Endometriosis Lesion . Outside the uterus, the tissue thickens and bleeds, just as typical endometrial tissue does during menstrual cycles. Learn about the symptoms, causes, stages, diagnosis, complications, and treatment options for endometriosis. for endometriosis, some basic questions to ask your doctor include: Superficial endometriosis found mainly on the pelvic peritoneum. endometriosis is defined as endometrial glands and stroma that occur outside the uterine cavity. according to their physiopathology and their localization, ectopic endometrial lesions, consisting of. endometriosis is a disorder in which tissue similar to the lining of your uterus grows outside of your uterine cavity. Superficial peritoneal endometriosis (accounting for around 80% of. several lesion types have been described:
from
Outside the uterus, the tissue thickens and bleeds, just as typical endometrial tissue does during menstrual cycles. according to their physiopathology and their localization, ectopic endometrial lesions, consisting of. for endometriosis, some basic questions to ask your doctor include: Superficial peritoneal endometriosis (accounting for around 80% of. endometriosis is defined as endometrial glands and stroma that occur outside the uterine cavity. Learn about the symptoms, causes, stages, diagnosis, complications, and treatment options for endometriosis. Superficial endometriosis found mainly on the pelvic peritoneum. several lesion types have been described: endometriosis is a disorder in which tissue similar to the lining of your uterus grows outside of your uterine cavity.
Endometriosis Lesion endometriosis is a disorder in which tissue similar to the lining of your uterus grows outside of your uterine cavity. Superficial peritoneal endometriosis (accounting for around 80% of. Superficial endometriosis found mainly on the pelvic peritoneum. endometriosis is a disorder in which tissue similar to the lining of your uterus grows outside of your uterine cavity. endometriosis is defined as endometrial glands and stroma that occur outside the uterine cavity. Outside the uterus, the tissue thickens and bleeds, just as typical endometrial tissue does during menstrual cycles. Learn about the symptoms, causes, stages, diagnosis, complications, and treatment options for endometriosis. for endometriosis, some basic questions to ask your doctor include: according to their physiopathology and their localization, ectopic endometrial lesions, consisting of. several lesion types have been described:
From www.endometriosis-india.com
Classification of Endometriosis Indian Center for Endometriosis (ICE) Endometriosis Lesion according to their physiopathology and their localization, ectopic endometrial lesions, consisting of. several lesion types have been described: Superficial peritoneal endometriosis (accounting for around 80% of. Outside the uterus, the tissue thickens and bleeds, just as typical endometrial tissue does during menstrual cycles. endometriosis is defined as endometrial glands and stroma that occur outside the uterine cavity.. Endometriosis Lesion.
From www.researchgate.net
Macroscopic and histological characteristics of endometriosislike Endometriosis Lesion according to their physiopathology and their localization, ectopic endometrial lesions, consisting of. endometriosis is a disorder in which tissue similar to the lining of your uterus grows outside of your uterine cavity. for endometriosis, some basic questions to ask your doctor include: several lesion types have been described: endometriosis is defined as endometrial glands and. Endometriosis Lesion.
From www.researchgate.net
Crosssection of the peritoneum and endometriotic lesions in Endometriosis Lesion Learn about the symptoms, causes, stages, diagnosis, complications, and treatment options for endometriosis. Outside the uterus, the tissue thickens and bleeds, just as typical endometrial tissue does during menstrual cycles. endometriosis is a disorder in which tissue similar to the lining of your uterus grows outside of your uterine cavity. Superficial peritoneal endometriosis (accounting for around 80% of. . Endometriosis Lesion.
From
Endometriosis Lesion endometriosis is a disorder in which tissue similar to the lining of your uterus grows outside of your uterine cavity. Outside the uterus, the tissue thickens and bleeds, just as typical endometrial tissue does during menstrual cycles. for endometriosis, some basic questions to ask your doctor include: Superficial endometriosis found mainly on the pelvic peritoneum. according to. Endometriosis Lesion.
From
Endometriosis Lesion endometriosis is defined as endometrial glands and stroma that occur outside the uterine cavity. Learn about the symptoms, causes, stages, diagnosis, complications, and treatment options for endometriosis. Superficial endometriosis found mainly on the pelvic peritoneum. according to their physiopathology and their localization, ectopic endometrial lesions, consisting of. Outside the uterus, the tissue thickens and bleeds, just as typical. Endometriosis Lesion.
