Diaphragmatic Excursion Pneumothorax . Percussion of the chest produces 5 distinctive notes used to assess pulmonary function: A pneumothorax can be caused by a blunt or penetrating chest injury, certain medical procedures, or damage from underlying lung. Start @ top of one side → then move. Diaphragmatic excursion is the movement of the thoracic diaphragm during breathing. Resonance (in healthy tissue), hyperresonance,. Asymmetry and diaphragmatic excursion can be assessed by placing one hand posteriorly on each hemithorax near the level of. R to across to same level, other side l (as.
from www.endonews.com
R to across to same level, other side l (as. A pneumothorax can be caused by a blunt or penetrating chest injury, certain medical procedures, or damage from underlying lung. Diaphragmatic excursion is the movement of the thoracic diaphragm during breathing. Percussion of the chest produces 5 distinctive notes used to assess pulmonary function: Resonance (in healthy tissue), hyperresonance,. Asymmetry and diaphragmatic excursion can be assessed by placing one hand posteriorly on each hemithorax near the level of. Start @ top of one side → then move.
Diaphragmatic defects, liver herniations and catamenial pneumothorax
Diaphragmatic Excursion Pneumothorax Asymmetry and diaphragmatic excursion can be assessed by placing one hand posteriorly on each hemithorax near the level of. Start @ top of one side → then move. R to across to same level, other side l (as. Resonance (in healthy tissue), hyperresonance,. Diaphragmatic excursion is the movement of the thoracic diaphragm during breathing. Asymmetry and diaphragmatic excursion can be assessed by placing one hand posteriorly on each hemithorax near the level of. Percussion of the chest produces 5 distinctive notes used to assess pulmonary function: A pneumothorax can be caused by a blunt or penetrating chest injury, certain medical procedures, or damage from underlying lung.
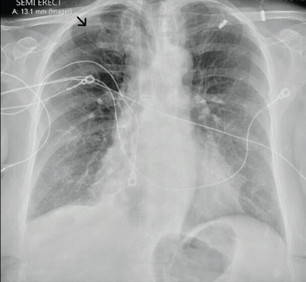
From www.researchgate.net
Gas under the diaphragm and pneumothorax identified by chest Xray Diaphragmatic Excursion Pneumothorax Percussion of the chest produces 5 distinctive notes used to assess pulmonary function: Asymmetry and diaphragmatic excursion can be assessed by placing one hand posteriorly on each hemithorax near the level of. Diaphragmatic excursion is the movement of the thoracic diaphragm during breathing. A pneumothorax can be caused by a blunt or penetrating chest injury, certain medical procedures, or damage. Diaphragmatic Excursion Pneumothorax.
From www.slideserve.com
PPT Physical Examination of the Chest Department of medicine Liu Yuan Diaphragmatic Excursion Pneumothorax Percussion of the chest produces 5 distinctive notes used to assess pulmonary function: Resonance (in healthy tissue), hyperresonance,. Diaphragmatic excursion is the movement of the thoracic diaphragm during breathing. A pneumothorax can be caused by a blunt or penetrating chest injury, certain medical procedures, or damage from underlying lung. R to across to same level, other side l (as. Asymmetry. Diaphragmatic Excursion Pneumothorax.
From www.researchgate.net
Mmode US demonstrates normal right diaphragmatic excursion with Diaphragmatic Excursion Pneumothorax Percussion of the chest produces 5 distinctive notes used to assess pulmonary function: Diaphragmatic excursion is the movement of the thoracic diaphragm during breathing. Asymmetry and diaphragmatic excursion can be assessed by placing one hand posteriorly on each hemithorax near the level of. Resonance (in healthy tissue), hyperresonance,. Start @ top of one side → then move. R to across. Diaphragmatic Excursion Pneumothorax.
From www.researchgate.net
(PDF) Quantitative assessment of pneumothorax by using Shannon entropy Diaphragmatic Excursion Pneumothorax Diaphragmatic excursion is the movement of the thoracic diaphragm during breathing. Start @ top of one side → then move. R to across to same level, other side l (as. Resonance (in healthy tissue), hyperresonance,. Asymmetry and diaphragmatic excursion can be assessed by placing one hand posteriorly on each hemithorax near the level of. A pneumothorax can be caused by. Diaphragmatic Excursion Pneumothorax.
