pneumothorax X Ray The two lungs meet in the middle at the posterior. Recognition of a pneumothorax depends on the volume of air in the pleural space and the position of the body. The lungs can be seen to reach the inner edge of the thoracic wall (arrows). After graduating ucsf medical school, we’ve accumulated a lot of knowledge over the. This is. How To Read A Pneumothorax X Ray.
From hellodoktor.com
Pneumothorax Hello Doktor How To Read A Pneumothorax X Ray Identify when pleura is abnormal and the key. The lungs can be seen to reach the inner edge of the thoracic wall (arrows). The two lungs meet in the middle at the posterior. On a supine radiograph a pneumothorax can be subtle. A pneumothorax is seen as a region of lucency (dark) around the edge of the lung. This is. How To Read A Pneumothorax X Ray.
From www.lecturio.com
Pneumothorax Concise Medical Knowledge How To Read A Pneumothorax X Ray The two lungs meet in the middle at the posterior. Identify when pleura is abnormal and the key. On a supine radiograph a pneumothorax can be subtle. Recognition of a pneumothorax depends on the volume of air in the pleural space and the position of the body. After graduating ucsf medical school, we’ve accumulated a lot of knowledge over the.. How To Read A Pneumothorax X Ray.
From www.researchgate.net
Chest radiographic images of the pneumothorax. Chest radiograph How To Read A Pneumothorax X Ray After graduating ucsf medical school, we’ve accumulated a lot of knowledge over the. The two lungs meet in the middle at the posterior. The lungs can be seen to reach the inner edge of the thoracic wall (arrows). In this video, you'll learn how to identify when radiological pleura is abnormal and the key. A pneumothorax is seen as a. How To Read A Pneumothorax X Ray.
From www.stepwards.com
Condition Specific Radiology Pneumothorax Stepwards How To Read A Pneumothorax X Ray After graduating ucsf medical school, we’ve accumulated a lot of knowledge over the. A pneumothorax is seen as a region of lucency (dark) around the edge of the lung. In this video, you'll learn how to identify when radiological pleura is abnormal and the key. On a supine radiograph a pneumothorax can be subtle. Identify when pleura is abnormal and. How To Read A Pneumothorax X Ray.
From mavink.com
Small Pneumothorax Chest X Ray How To Read A Pneumothorax X Ray On a supine radiograph a pneumothorax can be subtle. Identify when pleura is abnormal and the key. Recognition of a pneumothorax depends on the volume of air in the pleural space and the position of the body. In this video, you'll learn how to identify when radiological pleura is abnormal and the key. A pneumothorax is seen as a region. How To Read A Pneumothorax X Ray.
From mavink.com
Pneumothorax Lung X Ray How To Read A Pneumothorax X Ray The lungs can be seen to reach the inner edge of the thoracic wall (arrows). After graduating ucsf medical school, we’ve accumulated a lot of knowledge over the. Identify when pleura is abnormal and the key. On a supine radiograph a pneumothorax can be subtle. A pneumothorax is seen as a region of lucency (dark) around the edge of the. How To Read A Pneumothorax X Ray.
From exohjoadr.blob.core.windows.net
How To Identify Pneumothorax In Chest X Ray at Ethel Law blog How To Read A Pneumothorax X Ray On a supine radiograph a pneumothorax can be subtle. After graduating ucsf medical school, we’ve accumulated a lot of knowledge over the. Recognition of a pneumothorax depends on the volume of air in the pleural space and the position of the body. The two lungs meet in the middle at the posterior. In this video, you'll learn how to identify. How To Read A Pneumothorax X Ray.
From teachmesurgery.com
Pneumothorax TeachMeSurgery How To Read A Pneumothorax X Ray A pneumothorax is seen as a region of lucency (dark) around the edge of the lung. The lungs can be seen to reach the inner edge of the thoracic wall (arrows). This is difficult to see because the lung itself is. On a supine radiograph a pneumothorax can be subtle. After graduating ucsf medical school, we’ve accumulated a lot of. How To Read A Pneumothorax X Ray.
From ar.inspiredpencil.com
Pneumothorax Lung X Ray How To Read A Pneumothorax X Ray On a supine radiograph a pneumothorax can be subtle. Identify when pleura is abnormal and the key. In this video, you'll learn how to identify when radiological pleura is abnormal and the key. This is difficult to see because the lung itself is. Recognition of a pneumothorax depends on the volume of air in the pleural space and the position. How To Read A Pneumothorax X Ray.
From www.researchgate.net
Tension pneumothorax chest X ray Download Scientific Diagram How To Read A Pneumothorax X Ray A pneumothorax is seen as a region of lucency (dark) around the edge of the lung. The two lungs meet in the middle at the posterior. Recognition of a pneumothorax depends on the volume of air in the pleural space and the position of the body. The lungs can be seen to reach the inner edge of the thoracic wall. How To Read A Pneumothorax X Ray.
From www.virtualmedstudent.com
Pneumothorax How To Read A Pneumothorax X Ray A pneumothorax is seen as a region of lucency (dark) around the edge of the lung. On a supine radiograph a pneumothorax can be subtle. The two lungs meet in the middle at the posterior. In this video, you'll learn how to identify when radiological pleura is abnormal and the key. The lungs can be seen to reach the inner. How To Read A Pneumothorax X Ray.