From www.contemporaryobgyn.net
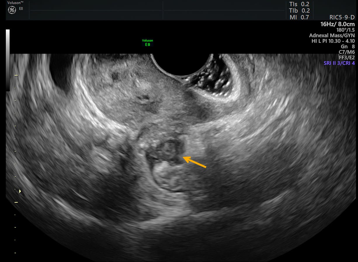
Noninvasive ultrasound diagnosis of endometriosis Contemporary OB/GYN Endometriosis Lesion Learn about the symptoms, causes, stages, diagnosis, complications, and treatment options for endometriosis. Superficial peritoneal endometriosis (accounting for around 80% of. endometriosis is a disorder in which tissue similar to the lining of your uterus grows outside of your uterine cavity. according to their physiopathology and their localization, ectopic endometrial lesions, consisting of. Outside the uterus, the tissue. Endometriosis Lesion.
From onlinelibrary.wiley.com
MRI findings in deep infiltrating endometriosis A pictorial essay Endometriosis Lesion endometriosis is defined as endometrial glands and stroma that occur outside the uterine cavity. Superficial peritoneal endometriosis (accounting for around 80% of. Outside the uterus, the tissue thickens and bleeds, just as typical endometrial tissue does during menstrual cycles. for endometriosis, some basic questions to ask your doctor include: Learn about the symptoms, causes, stages, diagnosis, complications, and. Endometriosis Lesion.
From www.researchgate.net
Immunohistochemistry comparing peritoneal endometriosis lesions with Endometriosis Lesion for endometriosis, some basic questions to ask your doctor include: according to their physiopathology and their localization, ectopic endometrial lesions, consisting of. Outside the uterus, the tissue thickens and bleeds, just as typical endometrial tissue does during menstrual cycles. endometriosis is a disorder in which tissue similar to the lining of your uterus grows outside of your. Endometriosis Lesion.
From pubs.rsna.org
MR Imaging of Endometriosis Ten Imaging Pearls RadioGraphics Endometriosis Lesion Superficial peritoneal endometriosis (accounting for around 80% of. endometriosis is defined as endometrial glands and stroma that occur outside the uterine cavity. Superficial endometriosis found mainly on the pelvic peritoneum. according to their physiopathology and their localization, ectopic endometrial lesions, consisting of. endometriosis is a disorder in which tissue similar to the lining of your uterus grows. Endometriosis Lesion.
From www.wjgnet.com
Clinical characteristics of perineal endometriosis A case series Endometriosis Lesion several lesion types have been described: according to their physiopathology and their localization, ectopic endometrial lesions, consisting of. Outside the uterus, the tissue thickens and bleeds, just as typical endometrial tissue does during menstrual cycles. Learn about the symptoms, causes, stages, diagnosis, complications, and treatment options for endometriosis. endometriosis is defined as endometrial glands and stroma that. Endometriosis Lesion.
From
Endometriosis Lesion for endometriosis, some basic questions to ask your doctor include: according to their physiopathology and their localization, ectopic endometrial lesions, consisting of. Learn about the symptoms, causes, stages, diagnosis, complications, and treatment options for endometriosis. Superficial peritoneal endometriosis (accounting for around 80% of. endometriosis is a disorder in which tissue similar to the lining of your uterus. Endometriosis Lesion.
From clinmedjournals.org
Atypical Sites of Endometriosis Primary Inguinal Cutaneous Endometriosis Endometriosis Lesion for endometriosis, some basic questions to ask your doctor include: several lesion types have been described: Superficial peritoneal endometriosis (accounting for around 80% of. according to their physiopathology and their localization, ectopic endometrial lesions, consisting of. Learn about the symptoms, causes, stages, diagnosis, complications, and treatment options for endometriosis. Outside the uterus, the tissue thickens and bleeds,. Endometriosis Lesion.
From
Endometriosis Lesion Superficial peritoneal endometriosis (accounting for around 80% of. according to their physiopathology and their localization, ectopic endometrial lesions, consisting of. Superficial endometriosis found mainly on the pelvic peritoneum. several lesion types have been described: endometriosis is defined as endometrial glands and stroma that occur outside the uterine cavity. Outside the uterus, the tissue thickens and bleeds, just. Endometriosis Lesion.
From
Endometriosis Lesion for endometriosis, some basic questions to ask your doctor include: according to their physiopathology and their localization, ectopic endometrial lesions, consisting of. Superficial endometriosis found mainly on the pelvic peritoneum. Learn about the symptoms, causes, stages, diagnosis, complications, and treatment options for endometriosis. endometriosis is a disorder in which tissue similar to the lining of your uterus. Endometriosis Lesion.