From www.slideserve.com
PPT Thorax and Lungs N1037 PowerPoint Presentation, free download Diaphragmatic Excursion Pneumothorax Asymmetry and diaphragmatic excursion can be assessed by placing one hand posteriorly on each hemithorax near the level of. R to across to same level, other side l (as. Percussion of the chest produces 5 distinctive notes used to assess pulmonary function: Resonance (in healthy tissue), hyperresonance,. Diaphragmatic excursion is the movement of the thoracic diaphragm during breathing. Start @. Diaphragmatic Excursion Pneumothorax.
From openres.ersjournals.com
Diaphragmatic motion recorded by Mmode ultrasonography limits of Diaphragmatic Excursion Pneumothorax Resonance (in healthy tissue), hyperresonance,. Start @ top of one side → then move. Percussion of the chest produces 5 distinctive notes used to assess pulmonary function: Diaphragmatic excursion is the movement of the thoracic diaphragm during breathing. Asymmetry and diaphragmatic excursion can be assessed by placing one hand posteriorly on each hemithorax near the level of. A pneumothorax can. Diaphragmatic Excursion Pneumothorax.
From www.drcssingh.com
Congenital Diaphragmatic Hernia Masquerading as Tension Pneumothorax Diaphragmatic Excursion Pneumothorax Resonance (in healthy tissue), hyperresonance,. Diaphragmatic excursion is the movement of the thoracic diaphragm during breathing. Percussion of the chest produces 5 distinctive notes used to assess pulmonary function: A pneumothorax can be caused by a blunt or penetrating chest injury, certain medical procedures, or damage from underlying lung. Asymmetry and diaphragmatic excursion can be assessed by placing one hand. Diaphragmatic Excursion Pneumothorax.
From www.slideserve.com
PPT Assessment of Thorax and Lungs PowerPoint Presentation, free Diaphragmatic Excursion Pneumothorax Percussion of the chest produces 5 distinctive notes used to assess pulmonary function: Diaphragmatic excursion is the movement of the thoracic diaphragm during breathing. Start @ top of one side → then move. A pneumothorax can be caused by a blunt or penetrating chest injury, certain medical procedures, or damage from underlying lung. R to across to same level, other. Diaphragmatic Excursion Pneumothorax.
From www.anesthesiologynews.com
Porous Diaphragm Syndrome Spontaneous Pneumothorax After Diagnostic Diaphragmatic Excursion Pneumothorax Diaphragmatic excursion is the movement of the thoracic diaphragm during breathing. Resonance (in healthy tissue), hyperresonance,. Asymmetry and diaphragmatic excursion can be assessed by placing one hand posteriorly on each hemithorax near the level of. R to across to same level, other side l (as. Start @ top of one side → then move. Percussion of the chest produces 5. Diaphragmatic Excursion Pneumothorax.
From www.slideserve.com
PPT Assessment of Thorax and Lungs PowerPoint Presentation ID521002 Diaphragmatic Excursion Pneumothorax A pneumothorax can be caused by a blunt or penetrating chest injury, certain medical procedures, or damage from underlying lung. R to across to same level, other side l (as. Resonance (in healthy tissue), hyperresonance,. Asymmetry and diaphragmatic excursion can be assessed by placing one hand posteriorly on each hemithorax near the level of. Diaphragmatic excursion is the movement of. Diaphragmatic Excursion Pneumothorax.
From www.researchgate.net
Representative sequential chest radiographs and the graphs of excursion Diaphragmatic Excursion Pneumothorax Percussion of the chest produces 5 distinctive notes used to assess pulmonary function: Diaphragmatic excursion is the movement of the thoracic diaphragm during breathing. R to across to same level, other side l (as. Resonance (in healthy tissue), hyperresonance,. Start @ top of one side → then move. Asymmetry and diaphragmatic excursion can be assessed by placing one hand posteriorly. Diaphragmatic Excursion Pneumothorax.