From www.radiology4beginners.com
Pneumothorax Radiology For Beginners by Dr. Samuel Kobba How To Read A Pneumothorax X Ray A pneumothorax is seen as a region of lucency (dark) around the edge of the lung. Recognition of a pneumothorax depends on the volume of air in the pleural space and the position of the body. On a supine radiograph a pneumothorax can be subtle. The lungs can be seen to reach the inner edge of the thoracic wall (arrows).. How To Read A Pneumothorax X Ray.
From www.lecturio.com
Pneumothorax — Diagnosis and Treatment Online Medical Library How To Read A Pneumothorax X Ray The lungs can be seen to reach the inner edge of the thoracic wall (arrows). A pneumothorax is seen as a region of lucency (dark) around the edge of the lung. This is difficult to see because the lung itself is. In this video, you'll learn how to identify when radiological pleura is abnormal and the key. Identify when pleura. How To Read A Pneumothorax X Ray.
From www.slideshare.net
10.Pneumothorax How To Read A Pneumothorax X Ray This is difficult to see because the lung itself is. The lungs can be seen to reach the inner edge of the thoracic wall (arrows). The two lungs meet in the middle at the posterior. After graduating ucsf medical school, we’ve accumulated a lot of knowledge over the. Identify when pleura is abnormal and the key. In this video, you'll. How To Read A Pneumothorax X Ray.
From www.pinterest.com
Pneumothorax Medical radiography, Diagnostic imaging, Radiology imaging How To Read A Pneumothorax X Ray The lungs can be seen to reach the inner edge of the thoracic wall (arrows). Recognition of a pneumothorax depends on the volume of air in the pleural space and the position of the body. After graduating ucsf medical school, we’ve accumulated a lot of knowledge over the. In this video, you'll learn how to identify when radiological pleura is. How To Read A Pneumothorax X Ray.
From hubpages.com
X Ray Diagnostics Of Pneumothorax Radiographic Representations Of The How To Read A Pneumothorax X Ray Identify when pleura is abnormal and the key. On a supine radiograph a pneumothorax can be subtle. A pneumothorax is seen as a region of lucency (dark) around the edge of the lung. In this video, you'll learn how to identify when radiological pleura is abnormal and the key. Recognition of a pneumothorax depends on the volume of air in. How To Read A Pneumothorax X Ray.
From medschool.co
Pneumothorax Chest XRay MedSchool How To Read A Pneumothorax X Ray After graduating ucsf medical school, we’ve accumulated a lot of knowledge over the. The lungs can be seen to reach the inner edge of the thoracic wall (arrows). In this video, you'll learn how to identify when radiological pleura is abnormal and the key. On a supine radiograph a pneumothorax can be subtle. Recognition of a pneumothorax depends on the. How To Read A Pneumothorax X Ray.
From www.radiology4beginners.com
Pneumothorax Radiology For Beginners by Dr. Samuel Kobba How To Read A Pneumothorax X Ray The lungs can be seen to reach the inner edge of the thoracic wall (arrows). On a supine radiograph a pneumothorax can be subtle. In this video, you'll learn how to identify when radiological pleura is abnormal and the key. Recognition of a pneumothorax depends on the volume of air in the pleural space and the position of the body.. How To Read A Pneumothorax X Ray.
From pixels.com
Pneumothorax, Xray Photograph by Science Photo Library How To Read A Pneumothorax X Ray Recognition of a pneumothorax depends on the volume of air in the pleural space and the position of the body. A pneumothorax is seen as a region of lucency (dark) around the edge of the lung. Identify when pleura is abnormal and the key. This is difficult to see because the lung itself is. The lungs can be seen to. How To Read A Pneumothorax X Ray.
From www.researchgate.net
Xray showing pneumothorax. Patient's chest Xray showing pneumothorax How To Read A Pneumothorax X Ray After graduating ucsf medical school, we’ve accumulated a lot of knowledge over the. The two lungs meet in the middle at the posterior. On a supine radiograph a pneumothorax can be subtle. This is difficult to see because the lung itself is. Identify when pleura is abnormal and the key. The lungs can be seen to reach the inner edge. How To Read A Pneumothorax X Ray.
From mavink.com
Apical Pneumothorax On Chest X Ray How To Read A Pneumothorax X Ray Identify when pleura is abnormal and the key. The lungs can be seen to reach the inner edge of the thoracic wall (arrows). Recognition of a pneumothorax depends on the volume of air in the pleural space and the position of the body. This is difficult to see because the lung itself is. A pneumothorax is seen as a region. How To Read A Pneumothorax X Ray.
From ar.inspiredpencil.com
Left Pneumothorax X Ray How To Read A Pneumothorax X Ray After graduating ucsf medical school, we’ve accumulated a lot of knowledge over the. The lungs can be seen to reach the inner edge of the thoracic wall (arrows). On a supine radiograph a pneumothorax can be subtle. Identify when pleura is abnormal and the key. Recognition of a pneumothorax depends on the volume of air in the pleural space and. How To Read A Pneumothorax X Ray.
From www.youtube.com
Pneumothorax Radiology in two minutes YouTube How To Read A Pneumothorax X Ray After graduating ucsf medical school, we’ve accumulated a lot of knowledge over the. In this video, you'll learn how to identify when radiological pleura is abnormal and the key. Identify when pleura is abnormal and the key. The lungs can be seen to reach the inner edge of the thoracic wall (arrows). This is difficult to see because the lung. How To Read A Pneumothorax X Ray.