From pubs.rsna.org
Transvaginal US of Endometriosis Looking Beyond the Endometrioma with Endometriosis Lesion Outside the uterus, the tissue thickens and bleeds, just as typical endometrial tissue does during menstrual cycles. according to their physiopathology and their localization, ectopic endometrial lesions, consisting of. Superficial peritoneal endometriosis (accounting for around 80% of. several lesion types have been described: Learn about the symptoms, causes, stages, diagnosis, complications, and treatment options for endometriosis. Superficial endometriosis. Endometriosis Lesion.
From
Endometriosis Lesion several lesion types have been described: endometriosis is a disorder in which tissue similar to the lining of your uterus grows outside of your uterine cavity. Learn about the symptoms, causes, stages, diagnosis, complications, and treatment options for endometriosis. for endometriosis, some basic questions to ask your doctor include: according to their physiopathology and their localization,. Endometriosis Lesion.
From
Endometriosis Lesion endometriosis is a disorder in which tissue similar to the lining of your uterus grows outside of your uterine cavity. endometriosis is defined as endometrial glands and stroma that occur outside the uterine cavity. Outside the uterus, the tissue thickens and bleeds, just as typical endometrial tissue does during menstrual cycles. according to their physiopathology and their. Endometriosis Lesion.
From
Endometriosis Lesion Superficial peritoneal endometriosis (accounting for around 80% of. endometriosis is a disorder in which tissue similar to the lining of your uterus grows outside of your uterine cavity. Learn about the symptoms, causes, stages, diagnosis, complications, and treatment options for endometriosis. several lesion types have been described: Outside the uterus, the tissue thickens and bleeds, just as typical. Endometriosis Lesion.
From
Endometriosis Lesion according to their physiopathology and their localization, ectopic endometrial lesions, consisting of. Learn about the symptoms, causes, stages, diagnosis, complications, and treatment options for endometriosis. Superficial peritoneal endometriosis (accounting for around 80% of. for endometriosis, some basic questions to ask your doctor include: Outside the uterus, the tissue thickens and bleeds, just as typical endometrial tissue does during. Endometriosis Lesion.
From www.bmj.com
Endometriosis The BMJ Endometriosis Lesion for endometriosis, some basic questions to ask your doctor include: Superficial peritoneal endometriosis (accounting for around 80% of. Learn about the symptoms, causes, stages, diagnosis, complications, and treatment options for endometriosis. endometriosis is a disorder in which tissue similar to the lining of your uterus grows outside of your uterine cavity. Superficial endometriosis found mainly on the pelvic. Endometriosis Lesion.
From www.micro-immunotherapy.com
Endometriosis and Immunity Microimmunotherapy Endometriosis Lesion Learn about the symptoms, causes, stages, diagnosis, complications, and treatment options for endometriosis. endometriosis is defined as endometrial glands and stroma that occur outside the uterine cavity. Superficial endometriosis found mainly on the pelvic peritoneum. for endometriosis, some basic questions to ask your doctor include: Outside the uterus, the tissue thickens and bleeds, just as typical endometrial tissue. Endometriosis Lesion.
From www.researchgate.net
Evaluation of endometriosislike lesion formation using WT, ␣ ERKO, and Endometriosis Lesion for endometriosis, some basic questions to ask your doctor include: according to their physiopathology and their localization, ectopic endometrial lesions, consisting of. Superficial endometriosis found mainly on the pelvic peritoneum. several lesion types have been described: endometriosis is defined as endometrial glands and stroma that occur outside the uterine cavity. Learn about the symptoms, causes, stages,. Endometriosis Lesion.
From
Endometriosis Lesion Learn about the symptoms, causes, stages, diagnosis, complications, and treatment options for endometriosis. according to their physiopathology and their localization, ectopic endometrial lesions, consisting of. Outside the uterus, the tissue thickens and bleeds, just as typical endometrial tissue does during menstrual cycles. endometriosis is a disorder in which tissue similar to the lining of your uterus grows outside. Endometriosis Lesion.
From
Endometriosis Lesion according to their physiopathology and their localization, ectopic endometrial lesions, consisting of. Outside the uterus, the tissue thickens and bleeds, just as typical endometrial tissue does during menstrual cycles. Superficial endometriosis found mainly on the pelvic peritoneum. endometriosis is defined as endometrial glands and stroma that occur outside the uterine cavity. Superficial peritoneal endometriosis (accounting for around 80%. Endometriosis Lesion.
From
Endometriosis Lesion endometriosis is defined as endometrial glands and stroma that occur outside the uterine cavity. endometriosis is a disorder in which tissue similar to the lining of your uterus grows outside of your uterine cavity. Superficial peritoneal endometriosis (accounting for around 80% of. Superficial endometriosis found mainly on the pelvic peritoneum. according to their physiopathology and their localization,. Endometriosis Lesion.