From alifeofpocus.com
Diaphragm ALIFE Diaphragmatic Excursion Pneumothorax Diaphragmatic excursion is the movement of the thoracic diaphragm during breathing. Percussion of the chest produces 5 distinctive notes used to assess pulmonary function: R to across to same level, other side l (as. Resonance (in healthy tissue), hyperresonance,. A pneumothorax can be caused by a blunt or penetrating chest injury, certain medical procedures, or damage from underlying lung. Asymmetry. Diaphragmatic Excursion Pneumothorax.
From www.researchgate.net
Chest xray performed after needle of abdomen Diaphragmatic Excursion Pneumothorax Resonance (in healthy tissue), hyperresonance,. Diaphragmatic excursion is the movement of the thoracic diaphragm during breathing. Start @ top of one side → then move. A pneumothorax can be caused by a blunt or penetrating chest injury, certain medical procedures, or damage from underlying lung. Asymmetry and diaphragmatic excursion can be assessed by placing one hand posteriorly on each hemithorax. Diaphragmatic Excursion Pneumothorax.
From emcrit.org
Pneumothorax and bronchopleural fistula (BPF) EMCrit Project Diaphragmatic Excursion Pneumothorax Asymmetry and diaphragmatic excursion can be assessed by placing one hand posteriorly on each hemithorax near the level of. Start @ top of one side → then move. Percussion of the chest produces 5 distinctive notes used to assess pulmonary function: Diaphragmatic excursion is the movement of the thoracic diaphragm during breathing. A pneumothorax can be caused by a blunt. Diaphragmatic Excursion Pneumothorax.
From ditki.com
Clinical Pathology Glossary Pneumothorax ditki medical & biological Diaphragmatic Excursion Pneumothorax R to across to same level, other side l (as. Asymmetry and diaphragmatic excursion can be assessed by placing one hand posteriorly on each hemithorax near the level of. Percussion of the chest produces 5 distinctive notes used to assess pulmonary function: Resonance (in healthy tissue), hyperresonance,. Diaphragmatic excursion is the movement of the thoracic diaphragm during breathing. Start @. Diaphragmatic Excursion Pneumothorax.
From rc.rcjournal.com
Recurrent Catamenial Pneumothorax Caused by Diaphragmatic Fenestration Diaphragmatic Excursion Pneumothorax Percussion of the chest produces 5 distinctive notes used to assess pulmonary function: R to across to same level, other side l (as. Diaphragmatic excursion is the movement of the thoracic diaphragm during breathing. A pneumothorax can be caused by a blunt or penetrating chest injury, certain medical procedures, or damage from underlying lung. Resonance (in healthy tissue), hyperresonance,. Asymmetry. Diaphragmatic Excursion Pneumothorax.
From file.scirp.org
Early Diagnosis and Treatment of Traumatic Diaphragmatic Injuries Diaphragmatic Excursion Pneumothorax Percussion of the chest produces 5 distinctive notes used to assess pulmonary function: A pneumothorax can be caused by a blunt or penetrating chest injury, certain medical procedures, or damage from underlying lung. Diaphragmatic excursion is the movement of the thoracic diaphragm during breathing. R to across to same level, other side l (as. Resonance (in healthy tissue), hyperresonance,. Asymmetry. Diaphragmatic Excursion Pneumothorax.
From www.researchgate.net
Diaphragmatic excursion measured by an ultrasound system. (A) Tidal Diaphragmatic Excursion Pneumothorax A pneumothorax can be caused by a blunt or penetrating chest injury, certain medical procedures, or damage from underlying lung. Start @ top of one side → then move. Asymmetry and diaphragmatic excursion can be assessed by placing one hand posteriorly on each hemithorax near the level of. Percussion of the chest produces 5 distinctive notes used to assess pulmonary. Diaphragmatic Excursion Pneumothorax.
From www.slideserve.com
PPT Physical Exam of the Chest Auscultation PowerPoint Presentation Diaphragmatic Excursion Pneumothorax R to across to same level, other side l (as. Start @ top of one side → then move. Asymmetry and diaphragmatic excursion can be assessed by placing one hand posteriorly on each hemithorax near the level of. A pneumothorax can be caused by a blunt or penetrating chest injury, certain medical procedures, or damage from underlying lung. Diaphragmatic excursion. Diaphragmatic Excursion Pneumothorax.