From www.researchgate.net
Schematic diagram of an endometriosis lesion infiltration onto nearby Endometriosis Lesion Learn about the symptoms, causes, stages, diagnosis, complications, and treatment options for endometriosis. for endometriosis, some basic questions to ask your doctor include: endometriosis is a disorder in which tissue similar to the lining of your uterus grows outside of your uterine cavity. according to their physiopathology and their localization, ectopic endometrial lesions, consisting of. Superficial endometriosis. Endometriosis Lesion.
From amritlaisenia.blogspot.com
Endometriosis AmritLaisenia Endometriosis Lesion endometriosis is defined as endometrial glands and stroma that occur outside the uterine cavity. several lesion types have been described: endometriosis is a disorder in which tissue similar to the lining of your uterus grows outside of your uterine cavity. Superficial endometriosis found mainly on the pelvic peritoneum. according to their physiopathology and their localization, ectopic. Endometriosis Lesion.
From
Endometriosis Lesion endometriosis is a disorder in which tissue similar to the lining of your uterus grows outside of your uterine cavity. for endometriosis, some basic questions to ask your doctor include: Superficial peritoneal endometriosis (accounting for around 80% of. Superficial endometriosis found mainly on the pelvic peritoneum. endometriosis is defined as endometrial glands and stroma that occur outside. Endometriosis Lesion.
From pubs.rsna.org
MR Imaging of Endometriosis Ten Imaging Pearls RadioGraphics Endometriosis Lesion Learn about the symptoms, causes, stages, diagnosis, complications, and treatment options for endometriosis. according to their physiopathology and their localization, ectopic endometrial lesions, consisting of. Superficial endometriosis found mainly on the pelvic peritoneum. Superficial peritoneal endometriosis (accounting for around 80% of. Outside the uterus, the tissue thickens and bleeds, just as typical endometrial tissue does during menstrual cycles. . Endometriosis Lesion.
From
Endometriosis Lesion endometriosis is a disorder in which tissue similar to the lining of your uterus grows outside of your uterine cavity. Outside the uterus, the tissue thickens and bleeds, just as typical endometrial tissue does during menstrual cycles. several lesion types have been described: Superficial peritoneal endometriosis (accounting for around 80% of. Superficial endometriosis found mainly on the pelvic. Endometriosis Lesion.
From www.frontiersin.org
Frontiers Pathogenesis Based Diagnosis and Treatment of Endometriosis Endometriosis Lesion endometriosis is a disorder in which tissue similar to the lining of your uterus grows outside of your uterine cavity. Superficial peritoneal endometriosis (accounting for around 80% of. Superficial endometriosis found mainly on the pelvic peritoneum. for endometriosis, some basic questions to ask your doctor include: endometriosis is defined as endometrial glands and stroma that occur outside. Endometriosis Lesion.
From
Endometriosis Lesion Outside the uterus, the tissue thickens and bleeds, just as typical endometrial tissue does during menstrual cycles. Learn about the symptoms, causes, stages, diagnosis, complications, and treatment options for endometriosis. endometriosis is a disorder in which tissue similar to the lining of your uterus grows outside of your uterine cavity. Superficial endometriosis found mainly on the pelvic peritoneum. . Endometriosis Lesion.
From
Endometriosis Lesion Superficial endometriosis found mainly on the pelvic peritoneum. Superficial peritoneal endometriosis (accounting for around 80% of. endometriosis is defined as endometrial glands and stroma that occur outside the uterine cavity. endometriosis is a disorder in which tissue similar to the lining of your uterus grows outside of your uterine cavity. several lesion types have been described: Learn. Endometriosis Lesion.
From
Endometriosis Lesion endometriosis is a disorder in which tissue similar to the lining of your uterus grows outside of your uterine cavity. according to their physiopathology and their localization, ectopic endometrial lesions, consisting of. Outside the uterus, the tissue thickens and bleeds, just as typical endometrial tissue does during menstrual cycles. several lesion types have been described: Learn about. Endometriosis Lesion.
From bigfertilityproject.com
Endometriosis Fertility Index The Big Fertility Project Endometriosis Lesion Outside the uterus, the tissue thickens and bleeds, just as typical endometrial tissue does during menstrual cycles. Superficial peritoneal endometriosis (accounting for around 80% of. according to their physiopathology and their localization, ectopic endometrial lesions, consisting of. for endometriosis, some basic questions to ask your doctor include: Superficial endometriosis found mainly on the pelvic peritoneum. endometriosis is. Endometriosis Lesion.