From www.researchgate.net
Thorax radiography suspecting a pneumothorax or a diaphragmatic hernia Diaphragmatic Excursion Pneumothorax Start @ top of one side → then move. Percussion of the chest produces 5 distinctive notes used to assess pulmonary function: Resonance (in healthy tissue), hyperresonance,. A pneumothorax can be caused by a blunt or penetrating chest injury, certain medical procedures, or damage from underlying lung. Diaphragmatic excursion is the movement of the thoracic diaphragm during breathing. R to. Diaphragmatic Excursion Pneumothorax.
From www.cureus.com
Cureus The Use of AngleIndependent MMode in the Evaluation of Diaphragmatic Excursion Pneumothorax A pneumothorax can be caused by a blunt or penetrating chest injury, certain medical procedures, or damage from underlying lung. Diaphragmatic excursion is the movement of the thoracic diaphragm during breathing. Resonance (in healthy tissue), hyperresonance,. Start @ top of one side → then move. Percussion of the chest produces 5 distinctive notes used to assess pulmonary function: Asymmetry and. Diaphragmatic Excursion Pneumothorax.
From vimeo.com
Diaphragmatic Excursion on Vimeo Diaphragmatic Excursion Pneumothorax A pneumothorax can be caused by a blunt or penetrating chest injury, certain medical procedures, or damage from underlying lung. Asymmetry and diaphragmatic excursion can be assessed by placing one hand posteriorly on each hemithorax near the level of. R to across to same level, other side l (as. Start @ top of one side → then move. Percussion of. Diaphragmatic Excursion Pneumothorax.
From www.cureus.com
Cureus The Use of AngleIndependent MMode in the Evaluation of Diaphragmatic Excursion Pneumothorax Asymmetry and diaphragmatic excursion can be assessed by placing one hand posteriorly on each hemithorax near the level of. R to across to same level, other side l (as. Percussion of the chest produces 5 distinctive notes used to assess pulmonary function: A pneumothorax can be caused by a blunt or penetrating chest injury, certain medical procedures, or damage from. Diaphragmatic Excursion Pneumothorax.
From medicine.uams.edu
Pneumothorax, Pneumomediastinum Air Leaks In The ICU UAMS Diaphragmatic Excursion Pneumothorax Resonance (in healthy tissue), hyperresonance,. R to across to same level, other side l (as. Diaphragmatic excursion is the movement of the thoracic diaphragm during breathing. Percussion of the chest produces 5 distinctive notes used to assess pulmonary function: Asymmetry and diaphragmatic excursion can be assessed by placing one hand posteriorly on each hemithorax near the level of. A pneumothorax. Diaphragmatic Excursion Pneumothorax.
From www.researchgate.net
(PDF) Diaphragmatic excursion is correlated with the improvement in Diaphragmatic Excursion Pneumothorax Diaphragmatic excursion is the movement of the thoracic diaphragm during breathing. R to across to same level, other side l (as. A pneumothorax can be caused by a blunt or penetrating chest injury, certain medical procedures, or damage from underlying lung. Asymmetry and diaphragmatic excursion can be assessed by placing one hand posteriorly on each hemithorax near the level of.. Diaphragmatic Excursion Pneumothorax.
From wjes.biomedcentral.com
Tension pneumothorax and life saving diaphragmatic rupture a case Diaphragmatic Excursion Pneumothorax Resonance (in healthy tissue), hyperresonance,. Diaphragmatic excursion is the movement of the thoracic diaphragm during breathing. Start @ top of one side → then move. R to across to same level, other side l (as. Asymmetry and diaphragmatic excursion can be assessed by placing one hand posteriorly on each hemithorax near the level of. Percussion of the chest produces 5. Diaphragmatic Excursion Pneumothorax.
From www.researchgate.net
Localized pneumothorax above his right hemidiaphragm (shown by a black Diaphragmatic Excursion Pneumothorax Start @ top of one side → then move. Resonance (in healthy tissue), hyperresonance,. A pneumothorax can be caused by a blunt or penetrating chest injury, certain medical procedures, or damage from underlying lung. Asymmetry and diaphragmatic excursion can be assessed by placing one hand posteriorly on each hemithorax near the level of. Percussion of the chest produces 5 distinctive. Diaphragmatic Excursion Pneumothorax.
From www.slideshare.net
Thorax And Lungs.330.Ss.09 Diaphragmatic Excursion Pneumothorax R to across to same level, other side l (as. Percussion of the chest produces 5 distinctive notes used to assess pulmonary function: A pneumothorax can be caused by a blunt or penetrating chest injury, certain medical procedures, or damage from underlying lung. Resonance (in healthy tissue), hyperresonance,. Asymmetry and diaphragmatic excursion can be assessed by placing one hand posteriorly. Diaphragmatic Excursion Pneumothorax.
From www.endonews.com
Diaphragmatic defects, liver herniations and catamenial pneumothorax Diaphragmatic Excursion Pneumothorax Resonance (in healthy tissue), hyperresonance,. Start @ top of one side → then move. R to across to same level, other side l (as. Diaphragmatic excursion is the movement of the thoracic diaphragm during breathing. Asymmetry and diaphragmatic excursion can be assessed by placing one hand posteriorly on each hemithorax near the level of. Percussion of the chest produces 5. Diaphragmatic Excursion Pneumothorax.
From www.researchgate.net
Diaphragmatic excursion. A Placement of ultrasound probe to record Diaphragmatic Excursion Pneumothorax Asymmetry and diaphragmatic excursion can be assessed by placing one hand posteriorly on each hemithorax near the level of. Diaphragmatic excursion is the movement of the thoracic diaphragm during breathing. Start @ top of one side → then move. A pneumothorax can be caused by a blunt or penetrating chest injury, certain medical procedures, or damage from underlying lung. Percussion. Diaphragmatic Excursion Pneumothorax.
From www.researchgate.net
Annotated depiction of diaphragmatic excursion calculation in a healthy Diaphragmatic Excursion Pneumothorax Resonance (in healthy tissue), hyperresonance,. Diaphragmatic excursion is the movement of the thoracic diaphragm during breathing. R to across to same level, other side l (as. Asymmetry and diaphragmatic excursion can be assessed by placing one hand posteriorly on each hemithorax near the level of. Percussion of the chest produces 5 distinctive notes used to assess pulmonary function: A pneumothorax. Diaphragmatic Excursion Pneumothorax.
From bamsstudies.in
Pneumothorax BAMS Studies Diaphragmatic Excursion Pneumothorax Diaphragmatic excursion is the movement of the thoracic diaphragm during breathing. R to across to same level, other side l (as. Percussion of the chest produces 5 distinctive notes used to assess pulmonary function: Asymmetry and diaphragmatic excursion can be assessed by placing one hand posteriorly on each hemithorax near the level of. Start @ top of one side →. Diaphragmatic Excursion Pneumothorax.
From www.researchgate.net
Diaphragmatic excursion recorded in one volunteer during breathing at Diaphragmatic Excursion Pneumothorax Asymmetry and diaphragmatic excursion can be assessed by placing one hand posteriorly on each hemithorax near the level of. Resonance (in healthy tissue), hyperresonance,. Percussion of the chest produces 5 distinctive notes used to assess pulmonary function: Start @ top of one side → then move. A pneumothorax can be caused by a blunt or penetrating chest injury, certain medical. Diaphragmatic Excursion Pneumothorax.
From openi.nlm.nih.gov
Chest xray showing bilateral pneumothorax with a flatt Openi Diaphragmatic Excursion Pneumothorax Start @ top of one side → then move. Percussion of the chest produces 5 distinctive notes used to assess pulmonary function: A pneumothorax can be caused by a blunt or penetrating chest injury, certain medical procedures, or damage from underlying lung. Asymmetry and diaphragmatic excursion can be assessed by placing one hand posteriorly on each hemithorax near the level. Diaphragmatic Excursion Pneumothorax.
From learningradiology.com
Learning Radiology deep sulcus sign, pneumothorax Diaphragmatic Excursion Pneumothorax R to across to same level, other side l (as. A pneumothorax can be caused by a blunt or penetrating chest injury, certain medical procedures, or damage from underlying lung. Percussion of the chest produces 5 distinctive notes used to assess pulmonary function: Diaphragmatic excursion is the movement of the thoracic diaphragm during breathing. Asymmetry and diaphragmatic excursion can be. Diaphragmatic Excursion Pneumothorax.